Radiological Signs in Thoracic Diseases.
Dr/ ABD ALLAH NAZEER. MD.
Scimitar syndrome
SILHOUETTE SIGN
This classic roentgenographic sign first described by
Felson in 1950 states that “an intrathoracic lesion
touching a border of the heart, aorta, or diaphragm will
obliterate that border on the roentgenogram
An intra-thoracic lesion not anatomically contiguous with
a border or a normal structure will not obliterate that
border
Reliable sign distinguishing anterior lung lesions from
posterior or lower lesions
When two objects of the same density touch each other
the edge between them disappears
SILHOUETTE SIGN. Chest radiograph shows
middle and inferior right lobe pneumonia.
SILHOUETTE SIGN. Chest radiograph PA and Lateral Views:
Silhouette sign, right
middle lobe
pneumonia. Initial
frontal (A) and lateral
(B) radiographs in a
patient with clinical
suspicion of pneumonia
demonstrate
obliteration of the right
heart border. Follow-up
radiographs the next
day (C, D) illustrate
dense opacification on
the lateral view and
persisting loss of the
right heart border,
confirming the
presence of a right
middle lobe
pneumococcal
pneumonia.
AIR BRONCHOGRAM SIGN
It occurs in infiltration or edema in tissues
adjacent to patent bronchi
Seen on chest radiographs or CT
Associated with air-space disease
It implies: patency of proximal airways,
evacuation of alveolar air by absorption
(atelectasis), replacement (pneumonia) or
both, consolidation, tumor, lymphoma.
AIR BRONCHOGRAM SIGN. Chest CT and chest radiograph demonstrate air
bronchograms in patients with right upper lobe pneumonia. Schematic drawings.
AIR BRONCHOGRAM SIGN. Chest CT and chest radiograph demonstrate
air bronchograms in patients with left upper lobe pneumonia.
SIGNET RING SIGN
Seen on CT/HRCT scans of chest
CT finding in patients with bronchiectasis
Ring shadow representing dilated thick-walled bronchus
associated with a nodular opacity representing pulmonary artery
SIGNET RING SIGN. Chest CT shows small bronchiectasis.
SIGNET RING SIGN. Chest CT shows small bronchiectasis.
POPCORN CALCIFICATION
A cluster of sharply defined, irregularly lobulated, calcifications,
usually in a pulmonary nodule.
Popcorn calcifications within a well-circumscribed pulmonary nodule
are highly suggestive of pulmonary chondroid hamartoma.
POPCORN CALCIFICATION. Chest radiograph demonstrates nodule with
"popcorn calcification" in the right lower lobe representing hamartoma.
TRAM-TRACK SIGN
Parallel line opacities (tram tracks) caused by thickened
dilated bronchi
Seen on chest CT
Bronchiectasis- defined as localized irreversible dilatation of
part of the bronchial tree
Causes:
- infection
- bronchial obstruction (endobronchial tumors, encroachment
of hilar lymph nodes, foreign body aspiration)
- cystic fibrosis
- primary ciliary dyskinesia
- immunodeficiency states
- congenital anatomic defects (pulmonary sequestration,
Mounier-Kuhn syndrome)
TRAM-TRACK SIGN. Chest CT demonstrates tram-track
sign. Schematic drawing and corresponding picture.
TREE-IN-BUD SIGN
Commonly seen at thin-section CT
This sign appears as small, peripheral, centrilobular soft tissue nodules
connected to multiple contiguous, linear branching opacities.
This radiologic term represents the mucous plugging, bronchial dilatation, and
wall thickening of bronchiolitis
The histopathological correlate demonstrates small airway plugging with mucus,
pus, or fluid, with dilated bronchioles, peribronchiolar inflammation, and wall
thickening
Initially described in endobronchial spread of tuberculosis
Recognized in diverse entities
Causes:
- infection (bacterial, fungal, viral)
- congenital disorders (cystic fibrosis, Kartagener syndrome)
- idiopathic disorders (obliterative bronchiolitis)
- aspiration
- inhalation (toxic fumes and gases)
- immunologic disorders
- connective tissue disorders (rheumatoid arthritis, Sjogren)
- neoplasms (gastric, breast and renal cancer, Ewing sarcoma)
TREE-IN-BUD SIGN. Chest CT shows tree-in-bud images.
Schematic drawings and corresponding picture.
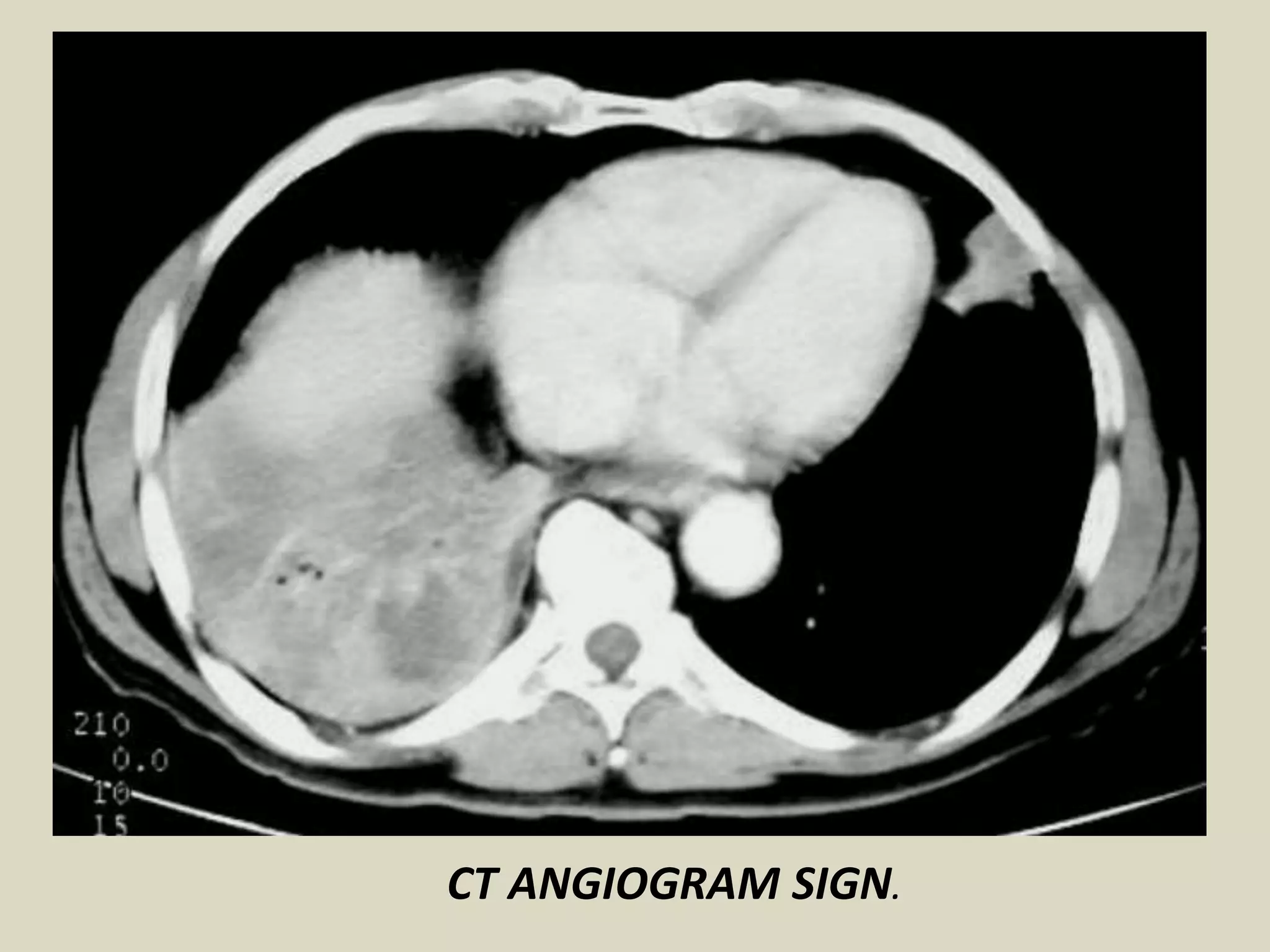
CT ANGIOGRAM SIGN
Finding may be seen on CT of chest after IV contrast material
administration.
