GUIDE: Dr Anil Rathva (AP/RD) Presented By: Dr. Bhishm Sevendra(R1/RD)
MRI principle
 MRI is based on two basic principles:
1. Atoms with an odd number of protons have spin.
(Pairs of spins tend to cancel, so only atoms with an odd number of protons
have spin )
2. A moving electric charge, be it positive or negative, produces a magnetic field.
++
¾¾
There is electric chargeThere is electric charge
on the surface of the proton,on the surface of the proton,
thus creating a small currentthus creating a small current
loop and generating magneticloop and generating magnetic
momentmoment ¾¾..
 Body has many such atoms that can act as good MR nuclei (1
H, 13
C, 19
F, 23
Na) .
 Hydrogen nuclei is one of them which is not only positively charged, but
also has magnetic spin.
 MRI utilizes this magnetic spin property of protons of hydrogen to elicit
images
WHY HYDROGEN IONS???
Hydrogen nucleus has an unpaired proton which is positively charged.
Hydrogen is abundant in the body in the form of water and fat.
Every hydrogen nucleus is a tiny magnet which produces small but
noticeable magnetic field.
Essentially all MRI is hydrogen (proton) imaging.
Body in an external magnetic
field (B0)
•In our natural stateIn our natural state Hydrogen ions in body areHydrogen ions in body are
spinning in a haphazard fashion, and cancel allspinning in a haphazard fashion, and cancel all
the magnetism.the magnetism.
•When an external magnetic field is applied protonsWhen an external magnetic field is applied protons
in the body align in one direction.in the body align in one direction.
Net magnetization
 Half of the protons align along the magnetic field and rest are aligned opposite
 population ratio of
parallel versus anti- parallel
protons is more.
 These extra protons produce net magnetization vector (M).
 Net magnetization depends on B0.
Precession
 The external magnetic field causes the spinning
proton to ‘wobble’ in a regular manner called
‘PRECESSION.
LARMOR EQUATION
 How fast the protons precess , this speed can be measured as precession
frequency, that is, how many times the protons precess per second.
coordinate system
Using a coordinate system makes the description of proton motion in the
magnetic field easier, and also we can stop drawing the external magnetic field
Manipulating the net
magnetization Magnetization can be manipulated by changing the magnetic field environment
(static, gradient, and RF fields)
 RF waves (short burst of electromagnetic wave, which is called
 a radio frequency (RF) pulse), are used to manipulate the magnetization of H
nuclei.
 Energy exchange is possible when protons and the radiofrequency pulse
 have the same frequency.
 Externally applied RF waves perturb magnetization into different axis (transverse
axis). Only transverse magnetization produces signal.
2 things happen after RF pulse:
1- Energy Absorption
Increase number of High energy Spin down nuclei.
2- Phase Coherence
Proton precesses in transverse plane at Larmor Frequency.
When RF pulse switched of nuclei return to their original state they emit
RF signals which can be detected with the help of receiving coils
T1 and T2 relaxation
 When RF pulse is stopped higher energy gained by proton is retransmitted and
hydrogen nuclei relax by two mechanisms
 T1 or spin lattice relaxation- by which original magnetization (Mz) begins to
recover.
 This energy is just handed over to their surroundings, the so called
 lattice.
 T2 relaxation or spin spin relaxation - by which magnetization in X-Y plane
decays towards zero . It is due to incoherence of H nuclei.
Now we will talk about contrast…
T1 relaxation
After protons are
Excited with RF pulse
They move out of
Alignment with B0
But once the RF Pulse
is stopped they Realign
after some Time And
this is called t1 relaxation
T1 is defined as the time it takes for the hydrogen nucleus to recover
63% of its longitudinal magnetization.
T2 r: T2 is the time when transverse magnetization decreased to 37%
of the original value.
Different tissues have different relaxation times.
These relaxation time differences is used to generate
image contrast.
WATER: long T1 & short T2.
FAT: short T1 & very short T2.
TR and TE
 TE (echo time) : time interval in which signals are measured after RF excitation
 TR (repetition time) : the time between two excitations is called repetition time
 By varying the TR and TE one can obtain T1WI and T2WI & proton density
image.
A and B are two tissues with different relaxation times. Frame 0 shows the
situation before, frame 1 immediately after a 90° pulse. When we wait for a
long time (TR long) the longitudinal magnetization of both tissues will have
totally recovered (frame 5). A second 90° pulse after this time results in the same
amount of transversal magnetization (frame 6) for both tissues, as was observed after
the first RF pulse (frame 1). the difference in signal is mainly due to different proton
densities, we have a so called proton density (or spin density) weighted image.
When we do not wait as long , but send in the second RF pulse after a shorter time
( TR Short), longitudinal magnetization of tissue B, which has the longer T1, has not
recovered as much as that of tissue A with the shorter T1. The transversal
magnetization of the two tissues after the second RF pulse will then be different
(frame 5). Thus, by changing the time between successive RF pulses, we can
influence and modify magnetization and the signal intensity of tissues .this will give
T1 waited image
 Brain has a shorter longitudinal relaxation time than
CSF. With a short TR the signal intensities of brain
and CSF differ more than after a long TR.
How do we obtain a T2-weighted
image?
T2* DECAY
 T2* relaxation – Disturbances in magnetic
field ,magnetic susceptibility, increase the
rate of T2 relaxation.
 In general a short TR (<1000ms) and short
TE (<45 ms) scan is T1WI
 Long TR (>2000ms) and long TE (>45ms)
scan is T2WI
 Long TR (>2000ms) and short TE (<45ms)
scan is proton density image
PULSE SEQUENCES
spin echo pulse sequence
What happens , when we choose a long TR, as as all tissues have regained
their full longitudinal magnetization.
When we only choose a very short TE then differences in signal intensity due
to differences in T2 have not yet had time to become pronounced.
The resulting picture is thus neither T1- nor T2-weighted,but mostly
determined by the proton density of the tissues (for this, ideally TE should be
zero).
 When we wait a long TR and a long TE , differences in T2 have had time
enough to become pronounced, the resulting picture is T2-weighted.
When we wait a shorter time TR, differences in T1 influence tissue contrast
to a larger extent, the picture isT1-weighted, especially when we also
wait a short TE (when signal differences due to differing T2s have not had time
to become pronounced).
Partial saturation/ Saturation
recovery sequence Pulse sequences
 Signal intensity of tissues having a different T1 depending on the choice of
TR: With a long TR, the saturation recovery sequence, image contrast is
determined mainly by proton (spin)density.
 With a shorter TR, the partial saturation sequence, the resulting image is T1-
weighted.
Inversion recovery sequence
 The inversion recovery sequence uses a 180° pulse which inverts the longitudinal
 magnetization, followed by a 90° pulse after the time TI.
 The 90° pulse "tilts“ the magnetization into the transverse (x-y-) plane, so it can
be measured/received.
 The tissue with short longitudinal relaxation time goes back to its original
longitudinal magnetization faster, thus has the shorter T1.
 this results in less transversal magnetization after the 90° pulse
fast imaging sequences
 FLASH (Fast Low Angle Shot).
 GRASS(Gradient Recalled Acquisition at Steady
State).
 The TR is the most time consuming parameter of an imaging sequence .
 It makes sense to shorten TR if we want to make imaging faster. And this is done
 in the fast imaging sequence.
 it requires some time to deliver a 180° pulse, and with a very short TR there will
 not be enough time between the 90° pulses.
 This use a different way to refocus the dephasing spins:
 instead of a 180° pulse, we apply a magnetic field gradient. This means that an
uneven magnetic field, a gradient field, is added/superimposed on the existing
 magnetic field.
 This results in even larger magnetic field inhomogenecity.
Due to these larger magnetic field inhomogeneities, transverse magnetization
disappears faster(protons dephase faster).
 Then the magnetic gradient is switched off, and after a short time turned back
on with the same strength, but in opposite direction.
 This results in some rephasing , and thus the signal increases again to a certain
maximum, which is called a gradient echo.
To be continue…..
