Thoracic Imaging in Critically
ill Patients
Gamal Rabie Agmy, MD, FCCP
Professor of chest Diseases, Assiut university
cc
At the bedside, chest radiography remains the reference for lung
imaging in critically ill patients. However, radiographical images are
often of limited quality
• Movements of the chest wall
• Film cassette posterior to the
thorax
• X-ray beam originating
anteriorly, at a shorter distance
than recommended and not
tangential to the diaphragmatic
cupola .
Mistaken assessment
of :
cc
• Pleural effusion
• Alveolar consolidation
• Alveolar-interstitial
syndrome
Bedside Chest Radiography in the Critically
ill
 (posterioranterior) position. Note
that the x-ray tube is 72 inches
away.
the supine AP (anteriorposterior)
position the x-ray tube is 40 inches
from the patient.
When to do X ray chest forWhen to do X ray chest for
ICU patients?ICU patients?
Routine Vs On demand X ray chest?Routine Vs On demand X ray chest?
Recommendation
Routine daily chest radiographs are not indicated for patients
admitted to the ICU.
In stable patients admitted for cardiac monitoring, or in stable
patients admitted for extrathoracic disease only, an initial ICU
admission radiograph is recommended; follow-up radiographs
should be obtained only for specific clinical indications including
clinical worsening and tube or line insertion.
 Uses:
› Assisted ventilation
› To secure airway
The tip should lie between the clavicles,
at least 5cm above the carina
Dee method for approximating the position o f the carina can
be used. This involves defining the aortic arch and then
drawing a line Inferomedially through the middle of the arch
at a 45 degree angle to t he midline
The Ideal position for endotracheal tubes is in the
mid trachea, 5cm from the carina, when the head is
neither flexed nor extended. This allows for
movement of the tip with head movements. The
minimal safe distance from the carina is 2cm.
 Tube too far advanced
› Typically, within right main stem bronchus
 Placement within oesophagus
 Tracheal perforation
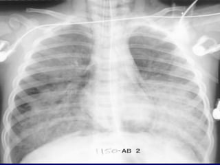
Notice the increased lucency of the cardiophrenic sulci in this patient
with inferior anteromedial pneumothoraces. A CT scan confirms the
diagnosis
 a hyperlucent upper
quadrant with
visualization of the
superior surface of the
diaphragm and
visualization of the
inferiorvena cava.
 double-diaphragm
sign
 Antero lateral air may
increase the
radiolucency at the
costo phrenicsulcus.
This is called the deep
sulcus sign.
 Apicolateral
pneumothorax
(arrows) with right
upper lobe collapse
(arrowheads)
 shifting of the heart
border,
 the superior vena cava,
and the inferior vena
cava.
 The shifting of these
structures can lead to
decreased venous return.
•Mediastinal shifT is
usually
seen in a tension
pneumothorax.
•The most reliable sign of
tension pneumothorax is
depression of a
hemidiaphragm.
Radiographic Signs of Pneumomediastinum
Subcutaneous emphysema
Thymic sail sign
Pneumoprecardium
Ring around the artery sign
Tubular artery sign
Double bronchial wall sign
Continuous diaphragm sign
Extrapleural sign
Ginkgo leaf sign
• The ginkgo leaf sign is a chest plain radiography
appearance which is seen at extensive subcutaneous
emphysema of the chest wall. Air outlines the fibers of
the pectoralis major muscle and creates a branching
pattern that resembles the branching pattern in the
veins of a ginkgo leaf.
The tip should
lie below the
diaphragm
coiled within
the stomach
Risk of transportation
Lung Computed Tomography in
the Critically ill
http://www.reapitie-
02 09 2012
Chest Sonography
A common language: Color Coding
Black Grey White
Chest Sonography
BLUE-Protocol and FALLS-Protocol Two
Applications of Lung Ultrasound in the Critically
Ill
(Daniel A. Lichtenstein , MD , FCCP, CHEST
2015; 147 ( 6 ): 1659 - 1670
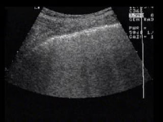
THE BAT VIEW
Chest wall
Pleural line
Normal lung surface
Left panel: Pleural line and A line (real-time).
