BASICS OF MRI BRAINBASICS OF MRI BRAIN
PRESENTER:DR. ARSHAD YAHYA
MODERATOR: DR. K S ANAND
HISTORYHISTORY
►Dr Isidor Rabi (Nobel in 1944!) He succeeded in
detecting and measuring single states of rotation of
atoms and molecules, and in determining the
magnetic moments of the nuclei .
►CJ Gorter, coined the term ‘Nuclear Magnetic
Resonance’ in 1942.
►Bloch and Purcell were awarded the Nobel Prize
for Physics in 1952
►Found that when certain nuclei were placed in
magnetic field they absorbed energy in
electromagnetic spectrum and re emit energy when
regained their original position.
““We are so close to the man behindWe are so close to the man behind
MRI”MRI”
►Prof Peter Mansfield was awarded
Nobel in 2003 for his discoveries in MRI
(with Prof Paul C Lauterbur of USA)
►Peter Mansfield is from Nottingham
University, UK
►Described the use of magnetic field
gradients to acquire spatial information in
NMR experiments
MRI principleMRI principle
MRI is based on the principle of nuclear magnetic
resonance (NMR)
Two basic principles of NMR
1. Atoms with an odd number of protons or neutrons
have spin
2. A moving electric charge, be it positive or negative,
produces a magnetic field
We all are made up of elementsWe all are made up of elements
►92 elements occur naturally on earth.
►Human body is built of only 26 elements.
►Oxygen, hydrogen, carbon, nitrogen
elements constitute 96 % of human body
mass.
►Oxygen is 65 % of body mass; carbon is
18.5 %, hydrogen 9.5 %, nitrogen 3.2 %.
Nucleus needs to have 2 properties:
◦ Spin
◦ charge
Nuclei are made of protons(3 quark) and neutrons
◦ Both have spin ½
◦ Protons have charge
Pairs of spins tend to cancel, so only atoms with an
odd number of protons or neutrons have spin
◦ Good MR nuclei are 1
H, 13
C, 19
F, 23
Na, 31
P
SPIN!!SPIN!!
• Protons and neutron spins
are known as nuclear spins.
• An unpaired component has
a spin of ½ and two particles
with opposite spins cancel
one another.
• In NMR it is the unpaired
nuclear spins that produce a
signal in a magnetic field
Why Hydrogen ions are used inWhy Hydrogen ions are used in
MRI?MRI?
 Hydrogen nucleus has an unpaired proton which is positively charged
 Hydrogen is abundant in the body in the form of water and fat
 Every hydrogen nucleus is a tiny magnet which produces small but noticeable magnetic field
 Hydrogen atom is the only major species in the body that is MR sensitive
 Proton is not only positively charged, but also has magnetic spin (wobble)!
 MRI utilizes this magnetic spin property of protons of hydrogen to elicit images
 Essentially all MRI is hydrogen (proton) imaging
But why we can’t act like magnets?But why we can’t act like magnets?
The protons (i.e.
Hydrogen ions) in body
are spinning in a
haphazard fashion, and
cancel all the magnetism.
That is our natural state!
When placed in a large magnetic field,
hydrogen atoms have a strong
tendency to align in the direction of
the magnetic field
Inside the bore of the scanner, the
magnetic field runs down the center
of the tube in which the patient is
placed, so the hydrogen protons will
line up in either the direction of the
feet or the head.
The majority will cancel each other,
but the net number of protons is
sufficient to produce an image.
5-spin down 7spin up
Net magnetizationNet magnetization
 Half of the protons align along the magnetic field and rest are aligned opposite
.
 At room temperature, the
population ratio of anti-
parallel versus parallel
protons is roughly 100,000
to 100,006 per Tesla of B0
 These extra protons produce net magnetization vector (M)
 Net magnetization depends on B0 and temperature
PrecessionPrecession
The static field causes the spinning proton to
‘wobble’ in a regular manner from it’s original
axis to axis of magnetic field called
‘PRECESSION’
Larmor frequencyLarmor frequency
Natural precession frequency of proton
with in a magnetic field of given strength
Manipulating the net magnetizationManipulating the net magnetization
 Magnetization can be manipulated by changing the magnetic field
environment (static, gradient, and RF fields)
 Static field vary in space but not over time during image
acquisation.by magnet itself or perturbation by materials with
different magnetic permeability.
 RF waves are used to manipulate the magnetization of H nuclei
 Externally applied RF waves perturb magnetization into different
axis (transverse axis). Only transverse magnetization produces
signal.
 When perturbed nuclei return to their original state they emit RF
signals which can be detected with the help of receiving coils
IN A NUT SHELLIN A NUT SHELL
Measuring the MR Signal:
◦ the moving proton vector
induces a signal in the RF
antenna
◦ The signal is picked up by a coil
and sent to the computer
system.
the received signal is
sinusoidal in nature
◦ The computer receives
mathematical data, which is
converted through the use of a
Fourier transform into an image.
MeasuringtheMRSignal
z
y x
RFsignalfrom
precessingprotons
RFantenna
Now, we re-transmit the energy forNow, we re-transmit the energy for
image processingimage processing
►The emitted energy is too small (despite
2500 times the magnetic field with
resonance RF pulse) to convert them into
images.
►Hence, repeated “ON-OFF” of RF pulses
are required.
►The emitted energy is stored (K-space),
analysed and converted into images.
RESONANCE?RESONANCE?
►When the radio frequency pulse
frequency matches the precession
frequency of proton
Energy Absorption:
◦ The MRI machine applies
radio frequency (RF) pulse
that is specific to hydrogen.
◦ The RF pulses are applied
through a coil that is
specific to the part of the
body being scanned.
T1 and T2 relaxationT1 and T2 relaxation
 When RF pulse is stopped higher energy gained by proton is
retransmitted and hydrogen nuclei relax by two mechanisms
 T1 or spin lattice relaxation- by which original magnetization
(Mz) begins to recover.
