Bronchial Asthma &Asthma
Control
Gamal Rabie Agmy, MD, FCCP
Professor of chest Diseases, Assiut university
Asthma is a heterogeneous disease, usually characterized
by chronic airway inflammation.
It is defined by the history of respiratory symptoms such
as wheeze, shortness of breath, chest tightness and
cough that vary over time and in intensity, together with
variable expiratory airflow limitation.
Definition of asthma
NEW!
GINA 2014
Source: Peter J. Barnes, MD
Asthma Inflammation: Cells and Mediators
Airway inflammation in asthma
AsthmaticNormal
P Jeffery, in: Asthma, Academic Press 1998
Airway mucosal oedema
P Howarth
Epithelial damage
P Jeffery, in: Asthma, Academic Press 1998
Smooth muscle hyperplasia
P Jeffery, in: Asthma, Academic Press 1998
Basement membrane thickening
P Jeffery, in: Asthma, Academic Press 1998
Asthma Phenotypes
and Endotypes
◙ For revealing the complexity and the
heterogeneity of this disease, asthma patients
were grouped into subtypes called phenotypes.
◙ Term ‘phenotype’ describes subtypes of
asthma focused on ‘clinically observable
characteristics’ of a disease.
Therefore, there are many ‘definitions’ for asthma phenotypes,
many of which are related to differences in symptoms and
severity rather than to differences in underlying mechanisms. but
this kind of subtyping does little to help understand prognosis
and target therapy.
When a link can be made between clinical characteristics and
molecular pathways, the term endotype can be introduced
to describe distinct subtypes with a defining etiology and
consistent pathobiologic mechanisms.
The definition of a true phenotype (or endotype)
requires an underlying pathobiology with
identifiable biomarkers and genetics .
Gene-expression profiling allows definition of
expression signatures to characterize patient
subgroups, predict response to treatment, and
offer novel therapies.
Th2-associated asthma
These patients are characterized by atopy,
eosinophilic inflammation and favorable response
to corticosteroids.
Early-onset allergic asthma
Late-onset persistent eosinophilic asthma
Exercise induced asthma
Early-onset allergic asthma
Clinical characteristics:
This group of asthmatic patients developed their disease in
childhood, and maintained their symptoms into adulthood. .
The majority of early-onset allergic asthma is mild but that
an increasing complexity of immune processes leads to
greater severity.
Most people with asthma are likely to have this phenotype.
Positive skin prick tests, specific IgE antibodies in serum,
eosinophilia in the peripheral blood .
Genetics:
Early-onset allergic patients commonly have a
family history of asthma, suggesting a genetic
component.
►Several Th2 cytokine SNPs
►higher numbers of mutations in TH2-related genes
(IL4, IL13, IL4Rα ) associated with greater severity
of disease.
Biomarkers:
Positive SPT, elevated IgE/elevated FeNO
Th2 cytokines IL-4 ,IL-5 , IL-9, IL-13, and periostin measured in
sputum, BAL, serum and bronchial biopsies.
Treatment responses:
►Corticosteroid-responsive.
►Th2 Targeted therapy:
Anti IgE (omalizumab)in Severe allergic asthma.
Anti–IL-13( lebrikizumab) in Allergic asthma with dominant IL-
13 activation . Surrogate marker predicting better response is
high circulating levels of periostin. .
Inhaled IL-4Rα antagonist . Surrogate
marker predicting better response is IL-4
receptor a polymorphism.
Late-onset persistent eosinophilic asthma
Clinical characteristics:
The majority of this group develops disease in adult
life, often in the late 20s to 40s.
Severe from onset, Severe exacerbations with persistent
sputum eosinophilia (>2%), despite corticosteroid therapy.
less clinical allergic responses( non atopic) than early-
onset asthma.
It is often associated with sinus disease.
Genetics:
Few patients in this group have a family
history of asthma.
little is known regarding the genetics of adult
onset persistent asthma.
Biomarkers:
Lung eosinophilia. Persistent sputum eosinophilia (≥2%)
The lack of clinical allergy in this phenotype suggests that the TH2
process differs from and is probably more complex than the one
associated with the early-onset allergic phenotype but the presence
of IL-13 and IL-5 in the lower airways confirm Th2 pathway.
Some individuals show sputum neutrophilia intermixed with their
eosinophilic process. This mixed inflammatory process implies
that there are interactions of additional immune pathways with
TH2 immunity, including activation of pathways related to IL-33
and IL-17 .
Elevations in FeNO
Treatment responses:
• persistent eosinophilia in late-onset disease inspite of ICS implies that
the TH2 process in this type of asthma is refractory to corticosteroids
but high systemic doses of corticosteroids are generally able to
overcome this refractoriness in late-onset asthma.
• IL-5 targeted therapy may show much better efficacy in this
endotype, compared in early-onset allergic asthma patients, as IL-5
dependent eosinophilia may be more important in this potential
endotype. (decreasing exacerbations and systemic corticosteroid
requirements)
• IL-4 and IL-13 targeted therapy pathway.
AERD is probably a subendotype or a similar endotype. It is an
acquired condition on top of an intrinsic or less frequently
allergic asthma and thus, despite its peculiar sensitivity to
NSAIDs, still has major overlap with these conditions.
Clinical characteristics :
• AERD is frequently progressive severe asthma starts late in
life and is associated with eosinophilia and sinus disease
Polyposis.
• Response to aspirin challenge
Aspirin exacerbated airway disease
(AERD)
Genetics :
• LT-relatedgene polymorphisms.
• Gene-expressionstudy identified upregulation of periostin a potent
regulatorof fibrosisand collagen depositionhas also been identified
in polyps of and in airwayepithelial cells of patients with AIA.
Overexpressionof periostinhas been associatedwithacceleratedcell
growthand angiogenesis(subtype).
Biomarkers:
high cysteinyl leukotriene level.
Treatment responses :
• Many patients require systemic corticosteroids to control
their sinusitis and asthma.
• Leukotriene modifiers especially 5-LO inhibitors can have a
robust impact on the AERD subset.
• Downregulation of periostin after treatment of asthmatic
patients with corticosteroids suggests that normalization of
periostin expression is a part of the therapeutic effects of
corticosteroids. This opens a possibility of specifically
targeting periostin in future therapies for nasal polyps and
asthma
Clinical characteristics:
• Exercise induced asthma refers to asthma whose symptoms
are experienced primarily after exercise. EIA is a milder
form of TH2 asthma.
• Consistent with a relationship to TH2 processes, EIA
common in atopic athletes and high percentages of
eosinophils and mast cells and their mediators .
Exercise induced asthma
Biomarkers:
• Th2 cytokines and cysteinyl leukotriene
Genetics:
• No distinct genetic factors .
Treatment responses:
• Leukotriene modifiers high LTE4/FENO ratio is Surrogate
marker predicting better response.
• IL-9 targeted therapy has been shown effective on patients
of this group, which implies that Th2 immunity is involved in
the pathophysiology of EIA.
The lack of efficacy of Th2 targeted therapy suggests that a
subgroup of asthma develops in the absence of Th2 immunity.
Little is understood about the non Th2 asthma and its related
molecular elements.
• Obesity-related asthma
• Neutrophilic asthma
• Smoking asthma
Non Th2-associated asthma
Whether obesity is a driving component in asthma development
or a mere confounder or comorbidity of its presence remains
controversial.
It is likely that obesity differentially impacts asthma that
develops early in life, as compared to later in life, being a more
prominent independent contributor in later onset disease.
So a distinct obesity-related asthma phenotype seems to occur
only in non-TH2 asthma.
 ,
 ..
Clinical characteristics :
Patients in this group are commonly women, obese, late onset
(mid-40s), less allergic (obesity is neither a risk factor for atopy
nor a risk factor for allergic asthma).with a high burden of
symptoms.
Biomarkers:
 High expression of non Th2 mediators such as tumor
necrosis factor (TNF)-a, IL-6 .
 Hormones of obesity, such as adiponectin, leptin, and resistin
either alone or in association with increased oxidative stress.
 Elevations in an endogenous inhibitor of iNOS, asymmetric
dimethyl arginine (ADMA).
 lower amounts of FeNO, fewer eosinophils.
Treatment responses:
 Patients of this subgroup usually respond poorly to corticosteroids.
 Bariatric surgery induced weight loss was associated with profound
improvements in lung function and symptoms in obese asthma.
 However, the effect of weight loss on bronchial hyper responsiveness
was only shown in late-onset, nonallergic (non-Th2) asthma patient,
consistent with late onset obese asthma being a separate endotype. This
is further supported by the increase in ADMA in association with
worsening severity and control in late onset obese asthma only.
Clinicalcharacteristics and biomarkers:
 It remains controversial whether neutrophiliais an independentdriving
component, a synergisticfactorwith eosinophiliaor just a consequenceof
corticosteroidtherapy.
 Still unclearwhetherthis representsa uniqueform of asthmaor just a
differentstageof severityor persistentbacterial colonization or infection of
the airways on the backgroundof a previously eosinophilic asthma.
 Airway pathophysiologyin neutrophilic asthmais characterizedby (fixed)
airflow limitation more trappingof air, thickerairway walls (as
measured by CT) .
 Novel mechanisms implicated in the pathogenesis of
noneosinophilic asthma involve the activation of innate immune
responses with a possible role of bacteria, viruses.
 Neutrophilia can also co-exist with eosinophilia, and this identifies
the people with the most severe asthma and emphasizes the
complexity of the immunobiology of severe asthma in which
multiple different innate and adaptive immune pathways and cells
may have roles.
 Impaired nuclear recruitment of histone deacetylase (HDAC).
 The role of TH17 immunity
Biomarkers:
 IL-8, IL-17A, LTB4, and possibly IL-32.
 IL-1 and TNF-α pathways are upregulated and associated with
neutrophilic inflammation in a sputum gene-expression study.
 low levels of FeNO.
Treatment responses:
 Corticosteroids are less effective in patients of this subgroup.
 Macrolide antibiotics may have some efficacy on neutrophilic
asthma, By modulating the innate immune response in the
lung, by reducing the expression of neutrophilic markers .
 Restoration of HDAC 2 nuclear recruitment with theophylline.
 Anti-TNF-α responsive( infliximab )
 The efficacy of IL-17 targeted therapy in this subtype of
asthma awaits evidence from ongoing clinical trials.
 Smoking has a complex relationship with asthma. It is
associated with deteriorating lung function and resistance to
corticosteroids.
 Smoking asthma has been associated with neutrophilia in lung
tissue.
 It is unknown if smoking asthma is a subtype of neutrophilic
asthma or an independent endotype . Since not all smoking
asthma is accompanied by neutrophilia, it is more likely that
there is only a partial overlap between neutrophilic asthma and
smoking asthma.
 Some reports have suggested that smoking is associated with
elevated total IgE and that active smoking may increase the risk of
sensitization to workplace allergens.
 However, little is understood regarding the role of genetics,
biomarkers or pathobiology.
 FeNO levels are decreased by smoking and could help to
differentiate asthmatic subjects from non-asthmatic subjects.
Treatment responses
 Quitting smoking
 Restoration of HDAC 2 nuclear recruitment with theophylline.
The intensity of the colors represents the range of severity; the relative sizes
of the subcircles suggest relative proportions of affected individuals
• Increased probability that symptoms are due to asthma
if:
– More than one type of symptom (wheeze, shortness of
breath, cough, chest tightness)
– Symptoms often worse at night or in the early morning
– Symptoms vary over time and in intensity
– Symptoms are triggered by viral infections, exercise,
allergen exposure, changes in weather, laughter,
irritants such as car exhaust fumes, smoke, or strong
smells
Diagnosis of asthma – symptoms
GINA 2014
• Decreased probability that symptoms are
due to asthma if:
– Isolated cough with no other respiratory symptoms
– Chronic production of sputum
– Shortness of breath associated with dizziness, light-
headedness or peripheral tingling
– Chest pain
– Exercise-induced dyspnea with noisy inspiration
(stridor)
Diagnosis of asthma – symptoms
GINA 2014
• Physical examination in people with asthma
– Often normal
– The most frequent finding is wheezing on auscultation, especially on
forced expiration
• Wheezing is also found in other conditions, for example:
– Respiratory infections
– COPD
– Upper airway dysfunction
– Endobronchial obstruction
– Inhaled foreign body
• Wheezing may be absent during severe asthma exacerbations („silent
chest‟)
Diagnosis of asthma – physical examination
GINA 2014
Functional assessment
Variability
– PEFR chart at home (useful in diagnosis and monitoring, diurnal
variation ≥ 20 % or improvement of 60L/min or ≥ 20 % after
bronchodilator administration suggests asthma).
Reversibility
– Spirometry before and after B2 agonist (an increase in FEV1
of ≥ 12% and ≥ 200 ml after administration of bronchodilator
indicates reversible airflow limitation consistent with
asthma).
