Myelodysplastic Syndromes (MDS)
By:
Ahmed Makboul Ahmed
M.B.B.Ch, M.Sc
Assistant Lecturer, Clinical Pathology Department, South Egypt Cancer Institute
TERMINOLOGY:
Definition:
MDSs are heterogeneous group of molecularly distinct entities that have:
1. Variable degrees of ineffective hematopoiesis:
oOften hypercellular BM.
oSimultaneous proliferation and apoptosis of hematopoietic cells.
2. PB with unexplained and persistent cytopenia(s):
oOptimal to use IPSS values:
§ Hgb < 10 g/dL.
§ Absolute neutrophil count (ANC) < 1.8 x 10⁹/L.
§ Platelet < 100 x 10⁹/L.
3. Dysplasia (≥ 10 % of cells) in 1 or more myeloid lineages:
oGranulocytic, erythroid, megakaryocytic.
4. < 20% blasts in PB or BM.
5. Increased risk for development of AML.
Involvement of the pathologist in diagnosing MDS:
Components of MDS diagnosis :
CRITERIA FOR DIAGNOSING MDS:
1. Cytopenia(s): (at least 1)
oHgb < 10 g/dL, absolute neutrophil count (ANC) < 1.8 x 10⁹/L, platelet < 100 x 10⁹/L.
Milder levels of cytopenia are accepted.
oShould be persistent and unexplained by comorbidities.
oAnemia is the most common presenting cytopenia.
2. Dysplasia:
oAt least 10% of cells appear dysplastic in at least 1 hematopoietic lineage.
oMore dysplasia allows a more confident diagnosis.
3. Often cytogenetic abnormality (~50%) and/or mutation found by next-generation
sequencing (~90%).
Is it MDS or is there
some other cause
for the cytopenia?
Is it MDS or AML?
MICROSCOPIC PATHOLOGY:
Peripheral Blood:
I. Evaluate for Cytopenia:
- The pathologist is responsible for evaluating cytopenias when establishing a new diagnosis of MDS.
o Know the complete CBC result (including WBC differential) at the time the bone marrow sample was taken.
o Access important clinical information to provide guidance in interpreting the CBC values.
§ Duration of cytopenia.
§ Possible comorbid conditions that may be causing the cytopenia.
§ Possible causes of cytopenia that have not yet been clinically excluded such as:
üAcquired or inherited hemolytic anemias.
üHIV or other infections.
üMetabolic deficiencies (vitamin B12, copper).
üToxic exposures.
RBCs:
• Anemia (85%): hemoglobin < 10 g/dL (60%).
oAnemia is usually normocytic or macrocytic.
oThere is frequently an increased red cell distribution width (RDW).
oReticulocyte count: Usually low.
WBCs:
• Neutropenia (40%); consider ethnic variation in reference ranges.
Platelets:
• Thrombocytopenia (30%).
Pancytopenia (15%).
• Hgb < 10 g/dL, ANC < 1.8 x 10⁹/L, and Platelet count < 100 x 10⁹/L.
II. Evaluate for Dysplasia:
• Must exceed 10% threshold.
• Dysplastic morphology is a critical feature in establishing the diagnosis.
• Provide percentage dysplasia and describe unique features.
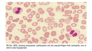
• Dysplastic features in mature cells are best seen in the PB:
• RBCs:
oBasophilic stippling.
oPoikilocytosis.
oHowell-Jolley bodies.
oSometimes a dual population of RBCs, with one being normocytic or microcytic and
hypochromic and the second being macrocytic.
§ This finding should be interpreted with the transfusion history in mind.
Oval macrocytes Dimorphic RBCs
Howell-Jolley bodies Basophilic Stippling
• WBCs:
oPseudo–Pelger Huët nuclei and cytoplasmic vacuoles.
oHypogranular / agranular cytoplasm in neutrophils.
oHypolobulation of neutrophils.
• Platelets:
oLarge or abnormally granulated platelets.
PB film, MDS, showing anisocytosis, poikilocytosis and two pseudo-Pelger–Huët neutrophils, one of
which is also hypogranular
This myelocyte (right) in peripheral blood has a nucleus with
clumped chromatin and a basophilic immature cytoplasm showing
asynchrony. Note also the agranular myeloid cell (left)
Agranular myeloid cells
III. Evaluate blast percentage:
• Based on 200-cell leukocyte differential count.
• Blast morphology defined by International Working Group on Morphology (IWGM) of
MDS Determination.
• Myeloblasts are defined in terms of several characteristics:
oNuclear characteristics:
§ High nuclear/cytoplasmic ratio.
§ Easily visible nucleoli.
§ Fine nuclear chromatin (usually, but not invariably).
§ Nuclear shape is variable.
oCytoplasmic characteristics:
§ Variable cytoplasmic basophilia.
§ There may or may not be granules or Auer rods but no Golgi zone is detected.
