Inflammatory Jaw
lesions I
Pulpitis
Definition:
Inflammation of the dental pulp, which can be acute or chronic.
Etiology
• Dental Caries.
• Traumatic exposure.
• Fracture of the crown.
• Thermal changes.
• Chemical irritation.
• Cracked tooth syndrome.

Types of pulpitis

Acute

Chronic

 Reversible.

 Closed.

 Irreversible.

 Opened
(Hyperplastic)
Acute Reversible Pulpitis
Etiology:
• Dental Caries.
• Cavity preparation.
• Thermal changes in large
metallic fillings.

Clinical Features:
• Pain: mild to moderate and
stimulated.
• The etiological factor is
obvious.

Histopathological Features:
• Pulp hyperemia (dilatation of blood vessels).
• Exudation.
• Inflammatory cell infiltration (neutrophils).
• Reactions usually remain localized adjacent to the cause.
• Treatment: Remove the cause.
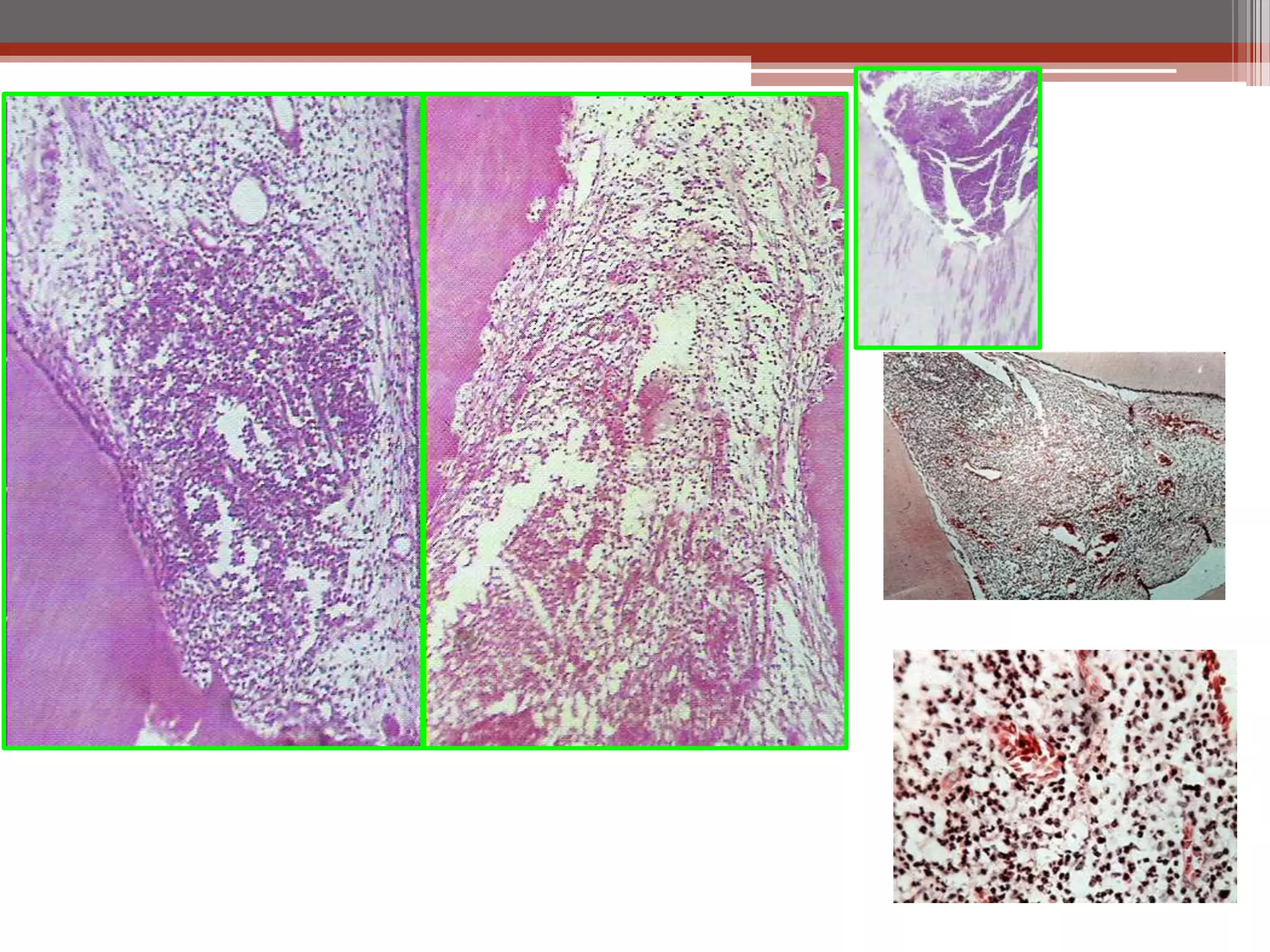
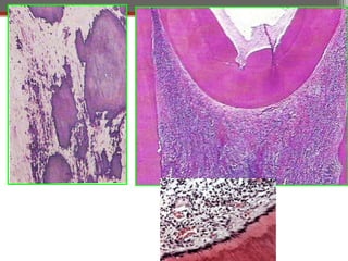
Acute Irreversible Pulpitis
Etiology:
Clinical Features:
• Pain: Sever, spontaneous and
• Acute Dental Caries.
continuous.
• Pulp exposure.
• Little response to simple analgesics.
• Sever Irritation.
• Pain increase when patient lies
down.
• The etiological factor is obvious.
Histopathological Features:
• Inflammation involves the whole dental pulp.
• Vascular dilatation and edema.
• Inflammatory [granular cell] infiltration.
• Odontoblasts near to the cause are destroyed.
• Formation of a minute pulp abscess.
• In a few days pulp undergoes liquefaction and necrosis.
• Treatment: RCT.
Chronic Pulpitis

