DERMATITIS HERPETIFORMIS
LINEAR IgA DISEASE
PEMPHIGOID GESTATIONIS
ESTHER NIMISHA
DEFINITION
• Dermatitis herpetiformis is a rare, chronic
blistering skin disease characterised by
intensely pruritic grouped vesicles arising on
an erythematous base, by granular IgA deposit
in the dermal papillae on direct
immunoflorescence ,associated with gluten
sensitivity and a mostly asymptomatic
enteropathy.
EPIDEMIOLOGY
1) AGENT:
- exact etiology unknown
- Epidermal transglutaminase predominant autoantigen
- strong association with HLA-DR3,DQ2, DQ8
2) HOST FACTOR:
age -present most often in second or third decade
sex -male predominance
Race- less often in blacks and in Asians than in whites
-first degree relatives of pts
-family h/o DH & Coelic ds in 10% of pts
-both concordant and discordant in monozygotic twins
3) ENVIRONMENTAL FACTORS:
- although there is a gluten sensitive enteropathy,
antibodies to gliadin, the antigenic component of
gluten are not present in all patients. Gluten is a
protein present in grasses of the species Triticeae,
which include wheat, rye and barley.
- Trigger factors: dermal pressure or trauma,
sunexposure & topical or oral iodine
administration .
ETIOPATHOGENESIS
• Not well understood
• Archetypal features are neutrophilic
infiltration in the dermal papillae, granular IgA
deposition in the papillary dermis and gluten
sensitive enteropathy
•Marked similarities are noted between DH and
celiac disease(CD)
• Enzyme tissue transglutaminase(tTG)
autoantigen in celiac ds & epidermal
transglutaminase (TGe ) DH
• DH Th 2 mediated
Celiac disease Th 1 mediated
• Process of blistering in DH is also not clear
• Neutrophils may bind to the deposited IgA and
release proinflammatory cytokines and elastase
that damage DEJ resulting in blister.
CLINICAL FEATURES
• Onset may be acute or gradual
• Eruption is characteristically
polymorphous, although at a given time any one
type of lesion (papular, uticarial,vesicular or
bullous) may predominate
• Primary lesion is a small vesicle on an
erythematous edematous base
• Symmetrical distributed over the extensors
• Vesicle grouped in a herpetiform manner on an
erythematous plaque
• Intense itching , burning or stinging sensation
, preceded by new lesion by 8- 12 hrs.
• If the rash is chronic, there are often lichenified
plaque at the site of involvement.
• Scarring is rare
• Areas of predilection-
elbow, knees, buttock, sacrum
, shoulder, posterior hairline and scalp
• Face occassionally affected
• Mucous membrane only rarely.
INTACT TENSE BULLAE ON THE ELBOW
EXTENSIVE ERUPTION WITH GROUPED
PAPULES, VESICLES AND CRUST ON BACK
VESICLES ARRANGED IN AN ANNULAR
PATTERN
ASSOCIATIONS
1) GLUTEN SENSITIVE ENTEROPATHY
GLUTEN SENSITIVE ENTEROPATHY
• Less than 10% have gastrointestinal symptoms
suggestive of celiac ds
• Enteropathy is usually asymptomatic but some
pts exhibit consequences of malabsorption
such as diarrhoea, steatorrhea, abdominal
distension & weight loss.
• Abnormal absorption of D-
xylose, iron, folate, glucose, water , bicarbonate
and low serum level of iron and folate have been
documented
• Patchy involvement of jejunum, biopsies from
which shows flattening of surface of epithelial
cells, blunting of villi, elongation of intestinal
crypts and an inflammatory infitrate primarily
lymphocyte and plasma cells in the lamina
propria.
2) AUTOIMMUNE DISORDERS
- Insulin dependent diabetes, connective
tissue disorder, gastric hypochlorhydria and
atrophy & thyroid ds.
3) LYMPHOMA
Increased risk for developing lymphoma
especially of gastrointestinal tract b/c of long
standing T cell proliferation in the intestine.
