Asthma Management
Phenotypes based approach
Gamal Rabie Agmy, MD, FCCP
Professor of chest Diseases, Assiut university
Asthma is a heterogeneous disease, usually
characterized by chronic airway inflammation.
It is defined by the history of respiratory
symptoms such as wheeze, shortness of breath,
chest tightness and cough that vary over time
and in intensity, together with variable expiratory
airflow limitation.
Definition of asthma
NEW!
GINA 2014
• Increased probability that symptoms are
due to asthma if:
– More than one type of symptom (wheeze,shortnessof breath,cough,chesttightness)
– Symptomsoften worseat night or in the early morning
– Symptomsvary overtime and in intensity
– Symptomsare triggered by viral infections,exercise,allergen exposure,changesin weather,
laughter,irritants such as car exhaustfumes,smoke,or strong smells
• Decreased probability that symptoms are due to
asthma if:
– Isolated coughwith no other respiratory symptoms
– Chronic productionof sputum
– Shortness of breath associated with dizziness,light-headedness orperipheraltingling
– Chestpain
– Exercise-induced dyspneawith noisy inspiration(stridor)
Diagnosis of asthma – symptoms
GINA 2014
• Confirm presence of airflow limitation
– Document that FEV1/FVC is reduced (at least once, when FEV1 is low)
– FEV1/ FVC ratio is normally >0.75 – 0.80 in healthy adults, and
>0.90 in children
• Confirm variation in lung function is greater than in healthy individuals
– The greater the variation, or the more times variation is seen, the greater
probability that the diagnosis is asthma
– Excessive bronchodilator reversibility (adults: increase in FEV1 >12% and
>200mL; children: increase >12% predicted)
– Excessive diurnal variability from 1-2 weeks’ twice-daily PEF monitoring (daily
amplitude x 100/daily mean, averaged)
– Significant increase in FEV1 or PEF after 4 weeks of controller treatment
– If initial testing is negative:
• Repeat when patient is symptomatic, or after withholding bronchodilators
• Refer for additional tests (especially children ≤5 years, or the elderly)
Diagnosis of asthma – variable airflow
limitation
GINA 2014, Box 1-2
© Global Initiative for Asthma
Time (seconds)
Volume
Note: Each FEV1 represents the highest of
three reproducible measurements
Typical spirometric tracings
FEV1
1 2 3 4 5
Normal
Asthma
(after BD)
Asthma
(before BD)
Flow
Volume
Normal
Asthma
(after BD)
Asthma
(before BD)
GINA 2014
• Physical examination in people with asthma
– Often normal
– The most frequent finding is wheezing on auscultation, especially on
forced expiration
• Wheezing is also found in other conditions, for example:
– Respiratory infections
– COPD
– Upper airway dysfunction
– Endobronchial obstruction
– Inhaled foreign body
• Wheezing may be absent during severe asthma exacerbations (‘silent
chest’)
Diagnosis of asthma – physical examination
GINA 2014
GINA 2014, Box 1-1 © Global Initiative for Asthma
NEW!
Asthma Pathology
Asthma is a chronic inflammatory disease associated with airway
hyperresponsiveness (AHR), short-term consequences…
Airway obstruction
and symptoms by:
Bronchoconstriction
Mucus plugs
Mucosal edema
Inflammatory cell
infiltration/activation
Remodelling:
Increased vascularity
Epithelial cell disruption
Increased airway smooth
muscle mass
(hyperplasia)
Reticular basement
membrane thickening
…and long-term consequences
Bousquet J et al. Am J Respir Crit Care Med 2000;161:1720–1745;
Beckett PA et al. Thorax 2003;58:163–174
Asthma Inflammation
Asthma Timeline
◙ For revealing the complexity and the
heterogeneity of this disease, asthma patients
were grouped into subtypes called phenotypes.
◙ Term ‘phenotype’ describes subtypes of
asthma focused on ‘clinically observable
characteristics’ of a disease.
Therefore, there are many ‘definitions’ for asthma phenotypes,
many of which are related to differences in symptoms and
severity rather than to differences in underlying mechanisms. but
this kind of subtyping does little to help understand prognosis
and target therapy.
When a link can be made between clinical characteristics and
molecular pathways, the term endotype can be introduced
to describe distinct subtypes with a defining etiology and
consistent pathobiologic mechanisms.
The definition of a true phenotype (or endotype)
requires an underlying pathobiology with
identifiable biomarkers and genetics .
Gene-expression profiling allows definition of
expression signatures to characterize patient
subgroups, predict response to treatment, and
offer novel therapies.
Asthma Endotypes: categories
1. TH2-associated asthma
– Allergic asthma
– Early-onset allergic asthma
– Late-onset persistenteosinophilic asthma
– Aspirin exacerbated airwaydisease (AERD)
– Exercise induced asthma
2. Non Th2-associated asthma
– Obesity-related asthma
– Neutrophilic asthma
– Smoking asthma
Asthma Endotypes: categories
Asthma Endotypes: categories
1. TH2-associated asthma
– Allergic asthma
– Early-onset allergic asthma
– Late-onset persistenteosinophilic asthma
– Aspirin exacerbated airwaydisease (AERD)
– Exercise induced asthma
2. Non Th2-associated asthma
– Obesity-related asthma
– Neutrophilic asthma
– Smoking asthma
TH2-associated asthma
Allergic asthma (Virus induced asthma)
Asthma Phenotypes: categories
1. TH2-associated asthma
– Allergic asthma
– Early-onset allergic asthma
– Late-onset persistenteosinophilic asthma
– Aspirin exacerbated airwaydisease (AERD)
– Exercise induced asthma
2. Non Th2-associated asthma
– Obesity-related asthma
– Neutrophilic asthma
– Smoking asthma
TH2-associated asthma
Early-onset allergic asthma
• Clinical characteristics :
– This group of asthmatic patients developed their
disease in childhood, and maintained their symptoms
into adulthood. . The majority of early-onset allergic
asthma is mild but that an increasing complexity of
immune processes leads to greater severity.
– Most people with asthma are likely to have this
phenotype.
– Positive skin prick tests, specific IgE antibodies in
serum, eosinophilia in the peripheral blood.
TH2-associated asthma
Early-onset allergic asthma
• Genetics:
– Early-onset allergic patients commonly have a family
history of asthma, suggesting a genetic component.
– Several Th2 cytokine SNPs
– Higher numbers of mutations in TH2-related genes
(IL4, IL13, IL4Rα ) associated with greater severity of
disease.
• Biomarkers:
– Positive SPT, elevated IgE/elevated FeNO
– Th2 cytokines IL-4 ,IL-5 , IL-9, IL-13, and periostin
measured in sputum, BAL, serum and bronchial
biopsies.
TH2-associated asthma
Early-onset allergic asthma
• Treatment responses:
– Corticosteroid-responsive.
– Th2 Targeted therapy:
– Anti IgE (omalizumab)in Severe allergic asthma.
– Anti–IL-13( lebrikizumab) in Allergic asthma with
dominant IL-13 activation . Surrogate marker
predicting better response is high circulating levels of
periostin.
– Inhaled IL-4Rα antagonist. Surrogate marker
predicting better response is IL-4 receptor a
polymorphism.
Asthma Phenotypes: categories
1. TH2-associated asthma
– Allergic asthma
– Early-onset allergic asthma
– Late-onset persistenteosinophilic asthma
– Aspirin exacerbated airwaydisease (AERD)
– Exercise induced asthma
2. Non Th2-associated asthma
– Obesity-related asthma
– Neutrophilic asthma
– Smoking asthma
TH2-associated asthma
Late-onset persistent eosinophilic asthma
• Clinical characteristics:
– The majority of this group develops disease in adult
life, often in the late 20s to 40s.
– Severe from onset, Severe exacerbations with
persistent sputum eosinophilia (>2%), despite
corticosteroidtherapy.
– less clinical allergic responses( non atopic) than
early-onset asthma.
– It is often associated with sinus disease.
TH2-associated asthma
Late-onset persistent eosinophilic asthma
• Genetics:
– Few patients in this group have a family history of
asthma.
– little is known regarding the genetics of adult onset
persistent asthma.
TH2-associated asthma
Late-onset persistent eosinophilic asthma
• Biomarkers:
– Lung eosinophilia. Persistent sputum eosinophilia (≥2%)
– The lack of clinical allergy in this phenotype suggests that
the TH2 process differs from and is probably more
complex than the one associatedwith the early-onset
allergic phenotype but the presence of IL-13 and IL-5 in
the lower airways confirm Th2 pathway.
– Some individuals show sputum neutrophilia intermixed
with their eosinophilic process. This mixed inflammatory
process implies that there are interactions of additional
immune pathways with TH2 immunity, including
activation of pathways related to IL-33 and IL-17 .
– Elevations in FeNO
TH2-associated asthma
Late-onset persistent eosinophilic asthma
• Treatment responses:
– persistent eosinophilia in late-onset disease inspite of
ICS implies that the TH2 process in this type of asthma is
refractory to corticosteroids but high systemic doses of
corticosteroids are generally able to overcome this
refractoriness in late-onset asthma.
– IL-5 targeted therapy may show much better efficacy in
this endotype, compared in early-onset allergic asthma
patients, as IL-5 dependent eosinophilia may be more
important in this potential endotype. (decreasing
exacerbations and systemic corticosteroid requirements)
– IL-4 and IL-13 targeted therapy pathway.
Asthma Phenotypes: categories
1. TH2-associated asthma
– Allergic asthma
– Early-onset allergic asthma
– Late-onset persistenteosinophilic asthma
– Aspirin exacerbated airwaydisease (AERD)
– Exercise induced asthma
2. Non Th2-associated asthma
– Obesity-related asthma
– Neutrophilic asthma
– Smoking asthma
TH2-associated asthma
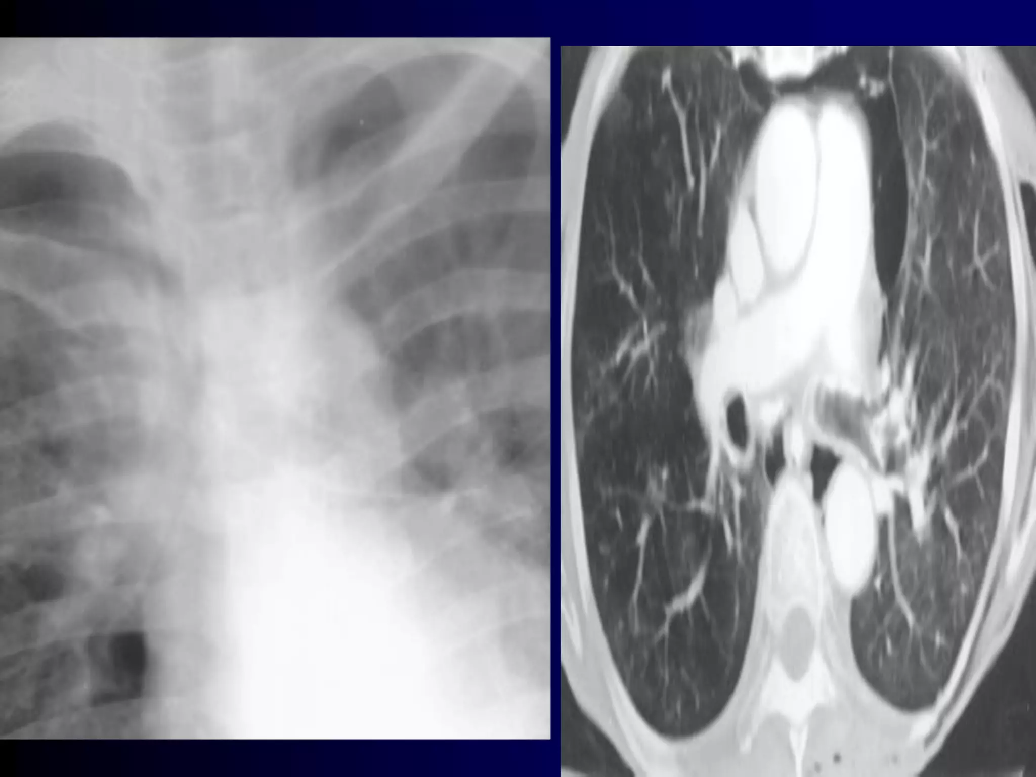
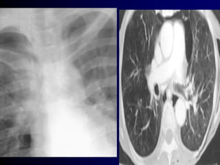
Aspirin exacerbated airway disease (AERD)
• AERD is probably a subendotype or a similar endotype.
It is an acquired condition on top of an intrinsic or less
frequently allergic asthma and thus, despite its peculiar
sensitivity to NSAIDs, still has major overlap with these
conditions.
• Clinical characteristics :
– AERD is frequently progressivesevere asthma starts
late in life and is associated with eosinophilia and
sinus disease Polyposis.
– Response to aspirin challenge
• Genetics :
– LT-related gene polymorphisms.
– Gene-expression study identified upregulation of
periostin a potent regulator of fibrosis and
collagen deposition has also been identified in
polyps of and in airwayepithelial cells of patients
with AIA.
– Overexpression of periostin has been associated
with accelerated cell growth and
angiogenesis(subtype).
• Biomarkers:
– high cysteinyl leukotriene level.
TH2-associated asthma
Aspirin exacerbated airway disease (AERD)
• Treatment responses :
– Many patients require systemic corticosteroids to
control their sinusitis and asthma.
– Leukotriene modifiers especially 5-LO inhibitors
can have a robust impact on the AERD subset.
– Downregulation of periostin after treatment of
asthmatic patients with corticosteroids suggests that
normalization of periostin expression is a part of the
therapeutic effects of corticosteroids. This opens a
possibility of specifically targeting periostin in future
therapies for nasal polyps and asthma
TH2-associated asthma
Aspirin exacerbated airway disease (AERD)
TH2-associated asthma
Aspirin exacerbated airway disease (AERD)
Asthma Phenotypes: categories
1. TH2-associated asthma
– Allergic asthma
– Early-onset allergic asthma
– Late-onset persistenteosinophilic asthma
– Aspirin exacerbated airwaydisease (AERD)
– Exercise induced asthma
2. Non Th2-associated asthma
– Obesity-related asthma
– Neutrophilic asthma
– Smoking asthma
• Clinical characteristics:
– Exercise induced asthma refers to asthma whose
symptoms are experienced primarily after exercise.
EIA is a milder form of TH2 asthma.
– Consistent with a relationship to TH2 processes, EIA
common in atopic athletes and high percentages of
eosinophils and mast cells and their mediators .
• Biomarkers:
– Th2 cytokines and cysteinyl leukotriene
• Genetics:
– No distinct genetic factors .
TH2-associated asthma
Exercise induced asthma
Slide 49
Benefits of LTRAs in
Activity-Induced Asthma
• Leukotrienes are important mediators of exercise-triggered
asthma episodes.1
• Both the LTRA montelukast and the LABA salmeterol
provide benefit in terms of chronic symptom control.2,3
– Montelukast may provide better bronchoprotection against
exercise-triggered asthma.4,5
– SABA rescue therapy may be more effective postexercise.2
Slide 49
LTRAs=leukotriene receptor antagonists; LABA=long-acting β-agonist; SABA=short-acting β-agonist.
1. O’Byrne PM. Am J Respir Crit Care Med. 2000;161:S68–S72. 2. Storms W et al. Respir Med. 2004;98:1051–1062. 3. Wilson AM et al.
Chest. 2001;119(4):1021–1026. 4. Villaran C et al. J Allergy Clin Immunol. 1999;104(3, pt 1):547–553. 5. Edelman JM et al. Ann Intern Med. 2000;
132(2):97–104.
TH2-associated asthma
Exercise induced asthma
Ann AllergyAsthma Immunol 2010
Slide 51
Study Design1
E=exercise challenge.
1. Fogel RB et al. Ann Allergy Asthma Immunol. 2010;104:511–517.
(n=78) Montelukast 5 mg +
placebo for salmeterol
Salmeterol 50 µg twice daily +
placebo for montelukast
(154) Fluticasone
100 µg twice daily
–4
Week
6 100 4
Active TreatmentRun-In Active Treatment Washout
E
Fluticasone
100 µg twice daily
(n=76) Salmeterol 50 µg twice daily +
placebo for montelukast
Montelukast 5 mg +
placebo for salmeterol
E E
Slide 51
Efficacy End Points1
Minutes Postchallenge
This article was published in the Annals of Allergy, Asthma & Immunology, 104, Fogel RB, Rosario N, Aristizabal G, et al, Effect of montelukast or
salmeterol added to inhaled fluticasone on exercise-induced bronchoconstriction in children, 511–517, ©2010 American College of Allergy, Asthma &
Immunology.
AUC0–20 min=area under the curve for the first 20 minutes after exercise; FEV1=forced expiratory volume in 1 second.
1. Fogel RB et al. Ann Allergy Asthma Immunol. 2010;104:511–517.
Slide 52
MeanPercentageChange
FromPrechallenge
0 5 10 15 20 25 30 35 50
End of exercise, start of spirometry
–30
–20
–10
0
10
ExerciseChallenge
β-agonist use
1st 2nd
Return to within 5%
of the preexercise
baseline FEV1
20
Time to recovery to within
5% of the preexercise
baseline FEV1
AUC0–20 min
Max % fall in FEV1
Slide 52
Montelukast Provided Better
Bronchoprotection After Exercise
Than Salmeterol1
Mean±SDMaximum%
FallinFEV1
Slide 53
SD=standard deviation; FEV1=forced expiratory volume in 1 second; LS=least squares.
aOn a background of inhaled fluticasone.
1. Fogel RB et al. Ann Allergy Asthma Immunol. 2010;104:511–517.
Maximum % Fall in FEV1 (Primary End Point)
Slide 53
LS mean difference:
–3.3% (P=0.009)
Salmeterola
(n=144)
–10.6 ± 12.2
–13.8 ± 12.5
–20
0
–10
–15
–5
Montelukasta
(n=144)
Montelukast Maintained Bronchoprotective
Effects After Exercise Challenge1
Mean±SE%Change
FromPrechallenge
This article was published in the Annals of Allergy, Asthma & Immunology, 104, Fogel RB, Rosario N, Aristizabal G, et al, Effect of montelukast or
salmeterol added to inhaled fluticasone on exercise-induced bronchoconstriction in children, 511–517, ©2010 American College of Allergy, Asthma &
Immunology.
FEV1=forced expiratory volume in 1 second; SE=standard error.
1. Fogel RB et al. Ann Allergy Asthma Immunol. 2010;104:511–517.
Minutes Postchallenge
Pre-
challenge
0 5 10 15 20 25 30 35 50
Montelukast (n=144)
Salmeterol (n=144)
–15
–10
–5
0
10
5
Short-acting β-agonist rescue
Change in FEV1 Over Time
Slide 54
Montelukast Reduced the Extent
and Duration of Bronchoconstriction1
Slide 55
AUC0–20 min=area under the curve for the first 20 minutes after exercise; FEV1=forced expiratory volume in 1 second; LS=least squares;
SD=standard deviation.
1. Fogel RB et al. Ann Allergy Asthma Immunol. 2010;104:511–517.
AUC0–20 min for FEV1 Following Exercise Challenge
Mean±SDAUC0–20min,
%•min
Salmeterol
(n=144)
0
Montelukast
(n=144)
LS mean difference:
–52.7% (P=0.006)
116.0
168.8
250
100
50
150
Slide 55
200
Montelukast Reduced the Time
to Recovery1MedianTime,min
Slide 56
FEV1=forced expiratory volume in 1 second; LS=least squares.
1. Fogel RB et al. Ann Allergy Asthma Immunol. 2010;104:511–517.
Time to Recoveryto Within 5% of Preexercise FEV1
Salmeterol
(n=142)
Montelukast
(n=141)
LS Mean Difference: 1.3
(P=0.04)
Slide 56
0
5.9
11.1
14
6
2
10
4
8
12
Children Remained More Responsive
to SABA Rescue With Montelukast1
Slide 57
SABA=short-acting β-agonist; FEV1=forced expiratory volume in 1 second; LS=least squares.
1. Fogel RB et al. Ann Allergy Asthma Immunol. 2010;104:511–517.
Average % Change in FEV1 Following First SABA Use
Slide 57
Average%ChangeinFEV1
FromPreexerciseBaseline
Salmeterol
(n=144)
0
Montelukast
(n=144)
LS mean difference:
3.8% (P<0.001)
6.5
2.7
8
4
2
6
10
Slide 58
Summary and Conclusions
• In a study of children aged 6 to 14 years receiving an ICS
for the treatment of persistent asthma (N=154):
– Montelukast provided superior bronchoprotection
compared with LABA therapy.
– Children remained more responsive to SABA rescue while
on montelukast compared with LABA therapy.
• Montelukast + an ICS may provide better protection against
exercise-triggered asthma than a LABA + an ICS.
ICS=inhaled corticosteroid; LABA=long-acting β-agonist; SABA=short-acting β-agonist.
1. Fogel RB et al. Ann Allergy Asthma Immunol. 2010;104:511–517.
Slide 58
Montelukast Activity-Induced Asthma Study (6–14 years)
Summary
Adapted from Kemp JP et al J Pediatr 1998;133(3):424-428; Data on file, MSD.
