Cysts of The JawsCysts of The Jaws
Dr. Adel I. AbdelhadyDr. Adel I. Abdelhady
BDS, MSc ( Tanta, Eg.), PhD (Egypt,USABDS, MSc ( Tanta, Eg.), PhD (Egypt,USA((
Ass. Prof. Oral and Maxillofacial surgeryAss. Prof. Oral and Maxillofacial surgery,,
Collage of DentistryCollage of Dentistry
King Faisal UniversityKing Faisal University
Cysts of The JawsCysts of The Jaws
 ObjectivesObjectives
 DefinitionDefinition
 Etiology / PathogenesisEtiology / Pathogenesis
 ClassificationClassification
 InvestigationsInvestigations
 TreatmentTreatment
Cysts of The JawsCysts of The Jaws
 Definition:Definition:
A cyst constitute an epithelium lined
cavity orcavity or sac filled with fluid or semi-fluid
material or gaseous contents, that are not
created by pus
PathogenesisPathogenesis
 Requirement for cyst developmentRequirement for cyst development
a. Source of epitheliuma. Source of epithelium
b. Stimulus for proliferation and cavitationb. Stimulus for proliferation and cavitation
c. Mechanism (s) for continued cyst growthc. Mechanism (s) for continued cyst growth
and accompanying boneand accompanying bone
resorptionresorption
66
ODONTOGENIC CYSTSODONTOGENIC CYSTS
General ConsiderationsGeneral Considerations
 Well-Defined / CorticatedWell-Defined / Corticated
 Usually RadiolucentUsually Radiolucent
 Exception is Gorlin Cyst which may be MixedException is Gorlin Cyst which may be Mixed
 Uni-locular / Sometimes MultilocularUni-locular / Sometimes Multilocular
 Usually Jaws / Occasionally Gingiva orUsually Jaws / Occasionally Gingiva or
soft tissuessoft tissues
 Classification:
 Odontogenic cyst.
 Non-odontogenic cyst.
 Pseudo cyst.
 Retention cyst. This includes ranula and
mucocele.
Cysts of jaws
 Odontogenic
 Developmental
 Dentigerous
 Primordial
 Eruption
 Gingival
 Odontogenic keratocyst
 Calcifying epithelial odontogenic cyst Gorlin’s cyst
 Inflammatory
Radicular cystRadicular cyst
Residual cystResidual cyst
Inflammatory lateral periodontal cystInflammatory lateral periodontal cyst
Non-odontogenic
 Fissural cystsFissural cysts
NasopalatineNasopalatine
NasolabialNasolabial
Median PalatineMedian Palatine
Globulo-maxillaryGlobulo-maxillary
Median mandibularMedian mandibular
 Bone cysts orBone cysts or Pseudocysts
 Solitary bone cyst
 Aneurysmal bone cyst
 Traumatic bone cyst
Non-Odontogenic CystsNon-Odontogenic Cysts
 Soft tissue cystsSoft tissue cysts
Salivary cysts (mucocele)Salivary cysts (mucocele)
Gingival cysts (odontogenic)Gingival cysts (odontogenic)
Dermoid, EpidermoidDermoid, Epidermoid
Branchial cleft cystBranchial cleft cyst
Thyroglossal duct cystThyroglossal duct cyst
I) Odontogenic cysts
 The odontogenic cysts are derived from
epithelium associated with the development
of dental apparatus usually the epithelium
associated with odontogenic cyst is
 Derived from:
 1) A tooth germ.
 2) Reduced enamel epithelium of the tooth
crown
 3) Epithelial rests of Malassez, or
 4) Remnants of the dental lamina.
 These type of cysts may be classified according to the
stage of odontogenesis during
 which they originate into:
 1-Primordial cyst.
 2-Dentigerous cyst.
 3-Periodontal cyst, this can be either
 a) Apical or b) Lateral.
 4) Gingival.
 5) Odontogenic keratocyst.
 6) Keratinizing and calcifying odontogenic cyst.
 7) Residual cyst.
 Most cyst found in the oral cavity are of odontogenic
origin.
II) Non-odontogenic cysts (Fissural
or developmental cysts):
 The epithelium of these cysts are derived from
entrapped epithelium between embryonic
process of bones at the union lines.
 These cysts are classified into:
 a) Nasopalatine cyst.
 b) Median palatal cyst.
 c) Median mandibular cyst.
 d) Nasoalveolar or nasolabial cyst.
 e) Globulomaxillary cyst.
 f) Branchial cleft cyst.
 g) Thyroglossal duct cyst.
III) Pseudo-cyst:
 a) Traumatic bone cyst
 b) Aneurysmal bone cyst.
 c) Salivary gland inclusion disease (Latent
bone cyst or developmental lingual
depression of the mandible or stafen).
VI) Retention cyst: (Mucocele and
ranula).
 All the above mentioned cysts are
presented within the bone (intra-bony)
except the
 following cysts which are presented in the
soft tissue: Gingival cyst, sebaceous cyst,
 thyroglossal duct cyst, nasolabial cyst,
ranula, mucocele, dermoid and
epidermoid
Primordial cyst (Keratocyst(
 This cyst develops through cystic degeneration of the
stellate reticulum in an enamel organ (at a stage before
any calcified tissue “enamel or dentin” has been laid
down).
 Most commonly it is found in place of a tooth rather than
associated with a tooth, but it may be originating from
supernumerary teeth. In such instances, therefore, it can
 be found associated with a tooth (Shafer, 1983).
 Primordial cyst is a clinical term which describe clinical,
radiographic and operative findings. On the other hand,
the term keratocyst is used by histopathologist to
indicate the presence of keratin or parakeratin on the
surface of epithelium
2020
Primordial CystPrimordial Cyst
 Cyst Arising in place of a ToothCyst Arising in place of a Tooth
 MayMay Always Represent OKCAlways Represent OKC
 This is ControversialThis is Controversial
 Recurrence Potential Low Unless OKCRecurrence Potential Low Unless OKC
Clinically
 Male is affected more than
female.
