Asthma Updates

Gamal Rabie Agmy, MD, FCCP
Professor of chest Diseases, Assiut university
Definition of Asthma


A chronic inflammatory disorder of the airways



Many cells and cellular elements play a role



Chronic inflammation is associated with airway
hyperresponsiveness that leads to recurrent
episodes of wheezing, breathlessness, chest
tightness, and coughing



Widespread, variable, and often reversible
airflow limitation
Asthma Inflammation: Cells and Mediators

Source: Peter J. Barnes, MD
Mechanisms: Asthma Inflammation

Source: Peter J. Barnes, MD
Asthma Inflammation: Cells and Mediators

Source: Peter J. Barnes, MD
Asthma Pathobiology
Smooth Muscle
Dysfunction

•
•
•
•

Bronchoconstriction
Bronchial Hyperreactivity
Hypertrophy/Hyperplasia
Inflammatory Mediator
Release

Airway
Inflammation

• Inflammatory Cell
Infiltration/Activation
• Mucosal Edema
• Cellular Proliferation
• Epithelial Damage
• Basement Membrane
Thickening

Symptoms/Exacerbations
Pathology of Asthma
Factors that Exacerbate Asthma









Allergens
Respiratory infections
Exercise and hyperventilation
Weather changes
Sulfur dioxide
Food, additives, drugs
Factors that Influence Asthma
Development and Expression
Host Factors
 Genetic
- Atopy
- Airway
hyperresponsiveness
 Gender
 Obesity

Environmental Factors
 Indoor allergens
 Outdoor allergens
 Occupational sensitizers
 Tobacco smoke
 Air Pollution
 Respiratory Infections
 Diet
Is it Asthma?


Recurrent episodes of wheezing



Troublesome cough at night



Cough or wheeze after exercise



Cough, wheeze or chest tightness
after exposure to airborne allergens or
pollutants



Colds “go to the chest” or take more
than 10 days to clear
90% of the asthma problem is not seen:
The inflammation!!!

Bronchospasm= 10%
Symptoms

When this disappears…

Have we eliminated this?
Underlying
disease
Levels of Asthma Control
Characteristic

Controlled

Partly controlled

(All of the following)

(Any present in any week)

Daytime symptoms

None (2 or less /
week)

More than
twice / week

Limitations of
activities

None

Any

Nocturnal
symptoms /
awakening

None

Any

Need for rescue /
“reliever” treatment

None (2 or less /
week)

More than
twice / week

Lung function
(PEF or FEV1)

Normal

< 80% predicted or
personal best (if
known) on any day

Exacerbation

None

One or more / year

Uncontrolled

3 or more
features of
partly
controlled
asthma
present in
any week

1 in any week
Estimate Comparative Daily Dosages for
Inhaled Glucocorticosteroids by Age
Drug

Low Daily Dose (g)
> 5 y Age < 5 y

Medium Daily Dose (g)
> 5 y Age < 5 y

Beclomethasone

200-500

100-200

>500-1000

>200-400

Budesonide

200-600

100-200

600-1000

>200-400

Budesonide-Neb
Inhalation Suspension
Ciclesonide

250-500
80 – 160

High Daily Dose (g)
> 5 y Age < 5 y
>1000
>1000

>500-1000

80-160

>160-320

>160-320

>400
>400

>1000
>320-1280

>320

Flunisolide

500-1000

500-750

>1000-2000

>750-1250

>2000

>1250

Fluticasone

100-250

100-200

>250-500

>200-500

>500

>500

Mometasone furoate

200-400

100-200

> 400-800

>200-400

400-1000

400-800

>1000-2000

>800-1200

Triamcinolone acetonide

>800-1200
>2000

>400
>1200


Asthma is a complex disease or a syndrome that includes
several disease variants.



The term asthma, like „arthritis‟, equates to a definition of

grouped clinical and physiological characteristics. These
characteristics could identify syndromes, phenotypes or even
multiple diseases rather than a single disease.


For revealing the complexity and the heterogeneity of this
disease, asthma patients were grouped into subtypes called
phenotypes.



Term „phenotype‟ describes subtypes of asthma focused on
„clinically observable characteristics‟ of a disease.


Therefore, there are many „definitions‟ for asthma phenotypes, many of
which are related to differences in symptoms and severity rather than to
differences in underlying mechanisms. but this kind of subtyping does
little to help understand prognosis and target therapy.



When a link can be made between clinical characteristics and molecular
pathways, the term endotype can be introduced to describe distinct
subtypes with a defining etiology and consistent pathobiologic
mechanisms.


The definition of a true phenotype (or endotype) requires an
underlying pathobiology with identifiable biomarkers and
genetics .



Gene-expression profiling allows definition of expression
signatures to characterize patient subgroups, predict response
to treatment, and offer novel therapies.


By The study of wenzel ,et al 2013 Combining clinical, statistical
and molecular approaches two broad emerging “endotypes” have
been defined.



Traditionally asthma has been thought to be a Th2-associated
disease. There is strong evidence supporting a TH2-high phenotype
in up to 50% of people with asthma of any severity, yet 50% show
no evidence for this immune process.
These patients are characterized by atopy, eosinophilic
inflammation and favorable response to corticosteroids.


Early-onset allergic asthma



Late-onset persistent eosinophilic asthma



Exercise induced asthma
Clinical characteristics:


This group of asthmatic patients developed their disease in
childhood, and maintained their symptoms into adulthood. .
The majority of early-onset allergic asthma is mild but that an

increasing complexity of immune processes leads to greater
severity.


Most people with asthma are likely to have this phenotype.



Positive skin prick tests, specific IgE antibodies in serum,
eosinophilia in the peripheral blood .
Genetics:
Early-onset allergic patients commonly have a family history of
asthma, suggesting a genetic component.


Several Th2 cytokine SNPs



higher numbers of mutations in TH2-related genes (IL4, IL13,

IL4Rα ) associated with greater severity of disease.
Biomarkers:


Positive SPT, elevated IgE/elevated FeNO



Th2 cytokines IL-4 ,IL-5 , IL-9, IL-13, and periostin measured in
sputum, BAL, serum and bronchial biopsies.

Treatment responses:
Corticosteroid-responsive.
Th2 Targeted therapy:


Anti IgE (omalizumab)in Severe allergic asthma.



Anti–IL-13( lebrikizumab) in Allergic asthma with dominant IL-13

activation Surrogate marker predicting better response is high
circulating levels of periostin. .


Inhaled IL-4Rα antagonist . Surrogate marker predicting
better response is IL-4 receptor a polymorphism.
Clinical characteristics:
The majority of this group develops disease in adult life,
often in the late 20s to 40s.


Severe from onset, Severe exacerbations with persistent

sputum eosinophilia (>2%), despite corticosteroid
therapy.


less clinical allergic responses( non atopic) than earlyonset asthma.



It is often associated with sinus disease.
Genetics:



Few patients in this group have a family history of asthma.
little is known regarding the genetics of adult onset persistent

asthma.
Biomarkers:



Lung eosinophilia. Persistent sputum eosinophilia (≥2%)
The lack of clinical allergy in this phenotype suggests that the TH2
process differs from and is probably more complex than the one
associated with the early-onset allergic phenotype but the presence
of IL-13 and IL-5 in the lower airways confirm Th2 pathway.