Clinical Benefits
Reduced the Extent of EIB
Reduced the Duration of EIB
Reduced the Recovery Time From EIB
Tolerability
As Placebo
Asthma Phenotypes: categories
1. TH2-associated asthma
– Allergic asthma
– Early-onset allergic asthma
– Late-onset persistenteosinophilic asthma
– Aspirin exacerbated airwaydisease (AERD)
– Exercise induced asthma
2. Non Th2-associated asthma
– Obesity-related asthma
– Neutrophilic asthma
– Smoking asthma
• Whether obesity is a driving component in asthma
development or a mere confounder or comorbidity of its
presence remains controversial.
• It is likely that obesity differentially impacts asthma that
develops early in life, as compared to later in life, being a
more prominent independent contributor in later onset
disease.
• So a distinct obesity-related asthma phenotype seems to
occur only in non-TH2 asthma.
Non TH2-associated asthma
Obesity related Asthma
• Clinical characteristics:
– Patients in this group are commonly women, obese,
late onset (mid-40s), less allergic (obesity is neither a
risk factor for atopy nor a risk factor for allergic
asthma).with a high burden of symptoms.
• Biomarkers:
– High expression of non Th2 mediators such as tumor
necrosis factor (TNF)-a, IL-6 .
– Hormones of obesity, such as adiponectin, leptin,
and resistin either alone or in association with
increased oxidative stress.
– Elevations in an endogenous inhibitor of iNOS,
asymmetric dimethyl arginine (ADMA).
– lower amounts of FeNO, fewer eosinophils.
Non TH2-associated asthma
Obesity related Asthma
• Treatment responses:
– Patients of this subgroup usually respond poorly to
corticosteroids.
– Bariatric surgery induced weight loss was associated
with profound improvements in lung function and
symptoms in obese asthma.
– However, the effect of weight loss on bronchial hyper
responsiveness was only shown in late-onset,
nonallergic (non-Th2) asthma patient, consistent with
late onset obese asthma being a separate endotype.
This is further supported by the increase in ADMA in
associationwith worsening severity and control in
late onset obese asthma only.
Non TH2-associated asthma
Obesity related Asthma
Asthma Phenotypes: categories
1. TH2-associated asthma
– Allergic asthma
– Early-onset allergic asthma
– Late-onset persistenteosinophilic asthma
– Aspirin exacerbated airwaydisease (AERD)
– Exercise induced asthma
2. Non Th2-associated asthma
– Obesity-related asthma
– Neutrophilic asthma
– Smoking asthma
• Smoking has a complex relationship with asthma. It is
associatedwith deteriorating lung function and
resistanceto corticosteroids.
• Smoking asthma has been associated with neutrophilia
in lung tissue.
• It is unknown if smoking asthma is a subtype of
neutrophilic asthma or an independent endotype . Since
not all smoking asthma is accompanied by neutrophilia,
it is more likely that there is only a partial overlap
between neutrophilic asthma and smoking asthma.
Non TH2-associated asthma
Smoking asthma
• Some reports have suggested that smoking is
associatedwith elevated total IgE and that active
smoking may increase the risk of sensitization to
workplace allergens.
• However, little is understood regarding the role of
genetics, biomarkers or pathobiology.
• FeNO levels are decreased by smoking and could help
to differentiate asthmatic subjects from non-asthmatic
subjects.
• Treatment responses
– Quitting smoking
– Restoration of HDAC 2 nuclear recruitment with
theophylline.
Non TH2-associated asthma
Smoking asthma
Non TH2-associated asthma
Smoking asthma
Rationale for Targeting
Leukotrienes in Patients
With Asthma Who Smoke
Slide 68
Does Smoking Affect Leukotriene Production
in Subjects Without Asthma?
LTE4=leukotriene E4.
1. Fauler J et al. Eur J Clin Invest. 1997;27:43–47.
Correlation of LTE4 Excretion With Cigarette Smoking1
No. of Cigarettes Smoked Per Day
UrinaryExcretionofLTE4,
nmol/molcreatinine
1
10
20 30 40 50 60 70 80
100
0
(r=0.92, P<0.001)
(n=30)
Does Smoking Affect Leukotriene Production
in Patients With Asthma?
Slide 69
LTE4=leukotriene E4.
1. Gaki E et al. Respir Med. 2007;101:826–832.
LTE4/Creatinine Concentration Ratios in Smoking and Nonsmoking Asthma
Patients1 LTE4/Creatinine,pg/mg
300
250
200
150
100
50
0
P<0.0001
Asthma
Smoking
(n=20)
Nonsmoking
(n=20)
Effect of Montelukast for
treatment of asthma in cigarette
smokers
Slide 70
J Allergy Clin Immunol 2013
Study Goal and Design
Montelukast 10 mg once daily (n=347)
Fluticasone propionate 250 µg twice daily (n=336)
Placebo (n=336)
Single-blind
placebo
run-in periodWashout
Day –31 Day –21 Day 1 Day 30 Day 90 Day 180
Period I Period II
Goal: To evaluate the effect of montelukast vs placebo (primary) and
medium-dose fluticasone (secondary) in asthma patients who smoke
Slide 71
Key Inclusion/Exclusion Criteria
• Inclusion
– Male or female, aged 18 to 55 years
– History of chronic asthma ≥1 year
– Evidence of reversible airway obstruction (increase in FEV1 ≥12%
following
β-agonist administration)
– Cigarette smoker of 0.5 to 2 packs per day (≤30 pack-year history)
– Weekly average ≥2 puffs/day β-agonist during run-in period
Slide 72
FEV1=forced expiratory volume in 1 second; COPD=chronic obstructive pulmonary disease.
Key Inclusion/Exclusion Criteria
• Exclusion
– History of COPD
– History of intubation for asthma, acute asthma therapy in an
emergency department/urgent care/office setting within 1 month,
or hospitalization for asthma within 3 months of the beginning of
run-in
– Any active, acute, or chronic pulmonary disorder (other than
asthma), or active, clinically significant sinus infection
– Unresolved signs and symptoms of upper respiratory tract
infection within 3 weeks
of the beginning of run-in
– Prohibited medications (prior to screening visit)
Slide 73
FEV1=forced expiratory volume in 1 second; COPD=chronic obstructive pulmonary disease.
Primary and Secondary Efficacy
End Points
• Primary
– Percentage of asthma-control days, defined as a day
with none of the following:
♦ Unscheduled visit for asthma care to an office,
emergency department, or hospital setting
♦ Use of >2 puffs of β-agonist
♦ Use of other asthma rescue medication
♦ Nocturnal awakenings
• Secondary
– Average change from baseline in mean daytime
symptom score
– Change from baseline in average AM peak expiratory
flow rate
Slide 74
Tertiary Efficacy End Points
• Changes in lung function
– FEV1
– PM PEFR
• Changes in parameters of asthma control
– Average daily number of β-agonist puffs
– Average nighttime symptom score
– Asthma-free daysa
– Asthma attacks/time to first attackb
– Discontinuations due to asthma
• Other
– Eosinophil count
FEV1=forced expiratory volume in 1 second; PEFR=peak expiratory flow rate.
aAsthma-free day defined as a day with no unscheduled visit for asthma care to an office, emergency department, or hospital setting; no use of
β-agonist; no use of other rescue medication; and no nocturnal awakening.
bAsthma attack defined as the occurrence of an unscheduled visit to the doctor’s office or emergency department, hospitalization, or treatment
with oral, intravenous, or intramuscular corticosteroids.
Slide 75
Safety Profile End Points
• Clinical Adverse Experiences
– Overall adverse experiences (primary)
– Serious adverse experiences
– Drug-related adverse experiences
– Discontinuations due to adverse experiences
Slide 76
Significant improvements in the mean percentage
of days with asthma control in both groups
Slide 77
J Allergy Clin Immunol 2013;
Patients with a smoking history of >11 pack years
tended to show more benefit with montelukast
Slide 78
J Allergy Clin Immunol 2013;
Key Conclusion
• Evidence suggests that corticosteroids have reduced efficacy for
treatment of asthma in smokers. Because smoking induces cysteinyl
leukotriene production, treatment with Singulair might be helpful in
this population.
• Both montelukast and fluticasone were superior to placebo in this
population; the difference between the 2 treatments was not
statistically significant.
• Patients with a smoking history of less than 11 pack years tended to
show more benefit with fluticasone, whereas those with a smoking
history of greater than 11 pack years tended to show more benefit
with montelukast
Slide 80
© Global Initiative for Asthma
GINA Global Strategy for Asthma
Management and Prevention 2014
This slide set is restricted for academic and educational purposes
only. Use of the slide set, or of individual slides, for commercial or
promotional purposes requires approval from GINA.
Assessment of asthma
© Global Initiative for Asthma
GINA assessment of asthma control
GINA 2014, Box 2-2A
© Global Initiative for Asthma
GINA assessment of asthma control
GINA 2014, Box 2-2B
© Global Initiative for Asthma
Assessment of risk factors for poor asthma
outcomes
Risk factors for exacerbations include:
• Ever intubated for asthma
• Uncontrolled asthma symptoms
• Having ≥1 exacerbation in last 12 months
• Low FEV1 (measure lung function at start of treatment, at 3-6 months
to assess personal best, and periodically thereafter)
• Incorrect inhaler technique and/or poor adherence
• Smoking
• Obesity, pregnancy, blood eosinophilia
GINA 2014, Box 2-2B
Risk factors for exacerbations include:
• Ever intubated for asthma
• Uncontrolled asthma symptoms
• Having ≥1 exacerbation in last 12 months
• Low FEV1 (measure lung function at start of treatment, at 3-6 months
to assess personal best, and periodically thereafter)
• Incorrect inhaler technique and/or poor adherence
• Smoking
• Obesity, pregnancy, blood eosinophilia
Risk factors for fixed airflow limitation include:
• No ICS treatment, smoking, occupational exposure, mucus
hypersecretion, blood eosinophilia
Risk factors for exacerbations include:
• Ever intubated for asthma
• Uncontrolled asthma symptoms
• Having ≥1 exacerbation in last 12 months
• Low FEV1 (measure lung function at start of treatment, at 3-6 months
to assess personal best, and periodically thereafter)
• Incorrect inhaler technique and/or poor adherence
• Smoking
• Obesity, pregnancy, blood eosinophilia
Risk factors for fixed airflow limitation include:
• No ICS treatment, smoking, occupational exposure, mucus
hypersecretion, blood eosinophilia
Risk factors for medication side-effects include:
• Frequent oral steroids, high dose/potent ICS, P450 inhibitors
© Global Initiative for Asthma
 How?
 Asthma severity is assessed retrospectively from the level of
treatment required to control symptoms and exacerbations
 When?
 Assess asthma severity after patient has been on controller
treatment for several months
 Severity is not static – it may change over months or years, or as
different treatments become available
 Categories of asthma severity
 Mild asthma: well-controlled with Steps 1 or 2 (as-needed SABA or
low dose ICS)
 Moderate asthma: well-controlledwith Step 3 (low-dose ICS/LABA)
 Severe asthma: requires Step 4/5 (moderate or high dose
ICS/LABA ± add-on), or remains uncontrolled despite this treatment
Assessing asthma severity
GINA 2014
© Global Initiative for Asthma
GINA Global Strategy for Asthma
Management and Prevention 2014
This slide set is restricted for academic and educational purposes
only. Use of the slide set, or of individual slides, for commercial or
promotional purposes requires approval from GINA.
Treating asthma to control
symptoms and minimize risk
© Global Initiative for Asthma
Choosing between controller options –
population-level decisions
Choosing between treatment options at a population level
e.g. national formularies, health maintenance organisations, national guidelines
The ‘preferred treatment’ at each step is based on:
 Efficacy
 Effectiveness
 Safety
 Availability and cost at the population level
based on group mean data for symptoms, exacerbations
and lung function (from RCTs, pragmatic studies and
observational data)
NEW!
GINA 2014, Box 3-3 (1/2) Provided by H Reddel
© Global Initiative for Asthma
 Start controller treatment early
 For best outcomes, initiate controller treatment as early as possible
after making the diagnosis of asthma
 Indications for regular low-dose ICS - any of:
 Asthma symptoms more than twice a month
 Waking due to asthma more than once a month
 Any asthma symptoms plus any risk factors for exacerbations
 Consider starting at a higher step if:
 Troublesome asthma symptoms on most days
 Waking from asthma once or more a week, especially if any risk
factors for exacerbations
 If initial asthma presentation is with an exacerbation:
 Give a short course of oral steroids and start regular controller
treatment (e.g. high dose ICS or medium dose ICS/LABA, then step
down)
Initial controller treatment for adults, adolescents
and children 6–11 years
GINA 2014, Box 3-4 (1/2)
NEW!
© Global Initiative for Asthma
Step 1 – as-needed inhaled short-acting
beta2-agonist (SABA)
*For children 6-11 years, theophylline is not recommended, and preferred Step 3 is medium dose ICS
**For patients prescribed BDP/formoterol or BUD/formoterol maintenance and reliever therapy
GINA 2014, Box 3-5, Step 1
© Global Initiative for Asthma
Step 2 – low-dose controller + as-needed
inhaled SABA
*For children 6-11 years, theophylline is not recommended, and preferred Step 3 is medium dose ICS
**For patients prescribed BDP/formoterol or BUD/formoterol maintenance and reliever therapy
GINA 2014, Box 3-5, Step 2
© Global Initiative for Asthma
Step 3 – one or two controllers + as-needed
inhaled reliever
*For children 6-11 years, theophylline is not recommended, and preferred Step 3 is medium dose ICS
**For patients prescribed BDP/formoterol or BUD/formoterol maintenance and reliever therapy
GINA 2014, Box 3-5, Step 3
© Global Initiative for Asthma
Step 4 – two or more controllers + as-needed
inhaled reliever
*For children 6-11 years, theophylline is not recommended, and preferred Step 3 is medium dose ICS
**For patients prescribed BDP/formoterol or BUD/formoterol maintenance and reliever therapy
GINA 2014, Box 3-5, Step 4
© Global Initiative for Asthma
Step 5 – higher level care and/or add-on
treatment
*For children 6-11 years, theophylline is not recommended, and preferred Step 3 is medium dose ICS
**For patients prescribed BDP/formoterol or BUD/formoterol maintenance and reliever therapy
GINA 2014, Box 3-5, Step 5
© Global Initiative for Asthma
Low, medium and high dose inhaled corticosteroids
Adults and adolescents (≥12 years)
 This is not a table of equivalence, but of estimated clinical comparability
 Most of the clinical benefit from ICS is seen at low doses
 High doses are arbitrary, but for most ICS are those that, with prolonged use,
are associated with increased risk of systemic side-effects
Inhaled corticosteroid Total daily dose (mcg)
Low Medium High
Beclometasone dipropionate (CFC) 200–500 >500–1000 >1000
Beclometasone dipropionate (HFA) 100–200 >200–400 >400
Budesonide (DPI) 200–400 >400–800 >800
Ciclesonide (HFA) 80–160 >160–320 >320
Fluticasone propionate (DPI or HFA) 100–250 >250–500 >500
Mometasone furoate 110–220 >220–440 >440
Triamcinolone acetonide 400–1000 >1000–2000 >2000
GINA 2014, Box 3-6 (1/2)
© Global Initiative for Asthma
Low, medium and high dose inhaled corticosteroids
Children 6–11 years
 This is not a table of equivalence, but of estimated clinical comparability
 Most of the clinical benefit from ICS is seen at low doses
 High doses are arbitrary, but for most ICS are those that, with prolonged use, are
associated with increased risk of systemic side-effects
Inhaled corticosteroid Total daily dose (mcg)
Low Medium High
Beclometasone dipropionate (CFC) 100–200 >200–400 >400
Beclometasone dipropionate (HFA) 50–100 >100–200 >200
Budesonide (DPI) 100–200 >200–400 >400
Budesonide (nebules) 250–500 >500–1000 >1000
Ciclesonide (HFA) 80 >80–160 >160
Fluticasone propionate (DPI) 100–200 >200–400 >400
Fluticasone propionate (HFA) 100–200 >200–500 >500
Mometasone furoate 110 ≥220–<440 ≥440
Triamcinolone acetonide 400–800 >800–1200 >1200
GINA 2014, Box 3-6 (2/2)
Levels of Asthma Control
Characteristic
Controlled
(All of the following)
Partly controlled
(Any presentin any week)
Uncontrolled
Daytime symptoms
None (2 or less /
week)
More than
twice / week
3 or more
features of
partly
controlled
asthma
present in
any week
Limitations of
activities
None Any
Nocturnal
symptoms /
awakening
None Any
Need for rescue /
“reliever” treatment
None (2 or less /
week)
More than
twice / week
Lung function
(PEF or FEV1)
Normal
< 80% predicted or
personal best (if
known) on any day
Exacerbation None One or more / year 1 in any week
© Global Initiative for Asthma
 How often should asthma be reviewed?
 1-3 months after treatment started, then every 3-12 months
 During pregnancy, every 4-6 weeks
 After an exacerbation, within 1 week
 Stepping up asthma treatment
 Sustained step-up, for at least 2-3 months if asthma poorly controlled
• Important: first check for common causes (symptoms not due to asthma,
incorrect inhaler technique, poor adherence)
 Short-term step-up, for 1-2 weeks, e.g. with viral infection or allergen
• May be initiated by patient with written asthma action plan
 Day-to-day adjustment
• For patients prescribed low-dose ICS/formoterol maintenance and reliever
regimen*
 Stepping down asthma treatment
 Consider step-down after good control maintained for 3 months
 Find each patient’s minimum effective dose, that controls both
symptoms and exacerbations
Reviewing response and adjusting treatment
GINA 2014
*Approvedonly forlow dose beclometasone/formoteroland low dose budesonide/formoterol
The underline cause of Asthma is the
inflammation…
Does the ICS based therapy is enough?
Airway Inflammation Persisted
Despite Corticosteroid Use
ICS=inhaled corticosteroids; OCS ± ICS=received oral corticosteroids with or without ICS
Adapted from Louis R et al Am J Respir Crit Care Med 2000;161:9-16.
20,000
10,000
1,000
100
10
1
Eosinophil
 103/g
sputum
Control
group
Mild to moderate
ICS
low-dose
(n=10)
ICS
high-dose
(n=15)
OCS
(n=10)
OCS ± ICS
(n=7)
Severe asthma
p<0.01
p<0.001
p<0.001
p<0.01
In a clinical study of 74 patients
Leukotrienes
Other inflammatory mediators
This slide is an artistic rendition.
Adapted from Holgate ST, Peters-Golden M J Allergy Clin Immunol 2003;111(1 suppl):S1-S4; Holgate ST et al J Allergy
Clin Immunol 2003;111(1 suppl):S18-S36; Henderson WR Jr et al Am J Respir Crit Care Med 2002;165:108-116; Peters-
Golden M, Sampson AP J Allergy Clin Immunol 2003;111(1 suppl):S37-S42; Varner AE, Lemanske RF Jr. In Asthma and
Rhinitis. Oxford, UK: Blackwell Science, 2000:1172-1185.
No Inflammation InflammationAsthma
Leukotrienes: Important in Early Asthma
and Throughout the Disease
block
steroid-
sensitive
mediators
blocks the
effects of
CysLTs
Inhaled steroidsMontelukast
Montelukast Combined with a Steroid
Affects the Dual Pathways of Inflammation
The slide represents an artistic rendition.
Adapted from Peters-Golden M, Sampson AP J Allergy Clin Immunol 2003;111(1 suppl):S37-S42; Bisgaard H Allergy
2001;56(suppl 66):7-11.
Steroid-sensitive
mediators
play a key role
in asthmatic
inflammation
CysLTs
play a key role
in asthmatic
inflammation
Steroids do NOT inhibit CysLT formation in the airways of asthmatic patients
DUAL PATHWAY
Dual Pathways of Inflammation
SGA 2003-W-6701-SS
Downloaded from – www.singulair.ae
Slide 102
Budesonide Turbuhaler 400–1600 µg qd
+ montelukast (n=326)
Budesonide Turbuhaler 400–1600 µg qd
+ placebo
(n=313)
qd = once daily
Inhaled short-acting beta2 agonists were permitted as needed.
Adapted from Vaquerizo MJ et al Thorax 2003;58:204-211.
CASIOPEA Study
Design
Period I
Weeks
Period II
Budesonide
Turbuhaler
400–1600 µg/day
V1
–2
V2
0
V2
4
V2
8
V5
16
SGA 2003-W-6701-SS
Downloaded from – www.singulair.ae
Slide 103
FEV1 = forced expiratory volume in one second
Adapted from Vaquerizo MJ et al Thorax 2003;58:204-211.
• Non-smoking asthmatic patients 18–70 years of age
• Prior treatment with a clinically stable dose of ICS
equivalent to budesonide 400–1600 µg/day
• FEV1 55% of predicted
• Reversible airway obstruction (12% increase
from baseline)
• Minimum total daytime asthma symptom score
of 64 (of possible 336)
• 1 puff/day of beta2 agonist
CASIOPEA Study
Inclusion Criteria
SGA 2003-W-6701-SS
Downloaded from – www.singulair.ae
Slide 104
Adapted from Vaquerizo MJ et al Thorax 2003;58:204-211.
CASIOPEA Study
Montelukast + Budesonide
Significantly Reduced Asthma-Exacerbation Days
4.8
3.1
Budesonide +
placebo
(n=308)
Montelukast +
budesonide
(n=317)
Median
percentage
of asthma-
exacerbation
days
5
4
3
2
1
0
35%
p=0.03
SGA 2003-W-6701-SS
Downloaded from – www.singulair.ae
Slide 105
Adapted from Vaquerizo MJ et al Thorax 2003;58:204-211.
