Developed by
Dr. Abdulrazzak Othman Alagbare
MD.Bhc.MSc –Hematolgy Lecturer
Acute leukemia's
Acute Myeloblastic Leukemia
Lesson 2
Acute Leukemias
Characteristics
1. malignant transformation of a hematopoietic stem cell
2.rapid progressive
3.fetal without treatment
4.replacement of normal bone marrow by blast cells
5. Blast cells consist 90% of B.M and P. blood
6.Occurs in all ages
7. Clinical onset is sudden
8.Anemia and thrombocytopenia are mild to severe
9.WBC is variable (high, normal or low)
10.Organomegaly is mild
LABORATORY DIAGNOSIS of acute leukemias panel
1-Complete blood picture
-Anaemia
-White cell count
-Platelet count
2-Bone marrow examination -
Cellularity
-% of blasts
3-Cytochemical stains
e.g Myeloperoxidase, Sudan black B
4-Immunophenotyping
A panel of monoclonal antibodies
(CDs) are used to detect : myeloid
markers and lymphoid
markers (for B & T cells).
5-Genetic Analysis (karyotyping,
FISH and PCR)
Chromosomal analysis is important for the
diagnosis , classification and follow up of
haematologic malignancies.
Types of acute leukemia
1. Acute myelogenous leukemia (AML).
2. acute lymphoblastic leukemia (ALL)
3. Acute Myelomonocytic leukemia(AMML)
Site of leukemic cells accumulation
They can infiltrate any organ or site
1-Bone marrow--- replace normal hematopoietic cells
2-Liver and spleen, lymph nodes
3-CNS, Kidneys and gonads
What occurs in these sites?
1-CNS function disorder
2-Bone marrow :
a) impaired normal cells production (RBC, WBC, PLTs)
b) Production of immature (blast) cells
Acute Myeloblastic Leukemia
AML is a malignant, clonal disease that involves proliferation of
blasts.
AML is:
1. It is a blood cancer
2. Failure to produce normal cells (Neutrophil etc)
3. Highly heterogeneous
4. Mostly in adult
5. Belong to myeloid group cancer mainly Neutrophils
6. There is no enough Neutrophils for bacteria killing
Bone
marrow
peripheral
Blood
Involved in
FAB classification
FAB CLASSIFICATION
Morphologic classification of AML is based on
1. Cellular differentiation ( What type of cell?) (granulocyte, monocyte ,
erythroid, or megakaryocytic)
2. Extent of maturation (Myeloblast, promyelocyte, granulocyte)
1. M0 Minimally differentiated
2. M1 Myeloblastic
3. M2 Myeloblastic with differentiation.
4.M3 Promyelocytic
5. M4 Myelomonocytic
6.M5 Monoblastic
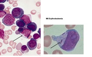
7. M6 Erythroleukemia
8.M7 Megakaryocytic
AML- immunocytology
FAB Immunological markers
M0 HLA-DR, CD33, MPO
M1 HLA-DR, CD13, CD33, MPO
M2 HLA-DR, CD13, CD33, CD15, CD34, MPO
M3 HLA-DR, CD33, CD15, MPO
M4 HLA-DR, CD13, CD14, CD15, CD33
M5 CD13, CD33, CD14, CD15, CD34
M6 CD13, CD33, glicophorin A
M7 CD41, CD61
Pathophysiology
Uncontrolled growth of blasts in marrow leads to
1. Stop normal cells production .
2. Appearance of blasts in peripheral blood.
3. Accumulation of blasts in other sites (CNS, Kidney , Liver, spleen).
4.Function disorders of many organs.
Metabolic effects of AML
1. Increase in uric acid ––>uric acid nephropathy
2. Release of phosphates ––> decrease in Ca2+and Mg2+
Patient`s Symptoms (Clinical Features of AML)
1.Anemia (weakness, fatigue, dyspnea on exertion)
2.Bleeding (mucosal bleeding, purpura)
3.Infection (neutropenia ––> infections
AML in brief
Cells defect: granular cells (Neutrrophils,Eosino.
