MRI SEQUENCES

   Tushar Patil, MD
        Senior Resident
   Department of Neurology
King George’s Medical University
        Lucknow, India
MRI PRINCIPLE
    MRI is based on the principle of nuclear magnetic resonance
     (NMR)
    Two basic principles of NMR
1.   Atoms with an odd number of protons or neutrons have spin
2.   A moving electric charge, be it positive or negative, produces a
     magnetic field
    Body has many such atoms that can act as good MR nuclei ( 1H,
     13
       C, 19F, 23Na)
    Hydrogen nuclei is one of them which is not only positively
     charged, but also has magnetic spin
    MRI utilizes this magnetic spin property of protons of hydrogen
     to elicit images
WHY HYDROGEN IONS ARE USED IN
    MRI?
   Hydrogen nucleus has an unpaired proton which is positively charged

   Every hydrogen nucleus is a tiny magnet which produces small but
    noticeable magnetic field

   Hydrogen atom is the only major species in the body that is MR
    sensitive

   Hydrogen is abundant in the body in the form of water and fat

   Essentially all MRI is hydrogen (proton) imaging
BODY IN AN EXTERNAL
MAGNETIC FIELD (B0)


•In our natural state Hydrogen ions in body are
 spinning in a haphazard fashion, and cancel all
the magnetism.

•When an external magnetic field is applied protons
in the body align in one direction. (As the compass
aligns in the presence of earth’s
 magnetic field)
NET MAGNETIZATION
   Half of the protons align along the magnetic field and rest are aligned opposite
.
    At room temperature, the
    population ratio of anti-
    parallel versus parallel
    protons is roughly 100,000
    to 100,006 per Tesla of B0




   These extra protons produce net magnetization vector (M)

   Net magnetization depends on B0 and temperature
MANIPULATING THE NET
     MAGNETIZATION
   Magnetization can be manipulated by changing the magnetic
    field environment (static, gradient, and RF fields)

   RF waves are used to manipulate the magnetization of H nuclei

   Externally applied RF waves perturb magnetization into different
    axis (transverse axis). Only transverse magnetization produces
    signal.

   When perturbed nuclei return to their original state they emit
    RF signals which can be detected with the help of receiving coils
T1 AND T2 RELAXATION
   When RF pulse is stopped higher energy gained by proton is
    retransmitted and hydrogen nuclei relax by two mechanisms

   T1 or spin lattice relaxation- by which original magnetization
    (Mz) begins to recover.

   T2 relaxation or spin spin relaxation - by which magnetization in
    X-Y plane decays towards zero in an exponential fashion. It is due
    to incoherence of H nuclei.

   T2 values of CNS tissues are shorter than T1 values
T1 RELAXATION
After protons are
Excited with RF pulse
They move out of
Alignment with B0
But once the RF Pulse
is stopped they Realign
after some Time And
this is called t1 relaxation
T1 is defined as the time it takes for the hydrogen nucleus to
   recover 63% of its longitudinal magnetization
T2 relaxation time is the time for 63% of the protons to become dephased
owing to interactions among nearby protons.
TR AND TE
   TE (echo time) : time interval in which signals are measured after RF
    excitation
   TR (repetition time) : the time between two excitations is called repetition
    time
   By varying the TR and TE one can obtain T1WI and T2WI
   In general a short TR (<1000ms) and short TE (<45 ms) scan is T1WI
   Long TR (>2000ms) and long TE (>45ms) scan is T2WI
   Long TR (>2000ms) and short TE (<45ms) scan is proton density image
Different tissues have different relaxation times.
These relaxation time differences is used to
generate image contrast.
TYPES OF MRI IMAGINGS


   T1WI                   MRA
   T2WI                   MRV
   FLAIR
   STIR
   DWI
   ADC
   GRE
   MRS
   MT
   Post-Gd images
T1 & T2 W IMAGING
GRADATION OF INTENSITY
IMAGING


CT SCAN   CSF        Edema       White    Gray     Blood       Bone
                                 Matter   Matter

MRI T1    CSF        Edema       Gray     White    Cartilage   Fat
                                 Matter   Matter

MRI T2    Cartilag   Fat         White    Gray     Edema       CSF
          e                      Matter   Matter

MRI T2    CSF        Cartilage   Fat      White    Gray        Edema
Flair                                     Matter   Matter
CT SCAN


   MRI T1 Weighted




MRI T2 Weighted




MRI T2 Flair
DARK ON T1

   Edema,tumor,infection,inflammation,hemorrhage(hyperacute,chronic)
   Low proton density,calcification
   Flow void
BRIGHT ON T1

   Fat,subacute hemorrhage,melanin,protein rich fluid.
   Slowly flowing blood
   Paramagnetic substances(gadolinium,copper,manganese)




   9
BRIGHT ON T2


   Edema,tumor,infection,inflammation,subdural collection
   Methemoglobin in late subacute hemorrhage
DARK ON T2
   Low proton density,calcification,fibrous tissue
   Paramagnetic substances(deoxy
    hemoglobin,methemoglobin(intracellular),ferritin,hemosiderin,melanin.
   Protein rich fluid
   Flow void
WHICH SCAN BEST DEFINES THE
ABNORMALITY

T1 W Images:
Subacute Hemorrhage
Fat-containing structures
Anatomical Details

T2 W Images:
Edema
Demyelination
Infarction
Chronic Hemorrhage

FLAIR Images:
Edema,
Demyelination
Infarction esp. in Periventricular location
FLAIR & STIR
CONVENTIONAL INVERSION
      RECOVERY
-180° preparatory pulse is applied to flip the net magnetization vector 180° and null the
  signal from a particular entity (eg, water in tissue).


-When the RF pulse ceases, the spinning nuclei begin to relax. When the net
  magnetization vector for water passes the transverse plane (the null point for that
  tissue), the conventional 90° pulse is applied, and the SE sequence then continues as
  before.


-The interval between the 180° pulse and the 90° pulse is the TI ( Inversion Time).
Conventional Inversion Recovery Contd:


   At TI, the net magnetization vector of water is very weak, whereas that for body
    tissues is strong. When the net magnetization vectors are flipped by the 90° pulse,
    there is little or no transverse magnetization in water, so no signal is generated (fluid
    appears dark), whereas signal intensity ranges from low to high in tissues with a
    stronger NMV.



 Two important clinical implementations of the inversion recovery concept are:
Short TI inversion-recovery (STIR) sequence
Fluid-attenuated inversion-recovery (FLAIR) sequence.
SHORT TI INVERSION-RECOVERY (STIR)
SEQUENCE

   In STIR sequences, an inversion-recovery pulse is used to null the signal from fat
    (180° RF Pulse).
   When NMV of fat passes its null point , 90° RF pulse is applied. As little or no
    longitudinal magnetization is present and the transverse magnetization is
    insignificant.
   It is transverse magnetization that induces an electric current in the receiver coil so
    no signal is generated from fat.
   STIR sequences provide excellent depiction of bone marrow edema which may be
    the only indication of an occult fracture.
   Unlike conventional fat-saturation sequences STIR sequences are not affected by
    magnetic field inhomogeneities, so they are more efficient for nulling the signal from
    fat
FSE                        STIR

Comparison of fast SE and STIR sequences
 for depiction of bone marrow edema
FLUID-ATTENUATED INVERSION RECOVERY
(FLAIR)
   First described in 1992 and has become one of the corner stones of brain MR
    imaging protocols

   An IR sequence with a long TR and TE and an inversion time (TI) that is tailored to
    null the signal from CSF

   In contrast to real image reconstruction, negative signals are recorded as positive
    signals of the same strength so that the nulled tissue remains dark and all other
    tissues have higher signal intensities.
   Most pathologic processes show increased SI on T2-WI, and the conspicuity of
    lesions that are located close to interfaces b/w brain parenchyma and CSF may be
    poor in conventional SE or FSE T2-WI sequences.

   FLAIR images are heavily T2-weighted with CSF signal suppression, highlights
    hyperintense lesions and improves their conspicuity and detection, especially when
    located adjacent to CSF containing spaces
   In addition to T2- weightening, FLAIR possesses considerable T1-weighting,
    because it largely depends on longitudinal magnetization

   As small differences in T1 characteristics are accentuated, mild T1-shortening
    becomes conspicuous.

   This effect is prominent in the CSF-containing spaces, where increased protein
    content results in high SI (eg, associated with sub-arachnoid space disease)

   High SI of hyperacute SAH is caused by T2 prolongation in addition to T1
    shortening
Clinical Applications:

   Used to evaluate diseases affecting the brain parenchyma neighboring the CSF-
    containing spaces for eg: MS & other demyelinating disorders.

   Unfortunately, less sensitive for lesions involving the brainstem & cerebellum,
    owing to CSF pulsation artifacts

   Helpful in evaluation of neonates with perinatal HIE.

   Useful in evaluation of gliomatosis cerebri owing to its superior delineation of
    neoplastic spread

   Useful for differentiating extra-axial masses eg. epidermoid cysts from arachnoid
    cysts. However, distinction is more easier & reliable with DWI.
   Mesial temporal sclerosis: m/c pathology in patients with partial complex
    seizures.Thin-section coronal FLAIR is the standard sequence in these patients &
    seen as a bright small hippocampus on dark background of suppressed CSF-
    containing spaces. However, normally also mesial temporal lobes have mildly
    increased SI on FLAIR images.

   Focal cortical dysplasia of Taylor’s balloon cell type- markedly hyperintense funnel-
    shaped subcortical zone tapering toward the lateral ventricle is the characteristic
    FLAIR imaging finding

   In tuberous sclerosis- detection of hamartomatous lesions, is easier with FLAIR than
    with PD or T2-W sequences
   Embolic infarcts- Improved visualization

   Chronic infarctions- typically dark with a rim of high signal. Bright peripheral zone
    corresponds to gliosis, which is well seen on FLAIR and may be used to distinguish
    old lacunar infarcts from dilated perivascular spaces.
FLAIR
T2 W
Subarachnoid Hemorrhage (SAH):

   FLAIR imaging surpasses even CT in the detection of traumatic supratentorial SAH.

   It has been proposed that MR imaging with FLAIR, gradient-echo T2*-weighted,
    and rapid high-spatial resolution MR angiography could be used to evaluate patients
    with suspected acute SAH, possibly obviating the need for CT and intra-arterial
    angiography.

   With the availability of high-quality CT angiography, this approach may not be
    necessary.
FLAIR

FLAIR
DWI & ADC
DIFFUSION-WEIGHTED MRI
   Diffusion-weighted MRI is a example of endogenous contrast, using
    the motion of protons to produce signal changes

   DWI images is obtained by applying pairs of opposing and
    balanced magnetic field gradients (but of differing durations and
    amplitudes) around a spin-echo refocusing pulse of a T2 weighted
    sequence. Stationary water molecules are unaffected by the paired
    gradients, and thus retain their signal. Nonstationary water
    molecules acquire phase information from the first gradient, but are
    not rephased by the second gradient, leading to an overall loss of the
    MR signal
•   The normal motion of water molecules within living tissues is random
    (brownian motion).

•   In acute stroke, there is an alteration of homeostasis

•    Acute stroke causes excess intracellular water accumulation, or cytotoxic
    edema, with an overall decreased rate of water molecular diffusion within
    the affected tissue.

•   Reduction of extracellular space
•   Tissues with a higher rate of diffusion undergo a greater loss of signal in a
    given period of time than do tissues with a lower diffusion rate.
•   Therefore, areas of cytotoxic edema, in which the motion of water
    molecules is restricted, appear brighter on diffusion-weighted images
    because of lesser signal losses

   Restriction of DWI is not specific for stroke
descriptio   T1          T2          FLAIR      DWI         ADC
n

White        high        low         intermediat low        low
matter                               e
Grey         intermediat intermediat high       intermediat intermediat
matter       e           e                      e           e

CSF          low         high        low        low         high
 DW images usually performed with echo-planar sequences which
    markedly decrease imaging time, motion artifacts and increase sensitivity to
    signal changes due to molecular motion.

   The primary application of DW MR imaging has been in brain imaging,
    mainly because of its exquisite sensitivity to early detection of ischemic
    stroke
   The increased sensitivity of diffusion-weighted MRI in detecting
    acute ischemia is thought to be the result of the water shift
    intracellularly restricting motion of water protons (cytotoxic
    edema), whereas the conventional T2 weighted images show signal
    alteration mostly as a result of vasogenic edema
•   Core of infarct = irreversible damage
•   Surrounding ischemic area  may be salvaged
•   DWI: open a window of opportunity during which Tt is beneficial
•   Regions of high mobility “rapid diffusion”  dark
•   Regions of low mobility “slow diffusion”  bright
•   Difficulty: DWI is highly sensitive to all of types of motion (blood flow,
    pulsatility, patient motion).
   Ischemic Stroke
    Extra axial masses: arachnoid cyst versus epidermoid tumor
    Intracranial Infections
           Pyogenic infection
            Herpes encephalitis
            Creutzfeldt-Jakob disease
    Trauma
    Demyelination
APPARENT DIFFUSION COEFFICIENT
   It is a measure of diffusion
   Calculated by acquiring two or more images with a different gradient
    duration and amplitude (b-values)
   To differentiate T2 shine through effects or artifacts from real ischemic
    lesions.
   The lower ADC measurements seen with early ischemia,
   An ADC map shows parametric images containing the apparent diffusion
    coefficients of diffusion weighted images. Also called diffusion map
   The ADC may be useful for estimating the lesion age and
    distinguishing acute from subacute DWI lesions.

   Acute ischemic lesions can be divided into hyperacute lesions (low
    ADC and DWI-positive) and subacute lesions (normalized ADC).

   Chronic lesions can be differentiated from acute lesions by
    normalization of ADC and DWI.

   a tumour would exhibit more restricted apparent diffusion compared
    with a cyst because intact cellular membranes in a tumour would
    hinder the free movement of water molecules
NONISCHEMIC CAUSES FOR
DECREASED ADC
   Abscess

   Lymphoma and other tumors

   Multiple sclerosis

   Seizures

   Metabolic (Canavans )
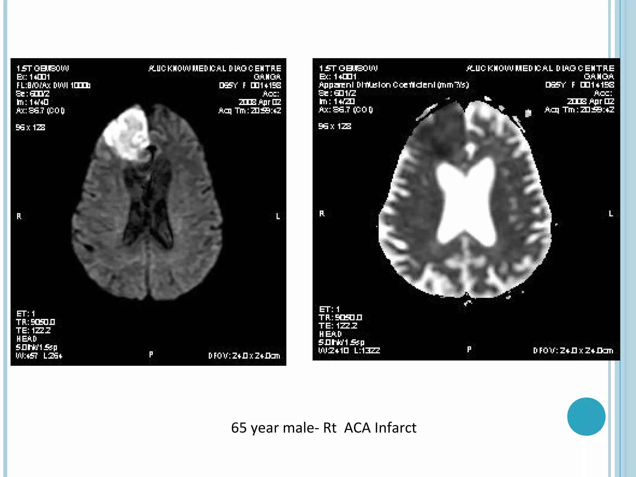
65 year male- Rt ACA Infarct
EVALUATION OF ACUTE STROKE ON DWI
   The DWI and ADC maps show changes in ischemic brain
    within minutes to few hours
   The signal intensity of acute stroke on DW images increase
    during the first week after symptom onset and decrease
    thereafter, but signal remains hyper intense for a long period
    (up to 72 days in the study by Lausberg et al)
   The ADC values decline rapidly after the onset of ischemia and
    subsequently increase from dark to bright 7-10 days later .
   This property may be used to differentiate the lesion older
    than 10 days from more acute ones (Fig 2).
    Chronic infarcts are characterized by elevated diffusion and
    appear hypo, iso or hyper intense on DW images and
    hyperintense on ADC maps
DW MR imaging characteristics of Various Disease Entities
                                             MR Signal Intensity

Disease                    DW Image         ADC Image     ADC            Cause
Acute Stroke               High             Low           Restricted     Cytotoxic edema


Chronic Strokes            Variable         High          Elevated       Gliosis


Hypertensive               Variable         High          Elevated       Vasogenic edema
encephalopathy
Arachnoid cyst             Low              High          Elevated       Free water
Epidermoid mass             High            Low           Restricted     Cellular tumor


Herpes encephalitis        High             Low           Restricted     Cytotoxic edema


CJD                        High             Low           Restricted     Cytotoxic edema


MS acute lesions           Variable         High          Elevated       Vasogenic edema


Chronic lesions            Variable         High          Elevated       Gliosis
CLINICAL USES OF DWI &
           ADC
Stroke:
   Hyperacute Stage:- within one hour minimal hyperintensity seen in DWI
    and ADC value decrease 30% or more below normal (Usually <50X10-4
    mm2/sec)
   Acute Stage:- Hyperintensity in DWI and ADC value low but after 5-
    7days of ictus ADC values increase and return to normal value
    (Pseudonormalization)
   Subacute to Chronic Stage:- ADC value are increased (Vasogenic edema)
    but hyperintensity still seen on DWI (T2 shine effect)
GRE
GRE
   In a GRE sequence, an RF pulse is applied that partly flips the
    NMV into the transverse plane (variable flip angle).

   Gradients, as opposed to RF pulses, are used to dephase (negative
    gradient) and rephase (positive gradients) transverse magnetization.

   Because gradients do not refocus field inhomogeneities, GRE
    sequences with long TEs are T2* weighted (because of magnetic
    susceptibility) rather than T2 weighted like SE sequences
GRE Sequences contd:

   This feature of GRE sequences is exploited- in detection of hemorrhage, as the iron
    in Hb becomes magnetized locally (produces its own local magnetic field) and thus
    dephases the spinning nuclei.

   The technique is particularly helpful for diagnosing hemorrhagic contusions such as
    those in the brain and in pigmented villonodular synovitis.

   SE sequences, on the other hand- relatively immune from magnetic susceptibility
    artifacts, and also less sensitive in depicting hemorrhage and calcification.
FLAIR                                       GRE

        Hemorrhage in right parietal lobe
GRE Sequences contd:

Magnetic susceptibility imaging-

     - Basis of cerebral perfusion studies, in which the T2* effects (ie, signal decrease)
    created by gadolinium (a metal injected intravenously as a chelated ion in aqueous
    solution, typically in the form of gadopentetate dimeglumine) are sensitively depicted
    by GRE sequences.

    - Also used in blood oxygenation level–dependent (BOLD) imaging, in which the
    relative amount of deoxyhemoglobin in the cerebral vasculature is measured as a
    reflection of neuronal activity. BOLD MR imaging is widely used for mapping of
    human brain function.
GRADIENT ECHO

Pros:
 fast technique



Cons:
 More sensitive to magnetic susceptibility artifacts

 Clinical use:

 eg. Hemorrhage , calcification
Axial T1 (C), T2 (D), and GRE (E) images show corresponding T1-hyperintense and GRE-
hypointense foci with associated T2 hyperintensity (arrows).
MRS & MT-MRI
MR SPECTROSCOPY
   Magnetic resonance spectroscopy (MRS) is a means of
    noninvasive physiologic imaging of the brain that
    measures relative levels of various tissue metabolites
   Purcell and Bloch (1952) first detected NMR signals from
    magnetic dipoles of nuclei when placed in an external
    magnetic field.
   Initial in vivo brain spectroscopy studies were done in the
    early 1980s.
   Today MRS-in particular, IH MRS-has become a valuable
    physiologic imaging tool with wide clinical applicability.
PRINCIPLES:
   The radiation produced by any substance is dependent on its atomic
    composition.
   Spectroscopy is the determination of this chemical composition of a
    substance by observing the spectrum of electromagnetic energy emerging
    from or through it.
   NMR is based on the principle that some nuclei have associated magnetic
    spin properties that allow them to behave like small magnet.
   In the presence of an externally applied magnetic field, the
    magnetic nuclei interact with that field and distribute themselves to
    different energy levels.
   These energy states correspond to the proton nuclear spins, either
    aligned in the direction of (low-energy spin state) or against the applied
    magnetic field (high-energy spin state).
   If energy is applied to the system in the form of a radiofrequency
    (RF) pulse that exactly matches the energy between both states. a
    condition of resonance occurs.
   Chemical elements having different atomic numbers such as
    hydrogen ('H) and phosphorus (31P) resonate at different
    Larmor RFs.
   Small change in the local magnetic field, the nucleus of the atom
    resonates at a shifted Larmor RF.
   This phenomenon is called the chemical shift.
TECHNIQUE:
Single volume and Multivolume MRS.
1) Single volume:
      Stimulated echo acquisition mode (STEAM)
      Point-resolved spectroscopy (PRESS)
     It gives a better signal-to noise ratio
2) Multivolume MRS:
      chemical shift imaging (CSI) or spectroscopic imaging (SI)
   much larger area can be covered, eliminating the sampling error to an extent
    but significant weakening in the signal-to-noise ratio and a longer scan time.
   Time of echo: 35 ms and 144ms.
   Resonance frequencies on the x-axis and amplitude (concentration) on the y-
    axis.
EFFECT OF TE ON THE PEAKS


__________
TE 35ms
___________




___________
TE 144ms
__________
NORMAL MRS   CHOLINE   CREATINE
    NAA
MULTI VOXEL MRS
MULTIVOXEL MRS
OBSERVABLE METABOLITES
Metabolite   Location     Normal function            Increased
               ppm
 Lipids       0.9 & 1.3    Cell membrane       Hypoxia, trauma, high
                             component           grade neoplasia.


Lactate      1.3          Denotes anaerobic   Hypoxia, stroke, necrosis,
             TE=272           glycolysis       mitochondrial diseases,
             (upright)                           neoplasia, seizure
             TE=136
             (inverted)

 Alanine         1.5         Amino acid             Meningioma



 Acetate         1.9         Anabolic                Abscess ,
                             precursor               Neoplasia,
PRINCIPLE METABOLITES
MetaboliteLocation Normal Increased                         Decreased
               ppm         function
   NAA           2        Nonspecific       Canavan’s      Neuronal loss,
                           neuronal          disease           stroke,
                            marker                         dementia, AD,
                         (Reference for                       hypoxia,
                         chemical shift)                     neoplasia,
                                                              abscess

Glutamate ,   2.1- 2.4                     Hypoxia, HE     Hyponatremia
glutamine,               Neurotransmit
  GABA                       ter
Succinate       2.4      Part of TCA       Brain abscess
                             cycle
 Creatine      3.03       Cell energy        Trauma,       Stroke, hypoxia,
                            marker         hyperosmolar        neoplasia
                         (Reference for        state
                           metabolite
                             ratio)
Metabolite    Location    Normal      Increased      Decreased
                ppm      function




 Choline         3.2     Marker of     Neoplasia,    Hypomyelinat
                         cell memb   demyelination       ion
                          turnover       (MS)




Myoinositol    3.5 & 4   Astrocyte        AD
                          marker     Demyelinatin
                                      g diseases
METABOLITE RATIOS:

           Normal   abnormal

NAA/ Cr    2.0      <1.6

NAA/ Cho   1.6      <1.2

Cho/Cr     1.2      >1.5

Cho/NAA    0.8      >0.9

Myo/NAA    0.5      >0.8
MRS




  Inc Cho/Cr                               Dec NAA/Cr          Dec
   Myo/NAA         Slightly inc Cho/ Cr    Inc acetate,       NAA/Cr
    Cho/NAA              Cho/NAA            succinate,       Dec NAA/
 Dec NAA/Cr         Normal Myo/NAA         amino acid,         Cho
 ± lipid/lactate      ± lipid/lactate        lactate            Inc
                                                             Myo/NAA




                   Demyelinatin
Malignancy                                                Neuodegene
                     g disease            Pyogenic
                                           abscess           rative
                                                           Alzheimer
CLINICAL APPLICATIONS OF MRS:
    Class A MRS Applications: Useful in Individual Patients
1)      MRS of brain masses:
    Distinguish neoplastic from non neoplastic masses
    Primary from metastatic masses.
    Tumor recurrence vs radiation necrosis
    Prognostication of the disease
    Mark region for stereotactic biopsy.
    Monitoring response to treatment.
    Research tool
2)    MRS of Inborn Errors of Metabolism
       Include the leukodystrophies, mitochondrial disorders, and enzyme defects that
     cause an absence or accumulation of metabolites
CLASS B MRS APPLICATIONS: OCCASIONALLY USEFUL IN
INDIVIDUAL PATIENTS

1) Ischemia, Hypoxia, and Related Brain Injuries
   Ischemic stroke
   Hypoxic ischemic encephalopathy.
2)Epilepsy


Class C Applications: Useful Primarily in Groups of Patients (Research)
   HIV disease and the brain
   Neurodegenerative disorders
   Amyotrophic lateral sclerosis
   Multiple sclerosis
   Hepatic encephalopathy
   Psychiatric disorders
MAGNETIZATION TRANSFER (MT) MRI

   MT is a recently developed MR technique that alters contrast of tissue on
    the basis of macromolecular environments.
   MTC is most useful in two basic area, improving image contrast and tissue
    characterization.
   MT is accepted as an additional way to generate unique contrast in MRI
    that can be used to our advantage in a variety of clinical applications.
Magnetization transfer (MT) contd:-

   Basis of the technique: that the state of magnetization of an atomic nucleus can be
    transferred to a like nucleus in an adjacent molecule with different relaxation
    characteristics.

   Acc. to this theory- H1 proton spins in water molecules can exchange magnetization
    with H1 protons of much larger molecules, such as proteins and cell membranes.

   Consequence is that the observed relaxation times may reflect not only the properties
    of water protons but also, indirectly, the characteristics of the macromolecular
    solidlike environment

   MT occurs when RF saturation pulses are placed far from the resonant frequency of
    water into a component of the broad macromolecular pool .
Magnetization transfer (MT) contd:-

   These off-resonance pulses, which may be added to standard MR pulse sequences,
    reduce the longitudinal magnetization of the restricted protons to zero without
    directly affecting the free water protons.
   The initial MT occurs between the macromolecular protons and the transiently
    bound hydration layer protons on the surface of large molecules’
   Saturated bound hydration layer protons then diffuse and mix with the free water
    proton pool
   Saturation is transferred to the mobile water protons, reducing their longitudinal
    magnetization, which results in decreased signal intensity and less brightness on
    MR images.
Magnetization transfer (MT) contd:-

   The MT effect is superimposed on the intrinsic contrast of the baseline image

   Amount of signal loss on MT images correlates with the amount of macromolecules
    in a given tissue and the efficiency of the magnetization exchange

 MT characteristically:
Reduces the SI of some solid like tissues, such as most of the brain and spinal cord
Does not influence liquid like tissues significantly, such as the cerebrospinal fluid
  (CSF)
MT Effect
CLINICAL APPLICATION
•   Useful diagnostic tool in characterization of a variety of CNS infection
•   In detection and diagnosis of meningitis , encephalitis, CNS tuberculosis ,
    neurocysticercosis and brain abscess.
     TUBERCULOMA
•   Pre-contrast T1-W MT imaging helps to better assess the disease load in CNS
    tuberculosis by improving the detectability of the lesions, with more number
    of tuberculomas detected on pre-contrast MT images compared to routine SE
    images
•   It may also be possible to differentiate T2 hypo intense tuberculoma from T2
    hypo intense cysticerus granuloma with the use of MTR, as cysticercus
    granulomas show significantly higher MT ratio compared to tuberculomas
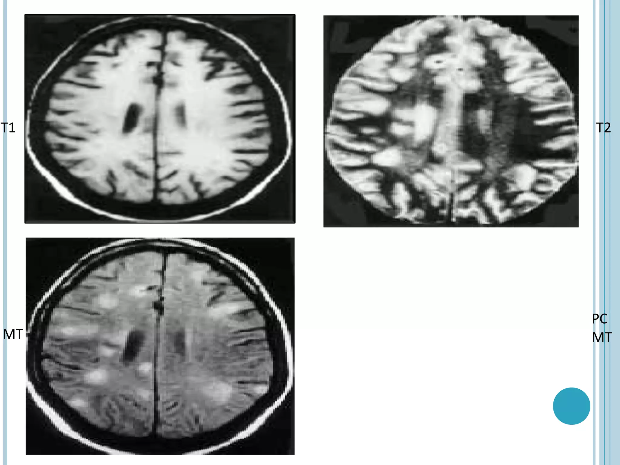
T1   T2




     PC
MT   MT
NEUROCYSTICERCOSIS
Findings vary with the stage of disease
   T1-W MT images are also important in demonstrating perilesional gliosis in
    treated neurocysticercus lesions
   Gliotic areas show low MTR compared to the gray matter and white matter.
    So appear as hyperintense

    BRAIN ABSCESS
   Lower MTR from tubercular abscess wall in comparison to wall of
    pyogenic abscess(~20 vs. ~26)
Magnetization transfer (MT) contd:-
Qualitative applications:
   MR angiography,
   postcontrast studies
   spine imaging
 MT pulses have a greater influence on brain tissue (d/t high conc. of structured
  macromolecules such as cholesterol and lipid) than on stationary blood.
 By reducing the background signal vessel-to-brain contrast is accentuated,

 Not helpful when MR angiography is used for the detection and characterization of
  cerebral aneurysms.
GRE images of the cervical spine without (A) and with (B) MT
       show improved CSF–spinal cord contrast
Magnetization transfer (MT) contd:-
Quantitative applications:

   Multiple sclerosis: discriminates multiple sclerosis & other demyelinating disorders,
    provides measure of total lesion load, assess the spinal cord lesion burden and to
    monitor the response to different treatments of multiple sclerosis
   systemic lupus erythematosus,
   CADASIL (cerebral autosomal dominant arteriopathy with subcortical infarcts and
    leukoencephalopathy),
   Multiple system atrophy,
   Amyotrophic lateral sclerosis,
   Schizophrenia
   Alzheimer’s disease
MTR Quantitative applications contd:
 May be used to differentiate between progressive multifocal leukoencephalopathy
  and HIV encephalitis
 To detect axonal injury in normal appearing splenium of corpus callosum after head
  trauma
 In chronic liver failure, diffuse MTR abnormalities have been found in normal
  appearing brain, which return to normal following liver transplantation
MRA & MRV
MR ANGIOGRAPHY

TECHNIQUES




      1.TIME OF FLIGHT (TOF)


      2.PHASE CONTRAST (PC)


      3.CONTRAST ENHANCED MRA (CE MRA)
TOF MRA
Signal from “flight” of unsaturated blood into image
No contrast agent injected
Motion artifact
Non-uniform blood signal

 PC MRA
Phase shifts in moving spins (i.e. blood) are measured
Phase is proportional to velocity
Allows quantification of blood flow and velocity

CE MRA
T1-shortening agent, Gadolinium, injected iv as contrast
Gadolinium reduces T1 relaxation time
When TR<<T1, minimal signal from background tissues
Result is increased signal from Gd containing structures
Faster gradients allow imaging in a single breathhold
2D AND 3D FOURIER TRASFORM
   In 2DFT technique, multiple thin sections of body are studied individually and even
    slow flow is identified

   In 3DFT technique , a large volume of tissue is studied ,which can be subsequently
    partitioned into individual slices, hence high resolution can be obtained and flow
    artifacts are minimised, and less likely to be affected by loops and tortusity of
    vessels

   MOTSA(multiple overlapping thin slab acquisition): prevents proton saturation
    across the slab. This technique have advantage of both 2D and 3D studies. It is better
    than 3D TOF MRA in correctly identifying vascular loops and tortusity,and have
    lesser chances of overestimating carotid stenosis.
MRA CRANIAL VIEW


                   1.    Anterior cerebral artery
                   2.    Anterior communicating artery
                   3.    Basilar artery
                   4.    branches (in insula) of middle
                         cerebral artery
                   5.    Cavernous portion of internal
                         carotid artery
                   6.    Cervical portion of internal
                         carotid artery
                   7.    Genu of middle cerebral
                         artery
                   8.    Intracranial (supraclinoid)
                         internal carotid artery
                   9.    Middle cerebral artery
                   10.   Ophthalmic artery
                   11.   Petrous portion of internal
                         carotid artery
                   12.   Posterior cerebral artery
                   13.   Posterior cerebral artery in
                         ambient cistern
                   14.   posterior cerebral artery in
                         interpeduncular cistern
                   15.   Posterior communicating artery
                   16.   Posterior inf cerebellar
                         artery.
                   17.   Quadrigeminal portion of
                         posterior cerebral artery
                   18.   Superior cerebellar artery
                   19.   Vertebral artery
MRA lateral view

             1.    Anterior cerebral artery
             2.    Anterior communicating artery
             3.    Basilar artery
             4.    branches (in insula) of middle cerebral
                   artery
             5.    Cavernous portion of internal carotid
                   artery
             6.    Cervical portion of internal carotid
                   artery
             7.    Genu of middle cerebral artery
             8.    Intracranial (supraclinoid) internal
                   carotid artery
             9.    Middle cerebral artery
             10.   Ophthalmic artery
             11.   Petrous portion of internal carotid artery
             12.   Posterior cerebral artery
             13.   Posterior cerebral artery in ambient
                   cistern
             14.   posterior cerebral artery in
                   interpeduncular cistern
             15.   Posterior communicating artery
             16.   Posterior inf cerebellar artery.
             17.   Quadrigeminal portion of posterior
                   cerebral artery
             18.   Superior cerebellar artery
             19.   Vertebral artery
Magnetic Resonance Venography (MRV)

                                      Indications

For evaluation of thrombosis or compression by tumor of the cerebral venous sinus
in members who are at risk
(e.g., otitis media, meningitis, sinusitis, oral contraceptive use, underlying malignant
process,hypercoagulable disorders)

or have signs or symptoms
(e.g., papilledema, focal motor or sensory deficits, seizures,    or drowsiness and
confusion accompanying a headache);
NORMAL MRV LATERAL VIEW
NORMAL MRV OBLIQUE VIEW
NORMAL MRV AP VIEW
THANK YOU

MRI sequences

  • 1.
    MRI SEQUENCES Tushar Patil, MD Senior Resident Department of Neurology King George’s Medical University Lucknow, India
  • 2.
    MRI PRINCIPLE  MRI is based on the principle of nuclear magnetic resonance (NMR)  Two basic principles of NMR 1. Atoms with an odd number of protons or neutrons have spin 2. A moving electric charge, be it positive or negative, produces a magnetic field  Body has many such atoms that can act as good MR nuclei ( 1H, 13 C, 19F, 23Na)  Hydrogen nuclei is one of them which is not only positively charged, but also has magnetic spin  MRI utilizes this magnetic spin property of protons of hydrogen to elicit images
  • 3.
    WHY HYDROGEN IONSARE USED IN MRI?  Hydrogen nucleus has an unpaired proton which is positively charged  Every hydrogen nucleus is a tiny magnet which produces small but noticeable magnetic field  Hydrogen atom is the only major species in the body that is MR sensitive  Hydrogen is abundant in the body in the form of water and fat  Essentially all MRI is hydrogen (proton) imaging
  • 4.
    BODY IN ANEXTERNAL MAGNETIC FIELD (B0) •In our natural state Hydrogen ions in body are spinning in a haphazard fashion, and cancel all the magnetism. •When an external magnetic field is applied protons in the body align in one direction. (As the compass aligns in the presence of earth’s magnetic field)
  • 5.
    NET MAGNETIZATION  Half of the protons align along the magnetic field and rest are aligned opposite .  At room temperature, the population ratio of anti- parallel versus parallel protons is roughly 100,000 to 100,006 per Tesla of B0  These extra protons produce net magnetization vector (M)  Net magnetization depends on B0 and temperature
  • 6.
    MANIPULATING THE NET MAGNETIZATION  Magnetization can be manipulated by changing the magnetic field environment (static, gradient, and RF fields)  RF waves are used to manipulate the magnetization of H nuclei  Externally applied RF waves perturb magnetization into different axis (transverse axis). Only transverse magnetization produces signal.  When perturbed nuclei return to their original state they emit RF signals which can be detected with the help of receiving coils
  • 7.
    T1 AND T2RELAXATION  When RF pulse is stopped higher energy gained by proton is retransmitted and hydrogen nuclei relax by two mechanisms  T1 or spin lattice relaxation- by which original magnetization (Mz) begins to recover.  T2 relaxation or spin spin relaxation - by which magnetization in X-Y plane decays towards zero in an exponential fashion. It is due to incoherence of H nuclei.  T2 values of CNS tissues are shorter than T1 values
  • 8.
    T1 RELAXATION After protonsare Excited with RF pulse They move out of Alignment with B0 But once the RF Pulse is stopped they Realign after some Time And this is called t1 relaxation T1 is defined as the time it takes for the hydrogen nucleus to recover 63% of its longitudinal magnetization
  • 9.
    T2 relaxation timeis the time for 63% of the protons to become dephased owing to interactions among nearby protons.
  • 10.
    TR AND TE  TE (echo time) : time interval in which signals are measured after RF excitation  TR (repetition time) : the time between two excitations is called repetition time  By varying the TR and TE one can obtain T1WI and T2WI  In general a short TR (<1000ms) and short TE (<45 ms) scan is T1WI  Long TR (>2000ms) and long TE (>45ms) scan is T2WI  Long TR (>2000ms) and short TE (<45ms) scan is proton density image
  • 11.
    Different tissues havedifferent relaxation times. These relaxation time differences is used to generate image contrast.
  • 12.
    TYPES OF MRIIMAGINGS  T1WI  MRA  T2WI  MRV  FLAIR  STIR  DWI  ADC  GRE  MRS  MT  Post-Gd images
  • 13.
    T1 & T2W IMAGING
  • 14.
    GRADATION OF INTENSITY IMAGING CTSCAN CSF Edema White Gray Blood Bone Matter Matter MRI T1 CSF Edema Gray White Cartilage Fat Matter Matter MRI T2 Cartilag Fat White Gray Edema CSF e Matter Matter MRI T2 CSF Cartilage Fat White Gray Edema Flair Matter Matter
  • 15.
    CT SCAN MRI T1 Weighted MRI T2 Weighted MRI T2 Flair
  • 16.
    DARK ON T1  Edema,tumor,infection,inflammation,hemorrhage(hyperacute,chronic)  Low proton density,calcification  Flow void
  • 17.
    BRIGHT ON T1  Fat,subacute hemorrhage,melanin,protein rich fluid.  Slowly flowing blood  Paramagnetic substances(gadolinium,copper,manganese)  9
  • 18.
    BRIGHT ON T2  Edema,tumor,infection,inflammation,subdural collection  Methemoglobin in late subacute hemorrhage
  • 19.
    DARK ON T2  Low proton density,calcification,fibrous tissue  Paramagnetic substances(deoxy hemoglobin,methemoglobin(intracellular),ferritin,hemosiderin,melanin.  Protein rich fluid  Flow void
  • 20.
    WHICH SCAN BESTDEFINES THE ABNORMALITY T1 W Images: Subacute Hemorrhage Fat-containing structures Anatomical Details T2 W Images: Edema Demyelination Infarction Chronic Hemorrhage FLAIR Images: Edema, Demyelination Infarction esp. in Periventricular location
  • 21.
  • 22.
    CONVENTIONAL INVERSION RECOVERY -180° preparatory pulse is applied to flip the net magnetization vector 180° and null the signal from a particular entity (eg, water in tissue). -When the RF pulse ceases, the spinning nuclei begin to relax. When the net magnetization vector for water passes the transverse plane (the null point for that tissue), the conventional 90° pulse is applied, and the SE sequence then continues as before. -The interval between the 180° pulse and the 90° pulse is the TI ( Inversion Time).
  • 23.
    Conventional Inversion RecoveryContd:  At TI, the net magnetization vector of water is very weak, whereas that for body tissues is strong. When the net magnetization vectors are flipped by the 90° pulse, there is little or no transverse magnetization in water, so no signal is generated (fluid appears dark), whereas signal intensity ranges from low to high in tissues with a stronger NMV.  Two important clinical implementations of the inversion recovery concept are: Short TI inversion-recovery (STIR) sequence Fluid-attenuated inversion-recovery (FLAIR) sequence.
  • 24.
    SHORT TI INVERSION-RECOVERY(STIR) SEQUENCE  In STIR sequences, an inversion-recovery pulse is used to null the signal from fat (180° RF Pulse).  When NMV of fat passes its null point , 90° RF pulse is applied. As little or no longitudinal magnetization is present and the transverse magnetization is insignificant.  It is transverse magnetization that induces an electric current in the receiver coil so no signal is generated from fat.  STIR sequences provide excellent depiction of bone marrow edema which may be the only indication of an occult fracture.  Unlike conventional fat-saturation sequences STIR sequences are not affected by magnetic field inhomogeneities, so they are more efficient for nulling the signal from fat
  • 25.
    FSE STIR Comparison of fast SE and STIR sequences for depiction of bone marrow edema
  • 26.
    FLUID-ATTENUATED INVERSION RECOVERY (FLAIR)  First described in 1992 and has become one of the corner stones of brain MR imaging protocols  An IR sequence with a long TR and TE and an inversion time (TI) that is tailored to null the signal from CSF  In contrast to real image reconstruction, negative signals are recorded as positive signals of the same strength so that the nulled tissue remains dark and all other tissues have higher signal intensities.
  • 27.
    Most pathologic processes show increased SI on T2-WI, and the conspicuity of lesions that are located close to interfaces b/w brain parenchyma and CSF may be poor in conventional SE or FSE T2-WI sequences.  FLAIR images are heavily T2-weighted with CSF signal suppression, highlights hyperintense lesions and improves their conspicuity and detection, especially when located adjacent to CSF containing spaces
  • 28.
    In addition to T2- weightening, FLAIR possesses considerable T1-weighting, because it largely depends on longitudinal magnetization  As small differences in T1 characteristics are accentuated, mild T1-shortening becomes conspicuous.  This effect is prominent in the CSF-containing spaces, where increased protein content results in high SI (eg, associated with sub-arachnoid space disease)  High SI of hyperacute SAH is caused by T2 prolongation in addition to T1 shortening
  • 29.
    Clinical Applications:  Used to evaluate diseases affecting the brain parenchyma neighboring the CSF- containing spaces for eg: MS & other demyelinating disorders.  Unfortunately, less sensitive for lesions involving the brainstem & cerebellum, owing to CSF pulsation artifacts  Helpful in evaluation of neonates with perinatal HIE.  Useful in evaluation of gliomatosis cerebri owing to its superior delineation of neoplastic spread  Useful for differentiating extra-axial masses eg. epidermoid cysts from arachnoid cysts. However, distinction is more easier & reliable with DWI.
  • 30.
    Mesial temporal sclerosis: m/c pathology in patients with partial complex seizures.Thin-section coronal FLAIR is the standard sequence in these patients & seen as a bright small hippocampus on dark background of suppressed CSF- containing spaces. However, normally also mesial temporal lobes have mildly increased SI on FLAIR images.  Focal cortical dysplasia of Taylor’s balloon cell type- markedly hyperintense funnel- shaped subcortical zone tapering toward the lateral ventricle is the characteristic FLAIR imaging finding  In tuberous sclerosis- detection of hamartomatous lesions, is easier with FLAIR than with PD or T2-W sequences
  • 31.
    Embolic infarcts- Improved visualization  Chronic infarctions- typically dark with a rim of high signal. Bright peripheral zone corresponds to gliosis, which is well seen on FLAIR and may be used to distinguish old lacunar infarcts from dilated perivascular spaces.
  • 32.
  • 33.
    Subarachnoid Hemorrhage (SAH):  FLAIR imaging surpasses even CT in the detection of traumatic supratentorial SAH.  It has been proposed that MR imaging with FLAIR, gradient-echo T2*-weighted, and rapid high-spatial resolution MR angiography could be used to evaluate patients with suspected acute SAH, possibly obviating the need for CT and intra-arterial angiography.  With the availability of high-quality CT angiography, this approach may not be necessary.
  • 34.
  • 35.
  • 36.
    DIFFUSION-WEIGHTED MRI  Diffusion-weighted MRI is a example of endogenous contrast, using the motion of protons to produce signal changes  DWI images is obtained by applying pairs of opposing and balanced magnetic field gradients (but of differing durations and amplitudes) around a spin-echo refocusing pulse of a T2 weighted sequence. Stationary water molecules are unaffected by the paired gradients, and thus retain their signal. Nonstationary water molecules acquire phase information from the first gradient, but are not rephased by the second gradient, leading to an overall loss of the MR signal
  • 37.
    The normal motion of water molecules within living tissues is random (brownian motion). • In acute stroke, there is an alteration of homeostasis • Acute stroke causes excess intracellular water accumulation, or cytotoxic edema, with an overall decreased rate of water molecular diffusion within the affected tissue.  • Reduction of extracellular space • Tissues with a higher rate of diffusion undergo a greater loss of signal in a given period of time than do tissues with a lower diffusion rate. • Therefore, areas of cytotoxic edema, in which the motion of water molecules is restricted, appear brighter on diffusion-weighted images because of lesser signal losses  Restriction of DWI is not specific for stroke
  • 38.
    descriptio T1 T2 FLAIR DWI ADC n White high low intermediat low low matter e Grey intermediat intermediat high intermediat intermediat matter e e e e CSF low high low low high
  • 39.
     DW imagesusually performed with echo-planar sequences which markedly decrease imaging time, motion artifacts and increase sensitivity to signal changes due to molecular motion.  The primary application of DW MR imaging has been in brain imaging, mainly because of its exquisite sensitivity to early detection of ischemic stroke
  • 40.
    The increased sensitivity of diffusion-weighted MRI in detecting acute ischemia is thought to be the result of the water shift intracellularly restricting motion of water protons (cytotoxic edema), whereas the conventional T2 weighted images show signal alteration mostly as a result of vasogenic edema
  • 41.
    Core of infarct = irreversible damage • Surrounding ischemic area  may be salvaged • DWI: open a window of opportunity during which Tt is beneficial • Regions of high mobility “rapid diffusion”  dark • Regions of low mobility “slow diffusion”  bright • Difficulty: DWI is highly sensitive to all of types of motion (blood flow, pulsatility, patient motion).
  • 44.
    Ischemic Stroke  Extra axial masses: arachnoid cyst versus epidermoid tumor  Intracranial Infections Pyogenic infection Herpes encephalitis Creutzfeldt-Jakob disease  Trauma  Demyelination
  • 45.
    APPARENT DIFFUSION COEFFICIENT  It is a measure of diffusion  Calculated by acquiring two or more images with a different gradient duration and amplitude (b-values)  To differentiate T2 shine through effects or artifacts from real ischemic lesions.  The lower ADC measurements seen with early ischemia,  An ADC map shows parametric images containing the apparent diffusion coefficients of diffusion weighted images. Also called diffusion map
  • 46.
    The ADC may be useful for estimating the lesion age and distinguishing acute from subacute DWI lesions.  Acute ischemic lesions can be divided into hyperacute lesions (low ADC and DWI-positive) and subacute lesions (normalized ADC).  Chronic lesions can be differentiated from acute lesions by normalization of ADC and DWI.  a tumour would exhibit more restricted apparent diffusion compared with a cyst because intact cellular membranes in a tumour would hinder the free movement of water molecules
  • 47.
    NONISCHEMIC CAUSES FOR DECREASEDADC  Abscess  Lymphoma and other tumors  Multiple sclerosis  Seizures  Metabolic (Canavans )
  • 48.
    65 year male-Rt ACA Infarct
  • 49.
    EVALUATION OF ACUTESTROKE ON DWI  The DWI and ADC maps show changes in ischemic brain within minutes to few hours  The signal intensity of acute stroke on DW images increase during the first week after symptom onset and decrease thereafter, but signal remains hyper intense for a long period (up to 72 days in the study by Lausberg et al)  The ADC values decline rapidly after the onset of ischemia and subsequently increase from dark to bright 7-10 days later .  This property may be used to differentiate the lesion older than 10 days from more acute ones (Fig 2).  Chronic infarcts are characterized by elevated diffusion and appear hypo, iso or hyper intense on DW images and hyperintense on ADC maps
  • 51.
    DW MR imagingcharacteristics of Various Disease Entities MR Signal Intensity Disease DW Image ADC Image ADC Cause Acute Stroke High Low Restricted Cytotoxic edema Chronic Strokes Variable High Elevated Gliosis Hypertensive Variable High Elevated Vasogenic edema encephalopathy Arachnoid cyst Low High Elevated Free water Epidermoid mass High Low Restricted Cellular tumor Herpes encephalitis High Low Restricted Cytotoxic edema CJD High Low Restricted Cytotoxic edema MS acute lesions Variable High Elevated Vasogenic edema Chronic lesions Variable High Elevated Gliosis
  • 52.
    CLINICAL USES OFDWI & ADC Stroke:  Hyperacute Stage:- within one hour minimal hyperintensity seen in DWI and ADC value decrease 30% or more below normal (Usually <50X10-4 mm2/sec)  Acute Stage:- Hyperintensity in DWI and ADC value low but after 5- 7days of ictus ADC values increase and return to normal value (Pseudonormalization)  Subacute to Chronic Stage:- ADC value are increased (Vasogenic edema) but hyperintensity still seen on DWI (T2 shine effect)
  • 53.
  • 54.
    GRE  In a GRE sequence, an RF pulse is applied that partly flips the NMV into the transverse plane (variable flip angle).  Gradients, as opposed to RF pulses, are used to dephase (negative gradient) and rephase (positive gradients) transverse magnetization.  Because gradients do not refocus field inhomogeneities, GRE sequences with long TEs are T2* weighted (because of magnetic susceptibility) rather than T2 weighted like SE sequences
  • 55.
    GRE Sequences contd:  This feature of GRE sequences is exploited- in detection of hemorrhage, as the iron in Hb becomes magnetized locally (produces its own local magnetic field) and thus dephases the spinning nuclei.  The technique is particularly helpful for diagnosing hemorrhagic contusions such as those in the brain and in pigmented villonodular synovitis.  SE sequences, on the other hand- relatively immune from magnetic susceptibility artifacts, and also less sensitive in depicting hemorrhage and calcification.
  • 56.
    FLAIR GRE Hemorrhage in right parietal lobe
  • 57.
    GRE Sequences contd: Magneticsusceptibility imaging-  - Basis of cerebral perfusion studies, in which the T2* effects (ie, signal decrease) created by gadolinium (a metal injected intravenously as a chelated ion in aqueous solution, typically in the form of gadopentetate dimeglumine) are sensitively depicted by GRE sequences.  - Also used in blood oxygenation level–dependent (BOLD) imaging, in which the relative amount of deoxyhemoglobin in the cerebral vasculature is measured as a reflection of neuronal activity. BOLD MR imaging is widely used for mapping of human brain function.
  • 58.
    GRADIENT ECHO Pros:  fasttechnique Cons:  More sensitive to magnetic susceptibility artifacts  Clinical use:  eg. Hemorrhage , calcification
  • 59.
    Axial T1 (C),T2 (D), and GRE (E) images show corresponding T1-hyperintense and GRE- hypointense foci with associated T2 hyperintensity (arrows).
  • 60.
  • 61.
    MR SPECTROSCOPY  Magnetic resonance spectroscopy (MRS) is a means of noninvasive physiologic imaging of the brain that measures relative levels of various tissue metabolites  Purcell and Bloch (1952) first detected NMR signals from magnetic dipoles of nuclei when placed in an external magnetic field.  Initial in vivo brain spectroscopy studies were done in the early 1980s.  Today MRS-in particular, IH MRS-has become a valuable physiologic imaging tool with wide clinical applicability.
  • 62.
    PRINCIPLES:  The radiation produced by any substance is dependent on its atomic composition.  Spectroscopy is the determination of this chemical composition of a substance by observing the spectrum of electromagnetic energy emerging from or through it.  NMR is based on the principle that some nuclei have associated magnetic spin properties that allow them to behave like small magnet.  In the presence of an externally applied magnetic field, the magnetic nuclei interact with that field and distribute themselves to different energy levels.  These energy states correspond to the proton nuclear spins, either aligned in the direction of (low-energy spin state) or against the applied magnetic field (high-energy spin state).
  • 63.
    If energy is applied to the system in the form of a radiofrequency (RF) pulse that exactly matches the energy between both states. a condition of resonance occurs.  Chemical elements having different atomic numbers such as hydrogen ('H) and phosphorus (31P) resonate at different Larmor RFs.  Small change in the local magnetic field, the nucleus of the atom resonates at a shifted Larmor RF.  This phenomenon is called the chemical shift.
  • 64.
    TECHNIQUE: Single volume andMultivolume MRS. 1) Single volume:  Stimulated echo acquisition mode (STEAM)  Point-resolved spectroscopy (PRESS)  It gives a better signal-to noise ratio 2) Multivolume MRS:  chemical shift imaging (CSI) or spectroscopic imaging (SI)  much larger area can be covered, eliminating the sampling error to an extent but significant weakening in the signal-to-noise ratio and a longer scan time.  Time of echo: 35 ms and 144ms.  Resonance frequencies on the x-axis and amplitude (concentration) on the y- axis.
  • 65.
    EFFECT OF TEON THE PEAKS __________ TE 35ms ___________ ___________ TE 144ms __________
  • 66.
    NORMAL MRS CHOLINE CREATINE NAA
  • 67.
  • 68.
  • 69.
    OBSERVABLE METABOLITES Metabolite Location Normal function Increased ppm Lipids 0.9 & 1.3 Cell membrane Hypoxia, trauma, high component grade neoplasia. Lactate 1.3 Denotes anaerobic Hypoxia, stroke, necrosis, TE=272 glycolysis mitochondrial diseases, (upright) neoplasia, seizure TE=136 (inverted) Alanine 1.5 Amino acid Meningioma Acetate 1.9 Anabolic Abscess , precursor Neoplasia,
  • 70.
    PRINCIPLE METABOLITES MetaboliteLocation NormalIncreased Decreased ppm function NAA 2 Nonspecific Canavan’s Neuronal loss, neuronal disease stroke, marker dementia, AD, (Reference for hypoxia, chemical shift) neoplasia, abscess Glutamate , 2.1- 2.4 Hypoxia, HE Hyponatremia glutamine, Neurotransmit GABA ter Succinate 2.4 Part of TCA Brain abscess cycle Creatine 3.03 Cell energy Trauma, Stroke, hypoxia, marker hyperosmolar neoplasia (Reference for state metabolite ratio)
  • 71.
    Metabolite Location Normal Increased Decreased ppm function Choline 3.2 Marker of Neoplasia, Hypomyelinat cell memb demyelination ion turnover (MS) Myoinositol 3.5 & 4 Astrocyte AD marker Demyelinatin g diseases
  • 72.
    METABOLITE RATIOS: Normal abnormal NAA/ Cr 2.0 <1.6 NAA/ Cho 1.6 <1.2 Cho/Cr 1.2 >1.5 Cho/NAA 0.8 >0.9 Myo/NAA 0.5 >0.8
  • 73.
    MRS IncCho/Cr Dec NAA/Cr Dec Myo/NAA Slightly inc Cho/ Cr Inc acetate, NAA/Cr Cho/NAA Cho/NAA succinate, Dec NAA/ Dec NAA/Cr Normal Myo/NAA amino acid, Cho ± lipid/lactate ± lipid/lactate lactate Inc Myo/NAA Demyelinatin Malignancy Neuodegene g disease Pyogenic abscess rative Alzheimer
  • 74.
    CLINICAL APPLICATIONS OFMRS:  Class A MRS Applications: Useful in Individual Patients 1) MRS of brain masses:  Distinguish neoplastic from non neoplastic masses  Primary from metastatic masses.  Tumor recurrence vs radiation necrosis  Prognostication of the disease  Mark region for stereotactic biopsy.  Monitoring response to treatment.  Research tool 2) MRS of Inborn Errors of Metabolism Include the leukodystrophies, mitochondrial disorders, and enzyme defects that cause an absence or accumulation of metabolites
  • 75.
    CLASS B MRSAPPLICATIONS: OCCASIONALLY USEFUL IN INDIVIDUAL PATIENTS 1) Ischemia, Hypoxia, and Related Brain Injuries  Ischemic stroke  Hypoxic ischemic encephalopathy. 2)Epilepsy Class C Applications: Useful Primarily in Groups of Patients (Research)  HIV disease and the brain  Neurodegenerative disorders  Amyotrophic lateral sclerosis  Multiple sclerosis  Hepatic encephalopathy  Psychiatric disorders
  • 76.
    MAGNETIZATION TRANSFER (MT)MRI  MT is a recently developed MR technique that alters contrast of tissue on the basis of macromolecular environments.  MTC is most useful in two basic area, improving image contrast and tissue characterization.  MT is accepted as an additional way to generate unique contrast in MRI that can be used to our advantage in a variety of clinical applications.
  • 77.
    Magnetization transfer (MT)contd:-  Basis of the technique: that the state of magnetization of an atomic nucleus can be transferred to a like nucleus in an adjacent molecule with different relaxation characteristics.  Acc. to this theory- H1 proton spins in water molecules can exchange magnetization with H1 protons of much larger molecules, such as proteins and cell membranes.  Consequence is that the observed relaxation times may reflect not only the properties of water protons but also, indirectly, the characteristics of the macromolecular solidlike environment  MT occurs when RF saturation pulses are placed far from the resonant frequency of water into a component of the broad macromolecular pool .
  • 78.
    Magnetization transfer (MT)contd:-  These off-resonance pulses, which may be added to standard MR pulse sequences, reduce the longitudinal magnetization of the restricted protons to zero without directly affecting the free water protons.  The initial MT occurs between the macromolecular protons and the transiently bound hydration layer protons on the surface of large molecules’  Saturated bound hydration layer protons then diffuse and mix with the free water proton pool  Saturation is transferred to the mobile water protons, reducing their longitudinal magnetization, which results in decreased signal intensity and less brightness on MR images.
  • 79.
    Magnetization transfer (MT)contd:-  The MT effect is superimposed on the intrinsic contrast of the baseline image  Amount of signal loss on MT images correlates with the amount of macromolecules in a given tissue and the efficiency of the magnetization exchange  MT characteristically: Reduces the SI of some solid like tissues, such as most of the brain and spinal cord Does not influence liquid like tissues significantly, such as the cerebrospinal fluid (CSF)
  • 80.
  • 81.
    CLINICAL APPLICATION • Useful diagnostic tool in characterization of a variety of CNS infection • In detection and diagnosis of meningitis , encephalitis, CNS tuberculosis , neurocysticercosis and brain abscess. TUBERCULOMA • Pre-contrast T1-W MT imaging helps to better assess the disease load in CNS tuberculosis by improving the detectability of the lesions, with more number of tuberculomas detected on pre-contrast MT images compared to routine SE images • It may also be possible to differentiate T2 hypo intense tuberculoma from T2 hypo intense cysticerus granuloma with the use of MTR, as cysticercus granulomas show significantly higher MT ratio compared to tuberculomas
  • 82.
    T1 T2 PC MT MT
  • 83.
    NEUROCYSTICERCOSIS Findings vary withthe stage of disease  T1-W MT images are also important in demonstrating perilesional gliosis in treated neurocysticercus lesions  Gliotic areas show low MTR compared to the gray matter and white matter. So appear as hyperintense BRAIN ABSCESS  Lower MTR from tubercular abscess wall in comparison to wall of pyogenic abscess(~20 vs. ~26)
  • 84.
    Magnetization transfer (MT)contd:- Qualitative applications:  MR angiography,  postcontrast studies  spine imaging  MT pulses have a greater influence on brain tissue (d/t high conc. of structured macromolecules such as cholesterol and lipid) than on stationary blood.  By reducing the background signal vessel-to-brain contrast is accentuated,  Not helpful when MR angiography is used for the detection and characterization of cerebral aneurysms.
  • 85.
    GRE images ofthe cervical spine without (A) and with (B) MT show improved CSF–spinal cord contrast
  • 86.
    Magnetization transfer (MT)contd:- Quantitative applications:  Multiple sclerosis: discriminates multiple sclerosis & other demyelinating disorders, provides measure of total lesion load, assess the spinal cord lesion burden and to monitor the response to different treatments of multiple sclerosis  systemic lupus erythematosus,  CADASIL (cerebral autosomal dominant arteriopathy with subcortical infarcts and leukoencephalopathy),  Multiple system atrophy,  Amyotrophic lateral sclerosis,  Schizophrenia  Alzheimer’s disease
  • 87.
    MTR Quantitative applicationscontd:  May be used to differentiate between progressive multifocal leukoencephalopathy and HIV encephalitis  To detect axonal injury in normal appearing splenium of corpus callosum after head trauma  In chronic liver failure, diffuse MTR abnormalities have been found in normal appearing brain, which return to normal following liver transplantation
  • 88.
  • 89.
    MR ANGIOGRAPHY TECHNIQUES 1.TIME OF FLIGHT (TOF) 2.PHASE CONTRAST (PC) 3.CONTRAST ENHANCED MRA (CE MRA)
  • 90.
    TOF MRA Signal from“flight” of unsaturated blood into image No contrast agent injected Motion artifact Non-uniform blood signal PC MRA Phase shifts in moving spins (i.e. blood) are measured Phase is proportional to velocity Allows quantification of blood flow and velocity CE MRA T1-shortening agent, Gadolinium, injected iv as contrast Gadolinium reduces T1 relaxation time When TR<<T1, minimal signal from background tissues Result is increased signal from Gd containing structures Faster gradients allow imaging in a single breathhold
  • 91.
    2D AND 3DFOURIER TRASFORM  In 2DFT technique, multiple thin sections of body are studied individually and even slow flow is identified  In 3DFT technique , a large volume of tissue is studied ,which can be subsequently partitioned into individual slices, hence high resolution can be obtained and flow artifacts are minimised, and less likely to be affected by loops and tortusity of vessels  MOTSA(multiple overlapping thin slab acquisition): prevents proton saturation across the slab. This technique have advantage of both 2D and 3D studies. It is better than 3D TOF MRA in correctly identifying vascular loops and tortusity,and have lesser chances of overestimating carotid stenosis.
  • 93.
    MRA CRANIAL VIEW 1. Anterior cerebral artery 2. Anterior communicating artery 3. Basilar artery 4. branches (in insula) of middle cerebral artery 5. Cavernous portion of internal carotid artery 6. Cervical portion of internal carotid artery 7. Genu of middle cerebral artery 8. Intracranial (supraclinoid) internal carotid artery 9. Middle cerebral artery 10. Ophthalmic artery 11. Petrous portion of internal carotid artery 12. Posterior cerebral artery 13. Posterior cerebral artery in ambient cistern 14. posterior cerebral artery in interpeduncular cistern 15. Posterior communicating artery 16. Posterior inf cerebellar artery. 17. Quadrigeminal portion of posterior cerebral artery 18. Superior cerebellar artery 19. Vertebral artery
  • 94.
    MRA lateral view 1. Anterior cerebral artery 2. Anterior communicating artery 3. Basilar artery 4. branches (in insula) of middle cerebral artery 5. Cavernous portion of internal carotid artery 6. Cervical portion of internal carotid artery 7. Genu of middle cerebral artery 8. Intracranial (supraclinoid) internal carotid artery 9. Middle cerebral artery 10. Ophthalmic artery 11. Petrous portion of internal carotid artery 12. Posterior cerebral artery 13. Posterior cerebral artery in ambient cistern 14. posterior cerebral artery in interpeduncular cistern 15. Posterior communicating artery 16. Posterior inf cerebellar artery. 17. Quadrigeminal portion of posterior cerebral artery 18. Superior cerebellar artery 19. Vertebral artery
  • 95.
    Magnetic Resonance Venography(MRV) Indications For evaluation of thrombosis or compression by tumor of the cerebral venous sinus in members who are at risk (e.g., otitis media, meningitis, sinusitis, oral contraceptive use, underlying malignant process,hypercoagulable disorders) or have signs or symptoms (e.g., papilledema, focal motor or sensory deficits, seizures, or drowsiness and confusion accompanying a headache);
  • 96.
  • 97.
  • 98.
  • 99.

Editor's Notes

  • #70 Lipid increase in high-grade gliomas, meningiomas, demyelination, necrotic foci, and inborn errors of metabolism
  • #71 NAA is the most prominent one in normal adult brain proton MRS and is used as a reference for determination of chemical shift and nonspecific neuronal marker. Normal absolute concentrations of NAA in the adult brain are generally in the range of 8 to 9 mmol/kg. NAA concentrations are decreased in many brain disorders, resulting in neuronal and axonal loss, such as in neurodegenerative diseases, stroke, brain tumors, epilepsy, and multiple sclerosis, but are increased in Canavan&apos;s disease Cr peak is an indirect indicator of brain intracellular energy stores, tends to be relatively constant in each tissue type in normal brain, mean absolute Cr concentration in normal adult brains of 7.49; reduced in all brain tumors, particularly malignant ones
  • #72 Cho reflects cell membrane synthesis and Degradation. Processes resulting in hypercellularity (e.g., primary brain neoplasms or gliosis) or myelin breakdown (demyelinating diseases) lead to locally increased Cho concentration, whereas hypomyelinating diseases result in decreased Cho levels. Mean absolute Cho concentration in normal adult brain tissue of 1.32 Ig3 MI is believed to be a glial marker because it is present primarily in glial cells and is absent in neurons; abnormally increased in patients with demyelinating diseases and in those with Alzheimer&apos;s disease Lac levels in normal brain tissue are absent or extremely low (C0.5 Mmol/L), they are essentially undetectable on normal spectra. Found in anaerobic glycolysis, which may be seen with brain neoplasms, infarcts, hypoxia, metabolic disorders or seizure and accumulate within cysts or foci of necrosis.
  • #91 TOF MRA , in a slab of tissue to be imaged rapid RF pulses are given. Stationary tissue is saturated with rapid RF pulses and loses signal but fresh moving blood entering the slide will retain its signal intensity and will create contrast between flowing blood and background tissue. In PC MRA . The contrast between flowing and stationary tissue is a result of phase difference between protons in two tissues Both POF and PC angiograms can be performed using 2D and 3D techniques
  • #92 Disadv of MRA high cost , cant identify small vs,susceptibility to complex fow, claustrophobia, not good for root of neck and aortic arch
  • #94 Submentovertex view
  • #97 Superior saggital sinus runsalong sup margin of falx cerebri and empty in confluence, recievs sup cerebral vv. Inf sag sinus runs along inf margin falx and continue as straight sinus after merging vein of galen Straigt sinus carried in attachment of falx to tentorium cerebelli, empty in confluence Confluence empty in transeverse sinus which runs along tentorium cerebellito sigmoid sinus and drain in IJV cavernous sinus situated in middle cranial fossa and connected to contralat side by intercavernous sinus Cav sinus drain inferior and superficial cerebr vv, opth vv, sphenoparital sinus and empty via sup and inf petrosal sinus into tr/sigmoid and IJV respectivly
  • #98 Sup cerebral vv drain in SSS, inf cebral vv drain in cavernous sinus, sup middle cerebral vv empty via trlard in SSS and labbe vv in transvers sinus