PNEUMONIA
ā€œThe captain of the men of death.ā€
ā€œThe old man's friend"
— Sir William Osler
Pneumonia
An acute respiratory illness associated with recently
developed radiological pulmonary shadowing which
may be segmental, lobar or multilobar. (or)
Inflammation in the lung characterized by accumulation
of secretions and inflammatory cells in alveoli.
 Pneumonia remains common cause of Death
 Globally Pneumonia ranked 6th
 CAP is most common cause of Severe Sepsis
 Despite introduction of Antibiotics, Imaging modalities
and Biomarker testing, mortalities related to CAP
has not changed significantly.
CLASSIFICATION
Pneumonia: Classifications
Clinically
Community-acquired pneumonia: (Typical/Atypical)
Onset in community or during 1st 2 days of hospitalization
(Strep. pneumoniae most common)
Hospital-acquired Pneumonia(HAP/nosocomial):
Occurring 48 hrs after hospitalization
Suppurative & Aspiration pneumonia
Pneumonia in immunocompromised patient: caused by
opportunistic organisms (Pneumocystis jirovecii).
Pneumonia: Classifications..
Anatomically
 Lobar pneumonia if one or more lobe is involved
 Broncho-pneumonia (Lobular)
1.more patchy alveolar consolidation associated
with bronchial and bronchiolar inflammation
often affecting both lower lobes
2.the pneumonic process has originated in
one or more bronchi and extends to the
surrounding lung tissue
Pneumonia: Classifications..
According to causes
Bacterial (the most common cause of pneumonia)
Viral pneumonia
Fungal pneumonia
Aspiration pneumonia
Chemical pneumonia (ingestion of kerosene or inhalation of
irritating substance)
Various defence mechanisms that protects
lung from infection
• Anatomic barriers –epiglottis,larynx
• Cough reflexes
• Tracheobronchial secretions
• Mucociliary lining
• Cell & humoral mediated immunity
• Dual phagocytic system-alveolar macrophages &
neutrophils
Factors that predispose to pneumonia
Reduced host defences against bacteria
• Reduced immune defences (e.g. corticosteroid
treatment, diabetes, malignancy)
• Reduced cough reflex (e.g. post-operative)
• Disordered mucociliary clearance (e.g.
anaesthetic agents)
• Bulbar or vocal cord palsy
Factors that predispose to pneumonia
Aspiration of nasopharyngeal or gastric secretions
• Immobility or reduced conscious level
• Vomiting, dysphagia, achalasia or severe reflux
• Nasogastric intubation
Bacteria introduced into lower respiratory tract
• Endotracheal intubation/tracheostomy
• Infected ventilators/nebulisers/bronchoscopes
• Dental or sinus infection
COMMUNITY-ACQUIRED PNEUMONIA
(CAP)
Community-acquired pneumonia (CAP)
Acc. to BTS Guidelines CAP is defined as,
Acute lower respiratory tract infection accompanied by
new infiltrates on chest radiograph or auscultatory
findings consistent with pneumonia in a patient not
hospitalized or residing in a long term care facility for
more than 2 weeks before onset of symptoms.
Community-acquired pneumonia (CAP)..
Most cases are spread by droplet infection.
May occur in previously healthy individuals.
Streptococcus pneumoniae remains the most common infecting
agent.
Other organisms may be involved which depends on the age of the
patient and the clinical context.
Viral infections are important causes of CAP in children, and their
contribution to adult CAP is increasingly recognized
Community-acquired pneumonia (CAP)..
Mycoplasma pneumoniae is more common in young people and
rare in the elderly.
Haemophilus influenzae is more common in the elderly, particularly
when underlying lung disease is present.
Legionella pneumophila occurs in local outbreaks centred on
contaminated cooling towers in hotels, hospitals and other industrial
buildings.
Staphylococcus aureus is more common following an episode of
influenza.
Community-acquired pneumonia (CAP)..
