Scleroderma
systemic sclerosis
Dr / Hytham Nafady
Definition
Multisystem collagen vascular disease of
unknown etiology characterized by
• fibrosis of the skin with
• involvement of the internal organs.
Scleroderma
Diffuse
systemic sclerosis
Localized
scleroderma
Diffuse cutaneous
systemic sclerosis
limited cutaneous
systemic sclerosis
Overlap syndromes Morphea Linear scleroderma
CREST syndrome
Scleroderma +
RA or SLE or
dermatomyositis
Early visceral
involvement
Demographics
• Age: Middle age (30-50).
• Sex: F > M (3:1).
CREST syndrome
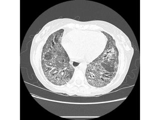
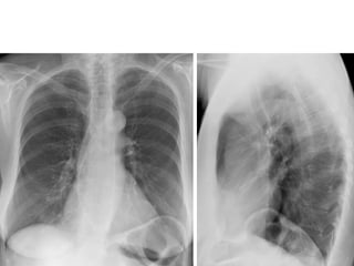
Pulmonary manifestations of
scleroderma
Bibasilar interstitial lung disease:
• Ground glass opacification.
• Reticular opacities & interlobular septal
thickening.
• Honey combing & traction bronchiectasis.
NO pleural effusion (DD with Rh & SLE).
GIT manifestations of scleroderma
Location:
• Esophagus (most common location).
• Stomach.
• Small bowel.
• Colon.
Esophageal scleroderma
Location:
Lower 2/3 (contain smooth muscles).
Pathology:
Smooth muscle atrophy.
Motility disorder:
Decreased peristalsis.
Reflux.
Radiological:
• Dilatation of the lower 2/3 of the esophagus.
• Patulous gastro-esophageal junction.
• Loss of longitudinal folds.
• Esophageal candidiasis.
Gastric scleroderma
Location:
Pathology:
Smooth muscle atrophy
Motility disorder:
• Delayed gastric emptying (fluoroscopy).
Radiological manifestations:
• Dilated stomach.
Endoscopy:
• Water melon stomach (gastric antral
telangiectasia)
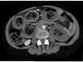
Small bowel scleroderma
Location:
• Most common duodenum.
Pathology:
Preferential atrophy of the inner circular smooth muscle layer
relative to the outer longitudinal layer
Contraction of the longitudinal layer result in foreshortening of
the bowel & packing of valvulae conniventes.
Motility disorder:
• Decreased peristalsis (fluoroscopy).
• Delayed small bowel transit time.
Radiological manifestations:
• Hidebound sign (crowding of valvulae conniventes).
• Small bowel dilatation (mega-duodenum or mega-jejenum).
Hidebound
sign
= stack of
coin sign
= accordion
sign
Colonic scleroderma
Motility:
Reduced colonic transit time.
Radiology:
Colonic dilatation.
Loss of haustration.
Pseudo-sacculation.
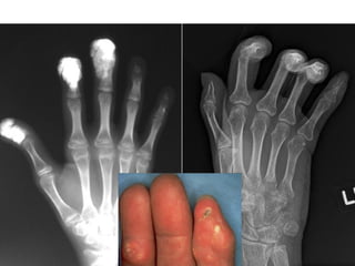
Skeletal manifestations of
scleroderma
Location:
• The hands are the most common location.
Pathology:
Radiology:
Bone changes:
• Acro-osteolysis (resorption of terminal phalanges).
• Joint space narrowing.
• Erosions.
Soft tissue changes:
• Subcutaneous & peri-articular calcification.
• Atrophy specially at the tips of finger.
• Flexion deformities.
Acro-osteolysis
terminal phalanx resorption
Scleroderma
Scleroderma
Scleroderma

Scleroderma