Provocative Testing
– Exercise
– Cold dry air
– Methacholine
1. Peak flow measurement
Clinical follow up of asthma
2. FEV1 measurement
Clinical follow up of asthma
Patterns of Abnormality
Upper AirwayObstruction low PEF relative to FEV1
Recorded Predicted SR %Pred
FEV 1 2.17 2.27 -0.3 96
FVC 2.68 2.70 0.0 99
FEV 1 %FVC 81 76 0.7 106
PEF 2.95 5.99 -3.4 49
FEV 1 /PEF 12.3
Discordant PEF and FEV1
High PEF versus FEV1 = early interstitial lung disease (ILD)
Low PEF versus FEV1 = upper airway obstruction
Concordant PEF and FEV1
Both low in airflow obstruction, myopathy, late ILD
Upper Airway Obstruction
0 1 2 3 4 5 6
-6
-4
-2
0
2
4
6 Age 40 yrs
FVC 3.52 L 0.84 SR
FEV1
3.0 L 0.74 SR
PEF 4.57 L/s -2.18 SR
FEV/PEF = 10.9
Inspiratory
Expiratory
FlowinL/s
Volume in Litres
FEV1 in mls
PEF in L/min
> 8
• Confirm presence of airflow limitation
– Document that FEV1/FVC is reduced (at
least once, when FEV1 is low)
– FEV1/ FVC ratio is normally >0.75 – 0.80 in
healthy adults, and >0.90 in children
Diagnosis of asthma – variable airflow
limitation
GINA 2014, Box 1-2
• Confirm variation in lung function is greater than in
healthy individuals
– The greater the variation, or the more times variation is seen, the greater
probability that the diagnosis is asthma
– Excessive bronchodilator reversibility (adults: increase in FEV1 >12% and
>200mL; children: increase >12% predicted)
– Excessive diurnal variability from 1-2 weeks‟ twice-daily PEF monitoring
(daily amplitude x 100/daily mean, averaged)
– Significant increase in FEV1 or PEF after 4 weeks of controller treatment
– If initial testing is negative:
• Repeat when patient is symptomatic, or after withholding
bronchodilators
• Refer for additional tests (especially children ≤5 years, or the elderly)
Diagnosis of asthma – variable airflow
limitation
GINA 2014, Box 1-2
Asthma Pathology
Asthma is a chronic inflammatory disease associated with airway
hyperresponsiveness (AHR), short-term consequences…
Airway obstruction
and symptoms by:
Bronchoconstriction
Mucus plugs
Mucosal edema
Inflammatory cell
infiltration/activation
Remodelling:
Increased vascularity
Epithelial cell disruption
Increased airway smooth
muscle mass
(hyperplasia)
Reticular basement
membrane thickening
…and long-term consequences
Bousquet J et al. Am J Respir Crit Care Med 2000;161:1720–1745;
Beckett PA et al. Thorax 2003;58:163–174
Asthma Inflammation
Asthma Timeline
Spirometry Pre- & Post- Bronchodilator
MANAGEMENT OF ASTHMA – GENERAL
PRINCIPLES
• The long-term goals of asthma management are symptom control and risk reduction.
• The aim is to reduce the burden to the patient and their risk of exacerbations, airway
damage, and medication side-effects.
• The patient’s own goals regarding their asthma and its treatment should also be identified.
• Population-level recommendations about „preferred‟ asthma treatments represent the
best treatment for most patients in a population.
• Patient-level treatment decisions should take into account any individual characteristics or
phenotype that predict the patient‟s likely response to treatment, together with the patient‟s
preferences and practical issues such as inhaler technique, adherence, and cost.
References
1. GINA Updates 2014
HOW TO MANAGE ASTHMA?
Levels of Asthma Control
(Assess patient impairment)
Characteristic
Controlled
(All of the following)
Partly controlled
(Any presentin any week)
Uncontrolled
Daytime symptoms
Twice or less
per week
More than
twice per week
3 or more
features of
partly
controlled
asthma
present in
any week
Limitations of
activities
None Any
Nocturnal symptoms /
awakening
None Any
Need for rescue /
“reliever” treatment
Twice or less
per week
More than
twice per week
Lung function
(PEF or FEV1)
Normal
< 80% predicted or
personal best (if
known) on any day
The GlobalStrategy forAsthma Managementand Prevention,GlobalInitiative forAsthma (GINA)2014.
Availablefrom:http://www.ginasthma.org
controlled
partly controlled
uncontrolled
exacerbation
LEVEL OF CONTROL
maintain and find lowest controlling
step
consider stepping up to
gain control
step up until controlled
treat as exacerbation
TREATMENT OF ACTION
TREATMENT STEPS
REDUCE INCREASE
STEP
1
STEP
2
STEP
3
STEP
4
STEP
5
REDUCEINCREASE
© Global Initiative for Asthma
Stepwise management - pharmacotherapy
*For children 6-11 years,
theophylline is not
recommended, and preferred
Step 3 is medium dose ICS
**For patients prescribed
BDP/formoterol or BUD/
formoterol maintenance and
reliever therapy
© Global Initiative for Asthma
Step 1 – as-needed inhaled short-acting
beta2-agonist (SABA)
*For children 6-11 years, theophylline is not recommended, and preferred Step 3 is medium dose ICS
**For patients prescribed BDP/formoterol or BUD/formoterol maintenance and reliever therapy
© Global Initiative for Asthma
Step 2 – low-dose controller + as-needed
inhaled SABA
*For children 6-11 years, theophylline is not recommended, and preferred Step 3 is medium dose ICS
**For patients prescribed BDP/formoterol or BUD/formoterol maintenance and reliever therapy
© Global Initiative for Asthma
Step 3 – one or two controllers + as-needed
inhaled reliever
*For children 6-11 years, theophylline is not recommended, and preferred Step 3 is medium dose ICS
**For patients prescribed BDP/formoterol or BUD/formoterol maintenance and reliever therapy
© Global Initiative for Asthma
Step 4 – two or more controllers + as-needed
inhaled reliever
*For children 6-11 years, theophylline is not recommended, and preferred Step 3 is medium dose ICS
**For patients prescribed BDP/formoterol or BUD/formoterol maintenance and reliever therapy
© Global Initiative for Asthma
Step 5 – higher level care and/or add-on treatment
*For children 6-11 years, theophylline is not recommended, and preferred Step 3 is medium dose ICS
**For patients prescribed BDP/formoterol or BUD/formoterol maintenance and reliever therapy
GINA 2015 – changes to Steps 4 and 5
© Global Initiative for Asthma
GINA 2015
*For children 6-11 years, theophylline is not recommended, and preferred Step 3 is medium dose ICS
**For patients prescribed BDP/formoterol or BUD/formoterol maintenance and reliever therapy
# Tiotropium by soft-mist inhaler is indicated as add-on treatment for patients with a history of exacerbations;
it is not indicated in children <18 years.
Other
controller
options
RELIEVER
STEP 1 STEP 2
STEP 3
STEP 4
STEP 5
Low dose ICS
Consider low
dose ICS
Leukotriene receptor antagonists (LTRA)
Low dose theophylline*
Med/high dose ICS
Low dose
ICS+LTRA
(or + theoph*)
As-needed short-acting beta2-agonist (SABA)
Low dose
ICS/LABA*
Med/high
ICS/LABA
Refer for
add-on
treatment
e.g.
anti-IgE
PREFERRED
CONTROLLER
CHOICE
Add tiotropium#
High dose ICS
+ LTRA
(or + theoph*)
Add
tiotropium#
Add low
dose OCS
As-needed SABA or
low dose ICS/formoterol**
• How?
– Asthma severity is assessed retrospectively from the level of treatment required to
control symptoms and exacerbations
• When?
– Assess asthma severity after patient has been on controller treatment for several
months
– Severity is not static – it may change over months or years, or as different
treatments become available
• Categories of asthma severity
– Mild asthma: well-controlled with Steps 1 or 2 (as-needed SABA or low dose ICS)
– Moderate asthma: well-controlled with Step 3 (low-dose ICS/LABA)
– Severe asthma: requires Step 4/5 (moderate or high dose ICS/LABA ± add-on), or
remains uncontrolled despite this treatment
Assessing asthma severity
GINA 2014
© Global Initiative for Asthma
GINA assessment of asthma control
GINA 2015
Asthma Control is still a problem
• Many studies describe discordance between the patient‟s and health provider‟s
assessment of the patient‟s level of asthma control.
• This does not necessarily mean that patients „over-estimate‟ their level of control
or „under-estimate ‟its severity, but that patients understand and use the word
„control‟ differently from health professionals, e.g. based on how quickly their
symptoms resolve when they take reliever medication. 1
GINA 2015
Why Did GSK ConductThe GOAL Study??
The AIRE Survey 1999:
• First comprehensive, multinational survey assessing the level of Asthma Control
among patients with asthma in Western Europe
• Provided an understanding of how well the goals of the GINA asthma guidelines were
being met in Europe.
• 2803 patients interviewed by telephone from 7 European Countries:
 France
 Germany
 Italy
 Netherlands
 Spain
 Sweden
 UK
.
AIRE= Asthma Insight and Reality in Europe
Why Did GSK ConductThe GOAL Study??
The AIRE Survey 1999:
.
100
95 %
Uncontrolled
5 %
Controlled
Only 5% of patients met all
the criteria for asthma control
as defined by GINA
This data is raising a
question:
“Are the Expectations of GINA
regarding Asthma Control
realistic and achievable?”
Study design
“The Gaining Optimal Asthma controL (GOAL) study was a 1-year, stratified,
randomized, double-blind, parallel-group study comparing step-wise increases of
salmeterol and fluticasone combined (SFC) with fluticasone propionate (FP)
alone in achieving composite measures of well - total asthma control as defined by the
guidelines.”
• It included 3421 uncontrolled asthmatic patients.
• International Study including 44 countries
• Inclusion criteria:
. Patients aged ≥12 years
 with ≥6-month history of asthma,and who did
not achieve2 well-controlled weeks during the 4-
week run-in period.
 Smoking packs <10/year
 Reversibility of ≥15 % of FEV1
 Use of LABA in the last 2 weeks prior to run-in
 Acute asthma exacerbation requiringoralsteroids
in the last 4 weeks or hospitalizationin the past12
weeks
 Treatmentwith systemic steroids in the past 12
weeks priorto run-in
 Resp.Infection in the last 4 weeks priorrun-in
 > 3 days PEF < 50 % predicted during run-in
•Exclusion criteria:
Study Endpoints
Primary endpoint:
• To determine the proportion of patients who achieved guideline defined asthma
control on Fluticasone Propionate/Salmeterol compared with Fluticasone propionate
during phase I  in 7 out of the 8 weeks assessment period in the stepping up phase
Secondary endpoint:
• To determine if the concept of total control is achievable or not
Study design
Well Controlled Patients
Patients with a well-controlled week were defined
for having 2 or more of the following criteria:
 Symptom score >1 on ≤2 days/week
 (PEF) of ≥80% predicted every day
 Rescue medication use on ≤2 days and ≤4 occasions/week.
“They couldn't take more than 4 puffs of their medication
during a week and over 2 days”
Guideline Defined Asthma Control
Patients with a well-controlled week
were defined for having all of the following:
No Night-time awakenings
No Exacerbations
No Emergencyroom visits
 No Adverse events leading to a changein
asthma treatment.
Well controlled asthma was achieved if the patient recorded 7 totally controlled
weeks during the 8 assessment weeks.
Only 5% of patients met all the criteria for asthma control as defined by GINA
“
Asthma Symptom Control Level of Asthma Symptom Control
In the past 4 weeks,
has the patient had:
Well Contolled
Partly
Contolled
Uncontrolled
Daytime asthma
symptoms for more than
twice/week?
None of these 1-2 of these 3-4 of these
Any activity limitation due
to asthma?
Reliever medication for
symptoms needed more
than twice/week?
Any night waking due to
asthma?
GINA assessment of asthma control in adults,
adolescents and children 6-11 years (GINA 2015)
References
1. GINA Updates 2014
Study design
Totally Controlled Patients
Patients with a totally controlled week were defined
as having all of the following:
(PEF) of ≥80% predicted each day
 No Daytime symptoms
 No Rescuemedication use
 No Night-time awakenings
 No Exacerbations
 No Emergencyroom visits
 No Adverse events leading to a changein asthma treatment.
‼ Totally controlled asthma was achieved if the patient
recorded 7 totally controlled weeks during the 8
assessment weeks.
GOAL: Significantlymore patients achieve
well-controlled asthma with SFC vs FP
Patientswithwell-controlledasthma(%)
SFC Phase II
SFC Phase I
FP Phase II
FP Phase I
75**
62**
78*
47
60
70
20
80
60
40
0
ICS-naïve
Stratum I
Low-dose ICS
Stratum II
Moderate-doseICS
Stratum III
*p=0.003 vs FP; **p<0.001 vs FP; †p=0.039 vs FP.
SFC=salmeterol and fluticasone combined; FP=fluticasone propionate; ICS=inhaled corticosteroid.
71†
65 69**
52 51**
33
Adapted fromBateman ED, et al. Am J Respir Crit
Care Med 2004;170:836-44.
Percentage of Patients who still had Guideline-defined
asthma control at the end of 52 weeks
FP
%
FP/Salmeterol
%
Stratum II 75% 83%
Stratum III 77% 77%
Patients that retained Control at the end of Phase II
Percentage of Patients who achieved total control in
phase I
FP/Salmeterol
%
FP
%
Stratum I
42%
P < 0.001
31%
Stratum II
32%
P < 0.001
20%
Stratum III
19%
P < 0.001
8%
0
Patientswhowere
well-controlledinphaseI(%)
20
80
40
60
500µg bd
250µg bd
100µg bd
100µg bd
250µg bd
500µg bd
FP SFC
GOAL: More patients receiving SFC vs FP are well-
controlled, and at lower ICS doses
Adapted from Bateman ED, et al. Am J Respir Crit
Care Med 2004;170:836-44.Low-dose ICS patienttypes. Dose of FP indicated within figure.
