MRI Procedure of Brain
By: Sudil Paudyal
BSc. MIT Final year
Roll no. 51
Introduction
• Brain is the most frequently imaged organ by MR imaging.
• Technological developments in computer design and processing
speeds as well as hardware developments have enabled significant
growth in MR brain imaging.
• Beyond simple anatomical imaging of the brain, advanced
techniques now include functional MRI (fMRI), such as blood
oxygen-level dependent (BOLD) imaging and 3D proton
spectroscopy, diffusion tensor imaging (DTI), perfusion imaging, and
volumetric measurements.
• However, basic techniques remain the foundation for all MR brain
imaging.
9/3/2013 MRI Brain by Sudil 2
Advantages of MRI over CT in brain imaging
• MRI does not use ionizing radiation, and is thus preferred over CT in
children and patients requiring multiple imaging examinations.
• MRI has a much greater range of available soft tissue contrast, depicts
anatomy in greater detail, and is more sensitive and specific for
abnormalities within the brain itself.
• MRI scanning can be performed in any imaging plane without having to
physically move the patient.
• MRI contrast agents have a considerably smaller risk of causing potentially
lethal allergic reaction.
• MRI allows the evaluation of structures that may be obscured by artifacts
from bone in CT images.
9/3/2013 MRI Brain by Sudil 3
Indications
• Multiple Sclerosis (MS)
• Primary Tumor Assessment and / or Metastatic disease.
• AIDS (toxoplasmosis)
• Infarction [ Cerebral Vascular Accident (CVA) vs. transient
Ischaemic Attack (TIA) ]
• Hemorrhage
• Hearing Loss
• Visual Disturbances
• Infection trauma
• Unexplained Neurological Symptoms or deficit
• Mapping of brain function
9/3/2013 4MRI Brain by Sudil
Equipment
• Head Coils:
– Surface coils for brain imaging usually consist of two types:
Single-channel transmit/receive coils
High-channel phased array coils.
• Immobilization pads and straps
• Ear plugs
• High performance gradients for EPI (Eco planer
Imaging), diffusion and perfusion imaging.
9/3/2013 5MRI Brain by Sudil
Head Coils:
• Single channel transmit/ receive coils:
A whole volume “bird-cage” design
Surround the entire head to below the level of C2 or C3.
A quadrature design to further boost SNR
Serve as both a transmit and receive antennae.
Provides adequate SNR for most general brain applications
when small detail is not required.
However, to visualize very small pathology such as small
MS lesions or pituitary micro-adenomas, scan times can
become unacceptably long in order to attain the required
SNR.
The development of phased array technology has
addressed this issue.
9/3/2013 MRI Brain by Sudil 6
• High-Channel Phased Array
Coils:
Addressed both SNR issues
and concerns about
anatomical coverage.
Higher SNR provided by these
coils allows for imaging with
higher spatial resolution —
smaller voxels, thinner slice
acquisitions, and small fields-
of-view for greater detection
of small pathology and small-
vessel stenoses.
9/3/2013 MRI Brain by Sudil 7
Patient preparation
• Before preparation, complete history should be checked. If
indication is unclear, the referring physician should be contacted.
• All metallic objects should be removed from pts body to ensure that
artifacts are not created during scanning.
• Disposable ear plugs should be provided to the patient to devoid
the patients from repeated noises during scanning.
• The patient should be instructed to avoid coughing, wriggling or
producing other large motion during or in between the scans.
• Ensure the IV line prior to the precontrast acquistion preferably
with 20 or 22 gauge IV canula.
• Pts who present with claustrophobic features may require sedation
with diazepam/ alprazolam/ midazolam.
9/3/2013 MRI Brain by Sudil 8
Contrast Media
• Gadolinium-based contrast enhancement is useful in brain imaging.
• Physicians often believe that administration of contrast is indicated for all
lesions.
• Three conditions must be met in order for contrast enhancement to occur:
– 1. An adequate blood supply to the lesion must exist
– 2. Blood-brain barrier breakdown must be present
– 3. Sufficient extracellular space must be available for the contrast agent to
localize after it has leaked out of the vasculature
• In cases in which lesions do not enhance, the lack of enhancement in and
of itself provides useful clinical information
• IV Gadolinium: 0.1-0.2 mmol/kg body weight
– given as a bolus at the rate of 1 ml/sec or
– as a slow infusion at the rate of 1 ml/6 sec.
9/3/2013 MRI Brain by Sudil 9
Patient Positioning
• Supine with head placed within the coil.
• Arms beside the trunk.
• Interpupillary line parallel to the couch and the head should
be straight.
• Longitudinal alignment line in the midline.
• Horizontal alignment line through the nasion.
• Straps and foam pads for immobilization.
9/3/2013 10MRI Brain by Sudil
Tips & Tricks:
 Symmetric positioning of the patient: use the bridge of the
nose as reference point
 Place cushions behind the knees
 In patients with increased kyphosis, place cushion under the
pelvis as well; in those with neck problems it may be necessary
to raise the head somewhat and cushion it.
 A mirror mounted on the head coil reduces claustrophobia.
9/3/2013 11MRI Brain by Sudil
Protocols
• Protocols used in MRI are not written in stone.
• Each facility decides on the best method for imaging the brain
based on their MRI system configuration, patient and
referring physician needs, and prevailing academic literature.
9/3/2013 12MRI Brain by Sudil
Routine Brain Protocol
• Sequences:
– Scout : 3 plane localiser
– T2 FSE in axial plane
– T2 FLAIR in axial plane
– T1 SE in sagittal and coronal plane
– DW EPI based in axial plane
– Post contrast T1 SE in the axial and coronal
plane.
9/3/2013 MRI Brain by Sudil 13
9/3/2013 MRI Brain by Sudil 14
Axial sequence:
• Plot on sagittal plane,
• Parallel to line through
anterior and posterior
commissure ,
• From the foramen
magnum to vertex .
9/3/2013 15MRI Brain by Sudil
Parameters
• FOV: 220-240 mm
• Slice thickness : 5-6 mm
• Slice gap : 20% of the slice
thickness ( 1-1.2 mm)
• Saturation slab : parallel to
slices , inferior to most
caudal slice 10 mm and
thickness 50-80 mm
• Matrix: 512 x 512
9/3/2013 16MRI Brain by Sudil
T2 weighted
TR: 4500
TE : 100
Freq.# : 256
Phase# : 192
9/3/2013 17MRI Brain by Sudil
T1 weighted
TR : 364 ms
TE : 15 ms
Or Proton-density
weighted:
TR: 2000-3500 ms
TE: 15 ms
9/3/2013 18MRI Brain by Sudil
FLAIR
• TR : 10717 ms
• TE : 100 ms
• TI : 2000 ms
• Pathology appears hyperintense due to the
optimization of TI required to null the signal of water.