Some individuals show sputum neutrophilia intermixed with their
eosinophilic process. This mixed inflammatory process implies that

there are interactions of additional immune pathways with TH2
immunity, including activation of pathways related to IL-33 and IL17 .


Elevations in FeNO
Treatment responses:


persistent eosinophilia in late-onset disease inspite of ICS implies that the

TH2 process in this type of asthma is refractory to corticosteroids but high
systemic doses of corticosteroids are generally able to overcome this
refractoriness in late-onset asthma.


IL-5 targeted therapy may show much better efficacy in this endotype,
compared in early-onset allergic asthma patients, as IL-5 dependent
eosinophilia may be more important in this potential endotype.

(decreasing exacerbations and systemic corticosteroid requirements)


L-4 and IL-13 targeted therapy pathway.
AERD is probably a subendotype or a similar endotype. It is an

acquired condition on top of an intrinsic or less frequently
allergic asthma and thus, despite its peculiar sensitivity to
NSAIDs, still has major overlap with these conditions.

Clinical characteristics :


AERD is frequently progressive severe asthma starts late in
life and is associated with eosinophilia and sinus disease
Polyposis.



Response to aspirin challenge
Genetics :


LT-related gene polymorphisms.



Gene-expression study identified upregulation of periostin a
potent regulator of fibrosis and collagen deposition has also
been identified in polyps of and in airway epithelial cells of
patients with AIA.
Overexpression of periostin has been associated with

accelerated cell growth and angiogenesis(subtype).

Biomarkers:
high cysteinyl leukotriene level.
Treatment responses :


Many patients require systemic corticosteroids to control their
sinusitis and asthma.



Leukotriene modifiers especially 5-LO inhibitors can have a
robust impact on the AERD subset.



Downregulation of periostin after treatment of asthmatic
patients with corticosteroids suggests that normalization of
periostin expression is a part of the therapeutic effects of
corticosteroids. This opens a possibility of specifically
targeting periostin in future therapies for nasal polyps and

asthma
Clinical characteristics:


Exercise induced asthma refers to asthma whose symptoms are
experienced primarily after exercise. EIA is a milder form of

TH2 asthma.


Consistent with a relationship to TH2 processes, EIA common
in atopic athletes and high percentages of eosinophils and
mast cells and their mediators .
Biomarkers:


Th2 cytokines and cysteinyl leukotriene

Genetics:


No distinct genetic factors .

Treatment responses:


Leukotriene modifiers high LTE4/FENO ratio is Surrogate
marker predicting better response.



IL-9 targeted therapy has been shown effective on patients of
this group, which implies that Th2 immunity is involved in the
pathophysiology of EIA.
The lack of efficacy of Th2 targeted therapy suggests that a
subgroup of asthma develops in the absence of Th2 immunity .
Little is understood about the non Th2 asthma and its related

molecular elements.


Obesity-related asthma



Neutrophilic asthma



Smoking asthma
Whether obesity is a driving component in asthma development
or a mere confounder or comorbidity of its presence remains

controversial.
It is likely that obesity differentially impacts asthma that
develops early in life, as compared to later in life, being a more
prominent independent contributor in later onset disease.
So a distinct obesity-related asthma phenotype seems to occur

only in non-TH2 asthma.


,



..
Clinical characteristics :
Patients in this group are commonly women, obese, late onset

(mid-40s), less allergic (obesity is neither a risk factor for atopy
nor a risk factor for allergic asthma).with a high burden of
symptoms.
Biomarkers:
High expression of non Th2 mediators such as tumor



necrosis factor (TNF)-a, IL-6 .
Hormones of obesity, such as adiponectin, leptin, and resistin



either alone or in association with increased oxidative stress.


Elevations in an endogenous inhibitor of iNOS, asymmetric

dimethyl arginine (ADMA).


lower amounts of FeNO, fewer eosinophils.
Treatment responses:


Patients of this subgroup usually respond poorly to corticosteroids.



Bariatric surgery induced weight loss was associated with profound
improvements in lung function and symptoms in obese asthma.



However, the effect of weight loss on bronchial hyper responsiveness
was only shown in late-onset, nonallergic (non-Th2) asthma patient,
consistent with late onset obese asthma being a separate endotype. This
is further supported by the increase in ADMA in association with
worsening severity and control in late onset obese asthma only.
Clinical characteristics and biomarkers:


It remains controversial whether neutrophilia is an independent driving
component, a synergistic factor with eosinophilia or just a consequence of
corticosteroid therapy.



Still unclear whether this represents a unique form of asthma or just a
different stage of severity or persistent bacterial colonization or infection of
the airways on the background of a previously eosinophilic asthma.



Airway pathophysiology in neutrophilic asthma is characterized by (fixed)
airflow limitation
measured by CT) .

more trapping of air, thicker airway walls (as


Novel mechanisms implicated in the pathogenesis of
noneosinophilic asthma involve the activation of innate immune
responses with a possible role of bacteria, viruses.



Neutrophilia can also co-exist with eosinophilia, and this identifies
the people with the most severe asthma and emphasizes the
complexity of the immunobiology of severe asthma in which
multiple different innate and adaptive immune pathways and cells
may have roles.




Impaired nuclear recruitment of histone deacetylase (HDAC).
The role of TH17 immunity
Biomarkers:


IL-8, IL-17A, LTB4, and possibly IL-32.



IL-1 and TNF-α pathways are upregulated and associated with

neutrophilic inflammation in a sputum gene-expression study.


low levels of FeNO.
Treatment responses:



Corticosteroids are less effective in patients of this subgroup.
Macrolide antibiotics may have some efficacy on neutrophilic
asthma, By modulating the innate immune response in the

lung, by reducing the expression of neutrophilic markers .


Restoration of HDAC 2 nuclear recruitment with theophylline.



Anti-TNF-α responsive( infliximab )



The efficacy of IL-17 targeted therapy in this subtype of

asthma awaits evidence from ongoing clinical trials.


Smoking has a complex relationship with asthma. It is
associated with deteriorating lung function and resistance to
corticosteroids.



Smoking asthma has been associated with neutrophilia in lung
tissue.
It is unknown if smoking asthma is a subtype of neutrophilic
asthma or an independent endotype . Since not all smoking
asthma is accompanied by neutrophilia, it is more likely that
there is only a partial overlap between neutrophilic asthma and
smoking asthma.




Some reports have suggested that smoking is associated with
elevated total IgE and that active smoking may increase the risk of
sensitization to workplace allergens.



However, little is understood regarding the role of genetics,
biomarkers or pathobiology.



FeNO levels are decreased by smoking and could help to
differentiate asthmatic subjects from non-asthmatic subjects.

Treatment responses



Quitting smoking
Restoration of HDAC 2 nuclear recruitment with theophylline.
The intensity of the colors represents the range of severity; the relative sizes
of the subcircles suggest relative proportions of affected individuals
Lötvall et al.2011 proposed endotyping asthma into six classes

depending on several parameters used to define an endotype.


Aspirin sensitive asthma



Allergic asthma (adults)



Severe late-onset hypereosinophilic



ABPM



API-positive preschool wheezer



Asthma in cross country skiers
Lotvall J et al JACI 2011
Agache,etal 2o12
The principle of personalized or individualized medicine is to
'bring the right drug to the right patient at the right dose', such
that therapeutic efficacy is maximized and the side effects are

kept to a minimum.