SFC=salmeterol and fluticasone combined; FP=fluticasone propionate;ICS=inhaled corticosteroid;
bd=twice daily.
Stratum II
0
Patientswhowere
well-controlledinphaseI(%)
20
80
40
60
500µg bd
250µg bd
250µg bd
500µg bd
FP SFC
GOAL: More patients receiving SFC vs FP are well-
controlled, and at lower ICS doses
Adapted from Bateman ED, et al. Am J Respir Crit
Care Med 2004;170:836-44.Low-dose ICS patienttypes. Dose of FP indicated within figure.
SFC=salmeterol and fluticasone combined; FP=fluticasone propionate;ICS=inhaled corticosteroid;
bd=twice daily.
Stratum III
30
50
250µg bd
250µg bd
81.5
74.2
55.9
76.6
51.0
29.9
0
10
20
30
40
50
60
70
80
90
ICS-naïve Low-dose ICS Moderate-dose ICS
**
GOAL: Significantlymore symptom-free
days with SFC vs FP
*
**
Woodcock AA, et al. Prim Care Resp J 2007;16:155-61.
Mediansymptom-freedays(%)
*p=0.025 vs FP; **p<0.001 vs FP.
SFC=salmeterol and fluticasone combined; FP=fluticasone propionate;
ICS=inhaled corticosteroid.
FP
SFC
271 Days
186 Days
204Days
109Days
*
*
*
0.2
0.4
0.7
0
0.1
0.3
0.6
0.5
ICS-naïve Low-dose ICS Moderate-dose ICS
FP
SFC
0.27
Meanexacerbationrate
perpatientperyearGOAL: Significantlyfewer exacerbations
with SFC vs FP
*p≤0.009 vs FP.
SFC=salmeterol and fluticasone combined; FP=fluticasone propionate;
ICS=inhaled corticosteroid.
Adapted from Bateman ED, et al. Am J Respir Crit Care Med
2004;170:836-44.
0.37
0.12
0.17
GOAL: Significantlymore rescue medication-free days with
SFC vs FP
91.8
87.8
77.9
87.1
72.0
61.9
0
10
20
30
40
50
60
70
80
90
100
ICS-naïve Low-dose ICS Moderate-dose ICS
*
*
*
Medianrescuemedication-freedays(%)
*p<0.001 vs FP.
SFC=salmeterol and fluticasone combined;FP=fluticasone propionate;
ICS=inhaled corticosteroid. Woodcock AA, et al. Prim Care Resp J 2007;16:155-61.
FP
SFC
Asthma related Qualityof Life
Using the Asthma quality of Life questionnaire:
• 32 Questions in 4 domains:
 Activity limitations
 Asthma Symptoms
 Emotional functioning
 Exposure to environmental stimuli
• Overall score
(mean of scores of 4 domains)
• Each scored on 7 point scale
(1= severe impairment; 7= no impairment)
GOAL: AQLQ scores reach near-maximal levels when
patients are totallyor well controlled
5.4
6.1
6.6
0.0
1.0
2.0
3.0
4.0
5.0
6.0
7.0
Not well controlled
Well controlled
Totally controlled
MeanAQLQscores
n=90 n=101 n=110
p<0.001 p<0.001
AQLQ=Asthma Quality of Life Questionnaire. Bateman ED, et al. Eur Respir J 2007;29:56-63.
Stratum II
Treatment – a stepwise approach
Each patient should be assigned to one of five treatment steps as per the GINA guidelines:
PREFERRED
CONTROLLER
CHOICE
Step 1 Step 2 Step 3 Step 4 Step 5
LOW DOSE ICS
LOW DOSE
ICS/LABA
MED/HIGH
ICS/LABA
REFER FOR
EXPERT
INVESTIGATION
AND ADD-ON
THERAPY
e.g. ANTI-IgE
OTHER
CONTROLLER
OPTIONS
CONSIDER
LOW DOSE
ICS
LTRA
LOW DOSE
THEOPHYLLINE
MED/HIGH DOSE
ICS
LOW DOSE
ICS+LTRA
(or + theoph)
HIGH DOSE
ICS+LTRA
(or +
theoph)
ADD LOW
DOSE OCS
RELIEVER AS NEEDED SABA
AS NEEDED SABA or
LOW DOSE ICS/FORMOTEROL
References
1. GINA Updates 2014
How is actually the SMART/MART approach
 The asthma control outcomes in SMART-treated patients are poor; it has been reported
that only 17.1% of SMART-treated patients are controlled.
 In seven trials of 6–12 months duration, patients using SMART:
 have used quick reliever daily (weighted average 0.92 inhalations/day),
 have awakened with asthma symptoms once every 7–10 days (weighted average 11.5% of nights),
 have suffered asthma symptoms more than half of days (weighted average 54.0% of days) and
 have had a severe exacerbation rate of one in five patients per year (weighted average 0.22 severe
exacerbations/patient/year).
Kenneth R Chapma.. Single maintenance and reliever therapy (SMART) of asthma: a critical appraisal. Kenneth R Chapman.
Thorax doi:10.1136/thx.2009.128504 Review
Summary
• Guideline-defined control is achievable and sustainable in a significant
proportion of patients
• More patients achieve and maintain Guideline-defined control with
FluticasonePropionate/Salmeterol than with ICS alone
• With Fluticasone Propionate/Salmeterol, more patients can achieve
Guideline-defined control:
 Earlier
 At a lower ICS dose
 With more Symptom free days
 With fewerexacerbations
 With a better Quality of Life
• For Step 3/4: there are 2 preferred treatment options  low dose
ICS/LABA- Low dose ICS/Formoterol
• SMART/MART approach is not indicated for less than 18 years
• Asthma control outcomes in SMART-treated patients are poor; it has
been reported that only 17.1% of SMART-treated patients are
controlled
• Considering a medication as maintenance and reliever therapy
confuses patients handle it as an “as needed= reliever”
treatment
Summary
• Recent recent ERS abstract suggests actual translation of SMART approach into
clinical practice fails in a significant number of occasions. On the othe hand treating
your patients with Seretide plus as needed SABA is extensively studied, reliable
approach and is simple to follow
• ProfessorJones:
 “SMART/MART approach: no step up/step down approach to treat the patient according to
his current condition, same treatment every day”
 “There‟s evidence that SMART/MART approach delays the time for first exacerbation,
however there‟s also lot of evidence stating that SMART/MART approach doesn‟t increase
asthma control and as a consequence of that, it is unlikely to reduce exacerbations.”
 “There‟s a lot of evidence that the step up approach achieves a very high level of control
and the GOAL study at the end of 1 year nearly 70 % of patients achieved good control of
their asthma versus only 17% on the SMART/ MART approach”
 ERS on SMART: “1-2% of prescribers only wanted their patients to use SMART/MART
approach. Interestingly, over half the patients were prescribes SABA as reliever +
budesonide/formoterol combination which should have been used as a rescue therapy, not
the SABA. This goes against the entire principal of the SMART/MART approach.
Summary
Case 1
A 45-year-old man complains of nasal blockage and loss
of smell and taste. He is an asthmatic who has been well
controlled on ICS and LABA therapy. His past history is
significant for chronic rhinosinusitis and one previous
hospital admission for asthma with intubation and
mechanical ventilation.
He was told following that admission that he was allergic
to Aspirin, which he had taken for a back pain. On
physical examination his lungs are clear of wheeze.
The findings on nasal examination are seen
in this Figure
A. Leukotriene receptor antagonist.
B. A 3-week course of prednisone.
C. Inhaled topical nasal corticosteroid.
D. Allergen immunotherapy to relevant antigens.
E. Aspirin desensitization program.
The most appropriate treatment at this time is:
A. Leukotriene receptor antagonist.
B. A 3-week course of prednisone.
C. Inhaled topical nasal corticosteroid.
D. Allergen immunotherapy to relevant antigens.
E. Aspirin desensitization program.
The most appropriate treatment at this time is:
The patient under discussion has asthma and nasal
polyposis. The aim of therapy for nasal polyps is to restore
nasal patency, and this may return lost taste and smell and
restore sinus drainage.
Topical corticosteroids have been the drugs of choice for
many years as they have been shown to reduce the size of
small polyps and prevent or delay the recurrence of nasal
polyps after surgery. Oral corticosteroids are also very
effective for nasal polyps and in severe cases are preferred
for 3 weeks followed by prolonged topical therapy.
Oral and not topical corticosteroids are usually effective for
anosmia and therefore are preferred in this patient, making
option B correct and C incorrect. When corticosteroids are
not effective, surgery is unavoidable.
Having both asthma and nasal polyposis places a patient up
to a 40% risk of having or developing aspirin sensitivity,
otherwise known as aspirin intolerant asthma (AIA).
Nasal polyps are smooth gelatinous semitranslucent
structures that seem to be outgrowths of the nasal mucosa.
Most polyps arise from the ethmoid sinus and histologically
are a mass of edema fluid with an abundance of eosinophils
and other inflammatory cells such as mast cells,
lymphocytes, and neutrophils. Nasal polyposis is an non-
IgE mediated inflammatory condition and is often
associated with nonallergic rhinitis, aspirin sensitivity, and
nonallergic asthma.
Atopy is no more prevalent in patients with nasal polyps
than in the general population; therefore, option D would not
be an appropriate step in this patient.
Most patients with AIA have a long history of
perennial rhinitis, which begins in the third decade,
often after a viral illness. Over months to years
nasal polyps develop followed by the appearance
of moderately severe to severe asthma and aspirin
sensitivity.
After ingestion of aspirin or a nonsteroidal
antiinflammatory drug (NSAID), an acute asthma
exacerbation occurs, often accompanied by
rhinorrhea, periorbital edema, conjunctival
congestion, and occasionally flushing of the face.
Evidence suggests that by inhibiting the
cyclooxygenase (COX) pathway, aspirin and
NSAIDS divert arachadonic metabolism to the
lipoxygenase pathway which is involved in the
pathogenesis of this syndrome. Leukotriene
pathway modifiers such as the receptor
antagonists have shown to be effective
Leukotriene pathway pathway which is involved in the
pathogenesis of this syndrome. Leukotriene pathway
modifiers such as the receptor antagonists have shown to
be effective for asthma but not nasal polyps; therefore,
option A is not correct
Aspirin desensitization is done by giving small increasing
oral doses of aspirin over 2 to 3 days and then a daily dose
after a refractory period is reached. The asthma is improved
and the nasal inflammatory disease responds the best. This
procedure is ideal in those patients who have just had
surgical polypectomy, as it has been shown to delay the
recurrence of polyps for an average of 6 years.
It would not improve nasal patentcy in this patient;
therefore, option E is not correct. The addition of
nedocromil sodium is incorrect because there is no need to
“step up” her asthma therapy at this time.
oMr Samir a lifelong heavy smoker and
asthmatic, the seventy year old Mr Samir is
wheezing most days and always is short of
breath. He is on regular combivent,
beclomethasone 200mcg bd and
intermittant salbutamol.
Case 2
oThe most likely diagnosis is Uncontrolled
Asthma.
but
The COPD element should not be neglected
in this patient with a high smoking index
(old age and heavy smoker). It definitely has
a share in his symptoms and airflow
limitation.
What is the likely diagnosis?
A 46 year old man comes to your clinic for management of
his asthma. He takes high-dose inhaled corticosteroids
and a long-acting beta agonist, along with a leukotriene
inhibitor. His adherence and technique are perfect.
He still has symptoms of cough, wheezing, and chest
tightness that bother him most days and nights each
week. He is using albuterol daily. The symptoms persist
when he goes on vacation out of state.
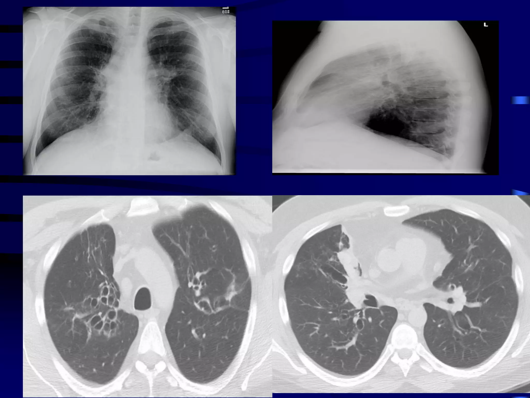
Sputum culture is negative. IgE level is 3,600 ng/mL. His
primary doctor obtained imaging and a chest CT, which
are shown.
Case 3
What should be the next step?
A. Schedule spirometry for next week to
guide step-up therapy.
B. Start omalizumab injections every 2
weeks.
C. Sweat chloride testing.
D. Skin testing for reactivity to Aspergillus
fumigatus.
E. HIV test.
What should be the next step?
A. Schedule spirometry for next week to
guide step-up therapy.
B. Start omalizumab injections every 2
weeks.
C. Sweat chloride testing.
D. Skin testing for reactivity to Aspergillus
fumigatus.
E. HIV test.
Allergic bronchopulmonary aspergillosis (ABPA) is an
ongoing hypersensitivity reaction in response to
bronchial colonization by Aspergillus, and is a common
cause of poorly controlled asthma. Cystic fibrosis
patients are also often affected. Bronchial obstruction
by mucus and chronic inflammation can lead to
bronchiectasis and lung fibrosis with irreversible loss
of lung function.