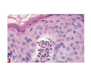
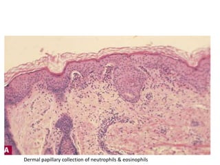
HISTOPATHOLOGY
• Neutrophilic microabscesses seen within an
adjoining dermal papillae intermingled with
few eosinophils Multilocular appearance
• However, within a few days, the tips of the
dermal papillae separate from the overlying
epidermis and the blister become unilocular.
These may coalesce to form a subepidermal
blister.
• Moderately severe inflammatory infiltrate of
neutrophils and eosinophils in subpapillary
dermis.
Dermal papillary collection of neutrophils & eosinophils
IMMUNOPATHOLOGY
• DIRECT IMMUNOFLORESCENCE
- Granular deposit of IgA in the dermal
papillae, vertically elongated giving ‘ PICKET
FENCE’
appearance.
• INDIRECT IMMUNOFLORESCENCE
-No circulating anti-BMZ ab are found.
GRANULAR Ig A IN THE DERMAL PAPILLAE
ON DIF
IMMUNOELECTRON MICROSCOPY
• IgA deposit in the form of amorphous grain
( DH bodies) mostly in the subbasal memb
region and upper papillary dermis. Probably
represent immune complex aggregates.
• IMMUNOMAPPING STUDIES reveals that
ultrastructural site of blister formation is the
LAMINA LUCIDA.
SEROLOGICAL TEST
• Anti endomysial ab
• Anti reticulin ab
• Anti tissue transglutaminase ab
IgA
These three autoantibodies are highly
pathognomic for untreated celiac ds.
DIFFERENTIAL DIAGNOSIS
• Bullous erythema
multiforme
• Transient acantholytic
disorder
• Papular urticaria
• Scabies
• Neurotic excoriation
• Atopic dermatitis
• Bullous pemphigoid
• Pemphigoid gestationis
• Linear IgA disease
MANAGEMENT
CURATIVE:-
• DAPSONE
- Dose :100 -200 mg /day
• Maintanence dose : 50 mg/day to 50 mg/wk
• S/e – hemolysis & methemoglobinemia
Hence CBC and LFT should be done at baseline
CBC – repeated fortnightly during the first 3 months of
therapy and every 3 months thereafter
LFT – at 6 months and annually thereafter
• Oral vitamin E ( 800 u/d) protect against dapsone
induced hemolysis
• Sulfasalazine ( 0.5 g three times a day increased
to 2 g/d ) when sensitivity to dapsone
• Colchicine ( 0.6 mg tid ) - when dapsone or
sulfasalazine are C/I or when a gluten free diet
cannot be instituted.
• Heparin with/ out tetracycline plus nicotinamide
can be used who cannot tolerate dapsone or
sulfonamides.
• Other – cyclosporine, azathioprine , prednisolone
PREVENTIVE MEASURES :
• GLUTEN FREE DIET
- mandates strict avoidance of wheat, rye , barley
- reduce the dose of dapsone in 70-100% of pts
following a strict dietary regimen, after 8 months
& even stop it, in 40-70% after about 2-5 yrs.
- If dietary restriction are discontinued, the rash
returns after an average of 3 months , suggesting
that the restriction should be continued life long.
LINEAR IgA DISEASE
• Is defined as chronic autoimmune subepidermal
blistering disease characterised by linear
deposition of IgA along the dermoepidermal
junction on direct immunoflorescence.
• CHRONIC BULLOUS DS OF CHILDHOOD –
subepidermal vesiculobullous disease
characterised by tense blister , often in an
annular arrangement predominantly in flexural
especially the lower trunk, thigh & groin.
EPIDEMIOLOGY
• ADULT- mean age of onset 5th decade
• CHILDREN – below the age of 5 yrs
• FEMALE preponderance in adult.
ETIOPATHOGENESIS
• Unknown
• HLA haplotype HLA B8,DR3 (Autoimmune
extended haplotype)
• Linkage disequilibrium b/w this haplotype and
tumor necrosis factor polymorphism
• heterogenous disease with regard to its
antigen , with many different target protein
within the epithelial adhesion complex.
