Embed presentation
Downloaded 687 times

















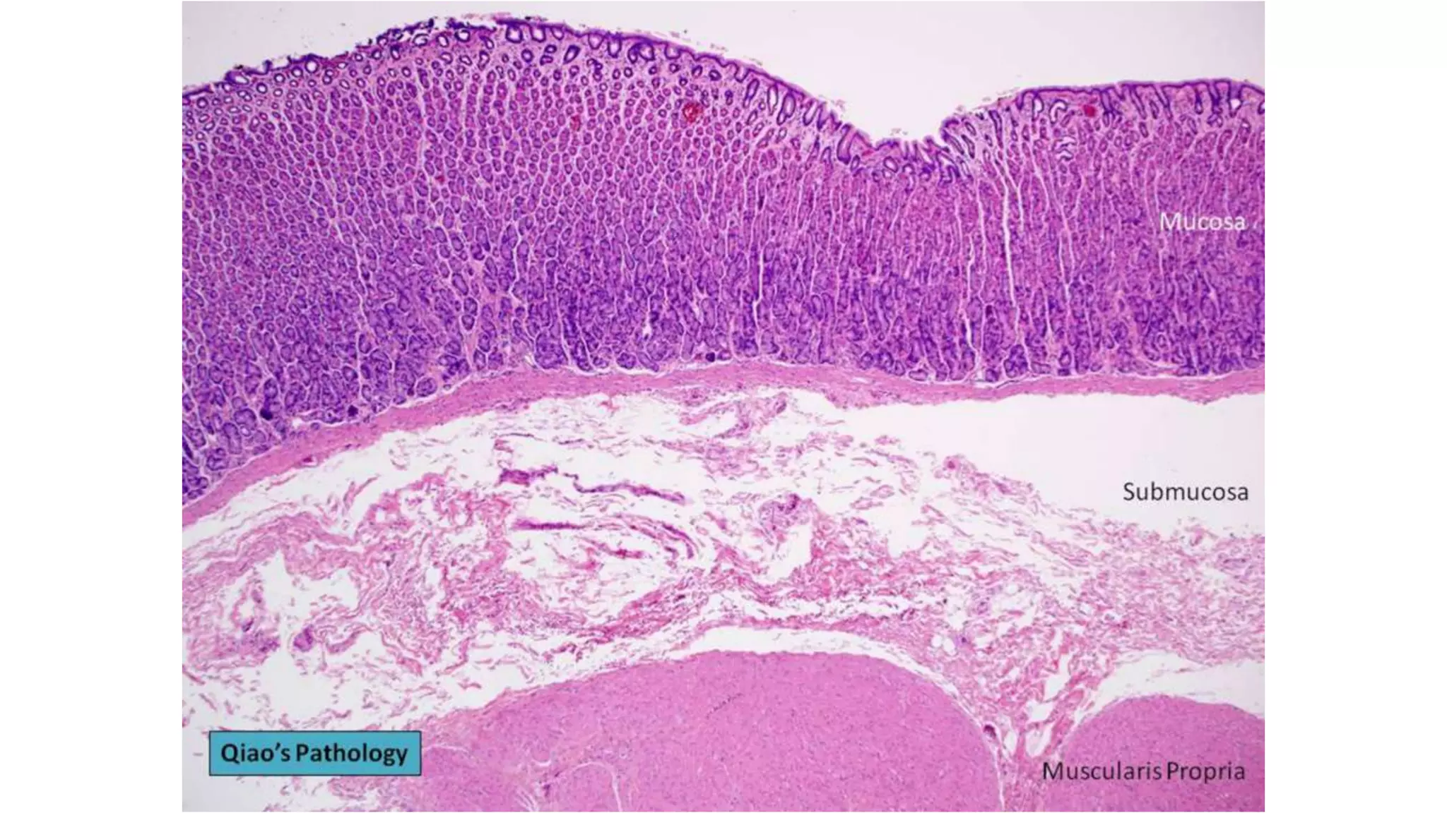
The stomach is a J-shaped muscular organ that occupies the upper left and mid abdominal regions. It has two openings, the cardiac and pyloric ends, as well as two curvatures and surfaces. Internally, it contains mucous, parietal, and chief cells that secrete enzymes and acids to break down food. The stomach receives blood supply from the celiac trunk and hepatic and splenic arteries, and drains into the portal vein system. It is innervated by both the sympathetic and parasympathetic nervous systems.
















