Imaging
Dr Md Main Uddin
Assistant Professor
(Medicine)
Cox’s Bazar Medical
College
Modalities
• X-Ray
CXR
Plain abdominal x-ray
• Computed tomography
• Magnetic resonance
imaging
• Ultrasound
• Nuclear imaging
Points to note when assessing the
chest X-ray
• Name of patient and date (and time) of X-ray
• Position of the patient
• Position of the trachea
• Outline of heart
• Outline of mediastinum
• Diaphragm
• Lung fields
• Bony skeleton
Assessing the chest X-ray
• The position of the patient
• Is the patient straight or rotated? If straight, the inner
ends of the clavicles will be equidistant from the
midline of the vertebral body. This is important
because any rotation will tend particularly to alter the
appearance of the mediastinum and the hilar shadows.
• The outline of the heart and the mediastinum
• Is this normal in size, shape and position?
• The position of the trachea
• This is seen as a dark column representing the air
within the trachea. Is the trachea centrally placed or
deviated to either side?
The Chest X-Ray
Techniques – Projection
•P-A (relation of x-ray beam to patient)
CXR Interpretation
PA vs. AP views
Inspiration/Expiration
Cardiac Silhouette
1. R Atrium
2. R Ventricle
3. Apex of L Ventricle
4. SVC
5. IVC
6. Tricuspid Valve
7. Pulmonary Valve
8. Pulmonary Trunk
9. R PA 10. L PA
Assessing the chest X-ray
• The diaphragm
• Can the diaphragm be seen on each side? Is it
normal in shape and position? Normally, the
anterior end of the sixth or seventh rib crosses
the mid-part of the diaphragm on each side,
although the diaphragm on the right is usually
a little higher than on the left. Are the
cardiophrenic angles clearly seen?
The lung fields
• For radiological purposes, the lung fields are
divided into three zones:
• The upper zone extends from the apex to a
line drawn through the lower borders of the
anterior ends of the second costal cartilages.
• The mid-zone extends from this line to one
drawn through the lower borders of the fourth
costal cartilages.
• The lower zone extends from this line to the
bases of the lungs.
• Each zone is systematically examined on both
sides, and any area that appears abnormal is
carefully compared with the corresponding
area on the opposite side. The horizontal
fissure, which separates the right upper and
middle lobes, may sometimes be seen running
horizontally in the third and fourth interspaces
on the right side.
The bony skeleton
• Is the chest symmetrical?
• Is scoliosis present?
• Are the ribs unduly crowded or widely spaced in
any area?
• Are cervical ribs present?
• Are any ribs eroded or absent?
• As well as the standard AP view, lateral views are
sometimes carried out to help localize any lesion
that is seen.
In examining a lateral view
follow this plan:
• Identify the sternum anteriorly and the vertebral bodies
posteriorly. The cardiac shadow lies anteriorly and
inferiorly.
• There should be a lucent (dark) area retrosternally which
has approximately the same density as the area posterior
to the heart and anterior to the vertebral bodies. Check for
any difference between the two, or for any discrete lesion
in either area.
• Check for any collapsed vertebrae.
• The lowest vertebrae should appear darkest, becoming
whiter as they progress superiorly.
• Interruption of this smooth gradation suggests an
abnormality overlying the vertebral bodies involved.
Figure 10.8 A lateral chest X-ray
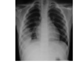
The normal chest X-ray
The normal chest X-ray
• Chest X-ray PA view showing trachea is
central, lung fields are clear, both hilum are
normal, mediastinum is normal, cardiac
shadow is normal in size and contour, both
costophrenic and cardiophrenic angles are
clear, diaphragm is normal in shape and
position, bony skeleton and soft tissue
shadows are normal.
Pneumonia (consolidation) of the right
middle lobe
• CXR PA view showing opacification beneath
the horizontal fissure and loss of normal
contrast between the right heart border and
lung. Suggestive of Rt sided consolidation.
RML pneumonia
RLL pneumonia
LLL pneumonia
• Figure 10.18
• Chest X-ray showing a right
basal pneumonia in a previously
fit 40-year-old man with fever,
breathlessness, central cyanosis
and pleuritic pain. Chest signs
included bronchial breathing and
a pleural rub in the right lower
zone. The cyanosis was due to
the shunting of deoxygenated
blood through the consolidated
lung, the increased respiratory
rate leading to a low PaCO2
because of increased clearance
of carbon dioxide by the
unaffected alveoli. Streptococcus
pneumoniae was grown on blood
cultures.
25
154 slides
Right Middle Lobe Pneumonia
25
26
154 slides
Left Lower Lobe Pneumonia
26
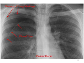
• Chest X-ray PA view showing the sharply
defined edge of the deflated lung with
complete translucency (no lung markings, no
vascular markings) between this and the chest
wall in the Rt side with shifting of
mediastinum to left.