The pleural line is located 0.5 cm below the rib line in the adult.
Its visible length between two ribs in the longitudinal scan is
approximately 2 cm. The upper rib, pleural line, and lower rib (vertical
arrows) outline a characteristic pattern called the bat sign.
A lines = default normal
 Horizontal echo
reflection at exact
multiples of intervals
from surface to
bright reflector.
 Dry lung OR PNTX
 Decay with depth
 Obliterated by B
pleura A
A
A
A
A
A
the "seashore sign" (Fig.3).
Confluent B lines = Bad Bad
 ‘White’ or ‘shining’
lung
 Means increased
severity
 Probably indicates
thicker fluid in alveoli
eg protein or
inflammatory cells
 % space / 10
B x 3 x 2 x 2 = CCF
Makes assumption that ‘globally’ wet
lungs are most likely to be CCF
PER
VIEW
ZO
NES
SIDES
12
Ultrasound profiles.
Lichtenstein D A , Mezière G A Chest 2008;134:117-125
Tissue pattern representative of Alveolar
Consolidation
Presence of hyperechoic punctiform
images
Presence of hyperechoic punctiform
imagesrepresentative of air bronchogramsrepresentative of air bronchograms
Pleural
effusion
Lower lobe
Absent lung sliding
Exaggerated horizontal artifacts
Loss of comet-tail artifacts
Broadening of the pleural line to a band
The key sonographic signs of
Pneumothorax
the "seashore sign" (Fig.3).
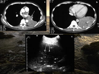
Pulmonary Embolism
                                                                                                                                                                                              
Schematic representation of the parenchymal, pleural and vascular
features associated with pulmonary embolism.(Angelika Reissig, Claus
Kroegel. Respiration 2003;70:441-452 )
Alveolar-interstitial syndrome
Multiple B-lines - « comet-tails » - interstitial edema
(B1)
7 mm apart « B lines » thickened interlobular
septa
7 mm apart « B lines » thickened interlobular
septa
D Lichtenstein et al AJRCCM 156 : 1640-1646 , 1997JJR 25 05http://www.reapitie-
http://www.reapitie- 02 09 2012
D Lichtenstein et al AJRCCM 156 : 1640-1646 , 199730 11 2011
Coalescent B lines - « comet-tails » - alveolar
edema
3 mm apart « B lines » ground-glass
areas
3 mm apart « B lines » ground-glass
areas
http://www.reapitie- 02 09 2012
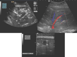
IVC Sonography
INDICATIONS
IVC Ultrasound
Spontaneously
Breathing
Mechanical
Ventilation
Volume Status / CVP Fluid Responsiveness
Respiratory variation
Expands w/ expiration
Contracts w/ inspiration
Due to changing intrathoracic pressures.
PROCEDURE
Probe Selection
1 Low frequency 2-5 MHz
2 Curvalinear probe
Where to put the probe…
 Probe position
 Subxiphoid
 Orientate probe in
longitudinal plane with
probe indicator to
patient’s head
 Slightly to right of
midline
PROCEDURE
Approach #1 – Xiphoid View
Where to put the probe…
 Probe position
 Subxiphoid
 Orientate probe in
longitudinal plane with
probe indicator to
patient’s head
 Slightly to right of
midline
IVC Longitudinal
PROCEDURE
Approach #2 – Anterior -Mid-Axillary
View
PROCEDURE
Landmarks
Aproach #2 – Anterior Mid-Axillary View
1 Place probe longitudinally in right anterior
mid-axillary line with marker towards the head
2 Look for IVC running longitudinally
adjacent to liver crossing the diaphragm.