• FLAIR vs PD:
 CSF appears low intensity on FLAIR which has two
advantages:
 First, periventricular lesions are better differentiated
from CSF
 Second , infectious exudates may replace CSF in the
sulci to appear hyperintense on FLAIR images but may
be difficult to detect on conventional proton density
spin echo images.
 For this reason, FLAIR imaging has largely replaced
PDWI for many indications.
9/3/2013 19MRI Brain by Sudil
Fig. 1.1 Post Contrast Axial MR Image of the brain
1
2
3
4
5
Post Contrast sagittal T1 Weighted
M.R.I.
Section at the level of Foramen
Magnum
1. Cisterna Magna
2. Cervical Cord
3. Nasopharynx
4. Mandible
5. Maxillary Sinus
9/3/2013 20MRI Brain by Sudil
Fig. 1.2 Post Contrast Axial MR Image of the brain
7
6
Post Contrast sagittal T1 Wtd M.R.I.
Section at the level of medulla
6. Medulla
7. Sigmoid Sinus
9/3/2013 21MRI Brain by Sudil
Fig. 1.3 Post Contrast Axial MR Image of the brain
15
8
9
10
11
12
13
14
16
17
Post Contrast sagittal T1 Wtd M.R.I.
Section at the level of Pons
8. Cerebellar
Hemisphere
9. Vermis
10. 4th Ventricle
11. Pons
12. Basilar Artery
13. Internal Carotid
Artery
14. Cavernous Sinus
15. Middle Cerebellar
Peduncle
16. Internal Auditory
Canal
17. Temporal Lobe
9/3/2013 22MRI Brain by Sudil
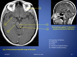
Fig. 1.4 Post Contrast Axial MR Image of the brain
18
19
20
21
22
Post Contrast sagittal T1 Wtd M.R.I.
Section at the level of Mid Brain
18. Aqueduct of Sylvius
19. Midbrain
20. Orbits
21. Posterior Cerebral Artery
22. Middle Cerebral Artery
9/3/2013 23MRI Brain by Sudil
Fig. 1.5 Post Contrast Axial MR Image of the brain
23
24
25
26
27
Post Contrast sagittal T1 Wtd M.R.I.
Section at the level of the 3rd
Ventricle
23. Occipital Lobe
24. 3rd Ventricle
25. Frontal Lobe
26. Temporal Lobe
27. Sylvian Fissure
9/3/2013 24MRI Brain by Sudil
Fig. 1.6 Post Contrast Axial MR Image of the brain
28
29
30
31
32
38
33
34
36
35
37
Post Contrast sagittal T1 Wtd M.R.I.
Section at the level of Thalamus
28. Superior Sagittal
Sinus
29. Occipital Lobe
30. Choroid Plexus
within the occipital
horn
31. Internal Cerebral
Vein
32. Frontal Horn
33. Thalamus
34. Temporal Lobe
35. Internal Capsule
36. Putamen
37. Caudate Nucleus
38. Frontal Lobe
9/3/2013 25MRI Brain by Sudil
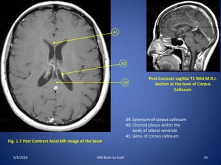
Fig. 1.7 Post Contrast Axial MR Image of the brain
39
40
41
Post Contrast sagittal T1 Wtd M.R.I.
Section at the level of Corpus
Callosum
39. Splenium of corpus callosum
40. Choroid plexus within the
body of lateral ventricle
41. Genu of corpus callosum
9/3/2013 26MRI Brain by Sudil
Fig. 1.8 Post Contrast Axial MR Image of the brain
42
43
44
Post Contrast sagittal T1 Wtd M.R.I.
Section at the level of Body of Corpus
Callosum
42. Parietal Lobe
43. Body of the Corpus
Callosum
44. Frontal Lobe
9/3/2013 27MRI Brain by Sudil
Fig. 1.9 Post Contrast Axial MR Image of the brain
45
46
Post Contrast sagittal T1 Wtd M.R.I.
Section above the Corpus Callosum
45. Parietal Lobe
46. Frontal Lobe
9/3/2013 28MRI Brain by Sudil
Sagittal sequence:
 Sagittal plot on coronal and axial localizer .
 Same slice thickness , gap and saturation
slab .
9/3/2013 29MRI Brain by Sudil
• Sagittal images are essential in the evaluation of sellar and
parasellar lesions, posterior fossa lesions, and intraventricular
lesions as well as for evaluation of the vascular anatomy.
9/3/2013 MRI Brain by Sudil 30
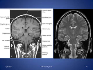
Coronal sequence:
• Plot on sagittal localizer
• Plane perpendicular to
axial plane
• Parallel to posterior
surface of brain stem
• Coverage from anterior
cranial vault to
posterior cranial vault.
9/3/2013 31MRI Brain by Sudil
9/3/2013 MRI Brain by Sudil 32
MR Angiography (MRA)
• Time-of-flight (TOF) or Inflow
angiography, uses a short echo time
and flow compensation to make
flowing blood much brighter than
stationary tissue.
• As flowing blood enters the area
being imaged it has seen a limited
number of excitation pulses so it is
not saturated, this gives it a much
higher signal than the saturated
stationary tissue.
9/3/2013 33MRI Brain by Sudil
• Indications :
– Evaluation of cerebral arteries in cases of stroke,
subarachnoid and intracerebral hemorrhage,
trauma, AVM, suspected or known aneurysm etc.
• Sequence:
– 3D TOF for circle of willis in the axial plane
– 3D TOF for vertebrobasilar system in axial plane
– For AVM, additional sequences needed are
– 3D TOF through region of interest
9/3/2013 MRI Brain by Sudil 34
• Parameters:
– FOV : 160 ms
– TR : 42.8 ms
– TE : 7.1
– FA : 330
– Thickness : 1.2 mm
– Multislab: 12
• Contrast is administered if one has to
differentiate between tumor and unusual
cavernous malformation or to look for adjacent
venous malformation.
9/3/2013 MRI Brain by Sudil 35
9/3/2013 MRI Brain by Sudil 36
MR Venography (MRV)
• Indications:
–Evaluation of intracerebral veins and
intradural venous sinuses for thrombosis
• Sequences
– Routine brain protocol
– PC images in the sagittal plane (for superior sagittal
sinus) and in the axial plane (for transverse sinus).
– 2D TOF in the sagittal and coronal plane through whole
head.
