1-Megaloblastic anemia
2-Pernicious anemia
3-Non Megaloblastic anemia
Dr. Abdulrazzaq Othman Alagbare
MD. Clinical Pathologist – lecturer of haemato-Oncology
You must Remember
1. Vitamin B12 is important for DNA synthesis and activities
2. The main sources are, animal kingdom, intestinal normal flora
(not absorbed) and drugs
3. It is resistant to cooking and boiling
4. For its absorption needs the Intrinsic factor (IF) and R-protein
5. Vitamin B12 in food binds to binding proteins (R binders) in saliva
that protect B12 in the acid milieu of the stomach.
6. When this B12 complex (B12-R binders) enters the small intestine,
pancreatic enzymes cleave it,
7. decreased intrinsic factor leads to decreased ileal absorption of
B12 and the vitamin B12 binds to the intrinsic factor.
You must Remember
1. Methylcobalamin (MeCbl) is the form of B12 in the plasma
2. Bounded to transcobalamin II ( the carrier protein for B12) which
carry vitamin B12 to liver, nerves and bone marrow
3. Vitamin B12 storage in the liver bounded to Transcobalamin I
4. It is stored in liver for many years
5. vitamin B12, deficiency usually takes many months to years to
appear
6. Vitamin B12 plasma concentration is normally 200 to 750 pg/mL
Types of Megaloblastic anemia
1-Nutritional Megaloblastic anemia
1. Vit. B12 deficiency
2. Folic acid deficiency
2-Pernicious anemia
3-Non megaloblastic anemia
Megaloblastic anaemias
❑These are a group of disorders in which the cause the
anemia is due to deficiency or defective
utilization of vitamin B12
1. vitamin B12
2. and folic acid
Mechanism
❑the erythroblasts in the bone marrow show a
characteristic abnormality-maturation of the
nucleus being delayed relative to that of the
cytoplasm
1. Megaloblastic states result from defective DNA
synthesis.
2. RNA synthesis continues, resulting in increased
cytoplasmic mass and maturation
3. The result→ cytoplasmic maturity is greater than
nuclear maturity→ producing the megaloblast in the
marrow and peripheral blood cells
4. This case called “Dyspoiesis “→ means difficult
complete the normal maturation of all blood cells
5. The result of Dyspoiesis →increases intramedullary cell
death and increase of blood bilirubin and uric acid
6. dyspoiesis affects all cell lines, the result →leukopenia
and thrombocytopenia may occur with anemia with very
important point “Reticulocytopenia”
Causes of Vitamin B12 Deficiency
1.Lack intake foods rich with vitamin B12
2.Increase of demands (Growth.
Pregnancy. Chemotherapy etc)
3.Absent of IF
4.Malabsorption (impaired absorption )
Causes of Megaloblastic anemia
❖ Impaired DNA synthesis leading to defective
cell maturation and cell division
❖ Nuclear maturation delays from the
cytoplasmic maturation – NUCLEAR
CYTOPLASMIC ASYNCHRONY
❖ Abnormally large erythroid precursors and red
cells
❖ Affect all marrow elements
Reflected by:
❑ Impaired DNA synthesis
❑ Defective fatty acid degradation
Details
Anemia
Caused by
Folate
Deficiency
Folic Acid:
❖ It a vitamin which yellow in colour, water soluble,
necessary for the production of the RBC, WBC
and platelets.
❖ It is not synthesized in the body.
❖ It is found in large number of green fresh
vegetables, fruits.
Daily requirement:
The human body needs about 100-150 Âľg daily.
Absorption:
It is absorbed in the Duodenum and Jejunum.
Transportation:
Weakly bound to albumin.
Causes of folate deficiency
1.Prolonged cooking destroys folates, which are
abundant in foods such as green leafy
vegetables, yeast, liver
2.Alcoholism
3.Liver diseases
4.increased demand for folate occurs in pregnant
and lactating
5.Intestinal malabsorption
6.Drugs uses (antibiotic, antimetabolic etc)
Symptoms of
megaloblastic anemia –
B12 causes include:
1. Anaemia
2. Diarrhoea /constipation
3. Glossitis (shiny tongue)
4. Sterility/Infertility
5. Paresthesia (neurologic
smptoms)
6. "Megaloblastic
madness" due to
mental problem
Glossitis (shiny tongue)
Symptoms of
megaloblastic anemia
caused by folic acid
deficiency
1-Anemia
2-No neurological
symptoms
3-Neural tube defects
with severe neurologic
deficits occur when
adequate folate is not
ingested during
pregnancy.