The consideration of disease endotypes in treatment design

should be able to bridge the present era of treating asthma
based on family history, patient characteristics and laboratory
test, to the future era of personalized medicine where
treatment scheme will be based on individual biological data
such as genomic, proteomic and metabolic profiles.
Asthmatic Granulomatosis
A Novel Disease with Asthmatic and
Granulomatous Features

This study present video-assisted thoracoscopic biopsy
findings from 10 patients, previously diagnosed with severe
asthma and meeting criteria for asthma. Pathobiologically,
these patients have evidence for asthmatic small airway
inflammation and infrequent nonnecrotizing granulomas with
interstitial inflammation. This distinct pathobiology in addition
to their response to cytotoxic agents suggests that these
patients represent a newly described disease, which we term
asthmatic granulomatosis.
Sally E. Wenzel1, Catherine A. Vitari1, Manisha Shende2, Diane C. Strollo3,
Allyson Larkin4, and Samuel A. Yousem5
Am J Respir Crit Care Med Vol 186, Iss. 6, pp 501–507, Sep 15, 2012
The Asthma–Chronic Obstructive
Pulmonary Disease Overlap
Syndrome (ACOS)
ACOS
The Spanish COPD guidelines propose
four COPD phenotypes that determine
differential treatment: nonexacerbator
with emphysema or chronic bronchitis,
mixed COPD–asthma, exacerbator with
emphysema and exacerbator with
chronic bronchitis
ACOS
The mixed COPD–asthma phenotype was
defined as an airflow obstruction that is not
completely reversible accompanied by
symptoms or signs of an increased
reversibility of the obstruction.[7] In other
guidelines, these patients are described as
'patients with COPD and prominent asthmatic
component' or as asthma that complicates
COPD.
ACOS
*Two major criteria (FEV1 >15% and >400 ml
after bronchodilator or sputum eosinophils or
history of asthma) and
*Two minor criteria (elevated total IgE or
history of atopy or FEV1 >12% and >200 ml
after bronchodilator) are recommended.
ACOS
*Asthma with partially reversible airflow obstruction
– that is, based on change in FEV1 with
bronchodilators – with or without emphysema or
reduced carbon monoxide diffusing capacity (DLco)
to <80% predicted;
*COPD with emphysema accompanied by
reversible or partially reversible airflow obstruction,
with or without environmental allergies or reduced
DLco.
ACOS
The following major criteria for ACOS:
a physician diagnosis of asthma and COPD in the
same patient, history or evidence of atopy, for
example, hay fever, elevated total IgE, age 40 years
or
more,
smoking
>10
pack-years,
postbronchodilator FEV1 <80% predicted and
FEV1/FVC <70%.
Minor criteria:
A ≥15% increase in FEV1 or ≥12% and ≥200 ml
increase in FEV1 postbronchodilator treatment with
albuterol .
Lessons learnt from
studies of asthma deaths
Many deaths from asthma are preventable – 88-92% of attacks requiring
hospitalisation develop over 6 hours
Factors include:
• inadequate objective monitoring
• failure to refer earlier for specialist advice
• inadequate treatment with steroids

B



Keep patients who have had near fatal asthma or brittle asthma
under specialist supervision indefinitely


71

Health care professionals must be aware that patients with severe
asthma and one or more adverse psychosocial factors are at risk of
death

Respiratory specialist should follow up patients admitted with
severe asthma for at least a year after admission
Management of acute asthma. Thorax 2012
Levels of severity of
acute asthma exacerbations

Near fatal asthma

72

Raised PaCO2 and/or requiring mechanical ventilation with raised
inflation pressures

Management of acute asthma. Thorax 2012
Levels of severity of
acute asthma exacerbations
Near fatal asthma
Life threatening
asthma

73

Raised PaCO2 and/or requiring mechanical ventilation with
raised inflation pressures
Any one of the following in a patient with severe asthma:

• Altered conscious level
• Exhaustion
• Arrythmias
• Hypotension
• Cyanosis
• Silent chest
• Poor respiratory effort

• PEF <33% best or
predicted
• SpO2 <92%
• PaO2 <8 kPa
• “normal” PaCO2
(4.6–6.0 kPa)

Management of acute asthma. Thorax 2003; 58 (Suppl I): i1-i92
Levels of severity of
acute asthma exacerbations
Near fatal asthma

Raised PaCO2 and/or requiring mechanical ventilation with raised
inflation pressures

Life threatening
asthma

Any one of the following in a patient with severe asthma:
PEF <33% best or •
silent chest •
dysrhythmia •
predicted
cyanosis •
hypotension •
SpO2 <92% • feeble respiratory •
exhaustion •
PaO2 <8 kPa •
effort
confusion •
normal PaCO2 (4.6-6.0 kPa) •
bradycardia •
coma •

Acute severe
asthma

74

Any one of:
• PEF 33-50% best or predicted
• respiratory rate 25/min
• heart rate 110/min

• inability to complete sentences
in one breath

Management of acute asthma. Thorax 2003; 58 (Suppl I): i1-i92
Levels of severity of
acute asthma exacerbations
Near fatal asthma

Raised PaCO2 and/or requiring mechanical ventilation with raised
inflation pressures

Life threatening
asthma

Any one of the following in a patient with severe asthma:
PEF <33% best or •
silent chest •
dysrhythmia •
predicted
cyanosis •
hypotension •
SpO2 <92% • feeble respiratory •
exhaustion •
PaO2 <8 kPa •
effort
confusion •
normal PaCO2 (4.6-60 kPa) •
bradycardia •
coma •

Acute severe
asthma

Any one of:
inability to complete sentences •
in one breath

Moderate asthma
exacerbation

75

PEF 33-50% best or predicted
respiratory rate 25/min
heart rate 110/min

•
•
•

• Increasing symptoms
• No features of acute severe
• PEF >50-75% best or predicted
asthma

Management of acute asthma. Thorax 2012
Levels of severity of
acute asthma exacerbations
Near fatal asthma

Raised PaCO2 and/or requiring mechanical ventilation with raised
inflation pressures

Life threatening
asthma

Any one of the following in a patient with severe asthma:
PEF <33% best or •
silent chest •
dysrhythmia •
predicted
cyanosis •
hypotension •
SpO2 <92% • feeble respiratory •
exhaustion •
PaO2 <8 kPa •
effort
confusion •
normal PaCO2 (4.6-6.0 kPa) •
bradycardia •
coma •

Acute severe
asthma

Any one of:
inability to complete sentences •
in one breath

Moderate asthma
exacerbation
Brittle asthma

PEF 33-50% best or predicted
respiratory rate 25/min
heart rate 110/min
Increasing symptoms
PEF >50-75% best or predicted

No features of acute severe
asthma

•

• Type 1: wide PEF variability (>40% diurnal variation for >50% of
•

76

•
•
•
•
•

the time over a period >150 days) despite intense therapy
Type 2: sudden severe attacks on a background of apparently
well-controlled asthma
Management of acute asthma. Thorax 2012
Initial assessment – the role of
symptoms, signs and measurements

Clinical features

77

Clinical features can identify some patients with severe asthma,
eg severe breathlessness (including too breathless to complete
sentences in one breath), tachypnea, tachycardia, silent chest,
cyanosis, accessory muscle use, altered consciousness or
collapse.
None of these singly or together is specific. Their absence does not
exclude a severe attack.

