Hepatoblastoma-hb
Lecture 18
Liver tumors in
children
Hepatoblastoma-hb
CHEMOTHERAPY
&
RADIOTHERAPY
SOMETHING TO REMEMBER
Adjuvant therapy.
❖ Treatment given after the surgery, to lower the risk that the cancer
will come back,
Why we use the chemotherapy?
Chemotherapy is a cancer treatment that uses drugs to stop the growth
of cancer cells, either by killing the cells or by stopping them from
dividing
Chemotherapy -
Neoadjuvant therapy
❖ Chemotherapy is sometimes given before surgery to shrink the tumor
and make it easier to remove.
Regional chemotherapy
❖ When chemotherapy is placed directly into
the cerebrospinal fluid, an organ, or a body
cavity such as the abdomen, the drugs mainly
affect cancer cells in those areas
Systemic chemotherapy
❖ When chemotherapy is taken by mouth or
injected into a vein or muscle, the drugs
enter the bloodstream and can reach cancer
cells throughout the body
Chemotherapy
Trans Arterial Chemo embolization -TACE
• type of regional chemotherapy
• For hepatic cancer that cannot be removed by
surgery.
• The drug is mixed with a substance that blocks
the artery, cutting off blood flow to the tumor
• The blockage may be temporary or permanent,
depending on the substance used to block the
artery
• The tumor is prevented from getting the oxygen
and nutrients it needs to grow
• The liver continues to receive blood from the
hepatic portal vein, which carries blood from the
stomach and intestine to the liver
External radiation therapy
❖ uses a machine outside the body to send radiation toward
the area of the body with cancer.
Internal radiation therapy
❖ uses a radioactive substance sealed in needles, seeds,
wires, or catheters that are placed directly into or near
the cancer.
Radiation therapy
There are two types of radiation therapy:
❖ used to treat hepatoblastoma that cannot be removed by
surgery or has spread to other parts of the body
❖ Percutaneous ethanol injection:
A small needle is used to inject ethanol (pure alcohol)
directly into a tumor to kill cancer cells. (Treatment
may require several injections.)
Ablation therapy
▪ Ablation therapy removes or destroys tissue.
▪ to treat recurrent hepatoblastoma.
❖ Radiofrequency ablation:
❖ Special needles are inserted directly through the
skin or through an incision in the abdomen to
reach the tumor.
❖ High-energy radio waves heat the needles and
tumor which kills cancer cells.
❖Targeted therapy is a type
of treatment that uses drugs
or other substances to identify
and attack specific cancer
cells.
❖Less harm to normal cells
❖Used for recurrent
hepatoblastoma treatment
Targeted therapy
HEPATOBLASTOMA
HB
liver and its functions
o The liver is one of the crucial and largest
parts of the body.
o It is located towards the upper right-hand
portion of the abdominal cavity.
o Rich of blood: 13% of total volume) is
stored in the liver at any time.
o Tow lobes
o Production :proteins, cholesterol
o Detoxication: bilirubin. Urea nitrogen
o Storage :vitamins .iron, sugar
o Regulation : iron absorption, coagulation
❖ HBs are embryonal neoplasms that
histologically recapitulate stages of
liver development
❖ is the most common cancerous
(malignant) liver tumor in early
childhood consist 70%.
❖ primarily affects children from
infancy to about 5 years of age
(during the first 18 months of life)
❖ 1% of all the prevailing pediatric
cancers
DEFINITIONS • Hepatoblastoma:
❖ the exact cause of hepatoblastoma is
unknown
❖ Most tumors are sporadic
❖ Associated with inherited syndromes-
15% of cases
❑ Beckwith–Wiedemann syndrome
(BWS)
❑ Familial adenomatous polyposis
(FAP) (development of numerous
colonic polyps)
❑ Edward syndrome trisomy18
(multiple congenital anomalies)
HB-etiology
HB-etiology
Others risk factors →Non-hereditary
causes of HB
❖ Low birth weight infants
❖ preeclampsia
❖ and parental tobacco smoking
before and during pregnancy.