• Major antigens: - BP 180 ( BPAg 2)
- 285 kDa antigen( LAD 285)
• Other antigen: - BP 230 ( BPAg 1)
- collagen VII
- protein under 100 kDa
- 200 & 280 kDa hemidesmosomal-
protein
- beta 4 integrin
• IgA is the immunodominant ab , some pts
also have IgG ab directed at BP 180.
• Triggers such as drugs, infection and
autoimmune conditions have been
implicated.
• Sensitised against external antigen (virus
antigen)
CLINICAL FEATURES
• Can be categorised into CBDC
ADULT LAD
• CHILDREN : - usually starts below 5 yrs
- onset is abrupt with large tense
bulla filled with hemorrhagic or clear fluid .
• Sites – genitilia, buttocks, scalp and face
• Blisters may also appear in a generalised but
asymmetric distribution.
• Typical features are:
- Herpetiform clustering of blister
- Bizzare, irregular shaped bullae as they enlarge &
coalesce
- Rosette or cluster of jewels which represent the
annular arrangement of new, small , tense blister
around a crusted healing erythematous plaque
(STRING OF PEARL SIGN)
• Pruritus is variable in intensity.
CLUSTERING OF BULLAE IN PERINEAL REGION
EXTENSIVE CBDC
• ADULT: - onset may be insidious or abrupt
- Symptoms vary from mild to severe pruritus and
burning
- Sites: flexure and trunk with scattered vesicles
and tense blister similar to BP.
- Bullae may be linear, sausage shaped &
hemorrhagic.
- Some may have DH like itchy eruption.
- Perineal & perioral involvement is less common
TYPICAL ARRANGEMENT OF TENSE BLISTER
AROUND A HEALING ERYTHEMATOUS PLAQUE
CRUSTED EROSIONS, PAPULES AND VESICLES ON THE
BACK AND NECK
SCATTERED TENSE BULLAE
• mucosal lesions - painful erosions or ulcers following rupture of
bullae. Occasionally , manifest as chronic desquammative gingivitis.
• eye involvement- irritation, redness, dryness, light sensitivity, blurred
vision, conjuntival scarring & blindness.
• Nasal involvement – crusting, stuffiness & bleeding
• Laryngeal involvement- hoarseness
• Occasional association with infection, pre-existing inflammatory
bowel ds , autoimmune ds( SLE, dermatomyositis) and malignancy.
DRUG INDUCED LAD
• Vancomycin
• Penicillin
• Cephalosporin
• Diclofenac and other
NSAIDs
• Captopril
• Lithium
• Amiodarone
• carbamazepine
• Amoxicillin
• Moxifloxacin
• PUVA
• Furosemide
• Interferon alpha
• Phenytoin
• Statins
• Angiotensin receptor
antagonist
•Self limited eruption, generally resolving within 2-6 wks of
stopping the drug.
•These drugs stimulate the immune system to produce an IgA
class ab in a predisposed individual
HISTOPATHOLOGY
• Subepidermal split with a sparse superficial
dermal infiltrate composed of neutrophils and
few eosinophils.
• In early urticarial papules and
plaques, neutrophils may percolate all along the
dermoepidermal junction with basal
vacuolization.
• Neutrophilic microabscesses at the tip of dermal
papillae are occassionly seen resembling DH.
SUBEPIDERMAL BLISTER FILLED WITH NEUTROPHILS
IMMUNOPATHOLOGY
• DIRECT IMMUNOFLUORESCENCE
- Homogeneous linear ( toothpaste or tubular) pattern
of IgA deposit at basement membrane zone
• INDIRECT IMMUNOFLUORECENCE
- Circulating IgA anti BMZ ab are detectable in approx
30% of adult and 80% of children during the active
phase
• IMMUNOGOLD IMMUNOELECTRON MICROSCOPY
- target antigens localised to either the
hemidesomes, lamina lucida, lamina densa or the
anchoring fibrils
DIF OF LAD
DIFFERENTIAL DIAGNOSIS
• Dermatitis herpetiformis
• Bullous pemphigoid
• Epidermolysis bullous acquista
• Cicatricial pemphigoid
• Lichen planus
• Toxic epidermal necrolysis
MANAGEMENT
• Topical steroid used for mild cases and for
oral lesions.
