CHRONIC
LEUKEMIAS
Dr Vijay Shankar S
 Chronic leukemias
 Types
 Chronic myeloid leukemia
 Philadelphia chromosome
 Chronic lymphocytic leukemia
 Lab diagnosis
 Leukemias are classified into 2 major groups
Acute Onset is usually rapid,
The disease is very aggressive,
The cells involved are usually poorly
differentiated with many blasts.
Chronic Onset is insidious,
The disease is usually less aggressive,
The cells involved are usually more mature
cells
 Comparison of acute and chronic
leukemias:
Acute Chronic
Age all ages usually adults
Clinical onset sudden insidious
Course (untreated) 6 mo. or less 2-6 years
Leukemic cells immature >20% blasts more mature
` cells
Anemia prominent mild
Thrombocytopenia prominent mild
WBC count variable increased
Lymphadenopathy mild present;often
prominent
Splenomegaly mild present;often
prominent
Chronic Myeloid Leukemia
 Middle age 40-60y
 Philadelphia chromosome, t(9:22)
 Anemia, Fever & Bleeding
 Marked leucocytosis – >50,000 (abnormal)
 Marked splenomegaly, Hepatomegaly
 CML results from a somatic mutation in a
pluripotential lymphohematopoietic cell
 CML is a MPD characterized by increased
granulocytic cell line, associated with erythroid
and platelet hyperplasia
 The disease usually envolves into an
accelerated phase that often terminates in
acute phase
chronic phase 3-5 years
accelerated phase
blastic phase 3-6 months
Etiology
 Exposure to high- dose ionizing radiation
 Chemical agents have not been established as a cause
Epidemiology
 CML accounts for approximately 15 percent of all
cases of leukemia and approximately 3 percent of
childhood leukemias
 The median age of onset is 53 years
Pathogenesis
Hematopoietic abnormality
 Expansion of granulocytic progenitors and a decreased
sensitivity of the progenitors to regulation – increased white cell
count
 Megakaryocytopoiesis is often expanded
 Erythropoiesis is usually deficient
 Function of the neutrophils and platelet is nearly normal
Pathogenesis
Genetic abnormality
 CML is the result of an acquired genetic abnormality
 A translocation between chromosome 9 and 22 [t(9;22)] –
the Philadelphia chromosome
 The oncogene BCR-ABL encodes an enzyme – tyrosine
phosphokinase (usually p210)
Translocation t(9;22)(q34;q11)
Translocation t(9;22)(q34;q11)
Philadelphia Chromosome
• More than 95% of patients with CML has Philadelphia (Ph)
chromosome
 A subset of patients with CML lack a detectable Ph
chromosome but have the fusion product for the bcr/abl
translocation detectable by reverse transcriptase- polymerase
chain reaction (RT-PCR)
The bcr/abl fusion protein
 Uncontrolled kinase activity
 that results in
 Increased granulocyte-colony stimulating factor
 Increased platlet derived growth factor
 Suppression of apoptosis in hematopoietic cells
Clinical features
 30 percent of patient are asymptomatic at the time of
diagnosis
 Symptoms are gradual in onset:
easy fatigability, malaise, anorexia, abdominal discomfort,
weight loss, excessive sweating
● Less frequent symptoms:
Night sweats, heat intolerance- mimicking
hyperthyroidism, gouty arthitis, symptoms of leukostasis
(tinnitus, stupor), splenic infartion (left upper-quadrant
and left shoulder pain), urticaria (result of histamine
release)
● Physical signs:
Pallor, splenomegaly, sternal pain
Accelerated phase of CML
 Most patients eventually became resistant to therapy
and the disease enters a more agressive phase
 Criteria of accelerated phase
1. Blasts in blood or bone marrow-10-19%
2. Basophilia ≥ 20%
3. Thrombocytopenia
4. Thrombocytaemia
5. Additional chromosomal aberrations
6. refractory splenomegaly or refractory leucocytosis
Blast phase (blast crisis) of CML
• Criteria of blast phase
1. Blasts ≥20%
2. extramedullary tumors
• Phenotype of blasts
1. Mieloblasts - 50%
2. Limphoblasts - 30%
3. Megakarioblasts – 10%
4. Acute myelofibrosis
Lab findings
 Blood picture
 Bone marrow examination
 Cytogenetics
 Cytochemistry ( NAP)
CML vs Leukemoid Reaction
Characteristic
feature
CML Leukemoid
Reaction