Etiology:
• Previous acute pulpitis.
• Chronic Dental Caries.

Clinical Features:
• Pain: absent or mild to moderate,
dull ache and intermittent.
• Reaction to thermal changes is
reduced in comparison to acute
pulpitis.
• The etiological factor is obvious.

Histopathological Features:
• Mononuclear inflammatory cell infiltration.
• Evidence of fibroblastic activity.
• Minute abscess if exist it is localized by granulation tissue.
• Treatment: RCT.
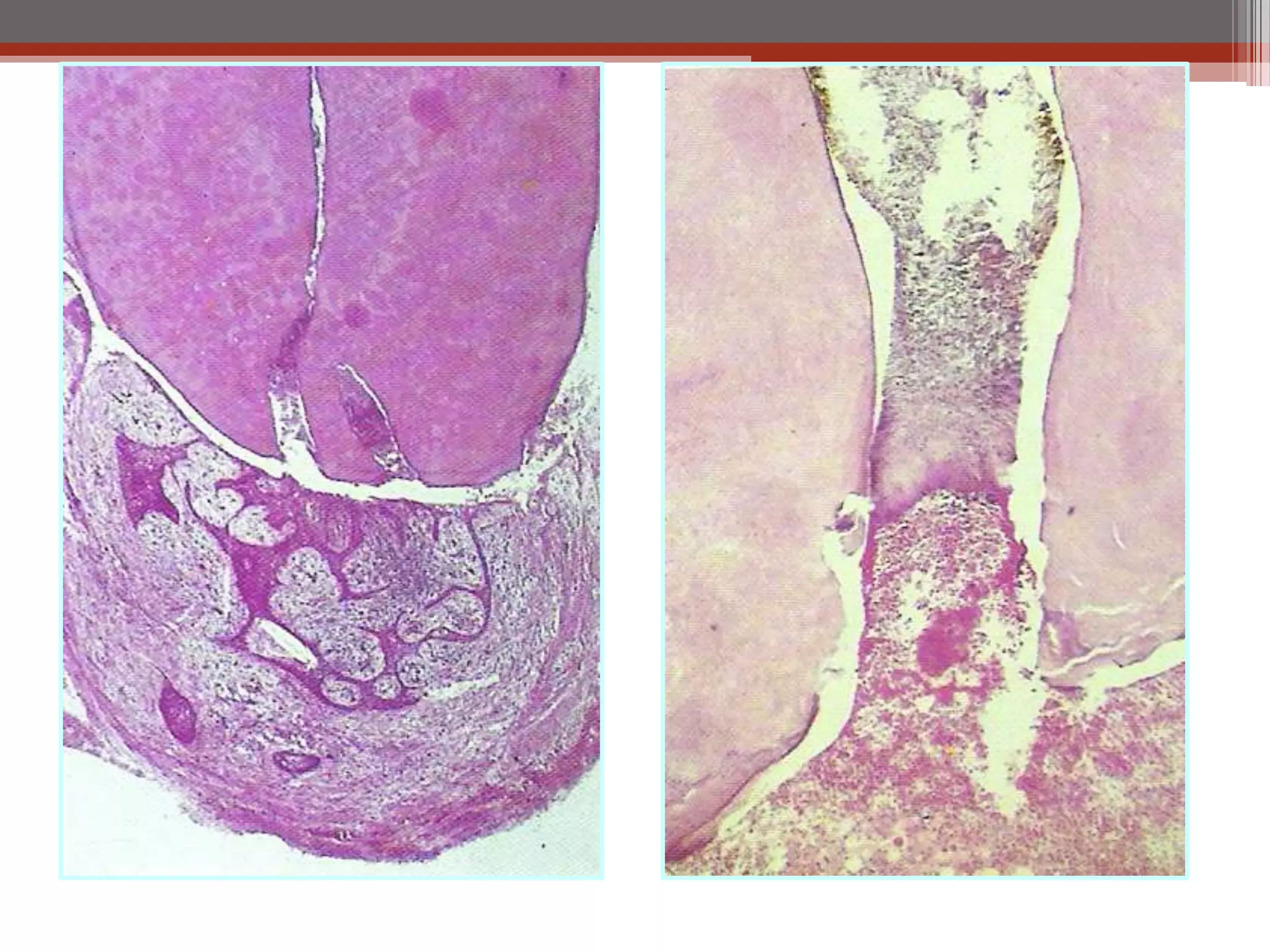
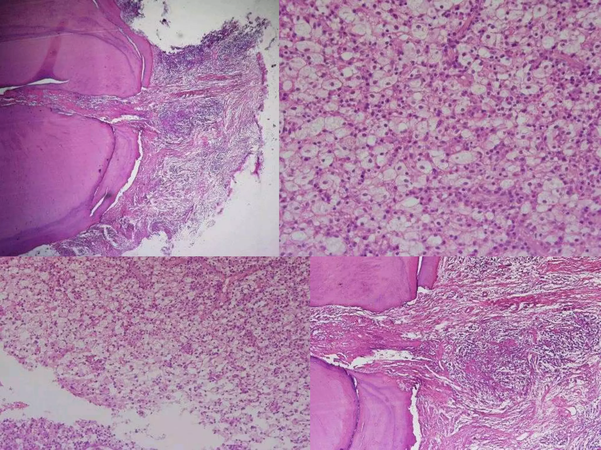
Chronic Hyperplastic Pulpitis
Etiology:
Clinical Features:
• Opened cavity.
• Red pinkish soft nodule protruding
• Starts as chronic or
into the cavity.
acute.
• Almost in children and young adults.
• Wide apical foramen
• Relatively insensitive to manipulation.
[Children].
• Most common in deciduous molars.
• Must be differentiate from gingival
polyp.
Histopathological Features:
• The polyp consists of granulation tissue.
• It contains delicate connective tissue, fibers and blood vessels.
• Mononuclear inflammatory cell infiltration.
• The polyp is covered with SS epithelium.
• Treatment: RCT or extraction of the tooth.
Periapical inflammation

