Inflammatory Jaw
lesions I

Aiman A. Ali, DDS, PhD.
Pulpitis

Definition:
Inflammation of the dental
pulp, which can be acute or
chronic.
Aiman A. Ali, DDS, PhD.
Etiology

 Dental

Caries.
 Traumatic exposure.
 Fracture of the crown.
 Thermal changes.
 Chemical irritation.
 Cracked tooth syndrome.

Aiman A. Ali, DDS, PhD.
Types of pulpitis

Acute

Chronic

 Reversible.

 Closed.

 Irreversible.

 Opened (Hyperplastic)

Aiman A. Ali, DDS, PhD.
Acute Reversible Pulpitis

Etiology:

Dental Caries.
 Cavity preparation.
 Thermal changes in large
metallic fillings.


Aiman A. Ali, DDS, PhD.
Acute Reversible Pulpitis

Clinical

Features:

Pain: mild to moderate and
stimulated.
 The etiological factor is obvious.


Aiman A. Ali, DDS, PhD.
Acute Reversible Pulpitis


Histopathological Features:





Pulp hyperemia (dilatation of blood vessels).
Exudation.
Inflammatory cell infiltration (neutrophils).
Reactions usually remain localized adjacent to
the cause.

Aiman A. Ali, DDS, PhD.
Acute Reversible Pulpitis

Treatment:

cause.

Remove the

Aiman A. Ali, DDS, PhD.
Acute Irreversible Pulpitis
Etiology:

Acute Dental Caries.
 Pulp exposure.
 Sever Irritation.


Aiman A. Ali, DDS, PhD.
Acute Irreversible Pulpitis
Clinical

Features:

Pain: Sever, spontaneous and
continuous.
 Little response to simple
analgesics.
 Pain increase when patient lies down.
The etiological factor is obvious.


Aiman A. Ali, DDS, PhD.
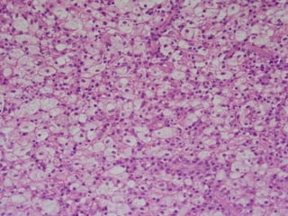
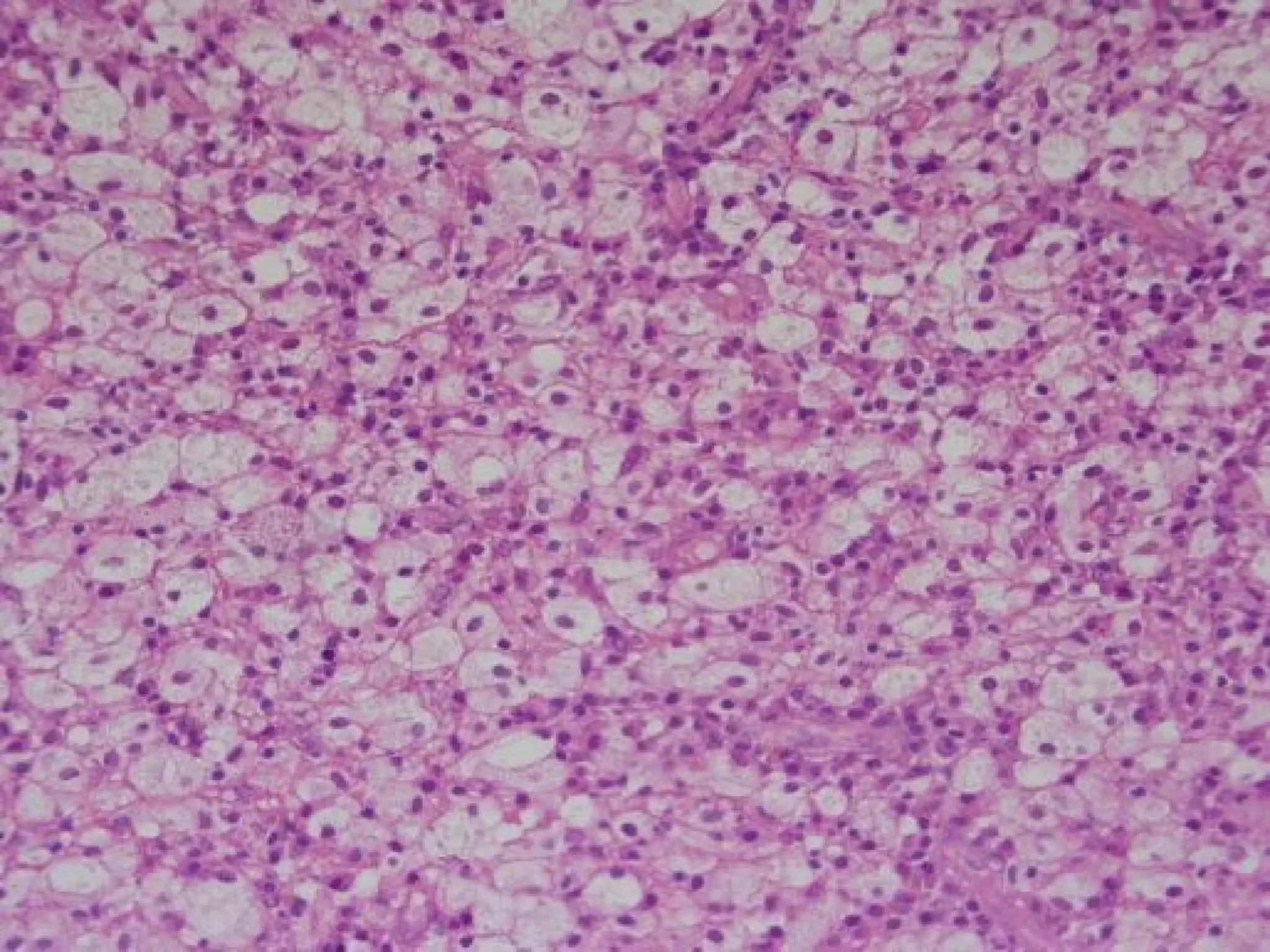
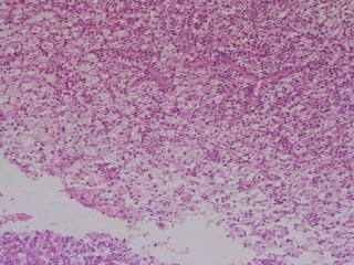
Acute Irreversible Pulpitis
 Histopathological







