Rhegmatogenous Retinal
detachment

DR SAMUEL PONRAJ
Anatomy of Peripheral Retina
ļ‚— Pars plana
ļ‚— Ora serrata

Normal variants - Dendate process
- Oral bay
-meridonial fold
-enclosed oral bay
-granular tissue
ļ‚— Peripheral –innocuous lesios:

-microcystic degeneration
- Pavingston degeneration
-Honey comb degeneration
- Drusen
ļ‚— Vitreous base
ļ‚— Vitreous adhesions

-normal
-abnormal
ļ‚— It is characterized by the presence of a retinal break

held open by vitreoretinal traction.
ļ‚— Rhegmatogenous (rhegma – break), occurs

secondarily to a full-thickness defect in the sensory
retina, which permits fluid derived from synchytic
(liquefied) vitreous to gain access to the subretinal
space.
Pathogenesis - Dynamic Vitreoretinal traction
liquefaction of the
vitreous gel
hole in the posterior
hyaloid membrane

Fluid tru defect into
retrohyaloid space

vitreous gel collapses
synchytic fluid in space

Detachment of posterior
vitreous from ILM

Acute PVD
Symptoms
ļ‚— 1

Photopsia is the subjective sensation of a flash of light. In eyes
with acute PVD it is probably caused by traction at sites of vitreoretinal
adhesion.
ļ‚— The cessation of photopsia is the result of either separation of the
adhesion or complete tearing away of a piece of retina (operculum).
ļ‚— In PVD an arc of golden or white light induced by eye movements - in
dim illumination. --patient's temporal peripheral visual field.

2 Floaters are moving vitreous opacities which are perceived when
they cast shadows on the retina. Vitreous opacities in eyes with acute
PVD are of the following three types:
a Weiss ring is a solitary floater consisting of the detached
annular attachment of vitreous to the margin of the optic disc
b Cobwebs are caused by condensation of collagen fibres within
the collapsed vitreous cortex.
ļ‚—

c A sudden shower of minute red-coloured or dark spots
usually indicates vitreous haemorrhage secondary to tearing of a
peripheral retinal blood vessel.
3 A visual field defect is perceived as a ā€˜black curtain’. In
some patients it may not be present on waking in the morning, due
to spontaneous absorption of SRF while lying inactive
overnight, only to reappear later in the day. A lower field defect is
usually appreciated more quickly by the patient than an upper field
defect. The quadrant of the visual field in which the field defect first
appears is useful in predicting the location of the primary retinal
break, which will be in the opposite quadrant. Loss of central vision
may be due either to involvement of the fovea by SRF or, less
frequently, obstruction of the visual axis by a large upper bullous
RD.
Signs:
ļ‚— Marcus gunn pupil
ļ‚— Low IOP relative
ļ‚— ā€˜Tobacco dust’[shafer’s sign]
ļ‚— Retinal breaks
ļ‚— Mild iritis
Lattice degeneration
ļ‚— More commonly in moderate myopes and is the most

important degeneration directly related to RD.
ļ‚— Laterality- bilateral
ļ‚— Location: Commonly -temporal superiorly fundus.
ļ‚— 40% of eyes with RD.

Pathology
Discontinuity of internal limiting membrane
Atrophy of the underlying NSR.
Vitreous - Overlying an area of lattice is synchytic
-attachments around the margins are
exaggerated
3 Signs
Spindle-shaped areas of retinal thinning
between the equator and the posterior border of
the vitreous base.
• Arborizing network of white lines within the
islands
• Associated with ā€˜snowflakes’ (remnants of
degenerate Müller cells.
• Associated hyperplasia of the RPE is common .
• Small holes within lattice lesions are common and
usually innocuous
Snailtrack degeneration
ļ‚— Sharply demarcated bands of tightly packed
ļ‚—
ļ‚—
ļ‚—

ļ‚—

ā€˜snowflakes’ - white frost-like appearance.
longer islands than in lattice degeneration
Associated with overlying vitreous liquefaction
Vitreous traction at the posterior border of the
lesions is seldom present so that tractional U-tears
rarely occur,
Round holes within the snailtracks may be present
White with pressure’
ļ‚— Translucent grey appearance of the retina -

indenting the sclera.
ļ‚— In normal eyes
ļ‚— Associated with abnormally strong attachment of
the vitreous gel
ļ‚— Along the posterior border of islands of
degenerations.
ā€˜White without pressure’
ļ‚— Without scleral indentation.
ļ‚— Mistaken for flat holes.
ļ‚— Giant tears occasionally develop along the posterior

border
ļ‚— For this reason, if ā€˜white without pressure’ is found in the
fellow eye of a patient with a spontaneous giant retinal
tear, prophylactic therapy should be performed
ļ‚— 360° cryotherapy / indirect argon laser
photocoagulation, irrespective of the presence of ā€˜white
without pressure’, if they have not developed a PVD.
Fresh Retinal detachment
ļ‚— The RD has a convex configuration and a slightly