Types of MRI imagingsTypes of MRI imagings
 T1WIT1WI
 T2WIT2WI
 FLAIRFLAIR
 STIRSTIR
 DWIDWI
 ADCADC
 GREGRE
 MRSMRS
 MTMT
 Post-Gd imagesPost-Gd images
T1 & T2 W IMAGING
GRADATION OF INTENSITY
IMAGING
CT SCAN CSF Edema White
Matter
Gray
Matter
Blood Bone
MRI T1 CSF Edema Gray
Matter
White
Matter
Cartilage Fat
MRI T2 Cartilage Fat White
Matter
Gray
Matter
Edema CSF
MRI T2 Flair CSF Cartilage Fat White
Matter
Gray
Matter
Edema
CT SCAN
MRI T1 Weighted
MRI T2 Weighted
MRI T2 Flair
Dark on T1
 Edema,tumor,infection,inflammation,hemorrhage(hyperacute,chronic)
 Low proton density,calcification
 Flow void
Bright on T1
 Fat,subacute hemorrhage,melanin,protein rich fluid.
 Slowly flowing blood
 Paramagnetic substances(gadolinium,copper,manganese)
 9
Bright on T2
 Edema,tumor,infection,inflammation,subdural collection
 Methemoglobin in late subacute hemorrhage
Dark on T2
 Low proton density,calcification,fibrous tissue
 Paramagnetic substances( deoxyhemoglobin , methemoglobin
(intracellular),ferritin ,hemosiderin ,melanin.
 Protein rich fluid
 Flow void
Which scan best defines the abnormality
T1 W Images:
Subacute Hemorrhage
Fat-containing structures
Anatomical Details
T2 W Images:
Edema
Demyelination
Infarction
Chronic Hemorrhage
FLAIR Images:
Edema,
Demyelination
Infarction esp. in Periventricular location
FLAIR & STIR
Conventional Inversion Recovery
-180° preparatory pulseis applied to flip the net magnetization vector 180° andnull the
signal from a particular entity (eg, water in tissue).
-When the RF pulse ceases, the spinning nuclei begin to relax.When the net
magnetization vector for water passes the transverseplane (the null point for that
tissue), the conventional 90°pulse is applied, and the SE sequence then continues
as before.
-The interval between the 180° pulse and the 90°pulse is the TI ( Inversion Time).
Conventional Inversion Recovery Contd:
 At TI, the net magnetization vector of water is very weak, whereas that for body
tissues is strong. When the net magnetization vectors are flipped by the 90°
pulse, there is little or no transverse magnetization in water, so no signal is
generated (fluid appears dark), whereas signal intensity ranges from low to high
in tissues with a stronger NMV.
 Two important clinical implementations of the inversion recovery concept are:
Short TI inversion-recovery (STIR) sequence
Fluid-attenuated inversion-recovery (FLAIR) sequence.
Short TI inversion-recovery (STIR) sequence
 In STIR sequences, an inversion-recovery pulse is used to nullthe signal from
fat (180° RF Pulse).
 When NMVof fat passes its null point , 90° RF pulse is applied. As little or no
longitudinalmagnetization is present and the transverse magnetizationis
insignificant.
 It is transverse magnetization thatinduces an electric current in the receiver coil
so no signal is generated from fat.
 STIRsequences provide excellent depiction of bone marrow edema which may
be the only indication of an occult fracture.
 Unlikeconventional fat-saturation sequences STIRsequences are not affected by
magnetic field inhomogeneities,so they are more efficient for nulling the signal
from fat
Comparison of fast SE and STIR sequences
for depiction of bone marrow edema
FSE STIR
Fluid-attenuated inversion recovery
(FLAIR)
 First described in 1992 and has become one of the corner stones of brain MR
imaging protocols
 An IR sequence with a long TR and TE and an inversion time (TI) that is tailored
to null the signal from CSF
 In contrast to real image reconstruction, negative signals are recorded as positive
signals of the same strength so that the nulled tissue remains dark and all other
tissues have higher signal intensities.
 Most pathologic processes show increased SI on T2-WI, and the conspicuity of
lesions that are located close to interfaces b/w brain parenchyma and CSF may be
poor in conventional SE or FSE T2-WI sequences.
 FLAIR images are heavily T2-weighted with CSF signal suppression, highlights
hyperintense lesions and improves their conspicuity and detection, especially when
located adjacent to CSF containing spaces
 In addition to T2- weightening, FLAIR possesses considerable T1-weighting,
because it largely depends on longitudinal magnetization
 As small differences in T1 characteristics are accentuated, mild T1-shortening
becomes conspicuous.
 This effect is prominent in the CSF-containing spaces, where increased protein
content results in high SI (eg, associated with sub- arachnoid space disease)
 High SI of hyperacute SAH is caused by T2 prolongation in addition to T1
shortening
Clinical Applications:
 Used to evaluate diseases affecting the brain parenchyma neighboring the CSF-
containing spaces for eg: MS & other demyelinating disorders.
 Unfortunately, less sensitive for lesions involving the brainstem & cerebellum,
owing to CSF pulsation artifacts
 Helpful in evaluation of neonates with perinatal HIE.
 Useful in evaluation of gliomatosis cerebri owing to its superior delineation of
neoplastic spread
 Useful for differentiating extra-axial masses eg. epidermoid cysts from
arachnoid cysts. However, distinction is more easier & reliable with DWI.
 Mesial temporal sclerosis: m/c pathology in patients with partial complex seizures.
Thin-section coronal FLAIR is the standard sequence in these patients & seen as a
bright small hippocampus on dark background of suppressed CSF-containing
spaces. However, normally also mesial temporal lobes have mildly increased SI on
FLAIR images.
 Focal cortical dysplasia of Taylor’s balloon cell type- markedly hyperintense
funnel-shaped subcortical zone tapering toward the lateral ventricle is the
characteristic FLAIR imaging finding
 In tuberous sclerosis- detection of hamartomatous lesions, is easier with FLAIR
than with PD or T2-W sequences
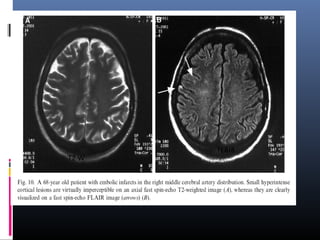
 Embolic infarcts- Improved visualization
 Chronic infarctions- typically dark with a rim of high signal. Bright peripheral zone
corresponds to gliosis, which is well seen on FLAIR and may be used to
distinguish old lacunar infarcts from dilated perivascular spaces.
T2 W
FLAIR
Subarachnoid Hemorrhage (SAH):
 FLAIR imaging surpasses even CT in the detection of traumatic supratentorial
SAH.
 It has been proposed that MR imaging with FLAIR, gradient-echo T2*-
weighted, and rapid high-spatial resolution MR angiography could be used to
evaluate patients with suspected acute SAH, possibly obviating the need for CT
and intra-arterial angiography.
 With the availability of high-quality CT angiography, this approach may not be
necessary.
FLAIR
FLAIR
DWI & ADC
Diffusion-weighted MRI
 Diffusion-weighted MRI is a example of endogenous contrast, using
the motion of protons to produce signal changes
 DWI images is obtained by applying pairs of opposing and balanced
magnetic field gradients (but of differing durations and amplitudes)
around a spin-echo refocusing pulse of a T2 weighted sequence.
Stationary water molecules are unaffected by the paired gradients, and
thus retain their signal. Nonstationary water molecules acquire phase
information from the first gradient, but are not rephased by the second
gradient, leading to an overall loss of the MR signal
• The normal motion of water molecules within living tissues is random
(brownian motion).
• In acute stroke, there is an alteration of homeostasis
• Acute stroke causes excess intracellular water accumulation, or cytotoxic
edema, with an overall decreased rate of water molecular diffusion within
the affected tissue.

• Reduction of extracellular space
• Tissues with a higher rate of diffusion undergo a greater loss of signal in a
given period of time than do tissues with a lower diffusion rate.
• Therefore, areas of cytotoxic edema, in which the motion of water
molecules is restricted, appear brighter on diffusion-weighted images
because of lesser signal losses
 Restriction of DWI is not specific for stroke
description T1 T2 FLAIR DWI ADC
White matter high low intermediate low low
Grey matter intermediate intermediate high intermediate intermediate
CSF low high low low high
 DW images usually performed with echo-planar sequences which
markedly decrease imaging time, motion artifacts and increase sensitivity
to signal changes due to molecular motion.
