An overview and Updates in TB
By
Gamal Rabie Agmy , MD , FCCP
Professor of Chest Diseases ,Assiut University
ERS National Delegate of Egypt
*The increasing prevalence of
tuberculosis in both immunocompetent
and immunocompromised individuals
in recent years makes this disease a
topic of universal concern.
Introduction
*The World Health Organization (WHO)
estimates that each year more than
8 million new cases of tuberculosis occur
and approximately 3 million persons die
from the disease.
*Ninety-five percent of tuberculosis cases
occur in developing countries.
*It is estimated that between 19 and 43% of
the world's population is infected with
Mycobacterium tuberculosis, the
bacterium that causes tuberculosis
infection and disease
Epidemiology
Epidemiology
 Most cases in the US are due to
reactivation, especially amongst immigrants
 Highest risk of progression to active TB is
within 2 years of seroconversion
 Increase in incidence in late 1980s-early 90s
largely due to HIV
 Needs to be reported to the health
department
Microbiology
 Aerobic
 Bacillus (rod-shaped)
 Non-spore forming
 Non-motile
 Cell wall – mycolic acid – retains acid fast
stain
 Growth - doubling time of 15-20 hrs.
 3-8 weeks for growth on solid media
TB Skin Testing
 PPD – purified protein derivative of
tuberculin (antigenic)
 Delayed type hypersensitivity reaction
 PPD may not become “positive” until 3
months after exposure
 Boosting effect
Skin Test Interpretation
 PPD >/= 5 mm:
– HIV patients
– Recent contacts of someone with TB
– Fibrotic changes on CXR c/w prior TB
– Organ transplant recipients
– Immunosuppressed (includes patients
receiving the equivalent of 15 mg/day or
more of prednisone for one month or
more)
Skin Test Interpretation
 PPD >/= 10 mm:
– Recent immigrants (< 5 years) from high
prevalence areas (Eastern Europe, Latin
America, Asia, Africa)
– IV drug users
– Residents and employees of high risk facilities
(hospitals, nursing homes, homeless shelters,
prisons)
– Children < 4 years of age
– Mycobacteriology lab personnel
Skin Test Interpretation
 PPD >/= 10 mm:
– People with medical conditions that place
them at high risk for active TB
 Chronic renal failure
 Diabetes mellitus
 Silicosis
 Leukemias/lymphomas
 Carcinoma of the head/neck or lung
 Weight loss > 10% of ideal body weight
 Gastrectomy/jejunoileal bypass
Skin Test Interpretation
 PPD >/= 15 mm:
– Low risk people
– Routine tuberculin testing not
recommended for low risk populations
Skin Test Intrepretation
 False positives:
– Non-tuberculous mycobacterial infection
– BCG vaccination
 False negatives:
– HIV
– Malnutrition
– Steroid therapy
– Recent infection
BCG
 Bacille Calmette-Guerin vaccination:
 Live attenuated mycobacterial strain derived
from M. bovis
 Can yield false positives to PPD – less likely
as time from vaccination increases
 Reactions > 20 mm likely are true
 CDC advises that the PPD be interpreted by
the same guidelines (ignore the BCG history)
Quantiferon Testing
 Whole blood in vitro test:
– Lymphocytes release IFN gamma in
presence of 2 TB antigens
 Will be positive in latent or active TB
 Advantages:
– No error in interpretation
– No follow-up in 48-72 hours
– No boosting
– Not affected by BCG
Quantiferon Testing
 Disadvantages:
– Must be processed within 12 hours of
collection
– False + with atypical mycobacteria
– Too many indeterminate results with
current version (Q-Gold)
– May be less reliable in pregnant women,
children, and immunocompromised
– Does not distinguish between active and
latent TB
Causative organism;
Mycobacterium tuberculosis COMPLEX
Stained with:
-Modified gram stain: gram positive.
-Carbolfuchsin stain: *Cold method(Kynon)
*Hot(Zeil-Neelson)
- Fluorescent dyes: rhodamine and
auramine stains.
Bacteriology
QUANTITATION SCALE FOR ACID-FAST BACILLUS
SMEARS ACCORDING TO STAIN USED
Carbolfuchsin (× 1,000)
Fluorochrome
(× 250)
Quantity Reported
No AFB/300 fields No AFB/30 fields No AFB seen
1-2 AFB/300 fields 1-2 AFB/30 fields Doubtful, repeat
test
1-9 AFB/100 fields 1-9 AFB/10 fields Rare (1+)
1-9 AFB/10 fields 1-9 AFB/field Few (2+)
1-9 AFB/field 10-90 AFB/field Moderate (3+)
> 9 AFB/field > 90 AFB/field Numerous (4+)
Zeil-Neelson Staining
Wire 0.01 ml of specimen 200mm2 slide
Oil immersion field 0.02mm
Slide=10000 field=0.01ml specimen
10,000 organism/slide=1 AFB/field=1000,000 organism/ml
1000 organism/slide=1 AFB/10 field=100,000 organism/ml
100 organism/slide=1 AFB/100field=10,000 organism/ml
QUANTITATION SCALE FOR ACID-FAST BACILLUS
SMEARS ACCORDING TO STAIN USED
Carbolfuchsin (× 1,000)
Fluorochrome
(× 250)
Quantity Reported
No AFB/300 fields No AFB/30 fields No AFB seen
1-2 AFB/300 fields 1-2 AFB/30 fields Doubtful, repeat
test
1-9 AFB/100 fields 1-9 AFB/10 fields Rare (1+)
1-9 AFB/10 fields 1-9 AFB/field Few (2+)
1-9 AFB/field 10-90 AFB/field Moderate (3+)
> 9 AFB/field > 90 AFB/field Numerous (4+)
Cultures:
- Lowenstein Jensen media: 6-8
weeks.
-Bactec media: 2-8days. Radiolabelled 14c
labelled palmitic acid
-Mycobacterial growth indicator tube:
Middbrook broth+o2 sensitive fluroscent sensor to
indicate growth& bacilli can be identified by Gen
Probe method at the same day of detection.
Diagnosis of Active TB
 Acid fast stain of sputum
 Sputum AFB culture (culture needed
for drug susceptibility)
 Radiographic imaging (CXR, CT)
 PCR/NAT
 Fluid Aspiration
 Tissue biopsy – higher yield than fluid
Direct Methods
1-Direct Microscopy (ZN, Kinyoun,
Flurochrome).
2-Culture (Traditional, Rapid methods).
3- Detection of DNA or RNA of
mycobacterial origin
( PCR, LAMP, TAA / NAA, LCR, Fast
Plaque).
Direct Microscopic
Examination
*Hallmark of staining is Ziehl-Neelsen stained
slides.
Easiest & quickest diagnostic test.
* Limited sensitivity (46-78%) but specificity is
virtually 100%.
* Centrifugation & flurochrome staining
(auramine O)with UV microscopy markedly
increase the sensitivity & a large number can
be examined in a much shorter time.*
*Chest 1969;95:1193
Direct Microscopic
Examination
􀂄 ZN staining requires = 105
bacilli/ml.
􀂄 TB bacilli appear as
straight/curved rods (1-4μ x
0.2-0.8μ) singly, in pairs or in
clumps.
􀂄 The yield of microscopic
examination correlates well
with the extent of disease, the
presence of cavitation, and the
quality of specimen.
􀂄 It is a good marker for
infectiousness & the response
to the treatment.
Several approaches are being made to
enhance the
sensitivity of the smear microscopy :
􀂄 Concentration of sputum sample by centrifugation
enhances sensitivity to almost 100%.*
􀂄 Treatment of sputum samples with Zwitterionic
detergent, also known as C18
carboxyprophylbetaine(
CB18) interferes with the innate
buoyancy of the bacilli and enhances the result of
sputum microscopy.**
*J Clin Microbiol 1999;31: 2371
**J Clin Microbiol 1998;36: 1965
Traditional Culture
􀂄 More sensitive & can be positive even when
bacterial load is low
(10-100 bacilli/ml).
􀂄 Sensitivity 80-85%; Specificity 98%.
􀂄 Required for precise identification of causative
organisms.
􀂄 3 Types of media are used:
􀂄 Egg based: LJ, Petragnani and ATS.
􀂄 Agar based: Middlebrook 7H10 or 7H11.
􀂄Liquid based: Kirschner’s, Middlebrook 7H9.
􀂄 Growth is slow and takes 6-8 weeks . There after
the same length of
time is required for complete identification & sensitivity
testing.
Broth Based Rapid Culture
Methods
􀂄 Micro colony detection on solid media.
􀂄Radiometric (BACTEC).
􀂄Septicheck AFB.
􀂄 Mycobacterial growth indicator tubes
(MGIT).
􀂄 Substantial improvement in time to
detection & total
number of positive cultures can be realized
from using
broth based systems.
Micro colony Detection on Solid
Media
􀂄 Plates poured with thin layer of
Middlebrook 7H11
agar medium are incubated and examined
microscopically on alternate days for the
first 2 days
and less frequently thereafter.
􀂄 In less than 7 days micro-colonies of
slow growing
mycobacteria such as M.tb can be
detected.
Micro colony Detection on Solid
Media
􀂄 Plates poured with thin layer of
Middlebrook 7H11
agar medium are incubated and examined
microscopically on alternate days for the
first 2 days
and less frequently thereafter.
􀂄 In less than 7 days micro-colonies of
slow growing
mycobacteria such as M.tb can be
detected.
BACTEC
􀂄Growth is ascertained
by liberation of 14CO2
as metabolized by
mycobacteria &
detected by BACTEC
460 instrument &
reported in terms of
growth index (GI) value
BACTEC
􀂄 Average time to recovery of M.tb from
smear positive
specimens is 8 days.
􀂄 When smear negative, culture positive
samples are
examined, mean time for detection is 14
days.
􀂄 More sensitive than traditional
method.*
􀂄 Can also be used for drug
susceptibility testing.
*J Clin Microbiol 1994;32: 918-925
BACTEC
􀂄 A special procedure unique to
BACTEC system for
identification of M.tb complex is based on
observation
that p-nitro-α-acetylamino-β-
hydroxypropiophenone
(NAP) will inhibit organisms belonging to
M.tb complex
while having little or no effects on other
mycobacteria.
􀂄Drawbacks :
􀂄Cost.
􀂄 Problem of disposal of radioactive
waste.
Septicheck AFB
􀂄 Combines broth & solid media into a
single device
(biphasic culture approach).
􀂄 Contains 30ml of modified Middlebrook
7H9 broth in CO2
enriched culture bottle & a peddle with
agar media- one
side of peddle covered with Middlebrook
7H11; other
side contains Middle brook 7H11 with NAP.
􀂄 Requires 3 weeks of incubation
􀂄 Advantage: Simultaneous detection of
Mtb. NTM, other
respiratory pathogen & even contaminant.
Mycobacterial Growth Indicator
Tube (MGIT)
􀂄Rapid Method.
􀂄 Consists of round bottom tubes
containing 4 ml of
modified Middlebrook 7H9 broth which has
an oxygen
sensitive fluroscent sensor at the bottom.*
􀂄 When mycobacteria grow, they deplete
the dissolved
oxygen in the broth & allow the indicator to
fluoresce
brightly in a 365nm UV light.
* J Clin Microbiol 1999;37: 748-752
Mycobacterial Growth Indicator
Tube (MGIT)
􀂄 Positive signals are obtained in 10-12
days.
􀂄 MGIT can also be used as a rapid
method for the
detection of drug resistant strains of Mtb
directly from
acid-fast smear positive samples as well as
from indirect
drug susceptibility studies.