opaque and corrugated appearance as a result of retinal
oedema
Loss of the choroidal pattern
Retinal blood vessels - darker than in flat retina
2 SRF extends up to the ora serrata
- rare cases caused by a macular hole in which the SRF is
initially confined to the posterior pole - thinness of the
retina at the fovea, a pseudohole is frequently seen if the
posterior pole is detached.
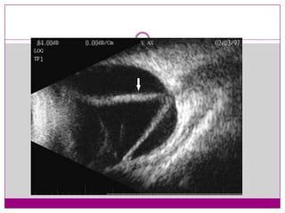
3 B-scan ultrasonography shows good mobility of
the retina and vitreous
Long-standing retinal detachment
ļ‚— Retinal thinning secondary to atrophy
ļ‚— Secondary intraretinal cysts disappear after retinal

reattachment.
ļ‚— Subretinal demarcation lines (ā€˜high water marks’)
caused by proliferation of RPE cells at the junction of
flat and detached retina
Proliferative vitreoretinopathy
ļ‚— Contraction of Epiretinal & Sub retinal membranes -

tangential retinal traction and fixed retinal folds.

ļ‚— following surgery for rhegmatogenous RD or penetrating

injury.
ļ‚— No previous vitreoretinal surgery for RD.
ļ‚— Signs
- Retinal folds and rigidity
retinal mobility induced by eye movements or scleral
indentation is decreased
1 Grade A (minimal) PVR
-diffuse vitreous haze and tobacco dust.
- pigmented clumps on the inferior surface of the retina.
2 Grade B (moderate) PVR
- wrinkling of the inner retinal surface,
- tortuosity of blood vessels
- decreased mobility of vitreous gel and rolled edges of retinal breaks.
3 Grade C (marked) PVR
- rigid full-thickness retinal folds with heavy vitreous condensation and
strands.
4 B-scan ultrasonography in advanced disease shows gross
reduction of retinal mobility with retinal shortening and the characteristic
triangular sign .
How to find the retinal break – fundus drawing
Prophylaxis of RRD
ļ‚— Important criteria for selection-

- Characteristics of Break
- Other considerations
Characteristics of Break :
- Type
- Size
- Symptomatic
- Location
- Pigmentation
ļ‚— Other Considerations:

- Cataract surgery
- Myopic patients
- Family history
- Systemic diseases
Choice of treatment modalities
ļ‚— (a) laser using a slit-lamp delivery system
ļ‚— (b) laser using an indirect ophthalmoscopic delivery

system combined with scleral indentation
ļ‚— (c) cryotherapy.
CONSIDERATIONS:-Location of Lesion
- Clarity of media
- Pupil size
Laser photocoagulation
CRYOTHERAPY
INDICATIONS FOR URGENT SURGERY
ļ‚— Position of Primary break
ļ‚— Size of the break
ļ‚— State of Vitreous gel
Pneumatic retinopexy
Scleral buckling
Dr. Miratashi

R.D
.
Drainage of subretinal fluid
ļ‚—

1 Indications. Although a large proportion of RDs can be treated
successfully with non-drainage techniques, drainage of SRF may be
required under the following circumstances:
a Deep SRF beneath the retinal break. In such case the application of
cryotherapy may be difficult or impossible.
• Drain the SRF to bring the break closer to the RPE.
• Air injection into the vitreous cavity to counteract the hypotony
induced by drainage.
• Cryotherapy to the break.
• Explant insertion.
b Long-standing RDs tend to be associated with viscous SRF and
may take a long time (many months) to absorb. Drainage may therefore be
necessary to restore macular attachment quickly, even if the break itself can
be closed without drainage.
ļ‚— 2

Technique
a ā€˜Prang’ • Digital pressure is applied to the
globe until the central retinal artery is occluded and
complete blanching of the choroidal vasculature is
achieved in order to prevent haemorrhage from the
drainage site.
• A full-thickness perforation is made in a
single, swift but controlled fashion with the tip of a
27-gauge hypodermic needle bent 2 mm from the tip.
• Following drainage of SRF, air is injected to
restore intraocular pressure.
ļ‚— b

ā€˜Cut-down’ • The sclerotomy site should be beneath the
area of deepest SRF but avoiding the vortex veins.
• A radial sclerotomy is performed, about 4 mm long and of
sufficient depth to allow herniation of a small dark knuckle of
choroid.
• A mattress suture is placed across the lips of the sclerotomy
(optional).
• The assistant holds apart the lips and the prolapsed knuckle is
inspected with a +20 D lens for the presence of large choroidal
vessels.
• If large choroidal vessels are absent, gentle low-heat cautery is
applied to the choroidal knuckle to decrease the risk of bleeding.
• If this does not result in drainage of SRF the choroidal knuckle
is perforated with a 25-guage hypodermic needle on a syringe.