Clinical features: Cough productive of sputum, frequent
"bronchitis"; often with dyspnea and wheezing.
Diagnosis:
By constellation of symptoms and objective
findings. "Classic" ABPA would include the
following:
Asthma history
Immediate reactivity on skin prick with Aspergillus
antigens
Precipitating serum antibodies to A. fumigatus
Serum total IgE concentration >1,000 ng/mL
Peripheral blood eosinophilia >500/mm3
Lung opacities on chest x-ray or chest HRCT
Central bronchiectasis present on chest CT
Elevated specific serum IgE and IgG to A.
fumigatus
A skin test is the best first test, as it
is considered 100% sensitive (i.e., a
negative test rules out the condition).
A serum IgE < 1,000 or negative
precipitating antibodies also rule out
ABPA with high confidence.
Case 4
Your internal medicine colleague asks you about
a patient she is about to discharge home after a
hospitalization for asthma exacerbation. The
patient, takes a beta-blocker for coronary artery
disease and hypertension. Your colleague is
considering stopping the beta-blocker to avoid
any contribution to future asthma exacerbations,
but wants your opinion first.
What do you recommend?
A. Stop the beta blocker.
B. Continue the beta blocker.
C. Stop the beta blocker; order a stress test.
D. Continue the beta blocker; order an
echocardiogram.
Case 5
o Yusuf is 4 years old. He has had a persistant cough for
weeks that wakes him at night. “Every cold goes to his
chest” This is the fifth consultation for cough in the last
year. Only once has a wheeze been documented. His
father is known asthmatic.
1- What is the likely diagnosis?
2- What treatment would you give?
Self-fulfilling: Infant Wheezing
Phenotypes
• Never (51%)
• Transient (20%)
– Wheeze 0-3, not at age 6
• Persistent (14%)
– Wheeze 0-3 still present
age 6
• Late onset (15%)
– Wheeze after age 3
Diagnosing Asthma in Young
Children – Asthma Predictive
Index
• > 4 episodes/yr of
wheezing lasting
more than 1 day
affecting sleep in a
child with one MAJOR
or two MINOR criteria
• Major criteria
– Parent with asthma
– Physician diagnosed
atopic dermatitis
• Minor criteria
– Physician diagnosed
allergic rhinitis
– Eosinophilia (>4%)
– Wheezing apart from
colds
1Adapted from Castro-Rodriquez JA, et al. AJRCCM 2000; 162: 1403
Modified Asthma Predictive Index (API)
Cough-variant asthma
Cough-variant asthma presents as dry
cough at night. It worsens with exercise
(EIA) and nonspecific triggers (cold air).
Cough-variant asthma responds to asthma
therapy with ICS.
Cough-variant asthma is diagnosed with
pulmonary function testing (PFTs) with
response to bronchodilator. The most
common cause of chronic cough in children
is cough-variant asthma.
1- What is the likely diagnosis?
The likely diagnosis is Bronchial Asthma (childhood
asthma):
- Family history.
- Symtoms(cough mainly at night, every cold goes to the
chest).
- Signs: chest wheeze.
Treatmnt
Severe asthma - differential diagnosis and management
Case 7
oA 30-year-old G2P1 pregnant woman at 15 weeks
gestation presents to an outpatient clinic with
worsening dyspnea over the preceding two weeks. Her
past medical history is significant for asthma diagnosed
in childhood, seasonal allergies, and gastroesophageal
reflux disease (GERD) during her previous
pregnancy. She notes that her asthma symptoms had
been well-controlled on inhaled Budesonide/formoterol
(160mcg/4.5mcg), Salbutamol MDI as needed, and a
nasal steroid spray prior to pregnancy. However, she
discontinued all of her medications when she learned
that she was pregnant for fear that they might harm her
baby.
oAt today’s visit she feels that she is unable to take a deep
breath. She also describes one to two episodes of wheezing daily
and night time cough two to three times per week. Warm air, dust,
and exposure to cats seem to exacerbate her symptoms.
oOn physical exam, the patient is in no acute distress. The lungs
are clear to auscultation bilaterally.
1- Is the patient controlled?
2- Is asthma medications safe in pregnancy?
3- Treatment needed?
1- Is the patient controlled?
NO……
 Breathlessness.
 Frequent nocturnal symptoms
(cough and wheezes).
2- Is asthma medicationssafe in pregnancy?
Yes,
There is little evidence suggesting that medications
used to treat asthma may harm the fetus.
AND also
Pregnant patients with asthma should be advised
that the greater risk for their babies lies in poorly
controlled asthma and most modern asthma
medications are safe.
For this reason, using medications to obtain
optimal asthma control is justified.
3- Treatment needed?
Asthma control was already achieved on this
treatment:
o Inhaled Budesonide/formoterol
(160mcg/4.5mcg).
o Salbutamol MDI as needed.
o Nasal steroid spray.
o It may be repeated with reassurance about the
safety of the medications and regular follow up to
assess asthma control.
140
Lessons learnt from
studies of asthma deaths
Management of acute asthma. Thorax 2012
B
Health care professionals must be aware that patients with severe
asthma and one or more adverse psychosocial factors are at risk of
death

Keep patients who have had near fatal asthma or brittle asthma
under specialist supervision indefinitely

Respiratory specialist should follow up patients admitted with
severe asthma for at least a year after admission
Many deaths from asthma are preventable – 88-92% of attacks requiring
hospitalisation develop over 6 hours
Factors include:
• inadequate objective monitoring
• failure to refer earlier for specialist advice
• inadequate treatment with steroids
141
Levels of severity of
acute asthma exacerbations
Management of acute asthma. Thorax 2012
Near fatal asthma Raised PaCO2 and/or requiring mechanical ventilation with raised
inflation pressures
142
Levels of severity of
acute asthma exacerbations
Management of acute asthma. Thorax 2012
Near fatal asthma Raised PaCO2 and/or requiring mechanical ventilation with
raised inflation pressures
Life threatening
asthma
Any one of the following in a patient with severe asthma:
• Altered conscious level
• Exhaustion
• Arrythmias
• Hypotension
• Cyanosis
• Silent chest
• Poor respiratory effort
• PEF <33% best or
predicted
• SpO2 <92%
• PaO2 <8 kPa
• “normal” PaCO2
(4.6–6.0 kPa)
143
Levels of severity of
acute asthma exacerbations
Management of acute asthma. Thorax 2012
Near fatal asthma Raised PaCO2 and/or requiring mechanical ventilation with raised
inflation pressures
Life threatening
asthma
Any one of the following in a patient with severe asthma:
•PEF <33% best or
predicted
•SpO2 <92%
•PaO2 <8 kPa
•normal PaCO2 (4.6-6.0 kPa)
•silent chest
•cyanosis
•feeble respiratory
effort
•bradycardia
•dysrhythmia
•hypotension
•exhaustion
•confusion
•coma
Acute severe
asthma
Any one of:
• PEF 33-50% best or predicted
• respiratory rate 25/min
• heart rate 110/min
• inability to complete sentences
in one breath
144
Levels of severity of
acute asthma exacerbations
Management of acute asthma. Thorax 2012
Near fatal asthma Raised PaCO2 and/or requiring mechanical ventilation with raised
inflation pressures
Life threatening
asthma
Any one of the following in a patient with severe asthma:
•PEF <33% best or
predicted
•SpO2 <92%
•PaO2 <8 kPa
•normal PaCO2 (4.6-60 kPa)
•silent chest
•cyanosis
•feeble respiratory
effort
•bradycardia
•dysrhythmia
•hypotension
•exhaustion
•confusion
•coma
Acute severe
asthma
Any one of:
•PEF 33-50% best or predicted
•respiratory rate 25/min
•heart rate 110/min
•inability to complete sentences
in one breath
Moderate asthma
exacerbation
• Increasing symptoms
• PEF >50-75% best or predicted
• No features of acute severe
asthma
145
Levels of severity of
acute asthma exacerbations
Management of acute asthma. Thorax 2012
Near fatal asthma Raised PaCO2 and/or requiring mechanical ventilation with raised
inflation pressures
Life threatening
asthma
Any one of the following in a patient with severe asthma:
•PEF <33% best or
predicted
•SpO2 <92%
•PaO2 <8 kPa
•normal PaCO2 (4.6-6.0 kPa)
•silent chest
•cyanosis
•feeble respiratory
effort
•bradycardia
•dysrhythmia
•hypotension
•exhaustion
•confusion
•coma
Acute severe
asthma
Any one of:
•PEF 33-50% best or predicted
•respiratory rate 25/min
•heart rate 110/min
•inability to complete sentences
in one breath
Moderate asthma
exacerbation
•Increasing symptoms
•PEF >50-75% best or predicted
•No features of acute severe
asthma
Brittle asthma • Type 1: wide PEF variability (>40% diurnal variation for >50% of
the time over a period >150 days) despite intense therapy
• Type 2: sudden severe attacks on a background of apparently
well-controlled asthma
146
Initial assessment – the role of
symptoms, signs and measurements
Management of acute asthma. Thorax 2012
Clinical features Clinical features can identify some patients with severe asthma,
eg severe breathlessness (including too breathless to complete
sentences in one breath), tachypnea, tachycardia, silent chest,
cyanosis, accessory muscle use, altered consciousness or
collapse.
None of these singly or together is specific. Their absence does not
exclude a severe attack.
147
Initial assessment – the role of
symptoms, signs and measurements
Management of acute asthma. Thorax 2012
Clinical features Clinical features, symptoms and respiratory and cardiovascular signs
helpful in recognising severe asthma, but none specific, and their absence
does not exclude a severe attack
PEF or FEV1 Measurements of airway caliber improve recognition of the
degree of severity, the appropriateness or intensity of therapy, and
decisions about management in hospital or at home.
PEF or FEV1 are useful and valid measures of airway caliber. PEF is
more convenient in the acute situation.
PEF expressed as a percentage of the patient’s previous best value
is most useful clinically. PEF as a percentage of predicted gives
a rough guide in the absence of a known previous best value.
Different peak flow meters give different readings. Where possible
the same or similar type of peak flow meter should be used.
148
Initial assessment – the role of
symptoms, signs and measurements
Management of acute asthma. Thorax 2012
Clinical features Clinical features, symptoms and respiratory and cardiovascular signs
helpful in recognising severe asthma, but none specific, and their absence
does not exclude a severe attack
PEF or FEV1 Measurements of airway calibre improve recognition of severity and guide
hospital or at home management decisions. PEF is more convenient and
cheaper than FEV1. PEF as % previous best value or % predicted most
useful
Pulse oximetry Measure oxygen saturation (SpO2) with a pulse oximeter to
determine the adequacy of oxygen therapy and the need for arterial
blood gas (ABG) measurement. The aim of oxygen therapy is to
maintain SpO2 94-98%.
149
Initial assessment – the role of
symptoms, signs and measurements
Management of acute asthma. Thorax 2012
Clinical features Clinical features, symptoms and respiratory and cardiovascular signs
helpful in recognising severe asthma, but none specific, and their absence
does not exclude a severe attack
PEF or FEV1 Measurements of airway calibre improve recognition of severity and guide
hospital or at home management decisions. PEF is more convenient and
cheaper than FEV1. PEF as % previous best value or % predicted most
useful
Pulse oximetry Necessary to determine adequacy of oxygen therapy and need for arterial
blood gas measurement. Aim of oxygen therapy is to maintain SpO2 92%
Blood gases
(ABG)
Measure oxygen saturation (SpO2) with a pulse oximeter to
determine the adequacy of oxygen therapy and the need for arterial
blood gas (ABG) measurement. The aim of oxygen therapy is to
maintain SpO2 94-98%.
150
Initial assessment – the role of
symptoms, signs and measurements
Management of acute asthma. Thorax 2012
Clinical features Clinical features, symptoms and respiratory and cardiovascular signs
helpful in recognising severe asthma, but none specific, and their absence
does not exclude a severe attack
PEF or FEV1 Measurements of airway calibre improve recognition of severity and guide
hospital or at home management decisions. PEF is more convenient and
cheaper than FEV1. PEF as % previous best value or % predicted most
useful
Pulse oximetry Necessary to determine adequacy of oxygen therapy and need for arterial
blood gas measurement. Aim of oxygen therapy is to maintain SpO2 92%
Blood gases
(ABG)
Necessary for patients with SpO2 <92% or other features of life threatening
asthma
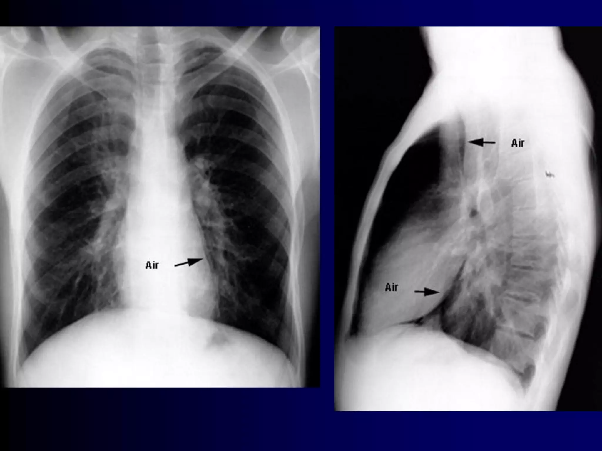
Chest X-ray Not routinely recommended in patients in the absence of:
• suspected pneumomediastinum or
pneumothorax
• suspected consolidation
• life threatening asthma
• failure to respond to treatment
satisfactorily
• requirement for ventilation
151
Initial assessment – the role of
symptoms, signs and measurements
Management of acute asthma. Thorax 2012
Clinical features Clinical features, symptoms and respiratory and cardiovascular signs
helpful in recognising severe asthma, but none specific, and their absence
does not exclude a severe attack
PEF or FEV1 Measurements of airway calibre improve recognition of severity and guide
hospital or at home management decisions. PEF is more convenient and
cheaper than FEV1. PEF as % previous best value or % predicted most
useful
Pulse oximetry Necessary to determine adequacy of oxygen therapy and need for arterial
blood gas measurement. Aim of oxygen therapy is to maintain SpO2 92%
Blood gases
(ABG)
Necessary for patients with SpO2 <92% or other features of life threatening
asthma
Chest X-ray Not routinely recommended in patients in the absence of:
•suspected pneumomediastinum or
pneumothorax
•suspected consolidation
•life threatening asthma
•failure to respond to treatment
satisfactorily
•requirement for ventilation
Systolic paradox Abandoned as an indicator of the severity of an attack
Bronchial Asthma and Asthma Control

Bronchial Asthma and Asthma Control

  • 2.