 T2 relaxation or spin spin relaxation - by which magnetization
in X-Y plane decays towards zero in an exponential fashion. It
is due to incoherence of H nuclei.
 T2 values of CNS tissues are shorter than T1 values
T1 relaxationT1 relaxation
After protons are
Excited with RF pulse
They move out of
Alignment with B0
But once the RF Pulse
is stopped they Realign
after some Time And
this is called t1 relaxation
T1 is defined as the time it takes for the hydrogen nucleus to recover
63% of its longitudinal magnetization
T2 relaxation time is the time for 63% of the protons to become dephased
owing to interactions among nearby protons.
T2* RelaxationT2* Relaxation
 Due to combined loss of phase coherence from both
static and time varying magnetic field in homogenity.
 Static magnet field in homogenity are constant in time
 signal loss can be recovered by use of 2nd
180*
pulse..rephasing the nuclei
 Time varying magnetic field-water molecule move
rapidly …acquire different area of different magnetic
field…precess at different rate..goes out of phase
 Not static so can’t be reversed in to phase of
coherence
TR and TETR and TE
 TR (repetition time) : the time between two excitations is called repetition
time
 TE (echo time) : time interval in which signals are measured after RF
excitation
 By varying the TR and TE one can obtain T1WI and T2WI
 In general a short TR (<1000ms) and short TE (<45 ms) scan is T1WI
 Long TR (>2000ms) and long TE (>45ms) scan is T2WI
 Long TR (>2000ms) and short TE (<45ms) scan is proton density image
ParametersParameters
Image contrast controlled by:
1- Extrinsic Contrast parameters:
TR, TE.
2- Intrinsic Contrast parameters:
T1 Recovery, T2 Decay, Proton Density,
Flow & Apparent Diffusion Coefficient
T1 RecoveryT1 Recovery
Caused by EXCHANGE OF ENERGY
FROM
NUCLEI TO THEIR SURROUNDING
ENVIRONMENT OR LATTICE
"Spin Lattice Energy Transfer"
and realign in B0
this occur in exponential process
at different rates in different tissue
NB: Molecules are constantly in motion;
Rotational and Transitional
Excited dipole can relax only if it can
transfer energy into lattice.
These molecular energy are present in
the form of rotational and vibrational
motion of molecules.
Certain types and structures of
molecules will be far more efficient in
accepting these energies as it will
correspond more closely to larmour
frequency
Frequencies that are too high or too low
will not interact efficiently with nuclear
dipole, T1 relaxation….slowed.
When proton dipole undergo faster T1
relaxation more of their longitudinal
vector is available with each succeeding
pulse…..more signal.
T1 RecoveryT1 Recovery
T1 in FatT1 in Fat T1 in WaterT1 in Water
absorb energy quicklyabsorb energy quickly
T1 is very shortT1 is very short
i.e. nuclei disposei.e. nuclei dispose
their energy totheir energy to
surrounding fat tissuesurrounding fat tissue
and return to B0 inand return to B0 in
very short timevery short time
inefficient at receivinginefficient at receiving
energyenergy
T1 is longerT1 is longer
i.e. nuclei take a loti.e. nuclei take a lot
longer to disposelonger to dispose
energy to surroundingenergy to surrounding
water tissuewater tissue
Myelin has slowing effect on motion of
adjacent H2O….relatively bright on T1W
Very large, solid structure such as bone
or protein(ligament) have proton
…..immobile
Low signal, because rotational and
vibrational frequencies have been slowed
to point, they are no longer optimal for
relaxation.
Proton on cholesterol and lipid
membrane have poor mobility …long T1
as opposed to adipose fat having
molecule in oil, mobile relax more quickly
Paramagnetic material also decreases T1
relaxation as can non paramagnetic
calcium salts
T2 DecayT2 Decay
Those tissues having constituent which
moves fast loses coherence very late
….long T2 (water)
Water tumbles rapidly in space..any
magnetic field distortion are rapidly
averaged out.
Adjacent water molecule have similar
magnetic field …nuclear dipole dephase
very slowly.
Fat being larger molecule than water
moves slowly in space…loses coherence
early than free water.
Less coherent movement give low signal
on T2.
Paramagnetic substances(iron)distort
magnetic field…..loss of coherence
 Different tissues have different
relaxation times. These relaxation time
differences is used to generate image
contrast.
Types of MRI imagingsTypes of MRI imagings
 T1WIT1WI
 T2WIT2WI
 FLAIRFLAIR
 STIRSTIR
 DWIDWI
 ADCADC
 GREGRE
 MRSMRS
 MTMT
 Post-Gd imagesPost-Gd images
 MRAMRA
 MRVMRV
Vector diagram of SE SequenceVector diagram of SE Sequence
T1 & T2 W IMAGINGT1 & T2 W IMAGING
CT SCAN
MRI T1 Weighted
MRI T2 Weighted
MRI T2 Flair
T1W PULSE SEQUENCE
Shorter the TE less decay of signal
Best signal to noise ratio with short TE
T1 and proton-W ….highest anatomical
detail
T1 field strength dependent
Also varies in different instrument and
investigator
Not useful for absolute comparison with
disease process.
T1 RecoveryT1 Recovery
Short TR T1 contrast
(T1 Weighted)
TR 300-600 ms
TE 10-30 ms
T2W PULSE SEQUENCE
Most pathologic process exhibit
prolonged T2
Utilizing long TE discrimination of
normal vs abnormal tissue is enhanced
T2 DecayT2 Decay
Long TE T2 contrast
(T2 Weighted)
TR 2000 ms
TE 70 ms
Confusing…evolution of hematomaConfusing…evolution of hematoma
Hyper acute(mts…hrs):oxyHb…O2
binds to 6th
location on iron in heme of Hb
O2…strong ligand, significantly split energy
level of iron….in low spin state…not
paramagnetic
O2Hb blood will have long T1…dark on T1W
image
Any T1 shortening occurs due to water binding
transiently to hydration layer of
protein..shortening T1…iso intense
Due to free flowing without paramagnetic
Acute phase deoxyHb(hrs….days):
Fe in deoxyHb is in ferrous state….no
O2 present
High spin state, paramagnetic because of
presence of 4 unpaired electron….should
cause shortening of T2 with brightness on
T1W.