Very rarely this cyst cause resorption
of the roots.
 Swelling, bone expansion and
displacement of the adjacent
teeth. Expansion is delayed until
the cortex is perforated, because
it tend to extend into the medullary
cavity.
 If the cyst occur in the maxilla,
considerable enlargement into the
maxillary sinus may occur before
noticeable jaw enlargement takes
place.
 The lesion is not painful
(asymptomatic) unless secondary
infected.
 The abnormality is often
discovered during routine
radiographic examination. No
numbness or parat Solitary
bone cyst. hesia of the lip occur
unless secondary infected
 Age: Any age can be affected,
but some specified the period
during the second and third
decades to have a peak
incidence.
 Site: Mandible is more
affected than maxilla. Most
lesions (50%) occur in the
angle and ramus of the
mandible and may extend for
varying distances into the
ascending ramus, but any other
site may be involved including
the midline and any part of the
maxilla.
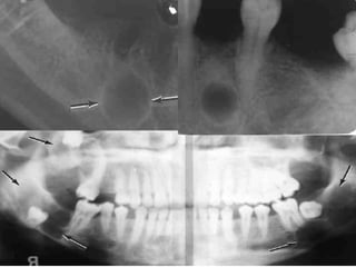
Radiographic appearance
 The characteristic radiographic
feature is well circumscribed
radiolucent area (round or ovoid,
unilocular or multilocular) with
sclerotic border in place of normal
tooth
 The cyst, however may enlarge
and envelop un-erupted tooth and
produce a dentigerous appearance
 The multilocular primordial cyst can
not be distinguished from
ameloblastoma on radiological
 examination only and biopsy is
necessary before treatment is
planned (Killey et al.,1977)
 The cyst content is very diagnostic
as it usually contains keratin,
therefore aspiration using a wide
bore needle is necessary as it is
valuable diagnostic aid.
 Total protein may be estimated
in this keratin and will be found
to be below 4 gm /100 ml.
Recurrence of this cyst is very
high which may result from
failure to remove active
epithelial residues. Recurrence
may be 40% or as high as 60%.
Because the
 Due to thin lining , daughter cyst
in the cyst lining
 cyst penetrate the cortex and
the sub-periosteal new bone,
any attempt to remove the
periosteum from the fragile cyst
lining result in perforation of the
wall and tear in the lining and
fragment may be left behind
recurrence may occur .
Dentigerous cyst:
 Development: This cyst originates through the
breakdown of the stellate reticulum of enamel
organ after formation of the crown
 It is formed in relation of normal permanent
teeth, but may be associated with a
supernumerary teeth or a complex or composite
odontome
 Clinically: The incidence of the dentigerous cyst
appear to be equal in both sexes.
 Progressive facial asymmetry may be present.
 Missing teeth unless unsuspected supernumerary
teeth or complex odontome is responsible.
 Displacement of adjacent teeth may be found and
the tooth of origin may migrate a considerable
distance due to pressure (in the mandible, it may
reach the inferior border of the mandible or the
mandibular notch, and in the maxilla it may be as
high as the orbit).
 It is not painful unless secondary infected.
 It may cause root resorption.
 The most common site is lower third molars,
upper canines, lower premolar and upper third
molar.
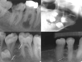
Radiographic features
 This cyst is evidenced in the
radiograph by widening of the
pericoronal space that
 reached 2.5 mm in width It
appears as radiolucent area
associated
with the crown of the un-erupted
tooth. This radiolucency may
be unilocular or multilocular in
appearance. If multicysts are
recognized, care should be
taken to rule out the possible
occurrence of odontogenic
cyst basal cell nevus bifid rib
syndrome.
 Potential complication:
 The developmental of ameloblastoma
(mural ameloblastoma) from the lining
epithelium, or from the rest of odontogenic
epithelium.
 The developmental of epidermoid
carcinoma from the lining epithelium
Eruption CystEruption Cyst
 Cyst Associated with Erupting ToothCyst Associated with Erupting Tooth
 Soft Tissue Swelling Over CrownSoft Tissue Swelling Over Crown
 Histology Same as Dentigerous CystHistology Same as Dentigerous Cyst
 Excise or Unroof with no RecurrenceExcise or Unroof with no Recurrence
Periodontal cyst
 This may be either apical periodontal cyst
“appear as radiolucent area at the apex of
the tooth”, or lateral periodontal cyst
“appear as radiolucent area along the
lateral surface of the root”.
 The pulp of the tooth becomes necrosed
as a result of gross caries, pulp exposure
during cavity preparation or trauma which
damage the apical blood supply.
 The radicular cyst is the most common cyst andThe radicular cyst is the most common cyst and
is frequently classified as an inflammatory cyst.is frequently classified as an inflammatory cyst.
It has its origin from the cell rests of MalassezIt has its origin from the cell rests of Malassez
which are present in periodontal andwhich are present in periodontal and
 periapical ligament, and in periapicalperiapical ligament, and in periapical
granulomas. The main cause of the cyst isgranulomas. The main cause of the cyst is
infection from the crown of a carious toothinfection from the crown of a carious tooth
producing an inflammatory reaction at the toothproducing an inflammatory reaction at the tooth
apex and sensitivity to percussion.apex and sensitivity to percussion.
 forming a granuloma. The liquefaction of the apical granulomaforming a granuloma. The liquefaction of the apical granuloma
produces a radicular cyst.produces a radicular cyst.