CASIOPEA Study
Montelukast + Budesonide
Significantly Increased Asthma-Free Days
42.3
66.1
Budesonide +
placebo
(n=308)
Montelukast +
budesonide
(n=317)
Median
percentage
of asthma-
free days
70
60
50
40
30
56%
p=0.001
SGA 2003-W-6701-SS
Downloaded from – www.singulair.ae
Slide 106
*The percentage of patients who awoke during the night because of asthma
Adapted from Vaquerizo MJ et al Thorax 2003;58:204-211.
CASIOPEA Study
Montelukast + Budesonide
Significantly Reduced Nocturnal Awakenings
25.6
Least square
mean % of
patients
with nocturnal
awakenings*
35
30
25
20
32.2
20%
p=0.01
Budesonide +
placebo
(n=308)
Montelukast +
budesonide
(n=317)
SGA 2003-W-6701-SS
Downloaded from – www.singulair.ae
Slide 107
*p = 0.05 vs. budesonide alone
Adapted from Vaquerizo MJ et al Thorax 2003;58:204-211.
CASIOPEA Study
Montelukast + Budesonide
Significantly Reduced Beta2-Agonist Use*
% change
from
baseline in
beta2-agonist
use
30
20
10
0
–10
–20
–30
–40
First 7 days in active treatment
Budesonide+ placebo (n=313)
Montelukast+ budesonide (n=326)
Basal 1 2 3 4 5 6 7
A more rapid onset of action
than budesonide + placebo
SGA 2003-W-6701-SS
Downloaded from – www.singulair.ae
Slide 108
CASIOPEA Study
Montelukast + Budesonide
Significantly Increased AM PEFR*
Tertiary endpoint: Morning PEFR
Mean adjusted by center and stratum
*p = 0.05 vs. budesonide alone
Adapted from Vaquerizo MJ et al Thorax 2003;58:204-21.
11.3
16.86
Budesonide +
placebo
(n=308)
Montelukast +
budesonide
(n=317)
20
15
10
5
0
49%
p=0.05
Least square
mean change
in morning
PEFR
(L/min)
Key Conclusion
SINGULAIR in combination with ICS represents an
essential tool to better treat the inflammation.
This approach has also proven to provide high
efficacy on asthma symptoms.
The efficacy of the SINGULAIR/ICS approach on
symptoms results from its superior efficacy on
inflammation, the underlying cause of asthma.
110
Epidemiologic Links between Allergic Rhinitis and Asthma
Many Patients with Asthma Have
Allergic Rhinitis
Adapted from Bousquet J et al J Allergy Clin Immunol 2001;108(suppl 5):S147–S334; Sibbald B, Rink E Thorax 1991;46:895–901; Leynaert B
et al J Allergy Clin Immunol 1999;104:301–304; Brydon MJ Asthma J 1996:29–32.
Up to 80%
of all asthmatic patients have allergic rhinitis
All asthmatic patients
111
One Airway, One Disease
Allergic Rhinitis and Asthma Share Common
Inflammatory Cells and Mediators
Adapted from Casale TB et al Clin Rev Allergy Immunol 2001;21:27–49; Kay AB N Engl J Med 2001;344:30–37.
Early-phase
response
Late-phase
response
T cells
Inflammatory
mediators
Allergen
Cytokines
Preformed Mediators
Cysteinyl leukotrienes
Prostaglandins
Platelet-activating factor
Eosinophils
Membrane-bound
IgE
Mast
cell
Drug Asthma AR
Asthma and
AR
ICS  – –
LABAs  – –
Intranasal
steroids
–  –
Antihistami
nes
–  –
Montelukast   
Major Therapies At-A-Glance
ICS=inhaled corticosteroids; LABAs=long-acting beta2-agonists
Adapted from Flovent® prescribing information, GlaxoWellcome, Research Triangle Park, NC, 2000; Pulmicort Turbuhaler® prescribing
information, AstraZeneca, Wilmington, DE, 2003; Advair Diskus® prescribing information, GlaxoWellcome, Research Triangle Park, NC, 2004;
Serevent® prescribing information, GlaxoWellcome, Research Triangle Park, NC, 2000; Zyrtec® prescribing information, Pfizer Labs, New York,
NY, 2004; Allegra-D® prescribing information, Aventis Pharmaceuticals, Kansas City, MO, 2004; Flonase® prescribing information,
GlaxoWellcome, Research Triangle Park, NC, 2000; Beconase AQ® prescribing information, GlaxoWellcome, Research Triangle Park, NC, 2002.
COMPACT Study Design
Adapted from Price DB et al Thorax 2003;58:211–216.
Budesonide
400 µg
twice daily
Montelukast 10 mg once daily +
Budesonide 400 µg twice daily (n=448)
0 4 16
Period I
Run-in (4 weeks)
Single-blind
Period II
Active treatment (12 weeks)
Double-blind
1 8 12
Budesonide 800 µg twice daily +
Oral placebo montelukast (n=441)
Weeks
Subanalysis of Asthma Patients with Concomitant Allergic Rhinitis in COMPACT
Montelukast Provided Greater Improvements
in Morning PEF in Asthma Patients with
Concomitant Allergic Rhinitis
50
40
30
20
10
0
Change
from
baseline
(L/min, LS
meanSEM)
0 4 8 12 0 4 8 12
Montelukast (n=433)*
Budesonide (n=425)**
p<0.03
p=0.36
Weeks Weeks
Montelukast (n=216)*
Budesonide (n=184)**
*Montelukast10 mg once daily + budesonide 400 µg twice daily; **Budesonide 800 µg twice daily
Adapted from Price DB et al. Presentation at the World Allergy Organization Biannual Meeting, September2003, Vancouver, British Columbia,
Canada.
50
40
30
20
10
0
Proposed pathophysiologic mechanisms
of asthma exacerbated by sinusitis
Spread of inflammatory mediators and
chemotactic factors to lower airways triggers
sinobronchial reflex mechanism.
Stimulation of autonomic nervous system
causes acute bronchial hyperresponsiveness.
Bronchoconstrictive reflexes originating in
extrathoracic airway receptors are stimulated.
Proposed pathophysiologic mechanisms
of asthma exacerbated by sinusitis
Reversible partial beta-adrenergic blockade
is enhanced.
Nasal congestion causes mouth-breathing,
which leads to increased loss of water and
heat in lower airways.
Depressed nitric oxide concentration
promotes acute bronchial
hyperresponsiveness.
Why isn’t his asthma getting
better????
Poor asthma control? - then look up the
nose. The importance of co-morbid rhinitis
in patients with asthma
Scadding G. and Walker S.
The Royal National Throat, Nose and Ear Hospital, London,
UK,Primary Care Respiratory Journal 21(2):222-228 2012
Review the patientafter 2–4 weeks
Improved
Continue orstep-
down treatment
for >1 month
Review diagnosis
Review compliance
Query infections or othercauses
Add or
increase
INS dose
Rhinorrhea:
Add
ipratropium
In preferred order
- INS
- H1 blockers or LTRA
Failure
Blockage:Add
decongestantor
oral corticosteroid
If failure: refer to a specialist
ARIA Update 2008: INSs Are the Preferred
First-Line Therapy for Moderate/Severe PER1
Moderate/Severe Persistent
ARIA = Allergic Rhinitis and its ImpactonAsthma;INS = intranasalcorticosteroid;PER = persistentallergic rhinitis;
LTRA= leukotriene receptor antagonist.
1. Bousquet J et al. Allergy. 2008;63(suppl 86):8–160.
Characteristics of an Ideal INS :
balancing efficacy, safety and preference
Rapid onset of action
High efficacy against all nasal symptoms
Once daily dosing schedule
Acceptable to patients
With low or absent local / systemic side-effects
Clin Exp All Rev 2002(2):32-37
Share Your Patient Concerns …..
122
NASONEX Rapid Onset of Action:
Significant Total Symptom Relief Within Hours of
a Single Dose in Patients With SAR
*P<0.05 vs placebo.
Berkowitz et al. AllergyAsthma Proc. 1999;20:167.
-8
-6
-4
-2
0
0 1 2 3 4 5 6 7 8 9 10 11 12
Hours after dosing
Meanchangefrombaseline
intotalsymptomscore
* * * * * * * *
NASONEX® 200 μg (n=119)
Placebo (n=116)
Change in Total Symptoms
5 hrs
123
Primary
Endpoint
70
60
40
50
0
30
20
10
Days
1–15
Days
16–30
Days
31–45
Days
46–60
Days
61–75
Days
76–90
Endpoint*
Meanreductionfrom
baselineinAM/PMTNSS,%
MFNS
Placebo
a
a
a a
a
a a
aP<0.01 vs placebo.
*Endpointwas defined as the lastpatientvisitor lastdiary intervalfor which the patienthad non-missing data.
Baseline values were MFNS= 7.0 and placebo = 7.1.
MFNS = mometasone furoate nasalspray;PAR= perennialallergic rhinitis;TNSS = total nasalsymptom score.
1. Mandl M et al. Ann Allergy Asthma Immunol. 1997;79:370–378.
MFNS in Adolescents/Adults With PAR:
Efficacy Results – TNSS1
124
Changeinnasalcongestion
frombaseline,%
-60
-50
-40
-30
-20
-10
0
Days
1–15
Days
16–30
Days
31–45
Days
46–60
Days
61–75
Days
76–90 Endpoint*Baseline
Placebo(n=184)
MFNS 200 µg once daily (n=181)
40%
33%
aP<0.05 vs placebo.
*Endpointwas defined as the lastpatientvisitor lastdiary intervalfor which the patienthad non-missing data.
MFNS = mometasone furoate nasalspray;PAR= perennialallergic rhinitis .
1. Mandl M et al. Ann Allergy Asthma Immunol. 1997;79:370–378.
MFNS in Adolescents/Adults With PAR:
Efficacy Results – Nasal Congestion1
a
a
a
a
a
a
a
0
10
20
30
40
50
60
Flunisolide Triamcinolone Beclomethasone Budesonide FP Fluticasone
furoate
Ciclesonide MF
INS Systemic Bioavailability1,a
aDifferences in safety between INSs are more theoreticalthan evidence-based,with the greatestconcernbeing systemic
exposure and effects on adrenalfunction and growthin children.
INS = intranasalcorticosteroid;FP= fluticasone propionate;MF = mometasone furoate.
1. Derendorf H et al. Allergy. 2008;63:1292–1300.
<0.1%
Bioavailability,%
126
1-Year Therapy With MFNS Did Not Induce
Nasal Atrophy in Patients With PAR1,a
Nasal Biopsies
Before MFNS Treatment After 12 Months of Treatment With
MFNS 200 µg/d
Disruption of epithelium
Eosinophil infiltration
Epithelium intact
No eosinophil infiltration
aThe clinicalrelevance ofthese data in the treatmentofallergic rhinitis is notknown.
MFNS = mometasone furoate nasalspray;PAR= perennialallergic rhinitis.
1. Minshall E et al. Otolaryngol Head Neck Surg. 1998;118:648–654.
127
MFNS: Effect on Serum Cortisol in Children
2–5 Years of Age Following 42 Days of Treatment1
Serumcortisol
(μg/dL–RIA)
0
2
4
6
8
10
12
14
16
Mean serum cortisol concentration-time profile on Day 42 in children with AR
MFNS 100 μg once
daily (n=26)
Placebo once daily
(n=26)
6:00 AM 10:00 AM 2:00 PM 6:00 PM 10:00 PM 2:00 AM 6:00 AM
MFNS = mometasone furoate nasalspray;AR= allergic rhinitis;RIA = radioimmunoassay.
1. Cutler DL et al. Pediatr Asthma Allergy Immunol. 2006;19:146–153.
Wheezing in
Children
Adventitious Airway Sounds
 Snoring
 Stridor
 Wheezing
 Crepitations
Airway Diameter
Cause of Wheezing
 Not from obstruction of small airways –
Surface area too large
 From increased intrathoracic pressure +
decreased large airway pressure =
vibration of airway wall in large airways
(Generations 1-5)
Wheezing
 Sign of lower (intra-thoracic) airway
obstruction
 Small airways
Air Trapping
 Hyperinflated chest
 Barrel shaped
 Loss of cardiac dullness
 Liver pushed down
 Hoover sign
Hoover Sign
 Normal diagphragm movement
 Hyperinflation = diaphragm flattened
 Diaphragm contraction = paradoxical
inward movement of lower interrcostal
area during inspiration
Acute Wheezing
 Asthma
 Bronchiolitis
 Foreign body
Bronchiolitis
136
What Is Bronchiolitis?
 Bronchiolitis is acute inflammation
of the airways, characterised by
wheeze
 Bronchiolitis can result from a viral
infection
 Respiratory Syncytial Virus (RSV)
may be responsible for up to 90%
of bronchiolitis cases in young
children
Hall CB, McCarthy CA. In: Principles and Practice of Infectious Diseases 2000:1782-1801;
Panitch HB et al. Clin Chest Med 1993;14:715-731
137
RSV Is a Common Virus Causing
Bronchiolitis in Children
 In a clinical study in Argentina, RSV was the
most common virus isolated from a sample of
children aged <5 years with acute lower
respiratory infection
0.7%6.5%6.8%
7.8%
78.2%
RSV
Adenovirus
Parainfluenza
InfluenzaA
InfluenzaB
Carballal G et al. J Med Virol 2001;64:167-174
138
New viruses (Human
Metapneumovirus,
Bocca, Corona)
Chronic Wheezing
 Thriving child – Happy wheezer
 Child failing to thrive - Causes
Exclude other conditions
 Structural problems: bronchoscopy
 URTD : Polysomnography,
 Esophageal disease: Barium swallow, pH
probes, scopes and gram
 Primary ciliary dyskinesia: nasal ciliary motility,
Exhaled NO, EM, saccharine test
 TB: mantoux, induced sputum/ gastric lavage/
BAL = Culture, microscopy & PCR
 Bronchiectasis: HRCT scan, BAL
 CF: sweat test, nasal potentials, genotypes
 Systemic immune deficiency: Ig subtypes,
lymphocytes & neutrophil function, HIV
 Cardiovascular disease: echo, angiography
WHEEZING PHENOTYPES
12 Longitudinal birth cohorts
Original Tucson Group (Taussig L et al 1985)
Persistent
Atopic
Non Atopic
Transient
TRANSIENT WHEEZERS
 Commonest form of wheeze
 Decrease lung function at birth
 No airway hyper-responsiveness
 Non Atopic
 No immune responses to viruses
 Resolves by 3 years
– Wheeze in first year – better outcome
– Wheeze 2-3 year – worse outcome due to
maturity of immune system
Affected by :
 Teenage pregnancy & smoking
 Male gender
 Day care- infections
STRUCTURAL CONSIDERATIONS
 Lung Growth: Fetal 8 years
 Affected by:
 Temperature & O2 tension
 Nutrition & Smoking
 Functional disorders eg CDH
 Prematurity
 Growth factors-Gene repair
 Drugs (B2 agonist/ C/S)
 Risk factors for COPD
Mx: antioxidant, retinoids,MMPI
PERSISTENT NON
ATOPIC WHEEZER
 Lung function abnormal at birth and
reduced in later life
 Non Atopic
 Airway hyper-responsiveness
 Peak flow variability
 RSV induced wheeze due to alteration
in airway tone
BETTER OUTCOME THAN ATOPIC
PERSISTENT WHEEZERS
OUTCOME OF INFANT WHEEZING
 Low birth weight
 Pregnancy smoking
 Male Sex
 Affluence
 Atopy
 Low maternal age(first born)
Infant wheeze
With viral infectionalone With variousprecipitants
Remissionin 80%
?? COPD in adults
Persistentasthma (withor without
evidenceof atopy)in 50-60%
Asthma in Pre-School
Children
146
The Various Marches That Set Up Asthma
Asthma
The Atopic March
Wheezing Phenotypes
• Tuscon:
- Transient early wheezing
- Persistent early-onset wheezing
- Late-onset wheezing (Martinez FD, 1995)
• ERS Task-Force:
- Viral induced wheeze
- Multi-trigger wheeze (Brand PLP, 2008)
Outcome of wheeze in infancy
MartinezFD, et al. N EnglJ Med 1995;332:133-138
Causes of Recurrent Wheezing in Infancy
Asthma
Multiple trigger wheeze
Episodic viral wheeze
Other
causes
Viruses and Asthma
Atopy
Asthma
Rhinovirus
RSV
Genes
Influenza
Features Suggestive of Asthma
• Wheezing more than 1x/ month (Evidence C)
• Activity-induced cough or wheeze (Evidence A)
• Cough at night (Evidence A)
• Absence of seasonal variation (Evidence B)
• Symptoms persisting after the age of 3 years (Evidence A)
• Symptoms worsening with certain exposures (Evidence B)
• Colds repeatedly going to the chest (Evidence B)
• Response to a bronchodilator (Evidence B)
• Response to a 10-day oral steroid course (Evidence B)
• Concomitant rhinitis, eczema or food allergies (Evidence B)
• Family history of allergy (Evidence B)
• Response to a bronchodilators in children under 5
(FEV>12%, PEFR> (FEV>12%, PEF>20% of pre-bronchodilators PEF)
(Evidence A)
• Diurnal variation of PEF >20% with twice daily readings (Evidence A)
Asthma Prediction Index
Major Criteria
 Family history of
asthma
Positive history of
atopic eczema
Positive SPT
Minor Criteria
 Eosinophilia > 4%
 Positive history of
allergic rhinitis
 Wheeze without
viral infections
Asthma = 1 Major or 2 Minor
Castro-Rodriguez JA, Holberg CJ, Wright AL, Martinez FD.
A clinical index to define risk of asthma in young children with recurrent wheezing.
Am J Respir Crit Care Med. 2000;162(4 Pt 1):1403-6.
56% Asthmatic Children in Pretoria Atopic
Figure 1. Inhalant Allergens. % of positive tests
(Only 28 of 50 patients positive)
27%
21%
9%2%5%
12%
19%
5%
Bermuda grass
Grass mix
Tree mix
Cat epithelium
Dog dander
HDM
Cockroach
Horse
TREATING
WHEEZES
Treatment Options Pre-school Wheeze
Montelukast 7 - 14 days
Episodic wheeze
ICS or
LTRA
Multiple trigger wheeze
Mild
ICS + LABA
Persistent asthma
Moderate/Severe
Wheeze
If not responding – Stop Treatment and Review diagnosis
© Global Initiative for Asthma
GINA Global Strategy for Asthma
Management and Prevention 2014
This slide set is restricted for academic and educational purposes
only. Use of the slide set, or of individual slides, for commercial or
promotional purposes requires approval from GINA.
Diagnosis and management
of asthma in children
5 years and younger
GINA 2014
© Global Initiative for Asthma
Features suggesting asthma in children ≤5 years
Feature Characteristics suggesting asthma
Cough Recurrent or persistent non-productive cough that may be worse at
night or accompanied by some wheezing and breathing difficulties.