    Bronchial Asthma &Asthma Control GamalRabie Agmy, MD, FCCP Professor of chest Diseases, Assiut university
  • 3.
    Asthma is aheterogeneous disease, usually characterized by chronic airway inflammation. It is defined by the history of respiratory symptoms such as wheeze, shortness of breath, chest tightness and cough that vary over time and in intensity, together with variable expiratory airflow limitation. Definition of asthma NEW! GINA 2014
  • 4.
    Source: Peter J.Barnes, MD Asthma Inflammation: Cells and Mediators
  • 5.
    Airway inflammation inasthma AsthmaticNormal P Jeffery, in: Asthma, Academic Press 1998
  • 6.
  • 7.
    Epithelial damage P Jeffery,in: Asthma, Academic Press 1998
  • 8.
    Smooth muscle hyperplasia PJeffery, in: Asthma, Academic Press 1998
  • 9.
    Basement membrane thickening PJeffery, in: Asthma, Academic Press 1998
  • 10.
  • 11.
    ◙ For revealingthe complexity and the heterogeneity of this disease, asthma patients were grouped into subtypes called phenotypes. ◙ Term ‘phenotype’ describes subtypes of asthma focused on ‘clinically observable characteristics’ of a disease.
  • 15.
    Therefore, there aremany ‘definitions’ for asthma phenotypes, many of which are related to differences in symptoms and severity rather than to differences in underlying mechanisms. but this kind of subtyping does little to help understand prognosis and target therapy. When a link can be made between clinical characteristics and molecular pathways, the term endotype can be introduced to describe distinct subtypes with a defining etiology and consistent pathobiologic mechanisms.
  • 16.
    The definition ofa true phenotype (or endotype) requires an underlying pathobiology with identifiable biomarkers and genetics . Gene-expression profiling allows definition of expression signatures to characterize patient subgroups, predict response to treatment, and offer novel therapies.
  • 17.
    Th2-associated asthma These patientsare characterized by atopy, eosinophilic inflammation and favorable response to corticosteroids. Early-onset allergic asthma Late-onset persistent eosinophilic asthma Exercise induced asthma
  • 18.
    Early-onset allergic asthma Clinicalcharacteristics: This group of asthmatic patients developed their disease in childhood, and maintained their symptoms into adulthood. . The majority of early-onset allergic asthma is mild but that an increasing complexity of immune processes leads to greater severity. Most people with asthma are likely to have this phenotype. Positive skin prick tests, specific IgE antibodies in serum, eosinophilia in the peripheral blood .
  • 19.
    Genetics: Early-onset allergic patientscommonly have a family history of asthma, suggesting a genetic component. ►Several Th2 cytokine SNPs ►higher numbers of mutations in TH2-related genes (IL4, IL13, IL4Rα ) associated with greater severity of disease.
  • 20.
    Biomarkers: Positive SPT, elevatedIgE/elevated FeNO Th2 cytokines IL-4 ,IL-5 , IL-9, IL-13, and periostin measured in sputum, BAL, serum and bronchial biopsies. Treatment responses: ►Corticosteroid-responsive. ►Th2 Targeted therapy: Anti IgE (omalizumab)in Severe allergic asthma. Anti–IL-13( lebrikizumab) in Allergic asthma with dominant IL- 13 activation . Surrogate marker predicting better response is high circulating levels of periostin. .
  • 21.
    Inhaled IL-4Rα antagonist. Surrogate marker predicting better response is IL-4 receptor a polymorphism.
  • 22.
    Late-onset persistent eosinophilicasthma Clinical characteristics: The majority of this group develops disease in adult life, often in the late 20s to 40s. Severe from onset, Severe exacerbations with persistent sputum eosinophilia (>2%), despite corticosteroid therapy. less clinical allergic responses( non atopic) than early- onset asthma. It is often associated with sinus disease.
  • 23.
    Genetics: Few patients inthis group have a family history of asthma. little is known regarding the genetics of adult onset persistent asthma.
  • 24.
    Biomarkers: Lung eosinophilia. Persistentsputum eosinophilia (≥2%) The lack of clinical allergy in this phenotype suggests that the TH2 process differs from and is probably more complex than the one associated with the early-onset allergic phenotype but the presence of IL-13 and IL-5 in the lower airways confirm Th2 pathway. Some individuals show sputum neutrophilia intermixed with their eosinophilic process. This mixed inflammatory process implies that there are interactions of additional immune pathways with TH2 immunity, including activation of pathways related to IL-33 and IL-17 . Elevations in FeNO
  • 25.
    Treatment responses: • persistenteosinophilia in late-onset disease inspite of ICS implies that the TH2 process in this type of asthma is refractory to corticosteroids but high systemic doses of corticosteroids are generally able to overcome this refractoriness in late-onset asthma. • IL-5 targeted therapy may show much better efficacy in this endotype, compared in early-onset allergic asthma patients, as IL-5 dependent eosinophilia may be more important in this potential endotype. (decreasing exacerbations and systemic corticosteroid requirements) • IL-4 and IL-13 targeted therapy pathway.
  • 26.
    AERD is probablya subendotype or a similar endotype. It is an acquired condition on top of an intrinsic or less frequently allergic asthma and thus, despite its peculiar sensitivity to NSAIDs, still has major overlap with these conditions. Clinical characteristics : • AERD is frequently progressive severe asthma starts late in life and is associated with eosinophilia and sinus disease Polyposis. • Response to aspirin challenge Aspirin exacerbated airway disease (AERD)
  • 27.
    Genetics : • LT-relatedgenepolymorphisms. • Gene-expressionstudy identified upregulation of periostin a potent regulatorof fibrosisand collagen depositionhas also been identified in polyps of and in airwayepithelial cells of patients with AIA. Overexpressionof periostinhas been associatedwithacceleratedcell growthand angiogenesis(subtype). Biomarkers: high cysteinyl leukotriene level.
  • 28.
    Treatment responses : •Many patients require systemic corticosteroids to control their sinusitis and asthma. • Leukotriene modifiers especially 5-LO inhibitors can have a robust impact on the AERD subset. • Downregulation of periostin after treatment of asthmatic patients with corticosteroids suggests that normalization of periostin expression is a part of the therapeutic effects of corticosteroids. This opens a possibility of specifically targeting periostin in future therapies for nasal polyps and asthma
  • 29.
    Clinical characteristics: • Exerciseinduced asthma refers to asthma whose symptoms are experienced primarily after exercise. EIA is a milder form of TH2 asthma. • Consistent with a relationship to TH2 processes, EIA common in atopic athletes and high percentages of eosinophils and mast cells and their mediators . Exercise induced asthma
  • 30.
    Biomarkers: • Th2 cytokinesand cysteinyl leukotriene Genetics: • No distinct genetic factors . Treatment responses: • Leukotriene modifiers high LTE4/FENO ratio is Surrogate marker predicting better response. • IL-9 targeted therapy has been shown effective on patients of this group, which implies that Th2 immunity is involved in the pathophysiology of EIA.
  • 31.
    The lack ofefficacy of Th2 targeted therapy suggests that a subgroup of asthma develops in the absence of Th2 immunity. Little is understood about the non Th2 asthma and its related molecular elements. • Obesity-related asthma • Neutrophilic asthma • Smoking asthma Non Th2-associated asthma
  • 32.
    Whether obesity isa driving component in asthma development or a mere confounder or comorbidity of its presence remains controversial. It is likely that obesity differentially impacts asthma that develops early in life, as compared to later in life, being a more prominent independent contributor in later onset disease. So a distinct obesity-related asthma phenotype seems to occur only in non-TH2 asthma.  ,  ..
  • 33.
    Clinical characteristics : Patientsin this group are commonly women, obese, late onset (mid-40s), less allergic (obesity is neither a risk factor for atopy nor a risk factor for allergic asthma).with a high burden of symptoms.
  • 34.
    Biomarkers:  High expressionof non Th2 mediators such as tumor necrosis factor (TNF)-a, IL-6 .  Hormones of obesity, such as adiponectin, leptin, and resistin either alone or in association with increased oxidative stress.  Elevations in an endogenous inhibitor of iNOS, asymmetric dimethyl arginine (ADMA).  lower amounts of FeNO, fewer eosinophils.
  • 35.
    Treatment responses:  Patientsof this subgroup usually respond poorly to corticosteroids.  Bariatric surgery induced weight loss was associated with profound improvements in lung function and symptoms in obese asthma.  However, the effect of weight loss on bronchial hyper responsiveness was only shown in late-onset, nonallergic (non-Th2) asthma patient, consistent with late onset obese asthma being a separate endotype. This is further supported by the increase in ADMA in association with worsening severity and control in late onset obese asthma only.
  • 36.
    Clinicalcharacteristics and biomarkers: It remains controversial whether neutrophiliais an independentdriving component, a synergisticfactorwith eosinophiliaor just a consequenceof corticosteroidtherapy.  Still unclearwhetherthis representsa uniqueform of asthmaor just a differentstageof severityor persistentbacterial colonization or infection of the airways on the backgroundof a previously eosinophilic asthma.  Airway pathophysiologyin neutrophilic asthmais characterizedby (fixed) airflow limitation more trappingof air, thickerairway walls (as measured by CT) .
  • 37.
     Novel mechanismsimplicated in the pathogenesis of noneosinophilic asthma involve the activation of innate immune responses with a possible role of bacteria, viruses.  Neutrophilia can also co-exist with eosinophilia, and this identifies the people with the most severe asthma and emphasizes the complexity of the immunobiology of severe asthma in which multiple different innate and adaptive immune pathways and cells may have roles.  Impaired nuclear recruitment of histone deacetylase (HDAC).  The role of TH17 immunity
  • 38.
    Biomarkers:  IL-8, IL-17A,LTB4, and possibly IL-32.  IL-1 and TNF-α pathways are upregulated and associated with neutrophilic inflammation in a sputum gene-expression study.  low levels of FeNO.
  • 39.
    Treatment responses:  Corticosteroidsare less effective in patients of this subgroup.  Macrolide antibiotics may have some efficacy on neutrophilic asthma, By modulating the innate immune response in the lung, by reducing the expression of neutrophilic markers .  Restoration of HDAC 2 nuclear recruitment with theophylline.  Anti-TNF-α responsive( infliximab )  The efficacy of IL-17 targeted therapy in this subtype of asthma awaits evidence from ongoing clinical trials.
  • 40.
     Smoking hasa complex relationship with asthma. It is associated with deteriorating lung function and resistance to corticosteroids.  Smoking asthma has been associated with neutrophilia in lung tissue.  It is unknown if smoking asthma is a subtype of neutrophilic asthma or an independent endotype . Since not all smoking asthma is accompanied by neutrophilia, it is more likely that there is only a partial overlap between neutrophilic asthma and smoking asthma.
  • 41.
     Some reportshave suggested that smoking is associated with elevated total IgE and that active smoking may increase the risk of sensitization to workplace allergens.  However, little is understood regarding the role of genetics, biomarkers or pathobiology.  FeNO levels are decreased by smoking and could help to differentiate asthmatic subjects from non-asthmatic subjects. Treatment responses  Quitting smoking  Restoration of HDAC 2 nuclear recruitment with theophylline.
  • 42.
    The intensity ofthe colors represents the range of severity; the relative sizes of the subcircles suggest relative proportions of affected individuals
  • 43.
    • Increased probabilitythat symptoms are due to asthma if: – More than one type of symptom (wheeze, shortness of breath, cough, chest tightness) – Symptoms often worse at night or in the early morning – Symptoms vary over time and in intensity – Symptoms are triggered by viral infections, exercise, allergen exposure, changes in weather, laughter, irritants such as car exhaust fumes, smoke, or strong smells Diagnosis of asthma – symptoms GINA 2014
  • 44.
    • Decreased probabilitythat symptoms are due to asthma if: – Isolated cough with no other respiratory symptoms – Chronic production of sputum – Shortness of breath associated with dizziness, light- headedness or peripheral tingling – Chest pain – Exercise-induced dyspnea with noisy inspiration (stridor) Diagnosis of asthma – symptoms GINA 2014
  • 45.