❖ Children with HB have gain-of-function mutations in
❖ CTNNB1 gene → provides instructions for making a protein called
beta-catenin
❖ or APC gene → the APC protein acts as a tumor suppressor, which
means that it keeps cells from growing and dividing too fast or in an
uncontrolled way
HB-Genetic mutation
When there is mutation ?
❖ that lead to activation of the WNT pathway.
❖ These genetic lesions account for more than 90% of all CASES
Beta-catenin.
• present in many types of cells and
tissues,
• which is part of the Wnt signaling
pathway.
• Its functions to connect neighboring
cells (adherents junctions)
The Wnt signaling pathways
❖ Signals group, use proteins which
pass signals to other nearby cells
through cells membrane receptors
HB-Genetic mutation
Genetic syndromes of hepatoblastoma
•a large abdominal mass, or swollen abdomen
•weight loss, decreased appetite
•abdominal pain
•vomiting
•jaundice (yellowing of the eyes and skin)
•fever
•itching skin
•anemia (pale skin and lips from a decreased
number of red blood cells)
•back pain from compression of the tumor
HB-symptoms
Histological types of hepatoblastomas
1-Epithelial type (E-HB)
❖ Epithelial hepatoblastoma consists of fetal or embryonal malignant
hepatocytes (poorly differentiated cells- )
2. Mixed epithelial and Mesenchymal type (MEM-HB).
❖ has both an epithelial (hepatocyte) component and a mesenchymal
component consisting of primitive mesenchymal tissue
and osteoid material or cartilage
Histologic types
Hepatoblastomas originate from primitive hepatic stem cells that give
rise to the epithelial components of the liver
Proposed cellular origin of cancer stem cells (CSC) in a hepatoblastoma (HB).
The histology for
hepatoblastoma may be
one of the following:
• well-differentiated fetal
(pure fetal) histology
• small cell
undifferentiated (SCU) –
with low AFP → Bad
prognosis
• Most hepatoblastoma tumors begin in the right lobe of the
liver.
• Hepatoblastoma cancer cells also can spread (metastasize) to
other areas of the body.
The most common site of metastasis is
❖ the lungs.
❖ Brain
HB-SURGICAL STAGIGING
PRETEXT
&
POSTTEXT
HB-SURGICAL STAGIGING
Stages of hepatoblastoma
❖ Stagging is used to find out if cancer cells have spread within the
liver or to other parts of the body. (spread within the liver, to nearby
tissues or organs, or to other parts of the body .)
❖ In hepatoblastoma, the PRETEXT and POSTTEXT groups are used
instead of stage to plan treatment
❖ To decide whether the tumor can be removed by surgery or no
Stages of hepatoblastoma
❖Pretreatment Extent of Disease (PRETEXT)
❖Posttreatment Extent of Disease (POSTTEXT)
The Children’s Hepatic Tumors International Collaboration (CHIC)
constructed a staging and risk stratification system intended to
standardize the assessment of this tumor across the globe
Found to be most predictive are
❖AFP levels, -patient age - presence of metastases
The tow major group are
❖Consist four risk group (I, II, III, or IV)
Stages of hepatoblastoma
❖The PRETEXT group describes the tumor before the patient has any
treatment.
❖The POSTTEXT group describes the tumor after the patient has had
treatment .
❖The liver is divided into four sections.
❖The PRETEXT and POSTTEXT groups depend on which sections of the
liver have cancer.
❖There are four PRETEXT and POSTTEXT groups.