Cough occurring with exercise, laughing, crying or exposure to
tobacco smoke in the absence of an apparent respiratory infection
Wheezing Recurrent wheezing, including during sleep or with triggers such as
activity, laughing, crying or exposure to tobacco smoke or air pollution
Difficult or heavy
breathing or
shortness of breath
Occurring with exercise, laughing, or crying
Reduced activity Not running, playing or laughing at the same intensity as other
children; tires earlier during walks (wants to be carried)
Past or family history Other allergic disease (atopic dermatitis or allergic rhinitis)
Asthma in first-degree relatives
Therapeutic trial with
low dose ICS and
as-needed SABA
Clinical improvement during 2–3 months of controller treatment and
worsening when treatment is stopped
GINA 2014, Box 6-2
© Global Initiative for Asthma
Common differential diagnoses of asthma in
children ≤5 years
Condition Typical features
Recurrent viral respiratory
infections
Mainly cough, runny congested nose for <10 days; wheeze
usually mild; no symptoms between infections
Gastroesophageal reflux Cough when feeding; recurrent chest infections; vomits easily
especially after large feeds; poor response to asthma
medications
Foreign body aspiration Episode of abrupt severe cough and/or stridor during eating or
play; recurrent chest infections and cough; focal lung signs
Tracheomalacia or
bronchomalacia
Noisy breathing when crying or eating, or during URTIs; harsh
cough; inspiratory or expiratory retraction; symptoms often
present since birth; poor response to asthma treatment
Tuberculosis Persistent noisy respirations and cough; fever unresponsive to
normal antibiotics; enlarged lymph nodes; poor response to BD
or ICS; contact with someone with TB
Congenital heart disease Cardiac murmur; cyanosis when eating; failure to thrive;
tachycardia; tachypnea or hepatomegaly; poor response to
asthma medications
GINA 2014, Box 6-3 (1/2)
© Global Initiative for Asthma
Common differential diagnoses of asthma in
children ≤5 years (continued)
Condition Typical features
Cystic fibrosis Cough starting shortly after birth; recurrent chest infections;
failure to thrive (malabsorption); loose greasy bulky stools
Primary ciliary dyskinesia Cough and recurrent mild chest infections; chronic ear infections
and purulent nasal discharge; poor response to asthma
medications; situs inversus (in ~50% children with this condition)
Vascular ring Respirations often persistently noisy; poor response to asthma
medications
Bronchopulmonary
dysplasia
Infant born prematurely; very low birth weight; needed prolonged
mechanical ventilation or supplemental oxygen; difficulty with
breathing present from birth
Immune deficiency Recurrent fever and infections (including non-respiratory); failure
to thrive
GINA 2014, Box 6-3 (2/2)
© Global Initiative for Asthma
GINA assessment of asthma control in
children ≤5 years
GINA 2014, Box 6-4 (1/2)
© Global Initiative for Asthma
Risk factors for poor asthma outcomes in
children ≤5 years
Risk factors for exacerbations in the next few months
• Uncontrolled asthma symptoms
• One or more severe exacerbation in previous year
• The start of the child’s usual ‘flare-up’ season (especially if autumn/fall)
• Exposures: tobacco smoke; indoor or outdoor air pollution; indoor allergens (e.g.
house dust mite, cockroach, pets, mold), especially in combination with viral infection
• Major psychological or socio-economic problems for child or family
• Poor adherence with controller medication, or incorrect inhaler technique
GINA 2014, Box 6-4B
Risk factors for exacerbations in the next few months
• Uncontrolled asthma symptoms
• One or more severe exacerbation in previous year
• The start of the child’s usual ‘flare-up’ season (especially if autumn/fall)
• Exposures: tobacco smoke; indoor or outdoor air pollution; indoor allergens (e.g.
house dust mite, cockroach, pets, mold), especially in combination with viral infection
• Major psychological or socio-economic problems for child or family
• Poor adherence with controller medication, or incorrect inhaler technique
Risk factors for fixed airflow limitation
• Severe asthma with several hospitalizations
• History of bronchiolitis
Risk factors for exacerbations in the next few months
• Uncontrolled asthma symptoms
• One or more severe exacerbation in previous year
• The start of the child’s usual ‘flare-up’ season (especially if autumn/fall)
• Exposures: tobacco smoke; indoor or outdoor air pollution; indoor allergens (e.g.
house dust mite, cockroach, pets, mold), especially in combination with viral infection
• Major psychological or socio-economic problems for child or family
• Poor adherence with controller medication, or incorrect inhaler technique
Risk factors for fixed airflow limitation
• Severe asthma with several hospitalizations
• History of bronchiolitis
Risk factors for medication side-effects
• Systemic: Frequent courses of OCS; high-dose and/or potent ICS
• Local: moderate/high-dose or potent ICS; incorrect inhaler technique; failure to protect
skin or eyes when using ICS by nebulizer or spacer with face mask
© Global Initiative for Asthma
Control-based asthma management cycle in
children ≤5 years
GINA 2014, Box 6-5
© Global Initiative for Asthma
Stepwise approach to control symptoms and
reduce risk (children ≤5 years)
GINA 2014, Box 6-5
© Global Initiative for Asthma
Stepwise approach – pharmacotherapy
(children ≤5 years)
© Global Initiative for AsthmaGINA 2014, Box 6-5
© Global Initiative for Asthma
 Assess asthma control
 Symptom control, future risk, comorbidities
 Self-management
 Education, inhaler skills, written asthma action plan, adherence
 Regular review
 Assess response, adverse events, establish minimal effective treatment
 Other
 (Where relevant): environmental control for smoke, allergens, indoor or
outdoor air pollution
Stepwise approach – key issues
(children ≤5 years)
GINA 2014, Box 6-5
© Global Initiative for Asthma
Step 1 (children ≤5 years) – as-needed inhaled
SABA
© Global Initiative for AsthmaGINA 2014, Box 6-5
© Global Initiative for Asthma
 Preferred option: as-needed inhaled SABA
 Provide inhaled SABA to all children who experience wheezing
episodes
 Not effective in all children
 Other options
 Oral bronchodilator therapy is not recommended(slower onset of
action, more side-effects)
 For children with intermittent viral-induced wheeze and no interval
symptoms, if as-needed SABA is not sufficient, consider intermittent
ICS. Because of the risk of side-effects, this should only be
considered if the physician is confident that the treatment will be
used appropriately.
Step 1 (children ≤5 years) – as-needed inhaled
SABA
GINA 2014
© Global Initiative for Asthma
Step 2 (children ≤5 years) – initial controller
+ as-needed SABA
© Global Initiative for AsthmaGINA 2014, Box 6-5
© Global Initiative for Asthma
 Indication
 Child with symptom pattern consistent with asthma, and symptoms not
well-controlled, or ≥3 exacerbations per year
 May also be used as a diagnostic trial for children with frequent
wheezing episodes
 Preferred option: regular daily low dose ICS + as-needed inhaled SABA
 Give for ≥3 months to establish effectiveness, and review response
 Other options depend on symptom pattern
 (Persistent asthma) – regular leukotriene receptor antagonist (LTRA)
leads to modest reduction in symptoms and need for OCS compared
with placebo
 (Intermittent viral-induced wheeze) – regular LTRA improves some
outcomes but does not reduce risk of exacerbations
 (Frequent viral-induced wheeze with interval symptoms) – consider
episodic or as-needed ICS, but give a trial of regular ICS first
Step 2 (children ≤5 years) – initial controller
+ as-needed SABA
GINA 2014
© Global Initiative for Asthma
Step 3 (children ≤5 years) – medium dose ICS
+ as-needed inhaled SABA
© Global Initiative for AsthmaGINA 2014, Box 6-5
© Global Initiative for Asthma
 Indication
 Asthma diagnosis, and symptoms not well-controlled on low dose
ICS
 First check symptoms are due to asthma, and check adherence,
inhaler technique and environmental exposures
 Preferred option: medium dose ICS with as-needed inhaled SABA
 Review response after 3 months
 Other options
 Consider adding LTRA to low dose ICS (based on data from older
children)
Step 3 (children ≤5 years) – medium dose ICS
+ as-needed inhaled SABA
GINA 2014
© Global Initiative for Asthma
Step 4 (children ≤5 years) – refer for expert
assessment
© Global Initiative for AsthmaGINA 2014, Box 6-5
© Global Initiative for Asthma
 Indication
 Asthma diagnosis, and symptoms not well-controlled on medium
dose ICS
 First check symptoms are due to asthma, and check adherence,
inhaler technique and environmental exposures
 Preferred option: continue controller treatment and refer for
expert assessment
 Other options (preferably with specialist advice)
 Higher dose ICS and/or more frequent dosing (for a few weeks)
 Add LTRA, theophylline or low dose OCS (for a few weeks only)
 Add intermittent ICS to regular daily ICS if exacerbations are the
main problem
 ICS/LABAnot recommended in this age group
Step 4 (children ≤5 years) – refer for expert
assessment
GINA 2014
© Global Initiative for Asthma
 This is not a table of equivalence
 A low daily dose is defined as the dose that has not been associated
with clinically adverse effects in trials that included measures of safety
‘Low dose’ inhaled corticosteroids (mcg/day)
for children ≤5 years
GINA 2014,Box 6-6
Inhaled corticosteroid Low daily dose (mcg)
Beclometasone dipropionate (HFA) 100
Budesonide (pMDI + spacer) 200
Budesonide (nebulizer) 500
Fluticasone propionate (HFA) 100
Ciclesonide 160
Mometasone furoate Not studied below age 4 years
Triamcinolone acetonide Not studied in this age group
GINA 2014, Box 6-6
© Global Initiative for Asthma
Choosing an inhaler device for children ≤5 years
GINA 2014,Box 6-6
Age Preferred device Alternate device
0–3 years Pressurized metered dose
inhaler plus dedicated spacer
with face mask
Nebulizer with face mask
4–5 years Pressurized metered dose
inhaler plus dedicated spacer
with mouthpiece
Pressurized metered dose
inhaler plus dedicated spacer
with face mask, or nebulizer
with mouthpiece or face mask
GINA 2014, Box 6-7
© Global Initiative for Asthma
Initial assessment of acute asthma exacerbations
in children ≤5 years
Symptoms Mild Severe*
Altered consciousness No Agitated, confused or drowsy
Oximetry on
presentation (SaO2)**
>95% <92%
Speech† Sentences Words
Pulse rate <100 beats/min >200 beats/min (0–3 years)
>180 beats/min (4–5 years)
Central cyanosis Absent Likely to be present
Wheeze intensity Variable Chest may be quiet
*Any of these features indicates a severe exacerbation
**Oximetry before treatment with oxygen or bronchodilator
† Take into account the child’s normal developmental capability
GINA 2014, Box 6-8
© Global Initiative for Asthma
Indications for immediate transfer to hospital for
children ≤5 years
GINA 2014, Box 6-9
*Normalrespiratory rates (breaths/minute): 0-2 months:<60;2-12 months:<50;1-5 yrs: <40
Transfer immediately to hospital if ANY of the following are present:
Features of severe exacerbation at initial or subsequent assessment
 Child is unable to speak or drink
 Cyanosis
 Subcostal retraction
 Oxygen saturation <92% when breathing room air
 Silent chest on auscultation
Lack of response to initial bronchodilator treatment
 Lack of response to 6 puffs of inhaled SABA (2 separate puffs, repeated
3 times) over 1-2 hours
 Persisting tachypnea* despite 3 administrations of inhaled SABA, even if the
child shows other clinical signs of improvement
Unable to be managed at home
 Social environment that impairs delivery of acute treatment
 Parent/carer unable to manage child at home
© Global Initiative for Asthma
Initial management of asthma exacerbations
in children ≤5 years
Therapy Dose and administration
Supplemental
oxygen
24% delivered by face mask (usually 1L/min) to maintain
oxygen saturation 94-98%
Inhaled SABA 2–6 puffs of salbutamol by spacer, or 2.5mg by nebulizer, every
20 min for first hour, then reassess severity. If symptoms
persist or recur, give an additional 2-3 puffs per hour. Admit to
hospital if >10 puffs required in 3-4 hours.
Systemic
corticosteroids
Give initial dose of oral prednisolone (1-2mg/kg up to maximum
of 20mg for children <2 years; 30 mg for 2-5 years)
GINA 2014, Box 6-10
Therapy Dose and administration
Supplemental
oxygen
24% delivered by face mask (usually 1L/min) to maintain
oxygen saturation 94-98%
Inhaled SABA 2–6 puffs of salbutamol by spacer, or 2.5mg by nebulizer, every
20 min for first hour, then reassess severity. If symptoms
persist or recur, give an additional 2-3 puffs per hour. Admit to
hospital if >10 puffs required in 3-4 hours.
Systemic
corticosteroids
Give initial dose of oral prednisolone (1-2mg/kg up to maximum
of 20mg for children <2 years; 30 mg for 2-5 years)
Additional options in the first hour of treatment
Ipratropium
bromide
For moderate/severe exacerbations, give 2 puffs of
ipratropium bromide 80mcg (or 250mcg by nebulizer) every
20 minutes for one hour only
Magnesium
sulfate
Consider nebulized isotonic MgSO4 (150mg) 3 doses in first
hour for children ≥2 years with severe exacerbation
Case 1
A 45-year-old man complains of nasal blockage and loss
of smell and taste. He is an asthmatic who has been well
controlled on ICS and LABA therapy. His past history is
significant for chronic rhinosinusitis and one previous
hospital admission for asthma with intubation and
mechanical ventilation.
He was told following that admission that he was allergic
to Aspirin, which he had taken for a back pain. On
physical examination his lungs are clear of wheeze.
The findings on nasal examination are seen
in this Figure
A. Leukotriene receptor antagonist.
B. A 3-week course of prednisone.
C. Inhaled topical nasal corticosteroid.
D. Allergen immunotherapy to relevant antigens.
E. Aspirin desensitization program.
The most appropriate treatment at this time is:
A. Leukotriene receptor antagonist.
B. A 3-week course of prednisone.
C. Inhaled topical nasal corticosteroid.
D. Allergen immunotherapy to relevant antigens.
E. Aspirin desensitization program.
The most appropriate treatment at this time is:
The patient under discussion has asthma and nasal
polyposis. The aim of therapy for nasal polyps is to restore
nasal patency, and this may return lost taste and smell and
restore sinus drainage.
Topical corticosteroids have been the drugs of choice for
many years as they have been shown to reduce the size of
small polyps and prevent or delay the recurrence of nasal
polyps after surgery. Oral corticosteroids are also very
effective for nasal polyps and in severe cases are preferred
for 3 weeks followed by prolonged topical therapy.
Oral and not topical corticosteroids are usually effective for
anosmia and therefore are preferred in this patient, making
option B correct and C incorrect. When corticosteroids are
not effective, surgery is unavoidable.
Having both asthma and nasal polyposis places a patient up
to a 40% risk of having or developing aspirin sensitivity,
otherwise known as aspirin intolerant asthma (AIA).
Nasal polyps are smooth gelatinous semitranslucent
structures that seem to be outgrowths of the nasal mucosa.
Most polyps arise from the ethmoid sinus and histologically
are a mass of edema fluid with an abundance of eosinophils
and other inflammatory cells such as mast cells,
lymphocytes, and neutrophils. Nasal polyposis is an non-
IgE mediated inflammatory condition and is often
associated with nonallergic rhinitis, aspirin sensitivity, and
nonallergic asthma.
Atopy is no more prevalent in patients with nasal polyps
than in the general population; therefore, option D would not
be an appropriate step in this patient.
Most patients with AIA have a long history of
perennial rhinitis, which begins in the third decade,
often after a viral illness. Over months to years
nasal polyps develop followed by the appearance
of moderately severe to severe asthma and aspirin
sensitivity.
After ingestion of aspirin or a nonsteroidal
antiinflammatory drug (NSAID), an acute asthma
exacerbation occurs, often accompanied by
rhinorrhea, periorbital edema, conjunctival
congestion, and occasionally flushing of the face.
Evidence suggests that by inhibiting the
cyclooxygenase (COX) pathway, aspirin and
NSAIDS divert arachadonic metabolism to the
lipoxygenase pathway which is involved in the
pathogenesis of this syndrome. Leukotriene
pathway modifiers such as the receptor
antagonists have shown to be effective
Leukotriene pathway pathway which is involved in the
pathogenesis of this syndrome. Leukotriene pathway
modifiers such as the receptor antagonists have shown to
be effective for asthma but not nasal polyps; therefore,
option A is not correct
Aspirin desensitization is done by giving small increasing
oral doses of aspirin over 2 to 3 days and then a daily dose
after a refractory period is reached. The asthma is improved
and the nasal inflammatory disease responds the best. This
procedure is ideal in those patients who have just had
surgical polypectomy, as it has been shown to delay the
recurrence of polyps for an average of 6 years.
It would not improve nasal patentcy in this patient;
therefore, option E is not correct. The addition of
nedocromil sodium is incorrect because there is no need to
“step up” her asthma therapy at this time.
oMr Samir a lifelong heavy smoker and
asthmatic, the seventy year old Mr Samir is
wheezing most days and always is short of
breath. He is on regular combivent,
beclomethasone 200mcg bd and
intermittant salbutamol.
Case 2
oThe most likely diagnosis is Uncontrolled
Asthma.
but
The COPD element should not be neglected
in this patient with a high smoking index
(old age and heavy smoker). It definitely has
a share in his symptoms and airflow
limitation.
What is the likely diagnosis?
A 46 year old man comes to your clinic for management of
his asthma. He takes high-dose inhaled corticosteroids
and a long-acting beta agonist, along with a leukotriene
inhibitor. His adherence and technique are perfect.
He still has symptoms of cough, wheezing, and chest
tightness that bother him most days and nights each
week. He is using albuterol daily. The symptoms persist
when he goes on vacation out of state.
Sputum culture is negative. IgE level is 3,600 ng/mL. His
primary doctor obtained imaging and a chest CT, which
are shown.
Case 3
What should be the next step?
A. Schedule spirometry for next week to
guide step-up therapy.
B. Start omalizumab injections every 2
weeks.
C. Sweat chloride testing.
D. Skin testing for reactivity to Aspergillus
fumigatus.
E. HIV test.
What should be the next step?
A. Schedule spirometry for next week to
guide step-up therapy.
B. Start omalizumab injections every 2
weeks.
C. Sweat chloride testing.
D. Skin testing for reactivity to Aspergillus
fumigatus.
E. HIV test.
Allergic bronchopulmonary aspergillosis (ABPA) is an
ongoing hypersensitivity reaction in response to
bronchial colonization by Aspergillus, and is a common
cause of poorly controlled asthma. Cystic fibrosis
patients are also often affected. Bronchial obstruction
by mucus and chronic inflammation can lead to
bronchiectasis and lung fibrosis with irreversible loss
of lung function.
Clinical features: Cough productive of sputum, frequent
"bronchitis"; often with dyspnea and wheezing.
Diagnosis:
By constellation of symptoms and objective
findings. "Classic" ABPA would include the
following:
Asthma history
Immediate reactivity on skin prick with Aspergillus
antigens
Precipitating serum antibodies to A. fumigatus
Serum total IgE concentration >1,000 ng/mL
Peripheral blood eosinophilia >500/mm3
Lung opacities on chest x-ray or chest HRCT
Central bronchiectasis present on chest CT
Elevated specific serum IgE and IgG to A.
fumigatus
A skin test is the best first test, as it
is considered 100% sensitive (i.e., a
negative test rules out the condition).
A serum IgE < 1,000 or negative
precipitating antibodies also rule out
ABPA with high confidence.
Case 4
Your internal medicine colleague asks you about
a patient she is about to discharge home after a
hospitalization for asthma exacerbation. The
patient, takes a beta-blocker for coronary artery
disease and hypertension. Your colleague is
considering stopping the beta-blocker to avoid
any contribution to future asthma exacerbations,
but wants your opinion first.
What do you recommend?
A. Stop the beta blocker.
B. Continue the beta blocker.
C. Stop the beta blocker; order a stress test.
D. Continue the beta blocker; order an
echocardiogram.
Case 5
o Yusuf is 4 years old. He has had a persistant cough for
weeks that wakes him at night. “Every cold goes to his
chest” This is the fifth consultation for cough in the last
year. Only once has a wheeze been documented. His
father is known asthmatic.
1- What is the likely diagnosis?
2- What treatment would you give?
Self-fulfilling: Infant Wheezing
Phenotypes
• Never (51%)
• Transient (20%)
– Wheeze 0-3, not at age 6
• Persistent (14%)
– Wheeze 0-3 still present
age 6
• Late onset (15%)
– Wheeze after age 3
Diagnosing Asthma in Young
Children – Asthma Predictive
Index
• > 4 episodes/yr of
wheezing lasting
more than 1 day
affecting sleep in a
child with one MAJOR
or two MINOR criteria
• Major criteria
– Parent with asthma
– Physician diagnosed
atopic dermatitis
• Minor criteria
– Physician diagnosed
allergic rhinitis
– Eosinophilia (>4%)
– Wheezing apart from
colds
1Adapted from Castro-Rodriquez JA, et al. AJRCCM 2000; 162: 1403
Modified Asthma Predictive Index (API)
Cough-variant asthma
Cough-variant asthma presents as dry
cough at night. It worsens with exercise
(EIA) and nonspecific triggers (cold air).
Cough-variant asthma responds to asthma
therapy with ICS.
Cough-variant asthma is diagnosed with
pulmonary function testing (PFTs) with
response to bronchodilator. The most
common cause of chronic cough in children
is cough-variant asthma.
1- What is the likely diagnosis?
The likely diagnosis is Bronchial Asthma (childhood
asthma):
- Family history.
- Symtoms(cough mainly at night, every cold goes to the
chest).
- Signs: chest wheeze.
Treatmnt
Severe asthma - differential diagnosis and management
Case 7
oA 30-year-old G2P1 pregnant woman at 15 weeks
gestation presents to an outpatient clinic with
worsening dyspnea over the preceding two weeks. Her
past medical history is significant for asthma diagnosed
in childhood, seasonal allergies, and gastroesophageal
reflux disease (GERD) during her previous
pregnancy. She notes that her asthma symptoms had
been well-controlled on inhaled Budesonide/formoterol
(160mcg/4.5mcg), Salbutamol MDI as needed, and a
nasal steroid spray prior to pregnancy. However, she
discontinued all of her medications when she learned
that she was pregnant for fear that they might harm her
baby.
oAt today’s visit she feels that she is unable to take a deep
breath. She also describes one to two episodes of wheezing daily
and night time cough two to three times per week. Warm air, dust,
and exposure to cats seem to exacerbate her symptoms.
oOn physical exam, the patient is in no acute distress. The lungs
are clear to auscultation bilaterally.
1- Is the patient controlled?
2- Is asthma medications safe in pregnancy?
3- Treatment needed?
1- Is the patient controlled?
NO……
 Breathlessness.
 Frequent nocturnal symptoms
(cough and wheezes).
2- Is asthma medicationssafe in pregnancy?
Yes,
There is little evidence suggesting that medications
used to treat asthma may harm the fetus.
AND also
Pregnant patients with asthma should be advised
that the greater risk for their babies lies in poorly
controlled asthma and most modern asthma
medications are safe.
For this reason, using medications to obtain
optimal asthma control is justified.
3- Treatment needed?