Basophil, Monocyte)
Origin: Bone marrow
Age of patient: adult
Acute leukemia cause morbidity and
mortality through :-
1. Deficiency in blood cell
number and function
2. Invasion of vital organs
3. Systemic disturbances by
metabolic imbalance
1-CBC Result
1-anemia (low Hb, PCV, RBC
2-Thrombocytopenia
3--WBC
Blood smear study
•RBC: Normocytic anemia
•PLTs:Low count - <10x109/l
•WBC:
•myeloblast 90%
•neutropenia
•Normal other cells 10%
•presence of Auer rods
presence of abnormal white
blood cells
<1.0x109/l to >200x109/l,
1. Normal count
2. Lower count
3. Higher count +
50% of patient has >100.000/cum
AML_Laboratory findings
Flowcytometry or immunophenotypinag AML
diagnosis
identify antigens present on the blast cells
Positive for
CD 13
CD 33
====
HLA-DR
CD34
Indication of AML
Indication of stem cells
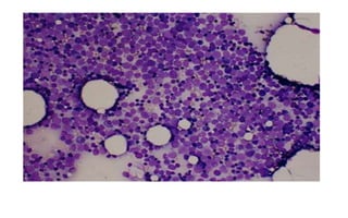
2-Bone marrow aspirate-and biopsy
 myeloblast is the predominant cell
Decrease in normal
1. erythropoiesis,
2. myelopoiesis,
3. megakaryocytes
3-cytochemistery staining
1-Sudan black stain (SBB): Positive
2-Myeloperoxidase stain: (MPO): Positive
3- Specific Esterase (ES): Positive
Positive: MPO
Positive: ES
Myeloperoxidase-(MPO)
Positive result- Brown black deposits
Chloracetate (Specific) Esterase -Myeloid Cell Line
Positive result:Red deposit
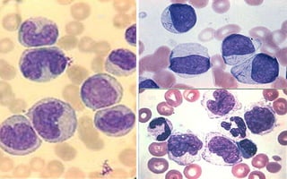
M3
M5
M4
M6 Erythroleukemia
END OF THE LESSON

Acute leukemia -AML-ALL.ppt

  • 1.
    Developed by Dr. AbdulrazzakOthman Alagbare MD.Bhc.MSc –Hematolgy Lecturer
  • 2.
  • 3.
    Acute Leukemias Characteristics 1. malignanttransformation of a hematopoietic stem cell 2.rapid progressive 3.fetal without treatment 4.replacement of normal bone marrow by blast cells 5. Blast cells consist 90% of B.M and P. blood 6.Occurs in all ages 7. Clinical onset is sudden 8.Anemia and thrombocytopenia are mild to severe 9.WBC is variable (high, normal or low) 10.Organomegaly is mild
  • 4.
    LABORATORY DIAGNOSIS ofacute leukemias panel 1-Complete blood picture -Anaemia -White cell count -Platelet count 2-Bone marrow examination - Cellularity -% of blasts 3-Cytochemical stains e.g Myeloperoxidase, Sudan black B 4-Immunophenotyping A panel of monoclonal antibodies (CDs) are used to detect : myeloid markers and lymphoid markers (for B & T cells). 5-Genetic Analysis (karyotyping, FISH and PCR) Chromosomal analysis is important for the diagnosis , classification and follow up of haematologic malignancies.
  • 5.
    Types of acuteleukemia 1. Acute myelogenous leukemia (AML). 2. acute lymphoblastic leukemia (ALL) 3. Acute Myelomonocytic leukemia(AMML) Site of leukemic cells accumulation They can infiltrate any organ or site 1-Bone marrow--- replace normal hematopoietic cells 2-Liver and spleen, lymph nodes 3-CNS, Kidneys and gonads What occurs in these sites? 1-CNS function disorder 2-Bone marrow : a) impaired normal cells production (RBC, WBC, PLTs) b) Production of immature (blast) cells
  • 6.
