Presented By 
Soumya Ranjan Parida 
Basic B.Sc. Nursing 4th year 
Sum Nursing Collge 
.
INTRODUCTION
DEFINITION 
An Ectopic pregnancy is one in which the 
fertilized ovum is implanted and develops 
outside the normal uterine cavity.
IMPLANTATIONS SITES 
EXTRAUTERINE UTERINE 
TUBAL 
95-96% 
OVARIAN 
(0.5%) 
ABDOMINAL 
1% 
-CERVICAL 
-ANGULAR 
-CORNUAL 
-CAESAREAN 
PRIMARY SECONDARY SCAR (<1) 
INTRAPERITO 
NEAL 
EXTRAPERITO 
NEAL 
AMPULLA 
ISTHMUS 
INFUNDIBULUM 
INTERSTITIAL
INCIDENCE 
I. Increased due to PID, use of IUCD, Tubal 
surgeries, and ART. 
II.Ranges from 1:25 to 1:250 
III. Average range is 1 in 100 normal 
pregnancies.
TUBAL PREGNANCY 
• The incidence rate varies from 1 in 300 to 1 
in 150 deliveries.
RISK FACTORS 
i. History of PID 
ii. History of tubal ligation 
iii.Contraception failure 
iv.Previous ectopic pregnancy 
v. Tubal reconstructive surgery 
vi.History of infertility 
vii.ART particularly tubes are patent 
and damaged 
viii.IUD used 
ix.Previous induced abortion
ETIOLOGY 
FACTORS 
RESPONSIBLE 
Factors preventing or delaying 
the migration of fertilized ovum 
to the uterine tube 
Factors facilitating nidation of 
the fertilization ovum in the 
tubal mucosa
FACTORS DELAYING OR PREVENTING MIGRATION 
SALPINGITIS IATROGENIC 
& PID 
CONTRACEPTION 
FAILURE. 
CONTRACEPTION 
FAILURE. 
TUBAL SURGERY 
INTRAPELVIC 
ADHESION 
AARRTT 
OOTTHHEERRSS
FACTORS FACILITATING NIDATION IN THE 
TUBE 
Increased decidual reaction. 
Tubal endometriosis.
Pictures showing TUBAL 
ABORTION
CLINICAL FEATURES 
•IN ACUTE ECTOPIC 
1.Less common, about 30% 
2.Patient profile 
3.Mode of onset 
4.Symptoms 
• Short period of 
amenorrhea 
• Abdominal pain 
• Vaginal bleeding 
• Feeling of nausea, 
vomiting, fainting attack
6. On examination: 
•Patient is conscious, perspires and looking 
blanched. 
•Pallor 
•Features of shock 
•Abdomen is tense, tumid and tender 
•Bimanual examination- 
 Blanched white vaginal 
mucosa 
 Normal size uterus 
 Uterus floats 
 Extreme tenderness in 
fornix palpation
• IN UNRUPTURED CASES-Symptoms- 
• presence of delayed period and spotting. 
• Colicky pain or uneasiness to the one side of the flank. 
Sign- 
• Bimanual examination-uterus 
is normal size, A pulsatile, firm 
small tender mass may be felt in 
the fornix.
CHRONIC OR OLD 
ECTOPIC 
• Onset is insidious 
• Symptoms- 
 Amenorrhoea 
 Lower abdominal topic 
 Vaginal bleeding 
 Other symptoms. 
• On examination. 
• Per vaginal 
• Per abdominal
On examination 
patient look ill, varying degree of pallor, 
slightly raised temperature. Features of shock 
Per abdominal 
Tenderness and muscle guard on 
the lower abdomen. 
A mass may be felt, irregular and tender. 