Age >40 yrs Any age
Leukocytosis >100,000 30,000 – 50,000
Absolute Basophilia Present May not
Splenomegaly Prominent May not
Philadelphia
Chromosome
Present Absent
LAP / NAP Very low / Absent High
Transformation to
Acute leukemia
Yes No
Laboratory features
 The hemoglobin concentration is decreased
 Nucleated red cells in blood film
 The leukocyte count above 25000/μl (often above
100000/μl), granulocytes at all stages of development
 The basophil count is increased
 The platelet count is normal or increased
 Neutrophils alkaline phosphatase activity is low or absent
(90%)
Laboratory features (2)
 The marrow is hypercellular (granulocytic hyperplasia)
 Reticulin fibrosis
 Cytogenetic test- presence of the Ph chromosome
 Molecular test – presence of the BCR-ABL fusion gene
Chronic Myeloid Leukemia:
basophil blast
neutrophils
and
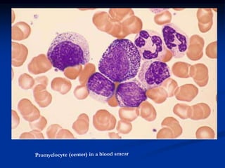
precursors promyelocyte
CML
Blood smear shows a preponderance of mature neutrophilic
granulocytes.Myelocyte at center, basophil at upper right
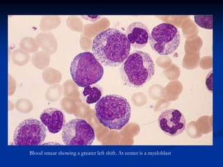
Blood smear showing a greater left shift. At center is a myeloblast
Two basophils in blood smear
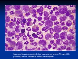
Increased granulocytopoiesis in a bone marrow smear. Neutrophilic
granulocytes,two basophils, and four eosinophils
Chronic Lymphocytic
Leukemia
 Elderly age
 Anemia, fever & bleeding – slow over years.
 Lymphocytosis & Lymphadenopathy
 Spleen, & liver enlargement
 Common B cell (CD5 +ve)
Chronic leukemias
 Chronic lymphocytic leukemia
 This is predominantly a disease of the elderly; > 90% are over
50 and 2/3 are over 60;
 male:female is 2:1
 Is characterized by peripheral and bone marrow
lymphocytosis and a survival of a few years to > 10 years
 This is a B cell abnormality
 The lymphocytes appear normal, but are immunologically
incompetent. However, some functionally normal B cells
remain and there is a normal T cell pool
Chronic leukemias
 Etiology
 Genetic factors are important since it runs in families
 Clinical course
 The pace of the disease varies and is dependent on the
rate of accumulation of abnormal lymphocytes
 Median survival is 3-4 years, but 10-15% survive >
10years
 There is no tendency for blast transformation, but
complications of advanced disease result from progressive
accumulation of long-lived, poorly functional
lymphocytes.
Chronic leukemias
 Signs and symptoms
 Organomegaly and lymphadenopathy
 Often discovered accidentally
 Fatigue
 Near the end – bruising, pallor, fever, and weight loss
Lab features
 Absolute lymphocytosis of 10-150 x 109/L
 Lymphocytes usually appear normal, but they are
markedly fragile and smudge cells are seen on the
peripheral smear
 It is not necessary to do a bone marrow biopsy for
diagnosis.
 Anemia occurs late in the disease and may be due to
decreased production secondary to marrow infiltration,
hypersplenism, or autoimmune hemolytic anemia:
 the same things may cause neutropenia or
thrombocytopenia
 Hypogammaglobulinemia as the disease progresses
CLL with smudge cells
lymphocytes
‘smudge’ cells
CLL
CLL – Blood Film
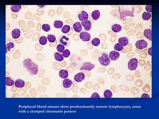
Peripheral blood smears show predominantly mature lymphocytes, some
with a clumped chromatin pattern
Peripheral blood smears show predominantly mature lymphocytes,
some
with a clumped chromatin pattern
Bone marrow smear in B-CLL, with diffuse infiltration of
the bone marrow
Chronic leukemias
 Prognosis is related to the extent and distribution of
the disease – also called the stage:
 Stage A – lymphocytosis without anemia or
thrombocytopenia and < 3 areas of lymphoid
involvement (lymph nodes, spleen, liver) – GOOD
PROGNOSIS
 Stage B – same as A, but > 3 areas of lymphoid
involvement – INTERMEDIATE PROGNOSIS
 Stage C – lymphocytosis with anemia, thrombocytopenia,
or both – POOR PROGNOSIS
SUMMARY
 Chronic leukemias
 Types
 Chronic myeloid leukemia
 Philadelphia chromosome
 Chronic lymphocytic leukemia
 Lab diagnosis
Chronic leukemias

Chronic leukemias

  • 1.