9/3/2013 MRI Brain by Sudil 37
• Parameters:
– FOV : 220
– TR : 35 ms
– TE : 8 ms
– FA : 60 0
– Thickness : 3.3
– Interval : 2.2
– Multislice : 80
• The coronal sequence must include the confluence of
sinuses in posterior part of the head.
• The coronal TOF acquisition can lead to artefactual loss of
signal in transverse sinuses due to in plane flow. An oblique
transverse scan obtained in plane of transverse sinus help
evaluate such an artifact.
• For evaluation of patient suspected of having venous
thrombosis, MRV is done along with stroke protocol.
9/3/2013 MRI Brain by Sudil 38
9/3/2013 MRI Brain by Sudil 39
Diffusion Weighted Sequence:
• Images the random motion of water molecules as they diffuse
through the extra-cellular space
• A typical diffusion-weighted pulse sequence is constructed by
the addition of a pair of diffusion-sensitizing gradients, also
known as motion-probing gradients, applied along the same
directional axis before and after the 180°refocusing pulse of a
spin-echo sequence.
• Diffusion thus results in loss of signal due to incomplete
rephasing of spins that change position between and during
the applications of the 2 diffusion-sensitizing gradients.
• Regions of high mobility “rapid diffusion”  dark
• Regions of low mobility “slow diffusion”  bright
9/3/2013 MRI Brain by Sudil
• Postprocessing ’Diffusion’
package to calculate
parametric maps (e.g.
ADC-, eADC-, FA-map).
• FiberTrak package to
track fibers for diffusion
tensor data with at least
6 diffusion directions.
9/3/2013 41MRI Brain by Sudil
Multiple Sclerosis (MS)
• An autoimmune condition in which the immune system attacks the
CNS (principally the white matter in the brain and spinal cord ),
leading to demyelination.
• Protocol:
– Best with sagittal FLAIR
– Administration of contrast .
– Sequences:
- Routine protocol
- Sagittal FLAIR FSE/TSE
- Axial T1 FS + contrast
- Axial FLAIR + contrast
- Coronal T1 FS + contrast
9/3/2013 42MRI Brain by Sudil
FLAIR and Post Gd T1WI showing lesion at roof of fourth ventricle.
 MS and stroke lesions can have similar appearance on
conventional sequences but only acute stroke lesions will have
restricted diffusion.
 Therefore a diffusion sequence should be done for suspected
but unconfirmed MS.
9/3/2013 43MRI Brain by Sudil
Trauma
• Indications:
– For old trauma to the head and brain when CT
findings are discrepant.
– Diffuse axonal injury or nonaccidental trauma
suspected and posterior fossa lesions where CT is
limited because of beam hardening artifacts.
• Sequences
– Routine protocol
– MPRAGE with sagittal and axial reformats (5 mm).
– Axial GRE
9/3/2013 44MRI Brain by Sudil
Hemorrhage
• Hyperacute ( < 24 hrs old )
• Acute ( 1-3 days ),
• Subacute ( 4-14 days ),
• Chronic (> 14 days )
• Sequences
- Routine protocol
- Ax GRE
- Ax T1 FS + contrast
- FLAIR + contrast
- Coronal T1 FS + contrast
9/3/2013 45MRI Brain by Sudil
Stroke
• Indications:- TIA, vertebro-basilar infarct
• Sequences :-
– T1 SE in axial and sagittal plane
– T2 FSE in axial plane
– T2 FLAIR with fat suppression in axial and coronal plane
– DW EPI based in axial plane
– Post Gd T1 SE in axial and coronal plane
• For suspected hyperacute stroke:
– DW in the coronal plane
– 3D- TOF for MRA of circle of willis
– Perfusion imaging in axial plane.
9/3/2013 46MRI Brain by Sudil
Magnetic resonance imaging in acute stroke. Left: Diffusion-weighted
MRI in acute ischemic stroke performed 35 minutes after symptom
onset. Right: Apparent diffusion coefficient (ADC) map obtained from
the same patient at the same time.
9/3/2013 47MRI Brain by Sudil
ICSOLs
• Indications:
• Evaluation of the intraparenchymal space occupying
lesions as tumors, metastases, abscesses etc.
• For localization, complication and management,
meningeal disease and post op follow up of these
cases.
• Sequences
- Routine protocol
- Axial and coronal T1 FS + contrast
- Axial FLAIR + contrast
- Sagittal T1 Fat Sat +contrast
9/3/2013 48MRI Brain by Sudil
• All pt.s with neoplasms should be evaluated by MRS.
• For melanoma and hemorrhagic metastases, axial MPGR
susceptibility sequences should be added.
9/3/2013 MRI Brain by Sudil 49
Post contrast axial T1WI shows a glioma extending
across corpus callosum
Cranial nerve
• Indications : For optimal demonstration of cranial
nerve anatomy along their entire course to detect any
pathology, injury, infection, tumor and any clinical
condition related to possible dysfunction of the nerve.
• Sequences:
– Routine protocol
– 3D CISS (3D BASG) in the axial plane from midbrain to
formen magnum
– Post contrast T1 SE with fat sat. in axial and coronal plane
9/3/2013 50MRI Brain by Sudil
• Although all cranial nerves can be identified in this protocol,
certain cranial nerves such as II, VII and VIII are best evaluated
with separate protocols.
• Cranial nerve 2 is evaluated in the orbit protocol.
• Cranial nerve 7 and 8 are evaluated in IAC protocol.
• In coronal plane images, make sure to include the inferior tip
of mandible to demonstrate course of mandibular division of
trigeminal nerve.
• The 3D CISS is a very high resolution, heavily T2W, 3D
sequence. It allows evaluation of CP angle and fluid structures
of IAC and inner ear.
9/3/2013 MRI Brain by Sudil 51
Acoustic schwannoma
T1 Axial T1 axial with Gad.
9/3/2013 52MRI Brain by Sudil
IAC
• Indications : Evaluation of temporal bone for
inflammatory, vascular and neoplastic disorders of soft
tissues for eg those related to otic capsule, carotid
sheath, jugular bulb etc.
• Sequences:
– Routine protocol
– 3D CISS in th axial plane through the temporal bone region
– Pre/post Gd, HR T1 in axial plane 3mm through temporal
bone
– Post Gd, HR T1 in coronal plane 3mm through temporal
bone
9/3/2013 MRI Brain by Sudil 53
9/3/2013 MRI Brain by Sudil 54
Fig : Coronal ultra thin slice T1 WI demonstrates
both internal auditory canals
Temporal lobe
• Indications:
– Evaluation of pt.s with
epilepsy, esp. complex
partial seizures which have
not responded to
medication
– Pre op evalutation for
planning in cases of partial
or full temporal lobectomy,
suspected mesial temporal
lobe sclerosis and short
term memory loss.