Per vaginal 
Vaginal mucosa pale, 
Uterus may be normal in size or bulky,
DIAGNOSIS 
““Pregnancy iinn tthhee ffaallllooppiiaann ttuubbee iiss aa 
bbllaacckk ccaatt oonn aa ddaarrkk nniigghhtt.. IItt mmaayy mmaakkee 
iittss pprreesseennccee ffeelltt iinn ssuubbttllee wwaayyss aanndd 
lleeaapp aatt yyoouu oorr iitt mmaayy sslliipp ppaasstt 
uunnoobbsseerrvveedd.. AAlltthhoouugghh iitt iiss ddiiffffiiccuulltt ttoo 
ddiissttiinngguuiisshh ffrroomm ccaattss ooff ootthheerr ccoolloouurrss 
iinn ddaarrkknneessss,, iilllluummiinnaattiioonn cclleeaarrllyy 
iiddeennttiiffiieess iitt..”” 
----MMcc.. FFaaddyyeenn -- 11998811
DIAGNOSIS 
• Patient with acute ectopic can be diagnosed clinically. 
• Blood should be drawn for Hb gm%, blood grouping and 
cross matching, DC and WBC, BT, CT. 
• Should be catheterized to know urine output. 
The investigations are 
Urine pregnancy test:- 
positive in 95% cases.
2. Culdocentesis:- (70-90%) 
- Can be done with 16-18 G lumbar 
puncture needle through posterior fornix 
into POD. 
- Positive tap is 0.5ml of non clotting blood. 
3. Ultra Sonography-a) 
Transvaginal Sonography (TVS): 
- Is more sensitive 
- It detect intrauterine gestational sac at 
4-5wks.
b) Color Doppler Sonography(TV-CDS): 
- Improve the accuracy. 
-Identify the placental 
shape(ring-of-fire pattern) and 
blood flow outside the uterine cavity. 
c) Transabdominal Sonography: 
- can identify gestational sac at 5-6 wks 
- S-β hCG level at which intrauterine 
gestational sac is seen by TAS is 1800
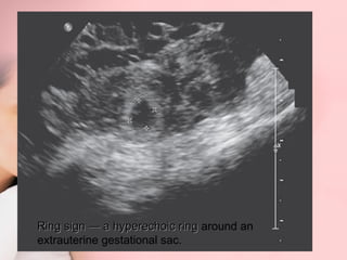
HHyyppeerreecchhooiicc rriinngg aarroouunndd 
ggeessttaattiioonnaall ssaacc iinn aaddnneexxaall rreeggiioonn
Ring sign —— a hyperechoic ring around an 
extrauterine gestational sac.
4. β-HCG Assay- 
When hCG level < 2000 IU/L doubling time 
help to predict viable Vs nonviable pregnancy. 
-Rise of β-HCG <66% in 48 hrs indicate 
ectopic pregnancy or nonviable intrauterine 
pregnancy . 
Biochemical pregnancy is applied to those 
women who have two β-HCG values >10 IU/L
5. Serum Progesterone – 
- level >25 ng/ml is suggestive of normal 
intrauterine pregnancy. 
- level <15 ng/ml is suggestive of ectopic 
pregnancy. 
- level <5 ng/ml indicates nonviable 
pregnancy, irrespective of its location. 
6. Laparoscopy (Gold standard)– 
Can be done only when patient Is haemodynamically 
stable. 
It confirms the diagnosis and removal of ectopic mass 
can be done at the same time.
DIFFERENTIAL DIAGNOSIS 
1. Rupture corpus luteum of pregnancy 
2. Twisted ovarian cyst 
3. Incomplete abortion. 
4. Acute Appendicitis. 
5. Perforated peptic ulcer. 
6. Renal colic.
MANAGEMENT
MANAGEMENT OF UNRUPTURED 
ECTOPIC PREGNANCY
MANAGEMENT 
Expectant 
management 
Medical 
management 
Surgical 
management 
Local Systemic 
(USG or Laparoscopic) 
salpingocentesis 
Methotrexate 
- Methotrexate 
- Potassium chloride 
- Prostagladin(PGF2α) 
- Hypersmolar glucose 
- Actinomycin D 
- Mifepristone 
Radical 
Salpingectomy 
Conservative 
-Salpingostomy 
-Salpingotomy 
- Segmental 
resection 
-Milking or fimbrial 
expression
EXPECTANT MANAGEMENT 
PROTOCOL: 
- Hospitalization with strict monitoring of 
clinical symptom 
- Daily Hb estimation 
- Serum β HCG monitoring 3-4 days until it 
is <10 IU/L
MEDICAL MANAGEMENT 
CANDIDATES FOR METHOTREXATE (MTX) 
 Unruptured sac < 3.5cm without cardiac activity 
 β -hCG < 10,000 IU/L 
 Persistant Ectopic after conservative surgery 
PHYSICIAN CHECK LIST 
 CBC, LFT, RFT, β -hCG 
 Transvaginal USG within 48 hrs 
 Obtain informed consent 
 Anti-D Ig if pt is Rh negative 
 Follow up on day1, 4 and 7.