3 Track superiorly until it enters right atrium
confirming that it is the IVC and not the aorta.
Measuring the IVC Diameter
Measure IVC 2cm
Inspiratory (Minimal) IVC
Diameter
Maximum (Expiratory) IVC
Diameter
M-Mode IVC Diameters
CAVAL INDEX (CI)
CI =
minimal (inspiratory)
diameter
maximum (expiratory)
diameter
maximum (expiratory)
diameter
CAVAL INDEX (CI)
Volume
Depletion
Volume
Overload
0% 100%
IVC v CVP
Correlation Between IVC Diameter Plus CI and
CVP
IVC Max Diameter
(cm)
CI CVP
(mmHg)
< 1.5
100%
(total collapse)
0-5
1.5-2.5 > 50% 6-10
1.5-2.5 < 50% 11-15
> 2.5 < 50% 16-20
> 2.5
0%
(no collapse)
>20
Echocardiography
Parasternal long axis
 Transducer at left sternal
edge between 2nd
-4th
intercostal space
 Probe marker pointing to
patients R shoulder
 Probe aligned along the
long axis: from R shoulder
to cardiac apex.
 Useful view to assess
contractility
 Transducer at 4th
-6th
intercostal
space in the midclavicular to
anterior-axillary line.
 Probe directed towards patient’s
right shoulder with the marker
directed towards the left
shoulder.
 Important view to give relative
dimensions of L and R ventricle.
 Normal ventricular diameter
ratio of R ventricle to L ventricle
is <0.7.
PericardialTamponade
 Remember tamponade is a clinical diagnosis based on
patient’s haemodynamics and clinical picture.
 Ultrasound may demonstrate early warning signs of
tamponade before the patient becomes haemodynamically
unstable.
 Haemodynamic effects
 Its PRESSURE NOT SIZE THAT COUNTS!
 Rate of formation affects pressure-volume relationship and
is therefore more important than volume of fluid.
Tamponade using ultrasound
 A moderate-large effusion.
 Right atrial collapse
 Atrial contraction normal in atrial systole
 Collapse throughout diastole or inversion is abnormal.
 RV collapse during diastole when meant to be filling
(‘scalloping’ seen)
 Whats seen in the IVC…
Thoracic Imaging in critically ill patients

Thoracic Imaging in critically ill patients

  • 2.
    Thoracic Imaging inCritically ill Patients Gamal Rabie Agmy, MD, FCCP Professor of chest Diseases, Assiut university
  • 4.
    cc At the bedside,chest radiography remains the reference for lung imaging in critically ill patients. However, radiographical images are often of limited quality • Movements of the chest wall • Film cassette posterior to the thorax • X-ray beam originating anteriorly, at a shorter distance than recommended and not tangential to the diaphragmatic cupola . Mistaken assessment of : cc • Pleural effusion • Alveolar consolidation • Alveolar-interstitial syndrome Bedside Chest Radiography in the Critically ill
  • 5.
     (posterioranterior) position. Note that thex-ray tube is 72 inches away. the supine AP (anteriorposterior) position the x-ray tube is 40 inches from the patient.
  • 9.
    When to doX ray chest forWhen to do X ray chest for ICU patients?ICU patients? Routine Vs On demand X ray chest?Routine Vs On demand X ray chest?
  • 10.
    Recommendation Routine daily chestradiographs are not indicated for patients admitted to the ICU. In stable patients admitted for cardiac monitoring, or in stable patients admitted for extrathoracic disease only, an initial ICU admission radiograph is recommended; follow-up radiographs should be obtained only for specific clinical indications including clinical worsening and tube or line insertion.
  • 11.
     Uses: › Assistedventilation › To secure airway The tip should lie between the clavicles, at least 5cm above the carina
  • 13.
    Dee method forapproximating the position o f the carina can be used. This involves defining the aortic arch and then drawing a line Inferomedially through the middle of the arch at a 45 degree angle to t he midline
  • 14.