 The pulp of the involved tooth is degenerated and the tooth isThe pulp of the involved tooth is degenerated and the tooth is
nonvital. In a multirooted tooth where only one root isnonvital. In a multirooted tooth where only one root is
associated with the pulpo-periapical pathosis, the tooth willassociated with the pulpo-periapical pathosis, the tooth will
 frequently give a vital reaction. Initially, the patient may have hadfrequently give a vital reaction. Initially, the patient may have had
pain from the pulpitis andpain from the pulpitis and
 this is followed by a period without symptoms when the cyst isthis is followed by a period without symptoms when the cyst is
formed. Therefore, whenformed. Therefore, when
 radicular cysts are found they are usually painless but mayradicular cysts are found they are usually painless but may
sometimes exhibit mild painsometimes exhibit mild pain
Clinically:
 At first it presents as hard swelling, but
with time the swelling enlarge and an
egg shell crack can be felt and fistula
may be formed through the alveolar
bone (killey et al, 1977).
 M=F
 It may occur in deciduous as well as
permanent teeth.
 In adult it may occur at the fourth
decades.
 Teeth mobility are seen in some cases.
 Radiographic features:
 Small well circumscribed radiolucent
area with definite border and surrounded
by a thin layer of sclerotic bone at the
apical or lateral surface of the root,
usually less than 1 cm in diameter.
Residual Cyst.
 This is a term applied for cyst which remains
after or subsequent to teeth extraction or
following a surgical procedure. It may also result
after incomplete removal of a peri-apical cyst or
a granuloma. Mostly it occurs in an edentulous
area and in patients over 20 years of age.
 Differential diagnosis:
 Primordial cyst, keratocyst and traumatic bone
cyst.
Odontogenic KeratocystOdontogenic Keratocyst
 11% of jaw cysts11% of jaw cysts
 May mimic any of the other cystsMay mimic any of the other cysts
 Most often in mandibular ramus andMost often in mandibular ramus and
angleangle
 RadiographicallyRadiographically
 Well-marginated, radiolucencyWell-marginated, radiolucency
 Pericoronal, inter-radicular, or pericoronalPericoronal, inter-radicular, or pericoronal
 MultilocularMultilocular
3737
Odontogenic KeratocystOdontogenic Keratocyst
- Radiographic- Radiographic--
 Well-Defined / CorticatedWell-Defined / Corticated
 RadiolucentRadiolucent
 Any LocationAny Location
MultilocularMultilocular Unilocular Inter-RadicularUnilocular Inter-Radicular
PericoronalPericoronal
Odontogenic keratocyst
 Many cysts may show keratinization of the epithelium
lining including nonodontogenic cyst such as fissural
cyst, but odontogenic keratocyst is common in primordial
and dentigerous cysts.
 The problem with type of cyst is its tendency to reoccur,
so a follow up period of a minimum of five years is
indicated in this type of lesions.
 The possible reasons for recurrence are the thin and
delicate cyst lining and
 during surgery fragments may be retained. also the
perforation of the cortical bone, especially in the ramus
area, is common and this complicate total removal of the
lesion (Killey et al. 1977, and Gibilisco, 1985).
Odontogenic keratocyst
 Clinically: Swelling and
bone expansion may
be present. It may
occur at any age and
the mandible is more
susceptible than
maxilla.
 Multiple keratocysts
occurs with some
frequency in basal cell
nevus bifid rib
syndrome.
 Radiographic features:
 Unilocular or multilocular radiolucency with
a thin sclerotic border. Resorption of the
root adjacent teeth may sometime be
present.
4242
Odontogenic KeratocystOdontogenic Keratocyst
TreatmentTreatment
 Thorough Enucleation and CurettageThorough Enucleation and Curettage
 May Require Resection for CureMay Require Resection for Cure
 High Recurrence RateHigh Recurrence Rate (>30 %)(>30 %)
 ““Orthokeratinized” Variation May HaveOrthokeratinized” Variation May Have
Lower Recurrence Potential thanLower Recurrence Potential than
parakeratinizedparakeratinized
Gorlin SyndromeGorlin Syndrome
Bifid Rib-Basal Cell “Nevus” SyndromeBifid Rib-Basal Cell “Nevus” Syndrome
 Bifid Rib-Basal Cell “Nevus” SyndromeBifid Rib-Basal Cell “Nevus” Syndrome
 Features:Features:
 Multiple OKC’s of JawsMultiple OKC’s of Jaws
 Multiple Basal Cell “Nevi” / CarcinomasMultiple Basal Cell “Nevi” / Carcinomas
 Skeletal Anomalies including Bifid RibsSkeletal Anomalies including Bifid Ribs
and Calcification of the Falxand Calcification of the Falx
 Risk of Other Tumors: MeduloblastomasRisk of Other Tumors: Meduloblastomas
 Same Recurrence Problem as otherSame Recurrence Problem as other
OKC’sOKC’s
4444Calcification of Falx
Skin Basal Cell “Nevi”
Multiple OKC’s
Gorlin SyndromeGorlin Syndrome
-Bifid Rib-Basal Cell “Nevus” Syndrome-Bifid Rib-Basal Cell “Nevus” Syndrome--
Bifid Ribs
Nevoid Basal Cell Carcinoma Syndrome
 The nevoid basal cell carcinoma syndrome (basal
cell nevus syndrome, Gorlin’s syndrome) is an
autosomal-dominant inherited condition that
exhibits high penetrance and variable expressivity.
 Affected patients (may demonstrate frontal and
temporoparietal bossing, hypertelorism, and
mandibular prognathism
 Other frequent skeletal anomalies include bifid
ribs and lamellar calcification of the falx cerebri.
 This 18-year-old shows some of the clinical features of the nevoid
basal cell carcinoma syndrome including frontal bossing and
mandibular prognathism. B, The radiograph from another patient
shows a calcified falx cerebri.