Management of acute asthma. Thorax 2012
Initial assessment – the role of
symptoms, signs and measurements
Clinical features

PEF or FEV1

78

Clinical features, symptoms and respiratory and cardiovascular signs
helpful in recognising severe asthma, but none specific, and their absence
does not exclude a severe attack

Measurements of airway caliber improve recognition of the
degree of severity, the appropriateness or intensity of therapy, and
decisions about management in hospital or at home.
PEF or FEV1 are useful and valid measures of airway caliber. PEF is
more convenient in the acute situation.
PEF expressed as a percentage of the patient‟s previous best value
is most useful clinically. PEF as a percentage of predicted gives
a rough guide in the absence of a known previous best value.
Different peak flow meters give different readings. Where possible
the same or similar type of peak flow meter should be used.
Management of acute asthma. Thorax 2003; 58 (Suppl I): i1-i92
Initial assessment – the role of
symptoms, signs and measurements
Clinical features

Clinical features, symptoms and respiratory and cardiovascular signs
helpful in recognising severe asthma, but none specific, and their absence
does not exclude a severe attack

PEF or FEV1

Measurements of airway calibre improve recognition of severity and guide
hospital or at home management decisions. PEF is more convenient and
cheaper than FEV1. PEF as % previous best value or % predicted most
useful

Pulse oximetry Measure oxygen saturation (SpO2) with a pulse oximeter to

determine the adequacy of oxygen therapy and the need for arterial
blood gas (ABG) measurement. The aim of oxygen therapy is to
maintain SpO2 94-98%.

79

Management of acute asthma. Thorax 2012
Initial assessment – the role of
symptoms, signs and measurements
Clinical features

Clinical features, symptoms and respiratory and cardiovascular signs
helpful in recognising severe asthma, but none specific, and their absence
does not exclude a severe attack

PEF or FEV1

Measurements of airway calibre improve recognition of severity and guide
hospital or at home management decisions. PEF is more convenient and
cheaper than FEV1. PEF as % previous best value or % predicted most
useful

Pulse oximetry

Necessary to determine adequacy of oxygen therapy and need for arterial
blood gas measurement. Aim of oxygen therapy is to maintain SpO 2 92%

Blood gases
(ABG)

80

Measure oxygen saturation (SpO2) with a pulse oximeter to
determine the adequacy of oxygen therapy and the need for arterial
blood gas (ABG) measurement. The aim of oxygen therapy is to
maintain SpO2 94-98%.

Management of acute asthma. Thorax 2003; 58 (Suppl I): i1-i92
Initial assessment – the role of
symptoms, signs and measurements
Clinical features

Clinical features, symptoms and respiratory and cardiovascular signs
helpful in recognising severe asthma, but none specific, and their absence
does not exclude a severe attack

PEF or FEV1

Measurements of airway calibre improve recognition of severity and guide
hospital or at home management decisions. PEF is more convenient and
cheaper than FEV1. PEF as % previous best value or % predicted most
useful

Pulse oximetry

Necessary to determine adequacy of oxygen therapy and need for arterial
blood gas measurement. Aim of oxygen therapy is to maintain SpO 2 92%

Blood gases
(ABG)

Necessary for patients with SpO2 <92% or other features of life threatening
asthma

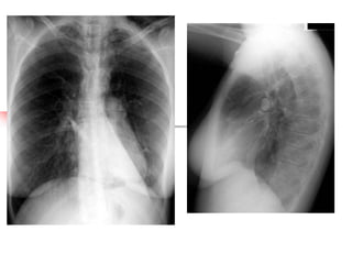
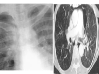
Chest X-ray Not routinely recommended in patients in the absence of:
• suspected pneumomediastinum or • failure to respond to treatment
pneumothorax
satisfactorily
• suspected consolidation
• requirement for ventilation
• life threatening asthma
81

Management of acute asthma. Thorax 2003; 58 (Suppl I): i1-i92
Initial assessment – the role of
symptoms, signs and measurements
Clinical features

PEF or FEV1

Measurements of airway calibre improve recognition of severity and guide
hospital or at home management decisions. PEF is more convenient and
cheaper than FEV1. PEF as % previous best value or % predicted most
useful

Pulse oximetry

Necessary to determine adequacy of oxygen therapy and need for arterial
blood gas measurement. Aim of oxygen therapy is to maintain SpO 2 92%

Blood gases
(ABG)

Necessary for patients with SpO2 <92% or other features of life threatening
asthma

Chest X-ray

Not routinely recommended in patients in the absence of:
suspected pneumomediastinum or •
failure to respond to treatment •
pneumothorax
satisfactorily
suspected consolidation •
requirement for ventilation •
life threatening asthma •

Systolic paradox
82

Clinical features, symptoms and respiratory and cardiovascular signs
helpful in recognising severe asthma, but none specific, and their absence
does not exclude a severe attack

Abandoned as an indicator of the severity of an attack
Management of acute asthma. Thorax 2012
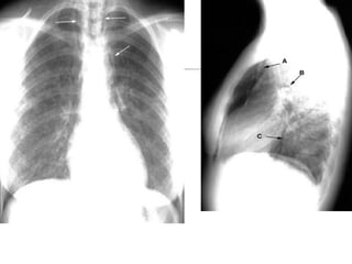
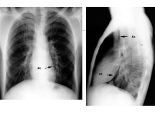
Radiographic Signs of Pneumomediastinum

Subcutaneous emphysema
Thymic sail sign
Pneumoprecardium
Ring around the artery sign
Tubular artery sign
Double bronchial wall sign
Continuous diaphragm sign
Extrapleural sign
Air in the pulmonary ligament
Not all wheezing is asthma
Wheezing occurrences in children:
- single episode in 30% to 50% of children before 5 yr of age
- 40% who wheeze before 3 yr of age continue at 6 yr (“persistent
wheezers”)
- 50% of infants who wheeze once will wheeze again within
several months
Childhood asthma phenotypes:
- transient early wheezers - wheeze sometime during first year of
life; risk factors include prematurity, history of parental smoking
during pregnancy, and passive exposure to tobacco smoke; such
patients do not respond to inhaled bronchodilators or inhaled
corticosteroids (ICS); wheezing tends to remit as child’s airway
gets larger (between ages 2-3 yr)
- nonatopic wheezers - 0 to 6 yr of age; wheeze associated
exclusively with viral infection; usually no eczema or family
history; wheezing tends to remit by 6 yr of age

- atopic wheezers - past 5 yr of age, allergic - have positive blood
and skin testing to inhalant allergens; tend to present within 2 to
3 yr of age, and continue to wheeze; wheezing not related to URTI
A 2012 study described 2 "new" phenotypes
for young children with wheezing:
1-"boys atopic multiple-trigger" and
2-"girls
nonatopic
uncontrolled
wheeze". JACI, 2012.
Diagnosing Asthma in Young
Children – Asthma Predictive
Index
• Major criteria
– Parent with asthma
• > 4 episodes/yr of
– Physician diagnosed
wheezing lasting
atopic dermatitis
more than 1 day
affecting sleep in a
• Minor criteria
child with one MAJOR
– Physician diagnosed
or two MINOR criteria
allergic rhinitis

– Eosinophilia (>4%)
– Wheezing apart from
colds
1Adapted

from Castro-Rodriquez JA, et al. AJRCCM 2000; 162: 1403
Cough-variant asthma
Chronic, persistent cough - without wheezing - may be the only
manifestation of asthma. More than 60% bronchial obstruction is
needed to produce wheezing - asthma can occur without wheezing spirometry is required for diagnosis.
Cough-variant asthma presents as dry cough at night. It worsens with
exercise (EIA) and nonspecific triggers (cold air).