Asthma control was already achieved on this
treatment:
o Inhaled Budesonide/formoterol
(160mcg/4.5mcg).
o Salbutamol MDI as needed.
o Nasal steroid spray.
o It may be repeated with reassurance about the
safety of the medications and regular follow up to
assess asthma control.
o Sandra is 60 years old and has had asthma for 4 years. She
has attended today as she has a cough, She is short of breath
and getting disturbed nights.
o Sheiscurrentlyonregularsalbutamoland beclomethasone200mcg2
puffsbd.
Discuss your therapeutic options?
Case 8
current medications:
 (medium dose ICS + rapid acting B₂ agonist as reliever)
Therapeutic options:
STEP UP the actual treatment:
 Add long acting B₂ agonist with ICS in a single inhaler.
 (+/-) sustained release theophylline or leukotriene
modifier.
o A 22 years old male patient, non smoker, comes to
primary care clinic complaining of chronic cough for the
last 3 months, mainly at night, together with occasional
exertional dyspnea and chest wheezes.
o 1- How will you approach this case?
o 2- What is the basic functional assessment to be
proposed?
Case 9
1- How will you approach this case?
o A young patient with symptoms suggestive of airway
obstruction.
(bronchial asthma??)
Proper medical history is essential:
- Family or past history of allergic diseases.
- Risk factors and exposure to exacerbating factors.
- detailed history concerning the pattern of symptoms.
Physical examination: (CHEST WHEEZES??)
- Order for functional assessment
2- What is the basic functional assessment
to be proposed?
Spirometry before and after B₂ agonist to demostrate airway
obstruction and to assess the reversibility.
o A 23 years old female patient with known bronchial asthma
since childhood experiences almost daily symptoms, her
sleep is disturbed because of asthma three times a week,
and she is not able to perform regular exercise. She’s been
prescribed daily ICS for six months and uses Salbutamol for
breakthrough wheezing, chest tightness and breathlessness.
oWhat are the management options?
Case 10
What are the management options?
o The patient is uncontrolled on her current treatment
 Daily symptoms
 Nocturnal symptoms>3 times/week
 Limitations of activities
So……Stepping up…
 Add long acting B₂ agonist to ICS.
 Add leukotriene modifier.
 +/- Sustained release theophylline.
Pattern of
uncontrolled
asthma
Asthma management phenotype based approach

Asthma management phenotype based approach

  • 2.
    Asthma Management Phenotypes basedapproach Gamal Rabie Agmy, MD, FCCP Professor of chest Diseases, Assiut university
  • 3.
    Asthma is aheterogeneous disease, usually characterized by chronic airway inflammation. It is defined by the history of respiratory symptoms such as wheeze, shortness of breath, chest tightness and cough that vary over time and in intensity, together with variable expiratory airflow limitation. Definition of asthma NEW! GINA 2014
  • 4.
    • Increased probabilitythat symptoms are due to asthma if: – More than one type of symptom (wheeze,shortnessof breath,cough,chesttightness) – Symptomsoften worseat night or in the early morning – Symptomsvary overtime and in intensity – Symptomsare triggered by viral infections,exercise,allergen exposure,changesin weather, laughter,irritants such as car exhaustfumes,smoke,or strong smells • Decreased probability that symptoms are due to asthma if: – Isolated coughwith no other respiratory symptoms – Chronic productionof sputum – Shortness of breath associated with dizziness,light-headedness orperipheraltingling – Chestpain – Exercise-induced dyspneawith noisy inspiration(stridor) Diagnosis of asthma – symptoms GINA 2014
  • 5.
    • Confirm presenceof airflow limitation – Document that FEV1/FVC is reduced (at least once, when FEV1 is low) – FEV1/ FVC ratio is normally >0.75 – 0.80 in healthy adults, and >0.90 in children • Confirm variation in lung function is greater than in healthy individuals – The greater the variation, or the more times variation is seen, the greater probability that the diagnosis is asthma – Excessive bronchodilator reversibility (adults: increase in FEV1 >12% and >200mL; children: increase >12% predicted) – Excessive diurnal variability from 1-2 weeks’ twice-daily PEF monitoring (daily amplitude x 100/daily mean, averaged) – Significant increase in FEV1 or PEF after 4 weeks of controller treatment – If initial testing is negative: • Repeat when patient is symptomatic, or after withholding bronchodilators • Refer for additional tests (especially children ≤5 years, or the elderly) Diagnosis of asthma – variable airflow limitation GINA 2014, Box 1-2
  • 6.
    © Global Initiativefor Asthma Time (seconds) Volume Note: Each FEV1 represents the highest of three reproducible measurements Typical spirometric tracings FEV1 1 2 3 4 5 Normal Asthma (after BD) Asthma (before BD) Flow Volume Normal Asthma (after BD) Asthma (before BD) GINA 2014
  • 7.
    • Physical examinationin people with asthma – Often normal – The most frequent finding is wheezing on auscultation, especially on forced expiration • Wheezing is also found in other conditions, for example: – Respiratory infections – COPD – Upper airway dysfunction – Endobronchial obstruction – Inhaled foreign body • Wheezing may be absent during severe asthma exacerbations (‘silent chest’) Diagnosis of asthma – physical examination GINA 2014
  • 8.
    GINA 2014, Box1-1 © Global Initiative for Asthma NEW!
  • 9.
    Asthma Pathology Asthma isa chronic inflammatory disease associated with airway hyperresponsiveness (AHR), short-term consequences… Airway obstruction and symptoms by: Bronchoconstriction Mucus plugs Mucosal edema Inflammatory cell infiltration/activation Remodelling: Increased vascularity Epithelial cell disruption Increased airway smooth muscle mass (hyperplasia) Reticular basement membrane thickening …and long-term consequences Bousquet J et al. Am J Respir Crit Care Med 2000;161:1720–1745; Beckett PA et al. Thorax 2003;58:163–174
  • 11.
  • 12.
  • 16.
    ◙ For revealingthe complexity and the heterogeneity of this disease, asthma patients were grouped into subtypes called phenotypes. ◙ Term ‘phenotype’ describes subtypes of asthma focused on ‘clinically observable characteristics’ of a disease.
  • 20.
    Therefore, there aremany ‘definitions’ for asthma phenotypes, many of which are related to differences in symptoms and severity rather than to differences in underlying mechanisms. but this kind of subtyping does little to help understand prognosis and target therapy. When a link can be made between clinical characteristics and molecular pathways, the term endotype can be introduced to describe distinct subtypes with a defining etiology and consistent pathobiologic mechanisms.
  • 21.
    The definition ofa true phenotype (or endotype) requires an underlying pathobiology with identifiable biomarkers and genetics . Gene-expression profiling allows definition of expression signatures to characterize patient subgroups, predict response to treatment, and offer novel therapies.
  • 22.
    Asthma Endotypes: categories 1.TH2-associated asthma – Allergic asthma – Early-onset allergic asthma – Late-onset persistenteosinophilic asthma – Aspirin exacerbated airwaydisease (AERD) – Exercise induced asthma 2. Non Th2-associated asthma – Obesity-related asthma – Neutrophilic asthma – Smoking asthma
  • 23.
  • 24.
    Asthma Endotypes: categories 1.TH2-associated asthma – Allergic asthma – Early-onset allergic asthma – Late-onset persistenteosinophilic asthma – Aspirin exacerbated airwaydisease (AERD) – Exercise induced asthma 2. Non Th2-associated asthma – Obesity-related asthma – Neutrophilic asthma – Smoking asthma
  • 25.
  • 33.
    Asthma Phenotypes: categories 1.TH2-associated asthma – Allergic asthma – Early-onset allergic asthma – Late-onset persistenteosinophilic asthma – Aspirin exacerbated airwaydisease (AERD) – Exercise induced asthma 2. Non Th2-associated asthma – Obesity-related asthma – Neutrophilic asthma – Smoking asthma
  • 34.
    TH2-associated asthma Early-onset allergicasthma • Clinical characteristics : – This group of asthmatic patients developed their disease in childhood, and maintained their symptoms into adulthood. . The majority of early-onset allergic asthma is mild but that an increasing complexity of immune processes leads to greater severity. – Most people with asthma are likely to have this phenotype. – Positive skin prick tests, specific IgE antibodies in serum, eosinophilia in the peripheral blood.
  • 35.
    TH2-associated asthma Early-onset allergicasthma • Genetics: – Early-onset allergic patients commonly have a family history of asthma, suggesting a genetic component. – Several Th2 cytokine SNPs – Higher numbers of mutations in TH2-related genes (IL4, IL13, IL4Rα ) associated with greater severity of disease. • Biomarkers: – Positive SPT, elevated IgE/elevated FeNO – Th2 cytokines IL-4 ,IL-5 , IL-9, IL-13, and periostin measured in sputum, BAL, serum and bronchial biopsies.
  • 36.
    TH2-associated asthma Early-onset allergicasthma • Treatment responses: – Corticosteroid-responsive. – Th2 Targeted therapy: – Anti IgE (omalizumab)in Severe allergic asthma. – Anti–IL-13( lebrikizumab) in Allergic asthma with dominant IL-13 activation . Surrogate marker predicting better response is high circulating levels of periostin. – Inhaled IL-4Rα antagonist. Surrogate marker predicting better response is IL-4 receptor a polymorphism.
  • 37.
    Asthma Phenotypes: categories 1.TH2-associated asthma – Allergic asthma – Early-onset allergic asthma – Late-onset persistenteosinophilic asthma – Aspirin exacerbated airwaydisease (AERD) – Exercise induced asthma 2. Non Th2-associated asthma – Obesity-related asthma – Neutrophilic asthma – Smoking asthma
  • 38.
    TH2-associated asthma Late-onset persistenteosinophilic asthma • Clinical characteristics: – The majority of this group develops disease in adult life, often in the late 20s to 40s. – Severe from onset, Severe exacerbations with persistent sputum eosinophilia (>2%), despite corticosteroidtherapy. – less clinical allergic responses( non atopic) than early-onset asthma. – It is often associated with sinus disease.
  • 39.
    TH2-associated asthma Late-onset persistenteosinophilic asthma • Genetics: – Few patients in this group have a family history of asthma. – little is known regarding the genetics of adult onset persistent asthma.
  • 40.
    TH2-associated asthma Late-onset persistenteosinophilic asthma • Biomarkers: – Lung eosinophilia. Persistent sputum eosinophilia (≥2%) – The lack of clinical allergy in this phenotype suggests that the TH2 process differs from and is probably more complex than the one associatedwith the early-onset allergic phenotype but the presence of IL-13 and IL-5 in the lower airways confirm Th2 pathway. – Some individuals show sputum neutrophilia intermixed with their eosinophilic process. This mixed inflammatory process implies that there are interactions of additional immune pathways with TH2 immunity, including activation of pathways related to IL-33 and IL-17 . – Elevations in FeNO
  • 41.
    TH2-associated asthma Late-onset persistenteosinophilic asthma • Treatment responses: – persistent eosinophilia in late-onset disease inspite of ICS implies that the TH2 process in this type of asthma is refractory to corticosteroids but high systemic doses of corticosteroids are generally able to overcome this refractoriness in late-onset asthma. – IL-5 targeted therapy may show much better efficacy in this endotype, compared in early-onset allergic asthma patients, as IL-5 dependent eosinophilia may be more important in this potential endotype. (decreasing exacerbations and systemic corticosteroid requirements) – IL-4 and IL-13 targeted therapy pathway.
  • 42.
    Asthma Phenotypes: categories 1.TH2-associated asthma – Allergic asthma – Early-onset allergic asthma – Late-onset persistenteosinophilic asthma – Aspirin exacerbated airwaydisease (AERD) – Exercise induced asthma 2. Non Th2-associated asthma – Obesity-related asthma – Neutrophilic asthma – Smoking asthma
  • 43.
    TH2-associated asthma Aspirin exacerbatedairway disease (AERD) • AERD is probably a subendotype or a similar endotype. It is an acquired condition on top of an intrinsic or less frequently allergic asthma and thus, despite its peculiar sensitivity to NSAIDs, still has major overlap with these conditions. • Clinical characteristics : – AERD is frequently progressivesevere asthma starts late in life and is associated with eosinophilia and sinus disease Polyposis. – Response to aspirin challenge
  • 44.
    • Genetics : –LT-related gene polymorphisms. – Gene-expression study identified upregulation of periostin a potent regulator of fibrosis and collagen deposition has also been identified in polyps of and in airwayepithelial cells of patients with AIA. – Overexpression of periostin has been associated with accelerated cell growth and angiogenesis(subtype). • Biomarkers: – high cysteinyl leukotriene level. TH2-associated asthma Aspirin exacerbated airway disease (AERD)
  • 45.
    • Treatment responses: – Many patients require systemic corticosteroids to control their sinusitis and asthma. – Leukotriene modifiers especially 5-LO inhibitors can have a robust impact on the AERD subset. – Downregulation of periostin after treatment of asthmatic patients with corticosteroids suggests that normalization of periostin expression is a part of the therapeutic effects of corticosteroids. This opens a possibility of specifically targeting periostin in future therapies for nasal polyps and asthma TH2-associated asthma Aspirin exacerbated airway disease (AERD)
  • 46.
  • 47.
    Asthma Phenotypes: categories 1.TH2-associated asthma – Allergic asthma – Early-onset allergic asthma – Late-onset persistenteosinophilic asthma – Aspirin exacerbated airwaydisease (AERD) – Exercise induced asthma 2. Non Th2-associated asthma – Obesity-related asthma – Neutrophilic asthma – Smoking asthma
  • 48.
    • Clinical characteristics: –Exercise induced asthma refers to asthma whose symptoms are experienced primarily after exercise. EIA is a milder form of TH2 asthma. – Consistent with a relationship to TH2 processes, EIA common in atopic athletes and high percentages of eosinophils and mast cells and their mediators . • Biomarkers: – Th2 cytokines and cysteinyl leukotriene • Genetics: – No distinct genetic factors . TH2-associated asthma Exercise induced asthma
  • 49.
    Slide 49 Benefits ofLTRAs in Activity-Induced Asthma • Leukotrienes are important mediators of exercise-triggered asthma episodes.1 • Both the LTRA montelukast and the LABA salmeterol provide benefit in terms of chronic symptom control.2,3 – Montelukast may provide better bronchoprotection against exercise-triggered asthma.4,5 – SABA rescue therapy may be more effective postexercise.2 Slide 49 LTRAs=leukotriene receptor antagonists; LABA=long-acting β-agonist; SABA=short-acting β-agonist. 1. O’Byrne PM. Am J Respir Crit Care Med. 2000;161:S68–S72. 2. Storms W et al. Respir Med. 2004;98:1051–1062. 3. Wilson AM et al. Chest. 2001;119(4):1021–1026. 4. Villaran C et al. J Allergy Clin Immunol. 1999;104(3, pt 1):547–553. 5. Edelman JM et al. Ann Intern Med. 2000; 132(2):97–104.
  • 50.
    TH2-associated asthma Exercise inducedasthma Ann AllergyAsthma Immunol 2010
  • 51.
    Slide 51 Study Design1 E=exercisechallenge. 1. Fogel RB et al. Ann Allergy Asthma Immunol. 2010;104:511–517. (n=78) Montelukast 5 mg + placebo for salmeterol Salmeterol 50 µg twice daily + placebo for montelukast (154) Fluticasone 100 µg twice daily –4 Week 6 100 4 Active TreatmentRun-In Active Treatment Washout E Fluticasone 100 µg twice daily (n=76) Salmeterol 50 µg twice daily + placebo for montelukast Montelukast 5 mg + placebo for salmeterol E E Slide 51
  • 52.
    Efficacy End Points1 MinutesPostchallenge This article was published in the Annals of Allergy, Asthma & Immunology, 104, Fogel RB, Rosario N, Aristizabal G, et al, Effect of montelukast or salmeterol added to inhaled fluticasone on exercise-induced bronchoconstriction in children, 511–517, ©2010 American College of Allergy, Asthma & Immunology. AUC0–20 min=area under the curve for the first 20 minutes after exercise; FEV1=forced expiratory volume in 1 second. 1. Fogel RB et al. Ann Allergy Asthma Immunol. 2010;104:511–517. Slide 52 MeanPercentageChange FromPrechallenge 0 5 10 15 20 25 30 35 50 End of exercise, start of spirometry –30 –20 –10 0 10 ExerciseChallenge β-agonist use 1st 2nd Return to within 5% of the preexercise baseline FEV1 20 Time to recovery to within 5% of the preexercise baseline FEV1 AUC0–20 min Max % fall in FEV1 Slide 52
  • 53.
    Montelukast Provided Better BronchoprotectionAfter Exercise Than Salmeterol1 Mean±SDMaximum% FallinFEV1 Slide 53 SD=standard deviation; FEV1=forced expiratory volume in 1 second; LS=least squares. aOn a background of inhaled fluticasone. 1. Fogel RB et al. Ann Allergy Asthma Immunol. 2010;104:511–517. Maximum % Fall in FEV1 (Primary End Point) Slide 53 LS mean difference: –3.3% (P=0.009) Salmeterola (n=144) –10.6 ± 12.2 –13.8 ± 12.5 –20 0 –10 –15 –5 Montelukasta (n=144)
  • 54.
    Montelukast Maintained Bronchoprotective EffectsAfter Exercise Challenge1 Mean±SE%Change FromPrechallenge This article was published in the Annals of Allergy, Asthma & Immunology, 104, Fogel RB, Rosario N, Aristizabal G, et al, Effect of montelukast or salmeterol added to inhaled fluticasone on exercise-induced bronchoconstriction in children, 511–517, ©2010 American College of Allergy, Asthma & Immunology. FEV1=forced expiratory volume in 1 second; SE=standard error. 1. Fogel RB et al. Ann Allergy Asthma Immunol. 2010;104:511–517. Minutes Postchallenge Pre- challenge 0 5 10 15 20 25 30 35 50 Montelukast (n=144) Salmeterol (n=144) –15 –10 –5 0 10 5 Short-acting β-agonist rescue Change in FEV1 Over Time Slide 54
  • 55.
    Montelukast Reduced theExtent and Duration of Bronchoconstriction1 Slide 55 AUC0–20 min=area under the curve for the first 20 minutes after exercise; FEV1=forced expiratory volume in 1 second; LS=least squares; SD=standard deviation. 1. Fogel RB et al. Ann Allergy Asthma Immunol. 2010;104:511–517. AUC0–20 min for FEV1 Following Exercise Challenge Mean±SDAUC0–20min, %•min Salmeterol (n=144) 0 Montelukast (n=144) LS mean difference: –52.7% (P=0.006) 116.0 168.8 250 100 50 150 Slide 55 200
  • 56.
    Montelukast Reduced theTime to Recovery1MedianTime,min Slide 56 FEV1=forced expiratory volume in 1 second; LS=least squares. 1. Fogel RB et al. Ann Allergy Asthma Immunol. 2010;104:511–517. Time to Recoveryto Within 5% of Preexercise FEV1 Salmeterol (n=142) Montelukast (n=141) LS Mean Difference: 1.3 (P=0.04) Slide 56 0 5.9 11.1 14 6 2 10 4 8 12
  • 57.
    Children Remained MoreResponsive to SABA Rescue With Montelukast1 Slide 57 SABA=short-acting β-agonist; FEV1=forced expiratory volume in 1 second; LS=least squares. 1. Fogel RB et al. Ann Allergy Asthma Immunol. 2010;104:511–517. Average % Change in FEV1 Following First SABA Use Slide 57 Average%ChangeinFEV1 FromPreexerciseBaseline Salmeterol (n=144) 0 Montelukast (n=144) LS mean difference: 3.8% (P<0.001) 6.5 2.7 8 4 2 6 10
  • 58.
    Slide 58 Summary andConclusions • In a study of children aged 6 to 14 years receiving an ICS for the treatment of persistent asthma (N=154): – Montelukast provided superior bronchoprotection compared with LABA therapy. – Children remained more responsive to SABA rescue while on montelukast compared with LABA therapy. • Montelukast + an ICS may provide better protection against exercise-triggered asthma than a LABA + an ICS. ICS=inhaled corticosteroid; LABA=long-acting β-agonist; SABA=short-acting β-agonist. 1. Fogel RB et al. Ann Allergy Asthma Immunol. 2010;104:511–517. Slide 58
  • 59.
    Montelukast Activity-Induced AsthmaStudy (6–14 years) Summary Adapted from Kemp JP et al J Pediatr 1998;133(3):424-428; Data on file, MSD. Clinical Benefits Reduced the Extent of EIB Reduced the Duration of EIB Reduced the Recovery Time From EIB Tolerability As Placebo
  • 60.
    Asthma Phenotypes: categories 1.TH2-associated asthma – Allergic asthma – Early-onset allergic asthma – Late-onset persistenteosinophilic asthma – Aspirin exacerbated airwaydisease (AERD) – Exercise induced asthma 2. Non Th2-associated asthma – Obesity-related asthma – Neutrophilic asthma – Smoking asthma
  • 61.
    • Whether obesityis a driving component in asthma development or a mere confounder or comorbidity of its presence remains controversial. • It is likely that obesity differentially impacts asthma that develops early in life, as compared to later in life, being a more prominent independent contributor in later onset disease. • So a distinct obesity-related asthma phenotype seems to occur only in non-TH2 asthma. Non TH2-associated asthma Obesity related Asthma
  • 62.