Features:

Inflammation involves the whole dental pulp.
Vascular dilatation and edema.
Inflammatory [granular cell] infiltration.
Odontoblasts near to the cause are destroyed.
Formation of a minute pulp abscess.
In a few days pulp undergoes liquefaction
and necrosis.

Aiman A. Ali, DDS, PhD.
Acute Irreversible Pulpitis

Treatment:

RCT.

Aiman A. Ali, DDS, PhD.
Aiman A. Ali, DDS, PhD.
Chronic Pulpitis
Etiology:

Previous acute pulpitis.
 Chronic Dental Caries.


Aiman A. Ali, DDS, PhD.
Chronic Pulpitis
 Clinical






Features:

Pain: absent or mild to moderate, dull
ache and intermittent.
Reaction to thermal changes is reduced
in comparison to acute pulpitis.
The etiological factor is obvious.

Aiman A. Ali, DDS, PhD.
Chronic Pulpitis
 Histopathological

Features:

Mononuclear inflammatory cell
infiltration.
 Evidence of fibroblastic activity.
 Minute abscess if exist it is localized
by granulation tissue.


Aiman A. Ali, DDS, PhD.
Chronic Pulpitis

Treatment:

RCT.

Aiman A. Ali, DDS, PhD.
Aiman A. Ali, DDS, PhD.
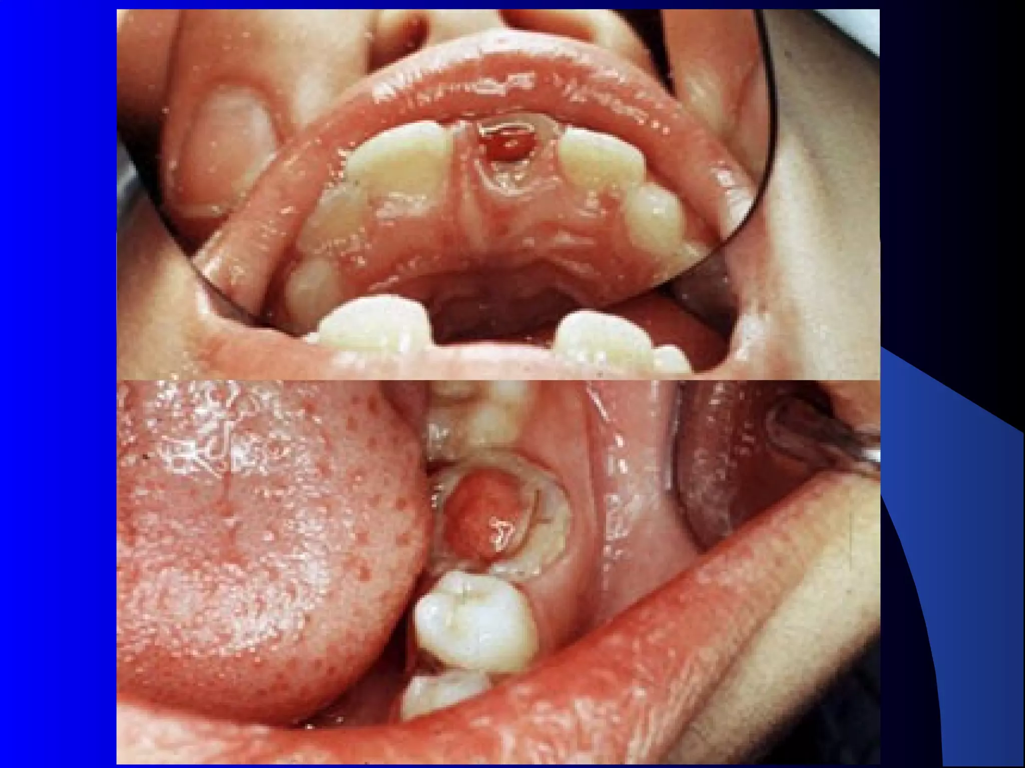
Chronic Hyperplastic Pulpitis
Pulp Polyp
Etiology:

Opened cavity.
 Starts as chronic or acute.
 Wide apical foramen [Children].


Aiman A. Ali, DDS, PhD.
Chronic Hyperplastic Pulpitis
Pulp Polyp
Clinical

Features:

Red pinkish soft nodule protruding into the
cavity.
 Almost in children and young adults.
 Relatively insensitive to manipulation.
 Most common in deciduous molars.
 Must be differentiate from gingival polyp.