Consists of enhancing branching pulmonary vessels in
homogeneous low-attenuating consolidation.
Low-attenuating component can be caused by production of
mucin within air spaces
Initially described in 1990 by Im et al as a specific sign (92%)
of lobar bronchoalveolar carcinoma
Also seen in:
- pneumonia
- pulmonary edema
- obstructive pneumonitis central tumor
- metastasis from GI carcinomas
- lymphoma
CT ANGIOGRAM SIGN. Chest CT and schematic drawing.
CT ANGIOGRAM SIGN.
FINGER-IN-GLOVE SIGN
Visible on chest radiographs or CT
Indicates mucoid impaction within an obstructed bronchus
Characterized by branching tubular or fingerlike opacities
Originate from the hilum and are directed peripherally
Also seen in cases of dilated bronchi with secretions
Visualization of the gloved fingers is made possible by collateral air drift
through the interalveolar pores of Kohn and canals of Lambert aerating lung
distal to the point of mucoid impaction (distal lung remains aerated)
There are two broad etiologic categories: non-obstructive and obstructive
Non-obstructive:
- allergic bronchopulmonary aspergillosis (ABPA)
- asthma
- cystic fibrosis (secondary to mucociliary dysfunction and thick mucous
secretions)
Obstructive:
- neoplasms (bronchial hamartomas, lipomas, bronchogenic carcinoma,
carcinoid).
- congenital (bronchial atresia, intralobar sequestration, bronchogenic cysts).
FINGER-IN-GLOVE SIGN. Chest CT, schematic
drawing and illustrative picture.
FINGER-IN-GLOVE SIGN. Chest CT.
HALO SIGN
Ground glass attenuation surrounding a pulmonary nodule/mass on
CT images
Described by Kuhlman in 1985 in patients with invasive aspergillosis
In febrile neutropenic patients, the sign suggests angioinvasive fungal
infection, (which is associated with a high mortality rate in the
immunocompromised host) the zone of attenuation represents
alveolar hemorrhage whereas the nodules represent areas of infarction
and necrosis caused by thrombosis of small to medium sized vessels
Associated with hemorrhagic nodules and may be caused by
neoplasms or inflammatory conditions
Familiarity with adequate clinical setting helps to narrow differentials:
- multiple nodules in immunocompromised patients could be
infections, Kaposi or lymphoma
- leukemia and fever may represent invasive aspergillosis
- immunocompetent patients with a solitary nodule may indicate
bronchioloalveolar carcinoma
HALO SIGN. Chest CT shows halo sign in a patient with schistosomiasis.
REVERSE HALO SIGN
Central ground-glass opacity surrounded by denser
consolidation of crescentic or ring shape, at least 2 mm thick
First described by Voloudaki in 1996
Kim in 2003 used the term reverse halo
Found to be relatively specific for cryptogenic organizing
pneumonia (COP)
Seen in other conditions:
- Wegener’s and lymphomatoid granulomatosis
- paracoccidiodomycosis
- neoplastic (metastasis)
- invasive aspergillosis
- lipoid pneumonia
- schistosomiasis
REVERSE HALO SIGN. Chest CT demonstrates reverse
halo images in a patient with schistosomiasis.
REVERSE HALO SIGN. Chest CT demonstrates reverse halo images
COIN LESION
The term coin lesion was defined by Thornton et al in 1944 as a
solitary lesion, 1 to 5 cm in size, round or oval with well
defined margins
Solitary, round, circumscribed shadows found in the lungs in x-
ray or CT examinations
Smaller than 3 centimeters in diameter
Common causes:
- tuberculosis
- coccidioidomycosis
- histoplasmosis
- neoplasms (primary bronchogenic carcinoma, metastatic
tumors, bronchial adenomas etc)
- cysts
- vascular anomalies
COIN LESION. Chest CT shows a nodule in the left lower lobe.
Metastasis. Schematic drawing and illustrative picture.
MILIARY SHADOWING
The term miliary derives from the radiographic picture of
diffuse, discrete nodular shadows about the size of a millet seed
Innumerable, small (1-4mm) pulmonary nodules are seen
scattered throughout the lungs
It can be seen in:
- tuberculosis
- histoplasmosis
- sarcoidosis
- rheumatoid arthritis
- pneumoconiosis
- COPD
- pulmonary siderosis
- bronchoalveolar carcinoma
- metastasis (thyroid, kidney, trophoblast and some sarcomas)
MILIARY SHADOWING. Chest CT. Tuberculosis.
MONOD’S SIGN
Air surrounding fungus ball or mycetoma in
preexisting air cavity (old tuberculosis,
histoplasmosis, sarcoidosis, neoplasm)
It should not be confused with the air crescent
sign which is seen in recovering angioinvasive
aspergillosis and heralds improvement in the
condition
The air around the mycetoma is often crescent
shaped and hence, the term air crescent sign is
often used interchangeably by many to refer to
both pathological processes.
MONOD’S SIGN. Chest CT. Mycetoma.
MONOD’S SIGN. X-Ray and Chest CT. Mycetoma.
MONOD’S SIGN. X-Ray chest . Wagner Granuloma.
FALLEN LUNG SIGN
This sign refers to the appearance of the
collapsed lung occurring with a fractured
bronchus
It refers to the collapsed lung in a dependent
position, hanging on the hilum only by its
vascular attachments and was first described by
Oh et al in 1969 and by Kumpe et al in 1970
The bronchial fracture results in the lung to fall
away from the hilum, either inferiorly and
laterally in an upright patient or posteriorly, as
seen on CT in a supine patient.
FALLEN LUNG SIGN. Chest radiograph and schematic drawing.
FALLEN LUNG SIGN. Chest radiograph and CT Scan.
