Interpretation of Chest X-Rays
Chair Person : Dr. Muralidhar
Presenter : Dr. Akash Jain
Introduction
• Chest X-rays are the most commonly used radiographic imaging by
physicians.
• Chest X-rays should always be used in conjunction with the clinical
findings.
• Always compare with previous X-rays whenever available.
Relative Densities:
• The hierarchy of relative densities from least dense (Black) to most
dense (white) :
• Gas (air in the lungs)
• Fat (fat layer in soft tissue)
• Water (same density as heart and blood vessels)
• Bone (the most dense of the tissues)
• Metal (foreign bodies)
Factors Determine the technical quality of the
Radiograph:
• Inspiration
• Penetration property
• Rotation
Inspiration
• The chest radiograph should be obtained with the patient in full
inspiration to help assess intrapulmonary abnormalities
• At full inspiration, 6 anterior ribs, 10 posterior ribs are seen and the
right hemi-diaphragm should be observed at about the level of the 8th
to 10th rib posteriorly, or the 5th to 6th rib anteriorly.
Anatomical Part Inspiration Expiration
Superior Mediastinum Normal Magnified
Trachea Straight May be buckled
Heart Normal size Magnified
Lungs Fully expanded Partially expanded
Broncho-vascular markings Well spread out Crowded
Diaphragm Lowest Highest
Rib Cage Anterior ends lower Anterior and posterior same
level
Lung Volume Normal Reduced
Penetration Property
• On a properly exposed chest radiograph:
• The lower thoracic vertebrae should be visible through the heart
• The broncho vascular structures behind the heart(trachea, aortic
arch, pulmonary arteries, etc.) should be seen.
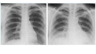
Underexposure
In an under exposed
chest radiograph, the
cardiac shadow is
opaque, with little or no
visibility of the thoracic
vertebrae.
The lungs may appear
much denser and whiter,
gives appearance of
infiltrates.
Overexposed
With greater exposure of the
chest radiograph, the heart
becomes more radiolucent
and the lungs become
proportionately darker.
Often gives the appearance
of lacking lung tissue, as
would be seen in a condition
such as emphysema.
Rotation
• Patient rotation can be assessed by observing the clavicular heads
and determining whether they are equal distance from the spinous
processes of the thoracic vertebral bodies.
Chest X-Ray Views
1. Posterior-anterior(PA)
2. Lateral
3. Anterior-posterior(AP)
4. Lateral Decubitus
Posterior-anterior (PA) Position
• The standard position for obtaining a routine adult chest radiograph
• Patient stands upright with the anterior wall of chest placed against
the front of the film
• The shoulders are rotated forward enough to touch the film, ensuring
that the scapulae do not obscure a portion of the lung field
• Usually taken with the patient in full inspiration
• The PA film is viewed as if the patient is standing in front of you
Anterior-Posterior (AP) Position
• Used when the patient is debilitated, immobilized, or unable to
cooperate with the PA procedure
• Film is placed behind the patient’s back with the patient in a supine
position
• Heart is at a greater distance from the film hence appear more
magnified than in a PA
• The scapulae are usually visible in the lung fields because they are not
rotated out of the view as they are in a PA
Parameter PA View AP View
Position Erect Supine
Patient’s hands On hips Along the sides
Scapula Away from lung
fields
Over the lung
fields
Clavicle Project over the
lung fields
Project above
lung apices
Ribs Posterior ribs
are distinct
Anterior ribs are
distinct
Marker PA AP
Lateral Position
• Patient stands upright with the left side of the chest against the film
and the arms raised over the head
• Allows the viewer to see behind the heart and diaphragmatic dome
• Typically used in conjunction with a PA view of the same side of chest
to help determine the three-dimensional position of organs or
abnormal densities
Lateral Decubitus Position
• The patient lies on either the right or left side rather than in the
standing position as with a regular lateral radiograph
• The radiograph is labeled according to the side that is placed down (a
left lateral decubitus radiograph would have the patient's left side
down against the film
• Often useful in revealing a pleural effusion that cannot be easily
observed in an upright view, since the effusion will collect in the
dependent position
Approach : ABCDEFGHI
AIRWAY
BONES & SOFT TISSUES
CARDIA
CARDIAC SITUS
LEVOCARDIA DEXTROCARDIA MESOCARDIA
Normal cardiac contour (PA view and
Lateral view)
CT Ratio - Cardiomegaly
Adults >0.50
Neonates >0.60
AP film >0.57
LA enlargement
Shadow in shadow – early sign
Straightening of left heart border
Elevation of left main bronchus
Splaying of carina (>600
.