• Dapsone ( 50- 200 mg/day;1-2 mg/kg/day in
children ) is m/c used, either alone or in
combination with prednisolone.
• Sulfamethoxypyridazine ( 0.5 -1.5 g/day) -
used as first line t/t in children b/c it less
commonly causes hemolysis.
• Sulfapyridine ( 1-2 g/day)
• Most pts respond to dapsone or sulfonamide
within 48- 72 hrs.
• Prednisolone ( 60 mg/day in adult and 30
mg/day in children ) which can be used in
combination with dapsone or azathioprine.
• Others- flucloxacillin, colchicine(0.5-2mg/day)
Cyclosporine, tetracycline, nicotinamide, myco
phenolate mofetil & erythromycin.
PEMPHIGOID GESTATIONIS
• DEFINITION:
Rare autoimmune pruritic, polymorphic
dermatosis of pregnancy and puerperium
• INCIDENCE:
Estimated to be 1 in 10,000 to 1 in 50,000
deliveries in white North American women
ETIOPATHOGENESIS
• Increased frequency of HLA antigen B8, DR3 and
DR4
• PG antigen is 180 kDa BP antigen (BPAg2) present
in the hemidesmosome of the basement
membrane.
• Anti BMZ ab, mainly IgG 1 are pathogenic.
• Complement activation by ab deposited at BMZ
and subsequent inflammation result in basal cell
degeneration and DE separation.
• Inflammatory infiltrate including Th2 probably
involved in production of bullous lesion.
CLINICAL FEATURES
• occur in the 1st or any subsequent pregnancy.
• Usually begins in the 2nd or 3rd trimester.
• Polymorphic eruption of erythematous
urticarial papules & plaques, vesicles or bullae
arising on inflamed or normal skin.
• Sites: abdomen, especially around the umbilicus
or on the extremities and then spread to the rest
of trunk, palms & soles.
• Facial & mucosal lesions are rare.
• In the a/b of excoriation or secondary
infection, healing occurs without scarring.
ERYTHEMATOUS URTICARIAL AND BULLOUS LESION ON
THE CHEST AND SHOULDERS
URTICARIAL PAPULES AND PLAQUE ON THE
TRUNK
HISTOPATHOLOGY
• Perivascular , eosinophil rich leukocytic
infiltrate , papillary dermal edema, focal areas
of necrotic basal cells and spongiosis.
• Presence of inverted teardrop shaped
edematous dermal papillae is characteristic of
urticarial stage.
• Electron microscopy reveals a level of cleavage
in the lamina lucida .
INVERTED TEAR DROP LIKE VESICLES
IMMUNOPATHOLOGY
• DIRECT IMMUNOFLUORESCENCE
- linear deposition of C3 along the BMZ and IgG in 40-50% of pts.
- On salt split skin, the immunoreactant are on the epidermal side.
• INDIRECT IMMUNOFLUORESCENCE
- circulating IgG anti -BMZ ab in 20-60% of pts, but complement
fixing ab are found in almost all cases.
- IMMUNOELECTRON MICROSCOPY deposit are found in the upper
portion of lamina lucida, just beneath the plasma membrane of
basal keratinocyte.
DIFFERENTIAL DIAGNOSIS
• Papular dermatitis of pregnancy
• PUPPP
• Erythema multiforme
PROGNOSIS
• Self limited ds
• Maternal prognosis is good
• However, PG is associated with perinatal
complication like prematurity, still birth , low
birth weight and small for date infants.
MANAGEMENT
• Prednisolone - 40 mg/day.
• Post partum exacerbation may require an
increased dose of steroid.
• Oral antihistamines and topical steroid are
sometime useful.
• Cyclosporine, IVIG and post partum use of
tetracycline can be helpful.