BULGING FISSURE SIGN
The bulging fissure sign refers to lobar consolidation causing
lobar expansion and bulging of the adjacent fissure inferiorly
Historically Klebsiella pneumoniae involving the RUP-
Friedlander pneumonia
Although previously reported in up to 30% of patients with
Klebsiella pneumonia, the finding is identified less commonly
today, most likely due to rapid prophylactic implementation of
antibiotics.
The most common infective causative agents are:
- Klebsiella pneumoniae
- Streptococcus pneumoniae
- Pseudomonas aeruginosa
- Staphylococcus aureus
It may also be seen with bronchoalveolar carcinoma and
tuberculosis
BULGING FISSURE SIGN. Chest radiograph. Right upper lobe pneumonia.
FLAT WAIST SIGN
Indicates left lower lobe collapse
Visualized on frontal views
Hilar structures shift downward and rotation of heart
produces flattening of cardiac waist
FLAT WAIST SIGN. Chest radiograph and schematic drawing.
GOLDEN S SIGN
Described by Ross Golden in 1925
Resembles a reverse S shape
It can be seen on PA/lateral views and CT
This sign is typically seen with right upper
lobe collapse
The medial portion of minor fissure is convex
inferiorly due to a central mass and the lateral
portion of the fissure is concave inferiorly
It can be observed in cases of bronchial
carcinoma, primary mediastinal tumor,
metastasis and enlarged lymph nodes
GOLDEN S SIGN. Chest radiograph and CT images
demonstrate this sign. Bronchial carcinoma.
GOLDEN S SIGN. Chest radiograph.
BAT WING APPEARANCE
Bat's wing or butterfly pulmonary opacities refer to a
pattern of bilateral perihilar shadowing
It is classically described on a frontal chest radiograph
but can also refer to appearances on chest CT
Causes:
- pulmonary edema (especially cardiogenic)
- pneumonia (aspiration pneumonia, PCP, viral, lipoid)
- inhalation injury (noxious gas, liquid)
- pulmonary alveolar proteinosis
- pulmonary hemorrhage (e.g. Goodpasture syndrome)
- lymphoma
- leukemia
- bronchoalveolar carcinoma
BAT WING APPEARANCE. Chest radiograph, schematic drawing and corresponding picture.
GROUND GLASS PATTERN
Ground glass opacity is a hazy, increased attenuation of lung with
preservation of bronchial and vascular margins.
It is a nonspecific radiologic finding
It is caused by partial filling of air spaces, interstitial thickening,
partial collapse of alveoli, normal expiration, or increased
capillary blood volume
It can be seen with alveolar wall inflammation or thickening, with
partial air-space filling, or with some combination of the two
Common causes:
- pulmonary edema
- adult respiratory distress syndrome (ARDS)
- viral, mycoplasmal, and pneumocystis pneumonias
hypersensitivity pneumonia
- pulmonary hemorrhage
- other diffuse interstitial lung diseases
GROUND GLASS PATTERN. Chest CT images and illustrative picture.
CRAZY PAVING SIGN
Scattered or diffuse ground glass attenuation with
superimposed intralobular and interlobular septa thickening
Commonly seen at thin-section CT
Initially described in pulmonary alveolar proteinosis
Recognized in diverse entities
Causes:
- infection (Pneumocystis jiroveci pneumonia, organizing
pneumonia, usual interstitial pneumonia, non-specific
interstitial pneumonia, and exogenous lipoid pneumonia)
- neoplasm (bronchioloalveolar carcinoma)
- pulmonary alveolar proteinosis
- sarcoidosis
- respiratory bronchiolitis with interstitial lung disease
sanguineous (pulmonary hemorrhage syndromes, ARDS)
CRAZY PAVING SIGN. Chest CT with schematic drawing and illustrative picture.
CRAZY PAVING SIGN
MOSAIC PATTERN
Patchy ground glass opacities, resulting in a mosaic
pattern of lung attenuation
Such a pattern can be seen in infiltrative lung disease,
airway abnormalities (e.g., asthma, bronchiolitis
obliterans), and chronic pulmonary vascular disease
(e.g., chronic thromboembolic disease)
The distinction between these three entities can be
made by observing the size of the pulmonary vessels
in the area of increased lung attenuation (increased in
both airway disease and vascular disease, but not in
infiltrative disease), and by examining air trapping on
expiratory scans (indicating airway disease)
MOSAIC PATTERN. Chest CT with schematic drawing and illustrative picture.
SANDSTORM APPEARANCE
Seen on CT or chest X-ray
The appearance is given by the presence of diffuse,
scattered, bilateral areas of micronodular
calcifications (sandstorm appearance)
Pulmonary alveolar microlithiasis (PAM) should be
considered.
PAM is an uncommon chronic disease characterized
by calcifications within the alveoli which occurs in the
absence of any known disorder of calcium metabolism
On CT scans diffuse ground-glass opacities
throughout both lungs can be seen in association with
calcified nodules
SANDSTORM APPEARANCE. Chest radiograph in a patient
with alveolar microlithiasis and illustrative picture.
HONEYCOMB LUNG
The term “honeycomb lung” first appeared in the English literature
in 1949 (Oswald and Parkinson)
Radiologically, in the latest version from the Fleischner Society, it
is defined as “clustered cystic air spaces, typically of comparable
diameters on the order of 3–10 mm but occasionally as large as 2.5
cm... usually subpleural and characterized by well-defined walls”
Recent understanding indicates that “honeycombing is often
considered specific for pulmonary fibrosis and is an important
criterion in the diagnosis of usual interstitial pneumonia (UIP)”
Causes:
- idiopathic interstitial pneumonia
- diffuse alveolar damage
- asbestosis
- interstitial granulomatous diseases
- eosinophilic granuloma
HONEYCOMB LUNG. Chest CT with schematic drawing and illustrative picture.
WESTERMARK SIGN
Described by Neil Westermarck in 1938
Chest radiograph and CT show increased lucency or
hypoattenuation
Typically signifies either occlusion of a larger
lobar/segmental artery or widespread small vessel
occlusion
Represents oligemia distal to PE; seen only in 2% of
patients
Sign results from combination of dilatation
pulmonary arteries proximal embolus and collapse
of distal vasculature
Low sensitivity 11%, high specificity 92%
WESTERMARK SIGN. Chest radiograph and schematic drawing.
Westermark Sign.
WAVE SIGN
Sign produced by lateral indentation of thymus by adjacent anterior ribs
resembling a wave
This sign in seen in the pediatric population and represents a normal thymus
WAVE SIGN. Chest radiograph with schematic drawing and illustrative picture.
DEEP SULCUS SIGN
The presence of radiolucency in a deep costophrenic
sulcus on a supine thoracic radiograph is characteristic
of a pneumothorax in a supine patient
Seen on X-rays in supine position
Intrapleural air rises to the highest portion of the
hemithorax leading to the presence of a lucency in the
anteromedial, subpulmonic, and lateral basilar space
adjacent to the diaphragm
30% pneumothoraces are undetected
It is useful in confirming suspected pneumothorax on
AP supine radiography in compromised patients, such
as those in the intensive care setting
DEEP SULCUS SIGN. Chest radiograph with schematic drawing and illustrative picture.