Periapical
Granuloma

Periapical
abscess

Chronic abscess or
osteomyelitis
Cellulitis
Skin or mucosal sinus
Bacteremia

Periapical
Cyst
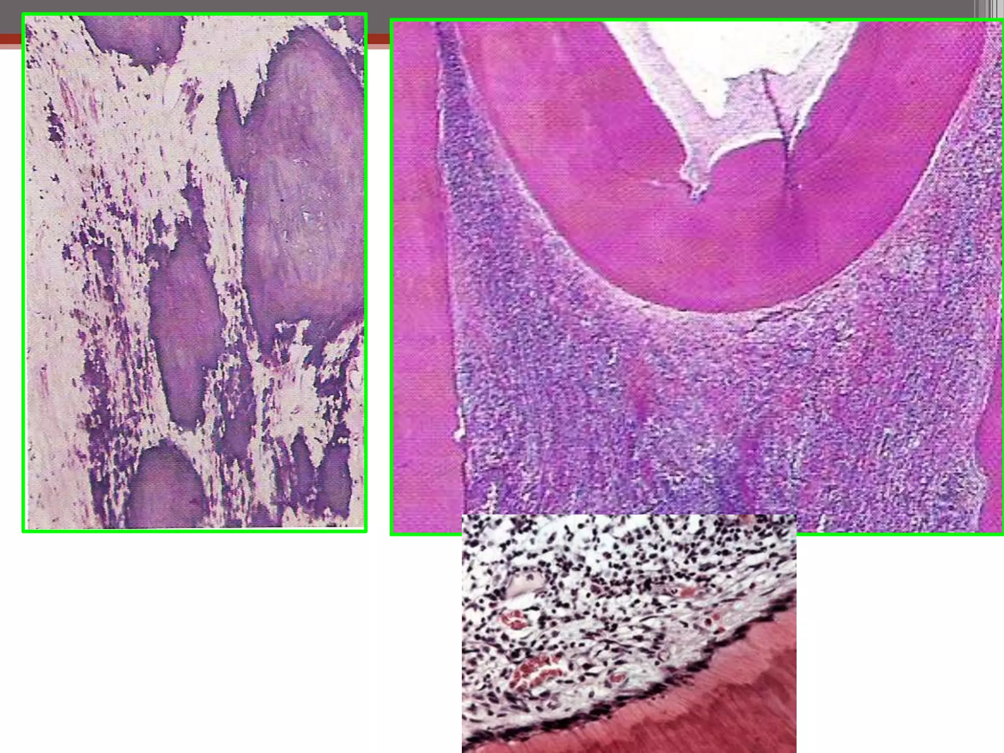
Acute Abscess
Etiology:
• Acute pulpitis. Chronic periapical lesions.
Clinical Features:
• Pain: sever and increases with percussion.
• Non-vital tooth.
• The tooth is slightly extruded in its socket.
• Fever, malaise & regional lymphadenitis.
• Osteomyelitis and swollen adjacent area.
Histopathological Features:
• Zone of liquefaction composed of:
▫ Exudates.
▫ Necrotic tissue.
▫ Dead neutrophils.
• Dilated blood vessels.
• Inflammatory [granular cell] infiltration.
Treatment:
• Drainage. Antibiotics. Supportive Tx.
X-Ray