)
RA enlargement
Right border >5.5cms from midline or 3.5cms
from right sternal border
Spans > 2½ intercostal spaces in its vertical
extent
Exceeds 1/3rd the total diameter of heart
>50% vertical height compared with
mediastinal height
LV enlargement (PA view)
• LV apex forms an obtuse angle
with the diaphragm
• Increased CT ratio
LV hypertrophy (PA view)
• LV hypertrophy causes only a
rounded contour of LV border
• Shmoo sign
RV enlargement (PA view)
Overall increase in cardiac shadow with a
triangular configuration
Tilting-up and posterior displacement of LV
Apex forms an acute angle with diaphragm
RV enlargement (Lateral view)
• Sternal contact sign :
Earliest and most
sensitive sign
• Obliteration of
Holtzneck’s space
NORMAL
Pulmonary vascularity
 Normal
 Increased pulmonary blood flow (Plethora)
 Decreased pulmonary blood flow (Oligemia)
 Pulmonary venous hypertension
 Pulmonary arterial hypertension
Normal pulmonary vasculature
1
2
3
1) RDPA <17mm
2) Larger lower lobe vessels
3) Gradual tapering of vessels from
centre to periphery
Pulmonary Plethora
≥3 end on view in one lung field or ≥5 in both lung fields
Pulmonary Oligemia
Hilar, lobar, and segmental
pulmonary arteries appear small
Concave or absent main
pulmonary artery segment
Lung fields have an overexposed
or emphysema like appearance
Pulmonary Venous Hypertension
GRADE 1 (Cephalisation - Deer Antler Sign)
GRADE 2 (Interstitial edema – Kerley B lines)
GRADE 2 (Interlobar effusion – Phantom tumor)
GRADE 3- Alveolar edema (Bat Wing appearance)
Grades of PVH
Grade Stage X ray Finding PCWP
I Cephalisation
Deer Antler Sign,
Inverted moustache
sign
12-18 mmHg
II Interstitial edema Kerley B lines
19-25 mmHg
III Alveolar edema Bat wing appearance >25 mmHg
Pulmonary Arterial Hypertension
Enlargement of the pulmonary trunk and main
pulmonary arteries
Disproportionately small peripheral vessels
Oligemic lungs
Prune tree appearance
Pericardial Effusion
Pulmonary Embolism
DIAPHRAGM
EFFUSIONS
Pneumothorax
Hydro pneumothorax
F-Lung Fields
• Normally, there are visible markings throughout the lungs
due to the pulmonary arteries and veins, continuing all the
way to the chest wall.
• Both lungs should be scanned, starting at the apices and
working downward, comparing the left and right lung fields
at the same level.
F-Lung Fields
Lungs
• On a PA radiograph, the minor fissure can often be seen as a faint
horizontal line dividing the RML from the RUL.
• The major fissures are not usually seen on a PA view because they
are being viewed obliquely.
Lobar anatomy
Lobar anatomy …
Hidden areas…
AIR BRONCHOGRAM SIGN
• When the internal tubular outline of a bronchus is visible within a
thoracic opacity...that is an air bronchogram.
• It is most commonly associated with a simple pneumonia. Sometimes
it occurs with pulmonary oedema.
The Cardiac density
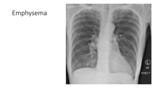
Chronic Bronchitis
Emphysema
Lung Apices
Peripheral Opacities
H-Hilum and mediastinum
H-Hilum and mediastinum
• The hila consist primarily of the major bronchi and the
pulmonary veins and arteries.
• The hila are not symmetrical, but contain the same basic
structures on each side.
• The hila may be at the same level, but the left hilum is commonly
higher than the right.
• Both hila should be of similar size and density
HILUM CONVERGENCE SIGN
HILUM OVERLAY SIGN
DESCENDING PULMONARY ARTERIES
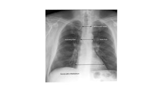
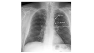
Mediastinum
• The trachea should be centrally located or slightly to the right
• The aortic arch is the first convexity on the left side of the
mediastinum
• The pulmonary artery is the next convexity on the left, and the
branches should be traceable as it fans out through the lungs
• The lateral margin of the superior vena cava lies above the right heart
border
Mediastinum
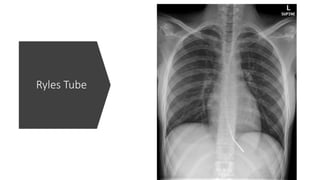
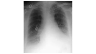
ICU – Tubes and Lines
Ryles Tube
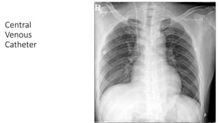
Central
Venous
Catheter
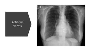
Artificial
Valves
PREVIOUS CXR
• Previous CXRS your best friend. You see a real or possible abnormality
on the CXR.
• Was it there before? Has it got larger or smaller? Is it unchanged?