􀂄Advantages over BACTEC
􀂄Cheaper.
􀂄 No problem of radioactive waste
disposal.
J Clin Microbiol 1999;37: 45-48
Detection and identification of mycobacteria
directly
from clinical samples
􀂄Genotypic Methods :
􀂄PCR
􀂄LAMP
􀂄TMA / NAA
􀂄Ligase chain reaction
􀂄Phenotypic Methods :
􀂄FAST Plaque TB
Polymerase Chain Reaction
(PCR)
􀂄 Essentially PCR is a way to make
millions of identical
copies of a specific DNA sequence , which
may be a
gene, or a part of a gene, or simply a
stretch of
nucleotides with a known DNA sequence,
the
function of which may be unknown.
􀂄 A specimen that may contain the DNA
sequence of
interest is heated to denature double
stranded DNA.
Polymerase Chain Reaction
(PCR)
􀂄 Specific synthetic oligonucleotide
primers bind to the
unique DNA sequences of interest and a
heat stable
DNA polymerase (Thermus aquaticus)
extends the
primer to create a complete &
complimentary strand
of DNA.
􀂄 This process is repeated sequentially
25-40 times,
thereby creating millions of copies of target
sequence.
PolymeraseChainReaction(PCR)
􀂄65Kd antigen (HSPs):
􀂄Used earlier
􀂄 Heat shock protein believed to be
distinct from
other bacterial HSPs.
􀂄 This gene is identical in all species of
mycobacteria.
􀂄 Therefore unsuitable for detecting M.tb,
particularly in areas where species like
M.avium
or M.kansasii are prevalent.
IS6110 :
􀂄 It is a transposon which are
self replicating stretches of
DNA.
􀂄Function not known.
􀂄 This sequence has been found in the
M.tb complex
organisms (M.tb, M.africanum, M.microti,
M.bovis).
􀂄 IS6110 sequence generally occurs only
once in M.bovis
but is found as often as 20 times in certain
strains of M.tb,
thus offering multiple targets for
amplification.
Polymerase Chain Reaction
(PCR)
􀂄 With recent modification PCR can
detect even a fraction
of a bacilli.
􀂄Role in pulmonary TB :
􀂄 Detects nearly all smear +ve and
culture +ve cases.
􀂄 Useful technology for rapid diagnosis of
smear –ve cases
of active TB.
􀂄 Able to identify 50-60% of smear -ve
cases; this would
reduce the need for more invasive
approaches to smear -
ve cases.
Distinguish M.tb from NTM in smear +ve
cases as
IS6110 sequence is not found in NTM.*
􀂄 Should not be used to replace sputum
microscopy.
􀂄 Sensitivity, specificity, & PPV for PCR is
83.5%,
99% & 94.2% respectively.**
*Am Rev Respir Dis 1991; 144:1160
** J Clin Microbiol 1999;31: 2049-2055
PolymeraseChainReaction(PCR)
􀂄 Role in Extrapulmonary TB
􀂄Limited Role
􀂄 No comprehensive large series
comparing the
yield of PCR with other available
approaches has
been published.
􀂄 But at present, it is valuable adjunct in
the
diagnosis of TBM, pleurisy, pericardial TB
& other
condition in which yield of other tests are
low.
PolymeraseChainReaction(PCR)
􀂄Disadvantages :
􀂄 Very high degree of quality control
required.
􀂄 Variation from lab to lab remain
significant.
􀂄 In pts. on ATT, PCR should not be used
as an
indicator of infectivity as this assay remains
+ve
for a greater time than do cultures.*
Am J Respir Crit Care Med 1997;155: 1804-1854
High false +ve results in patients previously
treated with ATT in contacts of sputum +ve
active
cases.
􀂄High Cost.
􀂄 So, better understanding of how to use
these
tests in conjunction with available clinical
information is essential.*
*Thorax 1992;47:690-694
LAMP*
􀂄Loop-mediated isothermal
amplification.
􀂄 It is a novel nucleic acid amplification
method in which
reagents react under isothermal conditions
with high
specificity, efficiency, and rapidity.
􀂄 LAMP is used for detection of M.tb
complex, M.avium,
and M.intracellulare directly from sputum
specimens as
well as for detection of culture isolates
grown in a liquid
medium (MGIT) or on a solid medium
(Ogawa’s
medium).
*Iwamoto T et al J Clin Microbiol 2003;41 :2616-2619
LAMP
􀂄 This method employs a DNA
polymerase and a set of
four specially designed primers that
recognize a total of
six distinct sequences on the target DNA.
􀂄 Species-specific primers were
designed by targeting the
gyrB gene.
􀂄 Simple procedure, starting with the
mixing of all reagents
in a single tube, followed by an isothermal
reaction
during which the reaction mixture is held at
63°C.
􀂄60-min incubation time.
LAMP
􀂄 Due to its easy operation without
sophisticated
equipment, it will be simple enough to use
in:
􀂄Small-scale hospitals,
􀂄Primary care facilities
􀂄 Clinical laboratories in developing
countries.
􀂄Difficulties :
􀂄Sample preparation
􀂄Nucleic acid extraction
􀂄Cross-contamination.
TMA / NAA
􀂄Transcription Mediated Amplification
(TMA).
􀂄 Nucleic Acid Amplification (NAA).
􀂄 These techniques use chemical rather
than biological
amplification to produce nucleic acid.
􀂄 Test results within few hours.
􀂄 Currently used only for respiratory
specimens.
Ligase Chain Reaction
􀂄 It is a variant of PCR, in which a pair of
oligonucleotides are made to bind to one of
the DNA
target strands, so that they are adjacent to
each
other.
􀂄 A second pair of oligonucleotides is
designed to
hybridize to the same regions on the
complementary
DNA.
Ligase Chain Reaction
􀂄 The action of DNA polymerase and
ligase in the
presence of nucleotides results in the gap
between
adjacent primers being filled with
appropriate
nucleotides and ligation of primers.
􀂄 It is mainly being used for respiratory
samples, and
has a high overall specificity and sensitivity
for smear
+ve and –ve specimens.
FAST Plaque TB
􀂄 It is an original phage based test.
􀂄 It uses the mycobacteriophage to
detect the presence of
M.tb directly from sputum specimens.
􀂄 It is a rapid, manual test, easy to
perform and has a
higher sensitivity than microscopy, in newly
diagnosed
smear +ve pts.*
*Int J Tuberc Lung Dis 1998;2: 160
Indirect Methods
􀂄Antibody detection :
􀂄TB STAT-PAK
􀂄ELISA
􀂄India test TB
􀂄Antigen detection :
􀂄 TB MPB 64 patch test.
􀂄Quantiferon-GOLD test.
􀂄Biochemical Assays :(ADA, Bromide
Partition, Gas
Chromatography).
TB STAT-PAK
􀂄Immuno-chromatographic test.
􀂄 Has been evolved with a capability to
differentiate
between active or dormant TB infection in
whole blood,
plasma or serum.
􀂄 Its value in in disease endemic
countries is yet to be
ascertained.*
*Eur Resp J 1995;8: 676
Antibody detection by ELISA.
􀂄 Several serodiagnostic tests,
principally those using
ELISA methodology for measurement of
IgG Ab are
available.
􀂄 38-Kd Ag provides serodiagnostic test
with most
favorable test characteristics described,
but is limited by
the lack of purified Ag.
􀂄 Serum IgG Ab are observed to rise
during the first 3
months of therapy but fall after 12-16
months.
Antibody detectionby ELISA.
􀂄 Other purified antigens to which
antibodies are detected
:
􀂄 30 Kd protein antigen
􀂄 16 Kd heat-shock antigen
􀂄Lipoarabinomannan(LAM) – LAM is a
complex
glycolipid associated with cell wall of
mycobacteria &
is produced in
substantial quantities by growing
M.tb.
􀂄A60 antigen
􀂄ES31/41 antigen
Antibody detection by ELISA.
􀂄 IgM Ab levels have usually been found
to be so low that
their reliable measurement has been
difficult.
􀂄 Serodiagnosis with crude Ag gives high
false positive
results.
􀂄 These tests lack specificity because
polyclonal Ab are
used.
􀂄 Use of monoclonal antibodies have
increased their
specificity.
Antibody detection by ELISA.
􀂄 It takes several months after diagnosis
for patients with
pulmonary TB to reach maximum antibody
titers so that
serodiagnosis appears to be more useful in
chronic
extrapulmonary disease (bone or joint)
than in acute
forms (miliary, TBM).
􀂄 Serodiagnosis also has limited utility in
smear negative
patients with minimal PTB; In pediatric TB
& in disease
endemic countries with high infection rates.
Antibody detection by ELISA.
􀂄 ELISA also has limited diagnostic
potential in AIDS
prevalent population.*
􀂄 Tests are expensive, require trained
personnel &
difficulty in distinguishing Mtb & NTM.
􀂄 Serologic tests have not yet
demonstrated sufficient
performance to warrant routine use in
control programs.
* Int J Tuberc Lung Dis 2000;4132: 5152-5388
Antibody detection by ELISA.
􀂄 Sensitivity and specificity of ELISA
serodiagnostic tests
using measurement of serum IgG Ab to
selected
mycobacterial Ag:
Antigen Sensitivity Specificity
38 Kd 49-89 98-100
30 Kd 62-72 97-100
16 Kd 24-71 97-99
LAM 26-81 92-100
A60 71-100 71-95
Antibody detection by ELISA.
􀂄 The detection of mycobacterial
antigens by
immunoassay in clinical specimens with
high & variable
protein content is difficult.
􀂄 Detection in sputum presents even
greater clinical
problem because sputum is a non-
homogenous gel .
􀂄 False positive rates are high.
􀂄 Abandonment of this diagnostic tool.
Insta test TB
􀂄 It is a rapid in vitro assay for the
detection of antibody in
active TB disease using whole blood or
serum.
􀂄 The test employs an Ab binding protein
conjugated to a
colloidal gold particle and a unique
combination of TB
Ags immobilized on the membrane.*
*Tuberc. Lung Dis 1998;2: 541
TB MPB 64 patch test
􀂄 MPB 64 is a specific mycobacterial
antigen for M.tb
complex.
􀂄 This test becomes +ve in 3-4 days
after patch application
and lasts for a week.
􀂄Specificity~100%, Sensitivity~98.1%.*
􀂄 This promising test has been reported
so far only in one
setting in Philippines and needs to be
carried out in other
settings.
*Ind J Tuberc Lung Dis 1998;2: 541
Quantiferon-GOLD
􀂄 Due to advances in molecular biology
and genomics, an
alternative has emerged for the first time in
the form of a
new class of in vitro assays that measure
interferon
(IFN-γ) released by sensitized T cells after
stimulation by
M. tuberculosis antigens.
􀂄 Measures immune reactivity to
M.tb.
Quantiferon-GOLD
􀂄 Interferon-γ assays measure cell-
mediated immunity
by quantifying IFN-γ released from
sensitized T cells
in whole blood/PBMCs incubated with TB
antigens.
QuantiFERON-TB ® test (Cellestis,
Australia
– Commercially available.
– Measures amount of IFN-γ produced.
(ELISA)
– FDA-approved for the detection of LTBI,
2001.
􀂄ELISPOT assay (Oxford, UK)
– Similar to QFT.
– Measures number of reactive
lymphocytes.
– Not commercially available.
Early assays employed PPD (same
specificity problems
as the TST).
􀂄 Newer assays (e.g., QFT-Gold) employ
TB-specific
antigens: ESAT-6 and CFP-10.
􀂄 Proteins encoded within the region of
difference 1 of
M.tuberculosis.
