NEOVASCULAR
GLAUCOMA
Secondary Glaucoma due to fibrovascular
membrane on the surface of the iris and the
angle.
 Thrombotic glaucoma, hemorrhagic
glaucoma,
rubeotic glaucoma.



Nettleship et al noted an association
between Neovascular glaucoma and
diabetes mellitus.



Kurtz described the gonioscopic appearance
of
new vessels at the angle and a fibrovascular
contracted to form PAS in 1937.



The term Neovascular glaucoma was
proposed by Weiss et al in 1963.
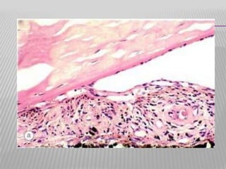
RUBEOSIS IRIDIS


New vessels arise from the microvascular
bed in the iris and ciliary body.



Appearance as endothelial buds from
capillaries of minor arterial circle as tufts.

Fibrous membrane contains myofibroblasts
that have contractile properties.
 Pulls the posterior pigment layer of the iris
epithelium anteriorly - ectropion uvea
 Pulls the peripheral iris into the chamber
angle producing PAS.

PATHOGENESIS
CHRONIC RETINAL ISCHAEMIA

ANGIOGENIC FACTORS RELEASED &
DIFFUSED

NEOVASCULARISATION ON IRIS AND
IN THE ANGLE.

NEOVASCULAR GLAUCOMA
CAUSES
Ischaemic Central retinal vein occlusion
 Diabetic Retinopathy
 Retinal detachment
 Chronic uveitis
 Malignant melanoma
 Retinoblastoma
 Cataract excision
 Vitrectomy

PRESENTATION


SYMPTOMS
- Sudden pain
- Headache ,vomiting
- Redness
- Watering
- Defective vision
- Photophobia
SIGNS
Ciliary injection
 Hazy cornea from epithelial edema
 Deep anterior chamber with moderate flare,
 Hyphema, a small pupil, and new vessels on
the iris and in the angle(Gonioscopy)
 Ectropion uveae
 Fixed dilated pupil
 Raised IOP

NORMAL IRIS VESSELS





Uniform size
Radial course
No branching
Located in stroma

NEW VESSELS






Irregular size
Irregular course
Branching
Located on surface
TREATMENT
Panretinal photocoagulation
 Goniophotocoagulation
 Intra Vitreal Anti -VEGF
 Mydriatics
 Corticosteroids
 Filtering surgeries
 Cyclodestructive procedures
 Enucleation

PANRETINAL PHOTOCOAGULATION
Performed by reducing stimulus for new
vessel formation.
in Diabetic retinopathy & Ischaemic CRVO.
 200 -500 um spot size , 1500 -2000 burns
 Use of Argon laser
 To prevent the onset of NVG.

GONIOPHOTOCOAGULATION
Useful adjunct to panretinal
photocoagulation.
 Performed directly to NVI before
development of NVG ,Absence of synechia.
 Low-energy argon laser treatments (0.2
seconds, 50-100 um, 100 - 200 mW) are
applied to the neovascular tufts as they cross
the scleral spur.

INTRAVITREAL ANTI - VEGF
Bevacizumab (Avastin) at dose of 1.25 mg
/0.05 ml .
 It inhibits the VEGF – receptor interaction
and blocks vascular permeability and
angiogenesis.

FILTRATION SURGERIES
Good visual potential,IOP not reduced by
medical treatment and if the neovascular
membrane has regressed.
 To prevent pressure –induced injury to optic
nerve and improve vascular perfusion.
 To control pressures and preserve vision.

MEDICATIONS
Mydriatics
 Corticosteroids
 Topical beta blocker
 Carbonic anhydrase inhibitor

CYCLODESTRUCTIVE PROCEDURES
In painful eyes ,poor visual potential it is
performed to destroy secretory ciliary
epithelium,reduces aqueous secretion.
 Cyclocryotherapy is usually applied at 60
degrees C to 80 degrees C, using a large-tip
probe with its anterior edge 2.5 mm posterior
to the limbus. Six to eight 60-second freezes
are placed over half of the circumference of
the ciliary body.

