Intussusception 
Dr/ Hytham Nafady
Definition 
• Telescoping invagination of an intestinal 
segment into the lumen of a proximal segment.
Intussuscpetion 
Without a 
leading point 
With a leading 
point 
Lymphoid hyperplasia 
ESENTERY
Etiology 
Children Adults 
Spontaneous: (without 
anatomical leading point): 
•Celiac disease. 
•Scleroderma. 
•Whipple disease. 
Spontaneous: (without 
anatomical leading point) in 90% 
of cases: 
•Mucosal edema & lymphoid 
hyperplasia after viral 
gastroenteritis. 
Leading point (90%): 
•Tumor: 
Usually benign in small intestine 
& malignant in large intestine. 
•Polyp, 
•Ulcer, 
•Foreign body. 
Leading point: 
•Meckel’s diverticulum. 
•Polyp. 
•Enterogeneous cyst. 
•Ectopic pancreas. 
•Purpura.
C.P 
Children (6M-2Y) Adults 
Abrupt onset of violent 
crampy abdominal pain. 
Vomiting. 
Redcurrant jelly stool. Bloody stool. 
Recurrent abdominal 
pain. 
Palpable abdominal 
mass. 
Palpable Abdominal 
mass.
Types 
Children Adults 
Ileo-ileal. 
Ileo-colic. 
Ileo-colic. 
Ileo-ileal. 
Colo-colic.
Redcurrant jelly stool 
الكشمش الأحمر
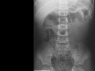
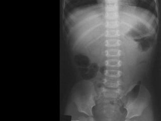
Plain x-ray abdomen 
• May be normal. 
• Meniscus sign: 
• Crescent of gas within colonic lumen that 
outlines the apex of intussusceptum. 
• Little air in small intestine.
Meniscus 
sign
Meniscus 
sign
U/S 
• Target sign:
Barium enema 
• Coil spring appearance: 
• Trapping of barium between the edematous 
mucosal folds of the returning limb of 
intussusceptum & wall of intussuscepian. 
• Meniscus sign: 
• Convex intraluminal mass. 
The main contraindication of enema is perforation
Coil spring sign
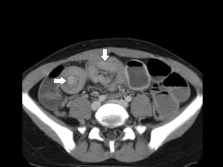
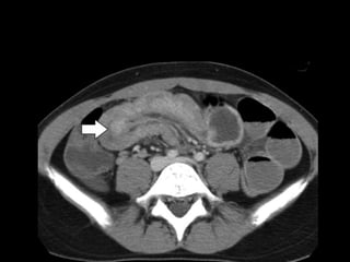
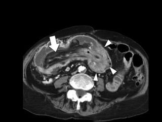
Colo-colic intussusception with a 
leading point of adenocarcinoma
Intussusception

Intussusception

  • 1.
  • 2.
    Definition • Telescopinginvagination of an intestinal segment into the lumen of a proximal segment.
  • 3.
    Intussuscpetion Without a leading point With a leading point Lymphoid hyperplasia ESENTERY
  • 4.
    Etiology Children Adults Spontaneous: (without anatomical leading point): •Celiac disease. •Scleroderma. •Whipple disease. Spontaneous: (without anatomical leading point) in 90% of cases: •Mucosal edema & lymphoid hyperplasia after viral gastroenteritis. Leading point (90%): •Tumor: Usually benign in small intestine & malignant in large intestine. •Polyp, •Ulcer, •Foreign body. Leading point: •Meckel’s diverticulum. •Polyp. •Enterogeneous cyst. •Ectopic pancreas. •Purpura.
  • 5.
    C.P Children (6M-2Y)Adults Abrupt onset of violent crampy abdominal pain. Vomiting. Redcurrant jelly stool. Bloody stool. Recurrent abdominal pain. Palpable abdominal mass. Palpable Abdominal mass.
  • 6.
    Types Children Adults Ileo-ileal. Ileo-colic. Ileo-colic. Ileo-ileal. Colo-colic.
  • 7.
    Redcurrant jelly stool الكشمش الأحمر
  • 8.
    Plain x-ray abdomen • May be normal. • Meniscus sign: • Crescent of gas within colonic lumen that outlines the apex of intussusceptum. • Little air in small intestine.
  • 9.
  • 10.
  • 15.
  • 17.
    Barium enema •Coil spring appearance: • Trapping of barium between the edematous mucosal folds of the returning limb of intussusceptum & wall of intussuscepian. • Meniscus sign: • Convex intraluminal mass. The main contraindication of enema is perforation
  • 18.
  • 21.
    Colo-colic intussusception witha leading point of adenocarcinoma