MEDICAL MANAGEMENT 
METHOTREXATE: 
• Mechanism of action- 
 Methotrexate Interferes with the DNA synthesis by 
inhibiting the synthesis of pyrimidines leading to 
trophoblastic cell death. 
 Auto enzymes and maternal tissues then absorb the 
trophoblast.
Contd…… 
• Advantages – 
• Minimal Hospitalisation.Usually outdoor 
treatment 
• Quick recovery 
• 90% success if cases are properly 
selected 
• Disadvantages- 
• Side effects like GI & Skin 
• Monitoring is essential- Total blood 
count, LFT & serum HCG once weekly 
till it becomes negative
SURGICAL MANAGEMENT OF ECTOPIC 
Conservative Surgery 
Can be done Laparoscopically or by microsurgical 
laparotomy 
INDICATION: 
- Patient desires future fertility 
- Contralateral tube is damaged or surgically 
removed previously 
CHOICE OF TECHNIQUE: depends on 
- Location and size of gestational sac 
- Condition of tubes 
- Accessibility
VARIOUS CONSERVATIVE SURGERIES 
1.Linear Salpingostomy: 
- Indicated in unruptured ectopic <2cm in ampullary region. 
2. Linear Salpingotomy : 
- Incision line is closed in two layers with 7-0 interrupted 
vicryl sutures. 
3. Segmental Resection & Anastomosis: 
- Indicated in unruptured isthmic pregnancy 
- End to end anastomosis is done immediately or at later 
date
ADVANTAGES OF LAPAROSCOPY 
- It helps in diagnosis, evaluation, and treatment . 
- Diagnose other causes of infertility. 
- Decreased hospitalization, operative time, recovery period, 
analgesic requirement. 
Follow up after conservative surgery 
- With weekly Serum β HCG titre till it is negative. 
- If titre increases methotrexate can be given.
BIBLIOGRAPHY
Ectopicpregnancy final

Ectopicpregnancy final

  • 2.
    Presented By SoumyaRanjan Parida Basic B.Sc. Nursing 4th year Sum Nursing Collge .
  • 3.
  • 4.
    DEFINITION An Ectopicpregnancy is one in which the fertilized ovum is implanted and develops outside the normal uterine cavity.
  • 5.
    IMPLANTATIONS SITES EXTRAUTERINEUTERINE TUBAL 95-96% OVARIAN (0.5%) ABDOMINAL 1% -CERVICAL -ANGULAR -CORNUAL -CAESAREAN PRIMARY SECONDARY SCAR (<1) INTRAPERITO NEAL EXTRAPERITO NEAL AMPULLA ISTHMUS INFUNDIBULUM INTERSTITIAL
  • 7.
    INCIDENCE I. Increaseddue to PID, use of IUCD, Tubal surgeries, and ART. II.Ranges from 1:25 to 1:250 III. Average range is 1 in 100 normal pregnancies.
  • 8.
    TUBAL PREGNANCY •The incidence rate varies from 1 in 300 to 1 in 150 deliveries.
  • 9.
    RISK FACTORS i.History of PID ii. History of tubal ligation iii.Contraception failure iv.Previous ectopic pregnancy v. Tubal reconstructive surgery vi.History of infertility vii.ART particularly tubes are patent and damaged viii.IUD used ix.Previous induced abortion
  • 10.
