Reading X-Ray
for UGs
• Dr.C.S.N.Vittal
Chest X – Ray Reading tips
• Location-Part of the body and the view (…..Eg. sir it is a plain x ray of chest in PA view)
• Focused area - Phase of Inspiration
• Centering / Rotation
• Exposure for quality / Penetration
• Diagnostic Exam
• Subcutaneous tissues
• Clavicles & Rib
• Trachea
• Hila
• Lung fields
• Cardio phrenic angles
• Vascular markings
• Diaphragm
• Heart
Anatomical land marks
1
3
2
5
4
10
6
7
9
8
11
13
12
14
15
Anatomical land marks
Bony cage
First step is
Identification
of T1
AP view or PA view
AP view PA view
Clavicle At or above apex
of lung fields
Within the lung
fields
ribs horizontal oblique
scapula Within lung
fields
Away from the
lung fields
Vertebral
column
Distinctly seen Less distinct and
less dense
Clavicle in / scapula out -> is PA view
Clavicle at or
above apex
of lung fields
Clavicle
Within the
lung fields
Ribs - horizontalRibs - oblique
Scapula –
within the
lung fields
Scapula - away
from the lung
fields
Vertebral column -
Less distinct and
less dense
Vertebral column -
Distinctly seen
Focused area
Expiration
Inspiration
Full inspiratory effort
• Adequate inspiration: diaphragm
at 9th rib
• Ensure 9 posterior ribs and 7
anterior ribs in children aged 3-7
years old in upright PA radiograph
(8 visible posterior ribs in children aged 0-3 years
old)
• Cardiac shadow not merged with
diaphragmatic shadow
• Look for alignment of clavicles
• Alignment of thoracic spine
to the center of medial ends
of clavicle or center of
sternum.
Centering
Rotation
• He clavicles lie on the same
horizontal plane and anterior ribs
are of equal length. Equidistant
from spinous processes
• ​Use anterior rib ends to measure
• The head of clavicles to lie at the
level between T2 and T4
• Medial ends of the ribs are equal
distance to the center of the spine
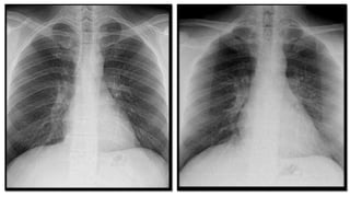
Rotation
• Patient in b is rotated to the left. The heart is appreciably in the left hemithorax, and the left side of the
chest is relatively elongated, as compared to the right. Note the opacity in the right lower chest field
(arrow). The reverse is true in e
E
x
p
o
s
u
r
e
Penetration
DIAGNOSIS
Normal PA
Subcutaneous tissues
Surgical
emphysema
Calcified
lymphnodes
Clavicle
Fracture
Ribs
Fractures
Deformity
Tracheal position
Normal Deviated to Rt. Due to Pneumothorax on Lt side
HILA
Normal
HILA
Lung
Fields
Costophrenic angle
Costophrenic angle
• Blunting –
• due to effusion
• Fibrosis (rare in children)
Vascular
markings
Diaphragm
Normal
Flat Diaphragm
Diaphragmatic Hernia
Bowel loops in
side the chest &
No clear
diaphragm
shadow
RML Consolidation
AIR BRONCHOGRAM SIGN
When the internal tubular outline
of a bronchus is visible within a
thoracic opacity…that is an air
bronchogram.
SILHOUETTE SIGN
a) the left lower lobe—because
the left dome of the
diaphragm is blurred;
b) the lingular segments of the
upper lobe—because the left
heart border is blurred;
c) the middle lobe—because the
right heart border is blurred;
d) the right lower lobe—because
the right dome of the
diaphragm is blurred.
The CXR appearance of a blurred
or missing interface is referred to
as the silhouette sign
• An intrathoracic lesion touching a
border of the heart, aorta, or
diaphragm will obliterate part of that
border on the radiograph.
• An intrathoracic lesion which is not
anatomically contiguous with a
border will not obliterate that border.
RML Consolidation
AIR BRONCHOGRAM SIGN
When the internal tubular outline
of a bronchus is visible within a
thoracic opacity…that is an air
bronchogram.