  • 2.
     Chronic leukemias Types  Chronic myeloid leukemia  Philadelphia chromosome  Chronic lymphocytic leukemia  Lab diagnosis
  • 3.
     Leukemias areclassified into 2 major groups Acute Onset is usually rapid, The disease is very aggressive, The cells involved are usually poorly differentiated with many blasts. Chronic Onset is insidious, The disease is usually less aggressive, The cells involved are usually more mature cells
  • 4.
     Comparison ofacute and chronic leukemias: Acute Chronic Age all ages usually adults Clinical onset sudden insidious Course (untreated) 6 mo. or less 2-6 years Leukemic cells immature >20% blasts more mature ` cells Anemia prominent mild Thrombocytopenia prominent mild WBC count variable increased Lymphadenopathy mild present;often prominent Splenomegaly mild present;often prominent
  • 5.
    Chronic Myeloid Leukemia Middle age 40-60y  Philadelphia chromosome, t(9:22)  Anemia, Fever & Bleeding  Marked leucocytosis – >50,000 (abnormal)  Marked splenomegaly, Hepatomegaly
  • 6.
     CML resultsfrom a somatic mutation in a pluripotential lymphohematopoietic cell  CML is a MPD characterized by increased granulocytic cell line, associated with erythroid and platelet hyperplasia  The disease usually envolves into an accelerated phase that often terminates in acute phase chronic phase 3-5 years accelerated phase blastic phase 3-6 months
  • 7.
    Etiology  Exposure tohigh- dose ionizing radiation  Chemical agents have not been established as a cause
  • 8.
    Epidemiology  CML accountsfor approximately 15 percent of all cases of leukemia and approximately 3 percent of childhood leukemias  The median age of onset is 53 years
  • 9.
    Pathogenesis Hematopoietic abnormality  Expansionof granulocytic progenitors and a decreased sensitivity of the progenitors to regulation – increased white cell count  Megakaryocytopoiesis is often expanded  Erythropoiesis is usually deficient  Function of the neutrophils and platelet is nearly normal
  • 10.
    Pathogenesis Genetic abnormality  CMLis the result of an acquired genetic abnormality  A translocation between chromosome 9 and 22 [t(9;22)] – the Philadelphia chromosome  The oncogene BCR-ABL encodes an enzyme – tyrosine phosphokinase (usually p210)
  • 11.
  • 12.
  • 14.
    Philadelphia Chromosome • Morethan 95% of patients with CML has Philadelphia (Ph) chromosome  A subset of patients with CML lack a detectable Ph chromosome but have the fusion product for the bcr/abl translocation detectable by reverse transcriptase- polymerase chain reaction (RT-PCR)
  • 15.
    The bcr/abl fusionprotein  Uncontrolled kinase activity  that results in  Increased granulocyte-colony stimulating factor  Increased platlet derived growth factor  Suppression of apoptosis in hematopoietic cells
  • 16.
    Clinical features  30percent of patient are asymptomatic at the time of diagnosis  Symptoms are gradual in onset: easy fatigability, malaise, anorexia, abdominal discomfort, weight loss, excessive sweating ● Less frequent symptoms: Night sweats, heat intolerance- mimicking hyperthyroidism, gouty arthitis, symptoms of leukostasis (tinnitus, stupor), splenic infartion (left upper-quadrant and left shoulder pain), urticaria (result of histamine release) ● Physical signs: Pallor, splenomegaly, sternal pain
  • 17.
    Accelerated phase ofCML  Most patients eventually became resistant to therapy and the disease enters a more agressive phase  Criteria of accelerated phase 1. Blasts in blood or bone marrow-10-19% 2. Basophilia ≥ 20% 3. Thrombocytopenia 4. Thrombocytaemia 5. Additional chromosomal aberrations 6. refractory splenomegaly or refractory leucocytosis
  • 18.
    Blast phase (blastcrisis) of CML • Criteria of blast phase 1. Blasts ≥20% 2. extramedullary tumors • Phenotype of blasts 1. Mieloblasts - 50% 2. Limphoblasts - 30% 3. Megakarioblasts – 10% 4. Acute myelofibrosis
  • 19.