Cigarette smoking
Upper respiratory tract
infections
Alcohol
Corticosteroid therapy
Old age
Recent influenza infection
Pre-existing lung disease
HIV
Indoor air pollution
Factors that predispose to pneumonia
Community-acquired pneumonia (CAP)..
Bacteria
• Streptococcuspneumoniae
• Mycoplasma pneumoniae
• Legionella pneumophila
• Chlamydia pneumoniae
• Haemophilus influenzae
• Staphylococcus aureus
• Chlamydia psittaci
• Coxiella burnetii
(Qfever,ā€˜querry’fever)
• Klebsiella pneumoniae
(FreidlƤnder’s bacilus)
• Actinomyces israelii
Influenza, parainfluenza
Measles
Herpes simplex
Varicella
Adenovirus
Cytomegalovirus (CMV)
Coronavirus (Urbani
SARS- associated
coronavirus)
Organisms causing CAP
Viruses
PATHOPHYSIOLOGY
PATHOLOGY
CONGESTION
•Presence of a
proteinaceous exudate-
and often of bacteria- in
the alveoli
RED HEPATIZATION
• Presence of erythrocytes in
the cellular intraalveolar
exudate.
• Neutrophils are also present
• Bacteria are occasionally
seen in cultures of alveolar
specimens collected
GRAY HEPATIZATION
• No new erythrocytes are extravasating,
and those already present have been
lysed and degraded.
• Neutrophil is the predominant cell
• Fibrin deposition is abundant
• Bacteria have disappeared
• Corresponds with successful containment
of the infection & improvement in gas
exchange
RESOLUTION
Macrophage is the dominant cell type in the
alveolar space.
Debris of neutrophils, bacteria, and fibrin has
been cleared.
Summary
Four stages:
- Congestion – Vasodilatation
– Red Hepatization – Exudation + RBC
– Gray Hepatization - Neutro & Macrophages.
– Resolution – few macrophages, normal.
CLINICAL FEATURES
SYMPTOMS
GENERAL SYMPTOMS ADDITIONAL SYMPTOMS
• High grade fever
• Cough-productive
• Pleuritic chest pain
• Breathlessness
• Sharp or stabbing chest pain
• Headache
• Excessive sweating and
clammy skin
• Loss of appetite and fatigue
• Confusion, especially in older
people
GENERAL SIGNS
• Febrile
• Tachypnoea
• Tachycardia
• Cyanosis-central
• Hypotension
• Altered sensorium
• Use of accessory muscles of respiration
• Confusion- advanced cases
SIGNS OF CONSOLIDATION
• Percussion-dull
• Bronchial Breath sounds
• Crackles
• Increased VF & VR
• Aegophony & Whispering Pectoriloquy
• Pleural Rub
Differential diagnosis of pneumonia
Pulmonary infarction
Pulmonary/pleural TB
Pulmonary oedema (can be unilateral)
Pulmonary eosinophilia
Malignancy: bronchoalveolar cell carcinoma
Rare disorders: cryptogenic organising pneumonia/
bronchiolitis obliterans organising pneumonia (COP/BOOP)
Venous thromboembolism, Pulmonary haemorrhage
ARDS
Drug toxicity
INVESTIGATIONS
Investigations
The aims of investigation are
 Confirm the diagnosis
 Exclude other conditions
 Assess the severity
 Identify the development of complications
Clinical diagnosis
History
Signs & symptoms
Chest x-ray
CT
Etiological diagnosis
Gram's Stain and Culture of
Sputum
Blood Cultures
Antigen Tests
Polymerase Chain Reaction
Serology
Bronchoalveolar lavage
Investigations..
Full blood count
ļ‚§ Very high (> 20 Ɨ 109/L) or low (< 4 Ɨ 109/L) white cell
count: marker of severity
ļ‚§ Neutrophil leucocytosis > 15 Ɨ 109/L: suggests bacterial
aetiology
ļ‚§ Haemolytic anaemia: occasional complication of Mycoplasma
Erythrocyte sedimentation rate/C-reactive protein:
Non- specifically elevated
Blood culture: Bacteraemia: marker of severity
Investigations..