TAPERED MARGINS SIGN
Lesions in the chest wall, pleura or mediastinum have smooth tapered borders
and obtuse angles
While parenchymal lesions usually form acute angles
TAPERED MARGINS SIGN. Chest radiographs with schematic drawings. Mesothelioma and thymic lymphosarcoma.
CERVICOTHORACIC SIGN
Used to determine location of mediastinal lesion in the upper
chest
Based on principle that an intrathoracic lesion in direct contact
with soft tissues of the neck will not be outlined by air
Uppermost border of the anterior mediastinum ends at level
of clavicles, so when the cephalic border of a mass is obscured
at or below the level of the clavicles, it is deemed to be a
“cervicothoracic lesion” involving the anterior mediastinum
Middle and posterior mediastinum extends above the clavicles
Mediastinal mass projected superior the level of clavicles must
be located either within middle or posterior mediastinum
More cephalad the mass extends the most posterior the
location
CERVICOTHORACIC SIGN. Chest radiographs with schematic drawings. Lymphoma.
CERVICOTHORACIC SIGN. Chest radiographs with MRI images.
1-2-3 SIGN
Characterized by bilateral hilar and right paratracheal lymphadenopathy so-called
Garland triad or 1-2-3 sign
Suggestive of sarcoidosis
Separation between nodes and heart which is not seen in lymphoma
1-2-3 SIGN. Chest radiographs with schematic drawings. Sarcoidosis.
1-2-3 SIGN. Chest radiographs
HILUM OVERLAY SIGN
Described by Benjamin Felson
If hilar vessels are sharply delineated it can be assumed that the overlying mass is
anterior or posterior
If mass is inseparable from pulmonary arteries, structures are adjacent to one
another
HILUM OVERLAY SIGN. Chest radiograph with schematic drawing.
HILUM CONVERGENCE SIGN
Used to distinguish between a prominent hilum and an enlarged pulmonary
artery
If branches of PA converge toward central mass, is an enlarged PA
If branches of PA converge toward heart rather than mass, is a mediastinal tumor
HILUM CONVERGENCE SIGN. Chest radiograph with schematic drawing.
THORACOABDOMINAL SIGN
Posterior costophrenic sulcus extends more caudally than anterior
basilar lung
Lesion extending below the dome of diaphragm must be in posterior
chest whereas lesion terminating at dome must be anterior
Thoracoabdominal signs were described by Felson
THORACOABDOMINAL SIGN. Chest radiograph with schematic drawing. Hamartoma.
THORACOABDOMINAL SIGN. Chest radiograph and CT Scan.
WATER BOTTLE CONFIGURATION
Seen in pericardial effusion
Causes:
- inflammatory
- infectious
- malignant
- autoimmune processes within the pericardium
Chest radiography shows an enlarged cardiac silhouette
WATER BOTTLE CONFIGURATION. Chest radiograph with schematic drawing and illustrative picture.
WATER BOTTLE CONFIGURATION.
DOUBLE DENSITY SIGN
On frontal chest radiographs, this sign presents as a curvilinear density projecting
over the right retrocardiac region, indicating left atrial enlargement
The curvilinear line represents the inferolateral margin of the left atrium
The double density sign may be observed in patients without cardiac disease;
however, there is a semiquantitative measurement to estimate the left atrial
diameter and better estimate whether it is a real finding
DOUBLE DENSITY SIGN. Chest radiograph with schematic drawings.
SPLIT PLEURA SIGN
Seen on contrast enhanced CT of chest
Separation and enhancement of the visceral and parietal
pleural layers on CT is considered strong evidence of empyema
Normally, individual pleural layers are not discernable as
discrete structures
Empyemic fluid fills the pleural space, resulting in thickening
and enhancement of the pleura with a denotable separation
It can also be seen with exudative effusion
Causes:
- bacterial pneumonia
- cancer
- viral infection
- PE
SPLIT PLEURA SIGN. Chest radiograph with schematic drawing.
SPLIT PLEURA SIGN.
Tree –in-
Bud- Causes.
Tree in Bud.
Tapered Margin Sign.
. A lesion in the chest wall, pleural or mediastinum have
smooth tapered borders and obtuse angles.
. While parenchymal lesions usually form acute angles.
Tapered Margin Sign.
Tapered Margin Sign.
Luftsichel Sign
• German for sickle of air (luft: air sichel: crescent)
• Para-mediastinal lucency due to interposition of lower lobe
apex between mediastinum and shrunken upper lobe
• Occurs more commonly on the left than in the right
Luftsichel Sign
Double Density Sign
• Indicates left atrial enlargement
• Occurs when right side of the left atrium pushes into adjacent lung
• Splaying of the carina
• Superior displacement of left main stem bronchus on frontal view
• Posterior displacement of left main stem bronchus on lateral view
• Posterior displacement of esophagus on barium study
Doughnut Sign
• Detect mediastinal adenomegaly
• Lateral chest radiograph
• Subcarinal lymphadenopathy
• Mass posterior to bronchus intermedius and inferior hilar window
• CT primary modality for detecting mediastinal lymphadenopathy
Doughnut sign. A normal lateral chest radiograph is shown depicting several of the anatomic landmarks used
to localize a subcarinal mass (A: 1, posterior wall of the bronchus intermedius; 2, left upper lobe bronchus; 3,
right upper lobe bronchus; 4, approximate level of the carina). Lateral radiograph of the chest (B) shows
added density within the infra-hilar window representative of subcarinal lymphadenopathy in a patient with
non-Hodgkin lymphoma. Follow-up CT of the chest confirmed the finding of subcarinal lymphadenopathy (C).
Hampton’s Hump Sign
• Described by Audrey Hampton in 1940
• Peripheral wedge-shaped opacity due to infarction
• Pleura-based consolidation in the form of truncated cone w base
against pleural surface and apex pointing toward hilum.
Fleischner Sign
• Described by Felix Fleischner
• Enlargement proximal pulmonary arteries on plain film or angiography
• PA enlargement due to embolus
• Commonly in the setting of massive PE
• It has relatively low sensitivity
• Abrupt tapering of an occluded vessel distally (knuckle sign)
Hilum Overlay Sign
• Described by B. Felson
• If hilar vessels are sharply delineated it can be assumed that the overlying
mass is anterior or posterior
• If mass inseparable pulmonary arteries structures are adjacent to one another
Hilum Overlay Sign.
Hilum Overlay Sign.
Hilum Convergence Sign
• Described by B. Felson
• Used to distinguish between a prominent hilum and an enlarged pulmonary artery
• If branches of PA converge toward central mass is an enlarged PA
• If branches of PA converge toward heart rather than mass is a mediastinal tumor
Comet Tail Sign
• Rounded atelectasis is not rare, described in patients with asbestosis
• Other conditions: CHF, Dressler, infarct, TB or parapneumonic effusions, histoplasmosis
• Round or oval opacity 2.5-8 cm, acute angles, lower lobes, enhancement
• DD includes bronchogenic Ca
Comet Tail Sign.
Comet tail sign. Rounded
atelectasis within the right
lower lobe (A) and abutting
the posterior pleural
surface in a patient with
previous asbestos exposure.
