Pulmonary angiography and
its application
Dr.Pankaj Kaira
JR-I Radiodiagnosis
SRMSIMS, Bareilly India
• Describe the techniques used to improve the
quality of MD-CTPA
• Illustrate the diagnostic criteria of chronic and
acute pulmonary emboli
• Illustrate common artifacts and pitfalls in
imaging and diagnosis
Pulmonary embolism is the third most
common acute cardiovascular disease
after myocardial infarction and stroke and
results in thousands of deaths each year
because it often goes undetected .
 Diagnostic tests for thromboembolic disease
include
(a) the D-dimer assay, which has a high sensitivity
but poor specificity in this setting
(b) ventilation-perfusion scintigraphy, which has a
high sensitivity but very poor specificity and
(c) lower limb ultrasonography, which has a high
specificity but low sensitivity .
(CT) pulmonary angiography is becoming the
standard of care for the evaluation of patients with
suspected pulmonary embolism
• Godwin et all in 1980 were the first to describe
pulmonary embolism on contrast-enhanced CT
• CTPA has now become the test of choice and
de facto standard of care
• Thin slice MD-CTA has been shown in recent
studies to have a sensitivity of 90-100% and
specificity of 89-94%, using angiography as
the gold standard
• Pt. lies supine, with arms up
• 80-100cc Optiray 370 (370 mgI/ml) is injected into
antecubital vein using 18 or 20g iv.
• Injection rate 4cc/sec
• Test bolus 20cc at 4cc/sec
• Scan delay = time to peak + 5 seconds
– Usually 20-25 seconds
• Total scan time for typical pt under 10 seconds
Parameter Value
Number of Acquisitions 1
Oral Contrast None
First Acquisition
Landmarks Thoracic inlet to lowest diaphragm
IV Contrast yes
Volume 60 cc
Injection Rate 4.0mL/sec
Dual Injection yes, 30mL normal saline chase
Timing Bolus Main PA, using 10mL contrast
Delay time to peak + 5 seconds
Slice thickness 0.625mm
Pitch 1.375
Table speed 27.5
Reconstruction interval 0.625mm
Noise index 11.57
Algorithm standard
Reconstruction coronal, axial 10mm MIPS; 2.5mm lung and standard
• Complete arterial occlusion with failure to
opacify vessel lumen. Artery may be enlarged
as compared to others of the same order
• Central filling defect surrounded by contrast
producing the “polo mint” sign on images
acquired perpendicular to the long axis of a
vessel and the “railway track” sign on
longitudinal images of the vessel
• Peripheral intraluminal filling defect that
makes an acute angle with the arterial wall
Acute
angles
 Peripheral wedge-shaped areas of
hyperattenuation that may represent infarcts,
along with linear bands, have been
demonstrated to be statistically significant
ancillary findings associated with acute
pulmonary embolism.
 However, these radiologic features are not
specific for pulmonary embolism.
 If findings in the pulmonary arteries are
indeterminate and the lungs are clear,
ventilation-perfusion scintigraphy may be
performed.
Right Sided Heart Failure
• RV dilatation with or
without contrast reflux into
the hepatic veins
• Deviation of the
interventricular septum
toward the LV
• Pulmonary embolism
index greater than 60%
 Right ventricular strain or failure is optimally monitored with echocardiography.
• Complete occlusion of vessel that is smaller than others of
same order of branching
• Peripheral crescent shaped intraluminal filling defect that
makes obtuse angles with the vessel wall
• Contrast flowing through vessels that appear thick-walled often
smaller arteries due to recanalization
• A web or flap within a contrast material–filled artery
• Secondary signs, including extensive bronchial or other systemic
collateral vessels, an accompanying mosaic perfusion pattern ,
or calcification within eccentric vessel thickening
Obtuse
angles
Patient-related Factors.
 Respiratory Motion Artifact.
 Image Noise.
 Pulmonary Artery Catheter.
 Flow-related Artifact.
Technical Factors.
 Window Settings.
 Streak Artifact.
 Lung Algorithm Artifact.
 Partial Volume Artifact.
 Stair Step Artifact.
Anatomic Factors.
• Partial Volume Averaging Effect
in Lymph Nodes.
• Vascular Bifurcation.