 The primary application of DW MR imaging has been in brain imaging,
mainly because of its exquisite sensitivity to early detection of ischemic
stroke
 The increased sensitivity of diffusion-weighted MRI in detecting
acute ischemia is thought to be the result of the water shift
intracellularly restricting motion of water protons (cytotoxic edema),
whereas the conventional T2 weighted images show signal alteration
mostly as a result of vasogenic edema
• Core of infarct = irreversible damage
• Surrounding ischemic area  may be salvaged
• DWI: open a window of opportunity during which Tt is beneficial
• Regions of high mobility “rapid diffusion”  dark
• Regions of low mobility “slow diffusion”  bright
• Difficulty: DWI is highly sensitive to all of types of motion (blood flow,
pulsatility, patient motion).
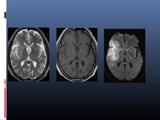
 Ischemic Stroke
 Extra axial masses: arachnoid cyst versus epidermoid tumor
 Intracranial Infections
Pyogenic infection
Herpes encephalitis
Creutzfeldt-Jakob disease
 Trauma
 Demyelination
Apparent Diffusion Coefficient
 It is a measure of diffusion
 Calculated by acquiring two or more images with a different gradient
duration and amplitude (b-values)
 To differentiate T2 shine through effects or artifacts from real ischemic
lesions.
 The lower ADC measurements seen with early ischemia,
 An ADC map shows parametric images containing the apparent diffusion
coefficients of diffusion weighted images. Also called diffusion map
 The ADC may be useful for estimating the lesion age and
distinguishing acute from subacute DWI lesions.
 Acute ischemic lesions can be divided into hyperacute lesions (low
ADC and DWI-positive) and subacute lesions (normalized ADC).
 Chronic lesions can be differentiated from acute lesions by
normalization of ADC and DWI.
 a tumour would exhibit more restricted apparent diffusion
compared with a cyst because intact cellular membranes in a
tumour would hinder the free movement of water molecules
Nonischemic causes for decreased
ADC
 Abscess
 Lymphoma and other tumors
 Multiple sclerosis
 Seizures
 Metabolic (Canavans )
65 year male- Rt ACA Infarct
Evaluation of acute stroke on DWI
 The DWI and ADC maps show changes in ischemic brain within
minutes to few hours
 The signal intensity of acute stroke on DW images increase
during the first week after symptom onset and decrease
thereafter, but signal remains hyper intense for a long period
(up to 72 days in the study by Lausberg et al)
 The ADC values decline rapidly after the onset of ischemia and
subsequently increase from dark to bright 7-10 days later .
 This property may be used to differentiate the lesion older than
10 days from more acute ones (Fig 2).
 Chronic infarcts are characterized by elevated diffusion and
appear hypo, iso or hyper intense on DW images and
hyperintense on ADC maps
DW MR imaging characteristics of Various Disease Entities
MR Signal Intensity
Disease DW Image ADC Image ADC Cause
Acute Stroke High Low Restricted Cytotoxic edema
Chronic Strokes Variable High Elevated Gliosis
Hypertensive
encephalopathy
Variable High Elevated Vasogenic edema
Arachnoid cyst Low High Elevated Free water
Epidermoid mass High Low Restricted Cellular tumor
Herpes encephalitis High Low Restricted Cytotoxic edema
CJD High Low Restricted Cytotoxic edema
MS acute lesions Variable High Elevated Vasogenic edema
Chronic lesions Variable High Elevated Gliosis
Clinical Uses of DWI &
ADCStroke:
 Hyperacute Stage:- within one hour minimal hyperintensity seen in
DWI and ADC value decrease 30% or more below normal (Usually
<50X10-4
mm2
/sec)
 Acute Stage:- Hyperintensity in DWI and ADC value low but after 5-
7days of ictus ADC values increase and return to normal value
(Pseudonormalization)
 Subacute to Chronic Stage:- ADC value are increased (Vasogenic
edema) but hyperintensity still seen on DWI (T2 shine effect)
GRE
GRE
 In a GRE sequence, an RF pulse is applied that partly flipsthe NMV
into the transverse plane (variableflip angle).
 Gradients, as opposed to RF pulses, are usedto dephase (negative
gradient) and rephase (positive gradients)transverse magnetization.
 Because gradients donot refocus field inhomogeneities, GRE
sequences with long TEsare T2* weighted (because of magnetic
susceptibility) ratherthan T2 weighted like SE sequences
GRE Sequences contd:
 This feature of GRE sequences is exploited- in detection of hemorrhage, as the
iron in Hb becomesmagnetized locally (produces its own local magnetic field)
andthus dephases the spinning nuclei.
 The technique is particularlyhelpful for diagnosing hemorrhagic contusions such
as thosein the brain and in pigmented villonodular synovitis.
 SE sequences, on the other hand- relativelyimmune from magnetic susceptibility
artifacts, and also lesssensitive in depicting hemorrhage and calcification.
GREFLAIR
Hemorrhage in right parietal lobe
GRE Sequences contd:
Magnetic susceptibility imaging-
 - Basis of cerebral perfusionstudies, in which the T2* effects (ie, signal decrease)
createdby gadolinium (a metal injected intravenously as a chelatedion in aqueous
solution, typically in the form of gadopentetatedimeglumine) are sensitively
depicted by GRE sequences.
 - Also used in blood oxygenationlevel–dependent (BOLD) imaging, in which the
relativeamount of deoxyhemoglobin in the cerebral vasculature is measuredas a
reflection of neuronal activity. BOLD MR imaging is widelyused for mapping of
human brain function.
Gradient Echo
Pros:
 fast technique
Cons:
 More sensitive to magnetic susceptibility
artifacts
 Clinical use:
 eg. Hemorrhage , calcification
Axial T1 (C), T2 (D), and GRE (E) images show corresponding T1-hyperintense and GRE-
hypointense foci with associated T2 hyperintensity (arrows).
MRS & MT-MRI
MR Spectroscopy
 Magnetic resonance spectroscopy (MRS) is a means of noninvasive
physiologic imaging of the brain that measures relative levels of
various tissue metabolites
 Purcell and Bloch (1952) first detected NMR signals from magnetic
dipoles of nuclei when placed in an external magnetic field.
 Initial in vivo brain spectroscopy studies were done in the early 1980s.
 Today MRS-in particular, IH MRS-has become a valuable physiologic
imaging tool with wide clinical applicability.
PRINCIPLES:
 The radiation produced by any substance is dependent on its atomic composition.
 Spectroscopy is the determination of this chemical composition of a substance by
observing the spectrum of electromagnetic energy emerging from or through it.
 NMR is based on the principle that some nuclei have associated magnetic spin
properties that allow them to behave like small magnet.
 In the presence of an externally applied magnetic field, the magnetic nuclei
interact with that field and distribute themselves to different energy levels.
 These energy states correspond to the proton nuclear spins, either aligned in the
direction of (low-energy spin state) or against the applied magnetic field (high-
energy spin state).
 If energy is applied to the system in the form of a radiofrequency (RF) pulse
that exactly matches the energy between both states. a condition of
resonance occurs.
 Chemical elements having different atomic numbers such as hydrogen ('H)
and phosphorus (31P) resonate at different Larmor RFs.
 Small change in the local magnetic field, the nucleus of the atom resonates
at a shifted Larmor RF.
 This phenomenon is called the chemical shift.
Technique:
Single volume and Multivolume MRS.
1) Single volume:
 Stimulated echo acquisition mode (STEAM)
 Point-resolved spectroscopy (PRESS)
 It gives a better signal-to noise ratio
2) Multivolume MRS:
 chemical shift imaging (CSI) or spectroscopic imaging (SI)
 much larger area can be covered, eliminating the sampling error to an extent
but significant weakening in the signal-to-noise ratio and a longer scan time.
 Time of echo: 35 ms and 144ms.
 Resonance frequencies on the x-axis and amplitude (concentration) on the y-
axis.
Effect Of TE on the peaks
__________
TE 35ms
___________
___________
TE 144ms
__________
Normal mrS CHOLINE CREATINE
NAA
Multi voxel MRS
Multivoxel MRS
Observable metabolites
Metabolite Location
ppm
Normal function Increased
Lipids 0.9 & 1.3 Cell membrane
component
Hypoxia, trauma, high grade
neoplasia.