    The Ideal positionfor endotracheal tubes is in the mid trachea, 5cm from the carina, when the head is neither flexed nor extended. This allows for movement of the tip with head movements. The minimal safe distance from the carina is 2cm.
  • 16.
     Tube toofar advanced › Typically, within right main stem bronchus  Placement within oesophagus  Tracheal perforation
  • 43.
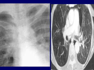
    Notice the increasedlucency of the cardiophrenic sulci in this patient with inferior anteromedial pneumothoraces. A CT scan confirms the diagnosis
  • 44.
     a hyperlucentupper quadrant with visualization of the superior surface of the diaphragm and visualization of the inferiorvena cava.  double-diaphragm sign
  • 45.
     Antero lateralair may increase the radiolucency at the costo phrenicsulcus. This is called the deep sulcus sign.
  • 46.
     Apicolateral pneumothorax (arrows) withright upper lobe collapse (arrowheads)
  • 47.
     shifting ofthe heart border,  the superior vena cava, and the inferior vena cava.  The shifting of these structures can lead to decreased venous return.
  • 48.
    •Mediastinal shifT is usually seenin a tension pneumothorax. •The most reliable sign of tension pneumothorax is depression of a hemidiaphragm.
  • 49.
    Radiographic Signs ofPneumomediastinum Subcutaneous emphysema Thymic sail sign Pneumoprecardium Ring around the artery sign Tubular artery sign Double bronchial wall sign Continuous diaphragm sign Extrapleural sign
  • 56.
    Ginkgo leaf sign •The ginkgo leaf sign is a chest plain radiography appearance which is seen at extensive subcutaneous emphysema of the chest wall. Air outlines the fibers of the pectoralis major muscle and creates a branching pattern that resembles the branching pattern in the veins of a ginkgo leaf.
  • 57.
    The tip should liebelow the diaphragm coiled within the stomach
  • 58.
    Risk of transportation LungComputed Tomography in the Critically ill http://www.reapitie- 02 09 2012
  • 59.
  • 60.
    A common language:Color Coding Black Grey White
  • 61.
  • 62.
    BLUE-Protocol and FALLS-ProtocolTwo Applications of Lung Ultrasound in the Critically Ill (Daniel A. Lichtenstein , MD , FCCP, CHEST 2015; 147 ( 6 ): 1659 - 1670
  • 65.
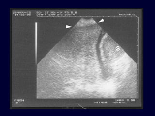
    THE BAT VIEW Chestwall Pleural line
  • 67.
    Normal lung surface Leftpanel: Pleural line and A line (real-time). The pleural line is located 0.5 cm below the rib line in the adult. Its visible length between two ribs in the longitudinal scan is approximately 2 cm. The upper rib, pleural line, and lower rib (vertical arrows) outline a characteristic pattern called the bat sign.
  • 68.
    A lines =default normal  Horizontal echo reflection at exact multiples of intervals from surface to bright reflector.  Dry lung OR PNTX  Decay with depth  Obliterated by B pleura A A A A A A
  • 71.
  • 74.
    Confluent B lines= Bad Bad  ‘White’ or ‘shining’ lung  Means increased severity  Probably indicates thicker fluid in alveoli eg protein or inflammatory cells  % space / 10
  • 75.
    B x 3x 2 x 2 = CCF Makes assumption that ‘globally’ wet lungs are most likely to be CCF PER VIEW ZO NES SIDES 12
  • 76.
    Ultrasound profiles. Lichtenstein DA , Mezière G A Chest 2008;134:117-125
  • 81.
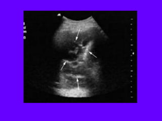
    Tissue pattern representativeof Alveolar Consolidation Presence of hyperechoic punctiform images Presence of hyperechoic punctiform imagesrepresentative of air bronchogramsrepresentative of air bronchograms Pleural effusion Lower lobe
  • 93.
