Embed presentation
Downloaded 360 times















































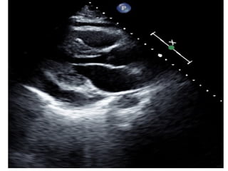
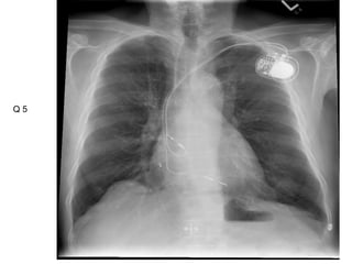
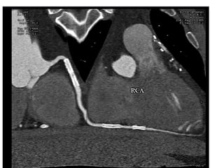
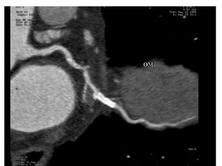
This document contains an ECG test with multiple questions and answers. It discusses cases of: 1. A 60-year-old patient with diabetes, hypertension and chest pain, showing an anterior STEMI with inferior ischemia. 2. A 55-year-old woman with shortness of breath and fatigue, showing a low-voltage ECG and echocardiogram revealing pericardial effusion due to severe hypothyroidism. 3. A 60-year-old with chest pain, showing an anteroseptal STEMI with diffuse ischemia.













