Rhegmatogenous retinal detachment

  • 1.
  • 2.
    Anatomy of PeripheralRetina ļ‚— Pars plana ļ‚— Ora serrata Normal variants - Dendate process - Oral bay -meridonial fold -enclosed oral bay -granular tissue
  • 4.
    ļ‚— Peripheral –innocuouslesios: -microcystic degeneration - Pavingston degeneration -Honey comb degeneration - Drusen
  • 5.
    ļ‚— Vitreous base ļ‚—Vitreous adhesions -normal -abnormal
  • 6.
    ļ‚— It ischaracterized by the presence of a retinal break held open by vitreoretinal traction. ļ‚— Rhegmatogenous (rhegma – break), occurs secondarily to a full-thickness defect in the sensory retina, which permits fluid derived from synchytic (liquefied) vitreous to gain access to the subretinal space.
  • 7.
    Pathogenesis - DynamicVitreoretinal traction liquefaction of the vitreous gel hole in the posterior hyaloid membrane Fluid tru defect into retrohyaloid space vitreous gel collapses synchytic fluid in space Detachment of posterior vitreous from ILM Acute PVD
  • 8.
    Symptoms ļ‚— 1 Photopsia isthe subjective sensation of a flash of light. In eyes with acute PVD it is probably caused by traction at sites of vitreoretinal adhesion. ļ‚— The cessation of photopsia is the result of either separation of the adhesion or complete tearing away of a piece of retina (operculum). ļ‚— In PVD an arc of golden or white light induced by eye movements - in dim illumination. --patient's temporal peripheral visual field. 2 Floaters are moving vitreous opacities which are perceived when they cast shadows on the retina. Vitreous opacities in eyes with acute PVD are of the following three types: a Weiss ring is a solitary floater consisting of the detached annular attachment of vitreous to the margin of the optic disc b Cobwebs are caused by condensation of collagen fibres within the collapsed vitreous cortex.
  • 9.
    ļ‚— c A suddenshower of minute red-coloured or dark spots usually indicates vitreous haemorrhage secondary to tearing of a peripheral retinal blood vessel. 3 A visual field defect is perceived as a ā€˜black curtain’. In some patients it may not be present on waking in the morning, due to spontaneous absorption of SRF while lying inactive overnight, only to reappear later in the day. A lower field defect is usually appreciated more quickly by the patient than an upper field defect. The quadrant of the visual field in which the field defect first appears is useful in predicting the location of the primary retinal break, which will be in the opposite quadrant. Loss of central vision may be due either to involvement of the fovea by SRF or, less frequently, obstruction of the visual axis by a large upper bullous RD.
  • 11.
    Signs: ļ‚— Marcus gunnpupil ļ‚— Low IOP relative ļ‚— ā€˜Tobacco dust’[shafer’s sign] ļ‚— Retinal breaks ļ‚— Mild iritis
  • 13.
    Lattice degeneration ļ‚— Morecommonly in moderate myopes and is the most important degeneration directly related to RD. ļ‚— Laterality- bilateral ļ‚— Location: Commonly -temporal superiorly fundus. ļ‚— 40% of eyes with RD. Pathology Discontinuity of internal limiting membrane Atrophy of the underlying NSR. Vitreous - Overlying an area of lattice is synchytic -attachments around the margins are exaggerated
  • 14.
    3 Signs Spindle-shaped areasof retinal thinning between the equator and the posterior border of the vitreous base. • Arborizing network of white lines within the islands • Associated with ā€˜snowflakes’ (remnants of degenerate Müller cells. • Associated hyperplasia of the RPE is common . • Small holes within lattice lesions are common and usually innocuous
  • 16.
    Snailtrack degeneration ļ‚— Sharplydemarcated bands of tightly packed ļ‚— ļ‚— ļ‚— ļ‚— ā€˜snowflakes’ - white frost-like appearance. longer islands than in lattice degeneration Associated with overlying vitreous liquefaction Vitreous traction at the posterior border of the lesions is seldom present so that tractional U-tears rarely occur, Round holes within the snailtracks may be present
  • 18.
    White with pressure’ ļ‚—Translucent grey appearance of the retina - indenting the sclera. ļ‚— In normal eyes ļ‚— Associated with abnormally strong attachment of the vitreous gel ļ‚— Along the posterior border of islands of degenerations.
  • 20.
    ā€˜White without pressure’ ļ‚—Without scleral indentation. ļ‚— Mistaken for flat holes. ļ‚— Giant tears occasionally develop along the posterior border ļ‚— For this reason, if ā€˜white without pressure’ is found in the fellow eye of a patient with a spontaneous giant retinal tear, prophylactic therapy should be performed ļ‚— 360° cryotherapy / indirect argon laser photocoagulation, irrespective of the presence of ā€˜white without pressure’, if they have not developed a PVD.