9/3/2013 55MRI Brain by Sudil
• Sequences :-
– Routine protocol ( in sagittal use
MPRAGE isotropic T1)
– Coronal and Axial T1 post
contrast
– Axial FLAIR post contrast
– 3D SPGR through whole brain
– Post contrast T1 sag if any SOL
detected in midline or occipital
lobes.
Coronal sequence
• Plot on sagittal perpendicular
to line of hippocamaple grey
matter.
9/3/2013 56MRI Brain by Sudil
Pituitary fossa
• Indications:
– To detect sellar and parasellar lesions, to delineate intrusion into
surrounding structures.
– Hormonal disturbances(amenorhea, hyperprolactinemia,
acromegaly),
– Suspected or known microadenoma or macroadenoma,
– Pituitary apoplexy and sudden visual loss.
• Sequences :
– Routine protocol
– Coronal T1SE through the sella
– Post contrast T1SE with fat sat. in Sagittal and coronal plane
through the sella
– Post contrast T1SE with fat sat in the axial plane through the
whole brain.
9/3/2013 57MRI Brain by Sudil
Brain MRI protocol (Pituitary)
• Coronal sequence
• Plot on mediosagittal
localizer superior to
sella.
• Slice thickness: 2mm
• Slice Interval : 0-20% of
thickness
• 2 sat. slab
• Small FOV
9/3/2013 58MRI Brain by Sudil
9/3/2013 59MRI Brain by Sudil
Dynamic study of sella
• Performed to evaluate cavernous sinus invasion by macroadenoma
• Standard pituitary exam should be performed before the dynamic study.
• FSE T1 coronal series of images is taken with a fast injecion of half dose
contrast.
• The injection is rapidly given at the start of the 2nd measurement. There is
a 10 second pause between the first scan and the start of continuous
string of post contrast measurements to prepare the injector and give a
countdown.
• Consists of four 3mm slices to cover sella in coronal plane.
• Five sets of images are obtained at 25 sec interval, with first set before
contrast and the other 4 sets after contrast.
• Main aim is to look for differential contrast enhancement between tumor(
slow enhancement) and gland (fast enhancement).
9/3/2013 MRI Brain by Sudil 60
Orbit MRI protocol
• Indications:
– Detection and staging of ocular tumors as melanoma
and metastases
– Evaluation of extraocular orbital infection, tumor,
myopathy, neuropathy and vascular diseases
– Lacrimal gland pathology
• Sequences:
– Routine brain protocol
– Pre/post Gd, high resolution T1SE with fat sat in axial
and coronal plane through the orbit
– Parasagittal T2 through the orbit
9/3/2013 61MRI Brain by Sudil
Orbit MRI protocol
• Coronal
• Plot on axial localizer
• 3mm slice thickness
• Gap 20%
• Axial plot on coronal
localizer
• 3mm slice thickness
• Gap 20%
9/3/2013 62MRI Brain by Sudil
Orbit MRI protocol
• Parasagittal :
• Plot on axial along with
optic nerve
• 3mm slice thickness
• Gap 20%
9/3/2013 63MRI Brain by Sudil
Perfusion imaging
 Perfusion imaging tracks the
transient passage of a Gd-
based contrast agent bolus by
means of a fast dynamic scan.
 Contrast agent will be
injected as a bolus: double
dose Gd, power injected at
rate of 5ml/sec with a 10 sec
delay.
 Simultaneously, a fast
dynamic scan will be started.
 This dynamic scan will be
evaluated with post-
processing packages.
Perfusion image with
pathology in left
parietal area
9/3/2013 64MRI Brain by Sudil
9/3/2013 MRI Brain by Sudil 65
 Above color maps are from MRI Dynamic Susceptibility Contrast
Perfusion (DSCP) study
 What we see are the color maps representing:
TTP (Time To Peak) - that shows the regional distribution of
arrival time of the bolus in the tissue
CBF (Cerebral Blood Flow)
CBV (Cerebral Blood Volume)
MTT (Mean Transit Time)
Magnetic Resonance Spectroscopy (MRS)
• The use of magnetic resonance in quantification of various
metabolites (chemical composition) and the study of their
distribution in different tissues.
• Rather than displaying MRI proton signals on a gray scale as
an image depending on its relative signal strength, MRS
displays the quantities as a spectrum.
• The resonance frequency of each metabolite is represented
on a graph and is expressed as parts per million (ppm).
9/3/2013 MRI Brain by Sudil 66
 Using MRS, the more metabolite that is present, the taller
the peak or greater the area under the peak. Specific
metabolites can be located along an x-axis.
9/3/2013 67MRI Brain by Sudil
Functional MRI (fMRI)
• fMRI detects the blood oxygen level–dependent (BOLD) changes in
the MRI signal that arise when changes in neuronal activity occur
following a change in brain state.
• An increase in neural activity in a region of cortex stimulates an
increase in the local blood flow in order to meet the larger demand
for oxygen and other substrates.
• The change in blood flow actually exceeds more than needed so
that, at the capillary level, there is a net increase in the balance of
oxygenated arterial blood to deoxygenated venous blood.
• Essentially, the change in tissue perfusion exceeds the additional
metabolic demand, so the concentration of deoxyhemoglobin
within tissues decreases. This decrease has a direct effect on the
signals used to produce magnetic resonance images.
9/3/2013 MRI Brain by Sudil 68
• While blood that contains oxyhemoglobin is not very
different, in terms of its magnetic susceptibility, from
other tissues or water, deoxyhemoglobin is significantly
paramagnetic (like the agents used for MRI contrast
materials, such as gadolinium), and thus deoxygenated
blood differs substantially in its magnetic properties
from surrounding tissues
• The result of having lower levels of deoxyhemoglobin
present in blood in a region of brain tissue is therefore
that the MRI signal from that region decays less rapidly
and so is stronger when it is recorded in a typical
magnetic resonance image acquisition.
• This small signal increase is the BOLD signal recorded in
fMRI.
9/3/2013 MRI Brain by Sudil 69
 During a typical functional imaging series, nearly 30 images are
acquired in a 90 sec run where the first and last 10 images
represent the baseline scans and the middle 10 scans are
acquired during the task.
9/3/2013 70MRI Brain by Sudil
fMRI
9/3/2013 MRI Brain by Sudil 71
References
• Hand Book of MRI Technique by Catherine
Westbrook
• CT & MRI Protocol by Satish k Bhargava
• MRI parameters and positioning by Torsten B.
Moeller
• CT and MRI of the whole body by John. R.
Haaga
• Various research articles and ppts.