Urea and electrolytes:
ļ‚§Urea > 7 mmol/L (~20 mg/dL): marker of severity
ļ‚§Hyponatraemia: marker of severity
Liver function tests:
ļ‚§Abnormal if basal pneumonia inflames liver
ļ‚§Hypoalbuminaemia: marker of severity
Serology: Acute and convalescent titres for Mycoplasma,
Chlamydia, Legionella and viral infections
Cold agglutinins: Positive in 50% of patients with
Mycoplasma
Arterial blood gases: Measure when SaO2 < 93% or
when severe clinical features to assess ventilatory failure or
acidosis
Investigations..
Sputum
Sputum samples
Gram stain, culture and antimicrobial sensitivity
testing, AFB, KOH mount
Oropharynx swab
PCR for Mycoplasma pneumoniae and
other atypical pathogens
Investigations..
Urine
Pneumococcal and/or Legionella antigen
Pleural fluid
Always aspirate and culture when present in more
than trivial amounts, preferably with ultrasound
guidance
Investigations..
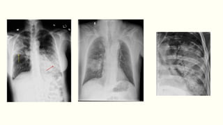
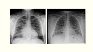
Chest X-ray
Lobar pneumonia
ļ‚§Patchy opacification evolves into homogeneous consolidation
of affected lobe
ļ‚§Air bronchogram (air-filled bronchi appear lucent against
consolidated lung tissue) may be present.
Bronchopneumonia: Typically patchy and segmental shadowing
Complications: Para-pneumonic effusion, intrapulmonary
abscess or empyema
Staph.aureus: Suggested by multilobar shadowing, cavitation,
pneumatocoeles and abscesses
AssessmentOfSeverity
***intensive respiratory or vasopressor support
MANAGEMENT
Management
The principles of management focusing on
Adequate oxygenation
Appropriate fluid balance
Antibiotics
In severe or prolonged illness,
Nutritional support may be required
Evaluate the effectiveness of administered medications
Explain all procedures to the patient and family
Management…
Oxygen
Oxygen should be administered to all patients with
ļ‚§tachypnoea,
ļ‚§hypoxaemia,
ļ‚§hypotension or
ļ‚§Acidosis
The aim of maintaining the PaO2 at or above 60mmHg
or the SaO2 at or above 92%.
Management….
Oxygen
ļ‚§High concentrations (35% or more), preferably
humidified, should be used in all patients who do not
have hypercapnia associated with COPD.
ļ‚§Continuous positive airway pressure (CPAP) should
be considered in those who remain hypoxic despite
this and these patients should be managed in a high-
dependency or intensive care environment, where
mechanical ventilation can be rapidly employed.
Management…
Intravenous fluids
ļ‚§These should be considered in patients with severe
illness, older patients and those who are vomiting.
ļ‚§Otherwise, an adequate oral intake of fluid should be
encouraged.
ļ‚§Inotropic support may be required in patients with
shock
Management…
Antibiotics
Prompt administration of antibiotics improves the outcome.
The initial choice of antibiotic is guided by
clinical context,
severity assessment,
local knowledge of antibiotic resistance patterns
any available epidemiological information.
The choice of empirical antibiotic therapy is considerably more
challenging, due to
Diversity of pathogens
Drug resistance.