    • Physical examinationin people with asthma – Often normal – The most frequent finding is wheezing on auscultation, especially on forced expiration • Wheezing is also found in other conditions, for example: – Respiratory infections – COPD – Upper airway dysfunction – Endobronchial obstruction – Inhaled foreign body • Wheezing may be absent during severe asthma exacerbations („silent chest‟) Diagnosis of asthma – physical examination GINA 2014
  • 46.
    Functional assessment Variability – PEFRchart at home (useful in diagnosis and monitoring, diurnal variation ≥ 20 % or improvement of 60L/min or ≥ 20 % after bronchodilator administration suggests asthma). Reversibility – Spirometry before and after B2 agonist (an increase in FEV1 of ≥ 12% and ≥ 200 ml after administration of bronchodilator indicates reversible airflow limitation consistent with asthma). Provocative Testing – Exercise – Cold dry air – Methacholine
  • 47.
    1. Peak flowmeasurement Clinical follow up of asthma
  • 48.
    2. FEV1 measurement Clinicalfollow up of asthma
  • 49.
    Patterns of Abnormality UpperAirwayObstruction low PEF relative to FEV1 Recorded Predicted SR %Pred FEV 1 2.17 2.27 -0.3 96 FVC 2.68 2.70 0.0 99 FEV 1 %FVC 81 76 0.7 106 PEF 2.95 5.99 -3.4 49 FEV 1 /PEF 12.3 Discordant PEF and FEV1 High PEF versus FEV1 = early interstitial lung disease (ILD) Low PEF versus FEV1 = upper airway obstruction Concordant PEF and FEV1 Both low in airflow obstruction, myopathy, late ILD
  • 50.
    Upper Airway Obstruction 01 2 3 4 5 6 -6 -4 -2 0 2 4 6 Age 40 yrs FVC 3.52 L 0.84 SR FEV1 3.0 L 0.74 SR PEF 4.57 L/s -2.18 SR FEV/PEF = 10.9 Inspiratory Expiratory FlowinL/s Volume in Litres FEV1 in mls PEF in L/min > 8
  • 51.
    • Confirm presenceof airflow limitation – Document that FEV1/FVC is reduced (at least once, when FEV1 is low) – FEV1/ FVC ratio is normally >0.75 – 0.80 in healthy adults, and >0.90 in children Diagnosis of asthma – variable airflow limitation GINA 2014, Box 1-2
  • 52.
    • Confirm variationin lung function is greater than in healthy individuals – The greater the variation, or the more times variation is seen, the greater probability that the diagnosis is asthma – Excessive bronchodilator reversibility (adults: increase in FEV1 >12% and >200mL; children: increase >12% predicted) – Excessive diurnal variability from 1-2 weeks‟ twice-daily PEF monitoring (daily amplitude x 100/daily mean, averaged) – Significant increase in FEV1 or PEF after 4 weeks of controller treatment – If initial testing is negative: • Repeat when patient is symptomatic, or after withholding bronchodilators • Refer for additional tests (especially children ≤5 years, or the elderly) Diagnosis of asthma – variable airflow limitation GINA 2014, Box 1-2
  • 53.
    Asthma Pathology Asthma isa chronic inflammatory disease associated with airway hyperresponsiveness (AHR), short-term consequences… Airway obstruction and symptoms by: Bronchoconstriction Mucus plugs Mucosal edema Inflammatory cell infiltration/activation Remodelling: Increased vascularity Epithelial cell disruption Increased airway smooth muscle mass (hyperplasia) Reticular basement membrane thickening …and long-term consequences Bousquet J et al. Am J Respir Crit Care Med 2000;161:1720–1745; Beckett PA et al. Thorax 2003;58:163–174
  • 55.
  • 56.
  • 59.
    Spirometry Pre- &Post- Bronchodilator
  • 60.
    MANAGEMENT OF ASTHMA– GENERAL PRINCIPLES • The long-term goals of asthma management are symptom control and risk reduction. • The aim is to reduce the burden to the patient and their risk of exacerbations, airway damage, and medication side-effects. • The patient’s own goals regarding their asthma and its treatment should also be identified. • Population-level recommendations about „preferred‟ asthma treatments represent the best treatment for most patients in a population. • Patient-level treatment decisions should take into account any individual characteristics or phenotype that predict the patient‟s likely response to treatment, together with the patient‟s preferences and practical issues such as inhaler technique, adherence, and cost. References 1. GINA Updates 2014
  • 61.
  • 62.
    Levels of AsthmaControl (Assess patient impairment) Characteristic Controlled (All of the following) Partly controlled (Any presentin any week) Uncontrolled Daytime symptoms Twice or less per week More than twice per week 3 or more features of partly controlled asthma present in any week Limitations of activities None Any Nocturnal symptoms / awakening None Any Need for rescue / “reliever” treatment Twice or less per week More than twice per week Lung function (PEF or FEV1) Normal < 80% predicted or personal best (if known) on any day The GlobalStrategy forAsthma Managementand Prevention,GlobalInitiative forAsthma (GINA)2014. Availablefrom:http://www.ginasthma.org
  • 63.
    controlled partly controlled uncontrolled exacerbation LEVEL OFCONTROL maintain and find lowest controlling step consider stepping up to gain control step up until controlled treat as exacerbation TREATMENT OF ACTION TREATMENT STEPS REDUCE INCREASE STEP 1 STEP 2 STEP 3 STEP 4 STEP 5 REDUCEINCREASE
  • 64.
    © Global Initiativefor Asthma Stepwise management - pharmacotherapy *For children 6-11 years, theophylline is not recommended, and preferred Step 3 is medium dose ICS **For patients prescribed BDP/formoterol or BUD/ formoterol maintenance and reliever therapy
  • 65.
    © Global Initiativefor Asthma Step 1 – as-needed inhaled short-acting beta2-agonist (SABA) *For children 6-11 years, theophylline is not recommended, and preferred Step 3 is medium dose ICS **For patients prescribed BDP/formoterol or BUD/formoterol maintenance and reliever therapy
  • 66.
    © Global Initiativefor Asthma Step 2 – low-dose controller + as-needed inhaled SABA *For children 6-11 years, theophylline is not recommended, and preferred Step 3 is medium dose ICS **For patients prescribed BDP/formoterol or BUD/formoterol maintenance and reliever therapy
  • 67.
    © Global Initiativefor Asthma Step 3 – one or two controllers + as-needed inhaled reliever *For children 6-11 years, theophylline is not recommended, and preferred Step 3 is medium dose ICS **For patients prescribed BDP/formoterol or BUD/formoterol maintenance and reliever therapy
  • 68.
    © Global Initiativefor Asthma Step 4 – two or more controllers + as-needed inhaled reliever *For children 6-11 years, theophylline is not recommended, and preferred Step 3 is medium dose ICS **For patients prescribed BDP/formoterol or BUD/formoterol maintenance and reliever therapy
  • 69.
    © Global Initiativefor Asthma Step 5 – higher level care and/or add-on treatment *For children 6-11 years, theophylline is not recommended, and preferred Step 3 is medium dose ICS **For patients prescribed BDP/formoterol or BUD/formoterol maintenance and reliever therapy
  • 70.
    GINA 2015 –changes to Steps 4 and 5 © Global Initiative for Asthma GINA 2015 *For children 6-11 years, theophylline is not recommended, and preferred Step 3 is medium dose ICS **For patients prescribed BDP/formoterol or BUD/formoterol maintenance and reliever therapy # Tiotropium by soft-mist inhaler is indicated as add-on treatment for patients with a history of exacerbations; it is not indicated in children <18 years. Other controller options RELIEVER STEP 1 STEP 2 STEP 3 STEP 4 STEP 5 Low dose ICS Consider low dose ICS Leukotriene receptor antagonists (LTRA) Low dose theophylline* Med/high dose ICS Low dose ICS+LTRA (or + theoph*) As-needed short-acting beta2-agonist (SABA) Low dose ICS/LABA* Med/high ICS/LABA Refer for add-on treatment e.g. anti-IgE PREFERRED CONTROLLER CHOICE Add tiotropium# High dose ICS + LTRA (or + theoph*) Add tiotropium# Add low dose OCS As-needed SABA or low dose ICS/formoterol**
  • 71.
    • How? – Asthmaseverity is assessed retrospectively from the level of treatment required to control symptoms and exacerbations • When? – Assess asthma severity after patient has been on controller treatment for several months – Severity is not static – it may change over months or years, or as different treatments become available • Categories of asthma severity – Mild asthma: well-controlled with Steps 1 or 2 (as-needed SABA or low dose ICS) – Moderate asthma: well-controlled with Step 3 (low-dose ICS/LABA) – Severe asthma: requires Step 4/5 (moderate or high dose ICS/LABA ± add-on), or remains uncontrolled despite this treatment Assessing asthma severity GINA 2014
  • 72.
    © Global Initiativefor Asthma GINA assessment of asthma control
  • 73.
    GINA 2015 Asthma Controlis still a problem • Many studies describe discordance between the patient‟s and health provider‟s assessment of the patient‟s level of asthma control. • This does not necessarily mean that patients „over-estimate‟ their level of control or „under-estimate ‟its severity, but that patients understand and use the word „control‟ differently from health professionals, e.g. based on how quickly their symptoms resolve when they take reliever medication. 1 GINA 2015
  • 74.
    Why Did GSKConductThe GOAL Study?? The AIRE Survey 1999: • First comprehensive, multinational survey assessing the level of Asthma Control among patients with asthma in Western Europe • Provided an understanding of how well the goals of the GINA asthma guidelines were being met in Europe. • 2803 patients interviewed by telephone from 7 European Countries:  France  Germany  Italy  Netherlands  Spain  Sweden  UK . AIRE= Asthma Insight and Reality in Europe
  • 75.
    Why Did GSKConductThe GOAL Study?? The AIRE Survey 1999: . 100 95 % Uncontrolled 5 % Controlled Only 5% of patients met all the criteria for asthma control as defined by GINA This data is raising a question: “Are the Expectations of GINA regarding Asthma Control realistic and achievable?”
  • 76.
    Study design “The GainingOptimal Asthma controL (GOAL) study was a 1-year, stratified, randomized, double-blind, parallel-group study comparing step-wise increases of salmeterol and fluticasone combined (SFC) with fluticasone propionate (FP) alone in achieving composite measures of well - total asthma control as defined by the guidelines.” • It included 3421 uncontrolled asthmatic patients. • International Study including 44 countries • Inclusion criteria: . Patients aged ≥12 years  with ≥6-month history of asthma,and who did not achieve2 well-controlled weeks during the 4- week run-in period.  Smoking packs <10/year  Reversibility of ≥15 % of FEV1  Use of LABA in the last 2 weeks prior to run-in  Acute asthma exacerbation requiringoralsteroids in the last 4 weeks or hospitalizationin the past12 weeks  Treatmentwith systemic steroids in the past 12 weeks priorto run-in  Resp.Infection in the last 4 weeks priorrun-in  > 3 days PEF < 50 % predicted during run-in •Exclusion criteria:
  • 77.
    Study Endpoints Primary endpoint: •To determine the proportion of patients who achieved guideline defined asthma control on Fluticasone Propionate/Salmeterol compared with Fluticasone propionate during phase I  in 7 out of the 8 weeks assessment period in the stepping up phase Secondary endpoint: • To determine if the concept of total control is achievable or not
  • 78.
    Study design Well ControlledPatients Patients with a well-controlled week were defined for having 2 or more of the following criteria:  Symptom score >1 on ≤2 days/week  (PEF) of ≥80% predicted every day  Rescue medication use on ≤2 days and ≤4 occasions/week. “They couldn't take more than 4 puffs of their medication during a week and over 2 days” Guideline Defined Asthma Control Patients with a well-controlled week were defined for having all of the following: No Night-time awakenings No Exacerbations No Emergencyroom visits  No Adverse events leading to a changein asthma treatment. Well controlled asthma was achieved if the patient recorded 7 totally controlled weeks during the 8 assessment weeks. Only 5% of patients met all the criteria for asthma control as defined by GINA “
  • 79.
    Asthma Symptom ControlLevel of Asthma Symptom Control In the past 4 weeks, has the patient had: Well Contolled Partly Contolled Uncontrolled Daytime asthma symptoms for more than twice/week? None of these 1-2 of these 3-4 of these Any activity limitation due to asthma? Reliever medication for symptoms needed more than twice/week? Any night waking due to asthma? GINA assessment of asthma control in adults, adolescents and children 6-11 years (GINA 2015) References 1. GINA Updates 2014
  • 80.
    Study design Totally ControlledPatients Patients with a totally controlled week were defined as having all of the following: (PEF) of ≥80% predicted each day  No Daytime symptoms  No Rescuemedication use  No Night-time awakenings  No Exacerbations  No Emergencyroom visits  No Adverse events leading to a changein asthma treatment. ‼ Totally controlled asthma was achieved if the patient recorded 7 totally controlled weeks during the 8 assessment weeks.
  • 81.
    GOAL: Significantlymore patientsachieve well-controlled asthma with SFC vs FP Patientswithwell-controlledasthma(%) SFC Phase II SFC Phase I FP Phase II FP Phase I 75** 62** 78* 47 60 70 20 80 60 40 0 ICS-naïve Stratum I Low-dose ICS Stratum II Moderate-doseICS Stratum III *p=0.003 vs FP; **p<0.001 vs FP; †p=0.039 vs FP. SFC=salmeterol and fluticasone combined; FP=fluticasone propionate; ICS=inhaled corticosteroid. 71† 65 69** 52 51** 33 Adapted fromBateman ED, et al. Am J Respir Crit Care Med 2004;170:836-44.