• Misidentification of Veins.
Pathologic Factors.
• Mucus Plug.
• Perivascular Edema.
• Localized Increase in Vascular
Resistance.
• Pulmonary Artery Stump In Situ
Thrombosis.
• Primary Pulmonary Artery
Sarcoma.
• Tumor Emboli.
 Respiratory motion artifacts are the most
common cause of indeterminate CT
pulmonary angiography and can cause
misdiagnosis of pulmonary embolism. These
artifacts are best seen with lung window
settings and can create the “seagull” sign
Image inferior to superior
 Avoid exaggerated hyperventilation techniques
 Technologist training
 Less of an issue with quick MD-CTPA techniques
 Bilateral lower lobe flow-related artifacts due to poor
mixture of blood and contrast material can cause
transient interruption of contrast enhancement.
 Transient interruption of contrast enhancement is likely
related to inspiration and to unenhanced blood
entering the right atrium, right ventricle, and pulmonary
arteries from the inferior vena cava just prior to image
acquisition.
 A flow-related artifact can be confidently diagnosed by
identifying its ill-defined margins and by demonstrating
an attenuation level above 78 HU.
 As CT scanners become faster, delaying initial image
acquisition until approximately 5 seconds after
inspiration should allow the transient interruption in
contrast material to pass through the pulmonary
circulation
•
•
•
Transient interruption of
flow-column of contrast
agent due to increased
unopacified blood flow from
IVC
Interface between high and
low attenuation areas ill-
defined
Limit pre-scan
hyperventilation techniques
• Localized increase in vascular resistance
– Atelectasis, consolidation
• Focal slow flow may mimic PE
• Similar appearance to other flow artifacts
• High injection rate (4cc/sec) with uniphase injection bolus
preferred method. This allows a high intensity of contrast
enhancement in the pulmonary arterial system.
• Two components; first pass and recirculation
– First pass optimized by concentration of iodine (370mg
I/mL)
– Recirculation depends on injection duration
• If an indeterminate scans
still occurs due to poor
enhancement and there is no
contrast extravasation and
the timing was adequately
compensated, there then is
likely poor venous flow
from stenosis or obstruction
– We consider repeat CTPA
after hydration or another test
Images obtained in large patients have
more quantum mottle.
Image noise makes the evaluation of
segmental and subsegmental vessels
difficult and can cause indeterminate CT
pulmonary angiography and misdiagnosis
of pulmonary embolism
• Image noise
– Increase radiation dose
– Increase reconstruction width to 2.5mm
• Contrast volume
– May need to increase volume in patients over
250lbs to adequately opacify pulmonary arteries
(up to 130mL of 370mg I/mL).
• Contrast column in SVC
may cause attenuation
artifacts in
subsegmental
pulmonary arteries
• Proper timing with
added recirculation
effect, saline chasers
ameliorate this effect
 The lung algorithm
• A high-spatial-frequency reconstruction convolution kernel
• Used to improve the quality of images of the pulmonary vessels,
bronchi, and interstitium.
 This algorithm can create image artifacts that appear similar
to pulmonary emboli.
 However, these artifacts can be removed with a standard
algorithm
Stair step artifact consists of low-
attenuation lines seen traversing a vessel
on coronal and sagittal reformatted images
and is accentuated by cardiac and
respiratory motion.
This artifact can be eliminated or reduced
by reconstructing the raw data with a 50%
overlap prior to three-dimensional image
reconstruction.
 Hilar lymph nodes : upper lobe, interlobe, middle
lobe (lingular), and lower lobe groups.
 The location of lymph nodes are varies among
patients.
 With a 1.25-mm detector width, lymphatic tissue
can be more easily distinguished from PE than 5
mm detector width.
 Lymphatic tissue is extramural lesion.
 The review of sagittal and coronal reformatted
images can help in difficult cases.
On axial images, vascular bifurcations may
simulate linear filling defects .
Sagittal and coronal reformatted images
can help identify these normal anatomic
structures.
False filling defects may be demonstrated
within the pulmonary veins.
Generally, arteries course adjacent to the
corresponding bronchi, with the exception
of the apical-posterior segment of the left
upper lobe and the lingular arteries.