    Acute Myeloblastic Leukemia AMLis a malignant, clonal disease that involves proliferation of blasts. AML is: 1. It is a blood cancer 2. Failure to produce normal cells (Neutrophil etc) 3. Highly heterogeneous 4. Mostly in adult 5. Belong to myeloid group cancer mainly Neutrophils 6. There is no enough Neutrophils for bacteria killing Bone marrow peripheral Blood Involved in
  • 7.
    FAB classification FAB CLASSIFICATION Morphologicclassification of AML is based on 1. Cellular differentiation ( What type of cell?) (granulocyte, monocyte , erythroid, or megakaryocytic) 2. Extent of maturation (Myeloblast, promyelocyte, granulocyte) 1. M0 Minimally differentiated 2. M1 Myeloblastic 3. M2 Myeloblastic with differentiation. 4.M3 Promyelocytic 5. M4 Myelomonocytic 6.M5 Monoblastic 7. M6 Erythroleukemia 8.M7 Megakaryocytic
  • 8.
    AML- immunocytology FAB Immunologicalmarkers M0 HLA-DR, CD33, MPO M1 HLA-DR, CD13, CD33, MPO M2 HLA-DR, CD13, CD33, CD15, CD34, MPO M3 HLA-DR, CD33, CD15, MPO M4 HLA-DR, CD13, CD14, CD15, CD33 M5 CD13, CD33, CD14, CD15, CD34 M6 CD13, CD33, glicophorin A M7 CD41, CD61
  • 9.
    Pathophysiology Uncontrolled growth ofblasts in marrow leads to 1. Stop normal cells production . 2. Appearance of blasts in peripheral blood. 3. Accumulation of blasts in other sites (CNS, Kidney , Liver, spleen). 4.Function disorders of many organs. Metabolic effects of AML 1. Increase in uric acid ––>uric acid nephropathy 2. Release of phosphates ––> decrease in Ca2+and Mg2+
  • 10.
    Patient`s Symptoms (ClinicalFeatures of AML) 1.Anemia (weakness, fatigue, dyspnea on exertion) 2.Bleeding (mucosal bleeding, purpura) 3.Infection (neutropenia ––> infections AML in brief Cells defect: granular cells (Neutrrophils,Eosino. Basophil, Monocyte) Origin: Bone marrow Age of patient: adult
  • 11.
    Acute leukemia causemorbidity and mortality through :- 1. Deficiency in blood cell number and function 2. Invasion of vital organs 3. Systemic disturbances by metabolic imbalance
  • 12.
    1-CBC Result 1-anemia (lowHb, PCV, RBC 2-Thrombocytopenia 3--WBC Blood smear study •RBC: Normocytic anemia •PLTs:Low count - <10x109/l •WBC: •myeloblast 90% •neutropenia •Normal other cells 10% •presence of Auer rods presence of abnormal white blood cells <1.0x109/l to >200x109/l, 1. Normal count 2. Lower count 3. Higher count + 50% of patient has >100.000/cum AML_Laboratory findings
  • 13.
    Flowcytometry or immunophenotypinagAML diagnosis identify antigens present on the blast cells Positive for CD 13 CD 33 ==== HLA-DR CD34 Indication of AML Indication of stem cells
  • 14.
    2-Bone marrow aspirate-andbiopsy  myeloblast is the predominant cell Decrease in normal 1. erythropoiesis, 2. myelopoiesis, 3. megakaryocytes
  • 16.
    3-cytochemistery staining 1-Sudan blackstain (SBB): Positive 2-Myeloperoxidase stain: (MPO): Positive 3- Specific Esterase (ES): Positive Positive: MPO Positive: ES
  • 17.
  • 18.
    Chloracetate (Specific) Esterase-Myeloid Cell Line Positive result:Red deposit
  • 19.
  • 20.
  • 21.
    END OF THELESSON