• The IWGM group recommended that
myeloblasts in MDS should be classified as
agranular or granular.
oAgranular blasts: correspond to the type I
blasts of the FAB classification.
oGranular blasts: are cells that have the
nuclear features of blast cells but also have
cytoplasmic granules. These cells will thus
include type II and type III blasts.
• Blasts common in higher grade MDS.
Bone Marrow Examination:
I. Bone Marrow Aspiration or touch preparations:
1. Evaluate Blast percentage:
• Perform 500-cell leukocyte differential count.
oBlast percentage based on visual inspection and not flow cytometric analysis.
oInclude all cells in count except neoplastic lymphocytes, plasma cells.
2. Evaluate for Dysplasia:
• Dysplasia in ≥ 10% of cell lineage threshold.
oRequires high-quality smears/preparations.
oDo not perform on specimens exposed to anticoagulants for > 2 hours before smear
preparation.
oDysplasia is not specific for MDS as it can be seen in normal subjects and in
patients with non-neoplastic cytopenias.
Internuclear bridging
Dysrythropoietic changes- nuclear budding, karyorhexis
- Asynchronous maturation of granulocytes with
hyposegmented nuclei.
- Prominent granulocytic hypogranulation.
MPO negative granulocytes
Dysplasia in myeloid precursors can be manifested by dysplastic granulation with granules of eosinophilic
type and basophilic type (arrow)
Megakaryocyte with small separated nuclei
Dysmegakaryopoiesis: Small dysplastic megakaryocytes
with hypolobated and hyperchromatic nuclei.
II. BM trephine biopsy:
Cellularity:
• Usually hypercellular or normocellular with ineffective hematopoiesis.
• Hypocellular in 10% of adults (Hypoplastic MDS), 70% of children (Childhood MDS).
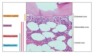
Cellular organization:
• In MDS, there is disorganization of hematopoiesis:
oImmature myeloid elements occur away from bone trabeculae.
oErythroid elements fail to form well-defined clusters.
oMegakaryocytes may cluster.
Erythroid Series:
• Erythroid hyperplasia is most common.
Granulocytic Series:
• Blasts in aggregates (3-5 cells) or clusters (> 5 cells).
• Associated with aggressive MDS if localized away from vascular structures or bony trabeculae
(Abnormally Localized Immature Precursors “ALIPs”).
Architectural disorganization in MDS: low power clue
Megakaryocytic Series:
• Megakaryocyte dysplasia may be better
appreciated in biopsy sections than
aspirate smears.
• Evaluation of ≥ 30 megakaryocytes is
required (includes aspirate smears and
touch preparations).
• Micromegakaryocytes are relatively
specific for MDS.
ANCILLARY TESTS:
1. Cytochemistry:
Iron stain (Prussian blue reaction):
• Performed on BM aspirate smears.
• Sideroblasts: International Working Group
definitions:
oType 1: < 5 siderotic granules in cytoplasm
(Normal sideroblast).
oType 2: ≥ 5 siderotic granules not in perinuclear
distribution.
oType 3: ≥ 5 siderotic granules in perinuclear
distribution.
§ Surround nucleus or encompass at least 1/3
of nuclear circumference.
§ Only type 3 qualifies as Ring Sideroblasts.
2. Immunohistochemistry:
• Usually not indicated in most cases if adequate flow cytometry and excellent aspirate smear
are obtained.
• Essential if biopsy is crushed and/or aspirate is markedly hemodilute.
• Useful to identify abnormal cells that may be subtle on routine histology or poorly detected by
flow cytometry:
• Facilitates detection of micromegakaryocytes (CD61 or CD42b).
• Enumerate blasts and their abnormal localization (CD34).
• Quantify erythroid lineage and detect disruption of normal erythroid localization (CD71 or
hemoglobin A).
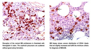
Disruption of the normal BM architecture is illustrated with
Hemoglobin A stain. The erythroid precursors are scattered
without good colony formation.
BM biopsy shows uneven distribution of CD34+ blasts
that are slightly increased and fulfill the minimum criteria
for diagnosis of MDS-EB.
3. Flow cytometry assessment of MDS:
• Flow is important to evaluate for lymphomas that
can present with cytopenia mimicking MDS.
• Abnormal flow cytometry patterns predict MDS
with good sensitivity and specificity.
oAbnormalities in blasts and maturing
elements.
• WHO 2017 and ELN guidelines do not permit
diagnosis of MDS based alone on flow cytometry.
4. Conventional cytogenetic analysis:
5. Fluorescence in situ hybridization
(FISH):
• Helpful if insufficient conventional
cytogenetic study (i.e., < 20 metaphases).
• Can perform on BM touch preparations,
aspirate smears, or remaining cytogenetic
cell pellet.
• Not sufficient for diagnosis of MDS in
absence of morphologic dysplasia.
• FISH analysis should cover at least the
following regions: 5q31, CEP7, 7q31, 20q,
CEP8, CEPY and p53.