Rt border of heart not clear –
(Silhoutte Sign)
Lung Abscess
• Thick walled cavity in
Rt mid zone
LLL collapse
Collapsed Lt lower lobe line
Lt dome of diaphragm pulled up
LLL consolidation
Opacity with air bronchogram seen
Left diaphragm not clear (Silhoutte sign)
Pneumothorax
Darker lung
fields
Tension Pneumothorax
Darker lung
fields with shift
of mediastilnal
strucures too
Pleural Effusion
Blunting of Costophrenic angel : Effusion
Shadow extending towards axilla
Hydro pneumothorax
Fluid level
Thick opacity with obliteration
of Rt costophrenic angle
No aribronchogram seen…
Hydro pneumothorax
Blunting of Costophrenic angel : Effusion
Flat line : Air/fuid level
Ground glass
appearance of lung
fields in a newborn
chest film
Hyaline Membrane
Disease
Pneumonia Rt
Miliary T.B.
Emphysema Lt
• Exposed in expiration
• Right hemidiaphragm moves
cephalad as you would expect
with expiration, but the left
hemidiaphragm is relatively
immobile.
• This confirms the diagnosis of
obstructive emphysema.
• The culprit was a foreign body
(peanut) in the left main stem
bronchus.
Pneumoperitoneum
Air shadow
under the
diaphragm
line
Heart
Cardiothoracic
Index &
Cardiomegaly
Two rules of thumb: CXR evidence of cardiac enlargement.
• On an infant’s AP radiograph the normal cardiothoracic ratio (CTR)
should not exceed 60%1.
• On a child’s PA radiograph the normal CTR can be slightly above
50%, though by the second year it rarely exceeds 50%1
Situs inversus,
dextrocardia
Shorter
More
Horiz.
Bronchus
Liver
Stomach
Mitral Stenosis
Mitralisation of Right
border
(due to enlarged
pulmonary artery)
Pericardial effusion
Tetrology
of Fallot
Boot shaped heart
Transposition of
Great Arteries
Egg on end appearance
Obstructed TAPVC
figure of 8’ appearance of
mediastinum
Or
Snowman appearance
Coarctation of the aorta
Notching of ribs
Heart Failure
Some Common Films Kept in Viva Exams
Mediastinal
widening
• ? TB Lymphadenitis
• Malignancy
Rickets
• Cupping, fraying,
splaying of lower ends
of radius and ulna
• Swollen lower ends of
these bones
• Under mineralization
of bones
• Diminished ossification
of carpal pones
• Genu valgum
deformity
Scurvy
Beaten Silver Appearance
Increased intracranial pressure (ICP)
Hair on end appearance - Thalassemia
Osteopetrosis
• No demarcation of
cortex and medulla
• The erect film shows multiple
air fluid levels.
• The baby have small bowel
obstruction
Plain X ray abdomen -
Erect
General Instructions
• First look at the film given
• Identify the body part (Eg. Chest or Chest and abdomen, Abdomen,
Limb, etc.)
• How it is taken
• (Eg. abdomen – erect or not?
• Is it plain or contrast?
• Chest: - already points given in the beginning
• Start narration:
Example 1
• Sir, this is a plain x ray of chest taken in
full inspiration.
• There is a slight bending of individual to
left. (more gap on left than on right)
• Exposure good. Centering good.
• There is an opacity in Left lower zone
with elevation towards axilla.
• Costophrenic angle obliterated on Lt. side
• No air bronchogram in the shadowed
area
• Probable diagnosis: Lt sided Pleural
Efusion
Example contd…
• Probable diagnosis: Lt sided Pleural Efusion
• Expected viva questions:
• What are the different cause of pleural effusion? [TB, empyema, CHF,
cirrhosis, etc]
• What are the clinical features of Pl effusion [Diminished breath sounds,
stony dullness on percussion, diminished VR and VF, etc]
• How to differentiate between an exudate and transudate? [Cell count,
Protein, Gram’s stain, C/s. etc]
• What are the treatment modalities for pleural effusion? [Steroids for TB,
Needle aspirations, Thoracic tube drainage for empyema, etc]

X Ray Reading for UGs