    • Clinical characteristics: –Patients in this group are commonly women, obese, late onset (mid-40s), less allergic (obesity is neither a risk factor for atopy nor a risk factor for allergic asthma).with a high burden of symptoms. • Biomarkers: – High expression of non Th2 mediators such as tumor necrosis factor (TNF)-a, IL-6 . – Hormones of obesity, such as adiponectin, leptin, and resistin either alone or in association with increased oxidative stress. – Elevations in an endogenous inhibitor of iNOS, asymmetric dimethyl arginine (ADMA). – lower amounts of FeNO, fewer eosinophils. Non TH2-associated asthma Obesity related Asthma
  • 63.
    • Treatment responses: –Patients of this subgroup usually respond poorly to corticosteroids. – Bariatric surgery induced weight loss was associated with profound improvements in lung function and symptoms in obese asthma. – However, the effect of weight loss on bronchial hyper responsiveness was only shown in late-onset, nonallergic (non-Th2) asthma patient, consistent with late onset obese asthma being a separate endotype. This is further supported by the increase in ADMA in associationwith worsening severity and control in late onset obese asthma only. Non TH2-associated asthma Obesity related Asthma
  • 64.
    Asthma Phenotypes: categories 1.TH2-associated asthma – Allergic asthma – Early-onset allergic asthma – Late-onset persistenteosinophilic asthma – Aspirin exacerbated airwaydisease (AERD) – Exercise induced asthma 2. Non Th2-associated asthma – Obesity-related asthma – Neutrophilic asthma – Smoking asthma
  • 65.
    • Smoking hasa complex relationship with asthma. It is associatedwith deteriorating lung function and resistanceto corticosteroids. • Smoking asthma has been associated with neutrophilia in lung tissue. • It is unknown if smoking asthma is a subtype of neutrophilic asthma or an independent endotype . Since not all smoking asthma is accompanied by neutrophilia, it is more likely that there is only a partial overlap between neutrophilic asthma and smoking asthma. Non TH2-associated asthma Smoking asthma
  • 66.
    • Some reportshave suggested that smoking is associatedwith elevated total IgE and that active smoking may increase the risk of sensitization to workplace allergens. • However, little is understood regarding the role of genetics, biomarkers or pathobiology. • FeNO levels are decreased by smoking and could help to differentiate asthmatic subjects from non-asthmatic subjects. • Treatment responses – Quitting smoking – Restoration of HDAC 2 nuclear recruitment with theophylline. Non TH2-associated asthma Smoking asthma
  • 67.
    Non TH2-associated asthma Smokingasthma Rationale for Targeting Leukotrienes in Patients With Asthma Who Smoke
  • 68.
    Slide 68 Does SmokingAffect Leukotriene Production in Subjects Without Asthma? LTE4=leukotriene E4. 1. Fauler J et al. Eur J Clin Invest. 1997;27:43–47. Correlation of LTE4 Excretion With Cigarette Smoking1 No. of Cigarettes Smoked Per Day UrinaryExcretionofLTE4, nmol/molcreatinine 1 10 20 30 40 50 60 70 80 100 0 (r=0.92, P<0.001) (n=30)
  • 69.
    Does Smoking AffectLeukotriene Production in Patients With Asthma? Slide 69 LTE4=leukotriene E4. 1. Gaki E et al. Respir Med. 2007;101:826–832. LTE4/Creatinine Concentration Ratios in Smoking and Nonsmoking Asthma Patients1 LTE4/Creatinine,pg/mg 300 250 200 150 100 50 0 P<0.0001 Asthma Smoking (n=20) Nonsmoking (n=20)
  • 70.
    Effect of Montelukastfor treatment of asthma in cigarette smokers Slide 70 J Allergy Clin Immunol 2013
  • 71.
    Study Goal andDesign Montelukast 10 mg once daily (n=347) Fluticasone propionate 250 µg twice daily (n=336) Placebo (n=336) Single-blind placebo run-in periodWashout Day –31 Day –21 Day 1 Day 30 Day 90 Day 180 Period I Period II Goal: To evaluate the effect of montelukast vs placebo (primary) and medium-dose fluticasone (secondary) in asthma patients who smoke Slide 71
  • 72.
    Key Inclusion/Exclusion Criteria •Inclusion – Male or female, aged 18 to 55 years – History of chronic asthma ≥1 year – Evidence of reversible airway obstruction (increase in FEV1 ≥12% following β-agonist administration) – Cigarette smoker of 0.5 to 2 packs per day (≤30 pack-year history) – Weekly average ≥2 puffs/day β-agonist during run-in period Slide 72 FEV1=forced expiratory volume in 1 second; COPD=chronic obstructive pulmonary disease.
  • 73.
    Key Inclusion/Exclusion Criteria •Exclusion – History of COPD – History of intubation for asthma, acute asthma therapy in an emergency department/urgent care/office setting within 1 month, or hospitalization for asthma within 3 months of the beginning of run-in – Any active, acute, or chronic pulmonary disorder (other than asthma), or active, clinically significant sinus infection – Unresolved signs and symptoms of upper respiratory tract infection within 3 weeks of the beginning of run-in – Prohibited medications (prior to screening visit) Slide 73 FEV1=forced expiratory volume in 1 second; COPD=chronic obstructive pulmonary disease.
  • 74.
    Primary and SecondaryEfficacy End Points • Primary – Percentage of asthma-control days, defined as a day with none of the following: ♦ Unscheduled visit for asthma care to an office, emergency department, or hospital setting ♦ Use of >2 puffs of β-agonist ♦ Use of other asthma rescue medication ♦ Nocturnal awakenings • Secondary – Average change from baseline in mean daytime symptom score – Change from baseline in average AM peak expiratory flow rate Slide 74
  • 75.
    Tertiary Efficacy EndPoints • Changes in lung function – FEV1 – PM PEFR • Changes in parameters of asthma control – Average daily number of β-agonist puffs – Average nighttime symptom score – Asthma-free daysa – Asthma attacks/time to first attackb – Discontinuations due to asthma • Other – Eosinophil count FEV1=forced expiratory volume in 1 second; PEFR=peak expiratory flow rate. aAsthma-free day defined as a day with no unscheduled visit for asthma care to an office, emergency department, or hospital setting; no use of β-agonist; no use of other rescue medication; and no nocturnal awakening. bAsthma attack defined as the occurrence of an unscheduled visit to the doctor’s office or emergency department, hospitalization, or treatment with oral, intravenous, or intramuscular corticosteroids. Slide 75
  • 76.
    Safety Profile EndPoints • Clinical Adverse Experiences – Overall adverse experiences (primary) – Serious adverse experiences – Drug-related adverse experiences – Discontinuations due to adverse experiences Slide 76
  • 77.
    Significant improvements inthe mean percentage of days with asthma control in both groups Slide 77 J Allergy Clin Immunol 2013;
  • 78.
    Patients with asmoking history of >11 pack years tended to show more benefit with montelukast Slide 78 J Allergy Clin Immunol 2013;
  • 79.
    Key Conclusion • Evidencesuggests that corticosteroids have reduced efficacy for treatment of asthma in smokers. Because smoking induces cysteinyl leukotriene production, treatment with Singulair might be helpful in this population. • Both montelukast and fluticasone were superior to placebo in this population; the difference between the 2 treatments was not statistically significant. • Patients with a smoking history of less than 11 pack years tended to show more benefit with fluticasone, whereas those with a smoking history of greater than 11 pack years tended to show more benefit with montelukast Slide 80
  • 80.
    © Global Initiativefor Asthma GINA Global Strategy for Asthma Management and Prevention 2014 This slide set is restricted for academic and educational purposes only. Use of the slide set, or of individual slides, for commercial or promotional purposes requires approval from GINA. Assessment of asthma
  • 81.
    © Global Initiativefor Asthma GINA assessment of asthma control GINA 2014, Box 2-2A
  • 82.
    © Global Initiativefor Asthma GINA assessment of asthma control GINA 2014, Box 2-2B
  • 83.
    © Global Initiativefor Asthma Assessment of risk factors for poor asthma outcomes Risk factors for exacerbations include: • Ever intubated for asthma • Uncontrolled asthma symptoms • Having ≥1 exacerbation in last 12 months • Low FEV1 (measure lung function at start of treatment, at 3-6 months to assess personal best, and periodically thereafter) • Incorrect inhaler technique and/or poor adherence • Smoking • Obesity, pregnancy, blood eosinophilia GINA 2014, Box 2-2B Risk factors for exacerbations include: • Ever intubated for asthma • Uncontrolled asthma symptoms • Having ≥1 exacerbation in last 12 months • Low FEV1 (measure lung function at start of treatment, at 3-6 months to assess personal best, and periodically thereafter) • Incorrect inhaler technique and/or poor adherence • Smoking • Obesity, pregnancy, blood eosinophilia Risk factors for fixed airflow limitation include: • No ICS treatment, smoking, occupational exposure, mucus hypersecretion, blood eosinophilia Risk factors for exacerbations include: • Ever intubated for asthma • Uncontrolled asthma symptoms • Having ≥1 exacerbation in last 12 months • Low FEV1 (measure lung function at start of treatment, at 3-6 months to assess personal best, and periodically thereafter) • Incorrect inhaler technique and/or poor adherence • Smoking • Obesity, pregnancy, blood eosinophilia Risk factors for fixed airflow limitation include: • No ICS treatment, smoking, occupational exposure, mucus hypersecretion, blood eosinophilia Risk factors for medication side-effects include: • Frequent oral steroids, high dose/potent ICS, P450 inhibitors
  • 84.
    © Global Initiativefor Asthma  How?  Asthma severity is assessed retrospectively from the level of treatment required to control symptoms and exacerbations  When?  Assess asthma severity after patient has been on controller treatment for several months  Severity is not static – it may change over months or years, or as different treatments become available  Categories of asthma severity  Mild asthma: well-controlled with Steps 1 or 2 (as-needed SABA or low dose ICS)  Moderate asthma: well-controlledwith Step 3 (low-dose ICS/LABA)  Severe asthma: requires Step 4/5 (moderate or high dose ICS/LABA ± add-on), or remains uncontrolled despite this treatment Assessing asthma severity GINA 2014
  • 85.
    © Global Initiativefor Asthma GINA Global Strategy for Asthma Management and Prevention 2014 This slide set is restricted for academic and educational purposes only. Use of the slide set, or of individual slides, for commercial or promotional purposes requires approval from GINA. Treating asthma to control symptoms and minimize risk
  • 86.
    © Global Initiativefor Asthma Choosing between controller options – population-level decisions Choosing between treatment options at a population level e.g. national formularies, health maintenance organisations, national guidelines The ‘preferred treatment’ at each step is based on:  Efficacy  Effectiveness  Safety  Availability and cost at the population level based on group mean data for symptoms, exacerbations and lung function (from RCTs, pragmatic studies and observational data) NEW! GINA 2014, Box 3-3 (1/2) Provided by H Reddel
  • 87.
    © Global Initiativefor Asthma  Start controller treatment early  For best outcomes, initiate controller treatment as early as possible after making the diagnosis of asthma  Indications for regular low-dose ICS - any of:  Asthma symptoms more than twice a month  Waking due to asthma more than once a month  Any asthma symptoms plus any risk factors for exacerbations  Consider starting at a higher step if:  Troublesome asthma symptoms on most days  Waking from asthma once or more a week, especially if any risk factors for exacerbations  If initial asthma presentation is with an exacerbation:  Give a short course of oral steroids and start regular controller treatment (e.g. high dose ICS or medium dose ICS/LABA, then step down) Initial controller treatment for adults, adolescents and children 6–11 years GINA 2014, Box 3-4 (1/2) NEW!
  • 88.
    © Global Initiativefor Asthma Step 1 – as-needed inhaled short-acting beta2-agonist (SABA) *For children 6-11 years, theophylline is not recommended, and preferred Step 3 is medium dose ICS **For patients prescribed BDP/formoterol or BUD/formoterol maintenance and reliever therapy GINA 2014, Box 3-5, Step 1
  • 89.
    © Global Initiativefor Asthma Step 2 – low-dose controller + as-needed inhaled SABA *For children 6-11 years, theophylline is not recommended, and preferred Step 3 is medium dose ICS **For patients prescribed BDP/formoterol or BUD/formoterol maintenance and reliever therapy GINA 2014, Box 3-5, Step 2
  • 90.
    © Global Initiativefor Asthma Step 3 – one or two controllers + as-needed inhaled reliever *For children 6-11 years, theophylline is not recommended, and preferred Step 3 is medium dose ICS **For patients prescribed BDP/formoterol or BUD/formoterol maintenance and reliever therapy GINA 2014, Box 3-5, Step 3
  • 91.
    © Global Initiativefor Asthma Step 4 – two or more controllers + as-needed inhaled reliever *For children 6-11 years, theophylline is not recommended, and preferred Step 3 is medium dose ICS **For patients prescribed BDP/formoterol or BUD/formoterol maintenance and reliever therapy GINA 2014, Box 3-5, Step 4
  • 92.
    © Global Initiativefor Asthma Step 5 – higher level care and/or add-on treatment *For children 6-11 years, theophylline is not recommended, and preferred Step 3 is medium dose ICS **For patients prescribed BDP/formoterol or BUD/formoterol maintenance and reliever therapy GINA 2014, Box 3-5, Step 5
  • 93.
    © Global Initiativefor Asthma Low, medium and high dose inhaled corticosteroids Adults and adolescents (≥12 years)  This is not a table of equivalence, but of estimated clinical comparability  Most of the clinical benefit from ICS is seen at low doses  High doses are arbitrary, but for most ICS are those that, with prolonged use, are associated with increased risk of systemic side-effects Inhaled corticosteroid Total daily dose (mcg) Low Medium High Beclometasone dipropionate (CFC) 200–500 >500–1000 >1000 Beclometasone dipropionate (HFA) 100–200 >200–400 >400 Budesonide (DPI) 200–400 >400–800 >800 Ciclesonide (HFA) 80–160 >160–320 >320 Fluticasone propionate (DPI or HFA) 100–250 >250–500 >500 Mometasone furoate 110–220 >220–440 >440 Triamcinolone acetonide 400–1000 >1000–2000 >2000 GINA 2014, Box 3-6 (1/2)
  • 94.
    © Global Initiativefor Asthma Low, medium and high dose inhaled corticosteroids Children 6–11 years  This is not a table of equivalence, but of estimated clinical comparability  Most of the clinical benefit from ICS is seen at low doses  High doses are arbitrary, but for most ICS are those that, with prolonged use, are associated with increased risk of systemic side-effects Inhaled corticosteroid Total daily dose (mcg) Low Medium High Beclometasone dipropionate (CFC) 100–200 >200–400 >400 Beclometasone dipropionate (HFA) 50–100 >100–200 >200 Budesonide (DPI) 100–200 >200–400 >400 Budesonide (nebules) 250–500 >500–1000 >1000 Ciclesonide (HFA) 80 >80–160 >160 Fluticasone propionate (DPI) 100–200 >200–400 >400 Fluticasone propionate (HFA) 100–200 >200–500 >500 Mometasone furoate 110 ≥220–<440 ≥440 Triamcinolone acetonide 400–800 >800–1200 >1200 GINA 2014, Box 3-6 (2/2)
  • 95.
    Levels of AsthmaControl Characteristic Controlled (All of the following) Partly controlled (Any presentin any week) Uncontrolled Daytime symptoms None (2 or less / week) More than twice / week 3 or more features of partly controlled asthma present in any week Limitations of activities None Any Nocturnal symptoms / awakening None Any Need for rescue / “reliever” treatment None (2 or less / week) More than twice / week Lung function (PEF or FEV1) Normal < 80% predicted or personal best (if known) on any day Exacerbation None One or more / year 1 in any week
  • 96.
    © Global Initiativefor Asthma  How often should asthma be reviewed?  1-3 months after treatment started, then every 3-12 months  During pregnancy, every 4-6 weeks  After an exacerbation, within 1 week  Stepping up asthma treatment  Sustained step-up, for at least 2-3 months if asthma poorly controlled • Important: first check for common causes (symptoms not due to asthma, incorrect inhaler technique, poor adherence)  Short-term step-up, for 1-2 weeks, e.g. with viral infection or allergen • May be initiated by patient with written asthma action plan  Day-to-day adjustment • For patients prescribed low-dose ICS/formoterol maintenance and reliever regimen*  Stepping down asthma treatment  Consider step-down after good control maintained for 3 months  Find each patient’s minimum effective dose, that controls both symptoms and exacerbations Reviewing response and adjusting treatment GINA 2014 *Approvedonly forlow dose beclometasone/formoteroland low dose budesonide/formoterol
  • 97.
    The underline causeof Asthma is the inflammation… Does the ICS based therapy is enough?
  • 98.
    Airway Inflammation Persisted DespiteCorticosteroid Use ICS=inhaled corticosteroids; OCS ± ICS=received oral corticosteroids with or without ICS Adapted from Louis R et al Am J Respir Crit Care Med 2000;161:9-16. 20,000 10,000 1,000 100 10 1 Eosinophil  103/g sputum Control group Mild to moderate ICS low-dose (n=10) ICS high-dose (n=15) OCS (n=10) OCS ± ICS (n=7) Severe asthma p<0.01 p<0.001 p<0.001 p<0.01 In a clinical study of 74 patients
  • 99.
    Leukotrienes Other inflammatory mediators Thisslide is an artistic rendition. Adapted from Holgate ST, Peters-Golden M J Allergy Clin Immunol 2003;111(1 suppl):S1-S4; Holgate ST et al J Allergy Clin Immunol 2003;111(1 suppl):S18-S36; Henderson WR Jr et al Am J Respir Crit Care Med 2002;165:108-116; Peters- Golden M, Sampson AP J Allergy Clin Immunol 2003;111(1 suppl):S37-S42; Varner AE, Lemanske RF Jr. In Asthma and Rhinitis. Oxford, UK: Blackwell Science, 2000:1172-1185. No Inflammation InflammationAsthma Leukotrienes: Important in Early Asthma and Throughout the Disease
  • 100.
    block steroid- sensitive mediators blocks the effects of CysLTs InhaledsteroidsMontelukast Montelukast Combined with a Steroid Affects the Dual Pathways of Inflammation The slide represents an artistic rendition. Adapted from Peters-Golden M, Sampson AP J Allergy Clin Immunol 2003;111(1 suppl):S37-S42; Bisgaard H Allergy 2001;56(suppl 66):7-11. Steroid-sensitive mediators play a key role in asthmatic inflammation CysLTs play a key role in asthmatic inflammation Steroids do NOT inhibit CysLT formation in the airways of asthmatic patients DUAL PATHWAY Dual Pathways of Inflammation
  • 101.
    SGA 2003-W-6701-SS Downloaded from– www.singulair.ae Slide 102 Budesonide Turbuhaler 400–1600 µg qd + montelukast (n=326) Budesonide Turbuhaler 400–1600 µg qd + placebo (n=313) qd = once daily Inhaled short-acting beta2 agonists were permitted as needed. Adapted from Vaquerizo MJ et al Thorax 2003;58:204-211. CASIOPEA Study Design Period I Weeks Period II Budesonide Turbuhaler 400–1600 µg/day V1 –2 V2 0 V2 4 V2 8 V5 16
  • 102.
    SGA 2003-W-6701-SS Downloaded from– www.singulair.ae Slide 103 FEV1 = forced expiratory volume in one second Adapted from Vaquerizo MJ et al Thorax 2003;58:204-211. • Non-smoking asthmatic patients 18–70 years of age • Prior treatment with a clinically stable dose of ICS equivalent to budesonide 400–1600 µg/day • FEV1 55% of predicted • Reversible airway obstruction (12% increase from baseline) • Minimum total daytime asthma symptom score of 64 (of possible 336) • 1 puff/day of beta2 agonist CASIOPEA Study Inclusion Criteria
  • 103.
    SGA 2003-W-6701-SS Downloaded from– www.singulair.ae Slide 104 Adapted from Vaquerizo MJ et al Thorax 2003;58:204-211. CASIOPEA Study Montelukast + Budesonide Significantly Reduced Asthma-Exacerbation Days 4.8 3.1 Budesonide + placebo (n=308) Montelukast + budesonide (n=317) Median percentage of asthma- exacerbation days 5 4 3 2 1 0 35% p=0.03
  • 104.
    SGA 2003-W-6701-SS Downloaded from– www.singulair.ae Slide 105 Adapted from Vaquerizo MJ et al Thorax 2003;58:204-211. CASIOPEA Study Montelukast + Budesonide Significantly Increased Asthma-Free Days 42.3 66.1 Budesonide + placebo (n=308) Montelukast + budesonide (n=317) Median percentage of asthma- free days 70 60 50 40 30 56% p=0.001
  • 105.
    SGA 2003-W-6701-SS Downloaded from– www.singulair.ae Slide 106 *The percentage of patients who awoke during the night because of asthma Adapted from Vaquerizo MJ et al Thorax 2003;58:204-211. CASIOPEA Study Montelukast + Budesonide Significantly Reduced Nocturnal Awakenings 25.6 Least square mean % of patients with nocturnal awakenings* 35 30 25 20 32.2 20% p=0.01 Budesonide + placebo (n=308) Montelukast + budesonide (n=317)
  • 106.