􀂄 Not shared with the BCG sub-strains
and most NTM
(except: M. kansasii, M. szulgai, M.
marinum and nonpathogenic
M.bovis).
Quantiferon-GOLD
Improved specificity: able to distinguish
between TB and
NTM, BCG infection.
􀂄 Studies in contacts, HIV infected and
children underway.
􀂄 Recommended for use in “ALL
circumstances in which the
tuberculin skin test is currently used”.*
􀂄 Includes contact investigations,
immigrant evaluation,
surveillance (e.g. healthcare workers).
*Mazurek et al MMWR 2005;54:15
Quantiferon-GOLD
IGRAs Vs. TST
􀂄TST
􀂄In vivo
􀂄Single antigen
􀂄Boosting
􀂄2patient visits
􀂄Inter-reader variability
􀂄 Results in 2-3 days
􀂄 Read in 48-72 hrs
􀂄
IGRAs
􀂄In vitro
􀂄Multiple antigens
􀂄No boosting
􀂄1patient visit
􀂄Minimal inter-reader
variability
􀂄 Results in 1 day
􀂄 Stimulate w/i 12 hrs
IGRAs Vs. TST
􀂄 QFT-g vs. TST Agreement = 83.6%*
􀂄 Factors associated with discordance :
– Prior BCG
– Non-tuberculous mycobcateria immune
reactivity
– Site bias in reading TST
– TB Treatment
*Mazurek et al JAMA 2001;286:1740
Biochemical markers of
Diagnosis
􀂄Adenosine deaminase. (ADA)
􀂄Bromide partition test.
􀂄 Gas chromatography of mycobacterial
fatty acids
(Tuberculostearic acid).
Adenosine Deaminase (ADA)
􀂄 It is an enzyme of purine metabolism.
The level of this
enzyme is 10 times higher in lymphocytes
(T cells >B
cells) than in RBC.
􀂄 Whenever there is cell mediated
immune response to an
antigenic stimuli, the ADA levels are the
highest.
􀂄 ADA is measured by the colorimetric
method of Giusti.
enzymatic reaction is:
Adenosine + H2O + ADA = Inosine + NH3
+ADA
􀂄 The amount of ammonia liberated
is measured by
the colorimetric method.
Cut-off Sensitivity Specificity
Pleural Fluid 50 IU/ml 95% 100%
Ascitic Fliud 32.3 IU/ml 89% 98%
CSF 9 IU/ml 100% 100%
Bromide Partition Test
􀂄 The partition of bromide ion between
serum and CSF
after a loading dose reflects the integrity of
the blood
brain barrier.
􀂄 Either by direct chemical measurement
or by using an
isotopic tracer, the ratio of bromide in
serum to that in
CSF can be estimated.
􀂄 Values <1.6 are characteristic of TBM.
In different studies the sensitivity and
specificity of this
test has been found to be near 90%.*
􀂄 It may be false +ve in herpes simplex,
listeria, mumps,
measles, pyogenic meningitis and
hypothyroidism.
􀂄 With the availability of better tests, this
test has been
given up.
*Taylor J et al. J Clin Microbiol 1999; 34: 56-59
Tuberculostearic Acid (TBSA)
􀂄 TBSA is found in the cell wall of
mycobacterium.
􀂄 It is identified by gas chromatography
or mass
spectrophotometry.
􀂄 It is a costly investigation and requires
complex
analytical equipment. (Seldom used)
􀂄Sensitivity >95%,Specificity>99%.*
*French M et al. J Clin Microbiol 1998; 54: 987-990
CT Scan and MRI Scan in the
diagnosis of TB
􀂄 The advent of CT and MRI imaging in
the last two
decades has redefined the approach in
analysis of
various diseases including TB.*
􀂄 CT and MRI have shown several
advantages over
conventional radiology in early diagnosis
and follow-up
of TB in different parts of the body.
*Buxi TBS Indian J Pediatr 2002;69:965-972
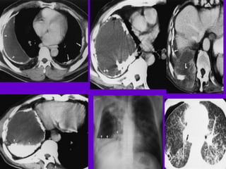
Pulmonary TB :
􀂄Lobar Pneumonia
􀂄 CT is superior than plain CXR in picking
up the
consolidation, atelectasis and the hilar LN
thereby
making the diagnosis easy.
􀂄 MRI reveals some of these changes,
however, CT is
the diagnostic modality of choice in such
cases.
􀂄Bronchopneumonia
􀂄 On CT it is usually B/L and widespread,
not always
symmetrical involvement of lungs.
Hilar and Mediastinal
Lymphadenopathy
􀂄 CT and MRI depict the hilar and
mediastinal LN
equally well.
􀂄 Calcification in the nodes is however
better seen on
CT.
􀂄 Necrosis is seen as focal areas of low
attenuation on
a CECT.
􀂄 On MRI focal necrosis is seen as areas
of increased
signal intensity on T2W images.
􀂄EBTB
􀂄 HRCT is sensitive in the detection of
early
endobronchial spread of disease.
Miliary TB
􀂄 Earliest form of miliary TB is detectable
on HRCT.
􀂄 Coalescing nodules result into patchy
irregular
opacities and HRCT shows this variation
effectively
and has been described as “snowstorm
appearance”.
􀂄 HRCT shows cavitation, which is not
evident on plain
CXR.
􀂄Pleural Effusion
􀂄 CT is sensitive to diagnose and define
even minimal
pleural effusion/pleural calcification.
􀂄 Pleural fluid is seen on inversion
recovery MR
images as areas of increased signal
intensity along
the inner aspects of the chest wall.
Skeletal TB
􀂄Pott’s Disease (vertebral TB)
􀂄 CT and MRI helps in demonstrating a
small focus of
vertebral body involvement and defining
the extent of
the disease.
􀂄 CT/MRI help to evaluate TB involving
the craniovertebral
junction, sacro-iliac joint and posterior
appendages.
􀂄 They are also helpful in assessment of
spinal canal
encroachment , posterior element
involvement and in
deciding the surgical approach.
GIT TB
􀂄 Strictures of the small bowel, mucosal
edema and
thickening are well visualized on CT.
􀂄 MRI depicts the para-aortic, aortocaval
and
mesentric lymph nodes effectively.
􀂄GUT TB
􀂄 Various patterns of hydronephrosis may
be seen
at MR urography.
􀂄 MRI helps to differentiate macronodular
TB
lesions from the other mass lesions.
Boehme C, NEJM, 2010
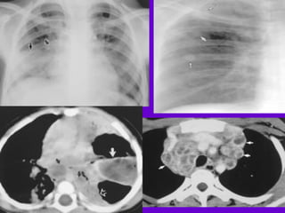
CXR Findings
 Primary TB:
 Lower or middle lobe infiltrates
 Reactivated TB:
 Apical infiltrates/cavitation
 Latent TB:
 Usually normal
 Nodules in hilar area or upper lobes
 Pleural scarring/thickening
Transmission
 Transmitted by airborne particles 1-5
microns in size
 Ease of transmission depends on duration
and proximity of contact as well as the
number of bacteria excreted
 Infection can result from only 1-5 bacteria
entering a terminal alveolus
 Only those with active pulmonary TB are
infectious
*M tuberculosis is transmitted via airborne
droplet nuclei that are produced when
persons with pulmonary or laryngeal TB
cough, sneeze, speak, or sing .
* Droplet nuclei may be produced by aerosol
treatments, sputum induction,aerosolization
during bronchoscopy, and through
manipulation of lesions or processing of
tissue or secretions in the hospital or
laboratory.
Pathogenesis
– Inhalation -> phagocytosis by alveolar
macrophages
– Bacterial multiplication occurs intracellularly
– Lymphatic spread to regional lymph nodes or
hematogenous dissemination
– Immune response results in granuloma formation
(containment of infection)
– Cell death in the granuloma results in caseous
necrosis
– Bacteria can remain dormant in the granuloma
Pathogenesis
– Medical conditions that increase risk for
active TB:
 Chronic renal failure
 Diabetes mellitus
 Silicosis
 Leukemias/lymphomas
 Carcinoma of the head/neck or lung
 Weight loss > 10% of ideal body weight
 Gastrectomy/jejunoileal bypass
Primary pulmonary tuberculosis
*The first infection with tubercle bacillus.
Includes the involvement of the draining
lymph nodes in addition to the initial
lesion(Ghon).
Clinical features:
Majority: symptomless.(specially in
young adults)
Brief febrile illness.
Loss of appetite.
Failure to gain weight in children.
Cough is not unusual and may mimic
paroxysm of whooping cough.
Physical signs:
•May be normal,
•Crepitation may be heard.
•Primary lesion could be
heard.
•Segmental or lobar collapse
may occur.
Radiological features:
•Lymphadenoathy: hilar lymph nodes
are most commonly involved rarely
paratracheal.Calciflcation of the nodes
may occur.
• Pulmonary componant: ( mainly in
adults) segmental or lobar
consolidation or obstructive
emphysema.
•Resolution of radiological shadow 6m-
2ys.
Diagnosis:
*Vague ill health with history of contact.
* X-ray.
*Tuberclin test: is usually strongly
positive.
*Sputum and gastric lavage for direct
smear and culture helpful in 20-25% of
cases.
* DNA amplification: PCR.
Post primary pulmonary tuberculosis
The most important type of tuberculosis
because it is the most frequent and
smear positive sputum is the main
source of infection responsible for the
persistence of the disease in the
community.
Source;
1. Direct progression of the primary
lesion.
2. Reactivation of the quiescent primary
or post primary.
3. Exogenous infection.
Predisposing factors for reactivation:
1. Malnutrition.
2. Poor housing and overcrowding.
3. Steroid and other immunosuppressive
drugs.
4. Alcoholism.
5.Other diseases: HIV malignancy,
lymphomas , Leukaemia,Diabetes.
Clinical features:
Mainly in middle aged and elderly.
A-Symptoms:
1. May be no symptoms, or just mild debility.
Gradual onset of symptoms over weeks or months.
2. General malaise.
3. Loss of appetite, loss of weight.
4. Febrile course.
5. Night sweating.
6. Cough with or without sputum.
7. Sputum could be mucoid, purulent or blood stained.
8. Could be presented with frank haemoptysis.
9. Tuberculous pneunonia.
B-Signs:
1. May be no signs.
2. Pallor, cachexia.
3. Fever.
4. Post tussive crepitations on the apices.
5. Signs of Consolidation.
6. Signs of fibrosis.
7. Signs of cavitary lesion.
8. Localised wheezes in endobronchial
tuberculosis
Lymph
nodes Anatomic Considerations
Retrosternal
Prevascular
Retrocaval
Aortic window
Carinal
Subcarinal
Hilar
Z-esophageal
Circm-cardiac
3 3
Lymph
nodes
Anatomic Considerations
Retrosternal
Prevascular
Retrocaval
Aortic window
Carinal
Subcarinal
Hilar
Z-esophageal
Circm-cardiac
6
5
Lymph
nodes
Anatomic Considerations
Retrosternal
Prevascular
Retrocaval
Aortic window
Carinal
Subcarinal
Hilar
Z-esophageal
Circm-cardiac
7
7
8
9
Radiology:
1. Bilateral upper zone fibrotic shadows: with
shift of trachea, mediastinum, distortion of
fissures and diaphragm, and elevation of the
pulmonary hila.
2. Soft confluent shadows of exudative lesion
(D.D pneumonia)
3 Calcification.
4. Cavitation.
5. Tuberculoma.
6. Hilar and paratracheal lymph node
enlargement may be present.