When O2 falls of Hb , iron molecule
retract slightly inside the porphyrin
ring…allosteric shift of HB
Iron is pulled out of plane of porphyrin,
water is excluded from sensing the
paramagnetic effects of iron.
For significant paramagnetic effect water
must transiently bind to iron…
On T1W deoxy Hb …isointense with
water.
Immobilization of fibrin,Hb, paramagnetic
iron molecule with in semisolid
gelatinaous clot reduces the mobility of
these substances….disturbing local
magnetic field
Rapid dephasing and loss of signal inT2W
MetHb-subacute phase(3d…18
month)
metHb is formed with oxidation of iron
from ferrous to ferric form
With loss of additional electron, smaller
ferric ion moves back into porphyrin
ring…
Available to exchange with relax bound
water molecules
Paramagnetic effect …relaxation of T1
becomes short…bright onT1W
In early stage red cell membrane is still
intact and paramagnetic substance remain
in RBC …immobilized in space
Due to early loss of coherence T2
short…dark in T2W.
In later part as clot dissolve local
variation in magnetic field averaged out
by tumbling of water and iron
Dephasing lessened…image bright on
T2W because of increased water content
Chronic phase hemosiderin
formation
Blood breakdown occurs..iron falls off the heme
molecule….hemosiderin formed with microglia
Hemosiderin insoluble and rigidly held in
space…little effect on T1 relaxation….minimal
darkening on T1W
With al SE imaging,T1W image have
contribution of T2 W because of echo
time..minimal darkening onT1W.
On T2W due to interferance of local magnetic
field by large immoble fibrin…dephasing occurs
early …dark on T2W
InfarctInfarct
Acute : T1W –Isointense hypo
intense
T2W-Hyper intense
Sub acute: T1W-Low
signal,increasedsignal in peripheral
region..hemorrhage(metHb)
T2W- High signal
Chronic:T1W-low signal
T2W-High siignal
Dark on T1Dark on T1
Edema, tumor, infection, inflammation,
hemorrhage(hyperacute, chronic)
Low proton density, calcification
Flow void
Bright on T1Bright on T1
Fat, subacute hemorrhage, melanin,
protein rich fluid.
Slowly flowing blood
Paramagnetic
substances(gadolinium,copper,manganese)
Bright on T2Bright on T2
Edema, tumor, Infection, inflammation,
subdural collection
Met hemoglobin in late sub acute
hemorrhage
Dark on T2Dark on T2
Low proton density,calcification,fibrous
tissue
Paramagnetic substances(deoxy
hemoglobin,methemoglobin(intracellular),
ferritin,hemosiderin,melanin.
Protein rich fluid
Flow void
Which scan best defines theWhich scan best defines the
abnormalityabnormality
T1 W Images:
Subacute Hemorrhage
Fat-containing structures
Anatomical Details
T2 W Images:
Edema
Demyelination
Infarction
Chronic Hemorrhage
Proton density imagingProton density imaging
A proton density image is one where the
difference in the numbers of protons per
unit volume in the patient is the main
determining factor in forming image
contrast.
Proton density weighting is always
present to some extent.
Long TR and short TE
In order to achieve proton density
weighting, the effects of T1 and T2
contrast must be diminished,
so that proton density weighting can
dominate.
A long TR allows tissues e.g. fat and
water to fully recover their longitudinal
magnetisation and therefore diminishes
T1 weighting.
A short TE does not give fat or water
time to decay and therefore diminishes
T2 weighting
T1
PD T2
FLAIR & STIRFLAIR & STIR
Short TI inversion-recovery (STIR)Short TI inversion-recovery (STIR)
sequencesequence
In STIR sequences, an inversion-recovery
pulse is used to null the signal from fat
(180° RF Pulse).
When NMV of fat passes its null point ,
90° RF pulse is applied.
As little or no longitudinal magnetization
is present and the transverse
magnetization is insignificant.
It is transverse magnetization that
induces an electric current in the receiver
coil so no signal is generated from fat.
Longer TE used..both long T1 and T2 …
bright
STIR allows only short time between 180
deg. Pulse and second 90 deg. Pulse.
If TE is kept prolonged, effect of T1 and
T2 on lesion detection can be additive.
T1 and T2 of most pathologic lesion are
prolonged.
Long TE selection…substances having
both LONG T1 and T2 will be bright.
STIR also suppress substances with short
T1….hemorrhage, gd-enhancement.
Fluid-attenuated inversion recoveryFluid-attenuated inversion recovery
(FLAIR)(FLAIR)
First described in 1992 and has become
one of the corner stones of brain MR
imaging protocols
An IR sequence with a long TR and TE
and an inversion time (TI) that is tailored
to null the signal from CSF
Particularly helpful in evaluating
periventricular white matter lesion.
Water bound to complex molecule with
in plaque has relatively shorter T1 than
free water with in ventricle.
Long inversion time effectively suppress
free water…csf….nulled.
Lesion that contain complex, partially
bound water (less mobile)…shorter T1
than free water….not nulled.
Long TE …used…result in T2W
Sequence…..additional effect for contrast
effect of tissue with prolonged T2 and
short T1(White matter lesion)
Effective in high lightening lesion…
demyelination, stroke, Ischemic gliosis
and tumor
Sensitive but less specific
Normal partially myelinated white matter
tract….highlighted
Protein rich pituitary stalk….normally
bright on FLAIR.
More sensitive for detection of acute
infarct…differentiate it from cystic
encephalomalacia
Useful in SAH …removes CSF signal
T2 W
FLAIR
FLAIR
FLAIR
GREGRE
GREGRE
 In a GRE sequence, an RF pulse is applied that
partly flips the NMV into the transverse plane
(variable flip angle).
Gradients, as opposed to RF pulses, are used to
dephase (negative gradient) and rephase (positive
gradients) transverse magnetization.
Because gradients do not refocus field
inhomogeneities, GRE sequences with long TEs
are T2* weighted (because of magnetic
susceptibility) rather than T2 weighted like SE
sequences
 GRE Sequences contd:
 This feature of GRE sequences is exploited- in
detection of hemorrhage, as the iron in Hb becomes
magnetized locally (produces its own local magnetic
field) and thus dephases the spinning nuclei.
 The technique is particularly helpful for diagnosing
hemorrhagic contusions such as those in the brain .
 SE sequences, on the other hand- relatively immune
from magnetic susceptibility artifacts, and also less
sensitive in depicting hemorrhage and calcification.
GREFLAIR
Hemorrhage in right parietal lobe
Gradient EchoGradient Echo
Pros:
fast technique
Cons:
 More sensitive to magnetic susceptibility
artifacts
 Clinical use:
eg. Hemorrhage , calcification
DWI & ADCDWI & ADC
Diffusion-weighted MRIDiffusion-weighted MRI
 Diffusion-weighted MRI is a example of endogenous contrast,
using the motion of protons to produce signal changes
 DWI images is obtained by applying pairs of opposing and
balanced magnetic field gradients (but of differing durations
and amplitudes) around a spin-echo refocusing pulse of a T2
weighted sequence.
 Stationary water molecules are unaffected by the paired
gradients, and thus retain their signal.
 Non stationary water molecules acquire phase information
from the first gradient, but are not re phased by the second
gradient, leading to an overall loss of the MR signal
 The normal motion of water molecules within living tissues is random
(brownian motion).
 In acute stroke, there is an alteration of homeostasis
 Acute stroke causes excess intracellular water accumulation, or
cytotoxic edema, with an overall decreased rate of water molecular
diffusion within the affected tissue.
 Reduction of extracellular space
 Tissues with a higher rate of diffusion undergo a greater loss of signal
in a given period of time than do tissues with a lower diffusion rate.
 Therefore, areas of cytotoxic edema, in which the motion of water
molecules is restricted, appear brighter on diffusion-weighted images
because of lesser signal losses
 Restriction of DWI is not specific for stroke
The primary application of DW MR
imaging has been in brain imaging, mainly
because of its exquisite sensitivity to early
detection of ischemic stroke
The increased sensitivity of diffusion-
weighted MRI in detecting acute ischemia
is thought to be the result of the water
shift intracellularly restricting motion of
water protons (cytotoxic edema)
whereas the conventional T2 weighted
images show signal alteration mostly as a
result of vasogenic edema
Core of infarct = irreversible damage
Surrounding ischemic area  may be
salvaged
DWI: open a window of opportunity
during which Tt is beneficial
Regions of high mobility “rapid diffusion”
 dark
Regions of low mobility “slow diffusion”
 bright
T2 shine throughT2 shine through
T2 shine-through refers to high signal
on DWI images that is not due to
restricted diffusion,
 high T2 signal which 'shines through' to
the DWI image. 
T2 shine through occurs because of long
T2 decay time in some normal tissue.
This is most often seen with subacute
infarctions due to vasogenic edema but
can be seen in other pathologic
abnormalities i.e epidermoid cyst.
Apparent Diffusion CoefficientApparent Diffusion Coefficient
 It is a measure of diffusion
Calculated by acquiring two or more images
with a different gradient duration and
amplitude .
To differentiate T2 shine through effects or
artifacts from real ischemic lesions.
The lower ADC measurements seen with
early ischemia,
An ADC map shows parametric images
containing the apparent diffusion coefficients
of diffusion weighted images. Also called
diffusion map
 The ADC may be useful for estimating the lesion age and
distinguishing acute from subacute DWI lesions. 
 Acute ischemic lesions can be divided into hyperacute lesions
(low ADC and DWI-positive) and subacute lesions
(normalized ADC).
 Chronic lesions can be differentiated from acute lesions by
normalization of ADC and DWI.
 a tumour would exhibit more restricted apparent diffusion
compared with a cyst because intact cellular membranes in a
tumour would hinder the free movement of water molecules
Nonischemic causes for decreased ADCNonischemic causes for decreased ADC
Abscess
Lymphoma and other tumors
Multiple sclerosis
Seizures
Metabolic (Canavans )
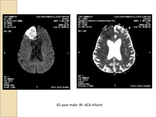
65 year male- Rt ACA Infarct
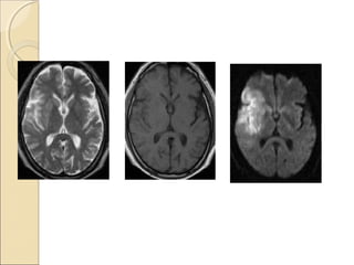
Evaluation of acute stroke on DWIEvaluation of acute stroke on DWI
The DWI and ADC maps show changes
in ischemic brain within minutes to few
hours
The signal intensity of acute stroke on
DW images increase during the first
week after symptom onset and decrease
thereafter, but signal remains hyper
intense for a long period (up to 72 days in
the study by Lausberg et al)
The ADC values decline rapidly after the
onset of ischemia and subsequently
increase from dark to bright 7-10 days
later .
This property may be used to
differentiate the lesion older than 10 days
from more acute ones .
 Chronic infarcts are characterized by
elevated diffusion and appear hypo, iso or
hyper intense on DW images and
hyperintense on ADC maps
DW MR imaging characteristics of Various Disease Entities
MR Signal Intensity
Disease DW Image ADC Image ADC Cause
Acute Stroke High Low Restricted Cytotoxic edema
Chronic Strokes Variable High Elevated Gliosis
Hypertensive
encephalopathy
Variable High Elevated Vasogenic edema
Arachnoid cyst Low High Elevated Free water
Epidermoid mass High Low Restricted Cellular tumor
Herpes encephalitis High Low Restricted Cytotoxic edema
CJD High Low Restricted Cytotoxic edema
MS acute lesions Variable High Elevated Vasogenic edema
Chronic lesions Variable High Elevated Gliosis
ReferencesReferences
Bradley’s text book of neurology-6th
edition
Robert A Ziemarman’s Neuroimaging
clinical and physical principle.

Ppt mri brain

  • 1.
    BASICS OF MRIBRAINBASICS OF MRI BRAIN PRESENTER:DR. ARSHAD YAHYA MODERATOR: DR. K S ANAND
  • 2.
    HISTORYHISTORY ►Dr Isidor Rabi(Nobel in 1944!) He succeeded in detecting and measuring single states of rotation of atoms and molecules, and in determining the magnetic moments of the nuclei . ►CJ Gorter, coined the term ‘Nuclear Magnetic Resonance’ in 1942. ►Bloch and Purcell were awarded the Nobel Prize for Physics in 1952 ►Found that when certain nuclei were placed in magnetic field they absorbed energy in electromagnetic spectrum and re emit energy when regained their original position.
  • 3.
    ““We are soclose to the man behindWe are so close to the man behind MRI”MRI” ►Prof Peter Mansfield was awarded Nobel in 2003 for his discoveries in MRI (with Prof Paul C Lauterbur of USA) ►Peter Mansfield is from Nottingham University, UK ►Described the use of magnetic field gradients to acquire spatial information in NMR experiments
  • 4.
    MRI principleMRI principle MRIis based on the principle of nuclear magnetic resonance (NMR) Two basic principles of NMR 1. Atoms with an odd number of protons or neutrons have spin 2. A moving electric charge, be it positive or negative, produces a magnetic field
  • 5.
    We all aremade up of elementsWe all are made up of elements ►92 elements occur naturally on earth. ►Human body is built of only 26 elements. ►Oxygen, hydrogen, carbon, nitrogen elements constitute 96 % of human body mass. ►Oxygen is 65 % of body mass; carbon is 18.5 %, hydrogen 9.5 %, nitrogen 3.2 %.
  • 6.
    Nucleus needs tohave 2 properties: ◦ Spin ◦ charge Nuclei are made of protons(3 quark) and neutrons ◦ Both have spin ½ ◦ Protons have charge Pairs of spins tend to cancel, so only atoms with an odd number of protons or neutrons have spin ◦ Good MR nuclei are 1 H, 13 C, 19 F, 23 Na, 31 P
  • 7.
    SPIN!!SPIN!! • Protons andneutron spins are known as nuclear spins. • An unpaired component has a spin of ½ and two particles with opposite spins cancel one another. • In NMR it is the unpaired nuclear spins that produce a signal in a magnetic field
  • 8.
    Why Hydrogen ionsare used inWhy Hydrogen ions are used in MRI?MRI?  Hydrogen nucleus has an unpaired proton which is positively charged  Hydrogen is abundant in the body in the form of water and fat  Every hydrogen nucleus is a tiny magnet which produces small but noticeable magnetic field  Hydrogen atom is the only major species in the body that is MR sensitive  Proton is not only positively charged, but also has magnetic spin (wobble)!  MRI utilizes this magnetic spin property of protons of hydrogen to elicit images  Essentially all MRI is hydrogen (proton) imaging
  • 9.
    But why wecan’t act like magnets?But why we can’t act like magnets? The protons (i.e. Hydrogen ions) in body are spinning in a haphazard fashion, and cancel all the magnetism. That is our natural state!
  • 10.
    When placed ina large magnetic field, hydrogen atoms have a strong tendency to align in the direction of the magnetic field Inside the bore of the scanner, the magnetic field runs down the center of the tube in which the patient is placed, so the hydrogen protons will line up in either the direction of the feet or the head. The majority will cancel each other, but the net number of protons is sufficient to produce an image. 5-spin down 7spin up
  • 11.
    Net magnetizationNet magnetization Half of the protons align along the magnetic field and rest are aligned opposite .  At room temperature, the population ratio of anti- parallel versus parallel protons is roughly 100,000 to 100,006 per Tesla of B0  These extra protons produce net magnetization vector (M)  Net magnetization depends on B0 and temperature
  • 12.
    PrecessionPrecession The static fieldcauses the spinning proton to ‘wobble’ in a regular manner from it’s original axis to axis of magnetic field called ‘PRECESSION’
  • 13.
    Larmor frequencyLarmor frequency Naturalprecession frequency of proton with in a magnetic field of given strength
  • 14.
    Manipulating the netmagnetizationManipulating the net magnetization  Magnetization can be manipulated by changing the magnetic field environment (static, gradient, and RF fields)  Static field vary in space but not over time during image acquisation.by magnet itself or perturbation by materials with different magnetic permeability.  RF waves are used to manipulate the magnetization of H nuclei  Externally applied RF waves perturb magnetization into different axis (transverse axis). Only transverse magnetization produces signal.  When perturbed nuclei return to their original state they emit RF signals which can be detected with the help of receiving coils
  • 15.
    IN A NUTSHELLIN A NUT SHELL
  • 16.
    Measuring the MRSignal: ◦ the moving proton vector induces a signal in the RF antenna ◦ The signal is picked up by a coil and sent to the computer system. the received signal is sinusoidal in nature ◦ The computer receives mathematical data, which is converted through the use of a Fourier transform into an image. MeasuringtheMRSignal z y x RFsignalfrom precessingprotons RFantenna
  • 17.
    Now, we re-transmitthe energy forNow, we re-transmit the energy for image processingimage processing ►The emitted energy is too small (despite 2500 times the magnetic field with resonance RF pulse) to convert them into images. ►Hence, repeated “ON-OFF” of RF pulses are required. ►The emitted energy is stored (K-space), analysed and converted into images.
  • 18.
    RESONANCE?RESONANCE? ►When the radiofrequency pulse frequency matches the precession frequency of proton
  • 19.
    Energy Absorption: ◦ TheMRI machine applies radio frequency (RF) pulse that is specific to hydrogen. ◦ The RF pulses are applied through a coil that is specific to the part of the body being scanned.
  • 20.
    T1 and T2relaxationT1 and T2 relaxation  When RF pulse is stopped higher energy gained by proton is retransmitted and hydrogen nuclei relax by two mechanisms  T1 or spin lattice relaxation- by which original magnetization (Mz) begins to recover.  T2 relaxation or spin spin relaxation - by which magnetization in X-Y plane decays towards zero in an exponential fashion. It is due to incoherence of H nuclei.  T2 values of CNS tissues are shorter than T1 values
  • 21.
    T1 relaxationT1 relaxation Afterprotons are Excited with RF pulse They move out of Alignment with B0 But once the RF Pulse is stopped they Realign after some Time And this is called t1 relaxation T1 is defined as the time it takes for the hydrogen nucleus to recover 63% of its longitudinal magnetization
  • 22.
    T2 relaxation timeis the time for 63% of the protons to become dephased owing to interactions among nearby protons.
  • 23.
    T2* RelaxationT2* Relaxation Due to combined loss of phase coherence from both static and time varying magnetic field in homogenity.  Static magnet field in homogenity are constant in time  signal loss can be recovered by use of 2nd 180* pulse..rephasing the nuclei  Time varying magnetic field-water molecule move rapidly …acquire different area of different magnetic field…precess at different rate..goes out of phase  Not static so can’t be reversed in to phase of coherence
  • 24.
    TR and TETRand TE  TR (repetition time) : the time between two excitations is called repetition time  TE (echo time) : time interval in which signals are measured after RF excitation  By varying the TR and TE one can obtain T1WI and T2WI  In general a short TR (<1000ms) and short TE (<45 ms) scan is T1WI  Long TR (>2000ms) and long TE (>45ms) scan is T2WI  Long TR (>2000ms) and short TE (<45ms) scan is proton density image
  • 25.
    ParametersParameters Image contrast controlledby: 1- Extrinsic Contrast parameters: TR, TE. 2- Intrinsic Contrast parameters: T1 Recovery, T2 Decay, Proton Density, Flow & Apparent Diffusion Coefficient
  • 26.
    T1 RecoveryT1 Recovery Causedby EXCHANGE OF ENERGY FROM NUCLEI TO THEIR SURROUNDING ENVIRONMENT OR LATTICE "Spin Lattice Energy Transfer" and realign in B0 this occur in exponential process at different rates in different tissue NB: Molecules are constantly in motion; Rotational and Transitional
  • 27.
    Excited dipole canrelax only if it can transfer energy into lattice. These molecular energy are present in the form of rotational and vibrational motion of molecules. Certain types and structures of molecules will be far more efficient in accepting these energies as it will correspond more closely to larmour frequency
  • 28.
    Frequencies that aretoo high or too low will not interact efficiently with nuclear dipole, T1 relaxation….slowed. When proton dipole undergo faster T1 relaxation more of their longitudinal vector is available with each succeeding pulse…..more signal.
  • 29.
    T1 RecoveryT1 Recovery T1in FatT1 in Fat T1 in WaterT1 in Water absorb energy quicklyabsorb energy quickly T1 is very shortT1 is very short i.e. nuclei disposei.e. nuclei dispose their energy totheir energy to surrounding fat tissuesurrounding fat tissue and return to B0 inand return to B0 in very short timevery short time inefficient at receivinginefficient at receiving energyenergy T1 is longerT1 is longer i.e. nuclei take a loti.e. nuclei take a lot longer to disposelonger to dispose energy to surroundingenergy to surrounding water tissuewater tissue
  • 30.
    Myelin has slowingeffect on motion of adjacent H2O….relatively bright on T1W Very large, solid structure such as bone or protein(ligament) have proton …..immobile Low signal, because rotational and vibrational frequencies have been slowed to point, they are no longer optimal for relaxation.
  • 31.
    Proton on cholesteroland lipid membrane have poor mobility …long T1 as opposed to adipose fat having molecule in oil, mobile relax more quickly Paramagnetic material also decreases T1 relaxation as can non paramagnetic calcium salts
  • 33.
    T2 DecayT2 Decay Thosetissues having constituent which moves fast loses coherence very late ….long T2 (water) Water tumbles rapidly in space..any magnetic field distortion are rapidly averaged out. Adjacent water molecule have similar magnetic field …nuclear dipole dephase very slowly.
  • 34.
    Fat being largermolecule than water moves slowly in space…loses coherence early than free water. Less coherent movement give low signal on T2. Paramagnetic substances(iron)distort magnetic field…..loss of coherence
  • 35.
     Different tissueshave different relaxation times. These relaxation time differences is used to generate image contrast.
  • 36.
    Types of MRIimagingsTypes of MRI imagings  T1WIT1WI  T2WIT2WI  FLAIRFLAIR  STIRSTIR  DWIDWI  ADCADC  GREGRE  MRSMRS  MTMT  Post-Gd imagesPost-Gd images  MRAMRA  MRVMRV
  • 37.
    Vector diagram ofSE SequenceVector diagram of SE Sequence
  • 38.
    T1 & T2W IMAGINGT1 & T2 W IMAGING
  • 39.
    CT SCAN MRI T1Weighted MRI T2 Weighted MRI T2 Flair
  • 40.
  • 41.
    Shorter the TEless decay of signal Best signal to noise ratio with short TE T1 and proton-W ….highest anatomical detail T1 field strength dependent Also varies in different instrument and investigator Not useful for absolute comparison with disease process.
  • 42.
    T1 RecoveryT1 Recovery ShortTR T1 contrast (T1 Weighted) TR 300-600 ms TE 10-30 ms
  • 43.
  • 44.
    Most pathologic processexhibit prolonged T2 Utilizing long TE discrimination of normal vs abnormal tissue is enhanced
  • 45.
    T2 DecayT2 Decay LongTE T2 contrast (T2 Weighted) TR 2000 ms TE 70 ms
  • 48.
    Confusing…evolution of hematomaConfusing…evolutionof hematoma Hyper acute(mts…hrs):oxyHb…O2 binds to 6th location on iron in heme of Hb O2…strong ligand, significantly split energy level of iron….in low spin state…not paramagnetic O2Hb blood will have long T1…dark on T1W image Any T1 shortening occurs due to water binding transiently to hydration layer of protein..shortening T1…iso intense Due to free flowing without paramagnetic
  • 51.
    Acute phase deoxyHb(hrs….days): Fein deoxyHb is in ferrous state….no O2 present High spin state, paramagnetic because of presence of 4 unpaired electron….should cause shortening of T2 with brightness on T1W. When O2 falls of Hb , iron molecule retract slightly inside the porphyrin ring…allosteric shift of HB
  • 53.
    Iron is pulledout of plane of porphyrin, water is excluded from sensing the paramagnetic effects of iron. For significant paramagnetic effect water must transiently bind to iron… On T1W deoxy Hb …isointense with water. Immobilization of fibrin,Hb, paramagnetic iron molecule with in semisolid gelatinaous clot reduces the mobility of these substances….disturbing local magnetic field Rapid dephasing and loss of signal inT2W
  • 55.
    MetHb-subacute phase(3d…18 month) metHb isformed with oxidation of iron from ferrous to ferric form With loss of additional electron, smaller ferric ion moves back into porphyrin ring… Available to exchange with relax bound water molecules Paramagnetic effect …relaxation of T1 becomes short…bright onT1W
  • 57.
    In early stagered cell membrane is still intact and paramagnetic substance remain in RBC …immobilized in space Due to early loss of coherence T2 short…dark in T2W. In later part as clot dissolve local variation in magnetic field averaged out by tumbling of water and iron Dephasing lessened…image bright on T2W because of increased water content
  • 60.
    Chronic phase hemosiderin formation Bloodbreakdown occurs..iron falls off the heme molecule….hemosiderin formed with microglia Hemosiderin insoluble and rigidly held in space…little effect on T1 relaxation….minimal darkening on T1W With al SE imaging,T1W image have contribution of T2 W because of echo time..minimal darkening onT1W. On T2W due to interferance of local magnetic field by large immoble fibrin…dephasing occurs early …dark on T2W
  • 61.
    InfarctInfarct Acute : T1W–Isointense hypo intense T2W-Hyper intense Sub acute: T1W-Low signal,increasedsignal in peripheral region..hemorrhage(metHb) T2W- High signal Chronic:T1W-low signal T2W-High siignal
  • 62.
    Dark on T1Darkon T1 Edema, tumor, infection, inflammation, hemorrhage(hyperacute, chronic) Low proton density, calcification Flow void
  • 63.
    Bright on T1Brighton T1 Fat, subacute hemorrhage, melanin, protein rich fluid. Slowly flowing blood Paramagnetic substances(gadolinium,copper,manganese)
  • 64.
    Bright on T2Brighton T2 Edema, tumor, Infection, inflammation, subdural collection Met hemoglobin in late sub acute hemorrhage
  • 65.
    Dark on T2Darkon T2 Low proton density,calcification,fibrous tissue Paramagnetic substances(deoxy hemoglobin,methemoglobin(intracellular), ferritin,hemosiderin,melanin. Protein rich fluid Flow void
  • 66.
    Which scan bestdefines theWhich scan best defines the abnormalityabnormality T1 W Images: Subacute Hemorrhage Fat-containing structures Anatomical Details T2 W Images: Edema Demyelination Infarction Chronic Hemorrhage
  • 67.
    Proton density imagingProtondensity imaging A proton density image is one where the difference in the numbers of protons per unit volume in the patient is the main determining factor in forming image contrast. Proton density weighting is always present to some extent.
  • 68.
    Long TR andshort TE
  • 69.
    In order toachieve proton density weighting, the effects of T1 and T2 contrast must be diminished, so that proton density weighting can dominate. A long TR allows tissues e.g. fat and water to fully recover their longitudinal magnetisation and therefore diminishes T1 weighting. A short TE does not give fat or water time to decay and therefore diminishes T2 weighting
  • 70.
  • 71.
  • 72.
    Short TI inversion-recovery(STIR)Short TI inversion-recovery (STIR) sequencesequence In STIR sequences, an inversion-recovery pulse is used to null the signal from fat (180° RF Pulse). When NMV of fat passes its null point , 90° RF pulse is applied. As little or no longitudinal magnetization is present and the transverse magnetization is insignificant. It is transverse magnetization that induces an electric current in the receiver coil so no signal is generated from fat.
  • 73.
    Longer TE used..bothlong T1 and T2 … bright
  • 74.
    STIR allows onlyshort time between 180 deg. Pulse and second 90 deg. Pulse. If TE is kept prolonged, effect of T1 and T2 on lesion detection can be additive. T1 and T2 of most pathologic lesion are prolonged. Long TE selection…substances having both LONG T1 and T2 will be bright. STIR also suppress substances with short T1….hemorrhage, gd-enhancement.
  • 76.
    Fluid-attenuated inversion recoveryFluid-attenuatedinversion recovery (FLAIR)(FLAIR) First described in 1992 and has become one of the corner stones of brain MR imaging protocols An IR sequence with a long TR and TE and an inversion time (TI) that is tailored to null the signal from CSF
  • 78.
    Particularly helpful inevaluating periventricular white matter lesion. Water bound to complex molecule with in plaque has relatively shorter T1 than free water with in ventricle. Long inversion time effectively suppress free water…csf….nulled. Lesion that contain complex, partially bound water (less mobile)…shorter T1 than free water….not nulled.
  • 79.
    Long TE …used…resultin T2W Sequence…..additional effect for contrast effect of tissue with prolonged T2 and short T1(White matter lesion) Effective in high lightening lesion… demyelination, stroke, Ischemic gliosis and tumor Sensitive but less specific
  • 80.
    Normal partially myelinatedwhite matter tract….highlighted Protein rich pituitary stalk….normally bright on FLAIR. More sensitive for detection of acute infarct…differentiate it from cystic encephalomalacia Useful in SAH …removes CSF signal
  • 82.
  • 83.
  • 85.
  • 86.
    GREGRE  In aGRE sequence, an RF pulse is applied that partly flips the NMV into the transverse plane (variable flip angle). Gradients, as opposed to RF pulses, are used to dephase (negative gradient) and rephase (positive gradients) transverse magnetization. Because gradients do not refocus field inhomogeneities, GRE sequences with long TEs are T2* weighted (because of magnetic susceptibility) rather than T2 weighted like SE sequences
  • 88.
     GRE Sequencescontd:  This feature of GRE sequences is exploited- in detection of hemorrhage, as the iron in Hb becomes magnetized locally (produces its own local magnetic field) and thus dephases the spinning nuclei.  The technique is particularly helpful for diagnosing hemorrhagic contusions such as those in the brain .  SE sequences, on the other hand- relatively immune from magnetic susceptibility artifacts, and also less sensitive in depicting hemorrhage and calcification.
  • 89.
  • 90.
    Gradient EchoGradient Echo Pros: fasttechnique Cons:  More sensitive to magnetic susceptibility artifacts  Clinical use: eg. Hemorrhage , calcification
  • 91.
  • 92.
    Diffusion-weighted MRIDiffusion-weighted MRI Diffusion-weighted MRI is a example of endogenous contrast, using the motion of protons to produce signal changes  DWI images is obtained by applying pairs of opposing and balanced magnetic field gradients (but of differing durations and amplitudes) around a spin-echo refocusing pulse of a T2 weighted sequence.  Stationary water molecules are unaffected by the paired gradients, and thus retain their signal.  Non stationary water molecules acquire phase information from the first gradient, but are not re phased by the second gradient, leading to an overall loss of the MR signal
  • 93.
     The normalmotion of water molecules within living tissues is random (brownian motion).  In acute stroke, there is an alteration of homeostasis  Acute stroke causes excess intracellular water accumulation, or cytotoxic edema, with an overall decreased rate of water molecular diffusion within the affected tissue.  Reduction of extracellular space  Tissues with a higher rate of diffusion undergo a greater loss of signal in a given period of time than do tissues with a lower diffusion rate.  Therefore, areas of cytotoxic edema, in which the motion of water molecules is restricted, appear brighter on diffusion-weighted images because of lesser signal losses  Restriction of DWI is not specific for stroke
  • 94.
    The primary applicationof DW MR imaging has been in brain imaging, mainly because of its exquisite sensitivity to early detection of ischemic stroke
  • 95.
    The increased sensitivityof diffusion- weighted MRI in detecting acute ischemia is thought to be the result of the water shift intracellularly restricting motion of water protons (cytotoxic edema) whereas the conventional T2 weighted images show signal alteration mostly as a result of vasogenic edema
  • 96.
    Core of infarct= irreversible damage Surrounding ischemic area  may be salvaged DWI: open a window of opportunity during which Tt is beneficial Regions of high mobility “rapid diffusion”  dark Regions of low mobility “slow diffusion”  bright
  • 99.
    T2 shine throughT2shine through T2 shine-through refers to high signal on DWI images that is not due to restricted diffusion,  high T2 signal which 'shines through' to the DWI image.  T2 shine through occurs because of long T2 decay time in some normal tissue. This is most often seen with subacute infarctions due to vasogenic edema but can be seen in other pathologic abnormalities i.e epidermoid cyst.
  • 100.
    Apparent Diffusion CoefficientApparentDiffusion Coefficient  It is a measure of diffusion Calculated by acquiring two or more images with a different gradient duration and amplitude . To differentiate T2 shine through effects or artifacts from real ischemic lesions. The lower ADC measurements seen with early ischemia, An ADC map shows parametric images containing the apparent diffusion coefficients of diffusion weighted images. Also called diffusion map
  • 101.
     The ADCmay be useful for estimating the lesion age and distinguishing acute from subacute DWI lesions.   Acute ischemic lesions can be divided into hyperacute lesions (low ADC and DWI-positive) and subacute lesions (normalized ADC).  Chronic lesions can be differentiated from acute lesions by normalization of ADC and DWI.  a tumour would exhibit more restricted apparent diffusion compared with a cyst because intact cellular membranes in a tumour would hinder the free movement of water molecules
  • 102.
    Nonischemic causes fordecreased ADCNonischemic causes for decreased ADC Abscess Lymphoma and other tumors Multiple sclerosis Seizures Metabolic (Canavans )
  • 103.
    65 year male-Rt ACA Infarct
  • 104.
    Evaluation of acutestroke on DWIEvaluation of acute stroke on DWI The DWI and ADC maps show changes in ischemic brain within minutes to few hours The signal intensity of acute stroke on DW images increase during the first week after symptom onset and decrease thereafter, but signal remains hyper intense for a long period (up to 72 days in the study by Lausberg et al) The ADC values decline rapidly after the onset of ischemia and subsequently increase from dark to bright 7-10 days later .
  • 105.
    This property maybe used to differentiate the lesion older than 10 days from more acute ones .  Chronic infarcts are characterized by elevated diffusion and appear hypo, iso or hyper intense on DW images and hyperintense on ADC maps
  • 107.
    DW MR imagingcharacteristics of Various Disease Entities MR Signal Intensity Disease DW Image ADC Image ADC Cause Acute Stroke High Low Restricted Cytotoxic edema Chronic Strokes Variable High Elevated Gliosis Hypertensive encephalopathy Variable High Elevated Vasogenic edema Arachnoid cyst Low High Elevated Free water Epidermoid mass High Low Restricted Cellular tumor Herpes encephalitis High Low Restricted Cytotoxic edema CJD High Low Restricted Cytotoxic edema MS acute lesions Variable High Elevated Vasogenic edema Chronic lesions Variable High Elevated Gliosis
  • 108.
    ReferencesReferences Bradley’s text bookof neurology-6th edition Robert A Ziemarman’s Neuroimaging clinical and physical principle.