There is adjacent pleural
thickening (B, white arrow),
calcified pleural plaques,
and signs of volume loss
with downward retraction
of the major fissure. The
swirling of the
bronchovascular bundle is
thought to resemble a
comet’s tail.
Deep Sulcus Sign
• Seen on radiographs in supine position
• Characteristic of pneumothorax
• 30% pneumothoraces are undetected
• Lucency in lateral costophrenic angle
• Air collects anteriorly and basally
• Useful in neonates and ill patients
• Include lateral costophrenic angles
Ring Around Artery Sign
• Visualized on lateral chest radiographs
• Lucency along or surrounding RPA
• Characteristic of pneumomediastinum
• Usually is accompanied by other ancillary signs:
• continuous diaphragm sign
• Naclerio’s V sign
• thymic sail sign
Flat Waist Sign
• Described by Kattan and Wlot in 1976
• Indicates left lower lobe collapse
• Visualized on frontal views
• Perfectly symmetrical PA or AP view
• Hilar structures shift downward and rotation of heart
produces flattening of cardiac waist
Scimitar syndrome, also known as hypogenetic lung syndrome, is
characterised by a hypoplastic lung that is drained by an anomalous vein
into the systemic venous system. It is a type of partial anomalous
pulmonary venous return and is one of several findings in pulmonary
venolobar syndrome
Scimitar-syndrome.
Scimitar sign. Frontal
radiograph of the chest (A)
shows a curvilinear opacity
paralleling the right heart
border representing an
anomalous pulmonary vein.
Graphic depiction of the
curvilinear anomalous vein
and its usual common entry
into the inferior vena cava
(B). A follow-up
unenhanced CT (C, D) and
cavagram (E) for central
line placement confirmed a
supradiaphragmatic
insertion of the anomalous
vein into the inferior vena
cava just prior to its entry
into the right atrium.
Thank You.

Presentation1.pptx, radiological signs in thoracic radiology.

  • 1.
    Radiological Signs inThoracic Diseases. Dr/ ABD ALLAH NAZEER. MD. Scimitar syndrome
  • 2.
    SILHOUETTE SIGN This classicroentgenographic sign first described by Felson in 1950 states that “an intrathoracic lesion touching a border of the heart, aorta, or diaphragm will obliterate that border on the roentgenogram An intra-thoracic lesion not anatomically contiguous with a border or a normal structure will not obliterate that border Reliable sign distinguishing anterior lung lesions from posterior or lower lesions When two objects of the same density touch each other the edge between them disappears
  • 3.
    SILHOUETTE SIGN. Chestradiograph shows middle and inferior right lobe pneumonia.
  • 4.
    SILHOUETTE SIGN. Chestradiograph PA and Lateral Views:
  • 5.
    Silhouette sign, right middlelobe pneumonia. Initial frontal (A) and lateral (B) radiographs in a patient with clinical suspicion of pneumonia demonstrate obliteration of the right heart border. Follow-up radiographs the next day (C, D) illustrate dense opacification on the lateral view and persisting loss of the right heart border, confirming the presence of a right middle lobe pneumococcal pneumonia.
  • 6.
    AIR BRONCHOGRAM SIGN Itoccurs in infiltration or edema in tissues adjacent to patent bronchi Seen on chest radiographs or CT Associated with air-space disease It implies: patency of proximal airways, evacuation of alveolar air by absorption (atelectasis), replacement (pneumonia) or both, consolidation, tumor, lymphoma.
  • 7.
    AIR BRONCHOGRAM SIGN.Chest CT and chest radiograph demonstrate air bronchograms in patients with right upper lobe pneumonia. Schematic drawings.
  • 8.
    AIR BRONCHOGRAM SIGN.Chest CT and chest radiograph demonstrate air bronchograms in patients with left upper lobe pneumonia.
  • 9.
    SIGNET RING SIGN Seenon CT/HRCT scans of chest CT finding in patients with bronchiectasis Ring shadow representing dilated thick-walled bronchus associated with a nodular opacity representing pulmonary artery SIGNET RING SIGN. Chest CT shows small bronchiectasis.
  • 10.
    SIGNET RING SIGN.Chest CT shows small bronchiectasis.
  • 11.
    POPCORN CALCIFICATION A clusterof sharply defined, irregularly lobulated, calcifications, usually in a pulmonary nodule. Popcorn calcifications within a well-circumscribed pulmonary nodule are highly suggestive of pulmonary chondroid hamartoma. POPCORN CALCIFICATION. Chest radiograph demonstrates nodule with "popcorn calcification" in the right lower lobe representing hamartoma.
  • 12.
    TRAM-TRACK SIGN Parallel lineopacities (tram tracks) caused by thickened dilated bronchi Seen on chest CT Bronchiectasis- defined as localized irreversible dilatation of part of the bronchial tree Causes: - infection - bronchial obstruction (endobronchial tumors, encroachment of hilar lymph nodes, foreign body aspiration) - cystic fibrosis - primary ciliary dyskinesia - immunodeficiency states - congenital anatomic defects (pulmonary sequestration, Mounier-Kuhn syndrome)
  • 13.
    TRAM-TRACK SIGN. ChestCT demonstrates tram-track sign. Schematic drawing and corresponding picture.
  • 14.
    TREE-IN-BUD SIGN Commonly seenat thin-section CT This sign appears as small, peripheral, centrilobular soft tissue nodules connected to multiple contiguous, linear branching opacities. This radiologic term represents the mucous plugging, bronchial dilatation, and wall thickening of bronchiolitis The histopathological correlate demonstrates small airway plugging with mucus, pus, or fluid, with dilated bronchioles, peribronchiolar inflammation, and wall thickening Initially described in endobronchial spread of tuberculosis Recognized in diverse entities Causes: - infection (bacterial, fungal, viral) - congenital disorders (cystic fibrosis, Kartagener syndrome) - idiopathic disorders (obliterative bronchiolitis) - aspiration - inhalation (toxic fumes and gases) - immunologic disorders - connective tissue disorders (rheumatoid arthritis, Sjogren) - neoplasms (gastric, breast and renal cancer, Ewing sarcoma)
  • 15.
    TREE-IN-BUD SIGN. ChestCT shows tree-in-bud images. Schematic drawings and corresponding picture.
  • 16.
    CT ANGIOGRAM SIGN Findingmay be seen on CT of chest after IV contrast material administration. Consists of enhancing branching pulmonary vessels in homogeneous low-attenuating consolidation. Low-attenuating component can be caused by production of mucin within air spaces Initially described in 1990 by Im et al as a specific sign (92%) of lobar bronchoalveolar carcinoma Also seen in: - pneumonia - pulmonary edema - obstructive pneumonitis central tumor - metastasis from GI carcinomas - lymphoma
  • 17.
    CT ANGIOGRAM SIGN.Chest CT and schematic drawing.
  • 18.
  • 19.