Pulpitis:
• Evaluation of the pulp champer.
• Evaluation of the periapical region.
Acute abscess:
• Thickening of periodontal membrane.
• Loss of the lamina dura.
Electrical Pulp Tester

•
•
•
•

Acute reversible pulpitis.
Acute irreversible pulpitis.
Chronic pulpitis.
Acute abscess.

Pulpitis

  • 1.
  • 2.
    Pulpitis Definition: Inflammation of thedental pulp, which can be acute or chronic. Etiology • Dental Caries. • Traumatic exposure. • Fracture of the crown. • Thermal changes. • Chemical irritation. • Cracked tooth syndrome. Types of pulpitis Acute Chronic  Reversible.  Closed.  Irreversible.  Opened (Hyperplastic)
  • 3.
    Acute Reversible Pulpitis Etiology: •Dental Caries. • Cavity preparation. • Thermal changes in large metallic fillings. Clinical Features: • Pain: mild to moderate and stimulated. • The etiological factor is obvious. Histopathological Features: • Pulp hyperemia (dilatation of blood vessels). • Exudation. • Inflammatory cell infiltration (neutrophils). • Reactions usually remain localized adjacent to the cause. • Treatment: Remove the cause.
  • 5.
    Acute Irreversible Pulpitis Etiology: ClinicalFeatures: • Pain: Sever, spontaneous and • Acute Dental Caries. continuous. • Pulp exposure. • Little response to simple analgesics. • Sever Irritation. • Pain increase when patient lies down. • The etiological factor is obvious. Histopathological Features: • Inflammation involves the whole dental pulp. • Vascular dilatation and edema. • Inflammatory [granular cell] infiltration. • Odontoblasts near to the cause are destroyed. • Formation of a minute pulp abscess. • In a few days pulp undergoes liquefaction and necrosis. • Treatment: RCT.
  • 7.
    Chronic Pulpitis Etiology: • Previousacute pulpitis. • Chronic Dental Caries. Clinical Features: • Pain: absent or mild to moderate, dull ache and intermittent. • Reaction to thermal changes is reduced in comparison to acute pulpitis. • The etiological factor is obvious. Histopathological Features: • Mononuclear inflammatory cell infiltration. • Evidence of fibroblastic activity. • Minute abscess if exist it is localized by granulation tissue. • Treatment: RCT.
  • 9.
    Chronic Hyperplastic Pulpitis Etiology: ClinicalFeatures: • Opened cavity. • Red pinkish soft nodule protruding • Starts as chronic or into the cavity. acute. • Almost in children and young adults. • Wide apical foramen • Relatively insensitive to manipulation. [Children]. • Most common in deciduous molars. • Must be differentiate from gingival polyp. Histopathological Features: • The polyp consists of granulation tissue. • It contains delicate connective tissue, fibers and blood vessels. • Mononuclear inflammatory cell infiltration. • The polyp is covered with SS epithelium. • Treatment: RCT or extraction of the tooth.
  • 11.
    Periapical inflammation Periapical Granuloma Periapical abscess Chronic abscessor osteomyelitis Cellulitis Skin or mucosal sinus Bacteremia Periapical Cyst
  • 12.
    Acute Abscess Etiology: • Acutepulpitis. Chronic periapical lesions. Clinical Features: • Pain: sever and increases with percussion. • Non-vital tooth. • The tooth is slightly extruded in its socket. • Fever, malaise & regional lymphadenitis. • Osteomyelitis and swollen adjacent area. Histopathological Features: • Zone of liquefaction composed of: ▫ Exudates. ▫ Necrotic tissue. ▫ Dead neutrophils. • Dilated blood vessels. • Inflammatory [granular cell] infiltration. Treatment: • Drainage. Antibiotics. Supportive Tx.
  • 16.
    X-Ray Pulpitis: • Evaluation ofthe pulp champer. • Evaluation of the periapical region. Acute abscess: • Thickening of periodontal membrane. • Loss of the lamina dura. Electrical Pulp Tester • • • • Acute reversible pulpitis. Acute irreversible pulpitis. Chronic pulpitis. Acute abscess.