6. Additional molecular genetic testing:
but the same mutations can also occur in healthy individuals !!
•A significant proportion of apparently healthy individuals harbor somatic MDS-type mutations in
hematopoietic cells.
oDNMT3A, TET2, ASXL1, SFTB1, TP53, JAK2.
oIncidence increases with age.
oAssociated with increased risk of subsequent hematologic malignancy and mortality, but
many patients never develop MDS even after years of follow up.
oDesignated as: “Clonal Hematopoiesis of Indeterminate Potential” (CHIP) or “Clonal
Cytopenia of Undetermined Significance (CCUS) if patient is also cytopenic.
oThe National Comprehensive Cancer Network (NCCN) guidelines warn against the use of
these mutations as presumptive evidence of MDS, in absence of other diagnostic features.
WHAT IS SUFFECIENT TO DIAGNOSE MDS ACCORDING TO
CURRENT CRITERIA (WHO 2016)?
Observation Suffecient to diagnose MDS in a cytopenic patients?
Dysplastic morphology (≥ 10%) Yes, provided posible secondary causes of cytopenia and dysplasia
are excluded clinically.
Excess BM blasts (≥ 5%) Yes, provided BM recovery or growth factor effect are excluded.
Cytogenetic abnormality Yes, provided it is on the WHO list of “approved” abnormalities
(excluding +8, del(20q), –Y).
Flow cytometry abnormality No, but can support MDS diagnosis suspected by other observations.
MDS-type mutation No, these can be found in normal individuals (“clonal hematopoiesis
of indeterminate potential”); may support MDS diagnosis suspected
by other observations.
CLASSIFICATION:
The 2016 WHO Classification of MDS
1. MDS with Single Lineage Dysplasia (MDS-SLD).
2. MDS with Multilineage Dysplasia (MDS-MLD).
3. MDS with Ringed Sideroblasts (MDS-RS).
o MDS-RS with single lineage dysplasia (MDS-RS-SLD).
o MDS-RS with multilineage dysplasia (MDS-RS-MLD).
4. MDS with isolated del(5q).
5. MDS, Unclassifiable (MDS-U)
6. MDS with excess blasts (MDS-EB).
7. Refractory Cytopenia of Childhood (RCC) (Provisional entity).
< 1% PB blasts
< 5% BM blasts
> 1% PB blasts or >
5% BM blasts or Auer
rods
Low grade
High grade
1. MDS with Single Lineage Dysplasia
(MDS-SLD)
• PB cytopenia:
oRefractory anemia is most common in adults.
oBicytopenia may be present but not pancytopenia.
• Unilineage dysplasia:
oInvolves ≥ 10% of cells in affected cell lineage.
oNot always same lineage as cytopenia.
• Blasts: < 1% in PB, < 5% in BM, no Auer rods.
• Ring sideroblasts: < 15% or < 5% if SFTB1 mutation
present.
CHALLENGES
§ Distinction from non-MDS causes of cytopenia: recommend
waiting for 6 months and repeat BM examination if
cytopenia persists.
2. MDS with Multilineage Dysplasia (MDS-
MLD)
• PB cytopenia(s):
oAnemia, neutropenia, &/or thrombocytopenia.
oBicytopenia may be present but not pancytopenia.
• Multilineage dysplasia:
oDysplasia ≥ 10% of cells in 2 or more hematopoietic
lineages:
• Blasts: < 1% in PB, < 5% in BM, no Auer rods.
• Ring sideroblasts: < 15% or < 5% if SFTB1 mutation
present.
CHALLENGES
§ Some reactive conditions may cause dysplasia in 2
lineages.
§ Iron stain needed to exclude MDS-RS-MLD.
§ Carefully examine blood smear & BM to exclude excess
blasts.
3. MDS with Ring Sideroblasts (MDS-RS)
• Low-grade MDS:
o Blasts < 1% in PB, < 5% in BM.
o No Auer rods.
o Strong association with SFTB1 mutation.
MDS-RS-SLD:
• Ring sideroblasts: ≥ 15% RS or ≥ 5% RS
and SF3B1 mutation.
• PB cytopenia: Anemia or bicytopenia.
• Single lineage dysplasia: ≥ 10% dysplasia in erythroid
lineage.
MDS-RS-MLD:
• Ringed sideroblasts: ≥ 15% RS or ≥ 5% RS
and SF3B1 mutation.
• PB cytopenia: 1 to 3 cytopenias.
• Multilineage dysplasia: ≥ 10% dysplasia in ≥ 2 lineages.
CHALLENGES
§ Keep in mind secondary causes of ring
sideroblasts:
oAlcohol, drugs, hereditary.
§ Iron stain should be done on BM aspirate
smears.
§ Insensitive in decalcified trephine biopsy.
§ By definition, if ≥ 15% ring sideroblasts are
present, the erythroid lineage is dysplastic.
4. MDS with Isolated del(5q)
• Clonal hematopoietic neoplasm.