Aiman A. Ali, DDS, PhD.
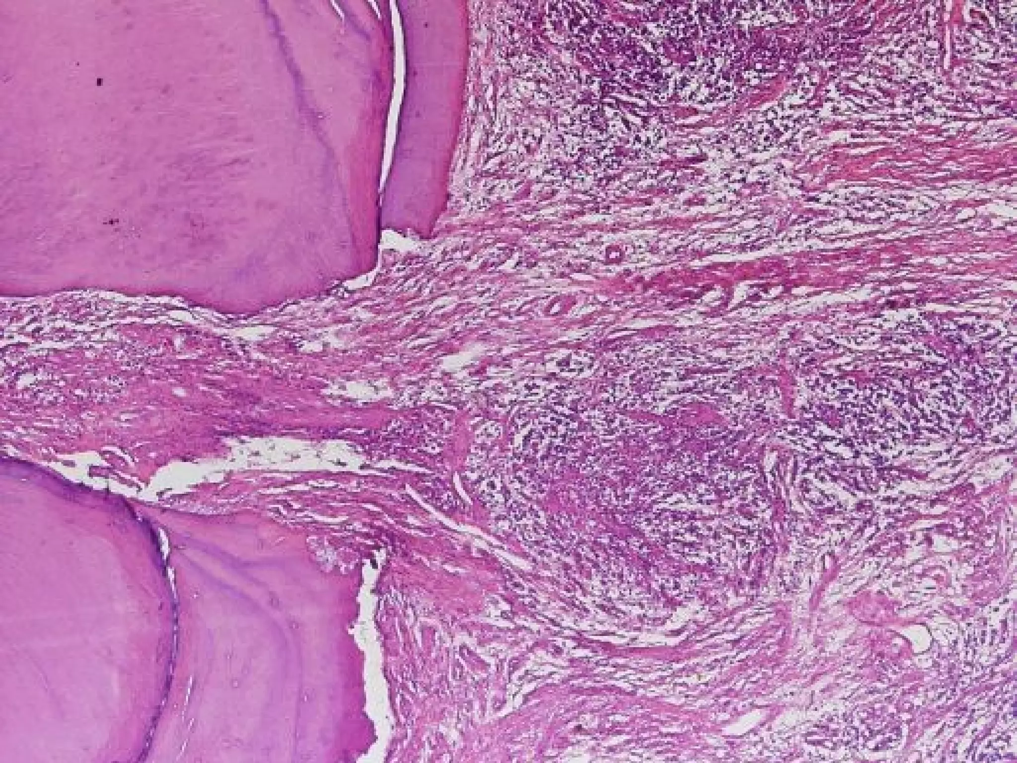
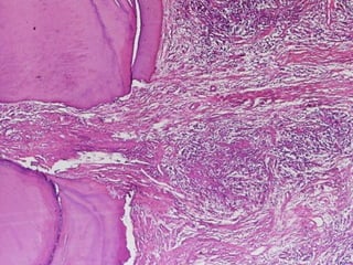
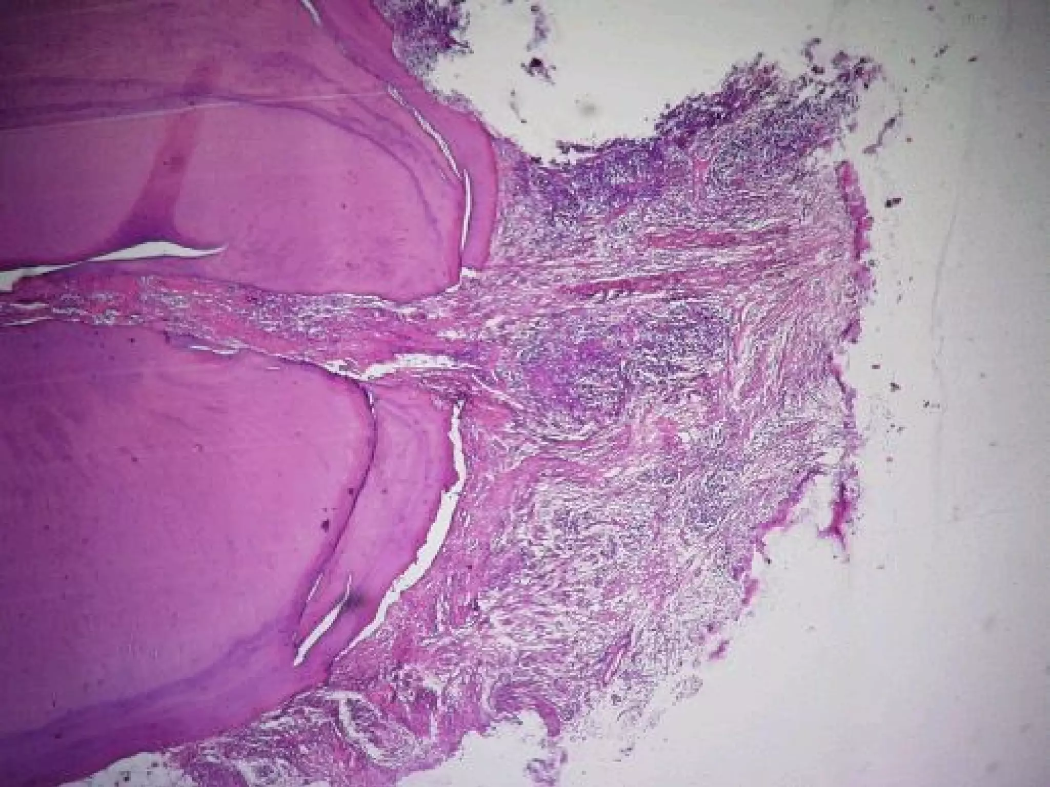
Chronic Hyperplastic Pulpitis
Pulp Polyp
 Histopathological

Features:

 The






polyp consists of granulation tissue.
It contains delicate connective tissue, fibers
and blood vessels.
Mononuclear inflammatory cell infiltration.
The polyp is covered with SS epithelium.

Aiman A. Ali, DDS, PhD.
Chronic Hyperplastic Pulpitis
Pulp Polyp

 Treatment:

RCT or extraction of the tooth.

