Central	
  lines	
  in	
  anesthesia:	
  
choices,	
  techniques	
  &	
  pi4alls	
  
IAN	
  HEWER,	
  MA,	
  MSN,	
  CRNA	
  
ASSISTANT	
  Director,	
  WCU	
  NURSE	
  ANESTHESIA	
  
PROGRAM	
  
OBJECTIVES	
  
•  IDENTIFY	
  REASONS	
  FOR	
  CENTRAL	
  LINE	
  ACCESS	
  
•  IDENTIFY	
  COMMON	
  SITES	
  &	
  MAJOR	
  
LANDMARKS	
  FOR	
  CENTRAL	
  LINE	
  PLACEMENT	
  
•  LIST	
  FREQUENT	
  COMPLICATIONS	
  OF	
  CENTRAL	
  
VENOUS	
  ACCESS	
  &	
  WAYS	
  TO	
  AVOID	
  THEM	
  
HISTORY	
  
• 1656-­‐	
  original	
  infusions	
  of	
  wine,	
  ale,	
  &	
  opium
into	
  dog
• 1680s-­‐	
  animal	
  blood	
  into	
  humans-­‐	
  results	
  led
to	
  unpopularity!
HISTORY	
  
• 1700-­‐1800s-­‐	
  various	
  experiments	
  to	
  measure
arterial,	
  venous	
  &	
  cardiac	
  pressures
• First	
  experiments	
  in	
  early	
  20th	
  century	
  in
Germany
• Wanted	
  a	
  way	
  to	
  introduce	
  emergency	
  drugs
close	
  to	
  the	
  heart	
  (Forssmann,	
  1929)
HISTORY	
  
• 1940s-­‐	
  introducbon	
  of	
  PVC	
  catheters	
  for	
  IVs
revolubonizes	
  field
• 1956-­‐	
  Cournand,	
  Forssman	
  	
  &	
  Richards	
  won
Nobel	
  Prize	
  for	
  Medicine
Further	
  development	
  
• Locabons:	
  
– Infraclavicular	
  subclavian-­‐	
  1952	
  Aubaniac	
  
– Internal	
  jugular	
  approach-­‐	
  1968	
  English	
  
• Why?	
  
– Nutribon	
  
– Chemotherapy	
  
– Direct	
  access	
  for	
  drugs	
  
CVCs	
  today	
  
• >	
  5	
  million	
  placed/year	
  in	
  the	
  US	
  alone	
  
(McGee	
  &	
  Gould,	
  2003)	
  
• >	
  15%	
  have	
  complicabons
	
  
– Mechanical-­‐	
  5-­‐19%	
  
– Infecbous-­‐	
  5-­‐26%	
  
– Thrombobc-­‐	
  2-­‐26%	
  
implicabons	
  
• Significant	
  morbidity-­‐	
  potenbally	
  >750,000	
  
have	
  complicabons	
  
• Significant	
  cost-­‐	
  $16,550/	
  infecbon	
  (CDC,	
  
2011)	
  
• Reducbon	
  in	
  CLABSI	
  2001-­‐2009-­‐	
  save	
  $2	
  
billion	
  in	
  excess	
  costs	
  &	
  6000	
  lives	
  
Major	
  uses	
  
• Access	
  
– Poor	
  peripheral	
  
– Need	
  for	
  volume..?	
  
Side	
  note:	
  Fr	
  vs	
  gauge	
  
• French	
  relates	
  to	
  external	
  diameter,	
  &	
  is	
  a	
  
mulbple	
  of	
  3	
  
– 1	
  Fr	
  =	
  .33mm	
  OD,	
  3	
  Fr	
  =1	
  mm	
  OD,	
  6	
  Fr	
  =	
  2	
  mm	
  OD	
  
etc	
  
– DOES	
  NOT	
  INDICATE	
  INTERNAL	
  DIAMETER!!	
  
• Gauge	
  refers	
  to	
  internal	
  &	
  external	
  
diameter..kind-­‐of..	
  
– E.g.	
  14	
  G	
  =	
  2.1mm	
  OD	
  &	
  1.6mm	
  ID.	
  Similar	
  to	
  6	
  Fr	
  
OD	
  
Major	
  uses	
  
• Determinabon	
  of	
  CV	
  funcbon	
  
– CVP	
  measurement	
  
– PA	
  catheter	
  placement	
  
• Nutribon	
  
Not	
  much	
  of	
  a	
  decision	
  
• Ultrasound	
  vs	
  Landmark	
  
• Less	
  arterial	
  punctures	
  
• Less	
  overall	
  sbcks	
  
• Beoer	
  first	
  aoempt	
  success	
  
• Quicker	
  
Remember..	
  
• There	
  is	
  a	
  learning	
  curve!	
  
Classic	
  “central”	
  approach	
  
• Idenbfy	
  the	
  triangle	
  formed	
  by	
  clavicular	
  head/ s
ternal	
  head	
  of	
  the	
  sternocleidomastoid	
  
Vein	
  is	
  typically	
  anterior	
  &	
  lateral	
  to	
  artery	
  at	
  the	
  
level	
  of	
  cricoid	
  carblage	
  	
  
• Lower	
  down	
  the	
  neck,	
  the	
  vein	
  becomes	
  
relabvely	
  medial,	
  &	
  risk	
  of	
  pneumothorax
	
  
increases-­‐	
  stay	
  away!	
  
• Higher	
  up	
  the	
  neck,	
  the	
  risk	
  of	
  brachial	
  plexus	
  
or	
  phrenic nerve injury increases-stay away!	
  
Clavicle
Jugular vein
Carotid artery
_,,___Sternal
notch
A Sternocleidomastoid muscle
Who	
  needs	
  to	
  see?!	
  