  • 82.
    Percentage of Patientswho still had Guideline-defined asthma control at the end of 52 weeks FP % FP/Salmeterol % Stratum II 75% 83% Stratum III 77% 77% Patients that retained Control at the end of Phase II
  • 83.
    Percentage of Patientswho achieved total control in phase I FP/Salmeterol % FP % Stratum I 42% P < 0.001 31% Stratum II 32% P < 0.001 20% Stratum III 19% P < 0.001 8%
  • 84.
    0 Patientswhowere well-controlledinphaseI(%) 20 80 40 60 500µg bd 250µg bd 100µgbd 100µg bd 250µg bd 500µg bd FP SFC GOAL: More patients receiving SFC vs FP are well- controlled, and at lower ICS doses Adapted from Bateman ED, et al. Am J Respir Crit Care Med 2004;170:836-44.Low-dose ICS patienttypes. Dose of FP indicated within figure. SFC=salmeterol and fluticasone combined; FP=fluticasone propionate;ICS=inhaled corticosteroid; bd=twice daily. Stratum II
  • 85.
    0 Patientswhowere well-controlledinphaseI(%) 20 80 40 60 500µg bd 250µg bd 250µgbd 500µg bd FP SFC GOAL: More patients receiving SFC vs FP are well- controlled, and at lower ICS doses Adapted from Bateman ED, et al. Am J Respir Crit Care Med 2004;170:836-44.Low-dose ICS patienttypes. Dose of FP indicated within figure. SFC=salmeterol and fluticasone combined; FP=fluticasone propionate;ICS=inhaled corticosteroid; bd=twice daily. Stratum III 30 50 250µg bd 250µg bd
  • 86.
    81.5 74.2 55.9 76.6 51.0 29.9 0 10 20 30 40 50 60 70 80 90 ICS-naïve Low-dose ICSModerate-dose ICS ** GOAL: Significantlymore symptom-free days with SFC vs FP * ** Woodcock AA, et al. Prim Care Resp J 2007;16:155-61. Mediansymptom-freedays(%) *p=0.025 vs FP; **p<0.001 vs FP. SFC=salmeterol and fluticasone combined; FP=fluticasone propionate; ICS=inhaled corticosteroid. FP SFC 271 Days 186 Days 204Days 109Days
  • 87.
    * * * 0.2 0.4 0.7 0 0.1 0.3 0.6 0.5 ICS-naïve Low-dose ICSModerate-dose ICS FP SFC 0.27 Meanexacerbationrate perpatientperyearGOAL: Significantlyfewer exacerbations with SFC vs FP *p≤0.009 vs FP. SFC=salmeterol and fluticasone combined; FP=fluticasone propionate; ICS=inhaled corticosteroid. Adapted from Bateman ED, et al. Am J Respir Crit Care Med 2004;170:836-44. 0.37 0.12 0.17
  • 88.
    GOAL: Significantlymore rescuemedication-free days with SFC vs FP 91.8 87.8 77.9 87.1 72.0 61.9 0 10 20 30 40 50 60 70 80 90 100 ICS-naïve Low-dose ICS Moderate-dose ICS * * * Medianrescuemedication-freedays(%) *p<0.001 vs FP. SFC=salmeterol and fluticasone combined;FP=fluticasone propionate; ICS=inhaled corticosteroid. Woodcock AA, et al. Prim Care Resp J 2007;16:155-61. FP SFC
  • 89.
    Asthma related QualityofLife Using the Asthma quality of Life questionnaire: • 32 Questions in 4 domains:  Activity limitations  Asthma Symptoms  Emotional functioning  Exposure to environmental stimuli • Overall score (mean of scores of 4 domains) • Each scored on 7 point scale (1= severe impairment; 7= no impairment)
  • 90.
    GOAL: AQLQ scoresreach near-maximal levels when patients are totallyor well controlled 5.4 6.1 6.6 0.0 1.0 2.0 3.0 4.0 5.0 6.0 7.0 Not well controlled Well controlled Totally controlled MeanAQLQscores n=90 n=101 n=110 p<0.001 p<0.001 AQLQ=Asthma Quality of Life Questionnaire. Bateman ED, et al. Eur Respir J 2007;29:56-63. Stratum II
  • 91.
    Treatment – astepwise approach Each patient should be assigned to one of five treatment steps as per the GINA guidelines: PREFERRED CONTROLLER CHOICE Step 1 Step 2 Step 3 Step 4 Step 5 LOW DOSE ICS LOW DOSE ICS/LABA MED/HIGH ICS/LABA REFER FOR EXPERT INVESTIGATION AND ADD-ON THERAPY e.g. ANTI-IgE OTHER CONTROLLER OPTIONS CONSIDER LOW DOSE ICS LTRA LOW DOSE THEOPHYLLINE MED/HIGH DOSE ICS LOW DOSE ICS+LTRA (or + theoph) HIGH DOSE ICS+LTRA (or + theoph) ADD LOW DOSE OCS RELIEVER AS NEEDED SABA AS NEEDED SABA or LOW DOSE ICS/FORMOTEROL References 1. GINA Updates 2014
  • 92.
    How is actuallythe SMART/MART approach  The asthma control outcomes in SMART-treated patients are poor; it has been reported that only 17.1% of SMART-treated patients are controlled.  In seven trials of 6–12 months duration, patients using SMART:  have used quick reliever daily (weighted average 0.92 inhalations/day),  have awakened with asthma symptoms once every 7–10 days (weighted average 11.5% of nights),  have suffered asthma symptoms more than half of days (weighted average 54.0% of days) and  have had a severe exacerbation rate of one in five patients per year (weighted average 0.22 severe exacerbations/patient/year). Kenneth R Chapma.. Single maintenance and reliever therapy (SMART) of asthma: a critical appraisal. Kenneth R Chapman. Thorax doi:10.1136/thx.2009.128504 Review
  • 93.
    Summary • Guideline-defined controlis achievable and sustainable in a significant proportion of patients • More patients achieve and maintain Guideline-defined control with FluticasonePropionate/Salmeterol than with ICS alone • With Fluticasone Propionate/Salmeterol, more patients can achieve Guideline-defined control:  Earlier  At a lower ICS dose  With more Symptom free days  With fewerexacerbations  With a better Quality of Life
  • 94.
    • For Step3/4: there are 2 preferred treatment options  low dose ICS/LABA- Low dose ICS/Formoterol • SMART/MART approach is not indicated for less than 18 years • Asthma control outcomes in SMART-treated patients are poor; it has been reported that only 17.1% of SMART-treated patients are controlled • Considering a medication as maintenance and reliever therapy confuses patients handle it as an “as needed= reliever” treatment Summary
  • 95.
    • Recent recentERS abstract suggests actual translation of SMART approach into clinical practice fails in a significant number of occasions. On the othe hand treating your patients with Seretide plus as needed SABA is extensively studied, reliable approach and is simple to follow • ProfessorJones:  “SMART/MART approach: no step up/step down approach to treat the patient according to his current condition, same treatment every day”  “There‟s evidence that SMART/MART approach delays the time for first exacerbation, however there‟s also lot of evidence stating that SMART/MART approach doesn‟t increase asthma control and as a consequence of that, it is unlikely to reduce exacerbations.”  “There‟s a lot of evidence that the step up approach achieves a very high level of control and the GOAL study at the end of 1 year nearly 70 % of patients achieved good control of their asthma versus only 17% on the SMART/ MART approach”  ERS on SMART: “1-2% of prescribers only wanted their patients to use SMART/MART approach. Interestingly, over half the patients were prescribes SABA as reliever + budesonide/formoterol combination which should have been used as a rescue therapy, not the SABA. This goes against the entire principal of the SMART/MART approach. Summary
  • 96.
    Case 1 A 45-year-oldman complains of nasal blockage and loss of smell and taste. He is an asthmatic who has been well controlled on ICS and LABA therapy. His past history is significant for chronic rhinosinusitis and one previous hospital admission for asthma with intubation and mechanical ventilation. He was told following that admission that he was allergic to Aspirin, which he had taken for a back pain. On physical examination his lungs are clear of wheeze.
  • 97.
    The findings onnasal examination are seen in this Figure
  • 98.
    A. Leukotriene receptorantagonist. B. A 3-week course of prednisone. C. Inhaled topical nasal corticosteroid. D. Allergen immunotherapy to relevant antigens. E. Aspirin desensitization program. The most appropriate treatment at this time is:
  • 99.
    A. Leukotriene receptorantagonist. B. A 3-week course of prednisone. C. Inhaled topical nasal corticosteroid. D. Allergen immunotherapy to relevant antigens. E. Aspirin desensitization program. The most appropriate treatment at this time is:
  • 100.
    The patient underdiscussion has asthma and nasal polyposis. The aim of therapy for nasal polyps is to restore nasal patency, and this may return lost taste and smell and restore sinus drainage. Topical corticosteroids have been the drugs of choice for many years as they have been shown to reduce the size of small polyps and prevent or delay the recurrence of nasal polyps after surgery. Oral corticosteroids are also very effective for nasal polyps and in severe cases are preferred for 3 weeks followed by prolonged topical therapy. Oral and not topical corticosteroids are usually effective for anosmia and therefore are preferred in this patient, making option B correct and C incorrect. When corticosteroids are not effective, surgery is unavoidable.
  • 101.
    Having both asthmaand nasal polyposis places a patient up to a 40% risk of having or developing aspirin sensitivity, otherwise known as aspirin intolerant asthma (AIA). Nasal polyps are smooth gelatinous semitranslucent structures that seem to be outgrowths of the nasal mucosa. Most polyps arise from the ethmoid sinus and histologically are a mass of edema fluid with an abundance of eosinophils and other inflammatory cells such as mast cells, lymphocytes, and neutrophils. Nasal polyposis is an non- IgE mediated inflammatory condition and is often associated with nonallergic rhinitis, aspirin sensitivity, and nonallergic asthma. Atopy is no more prevalent in patients with nasal polyps than in the general population; therefore, option D would not be an appropriate step in this patient.
  • 102.
    Most patients withAIA have a long history of perennial rhinitis, which begins in the third decade, often after a viral illness. Over months to years nasal polyps develop followed by the appearance of moderately severe to severe asthma and aspirin sensitivity. After ingestion of aspirin or a nonsteroidal antiinflammatory drug (NSAID), an acute asthma exacerbation occurs, often accompanied by rhinorrhea, periorbital edema, conjunctival congestion, and occasionally flushing of the face.
  • 103.
    Evidence suggests thatby inhibiting the cyclooxygenase (COX) pathway, aspirin and NSAIDS divert arachadonic metabolism to the lipoxygenase pathway which is involved in the pathogenesis of this syndrome. Leukotriene pathway modifiers such as the receptor antagonists have shown to be effective Leukotriene pathway pathway which is involved in the pathogenesis of this syndrome. Leukotriene pathway modifiers such as the receptor antagonists have shown to be effective for asthma but not nasal polyps; therefore, option A is not correct
  • 104.
    Aspirin desensitization isdone by giving small increasing oral doses of aspirin over 2 to 3 days and then a daily dose after a refractory period is reached. The asthma is improved and the nasal inflammatory disease responds the best. This procedure is ideal in those patients who have just had surgical polypectomy, as it has been shown to delay the recurrence of polyps for an average of 6 years. It would not improve nasal patentcy in this patient; therefore, option E is not correct. The addition of nedocromil sodium is incorrect because there is no need to “step up” her asthma therapy at this time.
  • 105.
    oMr Samir alifelong heavy smoker and asthmatic, the seventy year old Mr Samir is wheezing most days and always is short of breath. He is on regular combivent, beclomethasone 200mcg bd and intermittant salbutamol. Case 2
  • 106.
    oThe most likelydiagnosis is Uncontrolled Asthma. but The COPD element should not be neglected in this patient with a high smoking index (old age and heavy smoker). It definitely has a share in his symptoms and airflow limitation. What is the likely diagnosis?
  • 108.
    A 46 yearold man comes to your clinic for management of his asthma. He takes high-dose inhaled corticosteroids and a long-acting beta agonist, along with a leukotriene inhibitor. His adherence and technique are perfect. He still has symptoms of cough, wheezing, and chest tightness that bother him most days and nights each week. He is using albuterol daily. The symptoms persist when he goes on vacation out of state. Sputum culture is negative. IgE level is 3,600 ng/mL. His primary doctor obtained imaging and a chest CT, which are shown. Case 3
  • 110.
    What should bethe next step? A. Schedule spirometry for next week to guide step-up therapy. B. Start omalizumab injections every 2 weeks. C. Sweat chloride testing. D. Skin testing for reactivity to Aspergillus fumigatus. E. HIV test.
  • 111.
    What should bethe next step? A. Schedule spirometry for next week to guide step-up therapy. B. Start omalizumab injections every 2 weeks. C. Sweat chloride testing. D. Skin testing for reactivity to Aspergillus fumigatus. E. HIV test.
  • 112.