• Cytogenetics:
odel(5q) involving 5q31-5q33 region.
oCytogenetics may show 1 additional
abnormality excluding monosomy 7/del(7q).
• Dysplasia: at least 1 lineage shows ≥ 10%
dysplasia especially in megakaryocytic lineage.
• PB cytopenia:
o1 or 2 cytopenia but not pancytopenia.
oThrombocytosis common.
• Blasts: < 1% in PB, < 5% in BM.
oNo Auer rods.
• Favorable prognosis.
5. MDS with Excess Blasts (MDS-EB)
• Aggressive form (high grade MDS).
• Blasts:
oMDS-EB1:
§ 2-4% blasts in PB, OR 5-9% blasts in BM.
oMDS-EB2:
§ 5-19% blasts in PB, OR 10-19% blasts in
BM, OR Auer rods regardless of blast
percent.
• PB cytopenia:
oUsually bicytopenia or pancytopenia.
• Dysplasia:
oUsually multilineage dysplasia.
• Ring sideroblasts: not relevant.
• Disease progression: about 1/3 progress to AML.
Blast counting in MDS:
• Accurate blast counting is critical:
oFirst choice: Well-stained BM aspirate smears.
oSecond choice: Good touch preparation.
oThird choice: BM core biopsy.
§ CD34, CD117 immunostains helpful but may not typically stain all the blasts.
• Flow cytometry usually correlates with BM aspirate smear blast count, but….
oCells may be lost in processing.
oPB contamination may affect count.
oBM aspirate blast count remains ‘Gold standard’.
6. MDS, Unclassifiable (MDS-U)
3 specific scenarios qualify for this diagnosis:
• Scenario 1:
oPancytopenia plus unilineage dysplasia.
• Scenario 2:
o1% peripheral blood blasts.
oMust be seen on 2 separate occasions.
üIn cases of MDS-SLD, MDS-MLD, MDS-RS, MDS with del(5q).
• Scenario 3:
oCytogenetic abnormality considered as presumptive evidence of MDS.
oPersistent unexplained cytopenias.
oInsufficient dysplasia or blasts for overt MDS
MDS-U: Diseases ‘on the fence’ between other entities
7. Refractory cytopenia of childhood
(RCC)
• Provisional entity in the 2016 WHO Classification.
• PB cytopenia:
oPersistent cytopenia(s) during childhood.
oRefractory neutropenia or thrombocytopenia
most common; isolated refractory anemia rare.
• Blasts: < 2% in PB; < 5% in BM.
• Dysplasia: Dysplasia in 2 lineages (erythroid,
granulocytic, megakaryocytic) or ≥ 10% in single
lineage.
• Ring sideroblasts: No ring sideroblasts.
• Classify into adult-type MDS category if ↑ blasts
develop or criteria for RCC unfulfilled:
oMDS with excess blasts (EB): Blasts: 2-19% in
PB or 5-19% in BM.
oMDS with ring sideroblasts or MDS/del 5q:
Exceedingly rare in children.
Hypoplastic MDS
• About 10–15% of MDS in adults (and a much
higher percentage in children) has reduced BM
cellularity for age
• Hypoplastic MDS is not a specific entity in the 2016
WHO Classification, and such cases should be
classified as for other MDS. Rather, this term serves
to identify a group of MDS cases that must be
carefully distinguished from other hypoplastic
marrow states.
• Interestingly, hypoplastic MDS is more likely than
more cellular MDS cases to respond favorably to
immunosuppression, suggesting a possible biologic
overlap with aplastic anemia
• A careful blast count on the aspirate smear must be
performed to distinguish hypoplastic MDS-EB from
hypoplastic AML.
CD34
Erythroid-Predominant MDS
• Cases of MDS with erythroid predominance (≥50%
erythroid elements) comprise about 15% of all MDS
and are more frequently therapy related
• Erythroid predominance does not define a specific
entity in the 2016 WHO classification.
• These cases are most frequently classified as MDS-
SLD, MDS-MLD or MDS-RS.
• In the 2016 WHO classification, most erythroid-
predominant cases previously classified as acute
erythroid leukemia, erythroid/myeloid subtype in the
2008 WHO classification are now classified as
MDS-EB. This change was made because the
method of counting blasts as a proportion of non-
erythroid cells in acute erythroid leukemia did not
necessarily predict clinically distinctive disease. Glycophorin
DIFFERENTIAL DIAGNOSIS:
Avoid MDS diagnosis if potential secondary cause
1. Drugs/toxins:
oRecent (< 6 months) chemotherapy or radiotherapy.
oArsenic / heavy metal toxicity.
oAlcoholism.
2. Vitamin B12 / folate deficiency, copper deficiency.
3. Infections:
oAIDS.
4. Autoimmune diseases.
5. Neoplasms:
oInvolving BM (especially myeloma, LGL and hairy cell leukemia).
oRemote solid tumor (paraneoplastic myelodysplasia).
Beware of making diagnosis in young patients.