 The most significant clinical feature is the
tendency to develop multiple basal cell
carcinomas that may affect both exposed and
non–sun-exposed areas of the skin. Pitting
defects on the palms and soles can be found in
nearly two-thirds of affected patients.
 The discovery of multiple odontogenic
keratocysts is usually the first manifestation of the
syndrome that leads to the diagnosis. For this
reason, any patient with an odontogenic
keratocyst should be evaluated for this condition.
 Plantar pitting can be observed
by immersing the foot in
povidone-iodine solution followed
by a conservative wash of the
foot with saline. The solution is
taken up in the pits present in the
plantar surface of the foot.
 The patient in Figure 30-10A had previously undergone three enucleation and
curettage surgeries for bilateral maxillary odontogenic keratocysts. A,
Development of new large cysts in this area led to additional treatment with
marsupialization. B, Six months later the axial computed tomography shows
regression of the cysts.
Calcifying Odontogenic CystCalcifying Odontogenic Cyst
(Gorlin Cyst / COC(Gorlin Cyst / COC((
 Usually Well-Defined and RadiolucentUsually Well-Defined and Radiolucent
 May have Opacity (“Calcifying”)May have Opacity (“Calcifying”)
 Uni- or MultilocularUni- or Multilocular
 May Occur in Gingiva (13-21%)May Occur in Gingiva (13-21%)
 Some Consider as “Cystic Neoplasm”Some Consider as “Cystic Neoplasm”
 Seen with Odontomas and other OdontogenicSeen with Odontomas and other Odontogenic
NeoplasmsNeoplasms
 Treated by EnucleationTreated by Enucleation
 Some Higher Recurrence PotentialSome Higher Recurrence Potential
Calcifying EpithelialCalcifying Epithelial
Odontogenic Cyst Gorlin CystOdontogenic Cyst Gorlin Cyst
Calcifying Odontogenic CystCalcifying Odontogenic Cyst
(Gorlin Cyst / COC(Gorlin Cyst / COC((
 This calcifying odontogenic cyst
appears as a mixed
radiolucent/radiopaque lesion on
the occlusal radiograph. B, This
patient underwent enucleation
and curettage of the lesion. C, The
histopathology shows
characteristic ghost cells
(hematoxylin and eosin; original
magnification ×40).
TRAUMATIC BONE CYST (Simple bone cyst,
Hemorrhagic cyst, Intraosseous
 hematoma, Idiopathic bone cyst, Extravasation bone cyst,
Solitary bone cyst(
 Traumatic bone cyst, also known as simple bone cyst, is not
classified as a true cyst
 because the lesion lacks an epithelial lining. The pathogenesis of
this pseudocyst is not known. Many pathologists believe the lesion
is a sequela of trauma.
 Trauma produces hemorrhage within the medullary spaces of bone.
In a normal case, the blood clot (hematoma) gets organized to form
connective tissue and then new bone. However, if the blood clot for
some reason fails to organize, the clot degenerates and forms an
empty cavity or a cavity sparsely filled with some serosanguineous
fluid and blood clots.
 It is then called a traumatic bone cyst. Most patients are unable to
recall any past history of a traumatic injury to the jaws.
 Traumatic bone cyst is a painless lesion having no signs and
symptoms, and normally does not produce cortical bone expansion.
The lesion shows a strong predilection for adolescents and
individuals under 40 years of age. The most frequent site of
occurrence is the mandibular posterior region and to a lesser extent
the mandibular anterior region.
 Another relatively frequent site is the humerus and other long
bones. The involved teeth are vital.
 The traumatic bone cyst is usually discovered incidentally on
radiographic examination.
 The lesion appears as a well-delineated radiolucency with a
radiopaque border.
 When the radiolucency is adjacent to the roots of teeth, it has a
scalloped appearance extending between the roots. The teeth are
not displaced, and the lamina dura and periodontal ligament space
appear intact.
 If the lesion occurs in areas not associated with the roots of teeth,
the well-defined radiolucency may be round or ovoid.
Aneurysmal bone cyst
 Aneurysmal bone cyst is not classified as
a true bony cyst because the lesion does
not have an epithelial lining.
 The lesion consists of fibrous connective
tissue stroma containing many cavernous
or sinusoidal blood-filled spaces. The
rapid growth of the lesion produces
expansion of the cortical plates but does
not destroy them.
 The tender painful swelling produces a marked deformity. The
swelling is non-pulsatile and on auscultation, no bruit is heard. If the
lesion is an aneurysmal bone cyst, blood can be aspirated with a
syringe.
 The lesion may hemorrhage profusely at the time of surgery but
may not create any problem because the blood is not under a great
degree of pressure.
 On a radiograph, the lesion appears as a well-circumscribed
unilocular or multilocular cystic lesion causing expansion of cortical
plates and resulting in a ballooning or "blow-out" appearance.
 The radiolucency is traversed by thin septa, giving it a soap bubble
appearance. The teeth are vital and may sometimes be displaced
with or without concomitant external root resorption
InvestigationsInvestigations
 Clinical examinationClinical examination
1-Swelling1-Swelling
2-Egg shell crackling2-Egg shell crackling
3-Fluctuation3-Fluctuation
4-Displaced/loose/non-vital teeth, or absence of4-Displaced/loose/non-vital teeth, or absence of
toothtooth
5-Dull sound on tooth percussion5-Dull sound on tooth percussion
6-Aspiration6-Aspiration
 RadiographyRadiography
Residual CystResidual Cyst
Primordial CystPrimordial Cyst
Dentigerous CystDentigerous Cyst
Radicular CystRadicular Cyst
Lateral Periodontal CystLateral Periodontal Cyst
Residual CystResidual Cyst
Odontogenic KeratocystOdontogenic Keratocyst
Paradental CystParadental Cyst
Globulomaxillary CystGlobulomaxillary Cyst
Nasopalatine CystNasopalatine Cyst
Simple Bone CystSimple Bone Cyst
Stafne Bone CavityStafne Bone Cavity
CystCyst??