Mechanical	
  complicabons	
  
• Arterial	
  cannulabon/	
  injury	
  
– Puncture:	
  6.3-­‐	
  9.4%	
  (McGee	
  &	
  Gould,	
  2003)	
  
– Cannulabon:	
  most	
  recent	
  work,	
  incidence	
  of	
  1%,	
  
but	
  range	
  from	
  .07-­‐1%	
  (Bowdle)	
  
– Closed	
  claims	
  data	
  not	
  encouraging!	
  
• 5/14	
  died	
  
– Other	
  risks	
  include	
  stroke	
  &	
  addibonal	
  surgery,	
  
LOS	
  
5353
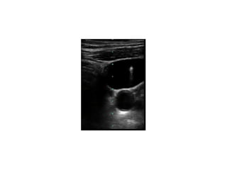
the right side of the neck carefully using a portable
ultrasound (US) machine (IMAGIC Agile, Kontron
Medical, WA, USA) with a linear, high frequency
transducer (7.5–12 MHz). Care was taken to apply
minimal pressure on the probe to prevent collapse of the
IJV. Imaging showed a single pulsatile vessel, which was
non compressible suggestive of the carotid artery with
right sided IJV has also been reported in a 12-year-old boy
during US evaluation prior to attempted cannulation.[4]
In
another report, IJV agenesis was discovered during neck
dissection. Patients who require removal of IJV due to
disease infiltration may have potentially life-threatening
complicationofcerebraledemaiftheotherIJVisaplastic.[5]
Figure 1: Ultrasound image of the right side of the neck showing absence
of internal jugular vein. CA: Carotid artery
Figure 2: Ultrasound image of the left side of the neck showing normal
anatomy. CA: Carotid artery; IJV: Internal jugular vein
Next	
  step	
  
• Scan	
  neck	
  up	
  &	
  down	
  above	
  “standard”	
  entry	
  
site	
  to	
  visualize	
  course	
  of	
  vein	
  &	
  artery	
  
• Local	
  anesthebc?	
  
• As	
  early	
  as	
  possible	
  
	
  
	
  
Next	
  step	
  
	
  
• Center	
  vein,	
  enter	
  at	
  30-­‐45	
  degree	
  angle	
  
about	
  1cm	
  away	
  from	
  probe	
  
• Enter	
  medial	
  to	
  guide	
  line,	
  aim	
  slightly	
  lateral	
  
• Ideally,	
  follow	
  needle	
  bp	
  “down”	
  to	
  vein	
  
• Watch	
  screen,	
  but	
  aspirate	
  as	
  you	
  advance	
  
A	
  word	
  about	
  sedabon..	
  
• Less	
  is	
  more	
  
• With	
  good	
  LA,	
  should	
  not	
  be	
  painful	
  
Next	
  step	
  
• Enter	
  vein	
  using	
  either	
  “big”	
  needle	
  or	
  some	
  
prefer	
  18G	
  catheter;	
  advantages	
  to	
  both 	
  	
  
– Catheter-­‐	
  less	
  prone	
  to	
  pop	
  out	
  of	
  vein,	
  but	
  can	
  be	
  
more	
  difficult	
  to	
  advance	
  
– Needle-­‐	
  good	
  flow,	
  easy	
  to	
  advance	
  wire	
  BUT	
  
must	
  keep	
  very	
  sbll	
  
• Advance	
  wire-­‐	
  MUST	
  THREAD	
  EASILY	
  
• Need	
  to	
  check	
  for	
  venous	
  placement	
  
Placing	
  the	
  line	
  
• Triple	
  lumen	
  
– Scalpel/dilator/line	
  
– Secure	
  around	
  15cm	
  
• Introducer/Swan	
  
– Line	
  is	
  on	
  dilator	
  
– Remember	
  the	
  dilator	
  is	
  rigid	
  &	
  pointy!	
  
– Line	
  goes	
  to	
  hub	
  	
  
• Both-­‐	
  ensure	
  wire	
  is	
  free	
  as	
  you	
  advance	
  line	
  
Leu	
  IJ	
  lines	
  
• Increased	
  risk,	
  but	
  beoer	
  choice	
  in	
  some	
  
people	
  
-Shorter	
  length	
  to	
  subclavian-­‐	
  extra	
  care	
  with	
  
dilator,	
  &	
  may	
  need	
  to	
  pull	
  back	
  introducer	
  for	
  
Swan	
  
-Increased	
  risk	
  of	
  lung	
  injury	
  
• Risk	
  of	
  thoracic	
  duct	
  injury	
  	
  
More	
  bad	
  things	
  about	
  the	
  leu	
  
• Vein	
  crosses	
  over	
  artery	
  more	
  easily	
  with	
  
turning	
  head	
  
• Unfamiliarity	
  
Subclavian	
  lines	
  
• Small	
  roll	
  between	
  shoulders-­‐	
  improves	
  access
	
  
• Midpoint	
  of	
  clavicle,	
  2-­‐3	
  cm	
  back	
  
– Aim:	
  to	
  avoid	
  poinbng	
  needle	
  down	
  
– Some	
  clinicians	
  bend	
  needle	
  for	
  same	
  effect	
  
• Point	
  needle	
  towards	
  sternal	
  notch
	
  – Some	
  hold	
  leu	
  hand	
  on	
  notch	
  to	
  keep	
  “target”
	