DIAGNOSTIC ALGORITHMS:
1. Cases with unilineage dysplasia:
2. Cases with multilineage dysplasia:
Myelodysplastic Syndromes (MDS)

Myelodysplastic Syndromes (MDS)

  • 1.
    Myelodysplastic Syndromes (MDS) By: AhmedMakboul Ahmed M.B.B.Ch, M.Sc Assistant Lecturer, Clinical Pathology Department, South Egypt Cancer Institute
  • 3.
    TERMINOLOGY: Definition: MDSs are heterogeneousgroup of molecularly distinct entities that have: 1. Variable degrees of ineffective hematopoiesis: oOften hypercellular BM. oSimultaneous proliferation and apoptosis of hematopoietic cells. 2. PB with unexplained and persistent cytopenia(s): oOptimal to use IPSS values: § Hgb < 10 g/dL. § Absolute neutrophil count (ANC) < 1.8 x 10⁹/L. § Platelet < 100 x 10⁹/L. 3. Dysplasia (≥ 10 % of cells) in 1 or more myeloid lineages: oGranulocytic, erythroid, megakaryocytic. 4. < 20% blasts in PB or BM. 5. Increased risk for development of AML.
  • 4.
    Involvement of thepathologist in diagnosing MDS:
  • 5.
    Components of MDSdiagnosis :
  • 6.
    CRITERIA FOR DIAGNOSINGMDS: 1. Cytopenia(s): (at least 1) oHgb < 10 g/dL, absolute neutrophil count (ANC) < 1.8 x 10⁹/L, platelet < 100 x 10⁹/L. Milder levels of cytopenia are accepted. oShould be persistent and unexplained by comorbidities. oAnemia is the most common presenting cytopenia. 2. Dysplasia: oAt least 10% of cells appear dysplastic in at least 1 hematopoietic lineage. oMore dysplasia allows a more confident diagnosis. 3. Often cytogenetic abnormality (~50%) and/or mutation found by next-generation sequencing (~90%).
  • 7.
    Is it MDSor is there some other cause for the cytopenia? Is it MDS or AML?
  • 8.
    MICROSCOPIC PATHOLOGY: Peripheral Blood: I.Evaluate for Cytopenia: - The pathologist is responsible for evaluating cytopenias when establishing a new diagnosis of MDS. o Know the complete CBC result (including WBC differential) at the time the bone marrow sample was taken. o Access important clinical information to provide guidance in interpreting the CBC values. § Duration of cytopenia. § Possible comorbid conditions that may be causing the cytopenia. § Possible causes of cytopenia that have not yet been clinically excluded such as: üAcquired or inherited hemolytic anemias. üHIV or other infections. üMetabolic deficiencies (vitamin B12, copper). üToxic exposures.
  • 9.
    RBCs: • Anemia (85%):hemoglobin < 10 g/dL (60%). oAnemia is usually normocytic or macrocytic. oThere is frequently an increased red cell distribution width (RDW). oReticulocyte count: Usually low. WBCs: • Neutropenia (40%); consider ethnic variation in reference ranges. Platelets: • Thrombocytopenia (30%). Pancytopenia (15%). • Hgb < 10 g/dL, ANC < 1.8 x 10⁹/L, and Platelet count < 100 x 10⁹/L.
  • 10.
    II. Evaluate forDysplasia: • Must exceed 10% threshold. • Dysplastic morphology is a critical feature in establishing the diagnosis. • Provide percentage dysplasia and describe unique features. • Dysplastic features in mature cells are best seen in the PB: • RBCs: oBasophilic stippling. oPoikilocytosis. oHowell-Jolley bodies. oSometimes a dual population of RBCs, with one being normocytic or microcytic and hypochromic and the second being macrocytic. § This finding should be interpreted with the transfusion history in mind.
  • 11.
  • 12.
  • 13.
    • WBCs: oPseudo–Pelger Huëtnuclei and cytoplasmic vacuoles. oHypogranular / agranular cytoplasm in neutrophils. oHypolobulation of neutrophils. • Platelets: oLarge or abnormally granulated platelets.
  • 14.
    PB film, MDS,showing anisocytosis, poikilocytosis and two pseudo-Pelger–Huët neutrophils, one of which is also hypogranular
  • 15.
    This myelocyte (right)in peripheral blood has a nucleus with clumped chromatin and a basophilic immature cytoplasm showing asynchrony. Note also the agranular myeloid cell (left) Agranular myeloid cells
  • 16.
    III. Evaluate blastpercentage: • Based on 200-cell leukocyte differential count. • Blast morphology defined by International Working Group on Morphology (IWGM) of MDS Determination. • Myeloblasts are defined in terms of several characteristics: oNuclear characteristics: § High nuclear/cytoplasmic ratio. § Easily visible nucleoli. § Fine nuclear chromatin (usually, but not invariably). § Nuclear shape is variable. oCytoplasmic characteristics: § Variable cytoplasmic basophilia. § There may or may not be granules or Auer rods but no Golgi zone is detected.