Basal Cell Nevus SyndromeBasal Cell Nevus Syndrome
TreatmentTreatment
 MarsupialisationMarsupialisation
 Marsupialisation followed by enucleationMarsupialisation followed by enucleation
 EnucleationEnucleation
 Decompression followed by enucleationDecompression followed by enucleation
Odontogenic Cysts
Odontogenic Cysts
Odontogenic Cysts
Odontogenic Cysts
Odontogenic Cysts
Odontogenic Cysts

Odontogenic Cysts

  • 2.
    Cysts of TheJawsCysts of The Jaws Dr. Adel I. AbdelhadyDr. Adel I. Abdelhady BDS, MSc ( Tanta, Eg.), PhD (Egypt,USABDS, MSc ( Tanta, Eg.), PhD (Egypt,USA(( Ass. Prof. Oral and Maxillofacial surgeryAss. Prof. Oral and Maxillofacial surgery,, Collage of DentistryCollage of Dentistry King Faisal UniversityKing Faisal University
  • 3.
    Cysts of TheJawsCysts of The Jaws  ObjectivesObjectives  DefinitionDefinition  Etiology / PathogenesisEtiology / Pathogenesis  ClassificationClassification  InvestigationsInvestigations  TreatmentTreatment
  • 4.
    Cysts of TheJawsCysts of The Jaws  Definition:Definition: A cyst constitute an epithelium lined cavity orcavity or sac filled with fluid or semi-fluid material or gaseous contents, that are not created by pus
  • 5.
    PathogenesisPathogenesis  Requirement forcyst developmentRequirement for cyst development a. Source of epitheliuma. Source of epithelium b. Stimulus for proliferation and cavitationb. Stimulus for proliferation and cavitation c. Mechanism (s) for continued cyst growthc. Mechanism (s) for continued cyst growth and accompanying boneand accompanying bone resorptionresorption
  • 6.
    66 ODONTOGENIC CYSTSODONTOGENIC CYSTS GeneralConsiderationsGeneral Considerations  Well-Defined / CorticatedWell-Defined / Corticated  Usually RadiolucentUsually Radiolucent  Exception is Gorlin Cyst which may be MixedException is Gorlin Cyst which may be Mixed  Uni-locular / Sometimes MultilocularUni-locular / Sometimes Multilocular  Usually Jaws / Occasionally Gingiva orUsually Jaws / Occasionally Gingiva or soft tissuessoft tissues
  • 7.
     Classification:  Odontogeniccyst.  Non-odontogenic cyst.  Pseudo cyst.  Retention cyst. This includes ranula and mucocele.
  • 8.
    Cysts of jaws Odontogenic  Developmental  Dentigerous  Primordial  Eruption  Gingival  Odontogenic keratocyst  Calcifying epithelial odontogenic cyst Gorlin’s cyst  Inflammatory Radicular cystRadicular cyst Residual cystResidual cyst Inflammatory lateral periodontal cystInflammatory lateral periodontal cyst
  • 9.
    Non-odontogenic  Fissural cystsFissuralcysts NasopalatineNasopalatine NasolabialNasolabial Median PalatineMedian Palatine Globulo-maxillaryGlobulo-maxillary Median mandibularMedian mandibular  Bone cysts orBone cysts or Pseudocysts  Solitary bone cyst  Aneurysmal bone cyst  Traumatic bone cyst
  • 10.
    Non-Odontogenic CystsNon-Odontogenic Cysts Soft tissue cystsSoft tissue cysts Salivary cysts (mucocele)Salivary cysts (mucocele) Gingival cysts (odontogenic)Gingival cysts (odontogenic) Dermoid, EpidermoidDermoid, Epidermoid Branchial cleft cystBranchial cleft cyst Thyroglossal duct cystThyroglossal duct cyst
  • 11.
    I) Odontogenic cysts The odontogenic cysts are derived from epithelium associated with the development of dental apparatus usually the epithelium associated with odontogenic cyst is  Derived from:  1) A tooth germ.  2) Reduced enamel epithelium of the tooth crown  3) Epithelial rests of Malassez, or  4) Remnants of the dental lamina.
  • 12.
     These typeof cysts may be classified according to the stage of odontogenesis during  which they originate into:  1-Primordial cyst.  2-Dentigerous cyst.  3-Periodontal cyst, this can be either  a) Apical or b) Lateral.  4) Gingival.  5) Odontogenic keratocyst.  6) Keratinizing and calcifying odontogenic cyst.  7) Residual cyst.  Most cyst found in the oral cavity are of odontogenic origin.
  • 13.
    II) Non-odontogenic cysts(Fissural or developmental cysts):  The epithelium of these cysts are derived from entrapped epithelium between embryonic process of bones at the union lines.  These cysts are classified into:  a) Nasopalatine cyst.  b) Median palatal cyst.  c) Median mandibular cyst.  d) Nasoalveolar or nasolabial cyst.  e) Globulomaxillary cyst.  f) Branchial cleft cyst.  g) Thyroglossal duct cyst.
  • 14.
    III) Pseudo-cyst:  a)Traumatic bone cyst  b) Aneurysmal bone cyst.  c) Salivary gland inclusion disease (Latent bone cyst or developmental lingual depression of the mandible or stafen).
  • 15.
    VI) Retention cyst:(Mucocele and ranula).  All the above mentioned cysts are presented within the bone (intra-bony) except the  following cysts which are presented in the soft tissue: Gingival cyst, sebaceous cyst,  thyroglossal duct cyst, nasolabial cyst, ranula, mucocele, dermoid and epidermoid
  • 16.