  • Advance	
  needle	
  with	
  negabve	
  pressure	
  
• unbl in vein	
  
Subclavian	
  bps	
  
• Must	
  use	
  needle-­‐	
  catheter	
  may	
  kink	
  
• If	
  unsuccessful,	
  point	
  needle	
  more	
  cephalad	
  
• Keep	
  passes	
  to	
  minimum;	
  avoid	
  bilateral	
  
aoempts	
  
More	
  subclavian	
  bps	
  
• If	
  line	
  is	
  for	
  thoracic	
  surgery,	
  on	
  same	
  side	
  
• If	
  pt	
  has	
  pathology	
  in	
  one	
  lung	
  (e.g.
	
  
pneumothorax),	
  line	
  on	
  same	
  side	
  
• Wire	
  may	
  not	
  go	
  where	
  you	
  want	
  it
	
  
– If	
  pt	
  is	
  awake,	
  ear/	
  neck	
  pain	
  may	
  indicate	
  wire	
  in	
  
IJ	
  
– If	
  pt	
  is	
  asleep,	
  look	
  for	
  ectopy	
  
– Always	
  X	
  Ray	
  
Subclavian	
  &	
  U/s	
  
• Not	
  typically	
  recommended	
  
• Can	
  be	
  useful	
  to	
  idenbfy	
  normal	
  anatomy	
  
prior	
  to	
  starbng	
  procedure	
  
No	
  complicabons	
  with	
  u/s..?	
  
Accidental Carotid Artery Catheterization
During Attempted Central Venous Catheter
Placement: A Case Report
Pauline Marie Maietta, CRNA, MS
2.1 million central venous catheters are
hile carotid artery cannulation is
stating. Anesthesia provid-
ous catheters in
perative
sion of technique for central venous catheterization,
indications for suspicion of arterial puncture, methods
for confirming venous or arterial placement, appro-
priate methods for management of carotid artery
cannulation, and the benefit of ultrasound in centra
venous cannulation follow. Through the appropria
f equipment, early detection and manageme
ry injury, and proper training, pat
roved.
tion, c
(Maieoa,	
  2012)	
  
U/s	
  examined	
  
• Operator	
  error	
  could	
  be	
  an	
  issue	
  
• We	
  cannot	
  see	
  whole	
  length	
  of	
  wire
	
  • Pressure	
  transducbon	
  could	
  prevent	
  arterial
	
  
cannulabons	
  not	
  detected	
  by	
  other	
  means-­‐	
  
approx	
  0.8%	
  of	
  all	
  aoempted	
  (Ezaru,	
  2009)	
  
– That’s	
  potenbally	
  40,000	
  cases/yr!!	
  
• Should	
  we	
  use	
  pressure	
  measurement	
  for	
  all?
residents placing the CVC in each of the six cases were credentialed by their hospital in emergency
ultrasound based on American College of Emergency Physicians ultrasound criteria. All residents
received a 2-day introductory ultrasound course, which included 3 hours of didactic and hands-on
education in ultrasound-guided vascular access. Table 3 summarizes each of the six cases, including as
analysis of the error based on a video review of the ultrasound-guided arterial cannulation.
Age Mechanism of injury Outcome
67 Needle went through IJ into Carotid artery Patient Died
75 Needle went though femoral vein into
femoral artery
Vascular surgery for AV fistula
48 Needle went though IJ and entered carotid
artery sitting underneath the IJ
Surgery for tear and focal dissection
of carotid artery
67 Guidewire traveled through IJ and its
posterior wall and into carotid artery
Hematoma with respiratory distress
requiring emergent intubation.
69 Needle penetrated the carotid artery which
was very close to the IJ
Emergency carotid artery repair;
Patient died of complications
14 Needle penetrated rear wall of IJ and
entered carotid artery
Central line removed and bleeding
eventually stopped
Table 3: Analysis of six accidental arterial cannulations with dynamic ultrasound guidance
The mechanism of injury in 5 of the 6 cases involved passage of the needle through the vein, out its
posterior wall, and into the artery. This highlights the importance of confirming the location of the tip of
the needle prior to inserting the guidewire. The author concluded, “In summary, the short-axis approach,
as seen in this series, can provide a false sense of security to the practitioner and allows for potentially
dangerous accidental arterial cannulation…it may be prudent to not only visualize the entire path of the
needle with the long-axis approach but also confirm correct cannulation by tracing the guidewire in the
long axis before line placement.” However, it is important to realize that even with multiple ultrasound
views of needles or wires, misdiagnosis remains a possibility. For example, as noted in the case below
(see Figure 6), it is possible for a needle and wire to pass through the internal jugular vein and into the
Source:	
  Bowdle,	
  nd	
  
Some	
  general	
  comments	
  
About	
  complicabons	
  
• Site	
  dependent	
  
• Provider	
  dependent-­‐	
  VOLUME	
  OF	
  
PROCEDURES	
  
• Procedure	
  dependent	
  
Our	
  study	
  
• Wanted	
  to	
  examine	
  complicabon	
  rates	
  in	
  
CVCs	
  placed	
  by	
  CRNAs	
  vs	
  MDs	
  
• Easy	
  access	
  to	
  QI	
  database	
  
• Problem	
  
– Polibcal	
  
– Numbers-­‐	
  a	
  vicbm	
  of	
  our	
  own	
  success	
  
Major	
  complicabons	
  
	
  
• Mechanical	
  
– Vessel	
  or	
  nerve	
  injury	
  
– Pneumothorax/	
  hemothorax	
  
• Infecbous	
  
• Thrombobc	
  
Mechanical	
  complicabons	
  
• Vein	
  injury	
  
– Vein	
  is	
  thin	
  walled	
  relabve	
  to	
  artery-­‐	
  more	
  prone	
  
to	
  damage	
  
– Can	
  be	
  acute	
  during	
  line	
  placement	
  
– Or	
  later	
  as	
  result	
  of	
  erosion	
  
What	
  we	
  found	
  
• Hematoma-­‐	
  1/359	
  (.003%)	
  
• Cannulabon-­‐	
  0	
  
Pneumothorax	
  
• Incidence	
  varies	
  according	
  to	
  site	
  (duh!)	
  