    FINGER-IN-GLOVE SIGN Visible onchest radiographs or CT Indicates mucoid impaction within an obstructed bronchus Characterized by branching tubular or fingerlike opacities Originate from the hilum and are directed peripherally Also seen in cases of dilated bronchi with secretions Visualization of the gloved fingers is made possible by collateral air drift through the interalveolar pores of Kohn and canals of Lambert aerating lung distal to the point of mucoid impaction (distal lung remains aerated) There are two broad etiologic categories: non-obstructive and obstructive Non-obstructive: - allergic bronchopulmonary aspergillosis (ABPA) - asthma - cystic fibrosis (secondary to mucociliary dysfunction and thick mucous secretions) Obstructive: - neoplasms (bronchial hamartomas, lipomas, bronchogenic carcinoma, carcinoid). - congenital (bronchial atresia, intralobar sequestration, bronchogenic cysts).
  • 20.
    FINGER-IN-GLOVE SIGN. ChestCT, schematic drawing and illustrative picture.
  • 21.
  • 22.
    HALO SIGN Ground glassattenuation surrounding a pulmonary nodule/mass on CT images Described by Kuhlman in 1985 in patients with invasive aspergillosis In febrile neutropenic patients, the sign suggests angioinvasive fungal infection, (which is associated with a high mortality rate in the immunocompromised host) the zone of attenuation represents alveolar hemorrhage whereas the nodules represent areas of infarction and necrosis caused by thrombosis of small to medium sized vessels Associated with hemorrhagic nodules and may be caused by neoplasms or inflammatory conditions Familiarity with adequate clinical setting helps to narrow differentials: - multiple nodules in immunocompromised patients could be infections, Kaposi or lymphoma - leukemia and fever may represent invasive aspergillosis - immunocompetent patients with a solitary nodule may indicate bronchioloalveolar carcinoma
  • 23.
    HALO SIGN. ChestCT shows halo sign in a patient with schistosomiasis.
  • 24.
    REVERSE HALO SIGN Centralground-glass opacity surrounded by denser consolidation of crescentic or ring shape, at least 2 mm thick First described by Voloudaki in 1996 Kim in 2003 used the term reverse halo Found to be relatively specific for cryptogenic organizing pneumonia (COP) Seen in other conditions: - Wegener’s and lymphomatoid granulomatosis - paracoccidiodomycosis - neoplastic (metastasis) - invasive aspergillosis - lipoid pneumonia - schistosomiasis
  • 25.
    REVERSE HALO SIGN.Chest CT demonstrates reverse halo images in a patient with schistosomiasis.
  • 26.
    REVERSE HALO SIGN.Chest CT demonstrates reverse halo images
  • 27.
    COIN LESION The termcoin lesion was defined by Thornton et al in 1944 as a solitary lesion, 1 to 5 cm in size, round or oval with well defined margins Solitary, round, circumscribed shadows found in the lungs in x- ray or CT examinations Smaller than 3 centimeters in diameter Common causes: - tuberculosis - coccidioidomycosis - histoplasmosis - neoplasms (primary bronchogenic carcinoma, metastatic tumors, bronchial adenomas etc) - cysts - vascular anomalies
  • 28.
    COIN LESION. ChestCT shows a nodule in the left lower lobe. Metastasis. Schematic drawing and illustrative picture.
  • 29.
    MILIARY SHADOWING The termmiliary derives from the radiographic picture of diffuse, discrete nodular shadows about the size of a millet seed Innumerable, small (1-4mm) pulmonary nodules are seen scattered throughout the lungs It can be seen in: - tuberculosis - histoplasmosis - sarcoidosis - rheumatoid arthritis - pneumoconiosis - COPD - pulmonary siderosis - bronchoalveolar carcinoma - metastasis (thyroid, kidney, trophoblast and some sarcomas)
  • 30.
    MILIARY SHADOWING. ChestCT. Tuberculosis.
  • 31.
    MONOD’S SIGN Air surroundingfungus ball or mycetoma in preexisting air cavity (old tuberculosis, histoplasmosis, sarcoidosis, neoplasm) It should not be confused with the air crescent sign which is seen in recovering angioinvasive aspergillosis and heralds improvement in the condition The air around the mycetoma is often crescent shaped and hence, the term air crescent sign is often used interchangeably by many to refer to both pathological processes.
  • 32.
    MONOD’S SIGN. ChestCT. Mycetoma.
  • 33.
    MONOD’S SIGN. X-Rayand Chest CT. Mycetoma.
  • 34.
    MONOD’S SIGN. X-Raychest . Wagner Granuloma.
  • 35.
    FALLEN LUNG SIGN Thissign refers to the appearance of the collapsed lung occurring with a fractured bronchus It refers to the collapsed lung in a dependent position, hanging on the hilum only by its vascular attachments and was first described by Oh et al in 1969 and by Kumpe et al in 1970 The bronchial fracture results in the lung to fall away from the hilum, either inferiorly and laterally in an upright patient or posteriorly, as seen on CT in a supine patient.
  • 36.
    FALLEN LUNG SIGN.Chest radiograph and schematic drawing.
  • 37.
    FALLEN LUNG SIGN.Chest radiograph and CT Scan.
  • 38.
    BULGING FISSURE SIGN Thebulging fissure sign refers to lobar consolidation causing lobar expansion and bulging of the adjacent fissure inferiorly Historically Klebsiella pneumoniae involving the RUP- Friedlander pneumonia Although previously reported in up to 30% of patients with Klebsiella pneumonia, the finding is identified less commonly today, most likely due to rapid prophylactic implementation of antibiotics. The most common infective causative agents are: - Klebsiella pneumoniae - Streptococcus pneumoniae - Pseudomonas aeruginosa - Staphylococcus aureus It may also be seen with bronchoalveolar carcinoma and tuberculosis
  • 39.
    BULGING FISSURE SIGN.Chest radiograph. Right upper lobe pneumonia.
  • 40.
    FLAT WAIST SIGN Indicatesleft lower lobe collapse Visualized on frontal views Hilar structures shift downward and rotation of heart produces flattening of cardiac waist FLAT WAIST SIGN. Chest radiograph and schematic drawing.
  • 41.
    GOLDEN S SIGN Describedby Ross Golden in 1925 Resembles a reverse S shape It can be seen on PA/lateral views and CT This sign is typically seen with right upper lobe collapse The medial portion of minor fissure is convex inferiorly due to a central mass and the lateral portion of the fissure is concave inferiorly It can be observed in cases of bronchial carcinoma, primary mediastinal tumor, metastasis and enlarged lymph nodes
  • 42.
    GOLDEN S SIGN.Chest radiograph and CT images demonstrate this sign. Bronchial carcinoma.
  • 43.
    GOLDEN S SIGN.Chest radiograph.
  • 44.
    BAT WING APPEARANCE Bat'swing or butterfly pulmonary opacities refer to a pattern of bilateral perihilar shadowing It is classically described on a frontal chest radiograph but can also refer to appearances on chest CT Causes: - pulmonary edema (especially cardiogenic) - pneumonia (aspiration pneumonia, PCP, viral, lipoid) - inhalation injury (noxious gas, liquid) - pulmonary alveolar proteinosis - pulmonary hemorrhage (e.g. Goodpasture syndrome) - lymphoma - leukemia - bronchoalveolar carcinoma
  • 45.