  • 17.
    • The IWGMgroup recommended that myeloblasts in MDS should be classified as agranular or granular. oAgranular blasts: correspond to the type I blasts of the FAB classification. oGranular blasts: are cells that have the nuclear features of blast cells but also have cytoplasmic granules. These cells will thus include type II and type III blasts. • Blasts common in higher grade MDS.
  • 18.
    Bone Marrow Examination: I.Bone Marrow Aspiration or touch preparations: 1. Evaluate Blast percentage: • Perform 500-cell leukocyte differential count. oBlast percentage based on visual inspection and not flow cytometric analysis. oInclude all cells in count except neoplastic lymphocytes, plasma cells. 2. Evaluate for Dysplasia: • Dysplasia in ≥ 10% of cell lineage threshold. oRequires high-quality smears/preparations. oDo not perform on specimens exposed to anticoagulants for > 2 hours before smear preparation. oDysplasia is not specific for MDS as it can be seen in normal subjects and in patients with non-neoplastic cytopenias.
  • 20.
  • 21.
  • 23.
    - Asynchronous maturationof granulocytes with hyposegmented nuclei. - Prominent granulocytic hypogranulation. MPO negative granulocytes
  • 24.
    Dysplasia in myeloidprecursors can be manifested by dysplastic granulation with granules of eosinophilic type and basophilic type (arrow)
  • 26.
    Megakaryocyte with smallseparated nuclei Dysmegakaryopoiesis: Small dysplastic megakaryocytes with hypolobated and hyperchromatic nuclei.
  • 27.
    II. BM trephinebiopsy: Cellularity: • Usually hypercellular or normocellular with ineffective hematopoiesis. • Hypocellular in 10% of adults (Hypoplastic MDS), 70% of children (Childhood MDS). Cellular organization: • In MDS, there is disorganization of hematopoiesis: oImmature myeloid elements occur away from bone trabeculae. oErythroid elements fail to form well-defined clusters. oMegakaryocytes may cluster. Erythroid Series: • Erythroid hyperplasia is most common. Granulocytic Series: • Blasts in aggregates (3-5 cells) or clusters (> 5 cells). • Associated with aggressive MDS if localized away from vascular structures or bony trabeculae (Abnormally Localized Immature Precursors “ALIPs”).
  • 29.
  • 31.
    Megakaryocytic Series: • Megakaryocytedysplasia may be better appreciated in biopsy sections than aspirate smears. • Evaluation of ≥ 30 megakaryocytes is required (includes aspirate smears and touch preparations). • Micromegakaryocytes are relatively specific for MDS.
  • 32.
    ANCILLARY TESTS: 1. Cytochemistry: Ironstain (Prussian blue reaction): • Performed on BM aspirate smears. • Sideroblasts: International Working Group definitions: oType 1: < 5 siderotic granules in cytoplasm (Normal sideroblast). oType 2: ≥ 5 siderotic granules not in perinuclear distribution. oType 3: ≥ 5 siderotic granules in perinuclear distribution. § Surround nucleus or encompass at least 1/3 of nuclear circumference. § Only type 3 qualifies as Ring Sideroblasts.
  • 34.
    2. Immunohistochemistry: • Usuallynot indicated in most cases if adequate flow cytometry and excellent aspirate smear are obtained. • Essential if biopsy is crushed and/or aspirate is markedly hemodilute. • Useful to identify abnormal cells that may be subtle on routine histology or poorly detected by flow cytometry: • Facilitates detection of micromegakaryocytes (CD61 or CD42b). • Enumerate blasts and their abnormal localization (CD34). • Quantify erythroid lineage and detect disruption of normal erythroid localization (CD71 or hemoglobin A).
  • 35.
    Disruption of thenormal BM architecture is illustrated with Hemoglobin A stain. The erythroid precursors are scattered without good colony formation. BM biopsy shows uneven distribution of CD34+ blasts that are slightly increased and fulfill the minimum criteria for diagnosis of MDS-EB.
  • 36.
    3. Flow cytometryassessment of MDS: • Flow is important to evaluate for lymphomas that can present with cytopenia mimicking MDS. • Abnormal flow cytometry patterns predict MDS with good sensitivity and specificity. oAbnormalities in blasts and maturing elements. • WHO 2017 and ELN guidelines do not permit diagnosis of MDS based alone on flow cytometry.
  • 38.
  • 39.
    5. Fluorescence insitu hybridization (FISH): • Helpful if insufficient conventional cytogenetic study (i.e., < 20 metaphases). • Can perform on BM touch preparations, aspirate smears, or remaining cytogenetic cell pellet. • Not sufficient for diagnosis of MDS in absence of morphologic dysplasia. • FISH analysis should cover at least the following regions: 5q31, CEP7, 7q31, 20q, CEP8, CEPY and p53.
  • 40.