PRETEXT and POSTTEXT group I
survival of >90%
PRETEXT and POSTTEXT group I
survival of 70%
PRETEXT and POSTTEXT group II
survival of 70%
PRETEXT and POSTTEXT group II
PRETEXT and POSTTEXT group III
PRETEXT and POSTTEXT group IV
survival of 40%
AFP low
PRETEX IV
❖ AFP is the tumor marker for HB, both diagnosis and follow-up:
levels above 100-500 ng/mL at diagnosis are associated with 5-
year survival rates below
❖ AFP is typically high upon diagnosis up to 500ng/ml
❖ but a significant drop after neo-adjuvant chemotherapy portends a
better response to treatment
Alfa-fetoprotein-AFP
AFP is produced at increased rates by rapidly growing liver cells such
as hepatoblastoma cells, a rare liver tumor
Benign liver disorders can also cause elevated AFP levels, but levels
are typically not as high as seen in hepatoblastoma
Normal AFP: in children lower than 50ng/ml
Adult ;lower than 10ng/ml
HB-prognosis
❖ Neoadjuvant chemotherapy and surgical resection produce a cure
rate of approximately 70%, (5-year survival)
❖ children younger than 1 year of age have a better prognosis
❖ and children greater than 6 years of age have a worse prognosis
❖ The epithelial cell adhesion molecule (EpCAM) expression has
been associated with higher tumor viability and a poorer
response to neo-adjuvant chemotherapy
❖ Beta-catenin expression has been shown to be associated with a
lower period of event free survival,
Complications
❖ Intraperitoneal tumor rupture
❖ Complications related to chemotherapy
❖ Post-transplant complications
❖ Psychosocial effects of treatment and painful procedures
HB-complications
❖ Patient history
❖ Clinical examination
BLOOD
❖ CBC-ESR
❖ LFT
❖ AFP
Hepatoblastoma - Diagnostic panel
RADIOLOGY
❖ CT scan-is the imaging of choice in
preoperative diagnosis and
staging. Pelvis, chest, abdomen,
❖ MRI :liver help to stage the patient
❖ PET-CT with fluorodeoxyglucose (F-
FDG) optimizes anatomical
localization of the lesions and
response to treatment
Hepatoblastoma - Diagnostic panel
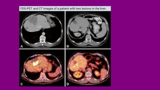
FDG-PET and CT images of a patient with two lesions in the liver.
CT scan of a patient with hepatoblastoma in the right hepatic lobe before (a) and after (b) chemotherapy. The
tumor size decreased, and the patient underwent right hepatectomy with surgical margins that were free of
tumor cells.
Posteroanterior chest X-ray and thorax computed tomography images of pulmonary
metastatic nodules and foci
Red arrow: pulmonary metastatic nodules.
Hepatoblastoma-HB.pdf

Hepatoblastoma-HB.pdf

  • 1.
  • 2.
  • 3.
  • 4.
    Adjuvant therapy. ❖ Treatmentgiven after the surgery, to lower the risk that the cancer will come back, Why we use the chemotherapy? Chemotherapy is a cancer treatment that uses drugs to stop the growth of cancer cells, either by killing the cells or by stopping them from dividing Chemotherapy - Neoadjuvant therapy ❖ Chemotherapy is sometimes given before surgery to shrink the tumor and make it easier to remove.
  • 5.
    Regional chemotherapy ❖ Whenchemotherapy is placed directly into the cerebrospinal fluid, an organ, or a body cavity such as the abdomen, the drugs mainly affect cancer cells in those areas Systemic chemotherapy ❖ When chemotherapy is taken by mouth or injected into a vein or muscle, the drugs enter the bloodstream and can reach cancer cells throughout the body Chemotherapy
  • 6.
    Trans Arterial Chemoembolization -TACE • type of regional chemotherapy • For hepatic cancer that cannot be removed by surgery. • The drug is mixed with a substance that blocks the artery, cutting off blood flow to the tumor • The blockage may be temporary or permanent, depending on the substance used to block the artery • The tumor is prevented from getting the oxygen and nutrients it needs to grow • The liver continues to receive blood from the hepatic portal vein, which carries blood from the stomach and intestine to the liver
  • 7.
    External radiation therapy ❖uses a machine outside the body to send radiation toward the area of the body with cancer. Internal radiation therapy ❖ uses a radioactive substance sealed in needles, seeds, wires, or catheters that are placed directly into or near the cancer. Radiation therapy There are two types of radiation therapy: ❖ used to treat hepatoblastoma that cannot be removed by surgery or has spread to other parts of the body
  • 8.