• Commonest	
  with	
  subclavian	
  (1.5-­‐3.1%)	
  
• Rare	
  but	
  seen	
  with	
  IJ	
  (.2%)	
  
What	
  we	
  found	
  
• 9/359	
  pts	
  =	
  2.5%	
  
• Typical	
  incidence	
  =	
  0.1-­‐0.2%	
  
• BUT	
  rate	
  of	
  ptx	
  in	
  cardiac	
  surgery	
  =	
  0.7-­‐5.3%	
  
(higher	
  with	
  IMA	
  harvest)	
  (Weissman,	
  2004)	
  
hemothorax	
  
• Result	
  of	
  vessel	
  injury,	
  typically	
  venous	
  
• Rare,	
  but	
  significant	
  mortality	
  (92%	
  in	
  Closed	
  
Claims)	
  
• Remember:	
  veins	
  are	
  fragile	
  
Thrombobc	
  complicabons	
  
• Significant	
  issue	
  outside	
  of	
  the	
  OR	
  
• Incidence	
  cited	
  varies	
  e.g	
  1.9%	
  of	
  subclavian	
  
lines	
  (McGee,	
  2003)	
  
• With	
  thrombosis	
  comes	
  risk	
  of	
  embolizabon	
  
• Probably	
  related	
  to	
  durabon	
  
Thrombosis:more	
  
• Contact	
  with	
  vein	
  wall	
  is	
  probably	
  a	
  big	
  risk	
  for	
  
thrombosis	
  (Fletcher	
  &	
  Bodenham,	
  2000)	
  
• Therefore	
  posiboning	
  is	
  key	
  
• Think	
  post-­‐op	
  CXR	
  
Infecbous	
  complicabons:	
  background	
  
• Interest	
  in	
  Healthcare	
  Acquired	
  Infecbons	
  
(HAI)	
  has	
  increased	
  dramabcally-­‐	
  in	
  response	
  
to	
  the	
  problem	
  
• Priority	
  of	
  WHO,	
  IOM,	
  CDC,	
  TJC,	
  &	
  a	
  hospital	
  
near	
  you..	
  
• 1.7	
  million	
  infecbons	
  &	
  99,000	
  deaths	
  in	
  the	
  
US	
  from	
  HAI	
  (TJC,	
  2012)	
  
Infecbon:	
  cvcs	
  
• CLABSI:	
  Central	
  Line-­‐	
  Associated	
  Blood	
  Stream	
  
Infecbon	
  
• Est	
  80,000	
  CLABSI/	
  year	
  in	
  ICU	
  alone	
  
• Mortality:	
  difficult,	
  but	
  maybe	
  10,000	
  yr	
  
• Cost	
  significant:	
  >$16,000	
  per	
  case	
  
More	
  specifics	
  
• Most	
  risk	
  =	
  femoral	
  line	
  
• Next,	
  Internal	
  Jugular-­‐	
  ?	
  Due	
  to	
  proximity	
  to	
  
mouth	
  
• Least	
  risk	
  =	
  subclavian	
  
What	
  we	
  found	
  
• 2	
  infecbons	
  (.006%)	
  
• Preliminary:	
  no	
  associabon	
  with	
  “difficult	
  
inserbon”,	
  second	
  line(31	
  pabents),	
  diabetes	
  
or	
  line	
  durabon	
  
• ..but	
  average	
  line	
  durabon	
  3.03	
  days	
  
patient safety initiatives can be found in Chapter 4.
Chapter 3 contains a comprehensive review of the recom-
mended strategies and techniques for preventing CLABSIs.
route has been associated with more prolonged CVC
dwell time (for example, in place for more than 10
days), including tunneled CVCs such as Hickman-
and Broviac-type catheters and PICCs.
Figure 1-1. Routes for Central Venous Catheter Contamination with
Microorganisms
Potential sources of infection of a percutaneous intravascular device (IVD): the contiguous skin flora, contamination of the
catheter hub and lumen, contamination of infusate, and hematogenous colonization of the IVD from distant, unrelated sites of
infection. HCW: health care worker.
Source: Crnich CJ, Maki DG. The promise of novel technology for the prevention of intravascular device-related bloodstream infection. I.
Pathogenesis and short-term devices. Clin Infect Dis. 2002 May 1;34(9):1232–1242. Used with permission.
Source:	
  TJC,	
  2012	
  
What	
  can	
  we	
  do?	
  
• Is	
  the	
  line	
  really	
  needed?
– Minimum	
  number	
  of	
  lumens
• Hand	
  hygiene
• Asepbc	
  technique
o Maximal barrier technique
o Right prep
o Antibiotic impregnated line/dsg
	
  
–
	
   	
  
• Ultrasound-­‐	
  diminished	
  #	
  of	
  aoempts
A	
  word	
  about	
  scrub	
  the	
  hub!	
  
• Focus	
  of	
  TJC	
  in	
  recent	
  years	
  
• Anesthesia	
  compliance…sub-­‐opbmal!!	
  