Cough-variant asthma responds to asthma therapy with ICS.
Cough-variant asthma is diagnosed with pulmonary function testing
(PFTs) with response to bronchodilator.
95

Asthma updates

  • 2.
    Asthma Updates Gamal RabieAgmy, MD, FCCP Professor of chest Diseases, Assiut university
  • 3.
    Definition of Asthma  Achronic inflammatory disorder of the airways  Many cells and cellular elements play a role  Chronic inflammation is associated with airway hyperresponsiveness that leads to recurrent episodes of wheezing, breathlessness, chest tightness, and coughing  Widespread, variable, and often reversible airflow limitation
  • 4.
    Asthma Inflammation: Cellsand Mediators Source: Peter J. Barnes, MD
  • 5.
  • 6.
    Asthma Inflammation: Cellsand Mediators Source: Peter J. Barnes, MD
  • 7.
    Asthma Pathobiology Smooth Muscle Dysfunction • • • • Bronchoconstriction BronchialHyperreactivity Hypertrophy/Hyperplasia Inflammatory Mediator Release Airway Inflammation • Inflammatory Cell Infiltration/Activation • Mucosal Edema • Cellular Proliferation • Epithelial Damage • Basement Membrane Thickening Symptoms/Exacerbations
  • 8.
  • 9.
    Factors that ExacerbateAsthma       Allergens Respiratory infections Exercise and hyperventilation Weather changes Sulfur dioxide Food, additives, drugs
  • 10.
    Factors that InfluenceAsthma Development and Expression Host Factors  Genetic - Atopy - Airway hyperresponsiveness  Gender  Obesity Environmental Factors  Indoor allergens  Outdoor allergens  Occupational sensitizers  Tobacco smoke  Air Pollution  Respiratory Infections  Diet
  • 11.
    Is it Asthma?  Recurrentepisodes of wheezing  Troublesome cough at night  Cough or wheeze after exercise  Cough, wheeze or chest tightness after exposure to airborne allergens or pollutants  Colds “go to the chest” or take more than 10 days to clear
  • 12.
    90% of theasthma problem is not seen: The inflammation!!! Bronchospasm= 10%
  • 13.
    Symptoms When this disappears… Havewe eliminated this? Underlying disease
  • 14.
    Levels of AsthmaControl Characteristic Controlled Partly controlled (All of the following) (Any present in any week) Daytime symptoms None (2 or less / week) More than twice / week Limitations of activities None Any Nocturnal symptoms / awakening None Any Need for rescue / “reliever” treatment None (2 or less / week) More than twice / week Lung function (PEF or FEV1) Normal < 80% predicted or personal best (if known) on any day Exacerbation None One or more / year Uncontrolled 3 or more features of partly controlled asthma present in any week 1 in any week
  • 21.
    Estimate Comparative DailyDosages for Inhaled Glucocorticosteroids by Age Drug Low Daily Dose (g) > 5 y Age < 5 y Medium Daily Dose (g) > 5 y Age < 5 y Beclomethasone 200-500 100-200 >500-1000 >200-400 Budesonide 200-600 100-200 600-1000 >200-400 Budesonide-Neb Inhalation Suspension Ciclesonide 250-500 80 – 160 High Daily Dose (g) > 5 y Age < 5 y >1000 >1000 >500-1000 80-160 >160-320 >160-320 >400 >400 >1000 >320-1280 >320 Flunisolide 500-1000 500-750 >1000-2000 >750-1250 >2000 >1250 Fluticasone 100-250 100-200 >250-500 >200-500 >500 >500 Mometasone furoate 200-400 100-200 > 400-800 >200-400 400-1000 400-800 >1000-2000 >800-1200 Triamcinolone acetonide >800-1200 >2000 >400 >1200
  • 23.
     Asthma is acomplex disease or a syndrome that includes several disease variants.  The term asthma, like „arthritis‟, equates to a definition of grouped clinical and physiological characteristics. These characteristics could identify syndromes, phenotypes or even multiple diseases rather than a single disease.
  • 24.
     For revealing thecomplexity and the heterogeneity of this disease, asthma patients were grouped into subtypes called phenotypes.  Term „phenotype‟ describes subtypes of asthma focused on „clinically observable characteristics‟ of a disease.
  • 27.
     Therefore, there aremany „definitions‟ for asthma phenotypes, many of which are related to differences in symptoms and severity rather than to differences in underlying mechanisms. but this kind of subtyping does little to help understand prognosis and target therapy.  When a link can be made between clinical characteristics and molecular pathways, the term endotype can be introduced to describe distinct subtypes with a defining etiology and consistent pathobiologic mechanisms.
  • 28.
     The definition ofa true phenotype (or endotype) requires an underlying pathobiology with identifiable biomarkers and genetics .  Gene-expression profiling allows definition of expression signatures to characterize patient subgroups, predict response to treatment, and offer novel therapies.
  • 29.
     By The studyof wenzel ,et al 2013 Combining clinical, statistical and molecular approaches two broad emerging “endotypes” have been defined.  Traditionally asthma has been thought to be a Th2-associated disease. There is strong evidence supporting a TH2-high phenotype in up to 50% of people with asthma of any severity, yet 50% show no evidence for this immune process.
  • 30.
    These patients arecharacterized by atopy, eosinophilic inflammation and favorable response to corticosteroids.  Early-onset allergic asthma  Late-onset persistent eosinophilic asthma  Exercise induced asthma
  • 31.
    Clinical characteristics:  This groupof asthmatic patients developed their disease in childhood, and maintained their symptoms into adulthood. . The majority of early-onset allergic asthma is mild but that an increasing complexity of immune processes leads to greater severity.  Most people with asthma are likely to have this phenotype.  Positive skin prick tests, specific IgE antibodies in serum, eosinophilia in the peripheral blood .
  • 32.
    Genetics: Early-onset allergic patientscommonly have a family history of asthma, suggesting a genetic component.  Several Th2 cytokine SNPs  higher numbers of mutations in TH2-related genes (IL4, IL13, IL4Rα ) associated with greater severity of disease.
  • 33.
    Biomarkers:  Positive SPT, elevatedIgE/elevated FeNO  Th2 cytokines IL-4 ,IL-5 , IL-9, IL-13, and periostin measured in sputum, BAL, serum and bronchial biopsies. Treatment responses: Corticosteroid-responsive. Th2 Targeted therapy:  Anti IgE (omalizumab)in Severe allergic asthma.  Anti–IL-13( lebrikizumab) in Allergic asthma with dominant IL-13 activation Surrogate marker predicting better response is high circulating levels of periostin. .
  • 34.
     Inhaled IL-4Rα antagonist. Surrogate marker predicting better response is IL-4 receptor a polymorphism.
  • 35.
    Clinical characteristics: The majorityof this group develops disease in adult life, often in the late 20s to 40s.  Severe from onset, Severe exacerbations with persistent sputum eosinophilia (>2%), despite corticosteroid therapy.  less clinical allergic responses( non atopic) than earlyonset asthma.  It is often associated with sinus disease.
  • 36.
    Genetics:   Few patients inthis group have a family history of asthma. little is known regarding the genetics of adult onset persistent asthma.
  • 37.
    Biomarkers:   Lung eosinophilia. Persistentsputum eosinophilia (≥2%) The lack of clinical allergy in this phenotype suggests that the TH2 process differs from and is probably more complex than the one associated with the early-onset allergic phenotype but the presence of IL-13 and IL-5 in the lower airways confirm Th2 pathway.  Some individuals show sputum neutrophilia intermixed with their eosinophilic process. This mixed inflammatory process implies that there are interactions of additional immune pathways with TH2 immunity, including activation of pathways related to IL-33 and IL17 .  Elevations in FeNO