• Suggestive of Rt Tension Pneumothorax
Pneumothorax
32
154 slides
Collapsed Right Lung
Tension Pneumothorax: Requires chest tube
Tracheal Deviation
What would you do with this patient?
32
34
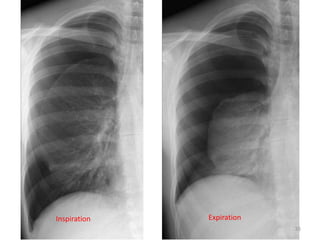
35
154 slides
Inspiration Expiration
35
• Chest X-ray PA view showing dense
homogenous opacity at the Rt lung base with
curved upper border, blunting the
costophrenic angle and ascending towards the
axilla. Suggestive of Rt Pleural Effusion
• Around 200 mL of fluid is required in order for
it to be detectable on a PA chest X-ray.
Pleural Effusion
• Figure 10.17
• Chest X-ray showing a
large left pleural effusion
in a young man with a 4-
month history of malaise,
fever, night sweats and
weight loss. The diagnosis
of tuberculosis was
confirmed on histology of
a pleural biopsy and
culture of the pleural
fluid.
42
154 slides
Large Pleural Effusion
42
Emphysema
Emphysema
• Chest X-ray PA view showing
hypertransluscencs lung fields, low flat
diaphragm and widening of rib space,
suggestive of Emphysema.
46
154 slides
Enlarged
Retrosternal
Air Space
Flattened Diaphragms
Bullous Emphysema
46
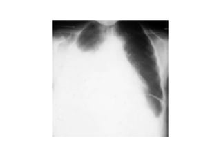
Figure 11.32 Left atrial dilatation.
This is a penetrated PA chest X-ray in a patient with mitral stenosis.
The dilated left atrium causes a bulge on the left heart border below
the pulmonary artery which is also dilated, widening of the carina
and the double density sign at the right heart border.
Figure 11.31 Pericardial effusion with tamponade:
There is a left hilar mass caused by carcinoma. Pericardial infiltration has
produced effusion and tamponade, evidenced by the severely enlarged
and globular cardiac silhouette. Malignant disease is now the most
common cause of tamponade in most developed countries.
Figure 11.35 Chest X-ray in acute left ventricular failure:
the patient had severe pulmonary oedema caused by acute
myocardial infarction. The heart is not yet enlarged, but there
is prominent alveolar pulmonary oedema in a perihilar (‘bat’s-
wing’) distribution. Note the bilateral pleural effusions.
Hilar mass
Multiple Masses
Hilar Lymphadenopathy - BL
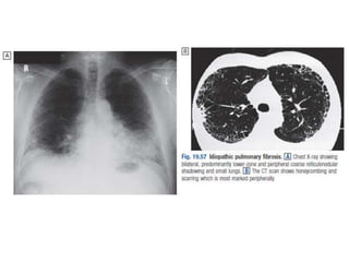
Pulmonary Fibrosis
Air under the diaphragm
Cavitating lesion
68
154 slides
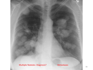
Multiple Nodules: Diagnosis? Metastases
68
69
154 slides Normal
Hilar and Mediastinal Lymphadenopathy
Diagnosis?
69
70
154 slides
Hilar Lymphadenopathy on lateral
70
Normal
71
154 slides
Sarcoidosis
71
Chest X-ray
An approach to interpreting the chest X-ray
• Name, date, orientation
• Films are postero-anterior
(PA) unless marked AP to
denote that they are
antero-posterior
• Lung fields
• Equal translucency?
• Check horizontal fissure
from right hilum to sixth
rib at the anterior axillary
line
• Masses? Consolidation?
Cavitation?
• Lung apices
• Check behind the
clavicles: Masses?
• Consolidation?
Cavitation?
An approach to interpreting the chest X-ray
• Trachea
• Central? (Midway
between the clavicular
heads)
• Paratracheal mass?
Goitre?
• Heart
• Normal shape?
• Cardiothoracic ratio
should be < half the
intrathoracic diameter)
• Retrocardiac mass?
• Hila
• Left should be higher
than right
• Shape? (Should be
concave laterally; if
convex, consider mass or
lymphadenopathy)
• Density?
Interpreting the chest X-ray
• Diaphragm
• Right should be higher
than left
• Hyperinflation? (No more
than 10 ribs
• should be visible
posteriorly above the
diaphragm)
• Costophrenic angles
• Acute and well defined?
(Pleural fluid or
thickening, if not)
• Soft tissues
• Breast shadows in
females
• Chest wall for masses or
subcutaneous
emphysema
• Bones
• Ribs, vertebrae, scapulae
and clavicles
• Any fracture visible at
bone margins or
lucencies?