Dermatitis herpitiformis, liear ig A  , pemphigoid gestationis

Dermatitis herpitiformis, liear ig A , pemphigoid gestationis

  • 1.
    DERMATITIS HERPETIFORMIS LINEAR IgADISEASE PEMPHIGOID GESTATIONIS ESTHER NIMISHA
  • 2.
    DEFINITION • Dermatitis herpetiformisis a rare, chronic blistering skin disease characterised by intensely pruritic grouped vesicles arising on an erythematous base, by granular IgA deposit in the dermal papillae on direct immunoflorescence ,associated with gluten sensitivity and a mostly asymptomatic enteropathy.
  • 3.
    EPIDEMIOLOGY 1) AGENT: - exactetiology unknown - Epidermal transglutaminase predominant autoantigen - strong association with HLA-DR3,DQ2, DQ8 2) HOST FACTOR: age -present most often in second or third decade sex -male predominance Race- less often in blacks and in Asians than in whites -first degree relatives of pts -family h/o DH & Coelic ds in 10% of pts -both concordant and discordant in monozygotic twins
  • 4.
    3) ENVIRONMENTAL FACTORS: -although there is a gluten sensitive enteropathy, antibodies to gliadin, the antigenic component of gluten are not present in all patients. Gluten is a protein present in grasses of the species Triticeae, which include wheat, rye and barley. - Trigger factors: dermal pressure or trauma, sunexposure & topical or oral iodine administration .
  • 5.
    ETIOPATHOGENESIS • Not wellunderstood • Archetypal features are neutrophilic infiltration in the dermal papillae, granular IgA deposition in the papillary dermis and gluten sensitive enteropathy •Marked similarities are noted between DH and celiac disease(CD)
  • 6.
    • Enzyme tissuetransglutaminase(tTG) autoantigen in celiac ds & epidermal transglutaminase (TGe ) DH • DH Th 2 mediated Celiac disease Th 1 mediated • Process of blistering in DH is also not clear • Neutrophils may bind to the deposited IgA and release proinflammatory cytokines and elastase that damage DEJ resulting in blister.
  • 7.
    CLINICAL FEATURES • Onsetmay be acute or gradual • Eruption is characteristically polymorphous, although at a given time any one type of lesion (papular, uticarial,vesicular or bullous) may predominate • Primary lesion is a small vesicle on an erythematous edematous base • Symmetrical distributed over the extensors • Vesicle grouped in a herpetiform manner on an erythematous plaque
  • 8.
    • Intense itching, burning or stinging sensation , preceded by new lesion by 8- 12 hrs. • If the rash is chronic, there are often lichenified plaque at the site of involvement. • Scarring is rare • Areas of predilection- elbow, knees, buttock, sacrum , shoulder, posterior hairline and scalp • Face occassionally affected • Mucous membrane only rarely.
  • 9.
    INTACT TENSE BULLAEON THE ELBOW
  • 10.
    EXTENSIVE ERUPTION WITHGROUPED PAPULES, VESICLES AND CRUST ON BACK
  • 11.
    VESICLES ARRANGED INAN ANNULAR PATTERN
  • 12.
    ASSOCIATIONS 1) GLUTEN SENSITIVEENTEROPATHY GLUTEN SENSITIVE ENTEROPATHY • Less than 10% have gastrointestinal symptoms suggestive of celiac ds • Enteropathy is usually asymptomatic but some pts exhibit consequences of malabsorption such as diarrhoea, steatorrhea, abdominal distension & weight loss.
  • 13.
    • Abnormal absorptionof D- xylose, iron, folate, glucose, water , bicarbonate and low serum level of iron and folate have been documented • Patchy involvement of jejunum, biopsies from which shows flattening of surface of epithelial cells, blunting of villi, elongation of intestinal crypts and an inflammatory infitrate primarily lymphocyte and plasma cells in the lamina propria.
  • 14.