Radiological classification:
1.Minimal: slight or moderate opacity. No
cavity. Extent not more than space
above 2nd costocondral junction.
2. Moderately advanced: In one or both
lungs. slight or moderate opacity, extent
equivalent to volume of one lung. Dense
confluent shadow equivalent to one third
the volume of one lung. Diameter of
cavities not more than 4 cm.
3. Far advanced:
Any lesion>the moderately advanced.
Diasnosis:
1) Clinical
2) Plain X-ray.
3) Sputum Examination: direct smear and culture (very
important).
4) Other samples: Gastric aspirate, laryngeal swab, fiberoptic
specimens (wash,brush,biopsy),transtracheal spirate.
5 Polymerase chain reaction.)
6) Tuberclin test: mainly strongly positive
7) Others
White blood cells if normal favour the diagnosis
ESR may be elevated.
Normocytic normochromic anaemia.
CT may be useful in detecting small cavities,
or calcification.
Miliary Tuberculosis
Produced by acute dissemination of tubercle
bacilli via the blood stream.The term miliary
derives from the radiological picture of
diffuse, discrete nodular shadows about the
size of millet seed (2mm).
A- Classical form:
Clinical features:
Most common in infants and young children with acute
or subacute febrile illness.
In adults: the onset is insidious, gradual vague ill health.
Malaise, Cough (usually dry), dyspnea. Night sweat is
less common.
Headache suggest associated tuberculous meningitis
Chest examination is free, crepitations may be found.
Hepatomegaly, splenomegaly, lymphadenopathy,
neck rigidity may be found in rare cases.
Diasnosis:
1) Clinical.
2) Xray.
3) Choroidal tubercles in fundus examination
4) Tuberclin test not conclusive
5) Direct smear and culture of sputum if
present.
6) Other samples as transtracheal aspirate,
fiberoptic specimens may be obtained.
7) If failed to prove therapeutic trial for 2
weeks
Mycobacterium tuberculosis-latent bacilli
are microorganisms that adapt to stressful
conditions generated by the infected host
against them.
By slowing metabolism or becoming
dormant, they may counterbalance these
conditions and appear as silent to the
immune system.
Moreover, the dynamic turnover of the
infected cells provokes a constant
reactivation of the latent bacilli when the
environmental conditions are favourable, or
an activation after being dormant in necrotic
and fibrotic lesions for a long period of time.
Achalasia of
esophagus
• Inhomogeneous
cardiac density:
Right half more
dense than left
• Density crossing
midline (right black
arrow)
• Right sided inlet to
outlet shadow
• Right para spinal line
(left black arrow)
• Barium swallow
below: Dilated
esophagus
Dissecting Aneurysm
*Mediastinal widening
*Inlet to outlet shadow
on left side
*Retrocardiac: Intact
silhouette of left heart
margin
*Pulmonary artery
overlay sign: Density
behind left lower lobe
*Wavy margin
Treatment
 Before 1940s: open air (sanatorium)
 1946: streptomycin
 1952: isoniazid
 1970: rifampin
Antituberculous drugs:
A. First line drugs;
Isoniazide (INH) or H Rifampicin ( R ) Pyrizinamide ( Z )
Streptomycin ( S ) Ethamutol ( E )
B.Second line drugs :
Thiacetazone (150mg)
Para amino salicylic acid (10-20 g)
Ethionamide (<50Kg, 750mg&>50Kg, Ig)
Cycloserine 5-20mg/Kg)
Kanamycin, Capreomycin, Viomycin (20mg/Kg max Ig)
C.New drugs:
Amikacin, Quinolones, Rifabutin, new macrolides, and
Amoxicillin-clavulinic acid.
Drugs Adverse effectDose Dose
Adult Child
Isoniazide
(INH) or H
5 mg/Kg up to
12mg/Kg in
miliary.
10 mg/Kg Peripheral
neuritis,
hepatitis,
hypersensitivity.
Rifampicin
(R)
lOmg /Kg
<50Kg, 450mg
>50Kg, 600mg
10-20mg Orange urine
Flu like illness
Hepatitis
Hypersensitivity
Blood dyscriasis.
Ethambutol
(E)
25mg/Kg for
two months,
then 15mg/Kg
Contraindi
cated
Retrobulbar
neuritis
Pyrazinamie
(Z)
<50Kg,1.5g
50-74Kg, 2g
>75Kg, 2.5g
40mg/Kg Hepatotoxicity
Hyperuricaemia
Streptomycin
(S)
20mg/Kg (max
Ig)
20mg/Kg Ototoxicity
(vestibular)
Nephrotoxicity
Hypersensitivity
Drus regimens:
according to WHO guidelines
1-New smear positive patient
2SRHZ/6HE(8months regimens)or
2SHE/10HE(12months regimens)or
2SRHZ/4RH (6 months regimen)
2-Previously treated smear positive patients
2SRHZE/1RHZE/5RHE (8month regimen)
a sensitivity pattern is recommended.
3- Smear negative and extrapulmonary TB
2SHE/10HE (12 months regimen)
4- Chronic smear positive patient (Treated in
hospital): a Sensitivity pattern is recommended to give
special treatment regimen.
Corticosteroid Therapy in Tuberculosis
Corticosteroid should never be given to patientswith
tuberculosis unless they are receiving adequate
antituberculous therapy
Indications of steroids:
*In very ill patient.
*To control drug hypersensitivity.
*In tuberculosis of serous sacs (pericarditis, peritonitis and
pleural effusion).
*In tuberculous meningitis.
*Addison disease.
*Genitourinary tuberculosis.
*Occasionally to suppress lymph node enlargement.
Treatment of Active TB
 Four drug regimen for first 2 months:
 INH 300 mg
 Rifampin 600 mg
 PZA 15-30 mg/kg
 Ethambutol 15-25 mg/kg or streptomycin 15
mg/kg
 Two drug regimen for next 4 months:
 INH and rifampin
 If the TB is not resistant (or < 4%
resistance in the community): INH,
rifampin, and PZA for the first 2
months can be used
Treatment of Active TB
 INH resistant TB:
– Rifampin, PZA, and ethambutol for 6
months
 Rifampin resistant TB:
– INH, PZA, and streptomycin for 9 months
or INH and ethambutol for 18 months
 MDR/XDR TB:
– Based on susceptibility patterns
Blumberg, HM; IDSA
Factors in Treatment of
Latent TB
 Age:
 Previously, low risk patients older than 35
were not treated – higher risk of drug-
induced hepatitis
 “Decision to tuberculin test is a decision to
treat”
 Weigh risks/benefits of treatment in low risk
patients
 Liver disease:
 End stage liver disease and active hepatitis
are relative contraindications to treatment
Treatment of Latent TB
 Efficacy of 90% if all the medications
are taken
 60-70% rates when the drugs are self-
administered
 Protective effect will last probably for
life but at least 20 years
Treatment of Latent TB
 Need to exclude active disease before
treatment (avoids single drug therapy
of active TB)
 CXR – if changes consistent with TB, send
AFB sputum culture
 Single drug therapy appropriate for
latent TB – bacterial load much lower
compared with active TB
Treatment of Latent TB
 Regimens:
– Isoniazid (INH) daily or twice weekly
under directly observed therapy (esp. if
adherence is an issue)
 9 months of treatment is optimal
 At least 6 months is needed
 12 months if treatment is interrupted
– Rifampin daily
 4 months of treatment
 Alternative regimen for those exposed to an
INH resistant patient
Treatment of Latent TB
 Regimens:
– Rifampin/PZA for 2 months
 Similar in safety and efficacy to 12 month
regimen of INH
 No longer recommended due to hepatic
toxicity (including liver failure leading to
death)
Treatment of Latent TB
 Regimens: Multi-Drug Resistant TB
– Therapy based on susceptibility pattern of
the index case if information available
– 2 drug therapy for 12 months
 PZA plus
 Ethambutol or
 Fluoroquinolone with anti-TB activity
Treatment of Latent TB
 If INH treatment is interrupted, an
additional 3 months should be given
 If interruption is >3 months, re-start
treatment
 If a treated person is re-exposed to
someone with TB, repeat treatment is
not needed unless the patient is HIV+
Treatment – Special
Situations
 HIV:
 Up to 20% of patients with CD4 counts < 200
can have a normal CXR with active TB – send
sputum before treatment
 Recent contact with someone with active TB:
treat regardless of PPD result
 Anergy testing not recommended
 Extrapulmonary TB more common
 Immune reconstitution
 Same treatment regimens (except rifabutin
instead of rifampin for patients on PIs)
Treatment – Special
Situations
 Pregnancy:
– No evidence that PPD testing is harmful
– INH: not teratogenic; hepatotoxicity may be
more likely
– Rifampin: generally considered safe – reports of
hemorrhage in the newborn
– Ethambutol: okay
– Streptomycin: avoid (congenital deafness)
– PZA: no published safety data
– Breast-feeding is not contraindicated
Treatment – Special
Situations
 Pregnancy:
– Active TB – treat
– Latent TB (immunocompetent host) –
defer therapy until after delivery
– Latent TB (HIV or recent converter) –
immediate therapy with INH
Monitoring on Treatment
 INH: Side effects
 Abdominal pain, nausea, vomiting
 Dark urine
 Icterus
 Easy bruising/bleeding
 Arthralgias
 Rash
 Paresthesias/weakness – peripheral
neuropathy is less likely with pyridoxine
 Anorexia/fatigue
Monitoring on Treatment
 INH
– Elevated transaminases in 10-20% of
cases – especially with EtOH
– Should be withheld if transaminases
increase more than 3x the upper limit of
normal when associated with symptoms
or 5x the upper limit of normal in
asymptomatic patients
Monitoring on Treatment
 Rifampin: Side effects
– GI upset
– Thrombocytopenia
– Hepatitis
– Flu-like syndrome – if taken irregularly
– Multiple drug interactions
– Orange bodily secretions due to excretion
Monitoring on Treatment
 PZA: Side effects
– GI upset
– Hepatitis
– Arthralgias
– Hyperuricemia – acute gout uncommon
 Ethambutol:
– Optic neuritis: reversible decreased red-green
color perception and visual acuity
– Not hepatotoxic
Adherence
 Decreases with duration of therapy
whereas efficacy increases with length
of treatment
 Factors:
 Side effects
 Complexity of regimen (active TB)
 Perception (especially in latent TB)
 Directly Observed Therapy – especially
in twice weekly regimens
Infection Prevention
 If active pulmonary TB is suspected:
– AFB isolation
– Negative pressure
– Particulate respirator masks
 Isolation not required for:
– Latent TB
– Extrapulmonary TB
Infection Prevention
 Isolation can be discontinued:
– If AFB smears x 3 are negative
– An alternative diagnosis is made
 If patient has active TB, then:
– After 2 weeks of effective therapy
– Resolution of cough, fever
– Negative or “less positive” AFB smears
S Curve of Golden
When there is a mass adjacent
to a fissure, the fissure takes
the shape of an "S". The
proximal convexity is due to a
mass, and the distal concavity
is due to atelectasis. Note the
shape of the transverse fissure.