• A previous CXR will often highlight an important but subtle change.
• On the other hand it will frequently provide reassurance that all is
well.
Take Home Message
THORACO-ABDOMINAL SIGN
CERVICO–THORACIC SIGN
SPINE SIGN – POSTERIOR MEDIASTINAL MASS
SUBCARINAL ANGLE
UNILATERAL HYPERTRANSRADIANCY

Chest X rays.pptx

  • 1.
    Interpretation of ChestX-Rays Chair Person : Dr. Muralidhar Presenter : Dr. Akash Jain
  • 2.
    Introduction • Chest X-raysare the most commonly used radiographic imaging by physicians. • Chest X-rays should always be used in conjunction with the clinical findings. • Always compare with previous X-rays whenever available.
  • 3.
    Relative Densities: • Thehierarchy of relative densities from least dense (Black) to most dense (white) : • Gas (air in the lungs) • Fat (fat layer in soft tissue) • Water (same density as heart and blood vessels) • Bone (the most dense of the tissues) • Metal (foreign bodies)
  • 5.
    Factors Determine thetechnical quality of the Radiograph: • Inspiration • Penetration property • Rotation
  • 6.
    Inspiration • The chestradiograph should be obtained with the patient in full inspiration to help assess intrapulmonary abnormalities • At full inspiration, 6 anterior ribs, 10 posterior ribs are seen and the right hemi-diaphragm should be observed at about the level of the 8th to 10th rib posteriorly, or the 5th to 6th rib anteriorly.
  • 7.
    Anatomical Part InspirationExpiration Superior Mediastinum Normal Magnified Trachea Straight May be buckled Heart Normal size Magnified Lungs Fully expanded Partially expanded Broncho-vascular markings Well spread out Crowded Diaphragm Lowest Highest Rib Cage Anterior ends lower Anterior and posterior same level Lung Volume Normal Reduced
  • 9.
    Penetration Property • Ona properly exposed chest radiograph: • The lower thoracic vertebrae should be visible through the heart • The broncho vascular structures behind the heart(trachea, aortic arch, pulmonary arteries, etc.) should be seen.
  • 10.
    Underexposure In an underexposed chest radiograph, the cardiac shadow is opaque, with little or no visibility of the thoracic vertebrae. The lungs may appear much denser and whiter, gives appearance of infiltrates.
  • 11.
    Overexposed With greater exposureof the chest radiograph, the heart becomes more radiolucent and the lungs become proportionately darker. Often gives the appearance of lacking lung tissue, as would be seen in a condition such as emphysema.
  • 12.
    Rotation • Patient rotationcan be assessed by observing the clavicular heads and determining whether they are equal distance from the spinous processes of the thoracic vertebral bodies.
  • 16.
    Chest X-Ray Views 1.Posterior-anterior(PA) 2. Lateral 3. Anterior-posterior(AP) 4. Lateral Decubitus
  • 17.
    Posterior-anterior (PA) Position •The standard position for obtaining a routine adult chest radiograph • Patient stands upright with the anterior wall of chest placed against the front of the film • The shoulders are rotated forward enough to touch the film, ensuring that the scapulae do not obscure a portion of the lung field • Usually taken with the patient in full inspiration • The PA film is viewed as if the patient is standing in front of you
  • 19.
    Anterior-Posterior (AP) Position •Used when the patient is debilitated, immobilized, or unable to cooperate with the PA procedure • Film is placed behind the patient’s back with the patient in a supine position • Heart is at a greater distance from the film hence appear more magnified than in a PA • The scapulae are usually visible in the lung fields because they are not rotated out of the view as they are in a PA
  • 22.
    Parameter PA ViewAP View Position Erect Supine Patient’s hands On hips Along the sides Scapula Away from lung fields Over the lung fields Clavicle Project over the lung fields Project above lung apices Ribs Posterior ribs are distinct Anterior ribs are distinct Marker PA AP
  • 24.
    Lateral Position • Patientstands upright with the left side of the chest against the film and the arms raised over the head • Allows the viewer to see behind the heart and diaphragmatic dome • Typically used in conjunction with a PA view of the same side of chest to help determine the three-dimensional position of organs or abnormal densities
  • 26.
    Lateral Decubitus Position •The patient lies on either the right or left side rather than in the standing position as with a regular lateral radiograph • The radiograph is labeled according to the side that is placed down (a left lateral decubitus radiograph would have the patient's left side down against the film • Often useful in revealing a pleural effusion that cannot be easily observed in an upright view, since the effusion will collect in the dependent position
  • 30.
  • 31.
  • 32.
    BONES & SOFTTISSUES
  • 36.
  • 37.
  • 38.
    Normal cardiac contour(PA view and Lateral view)
  • 40.
