BUERGER’S DISEASE




                    AJM
“Thromboangitis Obliterans is a distinctive
  disease that leads to vascular insufficiency,
  characterised by segmental, thrombosing,
  acute and chronic inflammation of medium
  sized and small arteries and sometimes
  secondarily extending into the veins and
  nerves”.

                     Leo Berger, 1879-1943,
                     Professor of Urology, NYPMS, NY, USA,
                     Described TAO in 1908
RISK FACTORS:
• CIGARETTE SMOKING:
  – Most consistent aspect of this disorder.
  – Hypersensitivity to intradermally injected tobacco
    extracts.
  – Increased prevalence of HLA-A9 and HLA-B5 in
    these patients
  – Common in India, Japan & Israel pointing to its
    genetic influences!.
• SEX
MORPHOLOGY:
• Sharply segmental acute and chronic vasculitis
  of medium and small arteries.
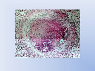
MICROSCOPY:
• Inflammation permeates the arterial walls.
• Thrombosis of the lumen.
• May undergo organisation or recanalisation.
• Thrombus contains microabscesses.
• Characteristic migratory recurrent superficial
  phlebitis.
CLINICAL FEATURES
• The patient generally complains of pain while
  walking at the arch of the foot.
• Onset – Age: 20 -40 yrs. Spontaneous and
  gradual
• Intermittent claudication, which progresses to
  ‘rest pain’.
• Swelling redness and slight pain
• Postural dependency  Trophic changes 
  Ulceration  Gangrene.
• DD: Raynaud’s disease, Senile gangrene
PHYSICAL EXAMINATION
Local examination:
INSPECTION:
1.Change in color.
2.Signs of ischemia
3.Buerger’s postural test.
4.Capillary filling time
5.Venous refilling
PALPATION:
1.PALPATION OF BLOOD VESSELS.
2.CAPILLARY REFILLING.
3.VENOUS REFILLING.
4.ALLEN’S TEST.
5.COLD AND WARM WATER TEST.
6.NEUROLOGICAL EXAMINATION.
INVESTIGATIONS
•   BLOOD
•   URINE
•   STRAIGHT X-RAY
•   ARTERIOGRAPHY:
    I.  RETROGRADE PERCUTANEOUS
        CATHETERISATION.
    II. DIRECT ARTERIAL PUNCTURE.
• DETERMINATION OF BLOOD VELOCITY BY
  ULTRASOUND DOPPLER.
• ISOTOPE TECHNIQUE
• BLOOD LIPIDS.
• INVESTIGATION FOR VASOSPASM
  – Brown’s vasomotor Index.
• PLETHYSMOGRAPHY.
MANAGEMENT
• CESSATION OF SMOKING CAN ARREST THE
  DISEASE.
• MEDICAL
  – CILOSTAZOL
  – PENTOXIFYLLINE
• SURGICAL
  – TRANSLUMINAL ANGIOPLASTY & STENTING(PTE,
    PTFE).
  – BYPASS GRAFTS.

Buerger’s disease

  • 1.
  • 2.
    “Thromboangitis Obliterans isa distinctive disease that leads to vascular insufficiency, characterised by segmental, thrombosing, acute and chronic inflammation of medium sized and small arteries and sometimes secondarily extending into the veins and nerves”. Leo Berger, 1879-1943, Professor of Urology, NYPMS, NY, USA, Described TAO in 1908
  • 3.
    RISK FACTORS: • CIGARETTESMOKING: – Most consistent aspect of this disorder. – Hypersensitivity to intradermally injected tobacco extracts. – Increased prevalence of HLA-A9 and HLA-B5 in these patients – Common in India, Japan & Israel pointing to its genetic influences!. • SEX
  • 5.
    MORPHOLOGY: • Sharply segmentalacute and chronic vasculitis of medium and small arteries. MICROSCOPY: • Inflammation permeates the arterial walls. • Thrombosis of the lumen. • May undergo organisation or recanalisation. • Thrombus contains microabscesses. • Characteristic migratory recurrent superficial phlebitis.
  • 7.
    CLINICAL FEATURES • Thepatient generally complains of pain while walking at the arch of the foot. • Onset – Age: 20 -40 yrs. Spontaneous and gradual • Intermittent claudication, which progresses to ‘rest pain’. • Swelling redness and slight pain • Postural dependency  Trophic changes  Ulceration  Gangrene. • DD: Raynaud’s disease, Senile gangrene
  • 9.
    PHYSICAL EXAMINATION Local examination: INSPECTION: 1.Changein color. 2.Signs of ischemia 3.Buerger’s postural test. 4.Capillary filling time 5.Venous refilling
  • 10.
    PALPATION: 1.PALPATION OF BLOODVESSELS. 2.CAPILLARY REFILLING. 3.VENOUS REFILLING. 4.ALLEN’S TEST. 5.COLD AND WARM WATER TEST. 6.NEUROLOGICAL EXAMINATION.
  • 11.
    INVESTIGATIONS • BLOOD • URINE • STRAIGHT X-RAY • ARTERIOGRAPHY: I. RETROGRADE PERCUTANEOUS CATHETERISATION. II. DIRECT ARTERIAL PUNCTURE.
  • 13.
    • DETERMINATION OFBLOOD VELOCITY BY ULTRASOUND DOPPLER. • ISOTOPE TECHNIQUE • BLOOD LIPIDS. • INVESTIGATION FOR VASOSPASM – Brown’s vasomotor Index. • PLETHYSMOGRAPHY.
  • 15.
    MANAGEMENT • CESSATION OFSMOKING CAN ARREST THE DISEASE. • MEDICAL – CILOSTAZOL – PENTOXIFYLLINE • SURGICAL – TRANSLUMINAL ANGIOPLASTY & STENTING(PTE, PTFE). – BYPASS GRAFTS.