• 15	
  second	
  scrub	
  with	
  alcohol	
  
• ..or	
  the	
  “orange	
  cap”	
  
Miscellaneous	
  issues	
  
• Experience	
  
– Like	
  surgical	
  cases,	
  experience	
  counts	
  
– Sznajder	
  et	
  al	
  (1986)-­‐	
  Experience	
  with	
  >	
  50	
  CVCs	
  =	
  
½	
  rate	
  of	
  complicabon	
  compared	
  with	
  <	
  50	
  CVCs	
  
– >	
  3	
  aoempts	
  =	
  8	
  x	
  mechanical	
  complicabon	
  rate	
  
• Quesbon:	
  should	
  everybody	
  put	
  in	
  lines?	
  
In	
  closing	
  
• U/S	
  may	
  not	
  be	
  essenbal,	
  but	
  does	
  offer	
  
benefits	
  
• Consider	
  using	
  manometry	
  to	
  check	
  
placement	
  even	
  with	
  U/S	
  
• HAND	
  HYGIENE!!	
  (Scrub	
  the	
  hub	
  too)	
  
references	
  
• Aljure,O.,	
  Casbll-­‐Pedraza,	
  C.,	
  Mitzova-­‐Vladinov,	
  G.,	
  Maraeta,	
  E.	
  (2015).	
  Right	
  internal	
  jugular	
  cross-­‐secbonal	
  area:	
  is	
  there	
  an	
  
opbmal	
  area	
  for	
  cannulabon?	
  Jnl	
  of	
  the	
  Associa1on	
  for	
  Vascular	
  Access	
  20(1):	
  22-­‐25.	
  
• Bowdle,	
  TA.	
  Arterial	
  cannula1on	
  during	
  central	
  line	
  placement:	
  mechanisms	
  of	
  injury,	
  preven1on	
  &	
  treatment.
• Ezaru	
  et	
  al.	
  (2009).	
  Eliminabng	
  arterial	
  injury	
  during	
  central	
  venous	
  catheterizabon	
  using	
  manometry.	
  Anesth	
  Analg	
  109:
130-­‐4.	
  
• Fletcher	
  &	
  Bodenham.	
  (2000).	
  Safe	
  placement	
  of	
  central	
  venous	
  catheters:	
  where	
  should	
  the	
  bp	
  lie?	
  Brit	
  Jnl	
  Anaes	
  85:	
  
188-­‐91.	
  
• Hamilton	
  &	
  Bodenham	
  (eds).	
  (2009).	
  Central	
  venous	
  catheters.	
  Chichester:	
  Wiley	
  Blackwell.
• Maieoa.	
  (2012).Accidental	
  carobd	
  artery	
  catheterizabon	
  during	
  aoempted	
  central	
  venous	
  catheter	
  placement:	
  a	
  case	
  
report.AANA	
  Jnl	
  80(4):	
  251-­‐	
  255.	
  
• McGee	
  &	
  Gould.	
  (2003).	
  Prevenbng	
  complicabons	
  of	
  central	
  venus	
  catheterizabon.	
  NEJM	
  348:	
  1123-­‐33	
  
• Seo	
  et	
  al.	
  (2008).	
  Perforabon	
  of	
  the	
  superior	
  vena	
  cava	
  during	
  liver	
  transplantabon:	
  a	
  case	
  report.	
  Korean	
  Jnl	
  Anesth	
  55(4):	
  
506-­‐10	
  
• Sznajder	
  et	
  al.	
  (1986).	
  Central	
  vein	
  catheterizabon:	
  failure	
  &	
  complicabon	
  rates	
  by	
  3	
  percutaneous	
  approaches.	
  Arch	
  Int	
  Med
146:	
  259-­‐61.	
  
• The	
  Joint	
  Commission.	
  (2012).	
  Preven1ng	
  central-­‐line	
  associated	
  bloodstream	
  infec1ons:	
  a	
  global	
  perspec1ve.	
  OakBrook,	
  Il:	
  