9/3/2013 72MRI Brain by Sudil
9/3/2013 MRI Brain by Sudil 73
9/3/2013 MRI Brain by Sudil 74
HUMAN BRAIN :- REALLY A MAZE !!!!!!
  

MRI Procedure of Brain

  • 1.
    MRI Procedure ofBrain By: Sudil Paudyal BSc. MIT Final year Roll no. 51
  • 2.
    Introduction • Brain isthe most frequently imaged organ by MR imaging. • Technological developments in computer design and processing speeds as well as hardware developments have enabled significant growth in MR brain imaging. • Beyond simple anatomical imaging of the brain, advanced techniques now include functional MRI (fMRI), such as blood oxygen-level dependent (BOLD) imaging and 3D proton spectroscopy, diffusion tensor imaging (DTI), perfusion imaging, and volumetric measurements. • However, basic techniques remain the foundation for all MR brain imaging. 9/3/2013 MRI Brain by Sudil 2
  • 3.
    Advantages of MRIover CT in brain imaging • MRI does not use ionizing radiation, and is thus preferred over CT in children and patients requiring multiple imaging examinations. • MRI has a much greater range of available soft tissue contrast, depicts anatomy in greater detail, and is more sensitive and specific for abnormalities within the brain itself. • MRI scanning can be performed in any imaging plane without having to physically move the patient. • MRI contrast agents have a considerably smaller risk of causing potentially lethal allergic reaction. • MRI allows the evaluation of structures that may be obscured by artifacts from bone in CT images. 9/3/2013 MRI Brain by Sudil 3
  • 4.
    Indications • Multiple Sclerosis(MS) • Primary Tumor Assessment and / or Metastatic disease. • AIDS (toxoplasmosis) • Infarction [ Cerebral Vascular Accident (CVA) vs. transient Ischaemic Attack (TIA) ] • Hemorrhage • Hearing Loss • Visual Disturbances • Infection trauma • Unexplained Neurological Symptoms or deficit • Mapping of brain function 9/3/2013 4MRI Brain by Sudil
  • 5.
    Equipment • Head Coils: –Surface coils for brain imaging usually consist of two types: Single-channel transmit/receive coils High-channel phased array coils. • Immobilization pads and straps • Ear plugs • High performance gradients for EPI (Eco planer Imaging), diffusion and perfusion imaging. 9/3/2013 5MRI Brain by Sudil
  • 6.
    Head Coils: • Singlechannel transmit/ receive coils: A whole volume “bird-cage” design Surround the entire head to below the level of C2 or C3. A quadrature design to further boost SNR Serve as both a transmit and receive antennae. Provides adequate SNR for most general brain applications when small detail is not required. However, to visualize very small pathology such as small MS lesions or pituitary micro-adenomas, scan times can become unacceptably long in order to attain the required SNR. The development of phased array technology has addressed this issue. 9/3/2013 MRI Brain by Sudil 6
  • 7.
    • High-Channel PhasedArray Coils: Addressed both SNR issues and concerns about anatomical coverage. Higher SNR provided by these coils allows for imaging with higher spatial resolution — smaller voxels, thinner slice acquisitions, and small fields- of-view for greater detection of small pathology and small- vessel stenoses. 9/3/2013 MRI Brain by Sudil 7
  • 8.
    Patient preparation • Beforepreparation, complete history should be checked. If indication is unclear, the referring physician should be contacted. • All metallic objects should be removed from pts body to ensure that artifacts are not created during scanning. • Disposable ear plugs should be provided to the patient to devoid the patients from repeated noises during scanning. • The patient should be instructed to avoid coughing, wriggling or producing other large motion during or in between the scans. • Ensure the IV line prior to the precontrast acquistion preferably with 20 or 22 gauge IV canula. • Pts who present with claustrophobic features may require sedation with diazepam/ alprazolam/ midazolam. 9/3/2013 MRI Brain by Sudil 8
  • 9.
    Contrast Media • Gadolinium-basedcontrast enhancement is useful in brain imaging. • Physicians often believe that administration of contrast is indicated for all lesions. • Three conditions must be met in order for contrast enhancement to occur: – 1. An adequate blood supply to the lesion must exist – 2. Blood-brain barrier breakdown must be present – 3. Sufficient extracellular space must be available for the contrast agent to localize after it has leaked out of the vasculature • In cases in which lesions do not enhance, the lack of enhancement in and of itself provides useful clinical information • IV Gadolinium: 0.1-0.2 mmol/kg body weight – given as a bolus at the rate of 1 ml/sec or – as a slow infusion at the rate of 1 ml/6 sec. 9/3/2013 MRI Brain by Sudil 9
  • 10.
    Patient Positioning • Supinewith head placed within the coil. • Arms beside the trunk. • Interpupillary line parallel to the couch and the head should be straight. • Longitudinal alignment line in the midline. • Horizontal alignment line through the nasion. • Straps and foam pads for immobilization. 9/3/2013 10MRI Brain by Sudil
  • 11.
    Tips & Tricks: Symmetric positioning of the patient: use the bridge of the nose as reference point  Place cushions behind the knees  In patients with increased kyphosis, place cushion under the pelvis as well; in those with neck problems it may be necessary to raise the head somewhat and cushion it.  A mirror mounted on the head coil reduces claustrophobia. 9/3/2013 11MRI Brain by Sudil
  • 12.
    Protocols • Protocols usedin MRI are not written in stone. • Each facility decides on the best method for imaging the brain based on their MRI system configuration, patient and referring physician needs, and prevailing academic literature. 9/3/2013 12MRI Brain by Sudil
  • 13.
    Routine Brain Protocol •Sequences: – Scout : 3 plane localiser – T2 FSE in axial plane – T2 FLAIR in axial plane – T1 SE in sagittal and coronal plane – DW EPI based in axial plane – Post contrast T1 SE in the axial and coronal plane. 9/3/2013 MRI Brain by Sudil 13
  • 14.
    9/3/2013 MRI Brainby Sudil 14
  • 15.
    Axial sequence: • Ploton sagittal plane, • Parallel to line through anterior and posterior commissure , • From the foramen magnum to vertex . 9/3/2013 15MRI Brain by Sudil
  • 16.
    Parameters • FOV: 220-240mm • Slice thickness : 5-6 mm • Slice gap : 20% of the slice thickness ( 1-1.2 mm) • Saturation slab : parallel to slices , inferior to most caudal slice 10 mm and thickness 50-80 mm • Matrix: 512 x 512 9/3/2013 16MRI Brain by Sudil
  • 17.
    T2 weighted TR: 4500 TE: 100 Freq.# : 256 Phase# : 192 9/3/2013 17MRI Brain by Sudil
  • 18.