    ❖ Percutaneous ethanolinjection: A small needle is used to inject ethanol (pure alcohol) directly into a tumor to kill cancer cells. (Treatment may require several injections.) Ablation therapy ▪ Ablation therapy removes or destroys tissue. ▪ to treat recurrent hepatoblastoma. ❖ Radiofrequency ablation: ❖ Special needles are inserted directly through the skin or through an incision in the abdomen to reach the tumor. ❖ High-energy radio waves heat the needles and tumor which kills cancer cells.
  • 9.
    ❖Targeted therapy isa type of treatment that uses drugs or other substances to identify and attack specific cancer cells. ❖Less harm to normal cells ❖Used for recurrent hepatoblastoma treatment Targeted therapy
  • 10.
  • 11.
    liver and itsfunctions o The liver is one of the crucial and largest parts of the body. o It is located towards the upper right-hand portion of the abdominal cavity. o Rich of blood: 13% of total volume) is stored in the liver at any time. o Tow lobes o Production :proteins, cholesterol o Detoxication: bilirubin. Urea nitrogen o Storage :vitamins .iron, sugar o Regulation : iron absorption, coagulation
  • 13.
    ❖ HBs areembryonal neoplasms that histologically recapitulate stages of liver development ❖ is the most common cancerous (malignant) liver tumor in early childhood consist 70%. ❖ primarily affects children from infancy to about 5 years of age (during the first 18 months of life) ❖ 1% of all the prevailing pediatric cancers DEFINITIONS • Hepatoblastoma:
  • 14.
    ❖ the exactcause of hepatoblastoma is unknown ❖ Most tumors are sporadic ❖ Associated with inherited syndromes- 15% of cases ❑ Beckwith–Wiedemann syndrome (BWS) ❑ Familial adenomatous polyposis (FAP) (development of numerous colonic polyps) ❑ Edward syndrome trisomy18 (multiple congenital anomalies) HB-etiology
  • 15.
    HB-etiology Others risk factors→Non-hereditary causes of HB ❖ Low birth weight infants ❖ preeclampsia ❖ and parental tobacco smoking before and during pregnancy.
  • 16.
    ❖ Children withHB have gain-of-function mutations in ❖ CTNNB1 gene → provides instructions for making a protein called beta-catenin ❖ or APC gene → the APC protein acts as a tumor suppressor, which means that it keeps cells from growing and dividing too fast or in an uncontrolled way HB-Genetic mutation When there is mutation ? ❖ that lead to activation of the WNT pathway. ❖ These genetic lesions account for more than 90% of all CASES
  • 17.
    Beta-catenin. • present inmany types of cells and tissues, • which is part of the Wnt signaling pathway. • Its functions to connect neighboring cells (adherents junctions) The Wnt signaling pathways ❖ Signals group, use proteins which pass signals to other nearby cells through cells membrane receptors HB-Genetic mutation
  • 18.
    Genetic syndromes ofhepatoblastoma
  • 19.
    •a large abdominalmass, or swollen abdomen •weight loss, decreased appetite •abdominal pain •vomiting •jaundice (yellowing of the eyes and skin) •fever •itching skin •anemia (pale skin and lips from a decreased number of red blood cells) •back pain from compression of the tumor HB-symptoms
  • 20.
    Histological types ofhepatoblastomas 1-Epithelial type (E-HB) ❖ Epithelial hepatoblastoma consists of fetal or embryonal malignant hepatocytes (poorly differentiated cells- ) 2. Mixed epithelial and Mesenchymal type (MEM-HB). ❖ has both an epithelial (hepatocyte) component and a mesenchymal component consisting of primitive mesenchymal tissue and osteoid material or cartilage Histologic types Hepatoblastomas originate from primitive hepatic stem cells that give rise to the epithelial components of the liver
  • 21.
    Proposed cellular originof cancer stem cells (CSC) in a hepatoblastoma (HB).
  • 23.
    The histology for hepatoblastomamay be one of the following: • well-differentiated fetal (pure fetal) histology • small cell undifferentiated (SCU) – with low AFP → Bad prognosis
  • 24.
    • Most hepatoblastomatumors begin in the right lobe of the liver. • Hepatoblastoma cancer cells also can spread (metastasize) to other areas of the body. The most common site of metastasis is ❖ the lungs. ❖ Brain HB-SURGICAL STAGIGING
  • 25.
