Oculomotor nerve
Dr / Hytham Nafady
Introduction
Oculomotor nerve consists of two components with
distinct functions:
Somatic motor
(general somatic efferent)
Supplies 4 of the 6 extraocular
muscles of the eye and the
levator palpebrae superioris
muscle of the upper eyelid.
Visceral motor
(general visceral efferent)
Parasympathetic innervation
of the constrictor pupillae and
ciliary muscles.
From To
Uncrossed
fibers
ipsilateral
oculomotor
nucleus
Medial rectus.
Inferior rectus.
Inferior oblique.
Crossed
fibers
Contralateral
oculomotor
nucleus
Superior rectus.
Crossed and
uncrossed
fibers
Both
oculomotor
nuclei
Levator palpebrae
superioris muscle.
Uncrossed
para-
sympathetic
fibers
Ipsilateral
Edinger
Westphal
nucleus
Constrictor pupliae
muscle.
Ciliary muscle.
•Medial rectus
•Inferior rectus
•Levator palpebrae
superioris
•Superior rectus
•Inferior oblique
Oculomotor nerve anatomy
Origin
Oculomotor nucleus:
• Tegmentum of midbrain at the level of
superior colliculus.
• Ventral to the peri-aqueductal grey matter.
• It is column shaped nucleus & consists of
complex subnuclei.
Edinger Westphal nucleus:
• The Edinger Westphal nucleus form the
parasympathetic general visceral efferent
(GVE) component of the nuclear complex.
• It is located medial to the rostral end of the
oculomotor nucleus.
Central segment
The central segment courses ventrally
• From the midbrain tegmentum,
• through the red nucleus,
• to emerge from the medial aspect of the
cerebral peduncle.
Cisternal segment
• Course ventrolaterally through the
interpeduncular cistern between the PCA
& SCA.
Cisternal segment of oculomotor nerve
Cn 3
Interpeduncular
cistern
Cisternal segment of oculomotor nerve
BA Cn 3SCA
PCA
Cisternal segment of oculomotor nerve
Cisternal segment of oculomotor nerve
Cisternal segment
ICA
Cavernous segment
• The oculomotor nerve enters the cavernous
sinus superior to the petro-clinoid ligament and
inferior to the inter-clinoid ligament.
• The cavernous segment of the oculomotor
nerve course through the lateral wall of the
cavernous sinus superiorly.
• It is surrounded by CSF dural cuff (oculomotor
cistern).
4 5 O
6
3
5 mx
Oculomotor cistern
Orbital segment
• The oculomotor nerve enters the orbit through
the superior orbital fissure within the annular
ring or Zinn.
• It divides into superior and inferior divisions.
• The superior division supplies the contralateral
superior rectus & levator palpebrae superioris
muscles bilaterally.
• The inferior divison supply the ipsilateral inferior
& medial recti & inferior oblique muscles.
Superior orbital fissure & annular ring of Zinn
Cn 3 i
Cn 3 s
Cn 6
Cn 4
Oculomotor palsy
Oculomotor nerve palsy
with pupillary sparing
(medical 3rd
Cn palsy)
• DM.
• Hypertension.
Oculomotor nerve palsy
without pupillary sparing
• Nucleus.
• Central segment.
• Cisternal segment.
• Cavernous segment.
• Orbital segment.
Oculomotor nucleus
Cisternal segment
Cisternal segment
PCoA aneurysm
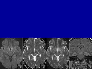
Lymphoma
Lymphoma
Cavernous segment
Cavernous sinus lesion with 3rd
cranial nerve palsy
Schwannoma
3
Right carotid cavernous fistula with
3rd
& 4th
Cn palsy
Orbital segment
• Lesions of the orbital apex cause 3rd
, 4th
and 6th
cranial nerve palsies
Tolosa hunt syndrome
Tolosa Hunt syndrome
ophthalmoplegia
3
3
3
4
6
Testing accomdation reflex

Oculomotor nerve