  • 38.
    Treatment responses:  persistent eosinophiliain late-onset disease inspite of ICS implies that the TH2 process in this type of asthma is refractory to corticosteroids but high systemic doses of corticosteroids are generally able to overcome this refractoriness in late-onset asthma.  IL-5 targeted therapy may show much better efficacy in this endotype, compared in early-onset allergic asthma patients, as IL-5 dependent eosinophilia may be more important in this potential endotype. (decreasing exacerbations and systemic corticosteroid requirements)  L-4 and IL-13 targeted therapy pathway.
  • 39.
    AERD is probablya subendotype or a similar endotype. It is an acquired condition on top of an intrinsic or less frequently allergic asthma and thus, despite its peculiar sensitivity to NSAIDs, still has major overlap with these conditions. Clinical characteristics :  AERD is frequently progressive severe asthma starts late in life and is associated with eosinophilia and sinus disease Polyposis.  Response to aspirin challenge
  • 40.
    Genetics :  LT-related genepolymorphisms.  Gene-expression study identified upregulation of periostin a potent regulator of fibrosis and collagen deposition has also been identified in polyps of and in airway epithelial cells of patients with AIA. Overexpression of periostin has been associated with accelerated cell growth and angiogenesis(subtype). Biomarkers: high cysteinyl leukotriene level.
  • 41.
    Treatment responses :  Manypatients require systemic corticosteroids to control their sinusitis and asthma.  Leukotriene modifiers especially 5-LO inhibitors can have a robust impact on the AERD subset.  Downregulation of periostin after treatment of asthmatic patients with corticosteroids suggests that normalization of periostin expression is a part of the therapeutic effects of corticosteroids. This opens a possibility of specifically targeting periostin in future therapies for nasal polyps and asthma
  • 42.
    Clinical characteristics:  Exercise inducedasthma refers to asthma whose symptoms are experienced primarily after exercise. EIA is a milder form of TH2 asthma.  Consistent with a relationship to TH2 processes, EIA common in atopic athletes and high percentages of eosinophils and mast cells and their mediators .
  • 43.
    Biomarkers:  Th2 cytokines andcysteinyl leukotriene Genetics:  No distinct genetic factors . Treatment responses:  Leukotriene modifiers high LTE4/FENO ratio is Surrogate marker predicting better response.  IL-9 targeted therapy has been shown effective on patients of this group, which implies that Th2 immunity is involved in the pathophysiology of EIA.
  • 44.
    The lack ofefficacy of Th2 targeted therapy suggests that a subgroup of asthma develops in the absence of Th2 immunity . Little is understood about the non Th2 asthma and its related molecular elements.  Obesity-related asthma  Neutrophilic asthma  Smoking asthma
  • 45.
    Whether obesity isa driving component in asthma development or a mere confounder or comorbidity of its presence remains controversial. It is likely that obesity differentially impacts asthma that develops early in life, as compared to later in life, being a more prominent independent contributor in later onset disease. So a distinct obesity-related asthma phenotype seems to occur only in non-TH2 asthma.  ,  ..
  • 46.
    Clinical characteristics : Patientsin this group are commonly women, obese, late onset (mid-40s), less allergic (obesity is neither a risk factor for atopy nor a risk factor for allergic asthma).with a high burden of symptoms.
  • 47.
    Biomarkers: High expression ofnon Th2 mediators such as tumor  necrosis factor (TNF)-a, IL-6 . Hormones of obesity, such as adiponectin, leptin, and resistin  either alone or in association with increased oxidative stress.  Elevations in an endogenous inhibitor of iNOS, asymmetric dimethyl arginine (ADMA).  lower amounts of FeNO, fewer eosinophils.
  • 48.
    Treatment responses:  Patients ofthis subgroup usually respond poorly to corticosteroids.  Bariatric surgery induced weight loss was associated with profound improvements in lung function and symptoms in obese asthma.  However, the effect of weight loss on bronchial hyper responsiveness was only shown in late-onset, nonallergic (non-Th2) asthma patient, consistent with late onset obese asthma being a separate endotype. This is further supported by the increase in ADMA in association with worsening severity and control in late onset obese asthma only.
  • 49.
    Clinical characteristics andbiomarkers:  It remains controversial whether neutrophilia is an independent driving component, a synergistic factor with eosinophilia or just a consequence of corticosteroid therapy.  Still unclear whether this represents a unique form of asthma or just a different stage of severity or persistent bacterial colonization or infection of the airways on the background of a previously eosinophilic asthma.  Airway pathophysiology in neutrophilic asthma is characterized by (fixed) airflow limitation measured by CT) . more trapping of air, thicker airway walls (as
  • 50.
     Novel mechanisms implicatedin the pathogenesis of noneosinophilic asthma involve the activation of innate immune responses with a possible role of bacteria, viruses.  Neutrophilia can also co-exist with eosinophilia, and this identifies the people with the most severe asthma and emphasizes the complexity of the immunobiology of severe asthma in which multiple different innate and adaptive immune pathways and cells may have roles.   Impaired nuclear recruitment of histone deacetylase (HDAC). The role of TH17 immunity
  • 51.
    Biomarkers:  IL-8, IL-17A, LTB4,and possibly IL-32.  IL-1 and TNF-α pathways are upregulated and associated with neutrophilic inflammation in a sputum gene-expression study.  low levels of FeNO.
  • 52.
    Treatment responses:   Corticosteroids areless effective in patients of this subgroup. Macrolide antibiotics may have some efficacy on neutrophilic asthma, By modulating the innate immune response in the lung, by reducing the expression of neutrophilic markers .  Restoration of HDAC 2 nuclear recruitment with theophylline.  Anti-TNF-α responsive( infliximab )  The efficacy of IL-17 targeted therapy in this subtype of asthma awaits evidence from ongoing clinical trials.
  • 53.
     Smoking has acomplex relationship with asthma. It is associated with deteriorating lung function and resistance to corticosteroids.  Smoking asthma has been associated with neutrophilia in lung tissue. It is unknown if smoking asthma is a subtype of neutrophilic asthma or an independent endotype . Since not all smoking asthma is accompanied by neutrophilia, it is more likely that there is only a partial overlap between neutrophilic asthma and smoking asthma. 
  • 54.
     Some reports havesuggested that smoking is associated with elevated total IgE and that active smoking may increase the risk of sensitization to workplace allergens.  However, little is understood regarding the role of genetics, biomarkers or pathobiology.  FeNO levels are decreased by smoking and could help to differentiate asthmatic subjects from non-asthmatic subjects. Treatment responses   Quitting smoking Restoration of HDAC 2 nuclear recruitment with theophylline.
  • 55.
    The intensity ofthe colors represents the range of severity; the relative sizes of the subcircles suggest relative proportions of affected individuals