    Primordial cyst (Keratocyst( This cyst develops through cystic degeneration of the stellate reticulum in an enamel organ (at a stage before any calcified tissue “enamel or dentin” has been laid down).  Most commonly it is found in place of a tooth rather than associated with a tooth, but it may be originating from supernumerary teeth. In such instances, therefore, it can  be found associated with a tooth (Shafer, 1983).  Primordial cyst is a clinical term which describe clinical, radiographic and operative findings. On the other hand, the term keratocyst is used by histopathologist to indicate the presence of keratin or parakeratin on the surface of epithelium
  • 20.
    2020 Primordial CystPrimordial Cyst Cyst Arising in place of a ToothCyst Arising in place of a Tooth  MayMay Always Represent OKCAlways Represent OKC  This is ControversialThis is Controversial  Recurrence Potential Low Unless OKCRecurrence Potential Low Unless OKC
  • 21.
    Clinically  Male isaffected more than female. Very rarely this cyst cause resorption of the roots.  Swelling, bone expansion and displacement of the adjacent teeth. Expansion is delayed until the cortex is perforated, because it tend to extend into the medullary cavity.  If the cyst occur in the maxilla, considerable enlargement into the maxillary sinus may occur before noticeable jaw enlargement takes place.  The lesion is not painful (asymptomatic) unless secondary infected.  The abnormality is often discovered during routine radiographic examination. No numbness or parat Solitary bone cyst. hesia of the lip occur unless secondary infected  Age: Any age can be affected, but some specified the period during the second and third decades to have a peak incidence.  Site: Mandible is more affected than maxilla. Most lesions (50%) occur in the angle and ramus of the mandible and may extend for varying distances into the ascending ramus, but any other site may be involved including the midline and any part of the maxilla.
  • 22.
    Radiographic appearance  Thecharacteristic radiographic feature is well circumscribed radiolucent area (round or ovoid, unilocular or multilocular) with sclerotic border in place of normal tooth  The cyst, however may enlarge and envelop un-erupted tooth and produce a dentigerous appearance  The multilocular primordial cyst can not be distinguished from ameloblastoma on radiological  examination only and biopsy is necessary before treatment is planned (Killey et al.,1977)  The cyst content is very diagnostic as it usually contains keratin, therefore aspiration using a wide bore needle is necessary as it is valuable diagnostic aid.  Total protein may be estimated in this keratin and will be found to be below 4 gm /100 ml. Recurrence of this cyst is very high which may result from failure to remove active epithelial residues. Recurrence may be 40% or as high as 60%. Because the  Due to thin lining , daughter cyst in the cyst lining  cyst penetrate the cortex and the sub-periosteal new bone, any attempt to remove the periosteum from the fragile cyst lining result in perforation of the wall and tear in the lining and fragment may be left behind recurrence may occur .
  • 23.
    Dentigerous cyst:  Development:This cyst originates through the breakdown of the stellate reticulum of enamel organ after formation of the crown  It is formed in relation of normal permanent teeth, but may be associated with a supernumerary teeth or a complex or composite odontome  Clinically: The incidence of the dentigerous cyst appear to be equal in both sexes.  Progressive facial asymmetry may be present.
  • 24.
     Missing teethunless unsuspected supernumerary teeth or complex odontome is responsible.  Displacement of adjacent teeth may be found and the tooth of origin may migrate a considerable distance due to pressure (in the mandible, it may reach the inferior border of the mandible or the mandibular notch, and in the maxilla it may be as high as the orbit).  It is not painful unless secondary infected.  It may cause root resorption.  The most common site is lower third molars, upper canines, lower premolar and upper third molar.
  • 25.
    Radiographic features  Thiscyst is evidenced in the radiograph by widening of the pericoronal space that  reached 2.5 mm in width It appears as radiolucent area associated with the crown of the un-erupted tooth. This radiolucency may be unilocular or multilocular in appearance. If multicysts are recognized, care should be taken to rule out the possible occurrence of odontogenic cyst basal cell nevus bifid rib syndrome.
  • 27.
     Potential complication: The developmental of ameloblastoma (mural ameloblastoma) from the lining epithelium, or from the rest of odontogenic epithelium.  The developmental of epidermoid carcinoma from the lining epithelium
  • 28.
    Eruption CystEruption Cyst Cyst Associated with Erupting ToothCyst Associated with Erupting Tooth  Soft Tissue Swelling Over CrownSoft Tissue Swelling Over Crown  Histology Same as Dentigerous CystHistology Same as Dentigerous Cyst  Excise or Unroof with no RecurrenceExcise or Unroof with no Recurrence
  • 29.
    Periodontal cyst  Thismay be either apical periodontal cyst “appear as radiolucent area at the apex of the tooth”, or lateral periodontal cyst “appear as radiolucent area along the lateral surface of the root”.  The pulp of the tooth becomes necrosed as a result of gross caries, pulp exposure during cavity preparation or trauma which damage the apical blood supply.
  • 30.
     The radicularcyst is the most common cyst andThe radicular cyst is the most common cyst and is frequently classified as an inflammatory cyst.is frequently classified as an inflammatory cyst. It has its origin from the cell rests of MalassezIt has its origin from the cell rests of Malassez which are present in periodontal andwhich are present in periodontal and  periapical ligament, and in periapicalperiapical ligament, and in periapical granulomas. The main cause of the cyst isgranulomas. The main cause of the cyst is infection from the crown of a carious toothinfection from the crown of a carious tooth producing an inflammatory reaction at the toothproducing an inflammatory reaction at the tooth apex and sensitivity to percussion.apex and sensitivity to percussion.