    T1 weighted TR :364 ms TE : 15 ms Or Proton-density weighted: TR: 2000-3500 ms TE: 15 ms 9/3/2013 18MRI Brain by Sudil
  • 19.
    FLAIR • TR :10717 ms • TE : 100 ms • TI : 2000 ms • Pathology appears hyperintense due to the optimization of TI required to null the signal of water. • FLAIR vs PD:  CSF appears low intensity on FLAIR which has two advantages:  First, periventricular lesions are better differentiated from CSF  Second , infectious exudates may replace CSF in the sulci to appear hyperintense on FLAIR images but may be difficult to detect on conventional proton density spin echo images.  For this reason, FLAIR imaging has largely replaced PDWI for many indications. 9/3/2013 19MRI Brain by Sudil
  • 20.
    Fig. 1.1 PostContrast Axial MR Image of the brain 1 2 3 4 5 Post Contrast sagittal T1 Weighted M.R.I. Section at the level of Foramen Magnum 1. Cisterna Magna 2. Cervical Cord 3. Nasopharynx 4. Mandible 5. Maxillary Sinus 9/3/2013 20MRI Brain by Sudil
  • 21.
    Fig. 1.2 PostContrast Axial MR Image of the brain 7 6 Post Contrast sagittal T1 Wtd M.R.I. Section at the level of medulla 6. Medulla 7. Sigmoid Sinus 9/3/2013 21MRI Brain by Sudil
  • 22.
    Fig. 1.3 PostContrast Axial MR Image of the brain 15 8 9 10 11 12 13 14 16 17 Post Contrast sagittal T1 Wtd M.R.I. Section at the level of Pons 8. Cerebellar Hemisphere 9. Vermis 10. 4th Ventricle 11. Pons 12. Basilar Artery 13. Internal Carotid Artery 14. Cavernous Sinus 15. Middle Cerebellar Peduncle 16. Internal Auditory Canal 17. Temporal Lobe 9/3/2013 22MRI Brain by Sudil
  • 23.
    Fig. 1.4 PostContrast Axial MR Image of the brain 18 19 20 21 22 Post Contrast sagittal T1 Wtd M.R.I. Section at the level of Mid Brain 18. Aqueduct of Sylvius 19. Midbrain 20. Orbits 21. Posterior Cerebral Artery 22. Middle Cerebral Artery 9/3/2013 23MRI Brain by Sudil
  • 24.
    Fig. 1.5 PostContrast Axial MR Image of the brain 23 24 25 26 27 Post Contrast sagittal T1 Wtd M.R.I. Section at the level of the 3rd Ventricle 23. Occipital Lobe 24. 3rd Ventricle 25. Frontal Lobe 26. Temporal Lobe 27. Sylvian Fissure 9/3/2013 24MRI Brain by Sudil
  • 25.
    Fig. 1.6 PostContrast Axial MR Image of the brain 28 29 30 31 32 38 33 34 36 35 37 Post Contrast sagittal T1 Wtd M.R.I. Section at the level of Thalamus 28. Superior Sagittal Sinus 29. Occipital Lobe 30. Choroid Plexus within the occipital horn 31. Internal Cerebral Vein 32. Frontal Horn 33. Thalamus 34. Temporal Lobe 35. Internal Capsule 36. Putamen 37. Caudate Nucleus 38. Frontal Lobe 9/3/2013 25MRI Brain by Sudil
  • 26.
    Fig. 1.7 PostContrast Axial MR Image of the brain 39 40 41 Post Contrast sagittal T1 Wtd M.R.I. Section at the level of Corpus Callosum 39. Splenium of corpus callosum 40. Choroid plexus within the body of lateral ventricle 41. Genu of corpus callosum 9/3/2013 26MRI Brain by Sudil
  • 27.
    Fig. 1.8 PostContrast Axial MR Image of the brain 42 43 44 Post Contrast sagittal T1 Wtd M.R.I. Section at the level of Body of Corpus Callosum 42. Parietal Lobe 43. Body of the Corpus Callosum 44. Frontal Lobe 9/3/2013 27MRI Brain by Sudil
  • 28.
    Fig. 1.9 PostContrast Axial MR Image of the brain 45 46 Post Contrast sagittal T1 Wtd M.R.I. Section above the Corpus Callosum 45. Parietal Lobe 46. Frontal Lobe 9/3/2013 28MRI Brain by Sudil
  • 29.
    Sagittal sequence:  Sagittalplot on coronal and axial localizer .  Same slice thickness , gap and saturation slab . 9/3/2013 29MRI Brain by Sudil
  • 30.
    • Sagittal imagesare essential in the evaluation of sellar and parasellar lesions, posterior fossa lesions, and intraventricular lesions as well as for evaluation of the vascular anatomy. 9/3/2013 MRI Brain by Sudil 30
  • 31.
    Coronal sequence: • Ploton sagittal localizer • Plane perpendicular to axial plane • Parallel to posterior surface of brain stem • Coverage from anterior cranial vault to posterior cranial vault. 9/3/2013 31MRI Brain by Sudil
  • 32.
    9/3/2013 MRI Brainby Sudil 32
  • 33.
    MR Angiography (MRA) •Time-of-flight (TOF) or Inflow angiography, uses a short echo time and flow compensation to make flowing blood much brighter than stationary tissue. • As flowing blood enters the area being imaged it has seen a limited number of excitation pulses so it is not saturated, this gives it a much higher signal than the saturated stationary tissue. 9/3/2013 33MRI Brain by Sudil
  • 34.
    • Indications : –Evaluation of cerebral arteries in cases of stroke, subarachnoid and intracerebral hemorrhage, trauma, AVM, suspected or known aneurysm etc. • Sequence: – 3D TOF for circle of willis in the axial plane – 3D TOF for vertebrobasilar system in axial plane – For AVM, additional sequences needed are – 3D TOF through region of interest 9/3/2013 MRI Brain by Sudil 34
  • 35.
    • Parameters: – FOV: 160 ms – TR : 42.8 ms – TE : 7.1 – FA : 330 – Thickness : 1.2 mm – Multislab: 12 • Contrast is administered if one has to differentiate between tumor and unusual cavernous malformation or to look for adjacent venous malformation. 9/3/2013 MRI Brain by Sudil 35
  • 36.
    9/3/2013 MRI Brainby Sudil 36
  • 37.
    MR Venography (MRV) •Indications: –Evaluation of intracerebral veins and intradural venous sinuses for thrombosis • Sequences – Routine brain protocol – PC images in the sagittal plane (for superior sagittal sinus) and in the axial plane (for transverse sinus). – 2D TOF in the sagittal and coronal plane through whole head. 9/3/2013 MRI Brain by Sudil 37
  • 38.