A baby with neural tube defect (spina bifida).
Pancytopenia
 Low of all types of cells in the peripheral
blood
CBC parameters
RBC:
1. Hb: Slight low
2. MCV: 115-130fl
3. MCHC: Increase
4. Leukopenia
5. Thrombocytopenia
6. Reticulocytopenia
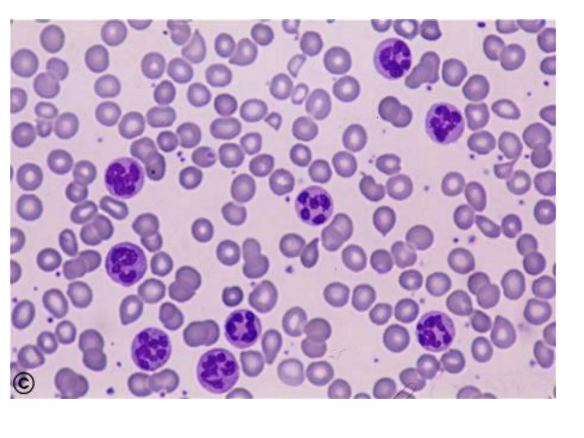
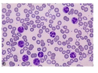
Blood smear:
1. RBC:macrocytic
2. WBC: Presence of
polysegmented
neutrophils (PMNs)with
over 5 lobes
3. Bone marrow aspiration:
indicate megaloblastic
reaction
Laboratory finding in megaloblastic anemia
CBC parameters
WBC: Presence of polysegmented
neutrophils (PMNs)with over 5 lobes
Megaloblastic anemia Diagnostic tests:
methods
1. Serum folate assay
2. Red cell folate assay
3. Serum B12 assay
1-B12 Deficiency diagnosis
❖ Decrease Serum level of B12 → it is the main diagnostic test
❖ methylmalonic acid → increase of (Not specific )
2- Folate deficiency diagnosis
the main diagnostic test
❖Serum folate→ low
❖Red cell folate → Low
❖Homocysteine -→ Increase (Not specific )
For B12 deficiency, absorption tests
Target: distinguishing malabsorption from an inadequate diet
Test name :Schilling test
1-Using an oral dose of radioactive cobalt
2-The test is repeated with an active IF preparation (radioactive B12)
Absorption is most frequently measured indirectly by the urinary excretion
Specimen: a 24-h urine sample
The result as follow:
Dose of labelled B12 given alone
1-Malabsorbtion :→ abnormal test result (< 5% excretion in urine) = intestinal
causes (malabsorption
2- Pernicious anemia or gastrectomy → Low urine excretion (< 5% excretion in
urine)
Dose of labelled B12 given with IF
1-Malabsorbtion :→ abnormal test result (< 5% excretion in urine) = intestinal
causes (malabsorption
2- Pernicious anemia or gastrectomy → Normal test result (> 5-10% excretion in
urine) = pernicious anemia
Megaloblastic anemia - Diagnostic tests
Shilling test
Pernicious anemia (PA)
PERNICIOUS ANEMIA
is a type of megaloblastic anemia , the main cause is the absence
of Intrinsic factor which is so important for B12 carrying and
transporting to the blood due to
1. chronic gastritis (marked loss of parietal cells)
2. or antibodies against stomach cells
Causes
1. Immunologically mediated, autoimmune destruction of
gastric mucosa
2. CHRONIC ATROPHIC GASTRITIS – marked loss of parietal cells
Laboratory finding in Pernicious anemia (PA)
The CBC Result
1. Mild anemia
2. Leukopenia
3. Thrombocytopenia
Chemistry tests
1. Jaundice
2. Low levels of serum B12
3. Elevated levels of homocysteine
Serological tests
1. Serum antibodies to intrinsic factor –positive
detecting anti partial antibodies 70% of PA sufferers have
these Ab's
If the serological test is negative do schilling test
NON MEGALOBLASTIC MACROCYTIC ANEMIA (Macrocytosis)
1-form of macrocytic anemia
2-its has no the typical laboratory finding of megaloblastic anemia
3-No related to folic acid deficiency (especially alcoholism)
4-the marrow is not megaloblastic
5-The MCV is between 108-110 fl
Causes of :
1-Liver diseases
2-Alcholism
3-Aplastic anemia
4- Reticulocytosis
5-myelodysplastic syndrome
Normally physiologic macrocytosis in
1. Pregnancy
2. New born
Non Megaloblastic anemia – Liver Diseases
Discuss and compare the following
cases and write your report
Case 2
The clinical history and physical examination
Megaloblastic anemia Macrocytosis
❖ MCV over 115 fl MCV lower than 115 fl
❖ Leukopenia
all Not founded
❖ Thromnocytopemia
❖ presence of
hypersegmented neutrophils
Differential diagnosis of macrocytic anemia's
END OF THE LESSON

Macrocytic anemia.pdf

  • 1.