    Lab findings  Bloodpicture  Bone marrow examination  Cytogenetics  Cytochemistry ( NAP)
  • 20.
    CML vs LeukemoidReaction Characteristic feature CML Leukemoid Reaction Age >40 yrs Any age Leukocytosis >100,000 30,000 – 50,000 Absolute Basophilia Present May not Splenomegaly Prominent May not Philadelphia Chromosome Present Absent LAP / NAP Very low / Absent High Transformation to Acute leukemia Yes No
  • 21.
    Laboratory features  Thehemoglobin concentration is decreased  Nucleated red cells in blood film  The leukocyte count above 25000/μl (often above 100000/μl), granulocytes at all stages of development  The basophil count is increased  The platelet count is normal or increased  Neutrophils alkaline phosphatase activity is low or absent (90%)
  • 22.
    Laboratory features (2) The marrow is hypercellular (granulocytic hyperplasia)  Reticulin fibrosis  Cytogenetic test- presence of the Ph chromosome  Molecular test – presence of the BCR-ABL fusion gene
  • 23.
  • 24.
  • 25.
    Blood smear showsa preponderance of mature neutrophilic granulocytes.Myelocyte at center, basophil at upper right
  • 27.
    Blood smear showinga greater left shift. At center is a myeloblast
  • 28.
    Two basophils inblood smear
  • 29.
    Increased granulocytopoiesis ina bone marrow smear. Neutrophilic granulocytes,two basophils, and four eosinophils
  • 31.
    Chronic Lymphocytic Leukemia  Elderlyage  Anemia, fever & bleeding – slow over years.  Lymphocytosis & Lymphadenopathy  Spleen, & liver enlargement  Common B cell (CD5 +ve)
  • 32.
    Chronic leukemias  Chroniclymphocytic leukemia  This is predominantly a disease of the elderly; > 90% are over 50 and 2/3 are over 60;  male:female is 2:1  Is characterized by peripheral and bone marrow lymphocytosis and a survival of a few years to > 10 years  This is a B cell abnormality  The lymphocytes appear normal, but are immunologically incompetent. However, some functionally normal B cells remain and there is a normal T cell pool
  • 33.
    Chronic leukemias  Etiology Genetic factors are important since it runs in families  Clinical course  The pace of the disease varies and is dependent on the rate of accumulation of abnormal lymphocytes  Median survival is 3-4 years, but 10-15% survive > 10years  There is no tendency for blast transformation, but complications of advanced disease result from progressive accumulation of long-lived, poorly functional lymphocytes.
  • 34.
    Chronic leukemias  Signsand symptoms  Organomegaly and lymphadenopathy  Often discovered accidentally  Fatigue  Near the end – bruising, pallor, fever, and weight loss
  • 35.
    Lab features  Absolutelymphocytosis of 10-150 x 109/L  Lymphocytes usually appear normal, but they are markedly fragile and smudge cells are seen on the peripheral smear  It is not necessary to do a bone marrow biopsy for diagnosis.  Anemia occurs late in the disease and may be due to decreased production secondary to marrow infiltration, hypersplenism, or autoimmune hemolytic anemia:  the same things may cause neutropenia or thrombocytopenia  Hypogammaglobulinemia as the disease progresses
  • 36.
  • 37.
  • 38.
  • 39.
    Peripheral blood smearsshow predominantly mature lymphocytes, some with a clumped chromatin pattern
  • 40.
    Peripheral blood smearsshow predominantly mature lymphocytes, some with a clumped chromatin pattern
  • 41.
    Bone marrow smearin B-CLL, with diffuse infiltration of the bone marrow
  • 42.
    Chronic leukemias  Prognosisis related to the extent and distribution of the disease – also called the stage:  Stage A – lymphocytosis without anemia or thrombocytopenia and < 3 areas of lymphoid involvement (lymph nodes, spleen, liver) – GOOD PROGNOSIS  Stage B – same as A, but > 3 areas of lymphoid involvement – INTERMEDIATE PROGNOSIS  Stage C – lymphocytosis with anemia, thrombocytopenia, or both – POOR PROGNOSIS
  • 43.
    SUMMARY  Chronic leukemias Types  Chronic myeloid leukemia  Philadelphia chromosome  Chronic lymphocytic leukemia  Lab diagnosis