    • Parameters: – FOV: 220 – TR : 35 ms – TE : 8 ms – FA : 60 0 – Thickness : 3.3 – Interval : 2.2 – Multislice : 80 • The coronal sequence must include the confluence of sinuses in posterior part of the head. • The coronal TOF acquisition can lead to artefactual loss of signal in transverse sinuses due to in plane flow. An oblique transverse scan obtained in plane of transverse sinus help evaluate such an artifact. • For evaluation of patient suspected of having venous thrombosis, MRV is done along with stroke protocol. 9/3/2013 MRI Brain by Sudil 38
  • 39.
    9/3/2013 MRI Brainby Sudil 39
  • 40.
    Diffusion Weighted Sequence: •Images the random motion of water molecules as they diffuse through the extra-cellular space • A typical diffusion-weighted pulse sequence is constructed by the addition of a pair of diffusion-sensitizing gradients, also known as motion-probing gradients, applied along the same directional axis before and after the 180°refocusing pulse of a spin-echo sequence. • Diffusion thus results in loss of signal due to incomplete rephasing of spins that change position between and during the applications of the 2 diffusion-sensitizing gradients. • Regions of high mobility “rapid diffusion”  dark • Regions of low mobility “slow diffusion”  bright 9/3/2013 MRI Brain by Sudil
  • 41.
    • Postprocessing ’Diffusion’ packageto calculate parametric maps (e.g. ADC-, eADC-, FA-map). • FiberTrak package to track fibers for diffusion tensor data with at least 6 diffusion directions. 9/3/2013 41MRI Brain by Sudil
  • 42.
    Multiple Sclerosis (MS) •An autoimmune condition in which the immune system attacks the CNS (principally the white matter in the brain and spinal cord ), leading to demyelination. • Protocol: – Best with sagittal FLAIR – Administration of contrast . – Sequences: - Routine protocol - Sagittal FLAIR FSE/TSE - Axial T1 FS + contrast - Axial FLAIR + contrast - Coronal T1 FS + contrast 9/3/2013 42MRI Brain by Sudil
  • 43.
    FLAIR and PostGd T1WI showing lesion at roof of fourth ventricle.  MS and stroke lesions can have similar appearance on conventional sequences but only acute stroke lesions will have restricted diffusion.  Therefore a diffusion sequence should be done for suspected but unconfirmed MS. 9/3/2013 43MRI Brain by Sudil
  • 44.
    Trauma • Indications: – Forold trauma to the head and brain when CT findings are discrepant. – Diffuse axonal injury or nonaccidental trauma suspected and posterior fossa lesions where CT is limited because of beam hardening artifacts. • Sequences – Routine protocol – MPRAGE with sagittal and axial reformats (5 mm). – Axial GRE 9/3/2013 44MRI Brain by Sudil
  • 45.
    Hemorrhage • Hyperacute (< 24 hrs old ) • Acute ( 1-3 days ), • Subacute ( 4-14 days ), • Chronic (> 14 days ) • Sequences - Routine protocol - Ax GRE - Ax T1 FS + contrast - FLAIR + contrast - Coronal T1 FS + contrast 9/3/2013 45MRI Brain by Sudil
  • 46.
    Stroke • Indications:- TIA,vertebro-basilar infarct • Sequences :- – T1 SE in axial and sagittal plane – T2 FSE in axial plane – T2 FLAIR with fat suppression in axial and coronal plane – DW EPI based in axial plane – Post Gd T1 SE in axial and coronal plane • For suspected hyperacute stroke: – DW in the coronal plane – 3D- TOF for MRA of circle of willis – Perfusion imaging in axial plane. 9/3/2013 46MRI Brain by Sudil
  • 47.
    Magnetic resonance imagingin acute stroke. Left: Diffusion-weighted MRI in acute ischemic stroke performed 35 minutes after symptom onset. Right: Apparent diffusion coefficient (ADC) map obtained from the same patient at the same time. 9/3/2013 47MRI Brain by Sudil
  • 48.
    ICSOLs • Indications: • Evaluationof the intraparenchymal space occupying lesions as tumors, metastases, abscesses etc. • For localization, complication and management, meningeal disease and post op follow up of these cases. • Sequences - Routine protocol - Axial and coronal T1 FS + contrast - Axial FLAIR + contrast - Sagittal T1 Fat Sat +contrast 9/3/2013 48MRI Brain by Sudil
  • 49.
    • All pt.swith neoplasms should be evaluated by MRS. • For melanoma and hemorrhagic metastases, axial MPGR susceptibility sequences should be added. 9/3/2013 MRI Brain by Sudil 49 Post contrast axial T1WI shows a glioma extending across corpus callosum
  • 50.
    Cranial nerve • Indications: For optimal demonstration of cranial nerve anatomy along their entire course to detect any pathology, injury, infection, tumor and any clinical condition related to possible dysfunction of the nerve. • Sequences: – Routine protocol – 3D CISS (3D BASG) in the axial plane from midbrain to formen magnum – Post contrast T1 SE with fat sat. in axial and coronal plane 9/3/2013 50MRI Brain by Sudil
  • 51.
    • Although allcranial nerves can be identified in this protocol, certain cranial nerves such as II, VII and VIII are best evaluated with separate protocols. • Cranial nerve 2 is evaluated in the orbit protocol. • Cranial nerve 7 and 8 are evaluated in IAC protocol. • In coronal plane images, make sure to include the inferior tip of mandible to demonstrate course of mandibular division of trigeminal nerve. • The 3D CISS is a very high resolution, heavily T2W, 3D sequence. It allows evaluation of CP angle and fluid structures of IAC and inner ear. 9/3/2013 MRI Brain by Sudil 51
  • 52.
    Acoustic schwannoma T1 AxialT1 axial with Gad. 9/3/2013 52MRI Brain by Sudil
  • 53.
    IAC • Indications :Evaluation of temporal bone for inflammatory, vascular and neoplastic disorders of soft tissues for eg those related to otic capsule, carotid sheath, jugular bulb etc. • Sequences: – Routine protocol – 3D CISS in th axial plane through the temporal bone region – Pre/post Gd, HR T1 in axial plane 3mm through temporal bone – Post Gd, HR T1 in coronal plane 3mm through temporal bone 9/3/2013 MRI Brain by Sudil 53
  • 54.
    9/3/2013 MRI Brainby Sudil 54 Fig : Coronal ultra thin slice T1 WI demonstrates both internal auditory canals
  • 55.
    Temporal lobe • Indications: –Evaluation of pt.s with epilepsy, esp. complex partial seizures which have not responded to medication – Pre op evalutation for planning in cases of partial or full temporal lobectomy, suspected mesial temporal lobe sclerosis and short term memory loss. 9/3/2013 55MRI Brain by Sudil
  • 56.