Management…
Uncomplicated CAP:
Outpatient Treatment (empirical)
Previously healthy and no antibiotics in past 3 months
* A macrolide (clarithromycin or azithromycin or Doxycycline )
Comorbidities or antibiotics inpast 3 months:
Respiratory fluoroquinolone [moxifloxacin ,levofloxacin ]or
β- lactam ( high-dose amoxicillin or amoxicillin/clavulanate)
Management…
Inpatient Treatment- Non ICU:
•A respiratory fluoroquinolone [moxifloxacin ,levofloxacin ]
•β -lactam [cefotaxime ,ceftriaxone ,ampicillin] plus a
macrolide [oral clarithromycin or azithromycin)
Inpatient Treatment- ICU:
•β -lactam plus Azithromycin or a fluoroquinolone
Management…
Pseudomonas:
MRSA
• If MRSA, add linezolid or vancomycin
• An antipneumococcal, antipseudomonal β-lactam
[piperacillin/tazobactam, cefepime , imipenem ,
meropenemplus flouroquinolones]
• Above β-lactams plus an aminoglycoside and azithromycin
• Above β-lactams plus an aminoglycoside plus
an antipneumococcal fluoroquinolone
Management…
Pain
It is important to relieve pleural pain, as it may prevent the
patient from breathing normally and coughing efficiently.
For the majority, simple analgesia with paracetamol, co-codamol
or NSAIDs is sufficient.
In some patients, opiates may be required but these must be
used with extreme caution in patients with poor respiratory
function, as they may suppress ventilation.
Physiotherapy
May help expectoration in those who suppress cough because of
pleural pain.
Prevention
Preventive measures
Current smokers should be advised to stop smoking
Influenza Vaccine & Pneumococcal Vaccine should be
considered in selected pts
In developing countries, tackling malnutrition & Indoor air
pollution
Immunization against measles, pertussis & Haemophillus
influenzae type b in children
Legionella pneumophila has important public health
implications and usually requires notification to the
appropriate health authority.
COMPLICATIONS
Complication of pneumonia
Para-pneumonic effusion – common
Empyema
Retention of sputum causing lobar collapse
Broncho-pleural Fistula
Organizing Pneumonia
Bronchiectasis
Deep vein thrombosis and pulmonary embolism
Complication of pneumonia…
Hypoxemia
Pneumothorax, particularly with Staph. aureus
Suppurative pneumonia/lung abscess
ARDS, renal failure, multi-organ failure.
Atelectasis
Respiratory failure (which requires mechanical ventilator)
Ectopic abscess formation (Staph. aureus)
Hepatitis, pericarditis, myocarditis, meningoencephalitis
Always take
proper
detailed
history
of a patient.

Pneumonia

  • 1.
    PNEUMONIA ā€œThe captain ofthe men of death.ā€ ā€œThe old man's friend" — Sir William Osler
  • 2.
    Pneumonia An acute respiratoryillness associated with recently developed radiological pulmonary shadowing which may be segmental, lobar or multilobar. (or) Inflammation in the lung characterized by accumulation of secretions and inflammatory cells in alveoli.
  • 3.
     Pneumonia remainscommon cause of Death  Globally Pneumonia ranked 6th  CAP is most common cause of Severe Sepsis  Despite introduction of Antibiotics, Imaging modalities and Biomarker testing, mortalities related to CAP has not changed significantly.
  • 4.
  • 5.
    Pneumonia: Classifications Clinically Community-acquired pneumonia:(Typical/Atypical) Onset in community or during 1st 2 days of hospitalization (Strep. pneumoniae most common) Hospital-acquired Pneumonia(HAP/nosocomial): Occurring 48 hrs after hospitalization Suppurative & Aspiration pneumonia Pneumonia in immunocompromised patient: caused by opportunistic organisms (Pneumocystis jirovecii).
  • 6.
    Pneumonia: Classifications.. Anatomically  Lobarpneumonia if one or more lobe is involved  Broncho-pneumonia (Lobular) 1.more patchy alveolar consolidation associated with bronchial and bronchiolar inflammation often affecting both lower lobes 2.the pneumonic process has originated in one or more bronchi and extends to the surrounding lung tissue
  • 7.
    Pneumonia: Classifications.. According tocauses Bacterial (the most common cause of pneumonia) Viral pneumonia Fungal pneumonia Aspiration pneumonia Chemical pneumonia (ingestion of kerosene or inhalation of irritating substance)
  • 8.