  • 31.
     forming agranuloma. The liquefaction of the apical granulomaforming a granuloma. The liquefaction of the apical granuloma produces a radicular cyst.produces a radicular cyst.  The pulp of the involved tooth is degenerated and the tooth isThe pulp of the involved tooth is degenerated and the tooth is nonvital. In a multirooted tooth where only one root isnonvital. In a multirooted tooth where only one root is associated with the pulpo-periapical pathosis, the tooth willassociated with the pulpo-periapical pathosis, the tooth will  frequently give a vital reaction. Initially, the patient may have hadfrequently give a vital reaction. Initially, the patient may have had pain from the pulpitis andpain from the pulpitis and  this is followed by a period without symptoms when the cyst isthis is followed by a period without symptoms when the cyst is formed. Therefore, whenformed. Therefore, when  radicular cysts are found they are usually painless but mayradicular cysts are found they are usually painless but may sometimes exhibit mild painsometimes exhibit mild pain
  • 32.
    Clinically:  At firstit presents as hard swelling, but with time the swelling enlarge and an egg shell crack can be felt and fistula may be formed through the alveolar bone (killey et al, 1977).  M=F  It may occur in deciduous as well as permanent teeth.  In adult it may occur at the fourth decades.  Teeth mobility are seen in some cases.  Radiographic features:  Small well circumscribed radiolucent area with definite border and surrounded by a thin layer of sclerotic bone at the apical or lateral surface of the root, usually less than 1 cm in diameter.
  • 34.
    Residual Cyst.  Thisis a term applied for cyst which remains after or subsequent to teeth extraction or following a surgical procedure. It may also result after incomplete removal of a peri-apical cyst or a granuloma. Mostly it occurs in an edentulous area and in patients over 20 years of age.  Differential diagnosis:  Primordial cyst, keratocyst and traumatic bone cyst.
  • 36.
    Odontogenic KeratocystOdontogenic Keratocyst 11% of jaw cysts11% of jaw cysts  May mimic any of the other cystsMay mimic any of the other cysts  Most often in mandibular ramus andMost often in mandibular ramus and angleangle  RadiographicallyRadiographically  Well-marginated, radiolucencyWell-marginated, radiolucency  Pericoronal, inter-radicular, or pericoronalPericoronal, inter-radicular, or pericoronal  MultilocularMultilocular
  • 37.
    3737 Odontogenic KeratocystOdontogenic Keratocyst -Radiographic- Radiographic--  Well-Defined / CorticatedWell-Defined / Corticated  RadiolucentRadiolucent  Any LocationAny Location MultilocularMultilocular Unilocular Inter-RadicularUnilocular Inter-Radicular PericoronalPericoronal
  • 38.
    Odontogenic keratocyst  Manycysts may show keratinization of the epithelium lining including nonodontogenic cyst such as fissural cyst, but odontogenic keratocyst is common in primordial and dentigerous cysts.  The problem with type of cyst is its tendency to reoccur, so a follow up period of a minimum of five years is indicated in this type of lesions.  The possible reasons for recurrence are the thin and delicate cyst lining and  during surgery fragments may be retained. also the perforation of the cortical bone, especially in the ramus area, is common and this complicate total removal of the lesion (Killey et al. 1977, and Gibilisco, 1985).
  • 39.
    Odontogenic keratocyst  Clinically:Swelling and bone expansion may be present. It may occur at any age and the mandible is more susceptible than maxilla.  Multiple keratocysts occurs with some frequency in basal cell nevus bifid rib syndrome.
  • 40.
     Radiographic features: Unilocular or multilocular radiolucency with a thin sclerotic border. Resorption of the root adjacent teeth may sometime be present.
  • 42.
    4242 Odontogenic KeratocystOdontogenic Keratocyst TreatmentTreatment Thorough Enucleation and CurettageThorough Enucleation and Curettage  May Require Resection for CureMay Require Resection for Cure  High Recurrence RateHigh Recurrence Rate (>30 %)(>30 %)  ““Orthokeratinized” Variation May HaveOrthokeratinized” Variation May Have Lower Recurrence Potential thanLower Recurrence Potential than parakeratinizedparakeratinized
  • 43.
    Gorlin SyndromeGorlin Syndrome BifidRib-Basal Cell “Nevus” SyndromeBifid Rib-Basal Cell “Nevus” Syndrome  Bifid Rib-Basal Cell “Nevus” SyndromeBifid Rib-Basal Cell “Nevus” Syndrome  Features:Features:  Multiple OKC’s of JawsMultiple OKC’s of Jaws  Multiple Basal Cell “Nevi” / CarcinomasMultiple Basal Cell “Nevi” / Carcinomas  Skeletal Anomalies including Bifid RibsSkeletal Anomalies including Bifid Ribs and Calcification of the Falxand Calcification of the Falx  Risk of Other Tumors: MeduloblastomasRisk of Other Tumors: Meduloblastomas  Same Recurrence Problem as otherSame Recurrence Problem as other OKC’sOKC’s
  • 44.
    4444Calcification of Falx SkinBasal Cell “Nevi” Multiple OKC’s Gorlin SyndromeGorlin Syndrome -Bifid Rib-Basal Cell “Nevus” Syndrome-Bifid Rib-Basal Cell “Nevus” Syndrome-- Bifid Ribs
  • 45.
    Nevoid Basal CellCarcinoma Syndrome  The nevoid basal cell carcinoma syndrome (basal cell nevus syndrome, Gorlin’s syndrome) is an autosomal-dominant inherited condition that exhibits high penetrance and variable expressivity.  Affected patients (may demonstrate frontal and temporoparietal bossing, hypertelorism, and mandibular prognathism  Other frequent skeletal anomalies include bifid ribs and lamellar calcification of the falx cerebri.
  • 46.
     This 18-year-oldshows some of the clinical features of the nevoid basal cell carcinoma syndrome including frontal bossing and mandibular prognathism. B, The radiograph from another patient shows a calcified falx cerebri.
  • 47.