CT scan shows unenhanced pulmonary veins (arrows), which can mimic complete
occlusive pulmonary embolism. However, this pitfall can be recognized by observing
veins on contiguous images to the level of the right atrium.
A mucus plug within a bronchus, which
may also demonstrate peripheral wall
enhancement related to inflammation, can
mimic acute pulmonary embolism.
In addition, viewing the bronchus on
contiguous images will demonstrate the
true nature of the artifact.
 Peribrochovascular interstitial thickening from
heart failure can mimics PE.
Accompanying CT findings in heart failure
• Diffuse ground-glass attenuation
• Interlobular septal thickening
• Diffuse peribronchovascular interstitial thickening
• Bilateral pleural effusions.
Left-sided heart failure in a 56-year-old woman with dyspnea.
(a) CT scan shows peribronchovascular interstitial thickening caused by perivascular edema (arrow), a finding
that can mimic chronic pulmonary embolism.
(b) CT scan (lung window) demonstrates the accompanying findings of diffuse peribronchovascular
thickening, ground-glass attenuation, smooth interlobular septal thickening (arrows), and bilateral pleural
effusions. These findings indicate the true nature of the patient’s condition.
 A focal increase in vascular resistance from
consolidation or atelectasis.
 The unenhanced vessel may be normal
 The poor contrast enhancement may obscure
thrombus.
 A region of-interest measurement may be helpful
if the attenuation is greater than 78 HU.
 Further imaging may be necessary, consisting of
either repeat CT pulmonary angiography with an
increased delay or pulmonary angiography.
Intravascular thrombosis can identified in a
pulmonary artery stump.
The criteria for in situ thrombus include
• Thrombus at the surgical site only.
• Absence of other pulmonary artery thrombi
remote from the stump site.
Pulmonary artery stump in situ thrombosis in a 69-year-old man who had undergone right
pneumonectomy for lung cancer. CT scan demonstrates pulmonary artery stump in situ
thrombosis that affects the right pulmonary artery (arrow).
Primary pulmonary artery sarcoma
• An uncommon cause of an intraluminal arterial
filling defect.
• Unilateral, lobulated, heterogeneously enhancing
masses at CT.
• May demonstrate vascular distention and local
extravascular spread.
• Acute angle and enhancement.
Pulmonary artery sarcoma in a 65-year old woman with dyspnea. Contrast-enhanced
CT scan shows a heterogeneously enhancing, lobulated mass within the main
pulmonary artery (arrow). A metastatic deposit is noted within the right pulmonary artery
(arrowhead).
In a review of microscopic pulmonary
tumor emboli associated with dyspnea,
Kane et al found that
• Most common causes: CA prostate and CA
breast.
• Followed by hepatoma, CA stomach and
pancreas.
 Manifestations of tumor emboli at CT include
• Large emboli in the main, lobar, and segmental
pulmonary arteries, mimic PE.
• Small tumor emboli that affect subsegmental arteries
and produce vascular dilatation and beading that
increases in size over time
• Small tumor emboli that affect secondary pulmonary
lobule arterioles and have a tree-in-bud appearance.
Common : small tumor emboli leading to
progressive dyspnea and subacute
pulmonary HT.
Rare : larged tumor emboli.
Tumor embolus in a 78-year-old woman with dyspnea and endometrial stromal
sarcoma that invaded the inferior vena cava. CT scan shows a large tumor embolus
within the right lower lobe pulmonary artery (arrow).
Tumor emboli in a 60-year-old man with dyspnea and primary renal cell carcinoma.
vascular dilatation and beading of
subsegmental arteries
tree-in-bud appearance
• Reasons?
– Can they be resolved with a repeat CTPA with
appropriate modifications to the protocol?
• Level?
– To what level is the study indeterminate?
– If subsegmental and clinical pretest probability
low, further imaging may not be required.
• Consider U/S, V/Q or pulmonary angiography
• CTPA has become the test of choice and de
facto standard of care for diagnosis of PE
• Diagnostic criteria for the appearance of acute
and chronic clot are well established
• The indeterminate CTPA study can be limited
with proper technique and an understanding of
common imaging pitfalls and artifacts
Thank You

Pulmonary angiography

  • 1.
    Pulmonary angiography and itsapplication Dr.Pankaj Kaira JR-I Radiodiagnosis SRMSIMS, Bareilly India
  • 2.
    • Describe thetechniques used to improve the quality of MD-CTPA • Illustrate the diagnostic criteria of chronic and acute pulmonary emboli • Illustrate common artifacts and pitfalls in imaging and diagnosis
  • 3.
    Pulmonary embolism isthe third most common acute cardiovascular disease after myocardial infarction and stroke and results in thousands of deaths each year because it often goes undetected .
  • 4.
     Diagnostic testsfor thromboembolic disease include (a) the D-dimer assay, which has a high sensitivity but poor specificity in this setting (b) ventilation-perfusion scintigraphy, which has a high sensitivity but very poor specificity and (c) lower limb ultrasonography, which has a high specificity but low sensitivity . (CT) pulmonary angiography is becoming the standard of care for the evaluation of patients with suspected pulmonary embolism
  • 6.
    • Godwin etall in 1980 were the first to describe pulmonary embolism on contrast-enhanced CT • CTPA has now become the test of choice and de facto standard of care • Thin slice MD-CTA has been shown in recent studies to have a sensitivity of 90-100% and specificity of 89-94%, using angiography as the gold standard
  • 7.
    • Pt. liessupine, with arms up • 80-100cc Optiray 370 (370 mgI/ml) is injected into antecubital vein using 18 or 20g iv. • Injection rate 4cc/sec • Test bolus 20cc at 4cc/sec • Scan delay = time to peak + 5 seconds – Usually 20-25 seconds • Total scan time for typical pt under 10 seconds
  • 8.
    Parameter Value Number ofAcquisitions 1 Oral Contrast None First Acquisition Landmarks Thoracic inlet to lowest diaphragm IV Contrast yes Volume 60 cc Injection Rate 4.0mL/sec Dual Injection yes, 30mL normal saline chase Timing Bolus Main PA, using 10mL contrast Delay time to peak + 5 seconds Slice thickness 0.625mm Pitch 1.375 Table speed 27.5 Reconstruction interval 0.625mm Noise index 11.57 Algorithm standard Reconstruction coronal, axial 10mm MIPS; 2.5mm lung and standard
  • 9.
    • Complete arterialocclusion with failure to opacify vessel lumen. Artery may be enlarged as compared to others of the same order • Central filling defect surrounded by contrast producing the “polo mint” sign on images acquired perpendicular to the long axis of a vessel and the “railway track” sign on longitudinal images of the vessel • Peripheral intraluminal filling defect that makes an acute angle with the arterial wall
  • 10.
  • 13.
     Peripheral wedge-shapedareas of hyperattenuation that may represent infarcts, along with linear bands, have been demonstrated to be statistically significant ancillary findings associated with acute pulmonary embolism.  However, these radiologic features are not specific for pulmonary embolism.  If findings in the pulmonary arteries are indeterminate and the lungs are clear, ventilation-perfusion scintigraphy may be performed.
  • 15.
    Right Sided HeartFailure • RV dilatation with or without contrast reflux into the hepatic veins • Deviation of the interventricular septum toward the LV • Pulmonary embolism index greater than 60%  Right ventricular strain or failure is optimally monitored with echocardiography.
  • 16.
    • Complete occlusionof vessel that is smaller than others of same order of branching • Peripheral crescent shaped intraluminal filling defect that makes obtuse angles with the vessel wall • Contrast flowing through vessels that appear thick-walled often smaller arteries due to recanalization • A web or flap within a contrast material–filled artery • Secondary signs, including extensive bronchial or other systemic collateral vessels, an accompanying mosaic perfusion pattern , or calcification within eccentric vessel thickening
  • 17.
  • 20.
    Patient-related Factors.  RespiratoryMotion Artifact.  Image Noise.  Pulmonary Artery Catheter.  Flow-related Artifact. Technical Factors.  Window Settings.  Streak Artifact.  Lung Algorithm Artifact.  Partial Volume Artifact.  Stair Step Artifact. Anatomic Factors. • Partial Volume Averaging Effect in Lymph Nodes. • Vascular Bifurcation. • Misidentification of Veins. Pathologic Factors. • Mucus Plug. • Perivascular Edema. • Localized Increase in Vascular Resistance. • Pulmonary Artery Stump In Situ Thrombosis. • Primary Pulmonary Artery Sarcoma. • Tumor Emboli.
  • 22.
     Respiratory motionartifacts are the most common cause of indeterminate CT pulmonary angiography and can cause misdiagnosis of pulmonary embolism. These artifacts are best seen with lung window settings and can create the “seagull” sign Image inferior to superior  Avoid exaggerated hyperventilation techniques  Technologist training  Less of an issue with quick MD-CTPA techniques
  • 24.
     Bilateral lowerlobe flow-related artifacts due to poor mixture of blood and contrast material can cause transient interruption of contrast enhancement.  Transient interruption of contrast enhancement is likely related to inspiration and to unenhanced blood entering the right atrium, right ventricle, and pulmonary arteries from the inferior vena cava just prior to image acquisition.  A flow-related artifact can be confidently diagnosed by identifying its ill-defined margins and by demonstrating an attenuation level above 78 HU.  As CT scanners become faster, delaying initial image acquisition until approximately 5 seconds after inspiration should allow the transient interruption in contrast material to pass through the pulmonary circulation
  • 26.
    • • • Transient interruption of flow-columnof contrast agent due to increased unopacified blood flow from IVC Interface between high and low attenuation areas ill- defined Limit pre-scan hyperventilation techniques
  • 27.
    • Localized increasein vascular resistance – Atelectasis, consolidation • Focal slow flow may mimic PE • Similar appearance to other flow artifacts
  • 28.
    • High injectionrate (4cc/sec) with uniphase injection bolus preferred method. This allows a high intensity of contrast enhancement in the pulmonary arterial system. • Two components; first pass and recirculation – First pass optimized by concentration of iodine (370mg I/mL) – Recirculation depends on injection duration
  • 29.
    • If anindeterminate scans still occurs due to poor enhancement and there is no contrast extravasation and the timing was adequately compensated, there then is likely poor venous flow from stenosis or obstruction – We consider repeat CTPA after hydration or another test
  • 30.
    Images obtained inlarge patients have more quantum mottle. Image noise makes the evaluation of segmental and subsegmental vessels difficult and can cause indeterminate CT pulmonary angiography and misdiagnosis of pulmonary embolism
  • 31.
    • Image noise –Increase radiation dose – Increase reconstruction width to 2.5mm • Contrast volume – May need to increase volume in patients over 250lbs to adequately opacify pulmonary arteries (up to 130mL of 370mg I/mL).
  • 32.
    • Contrast columnin SVC may cause attenuation artifacts in subsegmental pulmonary arteries • Proper timing with added recirculation effect, saline chasers ameliorate this effect
  • 33.
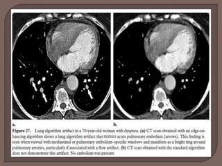
     The lungalgorithm • A high-spatial-frequency reconstruction convolution kernel • Used to improve the quality of images of the pulmonary vessels, bronchi, and interstitium.  This algorithm can create image artifacts that appear similar to pulmonary emboli.  However, these artifacts can be removed with a standard algorithm
  • 35.
    Stair step artifactconsists of low- attenuation lines seen traversing a vessel on coronal and sagittal reformatted images and is accentuated by cardiac and respiratory motion. This artifact can be eliminated or reduced by reconstructing the raw data with a 50% overlap prior to three-dimensional image reconstruction.
  • 37.
     Hilar lymphnodes : upper lobe, interlobe, middle lobe (lingular), and lower lobe groups.  The location of lymph nodes are varies among patients.  With a 1.25-mm detector width, lymphatic tissue can be more easily distinguished from PE than 5 mm detector width.  Lymphatic tissue is extramural lesion.  The review of sagittal and coronal reformatted images can help in difficult cases.
  • 39.
    On axial images,vascular bifurcations may simulate linear filling defects . Sagittal and coronal reformatted images can help identify these normal anatomic structures.
  • 41.
    False filling defectsmay be demonstrated within the pulmonary veins. Generally, arteries course adjacent to the corresponding bronchi, with the exception of the apical-posterior segment of the left upper lobe and the lingular arteries.
  • 42.
    CT scan showsunenhanced pulmonary veins (arrows), which can mimic complete occlusive pulmonary embolism. However, this pitfall can be recognized by observing veins on contiguous images to the level of the right atrium.
  • 43.
    A mucus plugwithin a bronchus, which may also demonstrate peripheral wall enhancement related to inflammation, can mimic acute pulmonary embolism. In addition, viewing the bronchus on contiguous images will demonstrate the true nature of the artifact.
  • 45.
     Peribrochovascular interstitialthickening from heart failure can mimics PE. Accompanying CT findings in heart failure • Diffuse ground-glass attenuation • Interlobular septal thickening • Diffuse peribronchovascular interstitial thickening • Bilateral pleural effusions.
  • 46.
    Left-sided heart failurein a 56-year-old woman with dyspnea. (a) CT scan shows peribronchovascular interstitial thickening caused by perivascular edema (arrow), a finding that can mimic chronic pulmonary embolism. (b) CT scan (lung window) demonstrates the accompanying findings of diffuse peribronchovascular thickening, ground-glass attenuation, smooth interlobular septal thickening (arrows), and bilateral pleural effusions. These findings indicate the true nature of the patient’s condition.
  • 47.
     A focalincrease in vascular resistance from consolidation or atelectasis.  The unenhanced vessel may be normal  The poor contrast enhancement may obscure thrombus.  A region of-interest measurement may be helpful if the attenuation is greater than 78 HU.  Further imaging may be necessary, consisting of either repeat CT pulmonary angiography with an increased delay or pulmonary angiography.
  • 49.
    Intravascular thrombosis canidentified in a pulmonary artery stump. The criteria for in situ thrombus include • Thrombus at the surgical site only. • Absence of other pulmonary artery thrombi remote from the stump site.
  • 50.
    Pulmonary artery stumpin situ thrombosis in a 69-year-old man who had undergone right pneumonectomy for lung cancer. CT scan demonstrates pulmonary artery stump in situ thrombosis that affects the right pulmonary artery (arrow).
  • 51.
    Primary pulmonary arterysarcoma • An uncommon cause of an intraluminal arterial filling defect. • Unilateral, lobulated, heterogeneously enhancing masses at CT. • May demonstrate vascular distention and local extravascular spread. • Acute angle and enhancement.
  • 52.
    Pulmonary artery sarcomain a 65-year old woman with dyspnea. Contrast-enhanced CT scan shows a heterogeneously enhancing, lobulated mass within the main pulmonary artery (arrow). A metastatic deposit is noted within the right pulmonary artery (arrowhead).
  • 53.
    In a reviewof microscopic pulmonary tumor emboli associated with dyspnea, Kane et al found that • Most common causes: CA prostate and CA breast. • Followed by hepatoma, CA stomach and pancreas.
  • 54.
     Manifestations oftumor emboli at CT include • Large emboli in the main, lobar, and segmental pulmonary arteries, mimic PE. • Small tumor emboli that affect subsegmental arteries and produce vascular dilatation and beading that increases in size over time • Small tumor emboli that affect secondary pulmonary lobule arterioles and have a tree-in-bud appearance.
  • 55.
    Common : smalltumor emboli leading to progressive dyspnea and subacute pulmonary HT. Rare : larged tumor emboli.
  • 56.
    Tumor embolus ina 78-year-old woman with dyspnea and endometrial stromal sarcoma that invaded the inferior vena cava. CT scan shows a large tumor embolus within the right lower lobe pulmonary artery (arrow).
  • 57.
    Tumor emboli ina 60-year-old man with dyspnea and primary renal cell carcinoma. vascular dilatation and beading of subsegmental arteries tree-in-bud appearance
  • 58.
    • Reasons? – Canthey be resolved with a repeat CTPA with appropriate modifications to the protocol? • Level? – To what level is the study indeterminate? – If subsegmental and clinical pretest probability low, further imaging may not be required. • Consider U/S, V/Q or pulmonary angiography
  • 59.
    • CTPA hasbecome the test of choice and de facto standard of care for diagnosis of PE • Diagnostic criteria for the appearance of acute and chronic clot are well established • The indeterminate CTPA study can be limited with proper technique and an understanding of common imaging pitfalls and artifacts
  • 60.