  • 56.
    Lötvall et al.2011proposed endotyping asthma into six classes depending on several parameters used to define an endotype.  Aspirin sensitive asthma  Allergic asthma (adults)  Severe late-onset hypereosinophilic  ABPM  API-positive preschool wheezer  Asthma in cross country skiers
  • 57.
    Lotvall J etal JACI 2011
  • 58.
  • 61.
    The principle ofpersonalized or individualized medicine is to 'bring the right drug to the right patient at the right dose', such that therapeutic efficacy is maximized and the side effects are kept to a minimum.
  • 62.
     The consideration ofdisease endotypes in treatment design should be able to bridge the present era of treating asthma based on family history, patient characteristics and laboratory test, to the future era of personalized medicine where treatment scheme will be based on individual biological data such as genomic, proteomic and metabolic profiles.
  • 63.
    Asthmatic Granulomatosis A NovelDisease with Asthmatic and Granulomatous Features This study present video-assisted thoracoscopic biopsy findings from 10 patients, previously diagnosed with severe asthma and meeting criteria for asthma. Pathobiologically, these patients have evidence for asthmatic small airway inflammation and infrequent nonnecrotizing granulomas with interstitial inflammation. This distinct pathobiology in addition to their response to cytotoxic agents suggests that these patients represent a newly described disease, which we term asthmatic granulomatosis. Sally E. Wenzel1, Catherine A. Vitari1, Manisha Shende2, Diane C. Strollo3, Allyson Larkin4, and Samuel A. Yousem5 Am J Respir Crit Care Med Vol 186, Iss. 6, pp 501–507, Sep 15, 2012
  • 64.
    The Asthma–Chronic Obstructive PulmonaryDisease Overlap Syndrome (ACOS)
  • 65.
    ACOS The Spanish COPDguidelines propose four COPD phenotypes that determine differential treatment: nonexacerbator with emphysema or chronic bronchitis, mixed COPD–asthma, exacerbator with emphysema and exacerbator with chronic bronchitis
  • 66.
    ACOS The mixed COPD–asthmaphenotype was defined as an airflow obstruction that is not completely reversible accompanied by symptoms or signs of an increased reversibility of the obstruction.[7] In other guidelines, these patients are described as 'patients with COPD and prominent asthmatic component' or as asthma that complicates COPD.
  • 67.
    ACOS *Two major criteria(FEV1 >15% and >400 ml after bronchodilator or sputum eosinophils or history of asthma) and *Two minor criteria (elevated total IgE or history of atopy or FEV1 >12% and >200 ml after bronchodilator) are recommended.
  • 68.
    ACOS *Asthma with partiallyreversible airflow obstruction – that is, based on change in FEV1 with bronchodilators – with or without emphysema or reduced carbon monoxide diffusing capacity (DLco) to <80% predicted; *COPD with emphysema accompanied by reversible or partially reversible airflow obstruction, with or without environmental allergies or reduced DLco.
  • 69.
    ACOS The following majorcriteria for ACOS: a physician diagnosis of asthma and COPD in the same patient, history or evidence of atopy, for example, hay fever, elevated total IgE, age 40 years or more, smoking >10 pack-years, postbronchodilator FEV1 <80% predicted and FEV1/FVC <70%. Minor criteria: A ≥15% increase in FEV1 or ≥12% and ≥200 ml increase in FEV1 postbronchodilator treatment with albuterol .
  • 70.
    Lessons learnt from studiesof asthma deaths Many deaths from asthma are preventable – 88-92% of attacks requiring hospitalisation develop over 6 hours Factors include: • inadequate objective monitoring • failure to refer earlier for specialist advice • inadequate treatment with steroids B  Keep patients who have had near fatal asthma or brittle asthma under specialist supervision indefinitely  71 Health care professionals must be aware that patients with severe asthma and one or more adverse psychosocial factors are at risk of death Respiratory specialist should follow up patients admitted with severe asthma for at least a year after admission Management of acute asthma. Thorax 2012
  • 71.
    Levels of severityof acute asthma exacerbations Near fatal asthma 72 Raised PaCO2 and/or requiring mechanical ventilation with raised inflation pressures Management of acute asthma. Thorax 2012
  • 72.
    Levels of severityof acute asthma exacerbations Near fatal asthma Life threatening asthma 73 Raised PaCO2 and/or requiring mechanical ventilation with raised inflation pressures Any one of the following in a patient with severe asthma: • Altered conscious level • Exhaustion • Arrythmias • Hypotension • Cyanosis • Silent chest • Poor respiratory effort • PEF <33% best or predicted • SpO2 <92% • PaO2 <8 kPa • “normal” PaCO2 (4.6–6.0 kPa) Management of acute asthma. Thorax 2003; 58 (Suppl I): i1-i92
  • 73.
    Levels of severityof acute asthma exacerbations Near fatal asthma Raised PaCO2 and/or requiring mechanical ventilation with raised inflation pressures Life threatening asthma Any one of the following in a patient with severe asthma: PEF <33% best or • silent chest • dysrhythmia • predicted cyanosis • hypotension • SpO2 <92% • feeble respiratory • exhaustion • PaO2 <8 kPa • effort confusion • normal PaCO2 (4.6-6.0 kPa) • bradycardia • coma • Acute severe asthma 74 Any one of: • PEF 33-50% best or predicted • respiratory rate 25/min • heart rate 110/min • inability to complete sentences in one breath Management of acute asthma. Thorax 2003; 58 (Suppl I): i1-i92
  • 74.
    Levels of severityof acute asthma exacerbations Near fatal asthma Raised PaCO2 and/or requiring mechanical ventilation with raised inflation pressures Life threatening asthma Any one of the following in a patient with severe asthma: PEF <33% best or • silent chest • dysrhythmia • predicted cyanosis • hypotension • SpO2 <92% • feeble respiratory • exhaustion • PaO2 <8 kPa • effort confusion • normal PaCO2 (4.6-60 kPa) • bradycardia • coma • Acute severe asthma Any one of: inability to complete sentences • in one breath Moderate asthma exacerbation 75 PEF 33-50% best or predicted respiratory rate 25/min heart rate 110/min • • • • Increasing symptoms • No features of acute severe • PEF >50-75% best or predicted asthma Management of acute asthma. Thorax 2012
  • 75.
    Levels of severityof acute asthma exacerbations Near fatal asthma Raised PaCO2 and/or requiring mechanical ventilation with raised inflation pressures Life threatening asthma Any one of the following in a patient with severe asthma: PEF <33% best or • silent chest • dysrhythmia • predicted cyanosis • hypotension • SpO2 <92% • feeble respiratory • exhaustion • PaO2 <8 kPa • effort confusion • normal PaCO2 (4.6-6.0 kPa) • bradycardia • coma • Acute severe asthma Any one of: inability to complete sentences • in one breath Moderate asthma exacerbation Brittle asthma PEF 33-50% best or predicted respiratory rate 25/min heart rate 110/min Increasing symptoms PEF >50-75% best or predicted No features of acute severe asthma • • Type 1: wide PEF variability (>40% diurnal variation for >50% of • 76 • • • • • the time over a period >150 days) despite intense therapy Type 2: sudden severe attacks on a background of apparently well-controlled asthma Management of acute asthma. Thorax 2012
  • 76.