     The mostsignificant clinical feature is the tendency to develop multiple basal cell carcinomas that may affect both exposed and non–sun-exposed areas of the skin. Pitting defects on the palms and soles can be found in nearly two-thirds of affected patients.  The discovery of multiple odontogenic keratocysts is usually the first manifestation of the syndrome that leads to the diagnosis. For this reason, any patient with an odontogenic keratocyst should be evaluated for this condition.
  • 48.
     Plantar pittingcan be observed by immersing the foot in povidone-iodine solution followed by a conservative wash of the foot with saline. The solution is taken up in the pits present in the plantar surface of the foot.
  • 49.
     The patientin Figure 30-10A had previously undergone three enucleation and curettage surgeries for bilateral maxillary odontogenic keratocysts. A, Development of new large cysts in this area led to additional treatment with marsupialization. B, Six months later the axial computed tomography shows regression of the cysts.
  • 53.
    Calcifying Odontogenic CystCalcifyingOdontogenic Cyst (Gorlin Cyst / COC(Gorlin Cyst / COC((  Usually Well-Defined and RadiolucentUsually Well-Defined and Radiolucent  May have Opacity (“Calcifying”)May have Opacity (“Calcifying”)  Uni- or MultilocularUni- or Multilocular  May Occur in Gingiva (13-21%)May Occur in Gingiva (13-21%)  Some Consider as “Cystic Neoplasm”Some Consider as “Cystic Neoplasm”  Seen with Odontomas and other OdontogenicSeen with Odontomas and other Odontogenic NeoplasmsNeoplasms  Treated by EnucleationTreated by Enucleation  Some Higher Recurrence PotentialSome Higher Recurrence Potential
  • 54.
    Calcifying EpithelialCalcifying Epithelial OdontogenicCyst Gorlin CystOdontogenic Cyst Gorlin Cyst
  • 55.
    Calcifying Odontogenic CystCalcifyingOdontogenic Cyst (Gorlin Cyst / COC(Gorlin Cyst / COC((
  • 56.
     This calcifyingodontogenic cyst appears as a mixed radiolucent/radiopaque lesion on the occlusal radiograph. B, This patient underwent enucleation and curettage of the lesion. C, The histopathology shows characteristic ghost cells (hematoxylin and eosin; original magnification ×40).
  • 71.
    TRAUMATIC BONE CYST(Simple bone cyst, Hemorrhagic cyst, Intraosseous  hematoma, Idiopathic bone cyst, Extravasation bone cyst, Solitary bone cyst(  Traumatic bone cyst, also known as simple bone cyst, is not classified as a true cyst  because the lesion lacks an epithelial lining. The pathogenesis of this pseudocyst is not known. Many pathologists believe the lesion is a sequela of trauma.  Trauma produces hemorrhage within the medullary spaces of bone. In a normal case, the blood clot (hematoma) gets organized to form connective tissue and then new bone. However, if the blood clot for some reason fails to organize, the clot degenerates and forms an empty cavity or a cavity sparsely filled with some serosanguineous fluid and blood clots.  It is then called a traumatic bone cyst. Most patients are unable to recall any past history of a traumatic injury to the jaws.
  • 72.
     Traumatic bonecyst is a painless lesion having no signs and symptoms, and normally does not produce cortical bone expansion. The lesion shows a strong predilection for adolescents and individuals under 40 years of age. The most frequent site of occurrence is the mandibular posterior region and to a lesser extent the mandibular anterior region.  Another relatively frequent site is the humerus and other long bones. The involved teeth are vital.  The traumatic bone cyst is usually discovered incidentally on radiographic examination.  The lesion appears as a well-delineated radiolucency with a radiopaque border.  When the radiolucency is adjacent to the roots of teeth, it has a scalloped appearance extending between the roots. The teeth are not displaced, and the lamina dura and periodontal ligament space appear intact.  If the lesion occurs in areas not associated with the roots of teeth, the well-defined radiolucency may be round or ovoid.
  • 76.
    Aneurysmal bone cyst Aneurysmal bone cyst is not classified as a true bony cyst because the lesion does not have an epithelial lining.  The lesion consists of fibrous connective tissue stroma containing many cavernous or sinusoidal blood-filled spaces. The rapid growth of the lesion produces expansion of the cortical plates but does not destroy them.
  • 77.
     The tenderpainful swelling produces a marked deformity. The swelling is non-pulsatile and on auscultation, no bruit is heard. If the lesion is an aneurysmal bone cyst, blood can be aspirated with a syringe.  The lesion may hemorrhage profusely at the time of surgery but may not create any problem because the blood is not under a great degree of pressure.  On a radiograph, the lesion appears as a well-circumscribed unilocular or multilocular cystic lesion causing expansion of cortical plates and resulting in a ballooning or "blow-out" appearance.  The radiolucency is traversed by thin septa, giving it a soap bubble appearance. The teeth are vital and may sometimes be displaced with or without concomitant external root resorption
  • 81.
    InvestigationsInvestigations  Clinical examinationClinicalexamination 1-Swelling1-Swelling 2-Egg shell crackling2-Egg shell crackling 3-Fluctuation3-Fluctuation 4-Displaced/loose/non-vital teeth, or absence of4-Displaced/loose/non-vital teeth, or absence of toothtooth 5-Dull sound on tooth percussion5-Dull sound on tooth percussion 6-Aspiration6-Aspiration  RadiographyRadiography
  • 84.
  • 85.
  • 86.
  • 88.
  • 89.
  • 90.
  • 91.
  • 92.
  • 93.
  • 94.
  • 95.
  • 96.
  • 97.
  • 98.
    Basal Cell NevusSyndromeBasal Cell Nevus Syndrome
  • 99.
    TreatmentTreatment  MarsupialisationMarsupialisation  Marsupialisationfollowed by enucleationMarsupialisation followed by enucleation  EnucleationEnucleation  Decompression followed by enucleationDecompression followed by enucleation