    Various defence mechanismsthat protects lung from infection • Anatomic barriers –epiglottis,larynx • Cough reflexes • Tracheobronchial secretions • Mucociliary lining • Cell & humoral mediated immunity • Dual phagocytic system-alveolar macrophages & neutrophils
  • 9.
    Factors that predisposeto pneumonia Reduced host defences against bacteria • Reduced immune defences (e.g. corticosteroid treatment, diabetes, malignancy) • Reduced cough reflex (e.g. post-operative) • Disordered mucociliary clearance (e.g. anaesthetic agents) • Bulbar or vocal cord palsy
  • 10.
    Factors that predisposeto pneumonia Aspiration of nasopharyngeal or gastric secretions • Immobility or reduced conscious level • Vomiting, dysphagia, achalasia or severe reflux • Nasogastric intubation Bacteria introduced into lower respiratory tract • Endotracheal intubation/tracheostomy • Infected ventilators/nebulisers/bronchoscopes • Dental or sinus infection
  • 11.
  • 12.
    Community-acquired pneumonia (CAP) Acc.to BTS Guidelines CAP is defined as, Acute lower respiratory tract infection accompanied by new infiltrates on chest radiograph or auscultatory findings consistent with pneumonia in a patient not hospitalized or residing in a long term care facility for more than 2 weeks before onset of symptoms.
  • 13.
    Community-acquired pneumonia (CAP).. Mostcases are spread by droplet infection. May occur in previously healthy individuals. Streptococcus pneumoniae remains the most common infecting agent. Other organisms may be involved which depends on the age of the patient and the clinical context. Viral infections are important causes of CAP in children, and their contribution to adult CAP is increasingly recognized
  • 14.
    Community-acquired pneumonia (CAP).. Mycoplasmapneumoniae is more common in young people and rare in the elderly. Haemophilus influenzae is more common in the elderly, particularly when underlying lung disease is present. Legionella pneumophila occurs in local outbreaks centred on contaminated cooling towers in hotels, hospitals and other industrial buildings. Staphylococcus aureus is more common following an episode of influenza.
  • 15.
    Community-acquired pneumonia (CAP).. Cigarettesmoking Upper respiratory tract infections Alcohol Corticosteroid therapy Old age Recent influenza infection Pre-existing lung disease HIV Indoor air pollution Factors that predispose to pneumonia
  • 16.
    Community-acquired pneumonia (CAP).. Bacteria •Streptococcuspneumoniae • Mycoplasma pneumoniae • Legionella pneumophila • Chlamydia pneumoniae • Haemophilus influenzae • Staphylococcus aureus • Chlamydia psittaci • Coxiella burnetii (Qfever,ā€˜querry’fever) • Klebsiella pneumoniae (FreidlƤnder’s bacilus) • Actinomyces israelii Influenza, parainfluenza Measles Herpes simplex Varicella Adenovirus Cytomegalovirus (CMV) Coronavirus (Urbani SARS- associated coronavirus) Organisms causing CAP Viruses
  • 17.
  • 18.
    PATHOLOGY CONGESTION •Presence of a proteinaceousexudate- and often of bacteria- in the alveoli
  • 19.
    RED HEPATIZATION • Presenceof erythrocytes in the cellular intraalveolar exudate. • Neutrophils are also present • Bacteria are occasionally seen in cultures of alveolar specimens collected
  • 20.
    GRAY HEPATIZATION • Nonew erythrocytes are extravasating, and those already present have been lysed and degraded. • Neutrophil is the predominant cell • Fibrin deposition is abundant • Bacteria have disappeared • Corresponds with successful containment of the infection & improvement in gas exchange
  • 21.
    RESOLUTION Macrophage is thedominant cell type in the alveolar space. Debris of neutrophils, bacteria, and fibrin has been cleared.
  • 22.
    Summary Four stages: - Congestion– Vasodilatation – Red Hepatization – Exudation + RBC – Gray Hepatization - Neutro & Macrophages. – Resolution – few macrophages, normal.