    6. Additional moleculargenetic testing:
  • 41.
    but the samemutations can also occur in healthy individuals !! •A significant proportion of apparently healthy individuals harbor somatic MDS-type mutations in hematopoietic cells. oDNMT3A, TET2, ASXL1, SFTB1, TP53, JAK2. oIncidence increases with age. oAssociated with increased risk of subsequent hematologic malignancy and mortality, but many patients never develop MDS even after years of follow up. oDesignated as: “Clonal Hematopoiesis of Indeterminate Potential” (CHIP) or “Clonal Cytopenia of Undetermined Significance (CCUS) if patient is also cytopenic. oThe National Comprehensive Cancer Network (NCCN) guidelines warn against the use of these mutations as presumptive evidence of MDS, in absence of other diagnostic features.
  • 42.
    WHAT IS SUFFECIENTTO DIAGNOSE MDS ACCORDING TO CURRENT CRITERIA (WHO 2016)? Observation Suffecient to diagnose MDS in a cytopenic patients? Dysplastic morphology (≥ 10%) Yes, provided posible secondary causes of cytopenia and dysplasia are excluded clinically. Excess BM blasts (≥ 5%) Yes, provided BM recovery or growth factor effect are excluded. Cytogenetic abnormality Yes, provided it is on the WHO list of “approved” abnormalities (excluding +8, del(20q), –Y). Flow cytometry abnormality No, but can support MDS diagnosis suspected by other observations. MDS-type mutation No, these can be found in normal individuals (“clonal hematopoiesis of indeterminate potential”); may support MDS diagnosis suspected by other observations.
  • 43.
    CLASSIFICATION: The 2016 WHOClassification of MDS 1. MDS with Single Lineage Dysplasia (MDS-SLD). 2. MDS with Multilineage Dysplasia (MDS-MLD). 3. MDS with Ringed Sideroblasts (MDS-RS). o MDS-RS with single lineage dysplasia (MDS-RS-SLD). o MDS-RS with multilineage dysplasia (MDS-RS-MLD). 4. MDS with isolated del(5q). 5. MDS, Unclassifiable (MDS-U) 6. MDS with excess blasts (MDS-EB). 7. Refractory Cytopenia of Childhood (RCC) (Provisional entity). < 1% PB blasts < 5% BM blasts > 1% PB blasts or > 5% BM blasts or Auer rods Low grade High grade
  • 44.
    1. MDS withSingle Lineage Dysplasia (MDS-SLD) • PB cytopenia: oRefractory anemia is most common in adults. oBicytopenia may be present but not pancytopenia. • Unilineage dysplasia: oInvolves ≥ 10% of cells in affected cell lineage. oNot always same lineage as cytopenia. • Blasts: < 1% in PB, < 5% in BM, no Auer rods. • Ring sideroblasts: < 15% or < 5% if SFTB1 mutation present. CHALLENGES § Distinction from non-MDS causes of cytopenia: recommend waiting for 6 months and repeat BM examination if cytopenia persists.
  • 45.
    2. MDS withMultilineage Dysplasia (MDS- MLD) • PB cytopenia(s): oAnemia, neutropenia, &/or thrombocytopenia. oBicytopenia may be present but not pancytopenia. • Multilineage dysplasia: oDysplasia ≥ 10% of cells in 2 or more hematopoietic lineages: • Blasts: < 1% in PB, < 5% in BM, no Auer rods. • Ring sideroblasts: < 15% or < 5% if SFTB1 mutation present. CHALLENGES § Some reactive conditions may cause dysplasia in 2 lineages. § Iron stain needed to exclude MDS-RS-MLD. § Carefully examine blood smear & BM to exclude excess blasts.
  • 46.
    3. MDS withRing Sideroblasts (MDS-RS) • Low-grade MDS: o Blasts < 1% in PB, < 5% in BM. o No Auer rods. o Strong association with SFTB1 mutation. MDS-RS-SLD: • Ring sideroblasts: ≥ 15% RS or ≥ 5% RS and SF3B1 mutation. • PB cytopenia: Anemia or bicytopenia. • Single lineage dysplasia: ≥ 10% dysplasia in erythroid lineage. MDS-RS-MLD: • Ringed sideroblasts: ≥ 15% RS or ≥ 5% RS and SF3B1 mutation. • PB cytopenia: 1 to 3 cytopenias. • Multilineage dysplasia: ≥ 10% dysplasia in ≥ 2 lineages.
  • 47.
    CHALLENGES § Keep inmind secondary causes of ring sideroblasts: oAlcohol, drugs, hereditary. § Iron stain should be done on BM aspirate smears. § Insensitive in decalcified trephine biopsy. § By definition, if ≥ 15% ring sideroblasts are present, the erythroid lineage is dysplastic.
  • 48.