    1-Megaloblastic anemia 2-Pernicious anemia 3-NonMegaloblastic anemia Dr. Abdulrazzaq Othman Alagbare MD. Clinical Pathologist – lecturer of haemato-Oncology
  • 2.
    You must Remember 1.Vitamin B12 is important for DNA synthesis and activities 2. The main sources are, animal kingdom, intestinal normal flora (not absorbed) and drugs 3. It is resistant to cooking and boiling 4. For its absorption needs the Intrinsic factor (IF) and R-protein 5. Vitamin B12 in food binds to binding proteins (R binders) in saliva that protect B12 in the acid milieu of the stomach. 6. When this B12 complex (B12-R binders) enters the small intestine, pancreatic enzymes cleave it, 7. decreased intrinsic factor leads to decreased ileal absorption of B12 and the vitamin B12 binds to the intrinsic factor.
  • 3.
    You must Remember 1.Methylcobalamin (MeCbl) is the form of B12 in the plasma 2. Bounded to transcobalamin II ( the carrier protein for B12) which carry vitamin B12 to liver, nerves and bone marrow 3. Vitamin B12 storage in the liver bounded to Transcobalamin I 4. It is stored in liver for many years 5. vitamin B12, deficiency usually takes many months to years to appear 6. Vitamin B12 plasma concentration is normally 200 to 750 pg/mL
  • 5.
    Types of Megaloblasticanemia 1-Nutritional Megaloblastic anemia 1. Vit. B12 deficiency 2. Folic acid deficiency 2-Pernicious anemia 3-Non megaloblastic anemia
  • 6.
    Megaloblastic anaemias ❑These area group of disorders in which the cause the anemia is due to deficiency or defective utilization of vitamin B12 1. vitamin B12 2. and folic acid Mechanism ❑the erythroblasts in the bone marrow show a characteristic abnormality-maturation of the nucleus being delayed relative to that of the cytoplasm
  • 7.
    1. Megaloblastic statesresult from defective DNA synthesis. 2. RNA synthesis continues, resulting in increased cytoplasmic mass and maturation 3. The result→ cytoplasmic maturity is greater than nuclear maturity→ producing the megaloblast in the marrow and peripheral blood cells 4. This case called “Dyspoiesis “→ means difficult complete the normal maturation of all blood cells 5. The result of Dyspoiesis →increases intramedullary cell death and increase of blood bilirubin and uric acid 6. dyspoiesis affects all cell lines, the result →leukopenia and thrombocytopenia may occur with anemia with very important point “Reticulocytopenia”
  • 8.
    Causes of VitaminB12 Deficiency 1.Lack intake foods rich with vitamin B12 2.Increase of demands (Growth. Pregnancy. Chemotherapy etc) 3.Absent of IF 4.Malabsorption (impaired absorption ) Causes of Megaloblastic anemia
  • 9.
    ❖ Impaired DNAsynthesis leading to defective cell maturation and cell division ❖ Nuclear maturation delays from the cytoplasmic maturation – NUCLEAR CYTOPLASMIC ASYNCHRONY ❖ Abnormally large erythroid precursors and red cells ❖ Affect all marrow elements Reflected by: ❑ Impaired DNA synthesis ❑ Defective fatty acid degradation Details
  • 10.
  • 11.
    Folic Acid: ❖ Ita vitamin which yellow in colour, water soluble, necessary for the production of the RBC, WBC and platelets. ❖ It is not synthesized in the body. ❖ It is found in large number of green fresh vegetables, fruits. Daily requirement: The human body needs about 100-150 µg daily. Absorption: It is absorbed in the Duodenum and Jejunum. Transportation: Weakly bound to albumin.
  • 12.
    Causes of folatedeficiency 1.Prolonged cooking destroys folates, which are abundant in foods such as green leafy vegetables, yeast, liver 2.Alcoholism 3.Liver diseases 4.increased demand for folate occurs in pregnant and lactating 5.Intestinal malabsorption 6.Drugs uses (antibiotic, antimetabolic etc)
  • 13.