  • 23.
  • 24.
    SYMPTOMS GENERAL SYMPTOMS ADDITIONALSYMPTOMS • High grade fever • Cough-productive • Pleuritic chest pain • Breathlessness • Sharp or stabbing chest pain • Headache • Excessive sweating and clammy skin • Loss of appetite and fatigue • Confusion, especially in older people
  • 25.
    GENERAL SIGNS • Febrile •Tachypnoea • Tachycardia • Cyanosis-central • Hypotension • Altered sensorium • Use of accessory muscles of respiration • Confusion- advanced cases
  • 26.
    SIGNS OF CONSOLIDATION •Percussion-dull • Bronchial Breath sounds • Crackles • Increased VF & VR • Aegophony & Whispering Pectoriloquy • Pleural Rub
  • 27.
    Differential diagnosis ofpneumonia Pulmonary infarction Pulmonary/pleural TB Pulmonary oedema (can be unilateral) Pulmonary eosinophilia Malignancy: bronchoalveolar cell carcinoma Rare disorders: cryptogenic organising pneumonia/ bronchiolitis obliterans organising pneumonia (COP/BOOP) Venous thromboembolism, Pulmonary haemorrhage ARDS Drug toxicity
  • 28.
  • 29.
    Investigations The aims ofinvestigation are  Confirm the diagnosis  Exclude other conditions  Assess the severity  Identify the development of complications Clinical diagnosis History Signs & symptoms Chest x-ray CT Etiological diagnosis Gram's Stain and Culture of Sputum Blood Cultures Antigen Tests Polymerase Chain Reaction Serology Bronchoalveolar lavage
  • 30.
    Investigations.. Full blood count ļ‚§Very high (> 20 Ɨ 109/L) or low (< 4 Ɨ 109/L) white cell count: marker of severity ļ‚§ Neutrophil leucocytosis > 15 Ɨ 109/L: suggests bacterial aetiology ļ‚§ Haemolytic anaemia: occasional complication of Mycoplasma Erythrocyte sedimentation rate/C-reactive protein: Non- specifically elevated Blood culture: Bacteraemia: marker of severity
  • 31.
    Investigations.. Urea and electrolytes: ļ‚§Urea> 7 mmol/L (~20 mg/dL): marker of severity ļ‚§Hyponatraemia: marker of severity Liver function tests: ļ‚§Abnormal if basal pneumonia inflames liver ļ‚§Hypoalbuminaemia: marker of severity Serology: Acute and convalescent titres for Mycoplasma, Chlamydia, Legionella and viral infections Cold agglutinins: Positive in 50% of patients with Mycoplasma Arterial blood gases: Measure when SaO2 < 93% or when severe clinical features to assess ventilatory failure or acidosis
  • 32.
    Investigations.. Sputum Sputum samples Gram stain,culture and antimicrobial sensitivity testing, AFB, KOH mount Oropharynx swab PCR for Mycoplasma pneumoniae and other atypical pathogens
  • 33.
    Investigations.. Urine Pneumococcal and/or Legionellaantigen Pleural fluid Always aspirate and culture when present in more than trivial amounts, preferably with ultrasound guidance
  • 34.
    Investigations.. Chest X-ray Lobar pneumonia ļ‚§Patchyopacification evolves into homogeneous consolidation of affected lobe ļ‚§Air bronchogram (air-filled bronchi appear lucent against consolidated lung tissue) may be present. Bronchopneumonia: Typically patchy and segmental shadowing Complications: Para-pneumonic effusion, intrapulmonary abscess or empyema Staph.aureus: Suggested by multilobar shadowing, cavitation, pneumatocoeles and abscesses
  • 37.
  • 39.
    ***intensive respiratory orvasopressor support
  • 41.
  • 42.
    Management The principles ofmanagement focusing on Adequate oxygenation Appropriate fluid balance Antibiotics In severe or prolonged illness, Nutritional support may be required Evaluate the effectiveness of administered medications Explain all procedures to the patient and family
  • 43.