Joint	
  Commission	
  Resources

Central Line in Anesthesia

  • 1.
    Central  lines  in  anesthesia:   choices,  techniques  &  pi4alls   IAN  HEWER,  MA,  MSN,  CRNA   ASSISTANT  Director,  WCU  NURSE  ANESTHESIA   PROGRAM  
  • 2.
    OBJECTIVES   •  IDENTIFY  REASONS  FOR  CENTRAL  LINE  ACCESS   •  IDENTIFY  COMMON  SITES  &  MAJOR   LANDMARKS  FOR  CENTRAL  LINE  PLACEMENT   •  LIST  FREQUENT  COMPLICATIONS  OF  CENTRAL   VENOUS  ACCESS  &  WAYS  TO  AVOID  THEM  
  • 4.
    HISTORY   • 1656-­‐  original  infusions  of  wine,  ale,  &  opium into  dog • 1680s-­‐  animal  blood  into  humans-­‐  results  led to  unpopularity!
  • 5.
    HISTORY   • 1700-­‐1800s-­‐  various  experiments  to  measure arterial,  venous  &  cardiac  pressures • First  experiments  in  early  20th  century  in Germany • Wanted  a  way  to  introduce  emergency  drugs close  to  the  heart  (Forssmann,  1929)
  • 6.
    HISTORY   • 1940s-­‐  introducbon  of  PVC  catheters  for  IVs revolubonizes  field • 1956-­‐  Cournand,  Forssman    &  Richards  won Nobel  Prize  for  Medicine
  • 7.
    Further  development   •Locabons:   – Infraclavicular  subclavian-­‐  1952  Aubaniac   – Internal  jugular  approach-­‐  1968  English   • Why?   – Nutribon   – Chemotherapy   – Direct  access  for  drugs  
  • 8.
    CVCs  today   •>  5  million  placed/year  in  the  US  alone   (McGee  &  Gould,  2003)   • >  15%  have  complicabons   – Mechanical-­‐  5-­‐19%   – Infecbous-­‐  5-­‐26%   – Thrombobc-­‐  2-­‐26%  
  • 9.
    implicabons   • Significant  morbidity-­‐  potenbally  >750,000   have  complicabons   • Significant  cost-­‐  $16,550/  infecbon  (CDC,   2011)   • Reducbon  in  CLABSI  2001-­‐2009-­‐  save  $2   billion  in  excess  costs  &  6000  lives  
  • 10.
    Major  uses   •Access   – Poor  peripheral   – Need  for  volume..?  
  • 11.
    Side  note:  Fr  vs  gauge   • French  relates  to  external  diameter,  &  is  a   mulbple  of  3   – 1  Fr  =  .33mm  OD,  3  Fr  =1  mm  OD,  6  Fr  =  2  mm  OD   etc   – DOES  NOT  INDICATE  INTERNAL  DIAMETER!!   • Gauge  refers  to  internal  &  external   diameter..kind-­‐of..   – E.g.  14  G  =  2.1mm  OD  &  1.6mm  ID.  Similar  to  6  Fr   OD  
  • 12.
    Major  uses   •Determinabon  of  CV  funcbon   – CVP  measurement   – PA  catheter  placement   • Nutribon  
  • 13.
    Not  much  of  a  decision   • Ultrasound  vs  Landmark   • Less  arterial  punctures   • Less  overall  sbcks   • Beoer  first  aoempt  success   • Quicker  
  • 14.
    Remember..   • There  is  a  learning  curve!  
  • 15.
    Classic  “central”  approach   • Idenbfy  the  triangle  formed  by  clavicular  head/ s ternal  head  of  the  sternocleidomastoid   Vein  is  typically  anterior  &  lateral  to  artery  at  the   level  of  cricoid  carblage     • Lower  down  the  neck,  the  vein  becomes   relabvely  medial,  &  risk  of  pneumothorax   increases-­‐  stay  away!   • Higher  up  the  neck,  the  risk  of  brachial  plexus   or  phrenic nerve injury increases-stay away!  
  • 16.
  • 17.
  • 18.
    Mechanical  complicabons   •Arterial  cannulabon/  injury   – Puncture:  6.3-­‐  9.4%  (McGee  &  Gould,  2003)   – Cannulabon:  most  recent  work,  incidence  of  1%,   but  range  from  .07-­‐1%  (Bowdle)   – Closed  claims  data  not  encouraging!   • 5/14  died   – Other  risks  include  stroke  &  addibonal  surgery,   LOS  
  • 19.
    5353 the right sideof the neck carefully using a portable ultrasound (US) machine (IMAGIC Agile, Kontron Medical, WA, USA) with a linear, high frequency transducer (7.5–12 MHz). Care was taken to apply minimal pressure on the probe to prevent collapse of the IJV. Imaging showed a single pulsatile vessel, which was non compressible suggestive of the carotid artery with right sided IJV has also been reported in a 12-year-old boy during US evaluation prior to attempted cannulation.[4] In another report, IJV agenesis was discovered during neck dissection. Patients who require removal of IJV due to disease infiltration may have potentially life-threatening complicationofcerebraledemaiftheotherIJVisaplastic.[5] Figure 1: Ultrasound image of the right side of the neck showing absence of internal jugular vein. CA: Carotid artery Figure 2: Ultrasound image of the left side of the neck showing normal anatomy. CA: Carotid artery; IJV: Internal jugular vein
  • 20.
    Next  step   •Scan  neck  up  &  down  above  “standard”  entry   site  to  visualize  course  of  vein  &  artery   • Local  anesthebc?   • As  early  as  possible      
  • 21.
    Next  step     • Center  vein,  enter  at  30-­‐45  degree  angle   about  1cm  away  from  probe   • Enter  medial  to  guide  line,  aim  slightly  lateral   • Ideally,  follow  needle  bp  “down”  to  vein   • Watch  screen,  but  aspirate  as  you  advance  
  • 23.
    A  word  about  sedabon..   • Less  is  more   • With  good  LA,  should  not  be  painful  
  • 24.
    Next  step   •Enter  vein  using  either  “big”  needle  or  some   prefer  18G  catheter;  advantages  to  both     – Catheter-­‐  less  prone  to  pop  out  of  vein,  but  can  be   more  difficult  to  advance   – Needle-­‐  good  flow,  easy  to  advance  wire  BUT   must  keep  very  sbll   • Advance  wire-­‐  MUST  THREAD  EASILY   • Need  to  check  for  venous  placement  
  • 31.
    Placing  the  line   • Triple  lumen   – Scalpel/dilator/line   – Secure  around  15cm   • Introducer/Swan   – Line  is  on  dilator   – Remember  the  dilator  is  rigid  &  pointy!   – Line  goes  to  hub     • Both-­‐  ensure  wire  is  free  as  you  advance  line  