Aiman A. Ali, DDS, PhD.
Periapical inflammation

Periapical
abscess

Periapical
Granuloma
Chronic abscess or
osteomyelitis
Cellulitis

Skin or mucosal sinus
Bacteremia

Periapical
Cyst
Acute Abscess
Etiology:

Acute pulpitis.
 Chronic periapical lesions.


Aiman A. Ali, DDS, PhD.
Acute Abscess
Clinical

Features:

Pain: sever and increases with percussion.
 Non-vital tooth.
 The tooth is slightly extruded in its socket.
 Fever and malaise and regional lymphadenitis.
 Osteomyelitis and swollen of the adjacent area.


Aiman A. Ali, DDS, PhD.
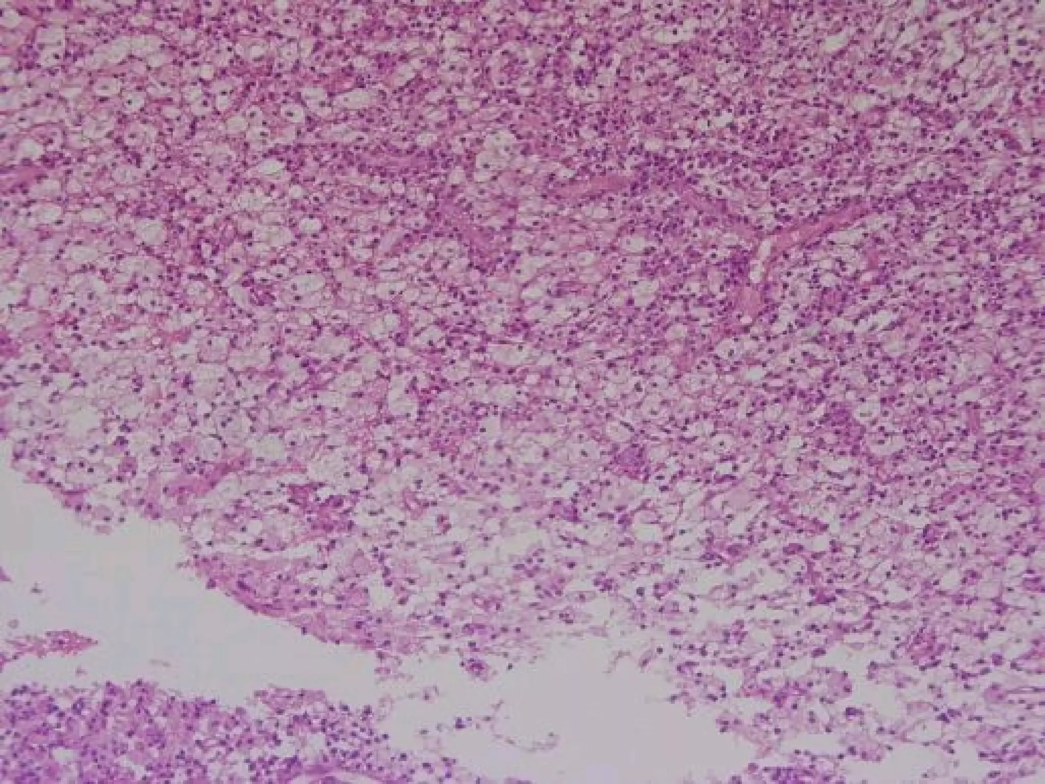
Acute Abscess
 Histopathological


Features:

Zone of liquefaction composed of:
• Exudates.
• Necrotic tissue.
• Dead neutrophils.

Dilated blood vessels.
 Inflammatory [granular cell]
infiltration.


Aiman A. Ali, DDS, PhD.
Acute Abscess
Treatment:

Drainage.
 Administration of antibiotics.
 Supportive treatment.


Aiman A. Ali, DDS, PhD.
Aiman A. Ali, DDS, PhD.
Aiman A. Ali, DDS, PhD.
X-Ray
Pulpitis:

Evaluation of the pulp
champer.
 Evaluation of the periapical
region.


Acute

abscess:

Thickening

of periodontal
membrane.
 Loss of the lamina dura.
Aiman A. Ali, DDS, PhD.
Electrical Pulp Tester





Acute reversible pulpitis.
Acute irreversible pulpitis.
Chronic pulpitis.
Acute abscess.

Aiman A. Ali, DDS, PhD.
Pulpitis

Pulpitis