Lactate 1.3
TE=272
(upright)
TE=136
(inverted)
Denotes anaerobic
glycolysis
Hypoxia, stroke, necrosis,
mitochondrial diseases,
neoplasia, seizure
Alanine 1.5 Amino acid Meningioma
Acetate 1.9 Anabolic precursor Abscess ,
Neoplasia,
Principle metabolites
Metabolite Location
ppm
Normal
function
Increased Decreased
NAA 2 Nonspecific
neuronal
marker
(Reference for
chemical shift)
Canavan’s
disease
Neuronal loss,
stroke, dementia,
AD, hypoxia,
neoplasia, abscess
Glutamate ,
glutamine,
GABA
2.1- 2.4
Neurotransmitte
r
Hypoxia, HE Hyponatremia
Succinate 2.4 Part of TCA
cycle
Brain abscess
Creatine 3.03 Cell energy
marker
(Reference for
metabolite
ratio)
Trauma,
hyperosmolar
state
Stroke, hypoxia,
neoplasia
Metabolite Location
ppm
Normal
function
Increased Decreased
Choline 3.2 Marker of cell
memb turnover
Neoplasia,
demyelination
(MS)
Hypomyelinatio
n
Myoinositol 3.5 & 4 Astrocyte
marker
AD
Demyelinating
diseases
Metabolite ratios:
Normal abnormal
NAA/ Cr 2.0 <1.6
NAA/ Cho 1.6 <1.2
Cho/Cr 1.2 >1.5
Cho/NAA 0.8 >0.9
Myo/NAA 0.5 >0.8
MRS
Dec NAA/Cr
Inc acetate,
succinate, amino
acid, lactate
Neuodegenera
tive
Alzheimer
Dec NAA/Cr
Dec NAA/
Cho
Inc
Myo/NAA
Slightly inc Cho/ Cr
Cho/NAA
Normal Myo/NAA
Âą lipid/lactate
Inc Cho/Cr
Myo/NAA
Cho/NAA
Dec NAA/Cr
Âą lipid/lactate
Malignancy
Demyelinating
disease Pyogenic
abscess
Clinical Applications of MRS:
 Class A MRS Applications: Useful in Individual Patients
1) MRS of brain masses:
 Distinguish neoplastic from non neoplastic masses
 Primary from metastatic masses.
 Tumor recurrence vs radiation necrosis
 Prognostication of the disease
 Mark region for stereotactic biopsy.
 Monitoring response to treatment.
 Research tool
2) MRS of Inborn Errors of Metabolism
Include the leukodystrophies, mitochondrial disorders, and enzyme defects that cause an absence or
accumulation of metabolites
Class B MRS Applications: Occasionally Useful in Individual
Patients
1) Ischemia, Hypoxia, and Related Brain Injuries
 Ischemic stroke
 Hypoxic ischemic encephalopathy.
2)Epilepsy
Class C Applications: Useful Primarily in Groups of Patients (Research)
 HIV disease and the brain
 Neurodegenerative disorders
 Amyotrophic lateral sclerosis
 Multiple sclerosis
 Hepatic encephalopathy
 Psychiatric disorders
MAGNETIZATION TRANSFER (MT) MRI
 MT is a recently developed MR technique that alters contrast of tissue on
the basis of macromolecular environments.
 MTC is most useful in two basic area, improving image contrast and tissue
characterization.
 MT is accepted as an additional way to generate unique contrast in MRI
that can be used to our advantage in a variety of clinical applications.
Magnetization transfer (MT) contd:-
 Basis of the technique: that the state of magnetization of an atomic nucleus can be
transferred to a like nucleus in an adjacent molecule with different relaxation
characteristics.
 Acc. to this theory- H1
proton spins in water molecules can exchange magnetization
with H1
protons of much larger molecules, such as proteins and cell membranes.
 Consequence is that the observed relaxation times may reflect not only the
properties of water protons but also, indirectly, the characteristics of the
macromolecular solidlike environment
 MT occurs when RF saturation pulses are placed far from the resonant frequency of
water into a component of the broad macromolecular pool.
Magnetization transfer (MT) contd:-
 These off-resonance pulses, which may be added to standard MR pulse sequences,
reduce the longitudinal magnetization of the restricted protons to zero without
directly affecting the free water protons.
 The initial MT occurs between the macromolecular protons and the transiently
bound hydration layer protons on the surface of large molecules’
 Saturated bound hydration layer protons then diffuse and mix with the free water
proton pool
 Saturation is transferred to the mobile water protons, reducing their longitudinal
magnetization, which results in decreased signal intensity and less brightness on
MR images.
Magnetization transfer (MT) contd:-
 The MT effect is superimposed on the intrinsic contrast of the baseline image
 Amount of signal loss on MT images correlates with the amount of
macromolecules in a given tissue and the efficiency of the magnetization exchange
 MT characteristically:
Reduces the SI of some solid like tissues, such as most of the brain and spinal cord
Does not influence liquid like tissues significantly, such as the cerebrospinal fluid
(CSF)
MT Effect
CLINICAL
APPLICATION• Useful diagnostic tool in characterization of a variety of CNS infection
• In detection and diagnosis of meningitis , encephalitis, CNS tuberculosis ,
neurocysticercosis and brain abscess.
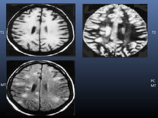
TUBERCULOMA
• Pre-contrast T1-W MT imaging helps to better assess the disease load in CNS
tuberculosis by improving the detectability of the lesions, with more number
of tuberculomas detected on pre-contrast MT images compared to routine SE
images
• It may also be possible to differentiate T2 hypo intense tuberculoma from T2
hypo intense cysticerus granuloma with the use of MTR, as cysticercus
granulomas show significantly higher MT ratio compared to tuberculomas
T1 T2
MT
PC
MT
NEUROCYSTICERCOSIS
Findings vary with the stage of disease
 T1-W MT images are also important in demonstrating perilesional gliosis
in treated neurocysticercus lesions
 Gliotic areas show low MTR compared to the gray matter and white
matter. So appear as hyperintense
BRAIN ABSCESS
 Lower MTR from tubercular abscess wall in comparison to wall of
pyogenic abscess(~20 vs. ~26)
Magnetization transfer (MT) contd:-
Qualitative applications:
 MR angiography,
 postcontrast studies
 spine imaging
 MT pulses have a greater influence on brain tissue (d/t high conc. of structured
macromolecules such as cholesterol and lipid) than on stationary blood.
 By reducing the background signal vessel-to-brain contrast is accentuated,
 Not helpful when MR angiography is used for the detection and characterization of
cerebral aneurysms.
GRE images of the cervical spine without (A) and with (B) MT
show improved CSF–spinal cord contrast
Magnetization transfer (MT) contd:-
Quantitative applications:
 Multiple sclerosis: discriminates multiple sclerosis & other demyelinating
disorders, provides measure of total lesion load, assess the spinal cord lesion
burden and to monitor the response to different treatments of multiple sclerosis
 systemic lupus erythematosus,
 CADASIL (cerebral autosomal dominant arteriopathy with subcortical infarcts and
leukoencephalopathy),
 Multiple system atrophy,
 Amyotrophic lateral sclerosis,
 Schizophrenia
 Alzheimer’s disease
MTR Quantitative applications contd:
 May be used to differentiate between progressive multifocal leukoencephalopathy
and HIV encephalitis
 To detect axonal injury in normal appearing splenium of corpus callosum after
head trauma
 In chronic liver failure, diffuse MTR abnormalities have been found in normal
appearing brain, which return to normal following liver transplantation
THANK YOU…

Mri physics

  • 1.
    GUIDE: Dr AnilRathva (AP/RD) Presented By: Dr. Bhishm Sevendra(R1/RD)
  • 2.
    MRI principle  MRIis based on two basic principles: 1. Atoms with an odd number of protons have spin. (Pairs of spins tend to cancel, so only atoms with an odd number of protons have spin ) 2. A moving electric charge, be it positive or negative, produces a magnetic field. ++ µµ There is electric chargeThere is electric charge on the surface of the proton,on the surface of the proton, thus creating a small currentthus creating a small current loop and generating magneticloop and generating magnetic momentmoment µµ..
  • 3.
     Body hasmany such atoms that can act as good MR nuclei (1 H, 13 C, 19 F, 23 Na) .  Hydrogen nuclei is one of them which is not only positively charged, but also has magnetic spin.  MRI utilizes this magnetic spin property of protons of hydrogen to elicit images
  • 4.
    WHY HYDROGEN IONS??? Hydrogennucleus has an unpaired proton which is positively charged. Hydrogen is abundant in the body in the form of water and fat. Every hydrogen nucleus is a tiny magnet which produces small but noticeable magnetic field. Essentially all MRI is hydrogen (proton) imaging.
  • 5.
    Body in anexternal magnetic field (B0) •In our natural stateIn our natural state Hydrogen ions in body areHydrogen ions in body are spinning in a haphazard fashion, and cancel allspinning in a haphazard fashion, and cancel all the magnetism.the magnetism. •When an external magnetic field is applied protonsWhen an external magnetic field is applied protons in the body align in one direction.in the body align in one direction.
  • 6.
    Net magnetization  Halfof the protons align along the magnetic field and rest are aligned opposite  population ratio of parallel versus anti- parallel protons is more.  These extra protons produce net magnetization vector (M).  Net magnetization depends on B0.
  • 7.
    Precession  The externalmagnetic field causes the spinning proton to ‘wobble’ in a regular manner called ‘PRECESSION.
  • 8.
    LARMOR EQUATION  Howfast the protons precess , this speed can be measured as precession frequency, that is, how many times the protons precess per second.
  • 9.
    coordinate system Using acoordinate system makes the description of proton motion in the magnetic field easier, and also we can stop drawing the external magnetic field
  • 10.
    Manipulating the net magnetizationMagnetization can be manipulated by changing the magnetic field environment (static, gradient, and RF fields)  RF waves (short burst of electromagnetic wave, which is called  a radio frequency (RF) pulse), are used to manipulate the magnetization of H nuclei.  Energy exchange is possible when protons and the radiofrequency pulse  have the same frequency.  Externally applied RF waves perturb magnetization into different axis (transverse axis). Only transverse magnetization produces signal.
  • 11.
    2 things happenafter RF pulse: 1- Energy Absorption Increase number of High energy Spin down nuclei. 2- Phase Coherence Proton precesses in transverse plane at Larmor Frequency. When RF pulse switched of nuclei return to their original state they emit RF signals which can be detected with the help of receiving coils
  • 14.
    T1 and T2relaxation  When RF pulse is stopped higher energy gained by proton is retransmitted and hydrogen nuclei relax by two mechanisms  T1 or spin lattice relaxation- by which original magnetization (Mz) begins to recover.  This energy is just handed over to their surroundings, the so called  lattice.  T2 relaxation or spin spin relaxation - by which magnetization in X-Y plane decays towards zero . It is due to incoherence of H nuclei. Now we will talk about contrast…
  • 15.
    T1 relaxation After protonsare Excited with RF pulse They move out of Alignment with B0 But once the RF Pulse is stopped they Realign after some Time And this is called t1 relaxation T1 is defined as the time it takes for the hydrogen nucleus to recover 63% of its longitudinal magnetization.
  • 16.
    T2 r: T2is the time when transverse magnetization decreased to 37% of the original value.
  • 18.
    Different tissues havedifferent relaxation times. These relaxation time differences is used to generate image contrast. WATER: long T1 & short T2. FAT: short T1 & very short T2.
  • 19.
    TR and TE TE (echo time) : time interval in which signals are measured after RF excitation  TR (repetition time) : the time between two excitations is called repetition time  By varying the TR and TE one can obtain T1WI and T2WI & proton density image.
  • 20.
    A and Bare two tissues with different relaxation times. Frame 0 shows the situation before, frame 1 immediately after a 90° pulse. When we wait for a long time (TR long) the longitudinal magnetization of both tissues will have totally recovered (frame 5). A second 90° pulse after this time results in the same amount of transversal magnetization (frame 6) for both tissues, as was observed after the first RF pulse (frame 1). the difference in signal is mainly due to different proton densities, we have a so called proton density (or spin density) weighted image.
  • 21.
    When we donot wait as long , but send in the second RF pulse after a shorter time ( TR Short), longitudinal magnetization of tissue B, which has the longer T1, has not recovered as much as that of tissue A with the shorter T1. The transversal magnetization of the two tissues after the second RF pulse will then be different (frame 5). Thus, by changing the time between successive RF pulses, we can influence and modify magnetization and the signal intensity of tissues .this will give T1 waited image
  • 22.
     Brain hasa shorter longitudinal relaxation time than CSF. With a short TR the signal intensities of brain and CSF differ more than after a long TR.
  • 23.
    How do weobtain a T2-weighted image?
  • 27.
    T2* DECAY  T2*relaxation – Disturbances in magnetic field ,magnetic susceptibility, increase the rate of T2 relaxation.
  • 28.
     In generala short TR (<1000ms) and short TE (<45 ms) scan is T1WI  Long TR (>2000ms) and long TE (>45ms) scan is T2WI  Long TR (>2000ms) and short TE (<45ms) scan is proton density image
  • 29.
  • 30.
  • 31.
    What happens ,when we choose a long TR, as as all tissues have regained their full longitudinal magnetization. When we only choose a very short TE then differences in signal intensity due to differences in T2 have not yet had time to become pronounced. The resulting picture is thus neither T1- nor T2-weighted,but mostly determined by the proton density of the tissues (for this, ideally TE should be zero).
  • 32.
     When wewait a long TR and a long TE , differences in T2 have had time enough to become pronounced, the resulting picture is T2-weighted. When we wait a shorter time TR, differences in T1 influence tissue contrast to a larger extent, the picture isT1-weighted, especially when we also wait a short TE (when signal differences due to differing T2s have not had time to become pronounced).
  • 33.
  • 34.
     Signal intensityof tissues having a different T1 depending on the choice of TR: With a long TR, the saturation recovery sequence, image contrast is determined mainly by proton (spin)density.  With a shorter TR, the partial saturation sequence, the resulting image is T1- weighted.
  • 35.
  • 37.
     The inversionrecovery sequence uses a 180° pulse which inverts the longitudinal  magnetization, followed by a 90° pulse after the time TI.  The 90° pulse "tilts“ the magnetization into the transverse (x-y-) plane, so it can be measured/received.  The tissue with short longitudinal relaxation time goes back to its original longitudinal magnetization faster, thus has the shorter T1.  this results in less transversal magnetization after the 90° pulse
  • 38.
    fast imaging sequences FLASH (Fast Low Angle Shot).  GRASS(Gradient Recalled Acquisition at Steady State).
  • 39.
     The TRis the most time consuming parameter of an imaging sequence .  It makes sense to shorten TR if we want to make imaging faster. And this is done  in the fast imaging sequence.  it requires some time to deliver a 180° pulse, and with a very short TR there will  not be enough time between the 90° pulses.  This use a different way to refocus the dephasing spins:  instead of a 180° pulse, we apply a magnetic field gradient. This means that an uneven magnetic field, a gradient field, is added/superimposed on the existing  magnetic field.
  • 40.
     This resultsin even larger magnetic field inhomogenecity. Due to these larger magnetic field inhomogeneities, transverse magnetization disappears faster(protons dephase faster).  Then the magnetic gradient is switched off, and after a short time turned back on with the same strength, but in opposite direction.  This results in some rephasing , and thus the signal increases again to a certain maximum, which is called a gradient echo.
  • 41.
  • 42.
    Types of MRIimagingsTypes of MRI imagings  T1WIT1WI  T2WIT2WI  FLAIRFLAIR  STIRSTIR  DWIDWI  ADCADC  GREGRE  MRSMRS  MTMT  Post-Gd imagesPost-Gd images
  • 43.
    T1 & T2W IMAGING
  • 44.
    GRADATION OF INTENSITY IMAGING CTSCAN CSF Edema White Matter Gray Matter Blood Bone MRI T1 CSF Edema Gray Matter White Matter Cartilage Fat MRI T2 Cartilage Fat White Matter Gray Matter Edema CSF MRI T2 Flair CSF Cartilage Fat White Matter Gray Matter Edema
  • 45.