    CT Ratio -Cardiomegaly Adults >0.50 Neonates >0.60 AP film >0.57
  • 42.
    LA enlargement Shadow inshadow – early sign Straightening of left heart border Elevation of left main bronchus Splaying of carina (>600 . )
  • 43.
    RA enlargement Right border>5.5cms from midline or 3.5cms from right sternal border Spans > 2½ intercostal spaces in its vertical extent Exceeds 1/3rd the total diameter of heart >50% vertical height compared with mediastinal height
  • 44.
    LV enlargement (PAview) • LV apex forms an obtuse angle with the diaphragm • Increased CT ratio
  • 45.
    LV hypertrophy (PAview) • LV hypertrophy causes only a rounded contour of LV border • Shmoo sign
  • 46.
    RV enlargement (PAview) Overall increase in cardiac shadow with a triangular configuration Tilting-up and posterior displacement of LV Apex forms an acute angle with diaphragm
  • 47.
    RV enlargement (Lateralview) • Sternal contact sign : Earliest and most sensitive sign • Obliteration of Holtzneck’s space NORMAL
  • 48.
    Pulmonary vascularity  Normal Increased pulmonary blood flow (Plethora)  Decreased pulmonary blood flow (Oligemia)  Pulmonary venous hypertension  Pulmonary arterial hypertension
  • 49.
    Normal pulmonary vasculature 1 2 3 1)RDPA <17mm 2) Larger lower lobe vessels 3) Gradual tapering of vessels from centre to periphery
  • 50.
    Pulmonary Plethora ≥3 endon view in one lung field or ≥5 in both lung fields
  • 51.
    Pulmonary Oligemia Hilar, lobar,and segmental pulmonary arteries appear small Concave or absent main pulmonary artery segment Lung fields have an overexposed or emphysema like appearance
  • 52.
  • 53.
    GRADE 1 (Cephalisation- Deer Antler Sign)
  • 54.
    GRADE 2 (Interstitialedema – Kerley B lines)
  • 55.
    GRADE 2 (Interlobareffusion – Phantom tumor)
  • 56.
    GRADE 3- Alveolaredema (Bat Wing appearance)
  • 57.
    Grades of PVH GradeStage X ray Finding PCWP I Cephalisation Deer Antler Sign, Inverted moustache sign 12-18 mmHg II Interstitial edema Kerley B lines 19-25 mmHg III Alveolar edema Bat wing appearance >25 mmHg
  • 58.
    Pulmonary Arterial Hypertension Enlargementof the pulmonary trunk and main pulmonary arteries Disproportionately small peripheral vessels Oligemic lungs Prune tree appearance
  • 59.
  • 60.
  • 61.
  • 62.
  • 66.
  • 67.
  • 68.
    F-Lung Fields • Normally,there are visible markings throughout the lungs due to the pulmonary arteries and veins, continuing all the way to the chest wall. • Both lungs should be scanned, starting at the apices and working downward, comparing the left and right lung fields at the same level.
  • 69.
  • 70.
    Lungs • On aPA radiograph, the minor fissure can often be seen as a faint horizontal line dividing the RML from the RUL. • The major fissures are not usually seen on a PA view because they are being viewed obliquely.
  • 71.
  • 72.
  • 73.
  • 74.
    AIR BRONCHOGRAM SIGN •When the internal tubular outline of a bronchus is visible within a thoracic opacity...that is an air bronchogram. • It is most commonly associated with a simple pneumonia. Sometimes it occurs with pulmonary oedema.
  • 76.
  • 77.
  • 78.
  • 88.
  • 89.
  • 90.
  • 91.
    H-Hilum and mediastinum •The hila consist primarily of the major bronchi and the pulmonary veins and arteries. • The hila are not symmetrical, but contain the same basic structures on each side. • The hila may be at the same level, but the left hilum is commonly higher than the right. • Both hila should be of similar size and density
  • 92.
  • 93.
  • 94.
  • 95.
    Mediastinum • The tracheashould be centrally located or slightly to the right • The aortic arch is the first convexity on the left side of the mediastinum • The pulmonary artery is the next convexity on the left, and the branches should be traceable as it fans out through the lungs • The lateral margin of the superior vena cava lies above the right heart border
  • 97.
  • 100.
    ICU – Tubesand Lines
  • 101.
  • 102.
  • 103.
  • 104.
    PREVIOUS CXR • PreviousCXRS your best friend. You see a real or possible abnormality on the CXR. • Was it there before? Has it got larger or smaller? Is it unchanged? • A previous CXR will often highlight an important but subtle change. • On the other hand it will frequently provide reassurance that all is well.
  • 105.
  • 106.
  • 107.
  • 108.
    SPINE SIGN –POSTERIOR MEDIASTINAL MASS
  • 109.
  • 110.