  • 22.
    Fresh Retinal detachment ļ‚—The RD has a convex configuration and a slightly opaque and corrugated appearance as a result of retinal oedema Loss of the choroidal pattern Retinal blood vessels - darker than in flat retina 2 SRF extends up to the ora serrata - rare cases caused by a macular hole in which the SRF is initially confined to the posterior pole - thinness of the retina at the fovea, a pseudohole is frequently seen if the posterior pole is detached. 3 B-scan ultrasonography shows good mobility of the retina and vitreous
  • 23.
    Long-standing retinal detachment ļ‚—Retinal thinning secondary to atrophy ļ‚— Secondary intraretinal cysts disappear after retinal reattachment. ļ‚— Subretinal demarcation lines (ā€˜high water marks’) caused by proliferation of RPE cells at the junction of flat and detached retina
  • 24.
    Proliferative vitreoretinopathy ļ‚— Contractionof Epiretinal & Sub retinal membranes - tangential retinal traction and fixed retinal folds. ļ‚— following surgery for rhegmatogenous RD or penetrating injury. ļ‚— No previous vitreoretinal surgery for RD. ļ‚— Signs - Retinal folds and rigidity retinal mobility induced by eye movements or scleral indentation is decreased
  • 25.
    1 Grade A(minimal) PVR -diffuse vitreous haze and tobacco dust. - pigmented clumps on the inferior surface of the retina. 2 Grade B (moderate) PVR - wrinkling of the inner retinal surface, - tortuosity of blood vessels - decreased mobility of vitreous gel and rolled edges of retinal breaks. 3 Grade C (marked) PVR - rigid full-thickness retinal folds with heavy vitreous condensation and strands. 4 B-scan ultrasonography in advanced disease shows gross reduction of retinal mobility with retinal shortening and the characteristic triangular sign .
  • 28.
    How to findthe retinal break – fundus drawing
  • 29.
    Prophylaxis of RRD ļ‚—Important criteria for selection- - Characteristics of Break - Other considerations Characteristics of Break : - Type - Size - Symptomatic - Location - Pigmentation
  • 30.
    ļ‚— Other Considerations: -Cataract surgery - Myopic patients - Family history - Systemic diseases
  • 32.
    Choice of treatmentmodalities ļ‚— (a) laser using a slit-lamp delivery system ļ‚— (b) laser using an indirect ophthalmoscopic delivery system combined with scleral indentation ļ‚— (c) cryotherapy. CONSIDERATIONS:-Location of Lesion - Clarity of media - Pupil size
  • 33.
  • 34.
  • 36.
    INDICATIONS FOR URGENTSURGERY ļ‚— Position of Primary break ļ‚— Size of the break ļ‚— State of Vitreous gel
  • 37.
  • 38.
  • 41.
  • 42.
    Drainage of subretinalfluid ļ‚— 1 Indications. Although a large proportion of RDs can be treated successfully with non-drainage techniques, drainage of SRF may be required under the following circumstances: a Deep SRF beneath the retinal break. In such case the application of cryotherapy may be difficult or impossible. • Drain the SRF to bring the break closer to the RPE. • Air injection into the vitreous cavity to counteract the hypotony induced by drainage. • Cryotherapy to the break. • Explant insertion. b Long-standing RDs tend to be associated with viscous SRF and may take a long time (many months) to absorb. Drainage may therefore be necessary to restore macular attachment quickly, even if the break itself can be closed without drainage.
  • 43.
    ļ‚— 2 Technique a ā€˜Prang’• Digital pressure is applied to the globe until the central retinal artery is occluded and complete blanching of the choroidal vasculature is achieved in order to prevent haemorrhage from the drainage site. • A full-thickness perforation is made in a single, swift but controlled fashion with the tip of a 27-gauge hypodermic needle bent 2 mm from the tip. • Following drainage of SRF, air is injected to restore intraocular pressure.
  • 44.
    ļ‚— b ā€˜Cut-down’ •The sclerotomy site should be beneath the area of deepest SRF but avoiding the vortex veins. • A radial sclerotomy is performed, about 4 mm long and of sufficient depth to allow herniation of a small dark knuckle of choroid. • A mattress suture is placed across the lips of the sclerotomy (optional). • The assistant holds apart the lips and the prolapsed knuckle is inspected with a +20 D lens for the presence of large choroidal vessels. • If large choroidal vessels are absent, gentle low-heat cautery is applied to the choroidal knuckle to decrease the risk of bleeding. • If this does not result in drainage of SRF the choroidal knuckle is perforated with a 25-guage hypodermic needle on a syringe.