    4. MDS withIsolated del(5q) • Clonal hematopoietic neoplasm. • Cytogenetics: odel(5q) involving 5q31-5q33 region. oCytogenetics may show 1 additional abnormality excluding monosomy 7/del(7q). • Dysplasia: at least 1 lineage shows ≥ 10% dysplasia especially in megakaryocytic lineage. • PB cytopenia: o1 or 2 cytopenia but not pancytopenia. oThrombocytosis common. • Blasts: < 1% in PB, < 5% in BM. oNo Auer rods. • Favorable prognosis.
  • 49.
    5. MDS withExcess Blasts (MDS-EB) • Aggressive form (high grade MDS). • Blasts: oMDS-EB1: § 2-4% blasts in PB, OR 5-9% blasts in BM. oMDS-EB2: § 5-19% blasts in PB, OR 10-19% blasts in BM, OR Auer rods regardless of blast percent. • PB cytopenia: oUsually bicytopenia or pancytopenia. • Dysplasia: oUsually multilineage dysplasia. • Ring sideroblasts: not relevant. • Disease progression: about 1/3 progress to AML.
  • 50.
    Blast counting inMDS: • Accurate blast counting is critical: oFirst choice: Well-stained BM aspirate smears. oSecond choice: Good touch preparation. oThird choice: BM core biopsy. § CD34, CD117 immunostains helpful but may not typically stain all the blasts. • Flow cytometry usually correlates with BM aspirate smear blast count, but…. oCells may be lost in processing. oPB contamination may affect count. oBM aspirate blast count remains ‘Gold standard’.
  • 51.
    6. MDS, Unclassifiable(MDS-U) 3 specific scenarios qualify for this diagnosis: • Scenario 1: oPancytopenia plus unilineage dysplasia. • Scenario 2: o1% peripheral blood blasts. oMust be seen on 2 separate occasions. üIn cases of MDS-SLD, MDS-MLD, MDS-RS, MDS with del(5q). • Scenario 3: oCytogenetic abnormality considered as presumptive evidence of MDS. oPersistent unexplained cytopenias. oInsufficient dysplasia or blasts for overt MDS
  • 52.
    MDS-U: Diseases ‘onthe fence’ between other entities
  • 53.
    7. Refractory cytopeniaof childhood (RCC) • Provisional entity in the 2016 WHO Classification. • PB cytopenia: oPersistent cytopenia(s) during childhood. oRefractory neutropenia or thrombocytopenia most common; isolated refractory anemia rare. • Blasts: < 2% in PB; < 5% in BM. • Dysplasia: Dysplasia in 2 lineages (erythroid, granulocytic, megakaryocytic) or ≥ 10% in single lineage. • Ring sideroblasts: No ring sideroblasts. • Classify into adult-type MDS category if ↑ blasts develop or criteria for RCC unfulfilled: oMDS with excess blasts (EB): Blasts: 2-19% in PB or 5-19% in BM. oMDS with ring sideroblasts or MDS/del 5q: Exceedingly rare in children.
  • 55.
    Hypoplastic MDS • About10–15% of MDS in adults (and a much higher percentage in children) has reduced BM cellularity for age • Hypoplastic MDS is not a specific entity in the 2016 WHO Classification, and such cases should be classified as for other MDS. Rather, this term serves to identify a group of MDS cases that must be carefully distinguished from other hypoplastic marrow states. • Interestingly, hypoplastic MDS is more likely than more cellular MDS cases to respond favorably to immunosuppression, suggesting a possible biologic overlap with aplastic anemia • A careful blast count on the aspirate smear must be performed to distinguish hypoplastic MDS-EB from hypoplastic AML. CD34
  • 56.
    Erythroid-Predominant MDS • Casesof MDS with erythroid predominance (≥50% erythroid elements) comprise about 15% of all MDS and are more frequently therapy related • Erythroid predominance does not define a specific entity in the 2016 WHO classification. • These cases are most frequently classified as MDS- SLD, MDS-MLD or MDS-RS. • In the 2016 WHO classification, most erythroid- predominant cases previously classified as acute erythroid leukemia, erythroid/myeloid subtype in the 2008 WHO classification are now classified as MDS-EB. This change was made because the method of counting blasts as a proportion of non- erythroid cells in acute erythroid leukemia did not necessarily predict clinically distinctive disease. Glycophorin
  • 57.
    DIFFERENTIAL DIAGNOSIS: Avoid MDSdiagnosis if potential secondary cause 1. Drugs/toxins: oRecent (< 6 months) chemotherapy or radiotherapy. oArsenic / heavy metal toxicity. oAlcoholism. 2. Vitamin B12 / folate deficiency, copper deficiency. 3. Infections: oAIDS. 4. Autoimmune diseases. 5. Neoplasms: oInvolving BM (especially myeloma, LGL and hairy cell leukemia). oRemote solid tumor (paraneoplastic myelodysplasia). Beware of making diagnosis in young patients.
  • 58.
    DIAGNOSTIC ALGORITHMS: 1. Caseswith unilineage dysplasia:
  • 59.
    2. Cases withmultilineage dysplasia: