ANKLE JOINT
RADIOGRAPHY
By Dr. Nikhil Murkey
The Ottawa Ankle Rules (OAR)
• The commonly used criteria for predicting which
  patients require radiographic images.
• Radiographs are only required for those patients
  with
  • tenderness at the posterior edge or tip of the
    medial or lateral malleolus.
  • inability to bear weight (4 steps) either
    immediately after the injury or in the
    emergency room.
  • pain at the base of the fifth metatarsal
Projections
• Three main projections:
• AP
  • Identifies fractures of malleoli, distal tibia/fibula, plafond, talar
    dome, body and lateral process of talus, calcaneus.
• Mortise
   • Ankle 15-35 degrees internal rotation (20-25-degrees
     commonly used).
   • Evaluate articular surface between talar dome and mortise.
• Lateral:
   • Identifies fractures of anterior/posterior tibial margins, talar
     neck, displacement of talus.

• Other views like AP ankle plantar flexion view, medial oblique
  foot view, AP of proximal fibula, etc. may also be required in
  conjunction with above mentioned views.
Antero-posterior view
The ankle is slightly
dorsiflexed so that the
plantar surface of the foot is
perpendicular to the
film, which brings the
weight-bearing talar surface
into optimum tangential
projection. Internally rotate
the lower leg so that a line
through the malleoli is
parallel with the film surface.
Measurements in AP view
 • Tibial shaft line (A). A line is drawn through
   and parallel to the tibial shaft.
 • Medial malleolus line (B). A line is drawn
   tangential to the articular surface of the
   medial malleolus.
 • Lateral malleolus line (C). A line is drawn
   tangential to the articular surface of the
   lateral malleolus.
 • Talus line (D). A line is drawn tangential to
   the articular surface of the talar dome.
 • Tibial angle (I). The angle is formed
   medially between the medial malleolus line
   and talus line.
 • Fibular angle (II). The angle is formed
   laterally between the lateral malleolus line
   and talus line.

   Angle       Average (°)   Min (°)   Max (°)
                                                    These angles will be altered in fractures of
Tibial (I)         53          45        65         the malleoli, ankle mortise instability, and
Fibular (II)       52          43        63         tibiotalar slant deformities.
Measurements in AP view
• Tibio-fibular clear space:
           - tibiofibular clear space is the cartilaginous space
  between lateral border of posterior tibia (incisura fibularis) &
  medial border of fibula, measured 1 cm above the joint line;
           - normally the clear space is less than 5-6 mm on both
  AP and Mortise views. (increase indicates syndesmotic and
  deltoid disruption).
• Tibio-fibular overlap:
           - should be greater than 6 mm or 42% of fibular
  width.

• Superior clear space: Difference in width of superior clear
  space between medial & lateral sides of joint should be < 2
  mm
Measurements in AP view




                                  Talar Tilt:- difference in width of superior
                                  clear space between medial & lateral sides
Tib-fib Clear Space > 5mm or      of joint should be < 2 mm
Tib-fib Overlap < 10mm
may indicate syndesmotic injury   > 2 degrees angulation may indicate
                                  medial or lateral disruption
Specialized Projections (AP)
• Plantar flexion view (lazy AP view): For subtle fractures of the talar
  dome, including osteochondritis dissecans, plantar flexion will often
  demonstrate the fracture site as the posterior articular surface comes
  into view.
• Inversion-eversion stress views: The stress is induced by a third
  person, who wears lead gloves and lead apron, or by the patient, who
  holds a strap that is looped around the sole of the foot. The views
  should be performed and measurements compared bilaterally.
  • Joint stability is defined by less than 5 deg difference between the injured
    and uninjured sides.
• Weight-bearing AP view: Performed AP and weight bearing with a
  horizontal beam. This is especially valuable in showing degenerative
  decreased joint space and chronic instability with lateral talar tilt or
  lateral shift. Diastasis of the distal tibiofibular syndesmosis may also
  be more apparent as a widened joint with lack of tibiofibular overlap.
Radiographic Stress Tests of the Ankle
• Talar Tilt Stress Test
  • Contralateral ankle used for
    comparison
  • Line is drawn across the talar
    dome and tibial vault
      • Degree of lateral opening angle
        is measured
      • Normal tilt is less than 5 deg
      • Considered abnormal if tilt
        greater than 10 deg (indicator
        of lateral ligament injury).
  • Standing Talar Tilt Stress Test:
      • may be more sensitive
      • Patient stands on an inversion
        stress platform with the foot
        and ankle in 40 deg of plantar
        flexion and 50 deg of inversion

• External Rotation Stress Test
     Evaluates syndesmoses & deep
     deltoid ligaments
Lateral View of the Ankle
• The lateral surface of
  the ankle is in contact
  with the film, with the
  foot slightly dorsiflexed.
  Cross the opposite leg
  over the leg being
  examined, and support
  the opposite knee to
  avoid rotation of the
  ankle.
Lateral View of the Ankle
Posterior tibial               Dome of the talus:
tuberosity fractures           centered under
& direction of fibular         and congruous
injuries can be                with tibial plafond
identified



                                   Avulsion
                                   fractures of
                                   the talus by
                                   the anterior
     Any deformity                 capsule can
     to the                        be identified
     talus, calcaneu
     s or subtalar
     joint
Measurements in Lateral view
• Heel-Pad measurement:
  • The shortest distance between
    the plantar surface of the
    calcaneus and external skin
    contour is measured.
  • Increased skin
    thickness, especially of the heel
    pad, is a frequent accompanying
    feature of acromegaly.
• Achilles tendon thickness can be
  assessed on a lateral view at 1-2
  cm above the calcaneus and is
  normally 4-8 mm in dimension.
  Edema from inflammatory arthritis
  can thicken the ligament.
              Average     Maximum
    Sex        (mm)        (mm)
Male            19           25
Female          19           23
Measurements in Lateral view
Boehler’s Angle:
• The three highest points on the
  superior surface of the
  calcaneus are connected with
  two tangential lines. The angle
  formed posteriorly is then
  assessed.
• The angle formed posteriorly
  averages between 30° and 35°
  in most normal subjects but
  may range between 28° and 40°
• The most common cause for an
  angle < 28° is a fracture with
  displacement through the
  calcaneus. Dysplastic
  development of the calcaneus
  may also disturb the angle.
Specialized Projections (Lateral)
• Drawer view: A third person, who wears lead gloves and a lead
  apron, stabilizes the tibia and pulls the hind foot forward.
• Flexion-extension (dancer views): These can be performed with
  or without weight bearing with the foot on maximal plantar and
  then dorsiflexion for demonstrating bony impaction anteriorly
  and posteriorly as a sign of impingement syndromes.
• Lunge’s view: Performed weight bearing in plantar flexion, the
  view demonstrates the degree of impaction of the anterior
  tibial margin to the neck of the talus, as part of the assessment
  for anterior impingement syndrome.
• Lazy lateral: The posterior tibial margin is a frequent site of
  fracture and can be best demonstrated in an off-lateral
  projection, with slight external rotation of the foot. In
  addition, signs of posterior impingement syndrome can be
  shown to advantage at the posterior talus and os trigonum.
Radiographic Stress Tests of the Ankle

• Anterior Drawer
  Test
 • The anterior
   drawer test
   evaluates ATFL
   integrity.
 • Abnormal
   anterior
   translation is
   between 5 to 10
   mm, or 3 mm
   more than other
   side
Mortise view
• The ankle is slightly
  dorsiflexed so that the
  plantar surface of the foot
  is perpendicular to the film.
  The lower leg is then
  internally rotated so that
  the intermalleolar line
  forms an angle of 35° with
  the film.
• The amount of medial
  rotation is open to
  variation, with some
  advocating views at
  20°, 35°, and 45° to
  demonstrate the mortise
Mortise X-Ray
• This is an important
  view in the
  assessment of the
  post-traumatic ankle
  for detecting subtle
  fractures of the distal
  fibula, posterior
  tibia, talar dome, and
  base of the fifth
  metatarsal
Measurements in Mortise view
• Medial clear space
  • Between lateral border of
    medial malleous and medial
    talus
  • <4mm is normal
  • >4mm suggests lateral shift of
    talus

• Tibiofibular overlap:
should normally be more than
1 mm
Measurements in Mortise view
• Talo-crural angle is formed by:
    - line drawn parallel to articular
  surface of distal tibia
    - line connecting tips of both
  malleoli (intermalleollar line).
    - this angle is normally 8 - 15
  degrees.
    - alternative method:
        - angle formed by perpendicular
  to tibial articular surface &
  intermalleollar line.
        - this angle is normally between
  75 and 87 degrees.

  - Shortening:
     - by either method this angle
  should be within 2 - 5 deg of
  opposite side.
     - difference of greater than this
  indicates fibular shortening.
Measurements in Mortise view
• Talar tilt
  • line drawn parallel to articular
    surface of distal tibia;
          - second line drawn
    parallel to talar surface
  • Both lines should be parallel to
    each other and normal tilt angle
    is 0 deg (range 1.5 to 1.5 deg)

  • alternative method:
          - angle between
    intermalleolar line & each of
    these two articular surface lines
    is measured;
          - difference between these
    two angles is the talar tilt;
Syndesmotic disruption:
• On the AP radiograph syndesmotic disruption
  is indicated by a
  • Tibial Clear Space >5mm
  • Tibio Fibular Overlap <10mm
• On the mortise view a
  • Tibio Fibular Overlap <1mm
AP View:
Widened medial clear
space


Mortise View:
Open mortise
(decreased tib-fib
overlap)


= Syndesmotic injury


= Surgical referral
25 y/o volleyball player
“landed wrong” on the
right foot, “hurting” the
ankle

Radiograph shows positive
talar tilt stress view




   Lateral
   ligament
   tears
   -ATFL
   -CFL
25 y/o male tennis player
“torqued” his right ankle




        Grade III ATFL
        ankle sprain
Ankle Fracture Classification
• Danis-Weber Classification
  • Defined by location of the
    fracture line

      • Type A: below the tibiotalar
        joint
      • Type B: at the level of the
        tibiotalar joint
      • Type C: above the tibiotalar
        joint
         • Syndesmotic ligament
           compromise

• Lauge-Hansen Classification
   • Infrequently used, clinically;
     mostly academic
AO classification:

 • Similar to Danis-Weber scheme

 • Takes into account damage to other structures
   (usually medial malleolous)

 • ~2 pages of classifications
Pott’s classification:

 • First degree
   • unimalleolar
 • Second degree
   • bimalleolar
 • Third degree
   • trimalleolar
Weber Type A
lateral
malleolar
fracture


Treat
conservatively
28 y/o M who “twisted”
                         his left ankle while
                         playing basketball 1 day
                         ago




Danis-Weber Type B
fibular ankle fracture
Mortise view:
Weber C
fracture with
open mortise
and widened
medial clear
space
= deltoid &
syndesmotic
ligament
tears, with
fracture
= surgical
referral
Fractures
• Medial or Lateral Malleolar fracture
• Bimalleolar fracture
• Trimalleolar fracture
• Pilon fracture
• Pott’s fracture
• Maisonneuve’s fracture
• Dupuytren’s fracture
• Tillaux fracture
• Toddlers fracture
• MEDIAL MALLEOLUS
  FRACTURE AND
  ASSOCIATED DISTAL
  FIBULA FRACTURE.
  AP Ankle. Note the
  medial malleolus fracture
  (arrowhead) and an
  oblique fracture of the
  distal fibula, along with
  lateral displacement of
  the talus. The linear
  subchondral radiolucency
  in the talar dome
  (arrows) is a radiographic
  sign for an intact blood
  supply to the talus
  (Hawkin’s sign), which
  represents the
  unlikelihood of
  complicating avascular
  necrosis.
• LATERAL MALLEOLUS
  FRACTURE.
   Medial Oblique Ankle.
   Note the most common
  fracture of the lateral
  malleolus is an oblique
  fracture extending upward
  (arrow). This fracture is best
  seen on the medial oblique
  projection
• These fractures occurs as
  a result of outward or
  external rotation of the
  foot and is best observed
  on the medial oblique
  projection as a
  radiolucent oblique line
  with adjacent soft tissue
  swelling (McKenzie’s sign)
BIMALLEOLAR
FRACTURE.
AP Ankle.
 Note the
characteristic
transverse
fracture through
the medial
malleolus
(arrow), along
with a spiral
fracture of the
lateral malleolus
(arrowhead).
Trimalleolar Fractures
• Unstable
  • Multiple ligamentous injuries
  • Usually involves syndesmosis

• Treatment
  • Posterior slab
  • Urgent orthopedic consultation
  • ORIF
Pott’s Fracture
Pott’s fracture, as classically
described, is a partial
dislocation of the ankle, with
fracture of the fibula within
6-7 cm above the lateral
malleolus and rupture of the
distal tibiofibular ligaments
of the ankle.
Pilon (tibial plafond) fractures

                   • Fracture of distal tibial
                     metaphysis
                     • Often comminuted
                     • Often significant other injuries
                   • Mechanism
                     • Axial load
                     • Position of foot determines injury
                   • Treatment
                     • Unstable
                     • X-ray tib/fib & ankle
                     • Orthopedic consultation

Source:Rosen
Maisonneuve Fracture
• This fracture is caused by forceful
  inversion and external rotation of
  the ankle.
• This motion forces the talus laterally
  against the fibula ( d/t either deltoid
  ligament tear or avulsion fracture of
  medial malleolus), initially producing
  rupture of the inferior tibiofibular
  syndesmosis. As the force is
  maintained, the fibula, freed from
  the tibia, continues to be displaced
  laterally and posteriorly. The
  superior tibiofibular joint, remaining
  intact, secures the proximal fibula so
  that the long lever of the fibula
  produces a fracture of the fibula in
  its proximal third.
Dupuytren’s
fracture,
is a fracture of the
distal fibula (lateral
malleolus) with rupture
of the distal tibiofibular
ligaments, diastasis of
the syndesmosis,
lateral dislocation of
the talus, and
displacement of the
foot upward and
outward.
Dupuytren’s fracture
                • Mechanism similar
                  to Maisonneuve
                  fracture.
                • Posterior tib-fib
                  ligament ruptures
                • Interosseous
                  membrane rips
                • Gross diastasis
Tillaux Fracture
• Salter Harris III fracture involving avulsion of
  anterolateral tibial epiphysis.
  • Occurs in older adolescents, after the middle and
    medial parts of epiphyseal plate has closed, but before
    the lateral part closes (usually 12 to 15 yrs of age).
  • Fracture occurs after medial part of the epiphyseal
    plate has closed, but before the lateral part closes;
    resultant fracture through epiphyseal plate runs across
    epiphysis and distally into the joint, creating SH type 3
    or 4 fracture.
  • External rotation forces stresses on anterior
    tibiofibular ligament, causing avulsion of distal tibial
    epiphyseal plate anterolaterally;
    further lateral rotation causes displacement of
    fracture.
Toddler’s Fracture
Toddler’s fracture, an
undisplaced spiral fracture of
the tibia, occurs in children from
9 months to 3 years of age. It is
caused by a fall or by the child
getting a foot caught between
the slats of the crib and then
rolling over. The baby, often too
young to verbalize its
complaints, may evidence only a
mysterious refusal to bear
weight on the extremity.
Ankle effusion: tear drop sign




                NORMAL                                 WITH EFFUSION
An ankle effusion suggests a significant injury to the ankle joint. The anterior
and posterior extra-capsular region of a normal ankle joint should appear as a
fat-like density. In the presence of an ankle effusion, the capsule can become
distended and may appear to have a more fluid-like density
Soft Tissue Swelling over the Lateral Malleolus




     NORMAL                 MILD               MODERATE             SEVERE
• An extreme amount of soft tissue swelling does not necessarily indicate a
  fracture is present and is frequently seen in severe sprain injuries
  (tendon/ligament injuries).
• In equivocal cases where you are suspecting a lateral malleolus fracture and
  there is little or no soft tissue swelling laterally, you would lean towards a
  diagnosis of no fracture.
Achille's Tendon Rupture




                                     This patient has a
Normal Kager's fat pad with
                                     ruptured Achilles tendon
clearly delineated normal Achilles
                                     (white arrow). Note the
tendon
                                     changes in Kager's Fat Pad
                                     (black arrow)
This patient presented to the
Emergency Department following
a fall from a ladder. Note that
Kager's fat pad is abnormal
showing increased density and
indistinct margins. There also
appears to be a large ankle
effusion. These soft tissue signs
should lead you to undertake a
careful examination of the bony
anatomy. The patient has a
fractured calcaneum.
This 55 year old lady presented
to the Emergency Department
with a boggy infected area of
skin over her Achilles tendon.
The patient was referred for
ankle radiography with a view
to establishing whether there
was an underlying
osteomyelitis. The infection
clearly involves the deeper soft
tissues with almost complete
obscuration of Kagers fatpad.
There is no evidence of
osteomyelitis.
This patient presented to the ED
following a sports injury to the left
ankle. On examination, the patient
was unable to weightbear . Swelling
over the lateral malleolus of the
ankle was visible clinically and
radiographically.
The lateral view demonstrates
* an ankle effusion- (white arrows)
* abnormal Kager's fat pad (grey arrow)
* suggestion of fracture or accessory
ossification centre (os subfibulare)- black
arrow

The combination of patient history, clinical
signs, soft tissue signs and equivocal
evidence of a fracture was sufficient for
the radiographer to perform additional
views
The orientation of the
possible fibula fracture
demonstrated on the
lateral projection image
suggested that an AP ankle
position with cephalic tube
angulation might align the
X-ray beam with the plane
of the fracture.
Diagnosis?


Charcot’s foot
Thank you.

Ankle joint radiography

  • 1.
  • 2.
    The Ottawa AnkleRules (OAR) • The commonly used criteria for predicting which patients require radiographic images. • Radiographs are only required for those patients with • tenderness at the posterior edge or tip of the medial or lateral malleolus. • inability to bear weight (4 steps) either immediately after the injury or in the emergency room. • pain at the base of the fifth metatarsal
  • 3.
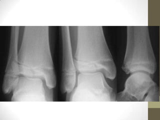
    Projections • Three mainprojections: • AP • Identifies fractures of malleoli, distal tibia/fibula, plafond, talar dome, body and lateral process of talus, calcaneus. • Mortise • Ankle 15-35 degrees internal rotation (20-25-degrees commonly used). • Evaluate articular surface between talar dome and mortise. • Lateral: • Identifies fractures of anterior/posterior tibial margins, talar neck, displacement of talus. • Other views like AP ankle plantar flexion view, medial oblique foot view, AP of proximal fibula, etc. may also be required in conjunction with above mentioned views.
  • 4.
    Antero-posterior view The ankleis slightly dorsiflexed so that the plantar surface of the foot is perpendicular to the film, which brings the weight-bearing talar surface into optimum tangential projection. Internally rotate the lower leg so that a line through the malleoli is parallel with the film surface.
  • 6.
    Measurements in APview • Tibial shaft line (A). A line is drawn through and parallel to the tibial shaft. • Medial malleolus line (B). A line is drawn tangential to the articular surface of the medial malleolus. • Lateral malleolus line (C). A line is drawn tangential to the articular surface of the lateral malleolus. • Talus line (D). A line is drawn tangential to the articular surface of the talar dome. • Tibial angle (I). The angle is formed medially between the medial malleolus line and talus line. • Fibular angle (II). The angle is formed laterally between the lateral malleolus line and talus line. Angle Average (°) Min (°) Max (°) These angles will be altered in fractures of Tibial (I) 53 45 65 the malleoli, ankle mortise instability, and Fibular (II) 52 43 63 tibiotalar slant deformities.
  • 7.
    Measurements in APview • Tibio-fibular clear space: - tibiofibular clear space is the cartilaginous space between lateral border of posterior tibia (incisura fibularis) & medial border of fibula, measured 1 cm above the joint line; - normally the clear space is less than 5-6 mm on both AP and Mortise views. (increase indicates syndesmotic and deltoid disruption). • Tibio-fibular overlap: - should be greater than 6 mm or 42% of fibular width. • Superior clear space: Difference in width of superior clear space between medial & lateral sides of joint should be < 2 mm
  • 8.
    Measurements in APview Talar Tilt:- difference in width of superior clear space between medial & lateral sides Tib-fib Clear Space > 5mm or of joint should be < 2 mm Tib-fib Overlap < 10mm may indicate syndesmotic injury > 2 degrees angulation may indicate medial or lateral disruption
  • 9.
    Specialized Projections (AP) •Plantar flexion view (lazy AP view): For subtle fractures of the talar dome, including osteochondritis dissecans, plantar flexion will often demonstrate the fracture site as the posterior articular surface comes into view. • Inversion-eversion stress views: The stress is induced by a third person, who wears lead gloves and lead apron, or by the patient, who holds a strap that is looped around the sole of the foot. The views should be performed and measurements compared bilaterally. • Joint stability is defined by less than 5 deg difference between the injured and uninjured sides. • Weight-bearing AP view: Performed AP and weight bearing with a horizontal beam. This is especially valuable in showing degenerative decreased joint space and chronic instability with lateral talar tilt or lateral shift. Diastasis of the distal tibiofibular syndesmosis may also be more apparent as a widened joint with lack of tibiofibular overlap.
  • 10.
    Radiographic Stress Testsof the Ankle • Talar Tilt Stress Test • Contralateral ankle used for comparison • Line is drawn across the talar dome and tibial vault • Degree of lateral opening angle is measured • Normal tilt is less than 5 deg • Considered abnormal if tilt greater than 10 deg (indicator of lateral ligament injury). • Standing Talar Tilt Stress Test: • may be more sensitive • Patient stands on an inversion stress platform with the foot and ankle in 40 deg of plantar flexion and 50 deg of inversion • External Rotation Stress Test Evaluates syndesmoses & deep deltoid ligaments
  • 11.
    Lateral View ofthe Ankle • The lateral surface of the ankle is in contact with the film, with the foot slightly dorsiflexed. Cross the opposite leg over the leg being examined, and support the opposite knee to avoid rotation of the ankle.
  • 13.
    Lateral View ofthe Ankle Posterior tibial Dome of the talus: tuberosity fractures centered under & direction of fibular and congruous injuries can be with tibial plafond identified Avulsion fractures of the talus by the anterior Any deformity capsule can to the be identified talus, calcaneu s or subtalar joint
  • 14.
    Measurements in Lateralview • Heel-Pad measurement: • The shortest distance between the plantar surface of the calcaneus and external skin contour is measured. • Increased skin thickness, especially of the heel pad, is a frequent accompanying feature of acromegaly. • Achilles tendon thickness can be assessed on a lateral view at 1-2 cm above the calcaneus and is normally 4-8 mm in dimension. Edema from inflammatory arthritis can thicken the ligament. Average Maximum Sex (mm) (mm) Male 19 25 Female 19 23
  • 15.
    Measurements in Lateralview Boehler’s Angle: • The three highest points on the superior surface of the calcaneus are connected with two tangential lines. The angle formed posteriorly is then assessed. • The angle formed posteriorly averages between 30° and 35° in most normal subjects but may range between 28° and 40° • The most common cause for an angle < 28° is a fracture with displacement through the calcaneus. Dysplastic development of the calcaneus may also disturb the angle.
  • 16.
    Specialized Projections (Lateral) •Drawer view: A third person, who wears lead gloves and a lead apron, stabilizes the tibia and pulls the hind foot forward. • Flexion-extension (dancer views): These can be performed with or without weight bearing with the foot on maximal plantar and then dorsiflexion for demonstrating bony impaction anteriorly and posteriorly as a sign of impingement syndromes. • Lunge’s view: Performed weight bearing in plantar flexion, the view demonstrates the degree of impaction of the anterior tibial margin to the neck of the talus, as part of the assessment for anterior impingement syndrome. • Lazy lateral: The posterior tibial margin is a frequent site of fracture and can be best demonstrated in an off-lateral projection, with slight external rotation of the foot. In addition, signs of posterior impingement syndrome can be shown to advantage at the posterior talus and os trigonum.
  • 17.
    Radiographic Stress Testsof the Ankle • Anterior Drawer Test • The anterior drawer test evaluates ATFL integrity. • Abnormal anterior translation is between 5 to 10 mm, or 3 mm more than other side
  • 18.
    Mortise view • Theankle is slightly dorsiflexed so that the plantar surface of the foot is perpendicular to the film. The lower leg is then internally rotated so that the intermalleolar line forms an angle of 35° with the film. • The amount of medial rotation is open to variation, with some advocating views at 20°, 35°, and 45° to demonstrate the mortise
  • 19.
    Mortise X-Ray • Thisis an important view in the assessment of the post-traumatic ankle for detecting subtle fractures of the distal fibula, posterior tibia, talar dome, and base of the fifth metatarsal
  • 20.
    Measurements in Mortiseview • Medial clear space • Between lateral border of medial malleous and medial talus • <4mm is normal • >4mm suggests lateral shift of talus • Tibiofibular overlap: should normally be more than 1 mm
  • 21.
    Measurements in Mortiseview • Talo-crural angle is formed by: - line drawn parallel to articular surface of distal tibia - line connecting tips of both malleoli (intermalleollar line). - this angle is normally 8 - 15 degrees. - alternative method: - angle formed by perpendicular to tibial articular surface & intermalleollar line. - this angle is normally between 75 and 87 degrees. - Shortening: - by either method this angle should be within 2 - 5 deg of opposite side. - difference of greater than this indicates fibular shortening.
  • 22.
    Measurements in Mortiseview • Talar tilt • line drawn parallel to articular surface of distal tibia; - second line drawn parallel to talar surface • Both lines should be parallel to each other and normal tilt angle is 0 deg (range 1.5 to 1.5 deg) • alternative method: - angle between intermalleolar line & each of these two articular surface lines is measured; - difference between these two angles is the talar tilt;
  • 23.
    Syndesmotic disruption: • Onthe AP radiograph syndesmotic disruption is indicated by a • Tibial Clear Space >5mm • Tibio Fibular Overlap <10mm • On the mortise view a • Tibio Fibular Overlap <1mm
  • 24.
    AP View: Widened medialclear space Mortise View: Open mortise (decreased tib-fib overlap) = Syndesmotic injury = Surgical referral
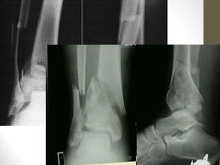
  • 25.
    25 y/o volleyballplayer “landed wrong” on the right foot, “hurting” the ankle Radiograph shows positive talar tilt stress view Lateral ligament tears -ATFL -CFL
  • 26.
    25 y/o maletennis player “torqued” his right ankle Grade III ATFL ankle sprain
  • 27.
    Ankle Fracture Classification •Danis-Weber Classification • Defined by location of the fracture line • Type A: below the tibiotalar joint • Type B: at the level of the tibiotalar joint • Type C: above the tibiotalar joint • Syndesmotic ligament compromise • Lauge-Hansen Classification • Infrequently used, clinically; mostly academic
  • 28.
    AO classification: •Similar to Danis-Weber scheme • Takes into account damage to other structures (usually medial malleolous) • ~2 pages of classifications
  • 29.
    Pott’s classification: •First degree • unimalleolar • Second degree • bimalleolar • Third degree • trimalleolar
  • 30.
  • 31.
    28 y/o Mwho “twisted” his left ankle while playing basketball 1 day ago Danis-Weber Type B fibular ankle fracture
  • 32.
    Mortise view: Weber C fracturewith open mortise and widened medial clear space = deltoid & syndesmotic ligament tears, with fracture = surgical referral
  • 33.
    Fractures • Medial orLateral Malleolar fracture • Bimalleolar fracture • Trimalleolar fracture • Pilon fracture • Pott’s fracture • Maisonneuve’s fracture • Dupuytren’s fracture • Tillaux fracture • Toddlers fracture
  • 34.
    • MEDIAL MALLEOLUS FRACTURE AND ASSOCIATED DISTAL FIBULA FRACTURE. AP Ankle. Note the medial malleolus fracture (arrowhead) and an oblique fracture of the distal fibula, along with lateral displacement of the talus. The linear subchondral radiolucency in the talar dome (arrows) is a radiographic sign for an intact blood supply to the talus (Hawkin’s sign), which represents the unlikelihood of complicating avascular necrosis.
  • 35.
    • LATERAL MALLEOLUS FRACTURE. Medial Oblique Ankle. Note the most common fracture of the lateral malleolus is an oblique fracture extending upward (arrow). This fracture is best seen on the medial oblique projection • These fractures occurs as a result of outward or external rotation of the foot and is best observed on the medial oblique projection as a radiolucent oblique line with adjacent soft tissue swelling (McKenzie’s sign)
  • 36.
    BIMALLEOLAR FRACTURE. AP Ankle. Notethe characteristic transverse fracture through the medial malleolus (arrow), along with a spiral fracture of the lateral malleolus (arrowhead).
  • 39.
    Trimalleolar Fractures • Unstable • Multiple ligamentous injuries • Usually involves syndesmosis • Treatment • Posterior slab • Urgent orthopedic consultation • ORIF
  • 40.
    Pott’s Fracture Pott’s fracture,as classically described, is a partial dislocation of the ankle, with fracture of the fibula within 6-7 cm above the lateral malleolus and rupture of the distal tibiofibular ligaments of the ankle.
  • 42.
    Pilon (tibial plafond)fractures • Fracture of distal tibial metaphysis • Often comminuted • Often significant other injuries • Mechanism • Axial load • Position of foot determines injury • Treatment • Unstable • X-ray tib/fib & ankle • Orthopedic consultation Source:Rosen
  • 44.