    ETIOLOGY FACTORS RESPONSIBLE Factors preventing or delaying the migration of fertilized ovum to the uterine tube Factors facilitating nidation of the fertilization ovum in the tubal mucosa
  • 11.
    FACTORS DELAYING ORPREVENTING MIGRATION SALPINGITIS IATROGENIC & PID CONTRACEPTION FAILURE. CONTRACEPTION FAILURE. TUBAL SURGERY INTRAPELVIC ADHESION AARRTT OOTTHHEERRSS
  • 12.
    FACTORS FACILITATING NIDATIONIN THE TUBE Increased decidual reaction. Tubal endometriosis.
  • 15.
  • 16.
    CLINICAL FEATURES •INACUTE ECTOPIC 1.Less common, about 30% 2.Patient profile 3.Mode of onset 4.Symptoms • Short period of amenorrhea • Abdominal pain • Vaginal bleeding • Feeling of nausea, vomiting, fainting attack
  • 17.
    6. On examination: •Patient is conscious, perspires and looking blanched. •Pallor •Features of shock •Abdomen is tense, tumid and tender •Bimanual examination-  Blanched white vaginal mucosa  Normal size uterus  Uterus floats  Extreme tenderness in fornix palpation
  • 18.
    • IN UNRUPTUREDCASES-Symptoms- • presence of delayed period and spotting. • Colicky pain or uneasiness to the one side of the flank. Sign- • Bimanual examination-uterus is normal size, A pulsatile, firm small tender mass may be felt in the fornix.
  • 19.
    CHRONIC OR OLD ECTOPIC • Onset is insidious • Symptoms-  Amenorrhoea  Lower abdominal topic  Vaginal bleeding  Other symptoms. • On examination. • Per vaginal • Per abdominal
  • 20.
    On examination patientlook ill, varying degree of pallor, slightly raised temperature. Features of shock Per abdominal Tenderness and muscle guard on the lower abdomen. A mass may be felt, irregular and tender. Per vaginal Vaginal mucosa pale, Uterus may be normal in size or bulky,
  • 21.
    DIAGNOSIS ““Pregnancy iinntthhee ffaallllooppiiaann ttuubbee iiss aa bbllaacckk ccaatt oonn aa ddaarrkk nniigghhtt.. IItt mmaayy mmaakkee iittss pprreesseennccee ffeelltt iinn ssuubbttllee wwaayyss aanndd lleeaapp aatt yyoouu oorr iitt mmaayy sslliipp ppaasstt uunnoobbsseerrvveedd.. AAlltthhoouugghh iitt iiss ddiiffffiiccuulltt ttoo ddiissttiinngguuiisshh ffrroomm ccaattss ooff ootthheerr ccoolloouurrss iinn ddaarrkknneessss,, iilllluummiinnaattiioonn cclleeaarrllyy iiddeennttiiffiieess iitt..”” ----MMcc.. FFaaddyyeenn -- 11998811
  • 22.
    DIAGNOSIS • Patientwith acute ectopic can be diagnosed clinically. • Blood should be drawn for Hb gm%, blood grouping and cross matching, DC and WBC, BT, CT. • Should be catheterized to know urine output. The investigations are Urine pregnancy test:- positive in 95% cases.
  • 23.
    2. Culdocentesis:- (70-90%) - Can be done with 16-18 G lumbar puncture needle through posterior fornix into POD. - Positive tap is 0.5ml of non clotting blood. 3. Ultra Sonography-a) Transvaginal Sonography (TVS): - Is more sensitive - It detect intrauterine gestational sac at 4-5wks.
  • 24.
    b) Color DopplerSonography(TV-CDS): - Improve the accuracy. -Identify the placental shape(ring-of-fire pattern) and blood flow outside the uterine cavity. c) Transabdominal Sonography: - can identify gestational sac at 5-6 wks - S-β hCG level at which intrauterine gestational sac is seen by TAS is 1800
  • 25.
    HHyyppeerreecchhooiicc rriinngg aarroouunndd ggeessttaattiioonnaall ssaacc iinn aaddnneexxaall rreeggiioonn
  • 26.
    Ring sign ——a hyperechoic ring around an extrauterine gestational sac.
  • 27.
    4. β-HCG Assay- When hCG level < 2000 IU/L doubling time help to predict viable Vs nonviable pregnancy. -Rise of β-HCG <66% in 48 hrs indicate ectopic pregnancy or nonviable intrauterine pregnancy . Biochemical pregnancy is applied to those women who have two β-HCG values >10 IU/L
  • 28.
    5. Serum Progesterone– - level >25 ng/ml is suggestive of normal intrauterine pregnancy. - level <15 ng/ml is suggestive of ectopic pregnancy. - level <5 ng/ml indicates nonviable pregnancy, irrespective of its location. 6. Laparoscopy (Gold standard)– Can be done only when patient Is haemodynamically stable. It confirms the diagnosis and removal of ectopic mass can be done at the same time.
  • 29.
    DIFFERENTIAL DIAGNOSIS 1.Rupture corpus luteum of pregnancy 2. Twisted ovarian cyst 3. Incomplete abortion. 4. Acute Appendicitis. 5. Perforated peptic ulcer. 6. Renal colic.
  • 30.
  • 32.
    MANAGEMENT OF UNRUPTURED ECTOPIC PREGNANCY
  • 33.
    MANAGEMENT Expectant management Medical management Surgical management Local Systemic (USG or Laparoscopic) salpingocentesis Methotrexate - Methotrexate - Potassium chloride - Prostagladin(PGF2α) - Hypersmolar glucose - Actinomycin D - Mifepristone Radical Salpingectomy Conservative -Salpingostomy -Salpingotomy - Segmental resection -Milking or fimbrial expression
  • 34.
    EXPECTANT MANAGEMENT PROTOCOL: - Hospitalization with strict monitoring of clinical symptom - Daily Hb estimation - Serum β HCG monitoring 3-4 days until it is <10 IU/L
  • 35.
    MEDICAL MANAGEMENT CANDIDATESFOR METHOTREXATE (MTX)  Unruptured sac < 3.5cm without cardiac activity  β -hCG < 10,000 IU/L  Persistant Ectopic after conservative surgery PHYSICIAN CHECK LIST  CBC, LFT, RFT, β -hCG  Transvaginal USG within 48 hrs  Obtain informed consent  Anti-D Ig if pt is Rh negative  Follow up on day1, 4 and 7.
  • 36.
    MEDICAL MANAGEMENT METHOTREXATE: • Mechanism of action-  Methotrexate Interferes with the DNA synthesis by inhibiting the synthesis of pyrimidines leading to trophoblastic cell death.  Auto enzymes and maternal tissues then absorb the trophoblast.
  • 37.
    Contd…… • Advantages– • Minimal Hospitalisation.Usually outdoor treatment • Quick recovery • 90% success if cases are properly selected • Disadvantages- • Side effects like GI & Skin • Monitoring is essential- Total blood count, LFT & serum HCG once weekly till it becomes negative
  • 38.
    SURGICAL MANAGEMENT OFECTOPIC Conservative Surgery Can be done Laparoscopically or by microsurgical laparotomy INDICATION: - Patient desires future fertility - Contralateral tube is damaged or surgically removed previously CHOICE OF TECHNIQUE: depends on - Location and size of gestational sac - Condition of tubes - Accessibility
  • 39.
    VARIOUS CONSERVATIVE SURGERIES 1.Linear Salpingostomy: - Indicated in unruptured ectopic <2cm in ampullary region. 2. Linear Salpingotomy : - Incision line is closed in two layers with 7-0 interrupted vicryl sutures. 3. Segmental Resection & Anastomosis: - Indicated in unruptured isthmic pregnancy - End to end anastomosis is done immediately or at later date
  • 40.
    ADVANTAGES OF LAPAROSCOPY - It helps in diagnosis, evaluation, and treatment . - Diagnose other causes of infertility. - Decreased hospitalization, operative time, recovery period, analgesic requirement. Follow up after conservative surgery - With weekly Serum β HCG titre till it is negative. - If titre increases methotrexate can be given.
  • 42.