Interpreting the chest X-ray
• This is useful for determining the size and
shape of the heart, and the state of the
pulmonary blood vessels and lung fields. Most
information is given by a posteroanterior (PA)
projection taken in full inspiration.
• Anteroposterior (AP) projections are
convenient when patient movement is
restricted but result in magnification of the
cardiac shadow.
Interpreting the chest X-ray
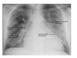
• ‘Cardiomegaly’ is the term used to describe an
enlarged cardiac silhouette where the
‘cardiothoracic ratio’ is greater than 0.5.
• It can be caused by chamber dilatation,
especially left ventricular dilatation, or by a
pericardial effusion.

xrayandotherimaging-180902063930.pdf

  • 1.
    Imaging Dr Md MainUddin Assistant Professor (Medicine) Cox’s Bazar Medical College
  • 2.
    Modalities • X-Ray CXR Plain abdominalx-ray • Computed tomography • Magnetic resonance imaging • Ultrasound • Nuclear imaging
  • 4.
    Points to notewhen assessing the chest X-ray • Name of patient and date (and time) of X-ray • Position of the patient • Position of the trachea • Outline of heart • Outline of mediastinum • Diaphragm • Lung fields • Bony skeleton
  • 5.
    Assessing the chestX-ray • The position of the patient • Is the patient straight or rotated? If straight, the inner ends of the clavicles will be equidistant from the midline of the vertebral body. This is important because any rotation will tend particularly to alter the appearance of the mediastinum and the hilar shadows. • The outline of the heart and the mediastinum • Is this normal in size, shape and position? • The position of the trachea • This is seen as a dark column representing the air within the trachea. Is the trachea centrally placed or deviated to either side?
  • 6.
    The Chest X-Ray Techniques– Projection •P-A (relation of x-ray beam to patient)
  • 7.
  • 8.
  • 9.
    Cardiac Silhouette 1. RAtrium 2. R Ventricle 3. Apex of L Ventricle 4. SVC 5. IVC 6. Tricuspid Valve 7. Pulmonary Valve 8. Pulmonary Trunk 9. R PA 10. L PA
  • 10.
    Assessing the chestX-ray • The diaphragm • Can the diaphragm be seen on each side? Is it normal in shape and position? Normally, the anterior end of the sixth or seventh rib crosses the mid-part of the diaphragm on each side, although the diaphragm on the right is usually a little higher than on the left. Are the cardiophrenic angles clearly seen?
  • 11.
    The lung fields •For radiological purposes, the lung fields are divided into three zones: • The upper zone extends from the apex to a line drawn through the lower borders of the anterior ends of the second costal cartilages. • The mid-zone extends from this line to one drawn through the lower borders of the fourth costal cartilages. • The lower zone extends from this line to the bases of the lungs.
  • 12.
    • Each zoneis systematically examined on both sides, and any area that appears abnormal is carefully compared with the corresponding area on the opposite side. The horizontal fissure, which separates the right upper and middle lobes, may sometimes be seen running horizontally in the third and fourth interspaces on the right side.
  • 13.
    The bony skeleton •Is the chest symmetrical? • Is scoliosis present? • Are the ribs unduly crowded or widely spaced in any area? • Are cervical ribs present? • Are any ribs eroded or absent? • As well as the standard AP view, lateral views are sometimes carried out to help localize any lesion that is seen.
  • 14.
    In examining alateral view follow this plan: • Identify the sternum anteriorly and the vertebral bodies posteriorly. The cardiac shadow lies anteriorly and inferiorly. • There should be a lucent (dark) area retrosternally which has approximately the same density as the area posterior to the heart and anterior to the vertebral bodies. Check for any difference between the two, or for any discrete lesion in either area. • Check for any collapsed vertebrae. • The lowest vertebrae should appear darkest, becoming whiter as they progress superiorly. • Interruption of this smooth gradation suggests an abnormality overlying the vertebral bodies involved.
  • 15.
    Figure 10.8 Alateral chest X-ray
  • 16.
  • 17.
    The normal chestX-ray • Chest X-ray PA view showing trachea is central, lung fields are clear, both hilum are normal, mediastinum is normal, cardiac shadow is normal in size and contour, both costophrenic and cardiophrenic angles are clear, diaphragm is normal in shape and position, bony skeleton and soft tissue shadows are normal.
  • 19.
    Pneumonia (consolidation) ofthe right middle lobe • CXR PA view showing opacification beneath the horizontal fissure and loss of normal contrast between the right heart border and lung. Suggestive of Rt sided consolidation.
  • 21.
  • 22.
  • 23.
  • 24.