    CT SCAN MRI T1Weighted MRI T2 Weighted MRI T2 Flair
  • 46.
    Dark on T1 Edema,tumor,infection,inflammation,hemorrhage(hyperacute,chronic)  Low proton density,calcification  Flow void
  • 47.
    Bright on T1 Fat,subacute hemorrhage,melanin,protein rich fluid.  Slowly flowing blood  Paramagnetic substances(gadolinium,copper,manganese)  9
  • 48.
    Bright on T2 Edema,tumor,infection,inflammation,subdural collection  Methemoglobin in late subacute hemorrhage
  • 49.
    Dark on T2 Low proton density,calcification,fibrous tissue  Paramagnetic substances( deoxyhemoglobin , methemoglobin (intracellular),ferritin ,hemosiderin ,melanin.  Protein rich fluid  Flow void
  • 50.
    Which scan bestdefines the abnormality T1 W Images: Subacute Hemorrhage Fat-containing structures Anatomical Details T2 W Images: Edema Demyelination Infarction Chronic Hemorrhage FLAIR Images: Edema, Demyelination Infarction esp. in Periventricular location
  • 51.
  • 52.
    Conventional Inversion Recovery -180°preparatory pulseis applied to flip the net magnetization vector 180° andnull the signal from a particular entity (eg, water in tissue). -When the RF pulse ceases, the spinning nuclei begin to relax.When the net magnetization vector for water passes the transverseplane (the null point for that tissue), the conventional 90°pulse is applied, and the SE sequence then continues as before. -The interval between the 180° pulse and the 90°pulse is the TI ( Inversion Time).
  • 53.
    Conventional Inversion RecoveryContd:  At TI, the net magnetization vector of water is very weak, whereas that for body tissues is strong. When the net magnetization vectors are flipped by the 90° pulse, there is little or no transverse magnetization in water, so no signal is generated (fluid appears dark), whereas signal intensity ranges from low to high in tissues with a stronger NMV.  Two important clinical implementations of the inversion recovery concept are: Short TI inversion-recovery (STIR) sequence Fluid-attenuated inversion-recovery (FLAIR) sequence.
  • 54.
    Short TI inversion-recovery(STIR) sequence  In STIR sequences, an inversion-recovery pulse is used to nullthe signal from fat (180° RF Pulse).  When NMVof fat passes its null point , 90° RF pulse is applied. As little or no longitudinalmagnetization is present and the transverse magnetizationis insignificant.  It is transverse magnetization thatinduces an electric current in the receiver coil so no signal is generated from fat.  STIRsequences provide excellent depiction of bone marrow edema which may be the only indication of an occult fracture.  Unlikeconventional fat-saturation sequences STIRsequences are not affected by magnetic field inhomogeneities,so they are more efficient for nulling the signal from fat
  • 55.
    Comparison of fastSE and STIR sequences for depiction of bone marrow edema FSE STIR
  • 56.
    Fluid-attenuated inversion recovery (FLAIR) First described in 1992 and has become one of the corner stones of brain MR imaging protocols  An IR sequence with a long TR and TE and an inversion time (TI) that is tailored to null the signal from CSF  In contrast to real image reconstruction, negative signals are recorded as positive signals of the same strength so that the nulled tissue remains dark and all other tissues have higher signal intensities.
  • 57.
     Most pathologicprocesses show increased SI on T2-WI, and the conspicuity of lesions that are located close to interfaces b/w brain parenchyma and CSF may be poor in conventional SE or FSE T2-WI sequences.  FLAIR images are heavily T2-weighted with CSF signal suppression, highlights hyperintense lesions and improves their conspicuity and detection, especially when located adjacent to CSF containing spaces
  • 58.
     In additionto T2- weightening, FLAIR possesses considerable T1-weighting, because it largely depends on longitudinal magnetization  As small differences in T1 characteristics are accentuated, mild T1-shortening becomes conspicuous.  This effect is prominent in the CSF-containing spaces, where increased protein content results in high SI (eg, associated with sub- arachnoid space disease)  High SI of hyperacute SAH is caused by T2 prolongation in addition to T1 shortening
  • 59.
    Clinical Applications:  Usedto evaluate diseases affecting the brain parenchyma neighboring the CSF- containing spaces for eg: MS & other demyelinating disorders.  Unfortunately, less sensitive for lesions involving the brainstem & cerebellum, owing to CSF pulsation artifacts  Helpful in evaluation of neonates with perinatal HIE.  Useful in evaluation of gliomatosis cerebri owing to its superior delineation of neoplastic spread  Useful for differentiating extra-axial masses eg. epidermoid cysts from arachnoid cysts. However, distinction is more easier & reliable with DWI.
  • 60.
     Mesial temporalsclerosis: m/c pathology in patients with partial complex seizures. Thin-section coronal FLAIR is the standard sequence in these patients & seen as a bright small hippocampus on dark background of suppressed CSF-containing spaces. However, normally also mesial temporal lobes have mildly increased SI on FLAIR images.  Focal cortical dysplasia of Taylor’s balloon cell type- markedly hyperintense funnel-shaped subcortical zone tapering toward the lateral ventricle is the characteristic FLAIR imaging finding  In tuberous sclerosis- detection of hamartomatous lesions, is easier with FLAIR than with PD or T2-W sequences
  • 61.
     Embolic infarcts-Improved visualization  Chronic infarctions- typically dark with a rim of high signal. Bright peripheral zone corresponds to gliosis, which is well seen on FLAIR and may be used to distinguish old lacunar infarcts from dilated perivascular spaces.
  • 62.
  • 63.
    Subarachnoid Hemorrhage (SAH): FLAIR imaging surpasses even CT in the detection of traumatic supratentorial SAH.  It has been proposed that MR imaging with FLAIR, gradient-echo T2*- weighted, and rapid high-spatial resolution MR angiography could be used to evaluate patients with suspected acute SAH, possibly obviating the need for CT and intra-arterial angiography.  With the availability of high-quality CT angiography, this approach may not be necessary.
  • 64.
  • 65.
  • 66.
    Diffusion-weighted MRI  Diffusion-weightedMRI is a example of endogenous contrast, using the motion of protons to produce signal changes  DWI images is obtained by applying pairs of opposing and balanced magnetic field gradients (but of differing durations and amplitudes) around a spin-echo refocusing pulse of a T2 weighted sequence. Stationary water molecules are unaffected by the paired gradients, and thus retain their signal. Nonstationary water molecules acquire phase information from the first gradient, but are not rephased by the second gradient, leading to an overall loss of the MR signal
  • 67.
    • The normalmotion of water molecules within living tissues is random (brownian motion). • In acute stroke, there is an alteration of homeostasis • Acute stroke causes excess intracellular water accumulation, or cytotoxic edema, with an overall decreased rate of water molecular diffusion within the affected tissue.  • Reduction of extracellular space • Tissues with a higher rate of diffusion undergo a greater loss of signal in a given period of time than do tissues with a lower diffusion rate. • Therefore, areas of cytotoxic edema, in which the motion of water molecules is restricted, appear brighter on diffusion-weighted images because of lesser signal losses  Restriction of DWI is not specific for stroke
  • 68.
    description T1 T2FLAIR DWI ADC White matter high low intermediate low low Grey matter intermediate intermediate high intermediate intermediate CSF low high low low high
  • 69.
     DW imagesusually performed with echo-planar sequences which markedly decrease imaging time, motion artifacts and increase sensitivity to signal changes due to molecular motion.  The primary application of DW MR imaging has been in brain imaging, mainly because of its exquisite sensitivity to early detection of ischemic stroke
  • 70.
     The increasedsensitivity of diffusion-weighted MRI in detecting acute ischemia is thought to be the result of the water shift intracellularly restricting motion of water protons (cytotoxic edema), whereas the conventional T2 weighted images show signal alteration mostly as a result of vasogenic edema
  • 71.
    • Core ofinfarct = irreversible damage • Surrounding ischemic area  may be salvaged • DWI: open a window of opportunity during which Tt is beneficial • Regions of high mobility “rapid diffusion”  dark • Regions of low mobility “slow diffusion”  bright • Difficulty: DWI is highly sensitive to all of types of motion (blood flow, pulsatility, patient motion).