This example represents a RUL
mass with atelectasis
Definitions
MDR-TB = Strains resistant to at least INH and RIF (most
important 1st-line drugs)
XDR-TB = MDR TB strains with additional resistance to any
fluoroquinolone and any of the 3 injectable second-line drugs
(amikacin, kanamycin, capreomycin)
TDR, XXDR = Resistance to all drugs (not standardised defin)
MDR TB XDR TB
TB with any
drug
resistance
TDR/XXDR TB
204
1st-line
oral
•INH
•RIF
•PZA
•EMB
•(Rfb)
Injectables
•SM
•KM
•AMK
•CM
Fluoroquinolones
•Cipro
•Oflox
•Levo
•Moxi
•(Gati)
Oral bacteriostatic2nd line
Unclear efficacy•ETA/PTA
•PASA
•CYS
Not routinely recommended,
efficacy unknown, e.g.,
amoxacillin/clavulanic acid,
clarithromycin, clofazamine,
linezolid, inmipenem/cilastatin,
high dose isonizid
XDR= HR + 1 FQ + 1 Injectable (KM or AMK or CM)
TB presentation

TB presentation

  • 2.
    An overview andUpdates in TB By Gamal Rabie Agmy , MD , FCCP Professor of Chest Diseases ,Assiut University ERS National Delegate of Egypt
  • 4.
    *The increasing prevalenceof tuberculosis in both immunocompetent and immunocompromised individuals in recent years makes this disease a topic of universal concern. Introduction
  • 6.
    *The World HealthOrganization (WHO) estimates that each year more than 8 million new cases of tuberculosis occur and approximately 3 million persons die from the disease. *Ninety-five percent of tuberculosis cases occur in developing countries. *It is estimated that between 19 and 43% of the world's population is infected with Mycobacterium tuberculosis, the bacterium that causes tuberculosis infection and disease Epidemiology
  • 8.
    Epidemiology  Most casesin the US are due to reactivation, especially amongst immigrants  Highest risk of progression to active TB is within 2 years of seroconversion  Increase in incidence in late 1980s-early 90s largely due to HIV  Needs to be reported to the health department
  • 10.
    Microbiology  Aerobic  Bacillus(rod-shaped)  Non-spore forming  Non-motile  Cell wall – mycolic acid – retains acid fast stain  Growth - doubling time of 15-20 hrs.  3-8 weeks for growth on solid media
  • 11.
    TB Skin Testing PPD – purified protein derivative of tuberculin (antigenic)  Delayed type hypersensitivity reaction  PPD may not become “positive” until 3 months after exposure  Boosting effect
  • 16.
    Skin Test Interpretation PPD >/= 5 mm: – HIV patients – Recent contacts of someone with TB – Fibrotic changes on CXR c/w prior TB – Organ transplant recipients – Immunosuppressed (includes patients receiving the equivalent of 15 mg/day or more of prednisone for one month or more)
  • 17.
    Skin Test Interpretation PPD >/= 10 mm: – Recent immigrants (< 5 years) from high prevalence areas (Eastern Europe, Latin America, Asia, Africa) – IV drug users – Residents and employees of high risk facilities (hospitals, nursing homes, homeless shelters, prisons) – Children < 4 years of age – Mycobacteriology lab personnel
  • 18.
    Skin Test Interpretation PPD >/= 10 mm: – People with medical conditions that place them at high risk for active TB  Chronic renal failure  Diabetes mellitus  Silicosis  Leukemias/lymphomas  Carcinoma of the head/neck or lung  Weight loss > 10% of ideal body weight  Gastrectomy/jejunoileal bypass
  • 19.
    Skin Test Interpretation PPD >/= 15 mm: – Low risk people – Routine tuberculin testing not recommended for low risk populations
  • 20.
    Skin Test Intrepretation False positives: – Non-tuberculous mycobacterial infection – BCG vaccination  False negatives: – HIV – Malnutrition – Steroid therapy – Recent infection
  • 21.
    BCG  Bacille Calmette-Guerinvaccination:  Live attenuated mycobacterial strain derived from M. bovis  Can yield false positives to PPD – less likely as time from vaccination increases  Reactions > 20 mm likely are true  CDC advises that the PPD be interpreted by the same guidelines (ignore the BCG history)
  • 22.
    Quantiferon Testing  Wholeblood in vitro test: – Lymphocytes release IFN gamma in presence of 2 TB antigens  Will be positive in latent or active TB  Advantages: – No error in interpretation – No follow-up in 48-72 hours – No boosting – Not affected by BCG
  • 23.
    Quantiferon Testing  Disadvantages: –Must be processed within 12 hours of collection – False + with atypical mycobacteria – Too many indeterminate results with current version (Q-Gold) – May be less reliable in pregnant women, children, and immunocompromised – Does not distinguish between active and latent TB
  • 24.
    Causative organism; Mycobacterium tuberculosisCOMPLEX Stained with: -Modified gram stain: gram positive. -Carbolfuchsin stain: *Cold method(Kynon) *Hot(Zeil-Neelson) - Fluorescent dyes: rhodamine and auramine stains. Bacteriology
  • 25.
    QUANTITATION SCALE FORACID-FAST BACILLUS SMEARS ACCORDING TO STAIN USED Carbolfuchsin (× 1,000) Fluorochrome (× 250) Quantity Reported No AFB/300 fields No AFB/30 fields No AFB seen 1-2 AFB/300 fields 1-2 AFB/30 fields Doubtful, repeat test 1-9 AFB/100 fields 1-9 AFB/10 fields Rare (1+) 1-9 AFB/10 fields 1-9 AFB/field Few (2+) 1-9 AFB/field 10-90 AFB/field Moderate (3+) > 9 AFB/field > 90 AFB/field Numerous (4+)
  • 26.
    Zeil-Neelson Staining Wire 0.01ml of specimen 200mm2 slide Oil immersion field 0.02mm Slide=10000 field=0.01ml specimen 10,000 organism/slide=1 AFB/field=1000,000 organism/ml 1000 organism/slide=1 AFB/10 field=100,000 organism/ml 100 organism/slide=1 AFB/100field=10,000 organism/ml
  • 27.
    QUANTITATION SCALE FORACID-FAST BACILLUS SMEARS ACCORDING TO STAIN USED Carbolfuchsin (× 1,000) Fluorochrome (× 250) Quantity Reported No AFB/300 fields No AFB/30 fields No AFB seen 1-2 AFB/300 fields 1-2 AFB/30 fields Doubtful, repeat test 1-9 AFB/100 fields 1-9 AFB/10 fields Rare (1+) 1-9 AFB/10 fields 1-9 AFB/field Few (2+) 1-9 AFB/field 10-90 AFB/field Moderate (3+) > 9 AFB/field > 90 AFB/field Numerous (4+)
  • 28.
    Cultures: - Lowenstein Jensenmedia: 6-8 weeks. -Bactec media: 2-8days. Radiolabelled 14c labelled palmitic acid -Mycobacterial growth indicator tube: Middbrook broth+o2 sensitive fluroscent sensor to indicate growth& bacilli can be identified by Gen Probe method at the same day of detection.
  • 29.
    Diagnosis of ActiveTB  Acid fast stain of sputum  Sputum AFB culture (culture needed for drug susceptibility)  Radiographic imaging (CXR, CT)  PCR/NAT  Fluid Aspiration  Tissue biopsy – higher yield than fluid
  • 33.
    Direct Methods 1-Direct Microscopy(ZN, Kinyoun, Flurochrome). 2-Culture (Traditional, Rapid methods). 3- Detection of DNA or RNA of mycobacterial origin ( PCR, LAMP, TAA / NAA, LCR, Fast Plaque).
  • 34.
    Direct Microscopic Examination *Hallmark ofstaining is Ziehl-Neelsen stained slides. Easiest & quickest diagnostic test. * Limited sensitivity (46-78%) but specificity is virtually 100%. * Centrifugation & flurochrome staining (auramine O)with UV microscopy markedly increase the sensitivity & a large number can be examined in a much shorter time.* *Chest 1969;95:1193
  • 35.
    Direct Microscopic Examination 􀂄 ZNstaining requires = 105 bacilli/ml. 􀂄 TB bacilli appear as straight/curved rods (1-4μ x 0.2-0.8μ) singly, in pairs or in clumps. 􀂄 The yield of microscopic examination correlates well with the extent of disease, the presence of cavitation, and the quality of specimen. 􀂄 It is a good marker for infectiousness & the response to the treatment.
  • 36.
    Several approaches arebeing made to enhance the sensitivity of the smear microscopy : 􀂄 Concentration of sputum sample by centrifugation enhances sensitivity to almost 100%.* 􀂄 Treatment of sputum samples with Zwitterionic detergent, also known as C18 carboxyprophylbetaine( CB18) interferes with the innate buoyancy of the bacilli and enhances the result of sputum microscopy.** *J Clin Microbiol 1999;31: 2371 **J Clin Microbiol 1998;36: 1965
  • 37.
    Traditional Culture 􀂄 Moresensitive & can be positive even when bacterial load is low (10-100 bacilli/ml). 􀂄 Sensitivity 80-85%; Specificity 98%. 􀂄 Required for precise identification of causative organisms. 􀂄 3 Types of media are used: 􀂄 Egg based: LJ, Petragnani and ATS. 􀂄 Agar based: Middlebrook 7H10 or 7H11. 􀂄Liquid based: Kirschner’s, Middlebrook 7H9. 􀂄 Growth is slow and takes 6-8 weeks . There after the same length of time is required for complete identification & sensitivity testing.
  • 39.
    Broth Based RapidCulture Methods 􀂄 Micro colony detection on solid media. 􀂄Radiometric (BACTEC). 􀂄Septicheck AFB. 􀂄 Mycobacterial growth indicator tubes (MGIT). 􀂄 Substantial improvement in time to detection & total number of positive cultures can be realized from using broth based systems.
  • 40.
    Micro colony Detectionon Solid Media 􀂄 Plates poured with thin layer of Middlebrook 7H11 agar medium are incubated and examined microscopically on alternate days for the first 2 days and less frequently thereafter. 􀂄 In less than 7 days micro-colonies of slow growing mycobacteria such as M.tb can be detected.
  • 41.
    Micro colony Detectionon Solid Media 􀂄 Plates poured with thin layer of Middlebrook 7H11 agar medium are incubated and examined microscopically on alternate days for the first 2 days and less frequently thereafter. 􀂄 In less than 7 days micro-colonies of slow growing mycobacteria such as M.tb can be detected.
  • 42.
    BACTEC 􀂄Growth is ascertained byliberation of 14CO2 as metabolized by mycobacteria & detected by BACTEC 460 instrument & reported in terms of growth index (GI) value
  • 43.
    BACTEC 􀂄 Average timeto recovery of M.tb from smear positive specimens is 8 days. 􀂄 When smear negative, culture positive samples are examined, mean time for detection is 14 days. 􀂄 More sensitive than traditional method.* 􀂄 Can also be used for drug susceptibility testing. *J Clin Microbiol 1994;32: 918-925
  • 44.
    BACTEC 􀂄 A specialprocedure unique to BACTEC system for identification of M.tb complex is based on observation that p-nitro-α-acetylamino-β- hydroxypropiophenone (NAP) will inhibit organisms belonging to M.tb complex while having little or no effects on other mycobacteria. 􀂄Drawbacks : 􀂄Cost. 􀂄 Problem of disposal of radioactive waste.
  • 46.
    Septicheck AFB 􀂄 Combinesbroth & solid media into a single device (biphasic culture approach). 􀂄 Contains 30ml of modified Middlebrook 7H9 broth in CO2 enriched culture bottle & a peddle with agar media- one side of peddle covered with Middlebrook 7H11; other side contains Middle brook 7H11 with NAP. 􀂄 Requires 3 weeks of incubation 􀂄 Advantage: Simultaneous detection of Mtb. NTM, other respiratory pathogen & even contaminant.
  • 47.