    SGA 2003-W-6701-SS Downloaded from– www.singulair.ae Slide 107 *p = 0.05 vs. budesonide alone Adapted from Vaquerizo MJ et al Thorax 2003;58:204-211. CASIOPEA Study Montelukast + Budesonide Significantly Reduced Beta2-Agonist Use* % change from baseline in beta2-agonist use 30 20 10 0 –10 –20 –30 –40 First 7 days in active treatment Budesonide+ placebo (n=313) Montelukast+ budesonide (n=326) Basal 1 2 3 4 5 6 7 A more rapid onset of action than budesonide + placebo
  • 107.
    SGA 2003-W-6701-SS Downloaded from– www.singulair.ae Slide 108 CASIOPEA Study Montelukast + Budesonide Significantly Increased AM PEFR* Tertiary endpoint: Morning PEFR Mean adjusted by center and stratum *p = 0.05 vs. budesonide alone Adapted from Vaquerizo MJ et al Thorax 2003;58:204-21. 11.3 16.86 Budesonide + placebo (n=308) Montelukast + budesonide (n=317) 20 15 10 5 0 49% p=0.05 Least square mean change in morning PEFR (L/min)
  • 108.
    Key Conclusion SINGULAIR incombination with ICS represents an essential tool to better treat the inflammation. This approach has also proven to provide high efficacy on asthma symptoms. The efficacy of the SINGULAIR/ICS approach on symptoms results from its superior efficacy on inflammation, the underlying cause of asthma.
  • 109.
    110 Epidemiologic Links betweenAllergic Rhinitis and Asthma Many Patients with Asthma Have Allergic Rhinitis Adapted from Bousquet J et al J Allergy Clin Immunol 2001;108(suppl 5):S147–S334; Sibbald B, Rink E Thorax 1991;46:895–901; Leynaert B et al J Allergy Clin Immunol 1999;104:301–304; Brydon MJ Asthma J 1996:29–32. Up to 80% of all asthmatic patients have allergic rhinitis All asthmatic patients
  • 110.
    111 One Airway, OneDisease Allergic Rhinitis and Asthma Share Common Inflammatory Cells and Mediators Adapted from Casale TB et al Clin Rev Allergy Immunol 2001;21:27–49; Kay AB N Engl J Med 2001;344:30–37. Early-phase response Late-phase response T cells Inflammatory mediators Allergen Cytokines Preformed Mediators Cysteinyl leukotrienes Prostaglandins Platelet-activating factor Eosinophils Membrane-bound IgE Mast cell
  • 111.
    Drug Asthma AR Asthmaand AR ICS  – – LABAs  – – Intranasal steroids –  – Antihistami nes –  – Montelukast    Major Therapies At-A-Glance ICS=inhaled corticosteroids; LABAs=long-acting beta2-agonists Adapted from Flovent® prescribing information, GlaxoWellcome, Research Triangle Park, NC, 2000; Pulmicort Turbuhaler® prescribing information, AstraZeneca, Wilmington, DE, 2003; Advair Diskus® prescribing information, GlaxoWellcome, Research Triangle Park, NC, 2004; Serevent® prescribing information, GlaxoWellcome, Research Triangle Park, NC, 2000; Zyrtec® prescribing information, Pfizer Labs, New York, NY, 2004; Allegra-D® prescribing information, Aventis Pharmaceuticals, Kansas City, MO, 2004; Flonase® prescribing information, GlaxoWellcome, Research Triangle Park, NC, 2000; Beconase AQ® prescribing information, GlaxoWellcome, Research Triangle Park, NC, 2002.
  • 112.
    COMPACT Study Design Adaptedfrom Price DB et al Thorax 2003;58:211–216. Budesonide 400 µg twice daily Montelukast 10 mg once daily + Budesonide 400 µg twice daily (n=448) 0 4 16 Period I Run-in (4 weeks) Single-blind Period II Active treatment (12 weeks) Double-blind 1 8 12 Budesonide 800 µg twice daily + Oral placebo montelukast (n=441) Weeks
  • 113.
    Subanalysis of AsthmaPatients with Concomitant Allergic Rhinitis in COMPACT Montelukast Provided Greater Improvements in Morning PEF in Asthma Patients with Concomitant Allergic Rhinitis 50 40 30 20 10 0 Change from baseline (L/min, LS meanSEM) 0 4 8 12 0 4 8 12 Montelukast (n=433)* Budesonide (n=425)** p<0.03 p=0.36 Weeks Weeks Montelukast (n=216)* Budesonide (n=184)** *Montelukast10 mg once daily + budesonide 400 µg twice daily; **Budesonide 800 µg twice daily Adapted from Price DB et al. Presentation at the World Allergy Organization Biannual Meeting, September2003, Vancouver, British Columbia, Canada. 50 40 30 20 10 0
  • 114.
    Proposed pathophysiologic mechanisms ofasthma exacerbated by sinusitis Spread of inflammatory mediators and chemotactic factors to lower airways triggers sinobronchial reflex mechanism. Stimulation of autonomic nervous system causes acute bronchial hyperresponsiveness. Bronchoconstrictive reflexes originating in extrathoracic airway receptors are stimulated.
  • 115.
    Proposed pathophysiologic mechanisms ofasthma exacerbated by sinusitis Reversible partial beta-adrenergic blockade is enhanced. Nasal congestion causes mouth-breathing, which leads to increased loss of water and heat in lower airways. Depressed nitric oxide concentration promotes acute bronchial hyperresponsiveness.
  • 116.
    Why isn’t hisasthma getting better????
  • 117.
    Poor asthma control?- then look up the nose. The importance of co-morbid rhinitis in patients with asthma Scadding G. and Walker S. The Royal National Throat, Nose and Ear Hospital, London, UK,Primary Care Respiratory Journal 21(2):222-228 2012
  • 118.
    Review the patientafter2–4 weeks Improved Continue orstep- down treatment for >1 month Review diagnosis Review compliance Query infections or othercauses Add or increase INS dose Rhinorrhea: Add ipratropium In preferred order - INS - H1 blockers or LTRA Failure Blockage:Add decongestantor oral corticosteroid If failure: refer to a specialist ARIA Update 2008: INSs Are the Preferred First-Line Therapy for Moderate/Severe PER1 Moderate/Severe Persistent ARIA = Allergic Rhinitis and its ImpactonAsthma;INS = intranasalcorticosteroid;PER = persistentallergic rhinitis; LTRA= leukotriene receptor antagonist. 1. Bousquet J et al. Allergy. 2008;63(suppl 86):8–160.
  • 119.
    Characteristics of anIdeal INS : balancing efficacy, safety and preference Rapid onset of action High efficacy against all nasal symptoms Once daily dosing schedule Acceptable to patients With low or absent local / systemic side-effects Clin Exp All Rev 2002(2):32-37
  • 120.
    Share Your PatientConcerns …..
  • 121.
    122 NASONEX Rapid Onsetof Action: Significant Total Symptom Relief Within Hours of a Single Dose in Patients With SAR *P<0.05 vs placebo. Berkowitz et al. AllergyAsthma Proc. 1999;20:167. -8 -6 -4 -2 0 0 1 2 3 4 5 6 7 8 9 10 11 12 Hours after dosing Meanchangefrombaseline intotalsymptomscore * * * * * * * * NASONEX® 200 μg (n=119) Placebo (n=116) Change in Total Symptoms 5 hrs
  • 122.
    123 Primary Endpoint 70 60 40 50 0 30 20 10 Days 1–15 Days 16–30 Days 31–45 Days 46–60 Days 61–75 Days 76–90 Endpoint* Meanreductionfrom baselineinAM/PMTNSS,% MFNS Placebo a a a a a a a aP<0.01vs placebo. *Endpointwas defined as the lastpatientvisitor lastdiary intervalfor which the patienthad non-missing data. Baseline values were MFNS= 7.0 and placebo = 7.1. MFNS = mometasone furoate nasalspray;PAR= perennialallergic rhinitis;TNSS = total nasalsymptom score. 1. Mandl M et al. Ann Allergy Asthma Immunol. 1997;79:370–378. MFNS in Adolescents/Adults With PAR: Efficacy Results – TNSS1
  • 123.
    124 Changeinnasalcongestion frombaseline,% -60 -50 -40 -30 -20 -10 0 Days 1–15 Days 16–30 Days 31–45 Days 46–60 Days 61–75 Days 76–90 Endpoint*Baseline Placebo(n=184) MFNS 200µg once daily (n=181) 40% 33% aP<0.05 vs placebo. *Endpointwas defined as the lastpatientvisitor lastdiary intervalfor which the patienthad non-missing data. MFNS = mometasone furoate nasalspray;PAR= perennialallergic rhinitis . 1. Mandl M et al. Ann Allergy Asthma Immunol. 1997;79:370–378. MFNS in Adolescents/Adults With PAR: Efficacy Results – Nasal Congestion1 a a a a a a a
  • 124.
    0 10 20 30 40 50 60 Flunisolide Triamcinolone BeclomethasoneBudesonide FP Fluticasone furoate Ciclesonide MF INS Systemic Bioavailability1,a aDifferences in safety between INSs are more theoreticalthan evidence-based,with the greatestconcernbeing systemic exposure and effects on adrenalfunction and growthin children. INS = intranasalcorticosteroid;FP= fluticasone propionate;MF = mometasone furoate. 1. Derendorf H et al. Allergy. 2008;63:1292–1300. <0.1% Bioavailability,%
  • 125.
    126 1-Year Therapy WithMFNS Did Not Induce Nasal Atrophy in Patients With PAR1,a Nasal Biopsies Before MFNS Treatment After 12 Months of Treatment With MFNS 200 µg/d Disruption of epithelium Eosinophil infiltration Epithelium intact No eosinophil infiltration aThe clinicalrelevance ofthese data in the treatmentofallergic rhinitis is notknown. MFNS = mometasone furoate nasalspray;PAR= perennialallergic rhinitis. 1. Minshall E et al. Otolaryngol Head Neck Surg. 1998;118:648–654.
  • 126.
    127 MFNS: Effect onSerum Cortisol in Children 2–5 Years of Age Following 42 Days of Treatment1 Serumcortisol (μg/dL–RIA) 0 2 4 6 8 10 12 14 16 Mean serum cortisol concentration-time profile on Day 42 in children with AR MFNS 100 μg once daily (n=26) Placebo once daily (n=26) 6:00 AM 10:00 AM 2:00 PM 6:00 PM 10:00 PM 2:00 AM 6:00 AM MFNS = mometasone furoate nasalspray;AR= allergic rhinitis;RIA = radioimmunoassay. 1. Cutler DL et al. Pediatr Asthma Allergy Immunol. 2006;19:146–153.
  • 127.
  • 128.
    Adventitious Airway Sounds Snoring  Stridor  Wheezing  Crepitations
  • 129.
  • 130.
    Cause of Wheezing Not from obstruction of small airways – Surface area too large  From increased intrathoracic pressure + decreased large airway pressure = vibration of airway wall in large airways (Generations 1-5)
  • 131.
    Wheezing  Sign oflower (intra-thoracic) airway obstruction  Small airways
  • 132.
    Air Trapping  Hyperinflatedchest  Barrel shaped  Loss of cardiac dullness  Liver pushed down  Hoover sign
  • 133.
    Hoover Sign  Normaldiagphragm movement  Hyperinflation = diaphragm flattened  Diaphragm contraction = paradoxical inward movement of lower interrcostal area during inspiration
  • 134.
    Acute Wheezing  Asthma Bronchiolitis  Foreign body
  • 135.
  • 136.
    What Is Bronchiolitis? Bronchiolitis is acute inflammation of the airways, characterised by wheeze  Bronchiolitis can result from a viral infection  Respiratory Syncytial Virus (RSV) may be responsible for up to 90% of bronchiolitis cases in young children Hall CB, McCarthy CA. In: Principles and Practice of Infectious Diseases 2000:1782-1801; Panitch HB et al. Clin Chest Med 1993;14:715-731 137
  • 137.
    RSV Is aCommon Virus Causing Bronchiolitis in Children  In a clinical study in Argentina, RSV was the most common virus isolated from a sample of children aged <5 years with acute lower respiratory infection 0.7%6.5%6.8% 7.8% 78.2% RSV Adenovirus Parainfluenza InfluenzaA InfluenzaB Carballal G et al. J Med Virol 2001;64:167-174 138 New viruses (Human Metapneumovirus, Bocca, Corona)
  • 138.
    Chronic Wheezing  Thrivingchild – Happy wheezer  Child failing to thrive - Causes
  • 139.
    Exclude other conditions Structural problems: bronchoscopy  URTD : Polysomnography,  Esophageal disease: Barium swallow, pH probes, scopes and gram  Primary ciliary dyskinesia: nasal ciliary motility, Exhaled NO, EM, saccharine test  TB: mantoux, induced sputum/ gastric lavage/ BAL = Culture, microscopy & PCR  Bronchiectasis: HRCT scan, BAL  CF: sweat test, nasal potentials, genotypes  Systemic immune deficiency: Ig subtypes, lymphocytes & neutrophil function, HIV  Cardiovascular disease: echo, angiography
  • 140.
    WHEEZING PHENOTYPES 12 Longitudinalbirth cohorts Original Tucson Group (Taussig L et al 1985) Persistent Atopic Non Atopic Transient
  • 141.
    TRANSIENT WHEEZERS  Commonestform of wheeze  Decrease lung function at birth  No airway hyper-responsiveness  Non Atopic  No immune responses to viruses  Resolves by 3 years – Wheeze in first year – better outcome – Wheeze 2-3 year – worse outcome due to maturity of immune system Affected by :  Teenage pregnancy & smoking  Male gender  Day care- infections
  • 142.
    STRUCTURAL CONSIDERATIONS  LungGrowth: Fetal 8 years  Affected by:  Temperature & O2 tension  Nutrition & Smoking  Functional disorders eg CDH  Prematurity  Growth factors-Gene repair  Drugs (B2 agonist/ C/S)  Risk factors for COPD Mx: antioxidant, retinoids,MMPI
  • 143.
    PERSISTENT NON ATOPIC WHEEZER Lung function abnormal at birth and reduced in later life  Non Atopic  Airway hyper-responsiveness  Peak flow variability  RSV induced wheeze due to alteration in airway tone BETTER OUTCOME THAN ATOPIC PERSISTENT WHEEZERS
  • 144.
    OUTCOME OF INFANTWHEEZING  Low birth weight  Pregnancy smoking  Male Sex  Affluence  Atopy  Low maternal age(first born) Infant wheeze With viral infectionalone With variousprecipitants Remissionin 80% ?? COPD in adults Persistentasthma (withor without evidenceof atopy)in 50-60%
  • 145.
  • 146.
    The Various MarchesThat Set Up Asthma Asthma
  • 147.
  • 148.
    Wheezing Phenotypes • Tuscon: -Transient early wheezing - Persistent early-onset wheezing - Late-onset wheezing (Martinez FD, 1995) • ERS Task-Force: - Viral induced wheeze - Multi-trigger wheeze (Brand PLP, 2008)
  • 149.
    Outcome of wheezein infancy MartinezFD, et al. N EnglJ Med 1995;332:133-138
  • 150.
    Causes of RecurrentWheezing in Infancy Asthma Multiple trigger wheeze Episodic viral wheeze Other causes
  • 151.
  • 152.
    Features Suggestive ofAsthma • Wheezing more than 1x/ month (Evidence C) • Activity-induced cough or wheeze (Evidence A) • Cough at night (Evidence A) • Absence of seasonal variation (Evidence B) • Symptoms persisting after the age of 3 years (Evidence A) • Symptoms worsening with certain exposures (Evidence B) • Colds repeatedly going to the chest (Evidence B) • Response to a bronchodilator (Evidence B) • Response to a 10-day oral steroid course (Evidence B) • Concomitant rhinitis, eczema or food allergies (Evidence B) • Family history of allergy (Evidence B) • Response to a bronchodilators in children under 5 (FEV>12%, PEFR> (FEV>12%, PEF>20% of pre-bronchodilators PEF) (Evidence A) • Diurnal variation of PEF >20% with twice daily readings (Evidence A)
  • 153.
    Asthma Prediction Index MajorCriteria  Family history of asthma Positive history of atopic eczema Positive SPT Minor Criteria  Eosinophilia > 4%  Positive history of allergic rhinitis  Wheeze without viral infections Asthma = 1 Major or 2 Minor Castro-Rodriguez JA, Holberg CJ, Wright AL, Martinez FD. A clinical index to define risk of asthma in young children with recurrent wheezing. Am J Respir Crit Care Med. 2000;162(4 Pt 1):1403-6.
  • 154.
    56% Asthmatic Childrenin Pretoria Atopic Figure 1. Inhalant Allergens. % of positive tests (Only 28 of 50 patients positive) 27% 21% 9%2%5% 12% 19% 5% Bermuda grass Grass mix Tree mix Cat epithelium Dog dander HDM Cockroach Horse
  • 155.
  • 156.
    Treatment Options Pre-schoolWheeze Montelukast 7 - 14 days Episodic wheeze ICS or LTRA Multiple trigger wheeze Mild ICS + LABA Persistent asthma Moderate/Severe Wheeze If not responding – Stop Treatment and Review diagnosis
  • 157.
    © Global Initiativefor Asthma GINA Global Strategy for Asthma Management and Prevention 2014 This slide set is restricted for academic and educational purposes only. Use of the slide set, or of individual slides, for commercial or promotional purposes requires approval from GINA. Diagnosis and management of asthma in children 5 years and younger GINA 2014
  • 158.
    © Global Initiativefor Asthma Features suggesting asthma in children ≤5 years Feature Characteristics suggesting asthma Cough Recurrent or persistent non-productive cough that may be worse at night or accompanied by some wheezing and breathing difficulties. Cough occurring with exercise, laughing, crying or exposure to tobacco smoke in the absence of an apparent respiratory infection Wheezing Recurrent wheezing, including during sleep or with triggers such as activity, laughing, crying or exposure to tobacco smoke or air pollution Difficult or heavy breathing or shortness of breath Occurring with exercise, laughing, or crying Reduced activity Not running, playing or laughing at the same intensity as other children; tires earlier during walks (wants to be carried) Past or family history Other allergic disease (atopic dermatitis or allergic rhinitis) Asthma in first-degree relatives Therapeutic trial with low dose ICS and as-needed SABA Clinical improvement during 2–3 months of controller treatment and worsening when treatment is stopped GINA 2014, Box 6-2
  • 159.
    © Global Initiativefor Asthma Common differential diagnoses of asthma in children ≤5 years Condition Typical features Recurrent viral respiratory infections Mainly cough, runny congested nose for <10 days; wheeze usually mild; no symptoms between infections Gastroesophageal reflux Cough when feeding; recurrent chest infections; vomits easily especially after large feeds; poor response to asthma medications Foreign body aspiration Episode of abrupt severe cough and/or stridor during eating or play; recurrent chest infections and cough; focal lung signs Tracheomalacia or bronchomalacia Noisy breathing when crying or eating, or during URTIs; harsh cough; inspiratory or expiratory retraction; symptoms often present since birth; poor response to asthma treatment Tuberculosis Persistent noisy respirations and cough; fever unresponsive to normal antibiotics; enlarged lymph nodes; poor response to BD or ICS; contact with someone with TB Congenital heart disease Cardiac murmur; cyanosis when eating; failure to thrive; tachycardia; tachypnea or hepatomegaly; poor response to asthma medications GINA 2014, Box 6-3 (1/2)
  • 160.
    © Global Initiativefor Asthma Common differential diagnoses of asthma in children ≤5 years (continued) Condition Typical features Cystic fibrosis Cough starting shortly after birth; recurrent chest infections; failure to thrive (malabsorption); loose greasy bulky stools Primary ciliary dyskinesia Cough and recurrent mild chest infections; chronic ear infections and purulent nasal discharge; poor response to asthma medications; situs inversus (in ~50% children with this condition) Vascular ring Respirations often persistently noisy; poor response to asthma medications Bronchopulmonary dysplasia Infant born prematurely; very low birth weight; needed prolonged mechanical ventilation or supplemental oxygen; difficulty with breathing present from birth Immune deficiency Recurrent fever and infections (including non-respiratory); failure to thrive GINA 2014, Box 6-3 (2/2)
  • 161.
    © Global Initiativefor Asthma GINA assessment of asthma control in children ≤5 years GINA 2014, Box 6-4 (1/2)
  • 162.
    © Global Initiativefor Asthma Risk factors for poor asthma outcomes in children ≤5 years Risk factors for exacerbations in the next few months • Uncontrolled asthma symptoms • One or more severe exacerbation in previous year • The start of the child’s usual ‘flare-up’ season (especially if autumn/fall) • Exposures: tobacco smoke; indoor or outdoor air pollution; indoor allergens (e.g. house dust mite, cockroach, pets, mold), especially in combination with viral infection • Major psychological or socio-economic problems for child or family • Poor adherence with controller medication, or incorrect inhaler technique GINA 2014, Box 6-4B Risk factors for exacerbations in the next few months • Uncontrolled asthma symptoms • One or more severe exacerbation in previous year • The start of the child’s usual ‘flare-up’ season (especially if autumn/fall) • Exposures: tobacco smoke; indoor or outdoor air pollution; indoor allergens (e.g. house dust mite, cockroach, pets, mold), especially in combination with viral infection • Major psychological or socio-economic problems for child or family • Poor adherence with controller medication, or incorrect inhaler technique Risk factors for fixed airflow limitation • Severe asthma with several hospitalizations • History of bronchiolitis Risk factors for exacerbations in the next few months • Uncontrolled asthma symptoms • One or more severe exacerbation in previous year • The start of the child’s usual ‘flare-up’ season (especially if autumn/fall) • Exposures: tobacco smoke; indoor or outdoor air pollution; indoor allergens (e.g. house dust mite, cockroach, pets, mold), especially in combination with viral infection • Major psychological or socio-economic problems for child or family • Poor adherence with controller medication, or incorrect inhaler technique Risk factors for fixed airflow limitation • Severe asthma with several hospitalizations • History of bronchiolitis Risk factors for medication side-effects • Systemic: Frequent courses of OCS; high-dose and/or potent ICS • Local: moderate/high-dose or potent ICS; incorrect inhaler technique; failure to protect skin or eyes when using ICS by nebulizer or spacer with face mask
  • 163.