    • Figure 10.18 •Chest X-ray showing a right basal pneumonia in a previously fit 40-year-old man with fever, breathlessness, central cyanosis and pleuritic pain. Chest signs included bronchial breathing and a pleural rub in the right lower zone. The cyanosis was due to the shunting of deoxygenated blood through the consolidated lung, the increased respiratory rate leading to a low PaCO2 because of increased clearance of carbon dioxide by the unaffected alveoli. Streptococcus pneumoniae was grown on blood cultures.
  • 25.
    25 154 slides Right MiddleLobe Pneumonia 25
  • 26.
    26 154 slides Left LowerLobe Pneumonia 26
  • 29.
    • Chest X-rayPA view showing the sharply defined edge of the deflated lung with complete translucency (no lung markings, no vascular markings) between this and the chest wall in the Rt side with shifting of mediastinum to left. • Suggestive of Rt Tension Pneumothorax
  • 30.
  • 32.
    32 154 slides Collapsed RightLung Tension Pneumothorax: Requires chest tube Tracheal Deviation What would you do with this patient? 32
  • 33.
  • 34.
  • 37.
    • Chest X-rayPA view showing dense homogenous opacity at the Rt lung base with curved upper border, blunting the costophrenic angle and ascending towards the axilla. Suggestive of Rt Pleural Effusion • Around 200 mL of fluid is required in order for it to be detectable on a PA chest X-ray.
  • 38.
  • 39.
    • Figure 10.17 •Chest X-ray showing a large left pleural effusion in a young man with a 4- month history of malaise, fever, night sweats and weight loss. The diagnosis of tuberculosis was confirmed on histology of a pleural biopsy and culture of the pleural fluid.
  • 41.
  • 43.
  • 44.
    Emphysema • Chest X-rayPA view showing hypertransluscencs lung fields, low flat diaphragm and widening of rib space, suggestive of Emphysema.
  • 45.
  • 48.
    Figure 11.32 Leftatrial dilatation. This is a penetrated PA chest X-ray in a patient with mitral stenosis. The dilated left atrium causes a bulge on the left heart border below the pulmonary artery which is also dilated, widening of the carina and the double density sign at the right heart border.
  • 49.
    Figure 11.31 Pericardialeffusion with tamponade: There is a left hilar mass caused by carcinoma. Pericardial infiltration has produced effusion and tamponade, evidenced by the severely enlarged and globular cardiac silhouette. Malignant disease is now the most common cause of tamponade in most developed countries.
  • 50.
    Figure 11.35 ChestX-ray in acute left ventricular failure: the patient had severe pulmonary oedema caused by acute myocardial infarction. The heart is not yet enlarged, but there is prominent alveolar pulmonary oedema in a perihilar (‘bat’s- wing’) distribution. Note the bilateral pleural effusions.
  • 61.
  • 62.
  • 63.
  • 64.
  • 65.
    Air under thediaphragm
  • 66.
  • 67.
    68 154 slides Multiple Nodules:Diagnosis? Metastases 68
  • 68.
    69 154 slides Normal Hilarand Mediastinal Lymphadenopathy Diagnosis? 69
  • 69.
  • 70.
  • 75.
    Chest X-ray An approachto interpreting the chest X-ray • Name, date, orientation • Films are postero-anterior (PA) unless marked AP to denote that they are antero-posterior • Lung fields • Equal translucency? • Check horizontal fissure from right hilum to sixth rib at the anterior axillary line • Masses? Consolidation? Cavitation? • Lung apices • Check behind the clavicles: Masses? • Consolidation? Cavitation?
  • 76.
    An approach tointerpreting the chest X-ray • Trachea • Central? (Midway between the clavicular heads) • Paratracheal mass? Goitre? • Heart • Normal shape? • Cardiothoracic ratio should be < half the intrathoracic diameter) • Retrocardiac mass? • Hila • Left should be higher than right • Shape? (Should be concave laterally; if convex, consider mass or lymphadenopathy) • Density?
  • 77.
    Interpreting the chestX-ray • Diaphragm • Right should be higher than left • Hyperinflation? (No more than 10 ribs • should be visible posteriorly above the diaphragm) • Costophrenic angles • Acute and well defined? (Pleural fluid or thickening, if not) • Soft tissues • Breast shadows in females • Chest wall for masses or subcutaneous emphysema • Bones • Ribs, vertebrae, scapulae and clavicles • Any fracture visible at bone margins or lucencies?
  • 78.
    Interpreting the chestX-ray • This is useful for determining the size and shape of the heart, and the state of the pulmonary blood vessels and lung fields. Most information is given by a posteroanterior (PA) projection taken in full inspiration. • Anteroposterior (AP) projections are convenient when patient movement is restricted but result in magnification of the cardiac shadow.
  • 79.
    Interpreting the chestX-ray • ‘Cardiomegaly’ is the term used to describe an enlarged cardiac silhouette where the ‘cardiothoracic ratio’ is greater than 0.5. • It can be caused by chamber dilatation, especially left ventricular dilatation, or by a pericardial effusion.