    • Sequences :- –Routine protocol ( in sagittal use MPRAGE isotropic T1) – Coronal and Axial T1 post contrast – Axial FLAIR post contrast – 3D SPGR through whole brain – Post contrast T1 sag if any SOL detected in midline or occipital lobes. Coronal sequence • Plot on sagittal perpendicular to line of hippocamaple grey matter. 9/3/2013 56MRI Brain by Sudil
  • 57.
    Pituitary fossa • Indications: –To detect sellar and parasellar lesions, to delineate intrusion into surrounding structures. – Hormonal disturbances(amenorhea, hyperprolactinemia, acromegaly), – Suspected or known microadenoma or macroadenoma, – Pituitary apoplexy and sudden visual loss. • Sequences : – Routine protocol – Coronal T1SE through the sella – Post contrast T1SE with fat sat. in Sagittal and coronal plane through the sella – Post contrast T1SE with fat sat in the axial plane through the whole brain. 9/3/2013 57MRI Brain by Sudil
  • 58.
    Brain MRI protocol(Pituitary) • Coronal sequence • Plot on mediosagittal localizer superior to sella. • Slice thickness: 2mm • Slice Interval : 0-20% of thickness • 2 sat. slab • Small FOV 9/3/2013 58MRI Brain by Sudil
  • 59.
  • 60.
    Dynamic study ofsella • Performed to evaluate cavernous sinus invasion by macroadenoma • Standard pituitary exam should be performed before the dynamic study. • FSE T1 coronal series of images is taken with a fast injecion of half dose contrast. • The injection is rapidly given at the start of the 2nd measurement. There is a 10 second pause between the first scan and the start of continuous string of post contrast measurements to prepare the injector and give a countdown. • Consists of four 3mm slices to cover sella in coronal plane. • Five sets of images are obtained at 25 sec interval, with first set before contrast and the other 4 sets after contrast. • Main aim is to look for differential contrast enhancement between tumor( slow enhancement) and gland (fast enhancement). 9/3/2013 MRI Brain by Sudil 60
  • 61.
    Orbit MRI protocol •Indications: – Detection and staging of ocular tumors as melanoma and metastases – Evaluation of extraocular orbital infection, tumor, myopathy, neuropathy and vascular diseases – Lacrimal gland pathology • Sequences: – Routine brain protocol – Pre/post Gd, high resolution T1SE with fat sat in axial and coronal plane through the orbit – Parasagittal T2 through the orbit 9/3/2013 61MRI Brain by Sudil
  • 62.
    Orbit MRI protocol •Coronal • Plot on axial localizer • 3mm slice thickness • Gap 20% • Axial plot on coronal localizer • 3mm slice thickness • Gap 20% 9/3/2013 62MRI Brain by Sudil
  • 63.
    Orbit MRI protocol •Parasagittal : • Plot on axial along with optic nerve • 3mm slice thickness • Gap 20% 9/3/2013 63MRI Brain by Sudil
  • 64.
    Perfusion imaging  Perfusionimaging tracks the transient passage of a Gd- based contrast agent bolus by means of a fast dynamic scan.  Contrast agent will be injected as a bolus: double dose Gd, power injected at rate of 5ml/sec with a 10 sec delay.  Simultaneously, a fast dynamic scan will be started.  This dynamic scan will be evaluated with post- processing packages. Perfusion image with pathology in left parietal area 9/3/2013 64MRI Brain by Sudil
  • 65.
    9/3/2013 MRI Brainby Sudil 65  Above color maps are from MRI Dynamic Susceptibility Contrast Perfusion (DSCP) study  What we see are the color maps representing: TTP (Time To Peak) - that shows the regional distribution of arrival time of the bolus in the tissue CBF (Cerebral Blood Flow) CBV (Cerebral Blood Volume) MTT (Mean Transit Time)
  • 66.
    Magnetic Resonance Spectroscopy(MRS) • The use of magnetic resonance in quantification of various metabolites (chemical composition) and the study of their distribution in different tissues. • Rather than displaying MRI proton signals on a gray scale as an image depending on its relative signal strength, MRS displays the quantities as a spectrum. • The resonance frequency of each metabolite is represented on a graph and is expressed as parts per million (ppm). 9/3/2013 MRI Brain by Sudil 66
  • 67.
     Using MRS,the more metabolite that is present, the taller the peak or greater the area under the peak. Specific metabolites can be located along an x-axis. 9/3/2013 67MRI Brain by Sudil
  • 68.
    Functional MRI (fMRI) •fMRI detects the blood oxygen level–dependent (BOLD) changes in the MRI signal that arise when changes in neuronal activity occur following a change in brain state. • An increase in neural activity in a region of cortex stimulates an increase in the local blood flow in order to meet the larger demand for oxygen and other substrates. • The change in blood flow actually exceeds more than needed so that, at the capillary level, there is a net increase in the balance of oxygenated arterial blood to deoxygenated venous blood. • Essentially, the change in tissue perfusion exceeds the additional metabolic demand, so the concentration of deoxyhemoglobin within tissues decreases. This decrease has a direct effect on the signals used to produce magnetic resonance images. 9/3/2013 MRI Brain by Sudil 68
  • 69.
    • While bloodthat contains oxyhemoglobin is not very different, in terms of its magnetic susceptibility, from other tissues or water, deoxyhemoglobin is significantly paramagnetic (like the agents used for MRI contrast materials, such as gadolinium), and thus deoxygenated blood differs substantially in its magnetic properties from surrounding tissues • The result of having lower levels of deoxyhemoglobin present in blood in a region of brain tissue is therefore that the MRI signal from that region decays less rapidly and so is stronger when it is recorded in a typical magnetic resonance image acquisition. • This small signal increase is the BOLD signal recorded in fMRI. 9/3/2013 MRI Brain by Sudil 69
  • 70.
     During atypical functional imaging series, nearly 30 images are acquired in a 90 sec run where the first and last 10 images represent the baseline scans and the middle 10 scans are acquired during the task. 9/3/2013 70MRI Brain by Sudil
  • 71.
  • 72.
    References • Hand Bookof MRI Technique by Catherine Westbrook • CT & MRI Protocol by Satish k Bhargava • MRI parameters and positioning by Torsten B. Moeller • CT and MRI of the whole body by John. R. Haaga • Various research articles and ppts. 9/3/2013 72MRI Brain by Sudil
  • 73.
    9/3/2013 MRI Brainby Sudil 73
  • 74.
    9/3/2013 MRI Brainby Sudil 74 HUMAN BRAIN :- REALLY A MAZE !!!!!!   