    © Global Initiativefor Asthma Control-based asthma management cycle in children ≤5 years GINA 2014, Box 6-5
  • 164.
    © Global Initiativefor Asthma Stepwise approach to control symptoms and reduce risk (children ≤5 years) GINA 2014, Box 6-5
  • 165.
    © Global Initiativefor Asthma Stepwise approach – pharmacotherapy (children ≤5 years) © Global Initiative for AsthmaGINA 2014, Box 6-5
  • 166.
    © Global Initiativefor Asthma  Assess asthma control  Symptom control, future risk, comorbidities  Self-management  Education, inhaler skills, written asthma action plan, adherence  Regular review  Assess response, adverse events, establish minimal effective treatment  Other  (Where relevant): environmental control for smoke, allergens, indoor or outdoor air pollution Stepwise approach – key issues (children ≤5 years) GINA 2014, Box 6-5
  • 167.
    © Global Initiativefor Asthma Step 1 (children ≤5 years) – as-needed inhaled SABA © Global Initiative for AsthmaGINA 2014, Box 6-5
  • 168.
    © Global Initiativefor Asthma  Preferred option: as-needed inhaled SABA  Provide inhaled SABA to all children who experience wheezing episodes  Not effective in all children  Other options  Oral bronchodilator therapy is not recommended(slower onset of action, more side-effects)  For children with intermittent viral-induced wheeze and no interval symptoms, if as-needed SABA is not sufficient, consider intermittent ICS. Because of the risk of side-effects, this should only be considered if the physician is confident that the treatment will be used appropriately. Step 1 (children ≤5 years) – as-needed inhaled SABA GINA 2014
  • 169.
    © Global Initiativefor Asthma Step 2 (children ≤5 years) – initial controller + as-needed SABA © Global Initiative for AsthmaGINA 2014, Box 6-5
  • 170.
    © Global Initiativefor Asthma  Indication  Child with symptom pattern consistent with asthma, and symptoms not well-controlled, or ≥3 exacerbations per year  May also be used as a diagnostic trial for children with frequent wheezing episodes  Preferred option: regular daily low dose ICS + as-needed inhaled SABA  Give for ≥3 months to establish effectiveness, and review response  Other options depend on symptom pattern  (Persistent asthma) – regular leukotriene receptor antagonist (LTRA) leads to modest reduction in symptoms and need for OCS compared with placebo  (Intermittent viral-induced wheeze) – regular LTRA improves some outcomes but does not reduce risk of exacerbations  (Frequent viral-induced wheeze with interval symptoms) – consider episodic or as-needed ICS, but give a trial of regular ICS first Step 2 (children ≤5 years) – initial controller + as-needed SABA GINA 2014
  • 171.
    © Global Initiativefor Asthma Step 3 (children ≤5 years) – medium dose ICS + as-needed inhaled SABA © Global Initiative for AsthmaGINA 2014, Box 6-5
  • 172.
    © Global Initiativefor Asthma  Indication  Asthma diagnosis, and symptoms not well-controlled on low dose ICS  First check symptoms are due to asthma, and check adherence, inhaler technique and environmental exposures  Preferred option: medium dose ICS with as-needed inhaled SABA  Review response after 3 months  Other options  Consider adding LTRA to low dose ICS (based on data from older children) Step 3 (children ≤5 years) – medium dose ICS + as-needed inhaled SABA GINA 2014
  • 173.
    © Global Initiativefor Asthma Step 4 (children ≤5 years) – refer for expert assessment © Global Initiative for AsthmaGINA 2014, Box 6-5
  • 174.
    © Global Initiativefor Asthma  Indication  Asthma diagnosis, and symptoms not well-controlled on medium dose ICS  First check symptoms are due to asthma, and check adherence, inhaler technique and environmental exposures  Preferred option: continue controller treatment and refer for expert assessment  Other options (preferably with specialist advice)  Higher dose ICS and/or more frequent dosing (for a few weeks)  Add LTRA, theophylline or low dose OCS (for a few weeks only)  Add intermittent ICS to regular daily ICS if exacerbations are the main problem  ICS/LABAnot recommended in this age group Step 4 (children ≤5 years) – refer for expert assessment GINA 2014
  • 175.
    © Global Initiativefor Asthma  This is not a table of equivalence  A low daily dose is defined as the dose that has not been associated with clinically adverse effects in trials that included measures of safety ‘Low dose’ inhaled corticosteroids (mcg/day) for children ≤5 years GINA 2014,Box 6-6 Inhaled corticosteroid Low daily dose (mcg) Beclometasone dipropionate (HFA) 100 Budesonide (pMDI + spacer) 200 Budesonide (nebulizer) 500 Fluticasone propionate (HFA) 100 Ciclesonide 160 Mometasone furoate Not studied below age 4 years Triamcinolone acetonide Not studied in this age group GINA 2014, Box 6-6
  • 176.
    © Global Initiativefor Asthma Choosing an inhaler device for children ≤5 years GINA 2014,Box 6-6 Age Preferred device Alternate device 0–3 years Pressurized metered dose inhaler plus dedicated spacer with face mask Nebulizer with face mask 4–5 years Pressurized metered dose inhaler plus dedicated spacer with mouthpiece Pressurized metered dose inhaler plus dedicated spacer with face mask, or nebulizer with mouthpiece or face mask GINA 2014, Box 6-7
  • 177.
    © Global Initiativefor Asthma Initial assessment of acute asthma exacerbations in children ≤5 years Symptoms Mild Severe* Altered consciousness No Agitated, confused or drowsy Oximetry on presentation (SaO2)** >95% <92% Speech† Sentences Words Pulse rate <100 beats/min >200 beats/min (0–3 years) >180 beats/min (4–5 years) Central cyanosis Absent Likely to be present Wheeze intensity Variable Chest may be quiet *Any of these features indicates a severe exacerbation **Oximetry before treatment with oxygen or bronchodilator † Take into account the child’s normal developmental capability GINA 2014, Box 6-8
  • 178.
    © Global Initiativefor Asthma Indications for immediate transfer to hospital for children ≤5 years GINA 2014, Box 6-9 *Normalrespiratory rates (breaths/minute): 0-2 months:<60;2-12 months:<50;1-5 yrs: <40 Transfer immediately to hospital if ANY of the following are present: Features of severe exacerbation at initial or subsequent assessment  Child is unable to speak or drink  Cyanosis  Subcostal retraction  Oxygen saturation <92% when breathing room air  Silent chest on auscultation Lack of response to initial bronchodilator treatment  Lack of response to 6 puffs of inhaled SABA (2 separate puffs, repeated 3 times) over 1-2 hours  Persisting tachypnea* despite 3 administrations of inhaled SABA, even if the child shows other clinical signs of improvement Unable to be managed at home  Social environment that impairs delivery of acute treatment  Parent/carer unable to manage child at home
  • 179.
    © Global Initiativefor Asthma Initial management of asthma exacerbations in children ≤5 years Therapy Dose and administration Supplemental oxygen 24% delivered by face mask (usually 1L/min) to maintain oxygen saturation 94-98% Inhaled SABA 2–6 puffs of salbutamol by spacer, or 2.5mg by nebulizer, every 20 min for first hour, then reassess severity. If symptoms persist or recur, give an additional 2-3 puffs per hour. Admit to hospital if >10 puffs required in 3-4 hours. Systemic corticosteroids Give initial dose of oral prednisolone (1-2mg/kg up to maximum of 20mg for children <2 years; 30 mg for 2-5 years) GINA 2014, Box 6-10 Therapy Dose and administration Supplemental oxygen 24% delivered by face mask (usually 1L/min) to maintain oxygen saturation 94-98% Inhaled SABA 2–6 puffs of salbutamol by spacer, or 2.5mg by nebulizer, every 20 min for first hour, then reassess severity. If symptoms persist or recur, give an additional 2-3 puffs per hour. Admit to hospital if >10 puffs required in 3-4 hours. Systemic corticosteroids Give initial dose of oral prednisolone (1-2mg/kg up to maximum of 20mg for children <2 years; 30 mg for 2-5 years) Additional options in the first hour of treatment Ipratropium bromide For moderate/severe exacerbations, give 2 puffs of ipratropium bromide 80mcg (or 250mcg by nebulizer) every 20 minutes for one hour only Magnesium sulfate Consider nebulized isotonic MgSO4 (150mg) 3 doses in first hour for children ≥2 years with severe exacerbation
  • 180.
    Case 1 A 45-year-oldman complains of nasal blockage and loss of smell and taste. He is an asthmatic who has been well controlled on ICS and LABA therapy. His past history is significant for chronic rhinosinusitis and one previous hospital admission for asthma with intubation and mechanical ventilation. He was told following that admission that he was allergic to Aspirin, which he had taken for a back pain. On physical examination his lungs are clear of wheeze.
  • 181.
    The findings onnasal examination are seen in this Figure
  • 182.
    A. Leukotriene receptorantagonist. B. A 3-week course of prednisone. C. Inhaled topical nasal corticosteroid. D. Allergen immunotherapy to relevant antigens. E. Aspirin desensitization program. The most appropriate treatment at this time is:
  • 183.
    A. Leukotriene receptorantagonist. B. A 3-week course of prednisone. C. Inhaled topical nasal corticosteroid. D. Allergen immunotherapy to relevant antigens. E. Aspirin desensitization program. The most appropriate treatment at this time is:
  • 184.
    The patient underdiscussion has asthma and nasal polyposis. The aim of therapy for nasal polyps is to restore nasal patency, and this may return lost taste and smell and restore sinus drainage. Topical corticosteroids have been the drugs of choice for many years as they have been shown to reduce the size of small polyps and prevent or delay the recurrence of nasal polyps after surgery. Oral corticosteroids are also very effective for nasal polyps and in severe cases are preferred for 3 weeks followed by prolonged topical therapy. Oral and not topical corticosteroids are usually effective for anosmia and therefore are preferred in this patient, making option B correct and C incorrect. When corticosteroids are not effective, surgery is unavoidable.
  • 185.
    Having both asthmaand nasal polyposis places a patient up to a 40% risk of having or developing aspirin sensitivity, otherwise known as aspirin intolerant asthma (AIA). Nasal polyps are smooth gelatinous semitranslucent structures that seem to be outgrowths of the nasal mucosa. Most polyps arise from the ethmoid sinus and histologically are a mass of edema fluid with an abundance of eosinophils and other inflammatory cells such as mast cells, lymphocytes, and neutrophils. Nasal polyposis is an non- IgE mediated inflammatory condition and is often associated with nonallergic rhinitis, aspirin sensitivity, and nonallergic asthma. Atopy is no more prevalent in patients with nasal polyps than in the general population; therefore, option D would not be an appropriate step in this patient.
  • 186.
    Most patients withAIA have a long history of perennial rhinitis, which begins in the third decade, often after a viral illness. Over months to years nasal polyps develop followed by the appearance of moderately severe to severe asthma and aspirin sensitivity. After ingestion of aspirin or a nonsteroidal antiinflammatory drug (NSAID), an acute asthma exacerbation occurs, often accompanied by rhinorrhea, periorbital edema, conjunctival congestion, and occasionally flushing of the face.
  • 187.
    Evidence suggests thatby inhibiting the cyclooxygenase (COX) pathway, aspirin and NSAIDS divert arachadonic metabolism to the lipoxygenase pathway which is involved in the pathogenesis of this syndrome. Leukotriene pathway modifiers such as the receptor antagonists have shown to be effective Leukotriene pathway pathway which is involved in the pathogenesis of this syndrome. Leukotriene pathway modifiers such as the receptor antagonists have shown to be effective for asthma but not nasal polyps; therefore, option A is not correct
  • 188.
    Aspirin desensitization isdone by giving small increasing oral doses of aspirin over 2 to 3 days and then a daily dose after a refractory period is reached. The asthma is improved and the nasal inflammatory disease responds the best. This procedure is ideal in those patients who have just had surgical polypectomy, as it has been shown to delay the recurrence of polyps for an average of 6 years. It would not improve nasal patentcy in this patient; therefore, option E is not correct. The addition of nedocromil sodium is incorrect because there is no need to “step up” her asthma therapy at this time.
  • 189.
    oMr Samir alifelong heavy smoker and asthmatic, the seventy year old Mr Samir is wheezing most days and always is short of breath. He is on regular combivent, beclomethasone 200mcg bd and intermittant salbutamol. Case 2
  • 190.
    oThe most likelydiagnosis is Uncontrolled Asthma. but The COPD element should not be neglected in this patient with a high smoking index (old age and heavy smoker). It definitely has a share in his symptoms and airflow limitation. What is the likely diagnosis?
  • 192.
    A 46 yearold man comes to your clinic for management of his asthma. He takes high-dose inhaled corticosteroids and a long-acting beta agonist, along with a leukotriene inhibitor. His adherence and technique are perfect. He still has symptoms of cough, wheezing, and chest tightness that bother him most days and nights each week. He is using albuterol daily. The symptoms persist when he goes on vacation out of state. Sputum culture is negative. IgE level is 3,600 ng/mL. His primary doctor obtained imaging and a chest CT, which are shown. Case 3
  • 194.
    What should bethe next step? A. Schedule spirometry for next week to guide step-up therapy. B. Start omalizumab injections every 2 weeks. C. Sweat chloride testing. D. Skin testing for reactivity to Aspergillus fumigatus. E. HIV test.
  • 195.
    What should bethe next step? A. Schedule spirometry for next week to guide step-up therapy. B. Start omalizumab injections every 2 weeks. C. Sweat chloride testing. D. Skin testing for reactivity to Aspergillus fumigatus. E. HIV test.
  • 196.
    Allergic bronchopulmonary aspergillosis(ABPA) is an ongoing hypersensitivity reaction in response to bronchial colonization by Aspergillus, and is a common cause of poorly controlled asthma. Cystic fibrosis patients are also often affected. Bronchial obstruction by mucus and chronic inflammation can lead to bronchiectasis and lung fibrosis with irreversible loss of lung function. Clinical features: Cough productive of sputum, frequent "bronchitis"; often with dyspnea and wheezing.
  • 197.
    Diagnosis: By constellation ofsymptoms and objective findings. "Classic" ABPA would include the following: Asthma history Immediate reactivity on skin prick with Aspergillus antigens Precipitating serum antibodies to A. fumigatus Serum total IgE concentration >1,000 ng/mL Peripheral blood eosinophilia >500/mm3 Lung opacities on chest x-ray or chest HRCT Central bronchiectasis present on chest CT Elevated specific serum IgE and IgG to A. fumigatus
  • 198.
    A skin testis the best first test, as it is considered 100% sensitive (i.e., a negative test rules out the condition). A serum IgE < 1,000 or negative precipitating antibodies also rule out ABPA with high confidence.
  • 199.
    Case 4 Your internalmedicine colleague asks you about a patient she is about to discharge home after a hospitalization for asthma exacerbation. The patient, takes a beta-blocker for coronary artery disease and hypertension. Your colleague is considering stopping the beta-blocker to avoid any contribution to future asthma exacerbations, but wants your opinion first.
  • 200.
    What do yourecommend? A. Stop the beta blocker. B. Continue the beta blocker. C. Stop the beta blocker; order a stress test. D. Continue the beta blocker; order an echocardiogram.
  • 201.
    Case 5 o Yusufis 4 years old. He has had a persistant cough for weeks that wakes him at night. “Every cold goes to his chest” This is the fifth consultation for cough in the last year. Only once has a wheeze been documented. His father is known asthmatic. 1- What is the likely diagnosis? 2- What treatment would you give?
  • 202.
    Self-fulfilling: Infant Wheezing Phenotypes •Never (51%) • Transient (20%) – Wheeze 0-3, not at age 6 • Persistent (14%) – Wheeze 0-3 still present age 6 • Late onset (15%) – Wheeze after age 3
  • 203.
    Diagnosing Asthma inYoung Children – Asthma Predictive Index • > 4 episodes/yr of wheezing lasting more than 1 day affecting sleep in a child with one MAJOR or two MINOR criteria • Major criteria – Parent with asthma – Physician diagnosed atopic dermatitis • Minor criteria – Physician diagnosed allergic rhinitis – Eosinophilia (>4%) – Wheezing apart from colds 1Adapted from Castro-Rodriquez JA, et al. AJRCCM 2000; 162: 1403
  • 204.
  • 205.
    Cough-variant asthma Cough-variant asthmapresents as dry cough at night. It worsens with exercise (EIA) and nonspecific triggers (cold air). Cough-variant asthma responds to asthma therapy with ICS. Cough-variant asthma is diagnosed with pulmonary function testing (PFTs) with response to bronchodilator. The most common cause of chronic cough in children is cough-variant asthma.
  • 206.
    1- What isthe likely diagnosis? The likely diagnosis is Bronchial Asthma (childhood asthma): - Family history. - Symtoms(cough mainly at night, every cold goes to the chest). - Signs: chest wheeze.
  • 207.
  • 208.
    Severe asthma -differential diagnosis and management
  • 209.
    Case 7 oA 30-year-oldG2P1 pregnant woman at 15 weeks gestation presents to an outpatient clinic with worsening dyspnea over the preceding two weeks. Her past medical history is significant for asthma diagnosed in childhood, seasonal allergies, and gastroesophageal reflux disease (GERD) during her previous pregnancy. She notes that her asthma symptoms had been well-controlled on inhaled Budesonide/formoterol (160mcg/4.5mcg), Salbutamol MDI as needed, and a nasal steroid spray prior to pregnancy. However, she discontinued all of her medications when she learned that she was pregnant for fear that they might harm her baby.
  • 210.
    oAt today’s visitshe feels that she is unable to take a deep breath. She also describes one to two episodes of wheezing daily and night time cough two to three times per week. Warm air, dust, and exposure to cats seem to exacerbate her symptoms. oOn physical exam, the patient is in no acute distress. The lungs are clear to auscultation bilaterally. 1- Is the patient controlled? 2- Is asthma medications safe in pregnancy? 3- Treatment needed?
  • 211.
    1- Is thepatient controlled? NO……  Breathlessness.  Frequent nocturnal symptoms (cough and wheezes).
  • 212.
    2- Is asthmamedicationssafe in pregnancy? Yes, There is little evidence suggesting that medications used to treat asthma may harm the fetus. AND also Pregnant patients with asthma should be advised that the greater risk for their babies lies in poorly controlled asthma and most modern asthma medications are safe. For this reason, using medications to obtain optimal asthma control is justified.
  • 213.
    3- Treatment needed? Asthmacontrol was already achieved on this treatment: o Inhaled Budesonide/formoterol (160mcg/4.5mcg). o Salbutamol MDI as needed. o Nasal steroid spray. o It may be repeated with reassurance about the safety of the medications and regular follow up to assess asthma control.
  • 218.
    o Sandra is60 years old and has had asthma for 4 years. She has attended today as she has a cough, She is short of breath and getting disturbed nights. o Sheiscurrentlyonregularsalbutamoland beclomethasone200mcg2 puffsbd. Discuss your therapeutic options? Case 8
  • 219.
    current medications:  (mediumdose ICS + rapid acting B₂ agonist as reliever) Therapeutic options: STEP UP the actual treatment:  Add long acting B₂ agonist with ICS in a single inhaler.  (+/-) sustained release theophylline or leukotriene modifier.
  • 220.
    o A 22years old male patient, non smoker, comes to primary care clinic complaining of chronic cough for the last 3 months, mainly at night, together with occasional exertional dyspnea and chest wheezes. o 1- How will you approach this case? o 2- What is the basic functional assessment to be proposed? Case 9
  • 221.
    1- How willyou approach this case? o A young patient with symptoms suggestive of airway obstruction. (bronchial asthma??) Proper medical history is essential: - Family or past history of allergic diseases. - Risk factors and exposure to exacerbating factors. - detailed history concerning the pattern of symptoms. Physical examination: (CHEST WHEEZES??) - Order for functional assessment
  • 222.
    2- What isthe basic functional assessment to be proposed? Spirometry before and after B₂ agonist to demostrate airway obstruction and to assess the reversibility.
  • 223.
    o A 23years old female patient with known bronchial asthma since childhood experiences almost daily symptoms, her sleep is disturbed because of asthma three times a week, and she is not able to perform regular exercise. She’s been prescribed daily ICS for six months and uses Salbutamol for breakthrough wheezing, chest tightness and breathlessness. oWhat are the management options? Case 10
  • 224.
    What are themanagement options? o The patient is uncontrolled on her current treatment  Daily symptoms  Nocturnal symptoms>3 times/week  Limitations of activities So……Stepping up…  Add long acting B₂ agonist to ICS.  Add leukotriene modifier.  +/- Sustained release theophylline. Pattern of uncontrolled asthma