Embed presentation
Downloaded 27 times















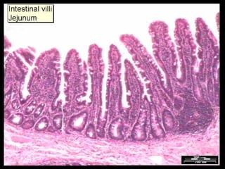
The small intestine is divided into three regions: the duodenum, jejunum, and ileum. The duodenum secretes bile from the liver, pancreatic juice from the pancreas, and bicarbonate to balance pH. These secretions help to further break down proteins and lipids. Bile emulsifies lipids to aid absorption. Pancreatic juice contains enzymes that metabolize remaining biomolecules. The presence of lipids and proteins triggers the release of cholecystokinin, stimulating the release of bile and pancreatic juice into the small intestine for digestion. Absorption of nutrients occurs in the jejunum and ileum through microvilli in the smooth muscle wall.