    Allergic bronchopulmonary aspergillosis(ABPA) is an ongoing hypersensitivity reaction in response to bronchial colonization by Aspergillus, and is a common cause of poorly controlled asthma. Cystic fibrosis patients are also often affected. Bronchial obstruction by mucus and chronic inflammation can lead to bronchiectasis and lung fibrosis with irreversible loss of lung function. Clinical features: Cough productive of sputum, frequent "bronchitis"; often with dyspnea and wheezing.
  • 113.
    Diagnosis: By constellation ofsymptoms and objective findings. "Classic" ABPA would include the following: Asthma history Immediate reactivity on skin prick with Aspergillus antigens Precipitating serum antibodies to A. fumigatus Serum total IgE concentration >1,000 ng/mL Peripheral blood eosinophilia >500/mm3 Lung opacities on chest x-ray or chest HRCT Central bronchiectasis present on chest CT Elevated specific serum IgE and IgG to A. fumigatus
  • 114.
    A skin testis the best first test, as it is considered 100% sensitive (i.e., a negative test rules out the condition). A serum IgE < 1,000 or negative precipitating antibodies also rule out ABPA with high confidence.
  • 115.
    Case 4 Your internalmedicine colleague asks you about a patient she is about to discharge home after a hospitalization for asthma exacerbation. The patient, takes a beta-blocker for coronary artery disease and hypertension. Your colleague is considering stopping the beta-blocker to avoid any contribution to future asthma exacerbations, but wants your opinion first.
  • 116.
    What do yourecommend? A. Stop the beta blocker. B. Continue the beta blocker. C. Stop the beta blocker; order a stress test. D. Continue the beta blocker; order an echocardiogram.
  • 117.
    Case 5 o Yusufis 4 years old. He has had a persistant cough for weeks that wakes him at night. “Every cold goes to his chest” This is the fifth consultation for cough in the last year. Only once has a wheeze been documented. His father is known asthmatic. 1- What is the likely diagnosis? 2- What treatment would you give?
  • 118.
    Self-fulfilling: Infant Wheezing Phenotypes •Never (51%) • Transient (20%) – Wheeze 0-3, not at age 6 • Persistent (14%) – Wheeze 0-3 still present age 6 • Late onset (15%) – Wheeze after age 3
  • 119.
    Diagnosing Asthma inYoung Children – Asthma Predictive Index • > 4 episodes/yr of wheezing lasting more than 1 day affecting sleep in a child with one MAJOR or two MINOR criteria • Major criteria – Parent with asthma – Physician diagnosed atopic dermatitis • Minor criteria – Physician diagnosed allergic rhinitis – Eosinophilia (>4%) – Wheezing apart from colds 1Adapted from Castro-Rodriquez JA, et al. AJRCCM 2000; 162: 1403
  • 120.
  • 121.
    Cough-variant asthma Cough-variant asthmapresents as dry cough at night. It worsens with exercise (EIA) and nonspecific triggers (cold air). Cough-variant asthma responds to asthma therapy with ICS. Cough-variant asthma is diagnosed with pulmonary function testing (PFTs) with response to bronchodilator. The most common cause of chronic cough in children is cough-variant asthma.
  • 122.
    1- What isthe likely diagnosis? The likely diagnosis is Bronchial Asthma (childhood asthma): - Family history. - Symtoms(cough mainly at night, every cold goes to the chest). - Signs: chest wheeze.
  • 123.
  • 124.
    Severe asthma -differential diagnosis and management
  • 125.
    Case 7 oA 30-year-oldG2P1 pregnant woman at 15 weeks gestation presents to an outpatient clinic with worsening dyspnea over the preceding two weeks. Her past medical history is significant for asthma diagnosed in childhood, seasonal allergies, and gastroesophageal reflux disease (GERD) during her previous pregnancy. She notes that her asthma symptoms had been well-controlled on inhaled Budesonide/formoterol (160mcg/4.5mcg), Salbutamol MDI as needed, and a nasal steroid spray prior to pregnancy. However, she discontinued all of her medications when she learned that she was pregnant for fear that they might harm her baby.
  • 126.
    oAt today’s visitshe feels that she is unable to take a deep breath. She also describes one to two episodes of wheezing daily and night time cough two to three times per week. Warm air, dust, and exposure to cats seem to exacerbate her symptoms. oOn physical exam, the patient is in no acute distress. The lungs are clear to auscultation bilaterally. 1- Is the patient controlled? 2- Is asthma medications safe in pregnancy? 3- Treatment needed?
  • 127.
    1- Is thepatient controlled? NO……  Breathlessness.  Frequent nocturnal symptoms (cough and wheezes).
  • 128.
    2- Is asthmamedicationssafe in pregnancy? Yes, There is little evidence suggesting that medications used to treat asthma may harm the fetus. AND also Pregnant patients with asthma should be advised that the greater risk for their babies lies in poorly controlled asthma and most modern asthma medications are safe. For this reason, using medications to obtain optimal asthma control is justified.
  • 129.
    3- Treatment needed? Asthmacontrol was already achieved on this treatment: o Inhaled Budesonide/formoterol (160mcg/4.5mcg). o Salbutamol MDI as needed. o Nasal steroid spray. o It may be repeated with reassurance about the safety of the medications and regular follow up to assess asthma control.
  • 134.
    140 Lessons learnt from studiesof asthma deaths Management of acute asthma. Thorax 2012 B Health care professionals must be aware that patients with severe asthma and one or more adverse psychosocial factors are at risk of death  Keep patients who have had near fatal asthma or brittle asthma under specialist supervision indefinitely  Respiratory specialist should follow up patients admitted with severe asthma for at least a year after admission Many deaths from asthma are preventable – 88-92% of attacks requiring hospitalisation develop over 6 hours Factors include: • inadequate objective monitoring • failure to refer earlier for specialist advice • inadequate treatment with steroids
  • 135.
    141 Levels of severityof acute asthma exacerbations Management of acute asthma. Thorax 2012 Near fatal asthma Raised PaCO2 and/or requiring mechanical ventilation with raised inflation pressures
  • 136.
    142 Levels of severityof acute asthma exacerbations Management of acute asthma. Thorax 2012 Near fatal asthma Raised PaCO2 and/or requiring mechanical ventilation with raised inflation pressures Life threatening asthma Any one of the following in a patient with severe asthma: • Altered conscious level • Exhaustion • Arrythmias • Hypotension • Cyanosis • Silent chest • Poor respiratory effort • PEF <33% best or predicted • SpO2 <92% • PaO2 <8 kPa • “normal” PaCO2 (4.6–6.0 kPa)
  • 137.
    143 Levels of severityof acute asthma exacerbations Management of acute asthma. Thorax 2012 Near fatal asthma Raised PaCO2 and/or requiring mechanical ventilation with raised inflation pressures Life threatening asthma Any one of the following in a patient with severe asthma: •PEF <33% best or predicted •SpO2 <92% •PaO2 <8 kPa •normal PaCO2 (4.6-6.0 kPa) •silent chest •cyanosis •feeble respiratory effort •bradycardia •dysrhythmia •hypotension •exhaustion •confusion •coma Acute severe asthma Any one of: • PEF 33-50% best or predicted • respiratory rate 25/min • heart rate 110/min • inability to complete sentences in one breath
  • 138.
    144 Levels of severityof acute asthma exacerbations Management of acute asthma. Thorax 2012 Near fatal asthma Raised PaCO2 and/or requiring mechanical ventilation with raised inflation pressures Life threatening asthma Any one of the following in a patient with severe asthma: •PEF <33% best or predicted •SpO2 <92% •PaO2 <8 kPa •normal PaCO2 (4.6-60 kPa) •silent chest •cyanosis •feeble respiratory effort •bradycardia •dysrhythmia •hypotension •exhaustion •confusion •coma Acute severe asthma Any one of: •PEF 33-50% best or predicted •respiratory rate 25/min •heart rate 110/min •inability to complete sentences in one breath Moderate asthma exacerbation • Increasing symptoms • PEF >50-75% best or predicted • No features of acute severe asthma
  • 139.
    145 Levels of severityof acute asthma exacerbations Management of acute asthma. Thorax 2012 Near fatal asthma Raised PaCO2 and/or requiring mechanical ventilation with raised inflation pressures Life threatening asthma Any one of the following in a patient with severe asthma: •PEF <33% best or predicted •SpO2 <92% •PaO2 <8 kPa •normal PaCO2 (4.6-6.0 kPa) •silent chest •cyanosis •feeble respiratory effort •bradycardia •dysrhythmia •hypotension •exhaustion •confusion •coma Acute severe asthma Any one of: •PEF 33-50% best or predicted •respiratory rate 25/min •heart rate 110/min •inability to complete sentences in one breath Moderate asthma exacerbation •Increasing symptoms •PEF >50-75% best or predicted •No features of acute severe asthma Brittle asthma • Type 1: wide PEF variability (>40% diurnal variation for >50% of the time over a period >150 days) despite intense therapy • Type 2: sudden severe attacks on a background of apparently well-controlled asthma
  • 140.
    146 Initial assessment –the role of symptoms, signs and measurements Management of acute asthma. Thorax 2012 Clinical features Clinical features can identify some patients with severe asthma, eg severe breathlessness (including too breathless to complete sentences in one breath), tachypnea, tachycardia, silent chest, cyanosis, accessory muscle use, altered consciousness or collapse. None of these singly or together is specific. Their absence does not exclude a severe attack.
  • 141.
    147 Initial assessment –the role of symptoms, signs and measurements Management of acute asthma. Thorax 2012 Clinical features Clinical features, symptoms and respiratory and cardiovascular signs helpful in recognising severe asthma, but none specific, and their absence does not exclude a severe attack PEF or FEV1 Measurements of airway caliber improve recognition of the degree of severity, the appropriateness or intensity of therapy, and decisions about management in hospital or at home. PEF or FEV1 are useful and valid measures of airway caliber. PEF is more convenient in the acute situation. PEF expressed as a percentage of the patient’s previous best value is most useful clinically. PEF as a percentage of predicted gives a rough guide in the absence of a known previous best value. Different peak flow meters give different readings. Where possible the same or similar type of peak flow meter should be used.
  • 142.
    148 Initial assessment –the role of symptoms, signs and measurements Management of acute asthma. Thorax 2012 Clinical features Clinical features, symptoms and respiratory and cardiovascular signs helpful in recognising severe asthma, but none specific, and their absence does not exclude a severe attack PEF or FEV1 Measurements of airway calibre improve recognition of severity and guide hospital or at home management decisions. PEF is more convenient and cheaper than FEV1. PEF as % previous best value or % predicted most useful Pulse oximetry Measure oxygen saturation (SpO2) with a pulse oximeter to determine the adequacy of oxygen therapy and the need for arterial blood gas (ABG) measurement. The aim of oxygen therapy is to maintain SpO2 94-98%.
  • 143.
    149 Initial assessment –the role of symptoms, signs and measurements Management of acute asthma. Thorax 2012 Clinical features Clinical features, symptoms and respiratory and cardiovascular signs helpful in recognising severe asthma, but none specific, and their absence does not exclude a severe attack PEF or FEV1 Measurements of airway calibre improve recognition of severity and guide hospital or at home management decisions. PEF is more convenient and cheaper than FEV1. PEF as % previous best value or % predicted most useful Pulse oximetry Necessary to determine adequacy of oxygen therapy and need for arterial blood gas measurement. Aim of oxygen therapy is to maintain SpO2 92% Blood gases (ABG) Measure oxygen saturation (SpO2) with a pulse oximeter to determine the adequacy of oxygen therapy and the need for arterial blood gas (ABG) measurement. The aim of oxygen therapy is to maintain SpO2 94-98%.
  • 144.
    150 Initial assessment –the role of symptoms, signs and measurements Management of acute asthma. Thorax 2012 Clinical features Clinical features, symptoms and respiratory and cardiovascular signs helpful in recognising severe asthma, but none specific, and their absence does not exclude a severe attack PEF or FEV1 Measurements of airway calibre improve recognition of severity and guide hospital or at home management decisions. PEF is more convenient and cheaper than FEV1. PEF as % previous best value or % predicted most useful Pulse oximetry Necessary to determine adequacy of oxygen therapy and need for arterial blood gas measurement. Aim of oxygen therapy is to maintain SpO2 92% Blood gases (ABG) Necessary for patients with SpO2 <92% or other features of life threatening asthma Chest X-ray Not routinely recommended in patients in the absence of: • suspected pneumomediastinum or pneumothorax • suspected consolidation • life threatening asthma • failure to respond to treatment satisfactorily • requirement for ventilation
  • 145.
    151 Initial assessment –the role of symptoms, signs and measurements Management of acute asthma. Thorax 2012 Clinical features Clinical features, symptoms and respiratory and cardiovascular signs helpful in recognising severe asthma, but none specific, and their absence does not exclude a severe attack PEF or FEV1 Measurements of airway calibre improve recognition of severity and guide hospital or at home management decisions. PEF is more convenient and cheaper than FEV1. PEF as % previous best value or % predicted most useful Pulse oximetry Necessary to determine adequacy of oxygen therapy and need for arterial blood gas measurement. Aim of oxygen therapy is to maintain SpO2 92% Blood gases (ABG) Necessary for patients with SpO2 <92% or other features of life threatening asthma Chest X-ray Not routinely recommended in patients in the absence of: •suspected pneumomediastinum or pneumothorax •suspected consolidation •life threatening asthma •failure to respond to treatment satisfactorily •requirement for ventilation Systolic paradox Abandoned as an indicator of the severity of an attack