    Absent lung sliding Exaggeratedhorizontal artifacts Loss of comet-tail artifacts Broadening of the pleural line to a band The key sonographic signs of Pneumothorax
  • 97.
  • 106.
  • 107.
  • 109.
  • 114.
    Multiple B-lines -« comet-tails » - interstitial edema (B1) 7 mm apart « B lines » thickened interlobular septa 7 mm apart « B lines » thickened interlobular septa D Lichtenstein et al AJRCCM 156 : 1640-1646 , 1997JJR 25 05http://www.reapitie- http://www.reapitie- 02 09 2012
  • 115.
    D Lichtenstein etal AJRCCM 156 : 1640-1646 , 199730 11 2011 Coalescent B lines - « comet-tails » - alveolar edema 3 mm apart « B lines » ground-glass areas 3 mm apart « B lines » ground-glass areas http://www.reapitie- 02 09 2012
  • 128.
  • 129.
  • 130.
    Respiratory variation Expands w/expiration Contracts w/ inspiration Due to changing intrathoracic pressures.
  • 131.
    PROCEDURE Probe Selection 1 Lowfrequency 2-5 MHz 2 Curvalinear probe
  • 132.
    Where to putthe probe…  Probe position  Subxiphoid  Orientate probe in longitudinal plane with probe indicator to patient’s head  Slightly to right of midline
  • 133.
  • 134.
    Where to putthe probe…  Probe position  Subxiphoid  Orientate probe in longitudinal plane with probe indicator to patient’s head  Slightly to right of midline
  • 135.
  • 136.
    PROCEDURE Approach #2 –Anterior -Mid-Axillary View
  • 137.
    PROCEDURE Landmarks Aproach #2 –Anterior Mid-Axillary View 1 Place probe longitudinally in right anterior mid-axillary line with marker towards the head 2 Look for IVC running longitudinally adjacent to liver crossing the diaphragm. 3 Track superiorly until it enters right atrium confirming that it is the IVC and not the aorta.
  • 138.
    Measuring the IVCDiameter Measure IVC 2cm
  • 139.
  • 140.
  • 141.
  • 142.
    CAVAL INDEX (CI) CI= minimal (inspiratory) diameter maximum (expiratory) diameter maximum (expiratory) diameter
  • 143.
  • 144.
    IVC v CVP CorrelationBetween IVC Diameter Plus CI and CVP IVC Max Diameter (cm) CI CVP (mmHg) < 1.5 100% (total collapse) 0-5 1.5-2.5 > 50% 6-10 1.5-2.5 < 50% 11-15 > 2.5 < 50% 16-20 > 2.5 0% (no collapse) >20
  • 145.
  • 146.
    Parasternal long axis Transducer at left sternal edge between 2nd -4th intercostal space  Probe marker pointing to patients R shoulder  Probe aligned along the long axis: from R shoulder to cardiac apex.  Useful view to assess contractility
  • 147.
     Transducer at4th -6th intercostal space in the midclavicular to anterior-axillary line.  Probe directed towards patient’s right shoulder with the marker directed towards the left shoulder.  Important view to give relative dimensions of L and R ventricle.  Normal ventricular diameter ratio of R ventricle to L ventricle is <0.7.
  • 149.
    PericardialTamponade  Remember tamponadeis a clinical diagnosis based on patient’s haemodynamics and clinical picture.  Ultrasound may demonstrate early warning signs of tamponade before the patient becomes haemodynamically unstable.  Haemodynamic effects  Its PRESSURE NOT SIZE THAT COUNTS!  Rate of formation affects pressure-volume relationship and is therefore more important than volume of fluid.
  • 150.
    Tamponade using ultrasound A moderate-large effusion.  Right atrial collapse  Atrial contraction normal in atrial systole  Collapse throughout diastole or inversion is abnormal.  RV collapse during diastole when meant to be filling (‘scalloping’ seen)  Whats seen in the IVC…