    2) AUTOIMMUNE DISORDERS -Insulin dependent diabetes, connective tissue disorder, gastric hypochlorhydria and atrophy & thyroid ds. 3) LYMPHOMA Increased risk for developing lymphoma especially of gastrointestinal tract b/c of long standing T cell proliferation in the intestine.
  • 15.
    HISTOPATHOLOGY • Neutrophilic microabscessesseen within an adjoining dermal papillae intermingled with few eosinophils Multilocular appearance • However, within a few days, the tips of the dermal papillae separate from the overlying epidermis and the blister become unilocular. These may coalesce to form a subepidermal blister. • Moderately severe inflammatory infiltrate of neutrophils and eosinophils in subpapillary dermis.
  • 16.
    Dermal papillary collectionof neutrophils & eosinophils
  • 18.
    IMMUNOPATHOLOGY • DIRECT IMMUNOFLORESCENCE -Granular deposit of IgA in the dermal papillae, vertically elongated giving ‘ PICKET FENCE’ appearance. • INDIRECT IMMUNOFLORESCENCE -No circulating anti-BMZ ab are found.
  • 19.
    GRANULAR Ig AIN THE DERMAL PAPILLAE ON DIF
  • 20.
    IMMUNOELECTRON MICROSCOPY • IgAdeposit in the form of amorphous grain ( DH bodies) mostly in the subbasal memb region and upper papillary dermis. Probably represent immune complex aggregates. • IMMUNOMAPPING STUDIES reveals that ultrastructural site of blister formation is the LAMINA LUCIDA.
  • 21.
    SEROLOGICAL TEST • Antiendomysial ab • Anti reticulin ab • Anti tissue transglutaminase ab IgA These three autoantibodies are highly pathognomic for untreated celiac ds.
  • 22.
    DIFFERENTIAL DIAGNOSIS • Bullouserythema multiforme • Transient acantholytic disorder • Papular urticaria • Scabies • Neurotic excoriation • Atopic dermatitis • Bullous pemphigoid • Pemphigoid gestationis • Linear IgA disease
  • 23.
    MANAGEMENT CURATIVE:- • DAPSONE - Dose:100 -200 mg /day • Maintanence dose : 50 mg/day to 50 mg/wk • S/e – hemolysis & methemoglobinemia Hence CBC and LFT should be done at baseline CBC – repeated fortnightly during the first 3 months of therapy and every 3 months thereafter LFT – at 6 months and annually thereafter • Oral vitamin E ( 800 u/d) protect against dapsone induced hemolysis
  • 24.
    • Sulfasalazine (0.5 g three times a day increased to 2 g/d ) when sensitivity to dapsone • Colchicine ( 0.6 mg tid ) - when dapsone or sulfasalazine are C/I or when a gluten free diet cannot be instituted. • Heparin with/ out tetracycline plus nicotinamide can be used who cannot tolerate dapsone or sulfonamides. • Other – cyclosporine, azathioprine , prednisolone
  • 25.
    PREVENTIVE MEASURES : •GLUTEN FREE DIET - mandates strict avoidance of wheat, rye , barley - reduce the dose of dapsone in 70-100% of pts following a strict dietary regimen, after 8 months & even stop it, in 40-70% after about 2-5 yrs. - If dietary restriction are discontinued, the rash returns after an average of 3 months , suggesting that the restriction should be continued life long.
  • 26.
    LINEAR IgA DISEASE •Is defined as chronic autoimmune subepidermal blistering disease characterised by linear deposition of IgA along the dermoepidermal junction on direct immunoflorescence. • CHRONIC BULLOUS DS OF CHILDHOOD – subepidermal vesiculobullous disease characterised by tense blister , often in an annular arrangement predominantly in flexural especially the lower trunk, thigh & groin.
  • 27.
    EPIDEMIOLOGY • ADULT- meanage of onset 5th decade • CHILDREN – below the age of 5 yrs • FEMALE preponderance in adult.
  • 28.
    ETIOPATHOGENESIS • Unknown • HLAhaplotype HLA B8,DR3 (Autoimmune extended haplotype) • Linkage disequilibrium b/w this haplotype and tumor necrosis factor polymorphism • heterogenous disease with regard to its antigen , with many different target protein within the epithelial adhesion complex.