  • 74.
     Ischemic Stroke Extra axial masses: arachnoid cyst versus epidermoid tumor  Intracranial Infections Pyogenic infection Herpes encephalitis Creutzfeldt-Jakob disease  Trauma  Demyelination
  • 75.
    Apparent Diffusion Coefficient It is a measure of diffusion  Calculated by acquiring two or more images with a different gradient duration and amplitude (b-values)  To differentiate T2 shine through effects or artifacts from real ischemic lesions.  The lower ADC measurements seen with early ischemia,  An ADC map shows parametric images containing the apparent diffusion coefficients of diffusion weighted images. Also called diffusion map
  • 76.
     The ADCmay be useful for estimating the lesion age and distinguishing acute from subacute DWI lesions.  Acute ischemic lesions can be divided into hyperacute lesions (low ADC and DWI-positive) and subacute lesions (normalized ADC).  Chronic lesions can be differentiated from acute lesions by normalization of ADC and DWI.  a tumour would exhibit more restricted apparent diffusion compared with a cyst because intact cellular membranes in a tumour would hinder the free movement of water molecules
  • 77.
    Nonischemic causes fordecreased ADC  Abscess  Lymphoma and other tumors  Multiple sclerosis  Seizures  Metabolic (Canavans )
  • 78.
    65 year male-Rt ACA Infarct
  • 79.
    Evaluation of acutestroke on DWI  The DWI and ADC maps show changes in ischemic brain within minutes to few hours  The signal intensity of acute stroke on DW images increase during the first week after symptom onset and decrease thereafter, but signal remains hyper intense for a long period (up to 72 days in the study by Lausberg et al)  The ADC values decline rapidly after the onset of ischemia and subsequently increase from dark to bright 7-10 days later .  This property may be used to differentiate the lesion older than 10 days from more acute ones (Fig 2).  Chronic infarcts are characterized by elevated diffusion and appear hypo, iso or hyper intense on DW images and hyperintense on ADC maps
  • 81.
    DW MR imagingcharacteristics of Various Disease Entities MR Signal Intensity Disease DW Image ADC Image ADC Cause Acute Stroke High Low Restricted Cytotoxic edema Chronic Strokes Variable High Elevated Gliosis Hypertensive encephalopathy Variable High Elevated Vasogenic edema Arachnoid cyst Low High Elevated Free water Epidermoid mass High Low Restricted Cellular tumor Herpes encephalitis High Low Restricted Cytotoxic edema CJD High Low Restricted Cytotoxic edema MS acute lesions Variable High Elevated Vasogenic edema Chronic lesions Variable High Elevated Gliosis
  • 82.
    Clinical Uses ofDWI & ADCStroke:  Hyperacute Stage:- within one hour minimal hyperintensity seen in DWI and ADC value decrease 30% or more below normal (Usually <50X10-4 mm2 /sec)  Acute Stage:- Hyperintensity in DWI and ADC value low but after 5- 7days of ictus ADC values increase and return to normal value (Pseudonormalization)  Subacute to Chronic Stage:- ADC value are increased (Vasogenic edema) but hyperintensity still seen on DWI (T2 shine effect)
  • 83.
  • 84.
    GRE  In aGRE sequence, an RF pulse is applied that partly flipsthe NMV into the transverse plane (variableflip angle).  Gradients, as opposed to RF pulses, are usedto dephase (negative gradient) and rephase (positive gradients)transverse magnetization.  Because gradients donot refocus field inhomogeneities, GRE sequences with long TEsare T2* weighted (because of magnetic susceptibility) ratherthan T2 weighted like SE sequences
  • 85.
    GRE Sequences contd: This feature of GRE sequences is exploited- in detection of hemorrhage, as the iron in Hb becomesmagnetized locally (produces its own local magnetic field) andthus dephases the spinning nuclei.  The technique is particularlyhelpful for diagnosing hemorrhagic contusions such as thosein the brain and in pigmented villonodular synovitis.  SE sequences, on the other hand- relativelyimmune from magnetic susceptibility artifacts, and also lesssensitive in depicting hemorrhage and calcification.
  • 86.
  • 87.
    GRE Sequences contd: Magneticsusceptibility imaging-  - Basis of cerebral perfusionstudies, in which the T2* effects (ie, signal decrease) createdby gadolinium (a metal injected intravenously as a chelatedion in aqueous solution, typically in the form of gadopentetatedimeglumine) are sensitively depicted by GRE sequences.  - Also used in blood oxygenationlevel–dependent (BOLD) imaging, in which the relativeamount of deoxyhemoglobin in the cerebral vasculature is measuredas a reflection of neuronal activity. BOLD MR imaging is widelyused for mapping of human brain function.
  • 88.
    Gradient Echo Pros:  fasttechnique Cons:  More sensitive to magnetic susceptibility artifacts  Clinical use:  eg. Hemorrhage , calcification
  • 89.
    Axial T1 (C),T2 (D), and GRE (E) images show corresponding T1-hyperintense and GRE- hypointense foci with associated T2 hyperintensity (arrows).
  • 90.
  • 91.
    MR Spectroscopy  Magneticresonance spectroscopy (MRS) is a means of noninvasive physiologic imaging of the brain that measures relative levels of various tissue metabolites  Purcell and Bloch (1952) first detected NMR signals from magnetic dipoles of nuclei when placed in an external magnetic field.  Initial in vivo brain spectroscopy studies were done in the early 1980s.  Today MRS-in particular, IH MRS-has become a valuable physiologic imaging tool with wide clinical applicability.
  • 92.
    PRINCIPLES:  The radiationproduced by any substance is dependent on its atomic composition.  Spectroscopy is the determination of this chemical composition of a substance by observing the spectrum of electromagnetic energy emerging from or through it.  NMR is based on the principle that some nuclei have associated magnetic spin properties that allow them to behave like small magnet.  In the presence of an externally applied magnetic field, the magnetic nuclei interact with that field and distribute themselves to different energy levels.  These energy states correspond to the proton nuclear spins, either aligned in the direction of (low-energy spin state) or against the applied magnetic field (high- energy spin state).
  • 93.
     If energyis applied to the system in the form of a radiofrequency (RF) pulse that exactly matches the energy between both states. a condition of resonance occurs.  Chemical elements having different atomic numbers such as hydrogen ('H) and phosphorus (31P) resonate at different Larmor RFs.  Small change in the local magnetic field, the nucleus of the atom resonates at a shifted Larmor RF.  This phenomenon is called the chemical shift.
  • 94.
    Technique: Single volume andMultivolume MRS. 1) Single volume:  Stimulated echo acquisition mode (STEAM)  Point-resolved spectroscopy (PRESS)  It gives a better signal-to noise ratio 2) Multivolume MRS:  chemical shift imaging (CSI) or spectroscopic imaging (SI)  much larger area can be covered, eliminating the sampling error to an extent but significant weakening in the signal-to-noise ratio and a longer scan time.  Time of echo: 35 ms and 144ms.  Resonance frequencies on the x-axis and amplitude (concentration) on the y- axis.
  • 95.
    Effect Of TEon the peaks __________ TE 35ms ___________ ___________ TE 144ms __________
  • 96.
    Normal mrS CHOLINECREATINE NAA
  • 97.
  • 98.
  • 99.
    Observable metabolites Metabolite Location ppm Normalfunction Increased Lipids 0.9 & 1.3 Cell membrane component Hypoxia, trauma, high grade neoplasia. Lactate 1.3 TE=272 (upright) TE=136 (inverted) Denotes anaerobic glycolysis Hypoxia, stroke, necrosis, mitochondrial diseases, neoplasia, seizure Alanine 1.5 Amino acid Meningioma Acetate 1.9 Anabolic precursor Abscess , Neoplasia,
  • 100.
    Principle metabolites Metabolite Location ppm Normal function IncreasedDecreased NAA 2 Nonspecific neuronal marker (Reference for chemical shift) Canavan’s disease Neuronal loss, stroke, dementia, AD, hypoxia, neoplasia, abscess Glutamate , glutamine, GABA 2.1- 2.4 Neurotransmitte r Hypoxia, HE Hyponatremia Succinate 2.4 Part of TCA cycle Brain abscess Creatine 3.03 Cell energy marker (Reference for metabolite ratio) Trauma, hyperosmolar state Stroke, hypoxia, neoplasia
  • 101.