    Mycobacterial Growth Indicator Tube(MGIT) 􀂄Rapid Method. 􀂄 Consists of round bottom tubes containing 4 ml of modified Middlebrook 7H9 broth which has an oxygen sensitive fluroscent sensor at the bottom.* 􀂄 When mycobacteria grow, they deplete the dissolved oxygen in the broth & allow the indicator to fluoresce brightly in a 365nm UV light. * J Clin Microbiol 1999;37: 748-752
  • 49.
    Mycobacterial Growth Indicator Tube(MGIT) 􀂄 Positive signals are obtained in 10-12 days. 􀂄 MGIT can also be used as a rapid method for the detection of drug resistant strains of Mtb directly from acid-fast smear positive samples as well as from indirect drug susceptibility studies. 􀂄Advantages over BACTEC 􀂄Cheaper. 􀂄 No problem of radioactive waste disposal. J Clin Microbiol 1999;37: 45-48
  • 50.
    Detection and identificationof mycobacteria directly from clinical samples 􀂄Genotypic Methods : 􀂄PCR 􀂄LAMP 􀂄TMA / NAA 􀂄Ligase chain reaction 􀂄Phenotypic Methods : 􀂄FAST Plaque TB
  • 51.
    Polymerase Chain Reaction (PCR) 􀂄Essentially PCR is a way to make millions of identical copies of a specific DNA sequence , which may be a gene, or a part of a gene, or simply a stretch of nucleotides with a known DNA sequence, the function of which may be unknown. 􀂄 A specimen that may contain the DNA sequence of interest is heated to denature double stranded DNA.
  • 52.
    Polymerase Chain Reaction (PCR) 􀂄Specific synthetic oligonucleotide primers bind to the unique DNA sequences of interest and a heat stable DNA polymerase (Thermus aquaticus) extends the primer to create a complete & complimentary strand of DNA. 􀂄 This process is repeated sequentially 25-40 times, thereby creating millions of copies of target sequence.
  • 53.
    PolymeraseChainReaction(PCR) 􀂄65Kd antigen (HSPs): 􀂄Usedearlier 􀂄 Heat shock protein believed to be distinct from other bacterial HSPs. 􀂄 This gene is identical in all species of mycobacteria. 􀂄 Therefore unsuitable for detecting M.tb, particularly in areas where species like M.avium or M.kansasii are prevalent.
  • 54.
    IS6110 : 􀂄 Itis a transposon which are self replicating stretches of DNA. 􀂄Function not known. 􀂄 This sequence has been found in the M.tb complex organisms (M.tb, M.africanum, M.microti, M.bovis). 􀂄 IS6110 sequence generally occurs only once in M.bovis but is found as often as 20 times in certain strains of M.tb, thus offering multiple targets for amplification.
  • 55.
    Polymerase Chain Reaction (PCR) 􀂄With recent modification PCR can detect even a fraction of a bacilli. 􀂄Role in pulmonary TB : 􀂄 Detects nearly all smear +ve and culture +ve cases. 􀂄 Useful technology for rapid diagnosis of smear –ve cases of active TB. 􀂄 Able to identify 50-60% of smear -ve cases; this would reduce the need for more invasive approaches to smear - ve cases.
  • 56.
    Distinguish M.tb fromNTM in smear +ve cases as IS6110 sequence is not found in NTM.* 􀂄 Should not be used to replace sputum microscopy. 􀂄 Sensitivity, specificity, & PPV for PCR is 83.5%, 99% & 94.2% respectively.** *Am Rev Respir Dis 1991; 144:1160 ** J Clin Microbiol 1999;31: 2049-2055
  • 57.
    PolymeraseChainReaction(PCR) 􀂄 Role inExtrapulmonary TB 􀂄Limited Role 􀂄 No comprehensive large series comparing the yield of PCR with other available approaches has been published. 􀂄 But at present, it is valuable adjunct in the diagnosis of TBM, pleurisy, pericardial TB & other condition in which yield of other tests are low.
  • 58.
    PolymeraseChainReaction(PCR) 􀂄Disadvantages : 􀂄 Veryhigh degree of quality control required. 􀂄 Variation from lab to lab remain significant. 􀂄 In pts. on ATT, PCR should not be used as an indicator of infectivity as this assay remains +ve for a greater time than do cultures.* Am J Respir Crit Care Med 1997;155: 1804-1854
  • 59.
    High false +veresults in patients previously treated with ATT in contacts of sputum +ve active cases. 􀂄High Cost. 􀂄 So, better understanding of how to use these tests in conjunction with available clinical information is essential.* *Thorax 1992;47:690-694
  • 60.
    LAMP* 􀂄Loop-mediated isothermal amplification. 􀂄 Itis a novel nucleic acid amplification method in which reagents react under isothermal conditions with high specificity, efficiency, and rapidity. 􀂄 LAMP is used for detection of M.tb complex, M.avium, and M.intracellulare directly from sputum specimens as well as for detection of culture isolates grown in a liquid medium (MGIT) or on a solid medium (Ogawa’s medium). *Iwamoto T et al J Clin Microbiol 2003;41 :2616-2619
  • 61.
    LAMP 􀂄 This methodemploys a DNA polymerase and a set of four specially designed primers that recognize a total of six distinct sequences on the target DNA. 􀂄 Species-specific primers were designed by targeting the gyrB gene. 􀂄 Simple procedure, starting with the mixing of all reagents in a single tube, followed by an isothermal reaction during which the reaction mixture is held at 63°C. 􀂄60-min incubation time.
  • 62.
    LAMP 􀂄 Due toits easy operation without sophisticated equipment, it will be simple enough to use in: 􀂄Small-scale hospitals, 􀂄Primary care facilities 􀂄 Clinical laboratories in developing countries. 􀂄Difficulties : 􀂄Sample preparation 􀂄Nucleic acid extraction 􀂄Cross-contamination.
  • 63.
    TMA / NAA 􀂄TranscriptionMediated Amplification (TMA). 􀂄 Nucleic Acid Amplification (NAA). 􀂄 These techniques use chemical rather than biological amplification to produce nucleic acid. 􀂄 Test results within few hours. 􀂄 Currently used only for respiratory specimens.
  • 64.
    Ligase Chain Reaction 􀂄It is a variant of PCR, in which a pair of oligonucleotides are made to bind to one of the DNA target strands, so that they are adjacent to each other. 􀂄 A second pair of oligonucleotides is designed to hybridize to the same regions on the complementary DNA.
  • 65.
    Ligase Chain Reaction 􀂄The action of DNA polymerase and ligase in the presence of nucleotides results in the gap between adjacent primers being filled with appropriate nucleotides and ligation of primers. 􀂄 It is mainly being used for respiratory samples, and has a high overall specificity and sensitivity for smear +ve and –ve specimens.
  • 66.
    FAST Plaque TB 􀂄It is an original phage based test. 􀂄 It uses the mycobacteriophage to detect the presence of M.tb directly from sputum specimens. 􀂄 It is a rapid, manual test, easy to perform and has a higher sensitivity than microscopy, in newly diagnosed smear +ve pts.* *Int J Tuberc Lung Dis 1998;2: 160
  • 68.
    Indirect Methods 􀂄Antibody detection: 􀂄TB STAT-PAK 􀂄ELISA 􀂄India test TB 􀂄Antigen detection : 􀂄 TB MPB 64 patch test. 􀂄Quantiferon-GOLD test. 􀂄Biochemical Assays :(ADA, Bromide Partition, Gas Chromatography).
  • 69.
    TB STAT-PAK 􀂄Immuno-chromatographic test. 􀂄Has been evolved with a capability to differentiate between active or dormant TB infection in whole blood, plasma or serum. 􀂄 Its value in in disease endemic countries is yet to be ascertained.* *Eur Resp J 1995;8: 676
  • 70.
    Antibody detection byELISA. 􀂄 Several serodiagnostic tests, principally those using ELISA methodology for measurement of IgG Ab are available. 􀂄 38-Kd Ag provides serodiagnostic test with most favorable test characteristics described, but is limited by the lack of purified Ag. 􀂄 Serum IgG Ab are observed to rise during the first 3 months of therapy but fall after 12-16 months.
  • 72.
    Antibody detectionby ELISA. 􀂄Other purified antigens to which antibodies are detected : 􀂄 30 Kd protein antigen 􀂄 16 Kd heat-shock antigen 􀂄Lipoarabinomannan(LAM) – LAM is a complex glycolipid associated with cell wall of mycobacteria & is produced in substantial quantities by growing M.tb. 􀂄A60 antigen 􀂄ES31/41 antigen
  • 73.
    Antibody detection byELISA. 􀂄 IgM Ab levels have usually been found to be so low that their reliable measurement has been difficult. 􀂄 Serodiagnosis with crude Ag gives high false positive results. 􀂄 These tests lack specificity because polyclonal Ab are used. 􀂄 Use of monoclonal antibodies have increased their specificity.
  • 74.
    Antibody detection byELISA. 􀂄 It takes several months after diagnosis for patients with pulmonary TB to reach maximum antibody titers so that serodiagnosis appears to be more useful in chronic extrapulmonary disease (bone or joint) than in acute forms (miliary, TBM). 􀂄 Serodiagnosis also has limited utility in smear negative patients with minimal PTB; In pediatric TB & in disease endemic countries with high infection rates.
  • 75.
    Antibody detection byELISA. 􀂄 ELISA also has limited diagnostic potential in AIDS prevalent population.* 􀂄 Tests are expensive, require trained personnel & difficulty in distinguishing Mtb & NTM. 􀂄 Serologic tests have not yet demonstrated sufficient performance to warrant routine use in control programs. * Int J Tuberc Lung Dis 2000;4132: 5152-5388
  • 76.
    Antibody detection byELISA. 􀂄 Sensitivity and specificity of ELISA serodiagnostic tests using measurement of serum IgG Ab to selected mycobacterial Ag: Antigen Sensitivity Specificity 38 Kd 49-89 98-100 30 Kd 62-72 97-100 16 Kd 24-71 97-99 LAM 26-81 92-100 A60 71-100 71-95
  • 77.
    Antibody detection byELISA. 􀂄 The detection of mycobacterial antigens by immunoassay in clinical specimens with high & variable protein content is difficult. 􀂄 Detection in sputum presents even greater clinical problem because sputum is a non- homogenous gel . 􀂄 False positive rates are high. 􀂄 Abandonment of this diagnostic tool.
  • 78.
    Insta test TB 􀂄It is a rapid in vitro assay for the detection of antibody in active TB disease using whole blood or serum. 􀂄 The test employs an Ab binding protein conjugated to a colloidal gold particle and a unique combination of TB Ags immobilized on the membrane.* *Tuberc. Lung Dis 1998;2: 541
  • 79.
    TB MPB 64patch test 􀂄 MPB 64 is a specific mycobacterial antigen for M.tb complex. 􀂄 This test becomes +ve in 3-4 days after patch application and lasts for a week. 􀂄Specificity~100%, Sensitivity~98.1%.* 􀂄 This promising test has been reported so far only in one setting in Philippines and needs to be carried out in other settings. *Ind J Tuberc Lung Dis 1998;2: 541
  • 80.
    Quantiferon-GOLD 􀂄 Due toadvances in molecular biology and genomics, an alternative has emerged for the first time in the form of a new class of in vitro assays that measure interferon (IFN-γ) released by sensitized T cells after stimulation by M. tuberculosis antigens. 􀂄 Measures immune reactivity to M.tb.
  • 81.
    Quantiferon-GOLD 􀂄 Interferon-γ assaysmeasure cell- mediated immunity by quantifying IFN-γ released from sensitized T cells in whole blood/PBMCs incubated with TB antigens.
  • 82.