  • 29.
    • Major antigens:- BP 180 ( BPAg 2) - 285 kDa antigen( LAD 285) • Other antigen: - BP 230 ( BPAg 1) - collagen VII - protein under 100 kDa - 200 & 280 kDa hemidesmosomal- protein - beta 4 integrin
  • 30.
    • IgA isthe immunodominant ab , some pts also have IgG ab directed at BP 180. • Triggers such as drugs, infection and autoimmune conditions have been implicated. • Sensitised against external antigen (virus antigen)
  • 31.
    CLINICAL FEATURES • Canbe categorised into CBDC ADULT LAD • CHILDREN : - usually starts below 5 yrs - onset is abrupt with large tense bulla filled with hemorrhagic or clear fluid . • Sites – genitilia, buttocks, scalp and face • Blisters may also appear in a generalised but asymmetric distribution.
  • 32.
    • Typical featuresare: - Herpetiform clustering of blister - Bizzare, irregular shaped bullae as they enlarge & coalesce - Rosette or cluster of jewels which represent the annular arrangement of new, small , tense blister around a crusted healing erythematous plaque (STRING OF PEARL SIGN) • Pruritus is variable in intensity.
  • 33.
    CLUSTERING OF BULLAEIN PERINEAL REGION
  • 34.
  • 35.
    • ADULT: -onset may be insidious or abrupt - Symptoms vary from mild to severe pruritus and burning - Sites: flexure and trunk with scattered vesicles and tense blister similar to BP. - Bullae may be linear, sausage shaped & hemorrhagic. - Some may have DH like itchy eruption. - Perineal & perioral involvement is less common
  • 36.
    TYPICAL ARRANGEMENT OFTENSE BLISTER AROUND A HEALING ERYTHEMATOUS PLAQUE
  • 37.
    CRUSTED EROSIONS, PAPULESAND VESICLES ON THE BACK AND NECK
  • 38.
  • 39.
    • mucosal lesions- painful erosions or ulcers following rupture of bullae. Occasionally , manifest as chronic desquammative gingivitis. • eye involvement- irritation, redness, dryness, light sensitivity, blurred vision, conjuntival scarring & blindness. • Nasal involvement – crusting, stuffiness & bleeding • Laryngeal involvement- hoarseness • Occasional association with infection, pre-existing inflammatory bowel ds , autoimmune ds( SLE, dermatomyositis) and malignancy.
  • 40.
    DRUG INDUCED LAD •Vancomycin • Penicillin • Cephalosporin • Diclofenac and other NSAIDs • Captopril • Lithium • Amiodarone • carbamazepine • Amoxicillin • Moxifloxacin • PUVA • Furosemide • Interferon alpha • Phenytoin • Statins • Angiotensin receptor antagonist •Self limited eruption, generally resolving within 2-6 wks of stopping the drug. •These drugs stimulate the immune system to produce an IgA class ab in a predisposed individual
  • 41.
    HISTOPATHOLOGY • Subepidermal splitwith a sparse superficial dermal infiltrate composed of neutrophils and few eosinophils. • In early urticarial papules and plaques, neutrophils may percolate all along the dermoepidermal junction with basal vacuolization. • Neutrophilic microabscesses at the tip of dermal papillae are occassionly seen resembling DH.
  • 42.
  • 43.
    IMMUNOPATHOLOGY • DIRECT IMMUNOFLUORESCENCE -Homogeneous linear ( toothpaste or tubular) pattern of IgA deposit at basement membrane zone • INDIRECT IMMUNOFLUORECENCE - Circulating IgA anti BMZ ab are detectable in approx 30% of adult and 80% of children during the active phase • IMMUNOGOLD IMMUNOELECTRON MICROSCOPY - target antigens localised to either the hemidesomes, lamina lucida, lamina densa or the anchoring fibrils
  • 44.
  • 45.