  • 33.
    Leu  IJ  lines   • Increased  risk,  but  beoer  choice  in  some   people   -Shorter  length  to  subclavian-­‐  extra  care  with   dilator,  &  may  need  to  pull  back  introducer  for   Swan   -Increased  risk  of  lung  injury   • Risk  of  thoracic  duct  injury    
  • 34.
    More  bad  things  about  the  leu   • Vein  crosses  over  artery  more  easily  with   turning  head   • Unfamiliarity  
  • 35.
    Subclavian  lines   •Small  roll  between  shoulders-­‐  improves  access   • Midpoint  of  clavicle,  2-­‐3  cm  back   – Aim:  to  avoid  poinbng  needle  down   – Some  clinicians  bend  needle  for  same  effect   • Point  needle  towards  sternal  notch  – Some  hold  leu  hand  on  notch  to  keep  “target”  • Advance  needle  with  negabve  pressure   • unbl in vein  
  • 36.
    Subclavian  bps   •Must  use  needle-­‐  catheter  may  kink   • If  unsuccessful,  point  needle  more  cephalad   • Keep  passes  to  minimum;  avoid  bilateral   aoempts  
  • 37.
    More  subclavian  bps   • If  line  is  for  thoracic  surgery,  on  same  side   • If  pt  has  pathology  in  one  lung  (e.g.   pneumothorax),  line  on  same  side   • Wire  may  not  go  where  you  want  it   – If  pt  is  awake,  ear/  neck  pain  may  indicate  wire  in   IJ   – If  pt  is  asleep,  look  for  ectopy   – Always  X  Ray  
  • 38.
    Subclavian  &  U/s   • Not  typically  recommended   • Can  be  useful  to  idenbfy  normal  anatomy   prior  to  starbng  procedure  
  • 39.
    No  complicabons  with  u/s..?   Accidental Carotid Artery Catheterization During Attempted Central Venous Catheter Placement: A Case Report Pauline Marie Maietta, CRNA, MS 2.1 million central venous catheters are hile carotid artery cannulation is stating. Anesthesia provid- ous catheters in perative sion of technique for central venous catheterization, indications for suspicion of arterial puncture, methods for confirming venous or arterial placement, appro- priate methods for management of carotid artery cannulation, and the benefit of ultrasound in centra venous cannulation follow. Through the appropria f equipment, early detection and manageme ry injury, and proper training, pat roved. tion, c (Maieoa,  2012)  
  • 40.
    U/s  examined   •Operator  error  could  be  an  issue   • We  cannot  see  whole  length  of  wire  • Pressure  transducbon  could  prevent  arterial   cannulabons  not  detected  by  other  means-­‐   approx  0.8%  of  all  aoempted  (Ezaru,  2009)   – That’s  potenbally  40,000  cases/yr!!   • Should  we  use  pressure  measurement  for  all?
  • 41.
    residents placing theCVC in each of the six cases were credentialed by their hospital in emergency ultrasound based on American College of Emergency Physicians ultrasound criteria. All residents received a 2-day introductory ultrasound course, which included 3 hours of didactic and hands-on education in ultrasound-guided vascular access. Table 3 summarizes each of the six cases, including as analysis of the error based on a video review of the ultrasound-guided arterial cannulation. Age Mechanism of injury Outcome 67 Needle went through IJ into Carotid artery Patient Died 75 Needle went though femoral vein into femoral artery Vascular surgery for AV fistula 48 Needle went though IJ and entered carotid artery sitting underneath the IJ Surgery for tear and focal dissection of carotid artery 67 Guidewire traveled through IJ and its posterior wall and into carotid artery Hematoma with respiratory distress requiring emergent intubation. 69 Needle penetrated the carotid artery which was very close to the IJ Emergency carotid artery repair; Patient died of complications 14 Needle penetrated rear wall of IJ and entered carotid artery Central line removed and bleeding eventually stopped Table 3: Analysis of six accidental arterial cannulations with dynamic ultrasound guidance The mechanism of injury in 5 of the 6 cases involved passage of the needle through the vein, out its posterior wall, and into the artery. This highlights the importance of confirming the location of the tip of the needle prior to inserting the guidewire. The author concluded, “In summary, the short-axis approach, as seen in this series, can provide a false sense of security to the practitioner and allows for potentially dangerous accidental arterial cannulation…it may be prudent to not only visualize the entire path of the needle with the long-axis approach but also confirm correct cannulation by tracing the guidewire in the long axis before line placement.” However, it is important to realize that even with multiple ultrasound views of needles or wires, misdiagnosis remains a possibility. For example, as noted in the case below (see Figure 6), it is possible for a needle and wire to pass through the internal jugular vein and into the Source:  Bowdle,  nd  
  • 42.
    Some  general  comments   About  complicabons   • Site  dependent   • Provider  dependent-­‐  VOLUME  OF   PROCEDURES   • Procedure  dependent  
  • 43.
    Our  study   •Wanted  to  examine  complicabon  rates  in   CVCs  placed  by  CRNAs  vs  MDs   • Easy  access  to  QI  database   • Problem   – Polibcal   – Numbers-­‐  a  vicbm  of  our  own  success  
  • 44.
    Major  complicabons     • Mechanical   – Vessel  or  nerve  injury   – Pneumothorax/  hemothorax   • Infecbous   • Thrombobc  
  • 45.
    Mechanical  complicabons   •Vein  injury   – Vein  is  thin  walled  relabve  to  artery-­‐  more  prone   to  damage   – Can  be  acute  during  line  placement   – Or  later  as  result  of  erosion  