    QuantiFERON-TB ® test(Cellestis, Australia – Commercially available. – Measures amount of IFN-γ produced. (ELISA) – FDA-approved for the detection of LTBI, 2001. 􀂄ELISPOT assay (Oxford, UK) – Similar to QFT. – Measures number of reactive lymphocytes. – Not commercially available.
  • 83.
    Early assays employedPPD (same specificity problems as the TST). 􀂄 Newer assays (e.g., QFT-Gold) employ TB-specific antigens: ESAT-6 and CFP-10. 􀂄 Proteins encoded within the region of difference 1 of M.tuberculosis. 􀂄 Not shared with the BCG sub-strains and most NTM (except: M. kansasii, M. szulgai, M. marinum and nonpathogenic M.bovis). Quantiferon-GOLD
  • 84.
    Improved specificity: ableto distinguish between TB and NTM, BCG infection. 􀂄 Studies in contacts, HIV infected and children underway. 􀂄 Recommended for use in “ALL circumstances in which the tuberculin skin test is currently used”.* 􀂄 Includes contact investigations, immigrant evaluation, surveillance (e.g. healthcare workers). *Mazurek et al MMWR 2005;54:15 Quantiferon-GOLD
  • 85.
    IGRAs Vs. TST 􀂄TST 􀂄Invivo 􀂄Single antigen 􀂄Boosting 􀂄2patient visits 􀂄Inter-reader variability 􀂄 Results in 2-3 days 􀂄 Read in 48-72 hrs 􀂄 IGRAs 􀂄In vitro 􀂄Multiple antigens 􀂄No boosting 􀂄1patient visit 􀂄Minimal inter-reader variability 􀂄 Results in 1 day 􀂄 Stimulate w/i 12 hrs
  • 86.
    IGRAs Vs. TST 􀂄QFT-g vs. TST Agreement = 83.6%* 􀂄 Factors associated with discordance : – Prior BCG – Non-tuberculous mycobcateria immune reactivity – Site bias in reading TST – TB Treatment *Mazurek et al JAMA 2001;286:1740
  • 87.
    Biochemical markers of Diagnosis 􀂄Adenosinedeaminase. (ADA) 􀂄Bromide partition test. 􀂄 Gas chromatography of mycobacterial fatty acids (Tuberculostearic acid).
  • 88.
    Adenosine Deaminase (ADA) 􀂄It is an enzyme of purine metabolism. The level of this enzyme is 10 times higher in lymphocytes (T cells >B cells) than in RBC. 􀂄 Whenever there is cell mediated immune response to an antigenic stimuli, the ADA levels are the highest. 􀂄 ADA is measured by the colorimetric method of Giusti.
  • 89.
    enzymatic reaction is: Adenosine+ H2O + ADA = Inosine + NH3 +ADA 􀂄 The amount of ammonia liberated is measured by the colorimetric method. Cut-off Sensitivity Specificity Pleural Fluid 50 IU/ml 95% 100% Ascitic Fliud 32.3 IU/ml 89% 98% CSF 9 IU/ml 100% 100%
  • 90.
    Bromide Partition Test 􀂄The partition of bromide ion between serum and CSF after a loading dose reflects the integrity of the blood brain barrier. 􀂄 Either by direct chemical measurement or by using an isotopic tracer, the ratio of bromide in serum to that in CSF can be estimated. 􀂄 Values <1.6 are characteristic of TBM.
  • 91.
    In different studiesthe sensitivity and specificity of this test has been found to be near 90%.* 􀂄 It may be false +ve in herpes simplex, listeria, mumps, measles, pyogenic meningitis and hypothyroidism. 􀂄 With the availability of better tests, this test has been given up. *Taylor J et al. J Clin Microbiol 1999; 34: 56-59
  • 92.
    Tuberculostearic Acid (TBSA) 􀂄TBSA is found in the cell wall of mycobacterium. 􀂄 It is identified by gas chromatography or mass spectrophotometry. 􀂄 It is a costly investigation and requires complex analytical equipment. (Seldom used) 􀂄Sensitivity >95%,Specificity>99%.* *French M et al. J Clin Microbiol 1998; 54: 987-990
  • 93.
    CT Scan andMRI Scan in the diagnosis of TB 􀂄 The advent of CT and MRI imaging in the last two decades has redefined the approach in analysis of various diseases including TB.* 􀂄 CT and MRI have shown several advantages over conventional radiology in early diagnosis and follow-up of TB in different parts of the body. *Buxi TBS Indian J Pediatr 2002;69:965-972
  • 94.
    Pulmonary TB : 􀂄LobarPneumonia 􀂄 CT is superior than plain CXR in picking up the consolidation, atelectasis and the hilar LN thereby making the diagnosis easy. 􀂄 MRI reveals some of these changes, however, CT is the diagnostic modality of choice in such cases. 􀂄Bronchopneumonia 􀂄 On CT it is usually B/L and widespread, not always symmetrical involvement of lungs.
  • 95.
    Hilar and Mediastinal Lymphadenopathy 􀂄CT and MRI depict the hilar and mediastinal LN equally well. 􀂄 Calcification in the nodes is however better seen on CT. 􀂄 Necrosis is seen as focal areas of low attenuation on a CECT. 􀂄 On MRI focal necrosis is seen as areas of increased signal intensity on T2W images. 􀂄EBTB 􀂄 HRCT is sensitive in the detection of early endobronchial spread of disease.
  • 97.
    Miliary TB 􀂄 Earliestform of miliary TB is detectable on HRCT. 􀂄 Coalescing nodules result into patchy irregular opacities and HRCT shows this variation effectively and has been described as “snowstorm appearance”. 􀂄 HRCT shows cavitation, which is not evident on plain CXR. 􀂄Pleural Effusion 􀂄 CT is sensitive to diagnose and define even minimal pleural effusion/pleural calcification. 􀂄 Pleural fluid is seen on inversion recovery MR images as areas of increased signal intensity along the inner aspects of the chest wall.
  • 98.
    Skeletal TB 􀂄Pott’s Disease(vertebral TB) 􀂄 CT and MRI helps in demonstrating a small focus of vertebral body involvement and defining the extent of the disease. 􀂄 CT/MRI help to evaluate TB involving the craniovertebral junction, sacro-iliac joint and posterior appendages. 􀂄 They are also helpful in assessment of spinal canal encroachment , posterior element involvement and in deciding the surgical approach.
  • 99.
    GIT TB 􀂄 Stricturesof the small bowel, mucosal edema and thickening are well visualized on CT. 􀂄 MRI depicts the para-aortic, aortocaval and mesentric lymph nodes effectively. 􀂄GUT TB 􀂄 Various patterns of hydronephrosis may be seen at MR urography. 􀂄 MRI helps to differentiate macronodular TB lesions from the other mass lesions.
  • 100.
  • 101.
    CXR Findings  PrimaryTB:  Lower or middle lobe infiltrates  Reactivated TB:  Apical infiltrates/cavitation  Latent TB:  Usually normal  Nodules in hilar area or upper lobes  Pleural scarring/thickening
  • 108.
    Transmission  Transmitted byairborne particles 1-5 microns in size  Ease of transmission depends on duration and proximity of contact as well as the number of bacteria excreted  Infection can result from only 1-5 bacteria entering a terminal alveolus  Only those with active pulmonary TB are infectious
  • 109.
    *M tuberculosis istransmitted via airborne droplet nuclei that are produced when persons with pulmonary or laryngeal TB cough, sneeze, speak, or sing . * Droplet nuclei may be produced by aerosol treatments, sputum induction,aerosolization during bronchoscopy, and through manipulation of lesions or processing of tissue or secretions in the hospital or laboratory.
  • 110.
    Pathogenesis – Inhalation ->phagocytosis by alveolar macrophages – Bacterial multiplication occurs intracellularly – Lymphatic spread to regional lymph nodes or hematogenous dissemination – Immune response results in granuloma formation (containment of infection) – Cell death in the granuloma results in caseous necrosis – Bacteria can remain dormant in the granuloma
  • 112.
    Pathogenesis – Medical conditionsthat increase risk for active TB:  Chronic renal failure  Diabetes mellitus  Silicosis  Leukemias/lymphomas  Carcinoma of the head/neck or lung  Weight loss > 10% of ideal body weight  Gastrectomy/jejunoileal bypass
  • 114.
    Primary pulmonary tuberculosis *Thefirst infection with tubercle bacillus. Includes the involvement of the draining lymph nodes in addition to the initial lesion(Ghon).
  • 115.
    Clinical features: Majority: symptomless.(speciallyin young adults) Brief febrile illness. Loss of appetite. Failure to gain weight in children. Cough is not unusual and may mimic paroxysm of whooping cough.
  • 116.
    Physical signs: •May benormal, •Crepitation may be heard. •Primary lesion could be heard. •Segmental or lobar collapse may occur.
  • 119.
    Radiological features: •Lymphadenoathy: hilarlymph nodes are most commonly involved rarely paratracheal.Calciflcation of the nodes may occur. • Pulmonary componant: ( mainly in adults) segmental or lobar consolidation or obstructive emphysema. •Resolution of radiological shadow 6m- 2ys.
  • 120.
    Diagnosis: *Vague ill healthwith history of contact. * X-ray. *Tuberclin test: is usually strongly positive. *Sputum and gastric lavage for direct smear and culture helpful in 20-25% of cases. * DNA amplification: PCR.
  • 122.
    Post primary pulmonarytuberculosis The most important type of tuberculosis because it is the most frequent and smear positive sputum is the main source of infection responsible for the persistence of the disease in the community.
  • 123.
    Source; 1. Direct progressionof the primary lesion. 2. Reactivation of the quiescent primary or post primary. 3. Exogenous infection.
  • 124.
    Predisposing factors forreactivation: 1. Malnutrition. 2. Poor housing and overcrowding. 3. Steroid and other immunosuppressive drugs. 4. Alcoholism. 5.Other diseases: HIV malignancy, lymphomas , Leukaemia,Diabetes.
  • 125.
    Clinical features: Mainly inmiddle aged and elderly. A-Symptoms: 1. May be no symptoms, or just mild debility. Gradual onset of symptoms over weeks or months. 2. General malaise. 3. Loss of appetite, loss of weight. 4. Febrile course. 5. Night sweating. 6. Cough with or without sputum. 7. Sputum could be mucoid, purulent or blood stained. 8. Could be presented with frank haemoptysis. 9. Tuberculous pneunonia.
  • 126.
    B-Signs: 1. May beno signs. 2. Pallor, cachexia. 3. Fever. 4. Post tussive crepitations on the apices. 5. Signs of Consolidation. 6. Signs of fibrosis. 7. Signs of cavitary lesion. 8. Localised wheezes in endobronchial tuberculosis
  • 131.
    Lymph nodes Anatomic Considerations Retrosternal Prevascular Retrocaval Aorticwindow Carinal Subcarinal Hilar Z-esophageal Circm-cardiac 3 3
  • 132.
  • 133.
  • 134.
    Radiology: 1. Bilateral upperzone fibrotic shadows: with shift of trachea, mediastinum, distortion of fissures and diaphragm, and elevation of the pulmonary hila. 2. Soft confluent shadows of exudative lesion (D.D pneumonia) 3 Calcification. 4. Cavitation. 5. Tuberculoma. 6. Hilar and paratracheal lymph node enlargement may be present.
  • 135.
    Radiological classification: 1.Minimal: slightor moderate opacity. No cavity. Extent not more than space above 2nd costocondral junction. 2. Moderately advanced: In one or both lungs. slight or moderate opacity, extent equivalent to volume of one lung. Dense confluent shadow equivalent to one third the volume of one lung. Diameter of cavities not more than 4 cm. 3. Far advanced: Any lesion>the moderately advanced.