    DIFFERENTIAL DIAGNOSIS • Dermatitisherpetiformis • Bullous pemphigoid • Epidermolysis bullous acquista • Cicatricial pemphigoid • Lichen planus • Toxic epidermal necrolysis
  • 46.
    MANAGEMENT • Topical steroidused for mild cases and for oral lesions. • Dapsone ( 50- 200 mg/day;1-2 mg/kg/day in children ) is m/c used, either alone or in combination with prednisolone. • Sulfamethoxypyridazine ( 0.5 -1.5 g/day) - used as first line t/t in children b/c it less commonly causes hemolysis. • Sulfapyridine ( 1-2 g/day)
  • 47.
    • Most ptsrespond to dapsone or sulfonamide within 48- 72 hrs. • Prednisolone ( 60 mg/day in adult and 30 mg/day in children ) which can be used in combination with dapsone or azathioprine. • Others- flucloxacillin, colchicine(0.5-2mg/day) Cyclosporine, tetracycline, nicotinamide, myco phenolate mofetil & erythromycin.
  • 48.
    PEMPHIGOID GESTATIONIS • DEFINITION: Rareautoimmune pruritic, polymorphic dermatosis of pregnancy and puerperium • INCIDENCE: Estimated to be 1 in 10,000 to 1 in 50,000 deliveries in white North American women
  • 49.
    ETIOPATHOGENESIS • Increased frequencyof HLA antigen B8, DR3 and DR4 • PG antigen is 180 kDa BP antigen (BPAg2) present in the hemidesmosome of the basement membrane. • Anti BMZ ab, mainly IgG 1 are pathogenic. • Complement activation by ab deposited at BMZ and subsequent inflammation result in basal cell degeneration and DE separation. • Inflammatory infiltrate including Th2 probably involved in production of bullous lesion.
  • 50.
    CLINICAL FEATURES • occurin the 1st or any subsequent pregnancy. • Usually begins in the 2nd or 3rd trimester. • Polymorphic eruption of erythematous urticarial papules & plaques, vesicles or bullae arising on inflamed or normal skin.
  • 51.
    • Sites: abdomen,especially around the umbilicus or on the extremities and then spread to the rest of trunk, palms & soles. • Facial & mucosal lesions are rare. • In the a/b of excoriation or secondary infection, healing occurs without scarring.
  • 52.
    ERYTHEMATOUS URTICARIAL ANDBULLOUS LESION ON THE CHEST AND SHOULDERS
  • 53.
    URTICARIAL PAPULES ANDPLAQUE ON THE TRUNK
  • 54.
    HISTOPATHOLOGY • Perivascular ,eosinophil rich leukocytic infiltrate , papillary dermal edema, focal areas of necrotic basal cells and spongiosis. • Presence of inverted teardrop shaped edematous dermal papillae is characteristic of urticarial stage. • Electron microscopy reveals a level of cleavage in the lamina lucida .
  • 55.
    INVERTED TEAR DROPLIKE VESICLES
  • 56.
    IMMUNOPATHOLOGY • DIRECT IMMUNOFLUORESCENCE -linear deposition of C3 along the BMZ and IgG in 40-50% of pts. - On salt split skin, the immunoreactant are on the epidermal side. • INDIRECT IMMUNOFLUORESCENCE - circulating IgG anti -BMZ ab in 20-60% of pts, but complement fixing ab are found in almost all cases. - IMMUNOELECTRON MICROSCOPY deposit are found in the upper portion of lamina lucida, just beneath the plasma membrane of basal keratinocyte.
  • 57.
    DIFFERENTIAL DIAGNOSIS • Papulardermatitis of pregnancy • PUPPP • Erythema multiforme
  • 58.
    PROGNOSIS • Self limitedds • Maternal prognosis is good • However, PG is associated with perinatal complication like prematurity, still birth , low birth weight and small for date infants.
  • 59.
    MANAGEMENT • Prednisolone -40 mg/day. • Post partum exacerbation may require an increased dose of steroid. • Oral antihistamines and topical steroid are sometime useful. • Cyclosporine, IVIG and post partum use of tetracycline can be helpful.