    Symptoms of megaloblastic anemia– B12 causes include: 1. Anaemia 2. Diarrhoea /constipation 3. Glossitis (shiny tongue) 4. Sterility/Infertility 5. Paresthesia (neurologic smptoms) 6. "Megaloblastic madness" due to mental problem Glossitis (shiny tongue)
  • 14.
    Symptoms of megaloblastic anemia causedby folic acid deficiency 1-Anemia 2-No neurological symptoms 3-Neural tube defects with severe neurologic deficits occur when adequate folate is not ingested during pregnancy. A baby with neural tube defect (spina bifida).
  • 15.
    Pancytopenia  Low ofall types of cells in the peripheral blood CBC parameters RBC: 1. Hb: Slight low 2. MCV: 115-130fl 3. MCHC: Increase 4. Leukopenia 5. Thrombocytopenia 6. Reticulocytopenia Blood smear: 1. RBC:macrocytic 2. WBC: Presence of polysegmented neutrophils (PMNs)with over 5 lobes 3. Bone marrow aspiration: indicate megaloblastic reaction Laboratory finding in megaloblastic anemia
  • 16.
  • 17.
    WBC: Presence ofpolysegmented neutrophils (PMNs)with over 5 lobes
  • 19.
    Megaloblastic anemia Diagnostictests: methods 1. Serum folate assay 2. Red cell folate assay 3. Serum B12 assay 1-B12 Deficiency diagnosis ❖ Decrease Serum level of B12 → it is the main diagnostic test ❖ methylmalonic acid → increase of (Not specific ) 2- Folate deficiency diagnosis the main diagnostic test ❖Serum folate→ low ❖Red cell folate → Low ❖Homocysteine -→ Increase (Not specific )
  • 20.
    For B12 deficiency,absorption tests Target: distinguishing malabsorption from an inadequate diet Test name :Schilling test 1-Using an oral dose of radioactive cobalt 2-The test is repeated with an active IF preparation (radioactive B12) Absorption is most frequently measured indirectly by the urinary excretion Specimen: a 24-h urine sample The result as follow: Dose of labelled B12 given alone 1-Malabsorbtion :→ abnormal test result (< 5% excretion in urine) = intestinal causes (malabsorption 2- Pernicious anemia or gastrectomy → Low urine excretion (< 5% excretion in urine) Dose of labelled B12 given with IF 1-Malabsorbtion :→ abnormal test result (< 5% excretion in urine) = intestinal causes (malabsorption 2- Pernicious anemia or gastrectomy → Normal test result (> 5-10% excretion in urine) = pernicious anemia Megaloblastic anemia - Diagnostic tests
  • 21.
  • 22.
    Pernicious anemia (PA) PERNICIOUSANEMIA is a type of megaloblastic anemia , the main cause is the absence of Intrinsic factor which is so important for B12 carrying and transporting to the blood due to 1. chronic gastritis (marked loss of parietal cells) 2. or antibodies against stomach cells Causes 1. Immunologically mediated, autoimmune destruction of gastric mucosa 2. CHRONIC ATROPHIC GASTRITIS – marked loss of parietal cells
  • 23.
    Laboratory finding inPernicious anemia (PA) The CBC Result 1. Mild anemia 2. Leukopenia 3. Thrombocytopenia Chemistry tests 1. Jaundice 2. Low levels of serum B12 3. Elevated levels of homocysteine Serological tests 1. Serum antibodies to intrinsic factor –positive detecting anti partial antibodies 70% of PA sufferers have these Ab's If the serological test is negative do schilling test
  • 24.
    NON MEGALOBLASTIC MACROCYTICANEMIA (Macrocytosis) 1-form of macrocytic anemia 2-its has no the typical laboratory finding of megaloblastic anemia 3-No related to folic acid deficiency (especially alcoholism) 4-the marrow is not megaloblastic 5-The MCV is between 108-110 fl Causes of : 1-Liver diseases 2-Alcholism 3-Aplastic anemia 4- Reticulocytosis 5-myelodysplastic syndrome Normally physiologic macrocytosis in 1. Pregnancy 2. New born
  • 25.
    Non Megaloblastic anemia– Liver Diseases
  • 26.
    Discuss and comparethe following cases and write your report Case 2
  • 27.
    The clinical historyand physical examination Megaloblastic anemia Macrocytosis ❖ MCV over 115 fl MCV lower than 115 fl ❖ Leukopenia all Not founded ❖ Thromnocytopemia ❖ presence of hypersegmented neutrophils Differential diagnosis of macrocytic anemia's
  • 28.
    END OF THELESSON