    Initial assessment –the role of symptoms, signs and measurements Clinical features 77 Clinical features can identify some patients with severe asthma, eg severe breathlessness (including too breathless to complete sentences in one breath), tachypnea, tachycardia, silent chest, cyanosis, accessory muscle use, altered consciousness or collapse. None of these singly or together is specific. Their absence does not exclude a severe attack. Management of acute asthma. Thorax 2012
  • 77.
    Initial assessment –the role of symptoms, signs and measurements Clinical features PEF or FEV1 78 Clinical features, symptoms and respiratory and cardiovascular signs helpful in recognising severe asthma, but none specific, and their absence does not exclude a severe attack Measurements of airway caliber improve recognition of the degree of severity, the appropriateness or intensity of therapy, and decisions about management in hospital or at home. PEF or FEV1 are useful and valid measures of airway caliber. PEF is more convenient in the acute situation. PEF expressed as a percentage of the patient‟s previous best value is most useful clinically. PEF as a percentage of predicted gives a rough guide in the absence of a known previous best value. Different peak flow meters give different readings. Where possible the same or similar type of peak flow meter should be used. Management of acute asthma. Thorax 2003; 58 (Suppl I): i1-i92
  • 78.
    Initial assessment –the role of symptoms, signs and measurements Clinical features Clinical features, symptoms and respiratory and cardiovascular signs helpful in recognising severe asthma, but none specific, and their absence does not exclude a severe attack PEF or FEV1 Measurements of airway calibre improve recognition of severity and guide hospital or at home management decisions. PEF is more convenient and cheaper than FEV1. PEF as % previous best value or % predicted most useful Pulse oximetry Measure oxygen saturation (SpO2) with a pulse oximeter to determine the adequacy of oxygen therapy and the need for arterial blood gas (ABG) measurement. The aim of oxygen therapy is to maintain SpO2 94-98%. 79 Management of acute asthma. Thorax 2012
  • 79.
    Initial assessment –the role of symptoms, signs and measurements Clinical features Clinical features, symptoms and respiratory and cardiovascular signs helpful in recognising severe asthma, but none specific, and their absence does not exclude a severe attack PEF or FEV1 Measurements of airway calibre improve recognition of severity and guide hospital or at home management decisions. PEF is more convenient and cheaper than FEV1. PEF as % previous best value or % predicted most useful Pulse oximetry Necessary to determine adequacy of oxygen therapy and need for arterial blood gas measurement. Aim of oxygen therapy is to maintain SpO 2 92% Blood gases (ABG) 80 Measure oxygen saturation (SpO2) with a pulse oximeter to determine the adequacy of oxygen therapy and the need for arterial blood gas (ABG) measurement. The aim of oxygen therapy is to maintain SpO2 94-98%. Management of acute asthma. Thorax 2003; 58 (Suppl I): i1-i92
  • 80.
    Initial assessment –the role of symptoms, signs and measurements Clinical features Clinical features, symptoms and respiratory and cardiovascular signs helpful in recognising severe asthma, but none specific, and their absence does not exclude a severe attack PEF or FEV1 Measurements of airway calibre improve recognition of severity and guide hospital or at home management decisions. PEF is more convenient and cheaper than FEV1. PEF as % previous best value or % predicted most useful Pulse oximetry Necessary to determine adequacy of oxygen therapy and need for arterial blood gas measurement. Aim of oxygen therapy is to maintain SpO 2 92% Blood gases (ABG) Necessary for patients with SpO2 <92% or other features of life threatening asthma Chest X-ray Not routinely recommended in patients in the absence of: • suspected pneumomediastinum or • failure to respond to treatment pneumothorax satisfactorily • suspected consolidation • requirement for ventilation • life threatening asthma 81 Management of acute asthma. Thorax 2003; 58 (Suppl I): i1-i92
  • 81.
    Initial assessment –the role of symptoms, signs and measurements Clinical features PEF or FEV1 Measurements of airway calibre improve recognition of severity and guide hospital or at home management decisions. PEF is more convenient and cheaper than FEV1. PEF as % previous best value or % predicted most useful Pulse oximetry Necessary to determine adequacy of oxygen therapy and need for arterial blood gas measurement. Aim of oxygen therapy is to maintain SpO 2 92% Blood gases (ABG) Necessary for patients with SpO2 <92% or other features of life threatening asthma Chest X-ray Not routinely recommended in patients in the absence of: suspected pneumomediastinum or • failure to respond to treatment • pneumothorax satisfactorily suspected consolidation • requirement for ventilation • life threatening asthma • Systolic paradox 82 Clinical features, symptoms and respiratory and cardiovascular signs helpful in recognising severe asthma, but none specific, and their absence does not exclude a severe attack Abandoned as an indicator of the severity of an attack Management of acute asthma. Thorax 2012
  • 82.
    Radiographic Signs ofPneumomediastinum Subcutaneous emphysema Thymic sail sign Pneumoprecardium Ring around the artery sign Tubular artery sign Double bronchial wall sign Continuous diaphragm sign Extrapleural sign Air in the pulmonary ligament
  • 87.
    Not all wheezingis asthma Wheezing occurrences in children: - single episode in 30% to 50% of children before 5 yr of age - 40% who wheeze before 3 yr of age continue at 6 yr (“persistent wheezers”) - 50% of infants who wheeze once will wheeze again within several months
  • 88.
    Childhood asthma phenotypes: -transient early wheezers - wheeze sometime during first year of life; risk factors include prematurity, history of parental smoking during pregnancy, and passive exposure to tobacco smoke; such patients do not respond to inhaled bronchodilators or inhaled corticosteroids (ICS); wheezing tends to remit as child’s airway gets larger (between ages 2-3 yr) - nonatopic wheezers - 0 to 6 yr of age; wheeze associated exclusively with viral infection; usually no eczema or family history; wheezing tends to remit by 6 yr of age - atopic wheezers - past 5 yr of age, allergic - have positive blood and skin testing to inhalant allergens; tend to present within 2 to 3 yr of age, and continue to wheeze; wheezing not related to URTI
  • 90.
    A 2012 studydescribed 2 "new" phenotypes for young children with wheezing: 1-"boys atopic multiple-trigger" and 2-"girls nonatopic uncontrolled wheeze". JACI, 2012.
  • 91.
    Diagnosing Asthma inYoung Children – Asthma Predictive Index • Major criteria – Parent with asthma • > 4 episodes/yr of – Physician diagnosed wheezing lasting atopic dermatitis more than 1 day affecting sleep in a • Minor criteria child with one MAJOR – Physician diagnosed or two MINOR criteria allergic rhinitis – Eosinophilia (>4%) – Wheezing apart from colds 1Adapted from Castro-Rodriquez JA, et al. AJRCCM 2000; 162: 1403
  • 93.
    Cough-variant asthma Chronic, persistentcough - without wheezing - may be the only manifestation of asthma. More than 60% bronchial obstruction is needed to produce wheezing - asthma can occur without wheezing spirometry is required for diagnosis. Cough-variant asthma presents as dry cough at night. It worsens with exercise (EIA) and nonspecific triggers (cold air). Cough-variant asthma responds to asthma therapy with ICS. Cough-variant asthma is diagnosed with pulmonary function testing (PFTs) with response to bronchodilator.
  • 94.