LASER CYCLOABLATION


12-24 burn spots ,posterior to limbus over
360 degrees , 1500-2000 MW, 1.5-2 secs.
REFERENCES
1. Becker – Shaffer Diagnosis and therapy of
the glaucomas , 8 th edition.
2. American academy of Ophthalmology
,Glaucoma , Section 10 , 2011-12.
3. Jack J Kanski and Brad Bowling , Clinical
Ophthalmology ,7 th edition.
THANK YOU

Neovascular glaucoma

  • 1.
  • 2.
    Secondary Glaucoma dueto fibrovascular membrane on the surface of the iris and the angle.  Thrombotic glaucoma, hemorrhagic glaucoma, rubeotic glaucoma. 
  • 3.
     Nettleship et alnoted an association between Neovascular glaucoma and diabetes mellitus.  Kurtz described the gonioscopic appearance of new vessels at the angle and a fibrovascular contracted to form PAS in 1937.  The term Neovascular glaucoma was proposed by Weiss et al in 1963.
  • 4.
    RUBEOSIS IRIDIS  New vesselsarise from the microvascular bed in the iris and ciliary body.  Appearance as endothelial buds from capillaries of minor arterial circle as tufts. Fibrous membrane contains myofibroblasts that have contractile properties.  Pulls the posterior pigment layer of the iris epithelium anteriorly - ectropion uvea  Pulls the peripheral iris into the chamber angle producing PAS. 
  • 9.
    PATHOGENESIS CHRONIC RETINAL ISCHAEMIA ANGIOGENICFACTORS RELEASED & DIFFUSED NEOVASCULARISATION ON IRIS AND IN THE ANGLE. NEOVASCULAR GLAUCOMA
  • 10.
    CAUSES Ischaemic Central retinalvein occlusion  Diabetic Retinopathy  Retinal detachment  Chronic uveitis  Malignant melanoma  Retinoblastoma  Cataract excision  Vitrectomy 
  • 11.
    PRESENTATION  SYMPTOMS - Sudden pain -Headache ,vomiting - Redness - Watering - Defective vision - Photophobia
  • 12.
    SIGNS Ciliary injection  Hazycornea from epithelial edema  Deep anterior chamber with moderate flare,  Hyphema, a small pupil, and new vessels on the iris and in the angle(Gonioscopy)  Ectropion uveae  Fixed dilated pupil  Raised IOP 
  • 13.
    NORMAL IRIS VESSELS     Uniformsize Radial course No branching Located in stroma NEW VESSELS     Irregular size Irregular course Branching Located on surface
  • 14.
    TREATMENT Panretinal photocoagulation  Goniophotocoagulation Intra Vitreal Anti -VEGF  Mydriatics  Corticosteroids  Filtering surgeries  Cyclodestructive procedures  Enucleation 
  • 15.
    PANRETINAL PHOTOCOAGULATION Performed byreducing stimulus for new vessel formation. in Diabetic retinopathy & Ischaemic CRVO.  200 -500 um spot size , 1500 -2000 burns  Use of Argon laser  To prevent the onset of NVG. 
  • 17.
    GONIOPHOTOCOAGULATION Useful adjunct topanretinal photocoagulation.  Performed directly to NVI before development of NVG ,Absence of synechia.  Low-energy argon laser treatments (0.2 seconds, 50-100 um, 100 - 200 mW) are applied to the neovascular tufts as they cross the scleral spur. 
  • 18.
    INTRAVITREAL ANTI -VEGF Bevacizumab (Avastin) at dose of 1.25 mg /0.05 ml .  It inhibits the VEGF – receptor interaction and blocks vascular permeability and angiogenesis. 
  • 19.
    FILTRATION SURGERIES Good visualpotential,IOP not reduced by medical treatment and if the neovascular membrane has regressed.  To prevent pressure –induced injury to optic nerve and improve vascular perfusion.  To control pressures and preserve vision. 
  • 20.
    MEDICATIONS Mydriatics  Corticosteroids  Topicalbeta blocker  Carbonic anhydrase inhibitor 
  • 21.
    CYCLODESTRUCTIVE PROCEDURES In painfuleyes ,poor visual potential it is performed to destroy secretory ciliary epithelium,reduces aqueous secretion.  Cyclocryotherapy is usually applied at 60 degrees C to 80 degrees C, using a large-tip probe with its anterior edge 2.5 mm posterior to the limbus. Six to eight 60-second freezes are placed over half of the circumference of the ciliary body. 
  • 23.
    LASER CYCLOABLATION  12-24 burnspots ,posterior to limbus over 360 degrees , 1500-2000 MW, 1.5-2 secs.
  • 24.
    REFERENCES 1. Becker –Shaffer Diagnosis and therapy of the glaucomas , 8 th edition. 2. American academy of Ophthalmology ,Glaucoma , Section 10 , 2011-12. 3. Jack J Kanski and Brad Bowling , Clinical Ophthalmology ,7 th edition.
  • 25.