    Management… Oxygen Oxygen should beadministered to all patients with ļ‚§tachypnoea, ļ‚§hypoxaemia, ļ‚§hypotension or ļ‚§Acidosis The aim of maintaining the PaO2 at or above 60mmHg or the SaO2 at or above 92%.
  • 44.
    Management…. Oxygen ļ‚§High concentrations (35%or more), preferably humidified, should be used in all patients who do not have hypercapnia associated with COPD. ļ‚§Continuous positive airway pressure (CPAP) should be considered in those who remain hypoxic despite this and these patients should be managed in a high- dependency or intensive care environment, where mechanical ventilation can be rapidly employed.
  • 45.
    Management… Intravenous fluids ļ‚§These shouldbe considered in patients with severe illness, older patients and those who are vomiting. ļ‚§Otherwise, an adequate oral intake of fluid should be encouraged. ļ‚§Inotropic support may be required in patients with shock
  • 46.
    Management… Antibiotics Prompt administration ofantibiotics improves the outcome. The initial choice of antibiotic is guided by clinical context, severity assessment, local knowledge of antibiotic resistance patterns any available epidemiological information. The choice of empirical antibiotic therapy is considerably more challenging, due to Diversity of pathogens Drug resistance.
  • 47.
    Management… Uncomplicated CAP: Outpatient Treatment(empirical) Previously healthy and no antibiotics in past 3 months * A macrolide (clarithromycin or azithromycin or Doxycycline ) Comorbidities or antibiotics inpast 3 months: Respiratory fluoroquinolone [moxifloxacin ,levofloxacin ]or β- lactam ( high-dose amoxicillin or amoxicillin/clavulanate)
  • 48.
    Management… Inpatient Treatment- NonICU: •A respiratory fluoroquinolone [moxifloxacin ,levofloxacin ] •β -lactam [cefotaxime ,ceftriaxone ,ampicillin] plus a macrolide [oral clarithromycin or azithromycin) Inpatient Treatment- ICU: •β -lactam plus Azithromycin or a fluoroquinolone
  • 49.
    Management… Pseudomonas: MRSA • If MRSA,add linezolid or vancomycin • An antipneumococcal, antipseudomonal β-lactam [piperacillin/tazobactam, cefepime , imipenem , meropenemplus flouroquinolones] • Above β-lactams plus an aminoglycoside and azithromycin • Above β-lactams plus an aminoglycoside plus an antipneumococcal fluoroquinolone
  • 50.
    Management… Pain It is importantto relieve pleural pain, as it may prevent the patient from breathing normally and coughing efficiently. For the majority, simple analgesia with paracetamol, co-codamol or NSAIDs is sufficient. In some patients, opiates may be required but these must be used with extreme caution in patients with poor respiratory function, as they may suppress ventilation. Physiotherapy May help expectoration in those who suppress cough because of pleural pain.
  • 51.
  • 52.
    Preventive measures Current smokersshould be advised to stop smoking Influenza Vaccine & Pneumococcal Vaccine should be considered in selected pts In developing countries, tackling malnutrition & Indoor air pollution Immunization against measles, pertussis & Haemophillus influenzae type b in children Legionella pneumophila has important public health implications and usually requires notification to the appropriate health authority.
  • 53.
  • 54.
    Complication of pneumonia Para-pneumoniceffusion – common Empyema Retention of sputum causing lobar collapse Broncho-pleural Fistula Organizing Pneumonia Bronchiectasis Deep vein thrombosis and pulmonary embolism
  • 55.
    Complication of pneumonia… Hypoxemia Pneumothorax,particularly with Staph. aureus Suppurative pneumonia/lung abscess ARDS, renal failure, multi-organ failure. Atelectasis Respiratory failure (which requires mechanical ventilator) Ectopic abscess formation (Staph. aureus) Hepatitis, pericarditis, myocarditis, meningoencephalitis
  • 56.