  • 46.
    What  we  found   • Hematoma-­‐  1/359  (.003%)   • Cannulabon-­‐  0  
  • 47.
    Pneumothorax   • Incidence  varies  according  to  site  (duh!)   • Commonest  with  subclavian  (1.5-­‐3.1%)   • Rare  but  seen  with  IJ  (.2%)  
  • 48.
    What  we  found   • 9/359  pts  =  2.5%   • Typical  incidence  =  0.1-­‐0.2%   • BUT  rate  of  ptx  in  cardiac  surgery  =  0.7-­‐5.3%   (higher  with  IMA  harvest)  (Weissman,  2004)  
  • 49.
    hemothorax   • Result  of  vessel  injury,  typically  venous   • Rare,  but  significant  mortality  (92%  in  Closed   Claims)   • Remember:  veins  are  fragile  
  • 50.
    Thrombobc  complicabons   •Significant  issue  outside  of  the  OR   • Incidence  cited  varies  e.g  1.9%  of  subclavian   lines  (McGee,  2003)   • With  thrombosis  comes  risk  of  embolizabon   • Probably  related  to  durabon  
  • 51.
    Thrombosis:more   • Contact  with  vein  wall  is  probably  a  big  risk  for   thrombosis  (Fletcher  &  Bodenham,  2000)   • Therefore  posiboning  is  key   • Think  post-­‐op  CXR  
  • 52.
    Infecbous  complicabons:  background   • Interest  in  Healthcare  Acquired  Infecbons   (HAI)  has  increased  dramabcally-­‐  in  response   to  the  problem   • Priority  of  WHO,  IOM,  CDC,  TJC,  &  a  hospital   near  you..   • 1.7  million  infecbons  &  99,000  deaths  in  the   US  from  HAI  (TJC,  2012)  
  • 53.
    Infecbon:  cvcs   •CLABSI:  Central  Line-­‐  Associated  Blood  Stream   Infecbon   • Est  80,000  CLABSI/  year  in  ICU  alone   • Mortality:  difficult,  but  maybe  10,000  yr   • Cost  significant:  >$16,000  per  case  
  • 54.
    More  specifics   •Most  risk  =  femoral  line   • Next,  Internal  Jugular-­‐  ?  Due  to  proximity  to   mouth   • Least  risk  =  subclavian  
  • 55.
    What  we  found   • 2  infecbons  (.006%)   • Preliminary:  no  associabon  with  “difficult   inserbon”,  second  line(31  pabents),  diabetes   or  line  durabon   • ..but  average  line  durabon  3.03  days  
  • 56.
    patient safety initiativescan be found in Chapter 4. Chapter 3 contains a comprehensive review of the recom- mended strategies and techniques for preventing CLABSIs. route has been associated with more prolonged CVC dwell time (for example, in place for more than 10 days), including tunneled CVCs such as Hickman- and Broviac-type catheters and PICCs. Figure 1-1. Routes for Central Venous Catheter Contamination with Microorganisms Potential sources of infection of a percutaneous intravascular device (IVD): the contiguous skin flora, contamination of the catheter hub and lumen, contamination of infusate, and hematogenous colonization of the IVD from distant, unrelated sites of infection. HCW: health care worker. Source: Crnich CJ, Maki DG. The promise of novel technology for the prevention of intravascular device-related bloodstream infection. I. Pathogenesis and short-term devices. Clin Infect Dis. 2002 May 1;34(9):1232–1242. Used with permission. Source:  TJC,  2012  
  • 58.
    What  can  we  do?   • Is  the  line  really  needed? – Minimum  number  of  lumens • Hand  hygiene • Asepbc  technique o Maximal barrier technique o Right prep o Antibiotic impregnated line/dsg   –     • Ultrasound-­‐  diminished  #  of  aoempts
  • 59.
    A  word  about  scrub  the  hub!   • Focus  of  TJC  in  recent  years   • Anesthesia  compliance…sub-­‐opbmal!!   • 15  second  scrub  with  alcohol   • ..or  the  “orange  cap”  
  • 60.
    Miscellaneous  issues   •Experience   – Like  surgical  cases,  experience  counts   – Sznajder  et  al  (1986)-­‐  Experience  with  >  50  CVCs  =   ½  rate  of  complicabon  compared  with  <  50  CVCs   – >  3  aoempts  =  8  x  mechanical  complicabon  rate   • Quesbon:  should  everybody  put  in  lines?  
  • 61.
    In  closing   •U/S  may  not  be  essenbal,  but  does  offer   benefits   • Consider  using  manometry  to  check   placement  even  with  U/S   • HAND  HYGIENE!!  (Scrub  the  hub  too)  
  • 62.
    references   • Aljure,O.,  Casbll-­‐Pedraza,  C.,  Mitzova-­‐Vladinov,  G.,  Maraeta,  E.  (2015).  Right  internal  jugular  cross-­‐secbonal  area:  is  there  an   opbmal  area  for  cannulabon?  Jnl  of  the  Associa1on  for  Vascular  Access  20(1):  22-­‐25.   • Bowdle,  TA.  Arterial  cannula1on  during  central  line  placement:  mechanisms  of  injury,  preven1on  &  treatment. • Ezaru  et  al.  (2009).  Eliminabng  arterial  injury  during  central  venous  catheterizabon  using  manometry.  Anesth  Analg  109: 130-­‐4.   • Fletcher  &  Bodenham.  (2000).  Safe  placement  of  central  venous  catheters:  where  should  the  bp  lie?  Brit  Jnl  Anaes  85:   188-­‐91.   • Hamilton  &  Bodenham  (eds).  (2009).  Central  venous  catheters.  Chichester:  Wiley  Blackwell. • Maieoa.  (2012).Accidental  carobd  artery  catheterizabon  during  aoempted  central  venous  catheter  placement:  a  case   report.AANA  Jnl  80(4):  251-­‐  255.   • McGee  &  Gould.  (2003).  Prevenbng  complicabons  of  central  venus  catheterizabon.  NEJM  348:  1123-­‐33   • Seo  et  al.  (2008).  Perforabon  of  the  superior  vena  cava  during  liver  transplantabon:  a  case  report.  Korean  Jnl  Anesth  55(4):   506-­‐10   • Sznajder  et  al.  (1986).  Central  vein  catheterizabon:  failure  &  complicabon  rates  by  3  percutaneous  approaches.  Arch  Int  Med 146:  259-­‐61.   • The  Joint  Commission.  (2012).  Preven1ng  central-­‐line  associated  bloodstream  infec1ons:  a  global  perspec1ve.  OakBrook,  Il:   Joint  Commission  Resources