Mediastinal 
LN 
DR/ Hytham 
Nafady
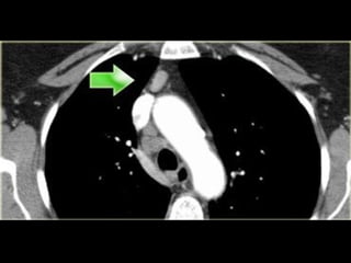
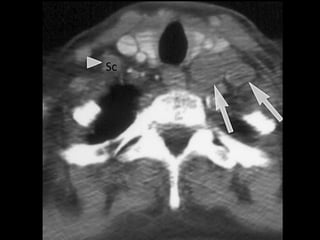
1. Highest mediastinal LNs 
Upper border: lower border or cricoid. 
Lower border: upper border of manubrium 
and clavicles. 
Medial border: medial edge of CCA. 
Lateral boder: first rib.
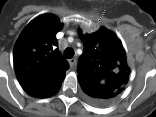
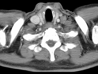
2R. Right upper paratracheal LNs 
• Upper border: upper border of manubrium. 
• Lower border: intersection between lower 
border of left innominate vein and trachea. 
• Medial border: midline of the trachea.
2L. Left upper paratracheal LNs 
• Upper border: superior border of the 
manuibrium. 
• Lower border: superior border of aortic 
arch. 
• Medial border: midline of the trachea.
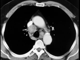
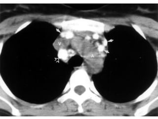
3. Prevascular & prevertebral LNs 
• Prevascular LNs (3A) are located anterior 
to the vessels. 
• Prevertebral (retrotracheal) LNs (3B) are 
located anterior to the spine. 
• Prevertebral LNs are not accessible 
through mediastnioscopy but only 
available through Endoscopic U/S.
4R. Right lower paratracheal LNs
4L. Left lower paratracheal LNs
5. Subaortic LNs 
(aortopulmonary window LNs)
6. para-aortic LNs 
• Anterior & lateral to the ascending thoracic 
aorta & aortic arch.
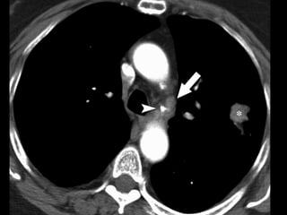
7. Subcarinal LNs 
• Upper border: carina of the trachea. 
• Lower border: bronchus intermedius on 
the right and left lower lobe bronchus on 
the left.
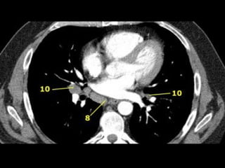
8. Paraesophageal LNs 
• Upper border: carinal LNs. 
• Lower border: diaphragm.
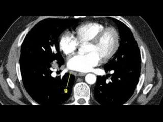
9. Pulmonary ligament LNs 
• Pulmonary ligaments are inferior 
extension of mediastinal pleural reflections 
that surround the hila. 
• Pulmonary ligaments LNs are located 
posterior and inferior to the inferior 
pulmonary veins.
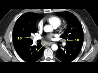
10. Hilar LNs
Conventional medastinoscopy
Extended medasinoscopy
Endoscopic U/S
Mediastinal ln
Mediastinal ln

Mediastinal ln

  • 1.
    Mediastinal LN DR/Hytham Nafady
  • 2.
    1. Highest mediastinalLNs Upper border: lower border or cricoid. Lower border: upper border of manubrium and clavicles. Medial border: medial edge of CCA. Lateral boder: first rib.
  • 6.
    2R. Right upperparatracheal LNs • Upper border: upper border of manubrium. • Lower border: intersection between lower border of left innominate vein and trachea. • Medial border: midline of the trachea.
  • 9.
    2L. Left upperparatracheal LNs • Upper border: superior border of the manuibrium. • Lower border: superior border of aortic arch. • Medial border: midline of the trachea.
  • 12.
    3. Prevascular &prevertebral LNs • Prevascular LNs (3A) are located anterior to the vessels. • Prevertebral (retrotracheal) LNs (3B) are located anterior to the spine. • Prevertebral LNs are not accessible through mediastnioscopy but only available through Endoscopic U/S.
  • 15.
    4R. Right lowerparatracheal LNs
  • 17.
    4L. Left lowerparatracheal LNs
  • 20.
    5. Subaortic LNs (aortopulmonary window LNs)
  • 22.
    6. para-aortic LNs • Anterior & lateral to the ascending thoracic aorta & aortic arch.
  • 25.
    7. Subcarinal LNs • Upper border: carina of the trachea. • Lower border: bronchus intermedius on the right and left lower lobe bronchus on the left.
  • 27.
    8. Paraesophageal LNs • Upper border: carinal LNs. • Lower border: diaphragm.
  • 29.
    9. Pulmonary ligamentLNs • Pulmonary ligaments are inferior extension of mediastinal pleural reflections that surround the hila. • Pulmonary ligaments LNs are located posterior and inferior to the inferior pulmonary veins.
  • 31.
  • 37.
  • 38.
  • 39.