  • 136.
    Diasnosis: 1) Clinical 2) PlainX-ray. 3) Sputum Examination: direct smear and culture (very important). 4) Other samples: Gastric aspirate, laryngeal swab, fiberoptic specimens (wash,brush,biopsy),transtracheal spirate. 5 Polymerase chain reaction.) 6) Tuberclin test: mainly strongly positive 7) Others White blood cells if normal favour the diagnosis ESR may be elevated. Normocytic normochromic anaemia. CT may be useful in detecting small cavities, or calcification.
  • 138.
    Miliary Tuberculosis Produced byacute dissemination of tubercle bacilli via the blood stream.The term miliary derives from the radiological picture of diffuse, discrete nodular shadows about the size of millet seed (2mm).
  • 139.
    A- Classical form: Clinicalfeatures: Most common in infants and young children with acute or subacute febrile illness. In adults: the onset is insidious, gradual vague ill health. Malaise, Cough (usually dry), dyspnea. Night sweat is less common. Headache suggest associated tuberculous meningitis Chest examination is free, crepitations may be found. Hepatomegaly, splenomegaly, lymphadenopathy, neck rigidity may be found in rare cases.
  • 140.
    Diasnosis: 1) Clinical. 2) Xray. 3)Choroidal tubercles in fundus examination 4) Tuberclin test not conclusive 5) Direct smear and culture of sputum if present. 6) Other samples as transtracheal aspirate, fiberoptic specimens may be obtained. 7) If failed to prove therapeutic trial for 2 weeks
  • 165.
    Mycobacterium tuberculosis-latent bacilli aremicroorganisms that adapt to stressful conditions generated by the infected host against them. By slowing metabolism or becoming dormant, they may counterbalance these conditions and appear as silent to the immune system. Moreover, the dynamic turnover of the infected cells provokes a constant reactivation of the latent bacilli when the environmental conditions are favourable, or an activation after being dormant in necrotic and fibrotic lesions for a long period of time.
  • 167.
    Achalasia of esophagus • Inhomogeneous cardiacdensity: Right half more dense than left • Density crossing midline (right black arrow) • Right sided inlet to outlet shadow • Right para spinal line (left black arrow) • Barium swallow below: Dilated esophagus
  • 169.
    Dissecting Aneurysm *Mediastinal widening *Inletto outlet shadow on left side *Retrocardiac: Intact silhouette of left heart margin *Pulmonary artery overlay sign: Density behind left lower lobe *Wavy margin
  • 170.
    Treatment  Before 1940s:open air (sanatorium)  1946: streptomycin  1952: isoniazid  1970: rifampin
  • 171.
    Antituberculous drugs: A. Firstline drugs; Isoniazide (INH) or H Rifampicin ( R ) Pyrizinamide ( Z ) Streptomycin ( S ) Ethamutol ( E ) B.Second line drugs : Thiacetazone (150mg) Para amino salicylic acid (10-20 g) Ethionamide (<50Kg, 750mg&>50Kg, Ig) Cycloserine 5-20mg/Kg) Kanamycin, Capreomycin, Viomycin (20mg/Kg max Ig) C.New drugs: Amikacin, Quinolones, Rifabutin, new macrolides, and Amoxicillin-clavulinic acid.
  • 174.
    Drugs Adverse effectDoseDose Adult Child Isoniazide (INH) or H 5 mg/Kg up to 12mg/Kg in miliary. 10 mg/Kg Peripheral neuritis, hepatitis, hypersensitivity. Rifampicin (R) lOmg /Kg <50Kg, 450mg >50Kg, 600mg 10-20mg Orange urine Flu like illness Hepatitis Hypersensitivity Blood dyscriasis. Ethambutol (E) 25mg/Kg for two months, then 15mg/Kg Contraindi cated Retrobulbar neuritis Pyrazinamie (Z) <50Kg,1.5g 50-74Kg, 2g >75Kg, 2.5g 40mg/Kg Hepatotoxicity Hyperuricaemia Streptomycin (S) 20mg/Kg (max Ig) 20mg/Kg Ototoxicity (vestibular) Nephrotoxicity Hypersensitivity
  • 175.
    Drus regimens: according toWHO guidelines 1-New smear positive patient 2SRHZ/6HE(8months regimens)or 2SHE/10HE(12months regimens)or 2SRHZ/4RH (6 months regimen) 2-Previously treated smear positive patients 2SRHZE/1RHZE/5RHE (8month regimen) a sensitivity pattern is recommended. 3- Smear negative and extrapulmonary TB 2SHE/10HE (12 months regimen) 4- Chronic smear positive patient (Treated in hospital): a Sensitivity pattern is recommended to give special treatment regimen.
  • 176.
    Corticosteroid Therapy inTuberculosis Corticosteroid should never be given to patientswith tuberculosis unless they are receiving adequate antituberculous therapy Indications of steroids: *In very ill patient. *To control drug hypersensitivity. *In tuberculosis of serous sacs (pericarditis, peritonitis and pleural effusion). *In tuberculous meningitis. *Addison disease. *Genitourinary tuberculosis. *Occasionally to suppress lymph node enlargement.
  • 177.
    Treatment of ActiveTB  Four drug regimen for first 2 months:  INH 300 mg  Rifampin 600 mg  PZA 15-30 mg/kg  Ethambutol 15-25 mg/kg or streptomycin 15 mg/kg  Two drug regimen for next 4 months:  INH and rifampin  If the TB is not resistant (or < 4% resistance in the community): INH, rifampin, and PZA for the first 2 months can be used
  • 180.
    Treatment of ActiveTB  INH resistant TB: – Rifampin, PZA, and ethambutol for 6 months  Rifampin resistant TB: – INH, PZA, and streptomycin for 9 months or INH and ethambutol for 18 months  MDR/XDR TB: – Based on susceptibility patterns
  • 181.
  • 182.
    Factors in Treatmentof Latent TB  Age:  Previously, low risk patients older than 35 were not treated – higher risk of drug- induced hepatitis  “Decision to tuberculin test is a decision to treat”  Weigh risks/benefits of treatment in low risk patients  Liver disease:  End stage liver disease and active hepatitis are relative contraindications to treatment
  • 183.
    Treatment of LatentTB  Efficacy of 90% if all the medications are taken  60-70% rates when the drugs are self- administered  Protective effect will last probably for life but at least 20 years
  • 185.
    Treatment of LatentTB  Need to exclude active disease before treatment (avoids single drug therapy of active TB)  CXR – if changes consistent with TB, send AFB sputum culture  Single drug therapy appropriate for latent TB – bacterial load much lower compared with active TB
  • 186.
    Treatment of LatentTB  Regimens: – Isoniazid (INH) daily or twice weekly under directly observed therapy (esp. if adherence is an issue)  9 months of treatment is optimal  At least 6 months is needed  12 months if treatment is interrupted – Rifampin daily  4 months of treatment  Alternative regimen for those exposed to an INH resistant patient
  • 187.
    Treatment of LatentTB  Regimens: – Rifampin/PZA for 2 months  Similar in safety and efficacy to 12 month regimen of INH  No longer recommended due to hepatic toxicity (including liver failure leading to death)
  • 188.
    Treatment of LatentTB  Regimens: Multi-Drug Resistant TB – Therapy based on susceptibility pattern of the index case if information available – 2 drug therapy for 12 months  PZA plus  Ethambutol or  Fluoroquinolone with anti-TB activity
  • 189.
    Treatment of LatentTB  If INH treatment is interrupted, an additional 3 months should be given  If interruption is >3 months, re-start treatment  If a treated person is re-exposed to someone with TB, repeat treatment is not needed unless the patient is HIV+
  • 190.
    Treatment – Special Situations HIV:  Up to 20% of patients with CD4 counts < 200 can have a normal CXR with active TB – send sputum before treatment  Recent contact with someone with active TB: treat regardless of PPD result  Anergy testing not recommended  Extrapulmonary TB more common  Immune reconstitution  Same treatment regimens (except rifabutin instead of rifampin for patients on PIs)
  • 191.
    Treatment – Special Situations Pregnancy: – No evidence that PPD testing is harmful – INH: not teratogenic; hepatotoxicity may be more likely – Rifampin: generally considered safe – reports of hemorrhage in the newborn – Ethambutol: okay – Streptomycin: avoid (congenital deafness) – PZA: no published safety data – Breast-feeding is not contraindicated
  • 192.
    Treatment – Special Situations Pregnancy: – Active TB – treat – Latent TB (immunocompetent host) – defer therapy until after delivery – Latent TB (HIV or recent converter) – immediate therapy with INH
  • 193.
    Monitoring on Treatment INH: Side effects  Abdominal pain, nausea, vomiting  Dark urine  Icterus  Easy bruising/bleeding  Arthralgias  Rash  Paresthesias/weakness – peripheral neuropathy is less likely with pyridoxine  Anorexia/fatigue
  • 194.
    Monitoring on Treatment INH – Elevated transaminases in 10-20% of cases – especially with EtOH – Should be withheld if transaminases increase more than 3x the upper limit of normal when associated with symptoms or 5x the upper limit of normal in asymptomatic patients
  • 195.
    Monitoring on Treatment Rifampin: Side effects – GI upset – Thrombocytopenia – Hepatitis – Flu-like syndrome – if taken irregularly – Multiple drug interactions – Orange bodily secretions due to excretion
  • 196.
    Monitoring on Treatment PZA: Side effects – GI upset – Hepatitis – Arthralgias – Hyperuricemia – acute gout uncommon  Ethambutol: – Optic neuritis: reversible decreased red-green color perception and visual acuity – Not hepatotoxic
  • 197.
    Adherence  Decreases withduration of therapy whereas efficacy increases with length of treatment  Factors:  Side effects  Complexity of regimen (active TB)  Perception (especially in latent TB)  Directly Observed Therapy – especially in twice weekly regimens
  • 198.
    Infection Prevention  Ifactive pulmonary TB is suspected: – AFB isolation – Negative pressure – Particulate respirator masks  Isolation not required for: – Latent TB – Extrapulmonary TB
  • 199.
    Infection Prevention  Isolationcan be discontinued: – If AFB smears x 3 are negative – An alternative diagnosis is made  If patient has active TB, then: – After 2 weeks of effective therapy – Resolution of cough, fever – Negative or “less positive” AFB smears
  • 202.
    S Curve ofGolden When there is a mass adjacent to a fissure, the fissure takes the shape of an "S". The proximal convexity is due to a mass, and the distal concavity is due to atelectasis. Note the shape of the transverse fissure. This example represents a RUL mass with atelectasis
  • 203.
    Definitions MDR-TB = Strainsresistant to at least INH and RIF (most important 1st-line drugs) XDR-TB = MDR TB strains with additional resistance to any fluoroquinolone and any of the 3 injectable second-line drugs (amikacin, kanamycin, capreomycin) TDR, XXDR = Resistance to all drugs (not standardised defin) MDR TB XDR TB TB with any drug resistance TDR/XXDR TB
  • 204.
    204 1st-line oral •INH •RIF •PZA •EMB •(Rfb) Injectables •SM •KM •AMK •CM Fluoroquinolones •Cipro •Oflox •Levo •Moxi •(Gati) Oral bacteriostatic2nd line Unclearefficacy•ETA/PTA •PASA •CYS Not routinely recommended, efficacy unknown, e.g., amoxacillin/clavulanic acid, clarithromycin, clofazamine, linezolid, inmipenem/cilastatin, high dose isonizid XDR= HR + 1 FQ + 1 Injectable (KM or AMK or CM)