  • 26.
    Stages of hepatoblastoma ❖Stagging is used to find out if cancer cells have spread within the liver or to other parts of the body. (spread within the liver, to nearby tissues or organs, or to other parts of the body .) ❖ In hepatoblastoma, the PRETEXT and POSTTEXT groups are used instead of stage to plan treatment ❖ To decide whether the tumor can be removed by surgery or no
  • 27.
    Stages of hepatoblastoma ❖PretreatmentExtent of Disease (PRETEXT) ❖Posttreatment Extent of Disease (POSTTEXT) The Children’s Hepatic Tumors International Collaboration (CHIC) constructed a staging and risk stratification system intended to standardize the assessment of this tumor across the globe Found to be most predictive are ❖AFP levels, -patient age - presence of metastases The tow major group are ❖Consist four risk group (I, II, III, or IV)
  • 28.
    Stages of hepatoblastoma ❖ThePRETEXT group describes the tumor before the patient has any treatment. ❖The POSTTEXT group describes the tumor after the patient has had treatment . ❖The liver is divided into four sections. ❖The PRETEXT and POSTTEXT groups depend on which sections of the liver have cancer. ❖There are four PRETEXT and POSTTEXT groups.
  • 30.
    PRETEXT and POSTTEXTgroup I survival of >90%
  • 31.
    PRETEXT and POSTTEXTgroup I survival of 70%
  • 32.
    PRETEXT and POSTTEXTgroup II survival of 70%
  • 33.
  • 34.
  • 35.
    PRETEXT and POSTTEXTgroup IV survival of 40% AFP low
  • 36.
  • 37.
    ❖ AFP isthe tumor marker for HB, both diagnosis and follow-up: levels above 100-500 ng/mL at diagnosis are associated with 5- year survival rates below ❖ AFP is typically high upon diagnosis up to 500ng/ml ❖ but a significant drop after neo-adjuvant chemotherapy portends a better response to treatment Alfa-fetoprotein-AFP AFP is produced at increased rates by rapidly growing liver cells such as hepatoblastoma cells, a rare liver tumor Benign liver disorders can also cause elevated AFP levels, but levels are typically not as high as seen in hepatoblastoma Normal AFP: in children lower than 50ng/ml Adult ;lower than 10ng/ml
  • 38.
    HB-prognosis ❖ Neoadjuvant chemotherapyand surgical resection produce a cure rate of approximately 70%, (5-year survival) ❖ children younger than 1 year of age have a better prognosis ❖ and children greater than 6 years of age have a worse prognosis ❖ The epithelial cell adhesion molecule (EpCAM) expression has been associated with higher tumor viability and a poorer response to neo-adjuvant chemotherapy ❖ Beta-catenin expression has been shown to be associated with a lower period of event free survival,
  • 39.
    Complications ❖ Intraperitoneal tumorrupture ❖ Complications related to chemotherapy ❖ Post-transplant complications ❖ Psychosocial effects of treatment and painful procedures HB-complications
  • 40.
    ❖ Patient history ❖Clinical examination BLOOD ❖ CBC-ESR ❖ LFT ❖ AFP Hepatoblastoma - Diagnostic panel
  • 41.
    RADIOLOGY ❖ CT scan-isthe imaging of choice in preoperative diagnosis and staging. Pelvis, chest, abdomen, ❖ MRI :liver help to stage the patient ❖ PET-CT with fluorodeoxyglucose (F- FDG) optimizes anatomical localization of the lesions and response to treatment Hepatoblastoma - Diagnostic panel
  • 42.
    FDG-PET and CTimages of a patient with two lesions in the liver.
  • 44.
    CT scan ofa patient with hepatoblastoma in the right hepatic lobe before (a) and after (b) chemotherapy. The tumor size decreased, and the patient underwent right hepatectomy with surgical margins that were free of tumor cells.
  • 45.
    Posteroanterior chest X-rayand thorax computed tomography images of pulmonary metastatic nodules and foci Red arrow: pulmonary metastatic nodules.