    BAT WING APPEARANCE.Chest radiograph, schematic drawing and corresponding picture.
  • 46.
    GROUND GLASS PATTERN Groundglass opacity is a hazy, increased attenuation of lung with preservation of bronchial and vascular margins. It is a nonspecific radiologic finding It is caused by partial filling of air spaces, interstitial thickening, partial collapse of alveoli, normal expiration, or increased capillary blood volume It can be seen with alveolar wall inflammation or thickening, with partial air-space filling, or with some combination of the two Common causes: - pulmonary edema - adult respiratory distress syndrome (ARDS) - viral, mycoplasmal, and pneumocystis pneumonias hypersensitivity pneumonia - pulmonary hemorrhage - other diffuse interstitial lung diseases
  • 47.
    GROUND GLASS PATTERN.Chest CT images and illustrative picture.
  • 48.
    CRAZY PAVING SIGN Scatteredor diffuse ground glass attenuation with superimposed intralobular and interlobular septa thickening Commonly seen at thin-section CT Initially described in pulmonary alveolar proteinosis Recognized in diverse entities Causes: - infection (Pneumocystis jiroveci pneumonia, organizing pneumonia, usual interstitial pneumonia, non-specific interstitial pneumonia, and exogenous lipoid pneumonia) - neoplasm (bronchioloalveolar carcinoma) - pulmonary alveolar proteinosis - sarcoidosis - respiratory bronchiolitis with interstitial lung disease sanguineous (pulmonary hemorrhage syndromes, ARDS)
  • 49.
    CRAZY PAVING SIGN.Chest CT with schematic drawing and illustrative picture.
  • 50.
  • 51.
    MOSAIC PATTERN Patchy groundglass opacities, resulting in a mosaic pattern of lung attenuation Such a pattern can be seen in infiltrative lung disease, airway abnormalities (e.g., asthma, bronchiolitis obliterans), and chronic pulmonary vascular disease (e.g., chronic thromboembolic disease) The distinction between these three entities can be made by observing the size of the pulmonary vessels in the area of increased lung attenuation (increased in both airway disease and vascular disease, but not in infiltrative disease), and by examining air trapping on expiratory scans (indicating airway disease)
  • 52.
    MOSAIC PATTERN. ChestCT with schematic drawing and illustrative picture.
  • 53.
    SANDSTORM APPEARANCE Seen onCT or chest X-ray The appearance is given by the presence of diffuse, scattered, bilateral areas of micronodular calcifications (sandstorm appearance) Pulmonary alveolar microlithiasis (PAM) should be considered. PAM is an uncommon chronic disease characterized by calcifications within the alveoli which occurs in the absence of any known disorder of calcium metabolism On CT scans diffuse ground-glass opacities throughout both lungs can be seen in association with calcified nodules
  • 54.
    SANDSTORM APPEARANCE. Chestradiograph in a patient with alveolar microlithiasis and illustrative picture.
  • 55.
    HONEYCOMB LUNG The term“honeycomb lung” first appeared in the English literature in 1949 (Oswald and Parkinson) Radiologically, in the latest version from the Fleischner Society, it is defined as “clustered cystic air spaces, typically of comparable diameters on the order of 3–10 mm but occasionally as large as 2.5 cm... usually subpleural and characterized by well-defined walls” Recent understanding indicates that “honeycombing is often considered specific for pulmonary fibrosis and is an important criterion in the diagnosis of usual interstitial pneumonia (UIP)” Causes: - idiopathic interstitial pneumonia - diffuse alveolar damage - asbestosis - interstitial granulomatous diseases - eosinophilic granuloma
  • 56.
    HONEYCOMB LUNG. ChestCT with schematic drawing and illustrative picture.
  • 57.
    WESTERMARK SIGN Described byNeil Westermarck in 1938 Chest radiograph and CT show increased lucency or hypoattenuation Typically signifies either occlusion of a larger lobar/segmental artery or widespread small vessel occlusion Represents oligemia distal to PE; seen only in 2% of patients Sign results from combination of dilatation pulmonary arteries proximal embolus and collapse of distal vasculature Low sensitivity 11%, high specificity 92%
  • 58.
    WESTERMARK SIGN. Chestradiograph and schematic drawing.
  • 59.
  • 60.
    WAVE SIGN Sign producedby lateral indentation of thymus by adjacent anterior ribs resembling a wave This sign in seen in the pediatric population and represents a normal thymus WAVE SIGN. Chest radiograph with schematic drawing and illustrative picture.
  • 61.
    DEEP SULCUS SIGN Thepresence of radiolucency in a deep costophrenic sulcus on a supine thoracic radiograph is characteristic of a pneumothorax in a supine patient Seen on X-rays in supine position Intrapleural air rises to the highest portion of the hemithorax leading to the presence of a lucency in the anteromedial, subpulmonic, and lateral basilar space adjacent to the diaphragm 30% pneumothoraces are undetected It is useful in confirming suspected pneumothorax on AP supine radiography in compromised patients, such as those in the intensive care setting
  • 62.
    DEEP SULCUS SIGN.Chest radiograph with schematic drawing and illustrative picture.
  • 63.
    TAPERED MARGINS SIGN Lesionsin the chest wall, pleura or mediastinum have smooth tapered borders and obtuse angles While parenchymal lesions usually form acute angles TAPERED MARGINS SIGN. Chest radiographs with schematic drawings. Mesothelioma and thymic lymphosarcoma.
  • 64.
    CERVICOTHORACIC SIGN Used todetermine location of mediastinal lesion in the upper chest Based on principle that an intrathoracic lesion in direct contact with soft tissues of the neck will not be outlined by air Uppermost border of the anterior mediastinum ends at level of clavicles, so when the cephalic border of a mass is obscured at or below the level of the clavicles, it is deemed to be a “cervicothoracic lesion” involving the anterior mediastinum Middle and posterior mediastinum extends above the clavicles Mediastinal mass projected superior the level of clavicles must be located either within middle or posterior mediastinum More cephalad the mass extends the most posterior the location
  • 65.
    CERVICOTHORACIC SIGN. Chestradiographs with schematic drawings. Lymphoma.
  • 66.
    CERVICOTHORACIC SIGN. Chestradiographs with MRI images.
  • 67.
    1-2-3 SIGN Characterized bybilateral hilar and right paratracheal lymphadenopathy so-called Garland triad or 1-2-3 sign Suggestive of sarcoidosis Separation between nodes and heart which is not seen in lymphoma 1-2-3 SIGN. Chest radiographs with schematic drawings. Sarcoidosis.
  • 68.
    1-2-3 SIGN. Chestradiographs
  • 69.
    HILUM OVERLAY SIGN Describedby Benjamin Felson If hilar vessels are sharply delineated it can be assumed that the overlying mass is anterior or posterior If mass is inseparable from pulmonary arteries, structures are adjacent to one another HILUM OVERLAY SIGN. Chest radiograph with schematic drawing.
  • 70.
    HILUM CONVERGENCE SIGN Usedto distinguish between a prominent hilum and an enlarged pulmonary artery If branches of PA converge toward central mass, is an enlarged PA If branches of PA converge toward heart rather than mass, is a mediastinal tumor HILUM CONVERGENCE SIGN. Chest radiograph with schematic drawing.
  • 71.
    THORACOABDOMINAL SIGN Posterior costophrenicsulcus extends more caudally than anterior basilar lung Lesion extending below the dome of diaphragm must be in posterior chest whereas lesion terminating at dome must be anterior Thoracoabdominal signs were described by Felson THORACOABDOMINAL SIGN. Chest radiograph with schematic drawing. Hamartoma.
  • 72.
    THORACOABDOMINAL SIGN. Chestradiograph and CT Scan.
  • 73.
    WATER BOTTLE CONFIGURATION Seenin pericardial effusion Causes: - inflammatory - infectious - malignant - autoimmune processes within the pericardium Chest radiography shows an enlarged cardiac silhouette WATER BOTTLE CONFIGURATION. Chest radiograph with schematic drawing and illustrative picture.
  • 74.
  • 75.
    DOUBLE DENSITY SIGN Onfrontal chest radiographs, this sign presents as a curvilinear density projecting over the right retrocardiac region, indicating left atrial enlargement The curvilinear line represents the inferolateral margin of the left atrium The double density sign may be observed in patients without cardiac disease; however, there is a semiquantitative measurement to estimate the left atrial diameter and better estimate whether it is a real finding DOUBLE DENSITY SIGN. Chest radiograph with schematic drawings.
  • 76.
    SPLIT PLEURA SIGN Seenon contrast enhanced CT of chest Separation and enhancement of the visceral and parietal pleural layers on CT is considered strong evidence of empyema Normally, individual pleural layers are not discernable as discrete structures Empyemic fluid fills the pleural space, resulting in thickening and enhancement of the pleura with a denotable separation It can also be seen with exudative effusion Causes: - bacterial pneumonia - cancer - viral infection - PE
  • 77.
    SPLIT PLEURA SIGN.Chest radiograph with schematic drawing.
  • 78.
  • 79.
  • 80.
  • 81.
    Tapered Margin Sign. .A lesion in the chest wall, pleural or mediastinum have smooth tapered borders and obtuse angles. . While parenchymal lesions usually form acute angles. Tapered Margin Sign.
  • 82.
  • 83.
    Luftsichel Sign • Germanfor sickle of air (luft: air sichel: crescent) • Para-mediastinal lucency due to interposition of lower lobe apex between mediastinum and shrunken upper lobe • Occurs more commonly on the left than in the right
  • 84.
  • 85.
    Double Density Sign •Indicates left atrial enlargement • Occurs when right side of the left atrium pushes into adjacent lung • Splaying of the carina • Superior displacement of left main stem bronchus on frontal view • Posterior displacement of left main stem bronchus on lateral view • Posterior displacement of esophagus on barium study
  • 86.
    Doughnut Sign • Detectmediastinal adenomegaly • Lateral chest radiograph • Subcarinal lymphadenopathy • Mass posterior to bronchus intermedius and inferior hilar window • CT primary modality for detecting mediastinal lymphadenopathy
  • 87.
    Doughnut sign. Anormal lateral chest radiograph is shown depicting several of the anatomic landmarks used to localize a subcarinal mass (A: 1, posterior wall of the bronchus intermedius; 2, left upper lobe bronchus; 3, right upper lobe bronchus; 4, approximate level of the carina). Lateral radiograph of the chest (B) shows added density within the infra-hilar window representative of subcarinal lymphadenopathy in a patient with non-Hodgkin lymphoma. Follow-up CT of the chest confirmed the finding of subcarinal lymphadenopathy (C).
  • 88.
    Hampton’s Hump Sign •Described by Audrey Hampton in 1940 • Peripheral wedge-shaped opacity due to infarction • Pleura-based consolidation in the form of truncated cone w base against pleural surface and apex pointing toward hilum.
  • 89.
    Fleischner Sign • Describedby Felix Fleischner • Enlargement proximal pulmonary arteries on plain film or angiography • PA enlargement due to embolus • Commonly in the setting of massive PE • It has relatively low sensitivity • Abrupt tapering of an occluded vessel distally (knuckle sign)
  • 90.
    Hilum Overlay Sign •Described by B. Felson • If hilar vessels are sharply delineated it can be assumed that the overlying mass is anterior or posterior • If mass inseparable pulmonary arteries structures are adjacent to one another Hilum Overlay Sign.
  • 91.
  • 92.
    Hilum Convergence Sign •Described by B. Felson • Used to distinguish between a prominent hilum and an enlarged pulmonary artery • If branches of PA converge toward central mass is an enlarged PA • If branches of PA converge toward heart rather than mass is a mediastinal tumor
  • 93.
    Comet Tail Sign •Rounded atelectasis is not rare, described in patients with asbestosis • Other conditions: CHF, Dressler, infarct, TB or parapneumonic effusions, histoplasmosis • Round or oval opacity 2.5-8 cm, acute angles, lower lobes, enhancement • DD includes bronchogenic Ca Comet Tail Sign.
  • 94.
    Comet tail sign.Rounded atelectasis within the right lower lobe (A) and abutting the posterior pleural surface in a patient with previous asbestos exposure. There is adjacent pleural thickening (B, white arrow), calcified pleural plaques, and signs of volume loss with downward retraction of the major fissure. The swirling of the bronchovascular bundle is thought to resemble a comet’s tail.
  • 95.
    Deep Sulcus Sign •Seen on radiographs in supine position • Characteristic of pneumothorax • 30% pneumothoraces are undetected • Lucency in lateral costophrenic angle • Air collects anteriorly and basally • Useful in neonates and ill patients • Include lateral costophrenic angles
  • 96.
    Ring Around ArterySign • Visualized on lateral chest radiographs • Lucency along or surrounding RPA • Characteristic of pneumomediastinum • Usually is accompanied by other ancillary signs: • continuous diaphragm sign • Naclerio’s V sign • thymic sail sign
  • 98.
    Flat Waist Sign •Described by Kattan and Wlot in 1976 • Indicates left lower lobe collapse • Visualized on frontal views • Perfectly symmetrical PA or AP view • Hilar structures shift downward and rotation of heart produces flattening of cardiac waist
  • 99.
    Scimitar syndrome, alsoknown as hypogenetic lung syndrome, is characterised by a hypoplastic lung that is drained by an anomalous vein into the systemic venous system. It is a type of partial anomalous pulmonary venous return and is one of several findings in pulmonary venolobar syndrome Scimitar-syndrome.
  • 100.
    Scimitar sign. Frontal radiographof the chest (A) shows a curvilinear opacity paralleling the right heart border representing an anomalous pulmonary vein. Graphic depiction of the curvilinear anomalous vein and its usual common entry into the inferior vena cava (B). A follow-up unenhanced CT (C, D) and cavagram (E) for central line placement confirmed a supradiaphragmatic insertion of the anomalous vein into the inferior vena cava just prior to its entry into the right atrium.
  • 101.