    Maisonneuve Fracture • Thisfracture is caused by forceful inversion and external rotation of the ankle. • This motion forces the talus laterally against the fibula ( d/t either deltoid ligament tear or avulsion fracture of medial malleolus), initially producing rupture of the inferior tibiofibular syndesmosis. As the force is maintained, the fibula, freed from the tibia, continues to be displaced laterally and posteriorly. The superior tibiofibular joint, remaining intact, secures the proximal fibula so that the long lever of the fibula produces a fracture of the fibula in its proximal third.
  • 45.
    Dupuytren’s fracture, is a fractureof the distal fibula (lateral malleolus) with rupture of the distal tibiofibular ligaments, diastasis of the syndesmosis, lateral dislocation of the talus, and displacement of the foot upward and outward.
  • 46.
    Dupuytren’s fracture • Mechanism similar to Maisonneuve fracture. • Posterior tib-fib ligament ruptures • Interosseous membrane rips • Gross diastasis
  • 48.
    Tillaux Fracture • SalterHarris III fracture involving avulsion of anterolateral tibial epiphysis. • Occurs in older adolescents, after the middle and medial parts of epiphyseal plate has closed, but before the lateral part closes (usually 12 to 15 yrs of age). • Fracture occurs after medial part of the epiphyseal plate has closed, but before the lateral part closes; resultant fracture through epiphyseal plate runs across epiphysis and distally into the joint, creating SH type 3 or 4 fracture. • External rotation forces stresses on anterior tibiofibular ligament, causing avulsion of distal tibial epiphyseal plate anterolaterally; further lateral rotation causes displacement of fracture.
  • 49.
    Toddler’s Fracture Toddler’s fracture,an undisplaced spiral fracture of the tibia, occurs in children from 9 months to 3 years of age. It is caused by a fall or by the child getting a foot caught between the slats of the crib and then rolling over. The baby, often too young to verbalize its complaints, may evidence only a mysterious refusal to bear weight on the extremity.
  • 50.
    Ankle effusion: teardrop sign NORMAL WITH EFFUSION An ankle effusion suggests a significant injury to the ankle joint. The anterior and posterior extra-capsular region of a normal ankle joint should appear as a fat-like density. In the presence of an ankle effusion, the capsule can become distended and may appear to have a more fluid-like density
  • 51.
    Soft Tissue Swellingover the Lateral Malleolus NORMAL MILD MODERATE SEVERE • An extreme amount of soft tissue swelling does not necessarily indicate a fracture is present and is frequently seen in severe sprain injuries (tendon/ligament injuries). • In equivocal cases where you are suspecting a lateral malleolus fracture and there is little or no soft tissue swelling laterally, you would lean towards a diagnosis of no fracture.
  • 52.
    Achille's Tendon Rupture This patient has a Normal Kager's fat pad with ruptured Achilles tendon clearly delineated normal Achilles (white arrow). Note the tendon changes in Kager's Fat Pad (black arrow)
  • 53.
    This patient presentedto the Emergency Department following a fall from a ladder. Note that Kager's fat pad is abnormal showing increased density and indistinct margins. There also appears to be a large ankle effusion. These soft tissue signs should lead you to undertake a careful examination of the bony anatomy. The patient has a fractured calcaneum.
  • 54.
    This 55 yearold lady presented to the Emergency Department with a boggy infected area of skin over her Achilles tendon. The patient was referred for ankle radiography with a view to establishing whether there was an underlying osteomyelitis. The infection clearly involves the deeper soft tissues with almost complete obscuration of Kagers fatpad. There is no evidence of osteomyelitis.
  • 55.
    This patient presentedto the ED following a sports injury to the left ankle. On examination, the patient was unable to weightbear . Swelling over the lateral malleolus of the ankle was visible clinically and radiographically. The lateral view demonstrates * an ankle effusion- (white arrows) * abnormal Kager's fat pad (grey arrow) * suggestion of fracture or accessory ossification centre (os subfibulare)- black arrow The combination of patient history, clinical signs, soft tissue signs and equivocal evidence of a fracture was sufficient for the radiographer to perform additional views
  • 56.
    The orientation ofthe possible fibula fracture demonstrated on the lateral projection image suggested that an AP ankle position with cephalic tube angulation might align the X-ray beam with the plane of the fracture.
  • 57.
  • 58.