    Metabolite Location ppm Normal function Increased Decreased Choline3.2 Marker of cell memb turnover Neoplasia, demyelination (MS) Hypomyelinatio n Myoinositol 3.5 & 4 Astrocyte marker AD Demyelinating diseases
  • 102.
    Metabolite ratios: Normal abnormal NAA/Cr 2.0 <1.6 NAA/ Cho 1.6 <1.2 Cho/Cr 1.2 >1.5 Cho/NAA 0.8 >0.9 Myo/NAA 0.5 >0.8
  • 103.
    MRS Dec NAA/Cr Inc acetate, succinate,amino acid, lactate Neuodegenera tive Alzheimer Dec NAA/Cr Dec NAA/ Cho Inc Myo/NAA Slightly inc Cho/ Cr Cho/NAA Normal Myo/NAA Âą lipid/lactate Inc Cho/Cr Myo/NAA Cho/NAA Dec NAA/Cr Âą lipid/lactate Malignancy Demyelinating disease Pyogenic abscess
  • 104.
    Clinical Applications ofMRS:  Class A MRS Applications: Useful in Individual Patients 1) MRS of brain masses:  Distinguish neoplastic from non neoplastic masses  Primary from metastatic masses.  Tumor recurrence vs radiation necrosis  Prognostication of the disease  Mark region for stereotactic biopsy.  Monitoring response to treatment.  Research tool 2) MRS of Inborn Errors of Metabolism Include the leukodystrophies, mitochondrial disorders, and enzyme defects that cause an absence or accumulation of metabolites
  • 105.
    Class B MRSApplications: Occasionally Useful in Individual Patients 1) Ischemia, Hypoxia, and Related Brain Injuries  Ischemic stroke  Hypoxic ischemic encephalopathy. 2)Epilepsy Class C Applications: Useful Primarily in Groups of Patients (Research)  HIV disease and the brain  Neurodegenerative disorders  Amyotrophic lateral sclerosis  Multiple sclerosis  Hepatic encephalopathy  Psychiatric disorders
  • 106.
    MAGNETIZATION TRANSFER (MT)MRI  MT is a recently developed MR technique that alters contrast of tissue on the basis of macromolecular environments.  MTC is most useful in two basic area, improving image contrast and tissue characterization.  MT is accepted as an additional way to generate unique contrast in MRI that can be used to our advantage in a variety of clinical applications.
  • 107.
    Magnetization transfer (MT)contd:-  Basis of the technique: that the state of magnetization of an atomic nucleus can be transferred to a like nucleus in an adjacent molecule with different relaxation characteristics.  Acc. to this theory- H1 proton spins in water molecules can exchange magnetization with H1 protons of much larger molecules, such as proteins and cell membranes.  Consequence is that the observed relaxation times may reflect not only the properties of water protons but also, indirectly, the characteristics of the macromolecular solidlike environment  MT occurs when RF saturation pulses are placed far from the resonant frequency of water into a component of the broad macromolecular pool.
  • 108.
    Magnetization transfer (MT)contd:-  These off-resonance pulses, which may be added to standard MR pulse sequences, reduce the longitudinal magnetization of the restricted protons to zero without directly affecting the free water protons.  The initial MT occurs between the macromolecular protons and the transiently bound hydration layer protons on the surface of large molecules’  Saturated bound hydration layer protons then diffuse and mix with the free water proton pool  Saturation is transferred to the mobile water protons, reducing their longitudinal magnetization, which results in decreased signal intensity and less brightness on MR images.
  • 109.
    Magnetization transfer (MT)contd:-  The MT effect is superimposed on the intrinsic contrast of the baseline image  Amount of signal loss on MT images correlates with the amount of macromolecules in a given tissue and the efficiency of the magnetization exchange  MT characteristically: Reduces the SI of some solid like tissues, such as most of the brain and spinal cord Does not influence liquid like tissues significantly, such as the cerebrospinal fluid (CSF)
  • 110.
  • 111.
    CLINICAL APPLICATION• Useful diagnostictool in characterization of a variety of CNS infection • In detection and diagnosis of meningitis , encephalitis, CNS tuberculosis , neurocysticercosis and brain abscess. TUBERCULOMA • Pre-contrast T1-W MT imaging helps to better assess the disease load in CNS tuberculosis by improving the detectability of the lesions, with more number of tuberculomas detected on pre-contrast MT images compared to routine SE images • It may also be possible to differentiate T2 hypo intense tuberculoma from T2 hypo intense cysticerus granuloma with the use of MTR, as cysticercus granulomas show significantly higher MT ratio compared to tuberculomas
  • 112.
  • 113.
    NEUROCYSTICERCOSIS Findings vary withthe stage of disease  T1-W MT images are also important in demonstrating perilesional gliosis in treated neurocysticercus lesions  Gliotic areas show low MTR compared to the gray matter and white matter. So appear as hyperintense BRAIN ABSCESS  Lower MTR from tubercular abscess wall in comparison to wall of pyogenic abscess(~20 vs. ~26)
  • 114.
    Magnetization transfer (MT)contd:- Qualitative applications:  MR angiography,  postcontrast studies  spine imaging  MT pulses have a greater influence on brain tissue (d/t high conc. of structured macromolecules such as cholesterol and lipid) than on stationary blood.  By reducing the background signal vessel-to-brain contrast is accentuated,  Not helpful when MR angiography is used for the detection and characterization of cerebral aneurysms.
  • 115.
    GRE images ofthe cervical spine without (A) and with (B) MT show improved CSF–spinal cord contrast
  • 116.
    Magnetization transfer (MT)contd:- Quantitative applications:  Multiple sclerosis: discriminates multiple sclerosis & other demyelinating disorders, provides measure of total lesion load, assess the spinal cord lesion burden and to monitor the response to different treatments of multiple sclerosis  systemic lupus erythematosus,  CADASIL (cerebral autosomal dominant arteriopathy with subcortical infarcts and leukoencephalopathy),  Multiple system atrophy,  Amyotrophic lateral sclerosis,  Schizophrenia  Alzheimer’s disease
  • 117.
    MTR Quantitative applicationscontd:  May be used to differentiate between progressive multifocal leukoencephalopathy and HIV encephalitis  To detect axonal injury in normal appearing splenium of corpus callosum after head trauma  In chronic liver failure, diffuse MTR abnormalities have been found in normal appearing brain, which return to normal following liver transplantation
  • 118.

Editor's Notes

  • #100 Lipid increase in high-grade gliomas, meningiomas, demyelination, necrotic foci, and inborn errors of metabolism
  • #101 NAA is the most prominent one in normal adult brain proton MRS and is used as a reference for determination of chemical shift and nonspecific neuronal marker. Normal absolute concentrations of NAA in the adult brain are generally in the range of 8 to 9 mmol/kg. NAA concentrations are decreased in many brain disorders, resulting in neuronal and axonal loss, such as in neurodegenerative diseases, stroke, brain tumors, epilepsy, and multiple sclerosis, but are increased in Canavan&amp;apos;s disease Cr peak is an indirect indicator of brain intracellular energy stores, tends to be relatively constant in each tissue type in normal brain, mean absolute Cr concentration in normal adult brains of 7.49; reduced in all brain tumors, particularly malignant ones
  • #102 Cho reflects cell membrane synthesis and Degradation. Processes resulting in hypercellularity (e.g., primary brain neoplasms or gliosis) or myelin breakdown (demyelinating diseases) lead to locally increased Cho concentration, whereas hypomyelinating diseases result in decreased Cho levels. Mean absolute Cho concentration in normal adult brain tissue of 1.32 Ig3 MI is believed to be a glial marker because it is present primarily in glial cells and is absent in neurons; abnormally increased in patients with demyelinating diseases and in those with Alzheimer&amp;apos;s disease Lac levels in normal brain tissue are absent or extremely low (C0.5 Mmol/L), they are essentially undetectable on normal spectra. Found in anaerobic glycolysis, which may be seen with brain neoplasms, infarcts, hypoxia, metabolic disorders or seizure and accumulate within cysts or foci of necrosis.