1
Moderator-
Dr Navkiran kaur
HOD RD RHP
Presenter-
DR.Deepak gaRg
JR2 RD Rhp
2
CONTENTS
 History
 Introduction
 Magnets
 Cost and Siting Considerations
 Magnet Bore Size, Orientation, and Length
 Magnetic Field Homogeneity
 Magnetic Field Shielding
 Pulsed Field Gradients
 Radio-Frequency Coils
 Transmitters
 Radio-Frequency Receiver
3
 1946, two scientists in the United States
reported the phenomenon called "Nuclear
Magnetic Resonance," or "NMR" for short. Felix
Bloch and Edward M. Purcell were awarded the
Nobel Prize in Physics in 1952.
 In the early 1970s, Raymond Damadian showed
the relaxation time differences between normal
and cancerous tissues.
 In 1972, he patented a method of obtaining a
localized MR signal using a so-called "single-
point“ technique.
4
 In 1973, Paul Lauterbur demonstrated that the
NMR technique, when combined with field
gradients, can be utilized to image an object.
 Shortly after this invention, Mansfield's group in
Nottingham devised the selective excitation
method with gradients, which is frequently used
in today's MRI scanners.
 Later the term NMR Imaging was changed to
"MRI" (Magnetic Resonance Imaging, sometimes
abbreviated further to MR.
 The word "nuclear" was removed to avoid
confusion with other medical imaging modalities
using ionizing radiation.
5
NOBEL PRIZE 2003
PAULLAUTERBEURPETERMANSFIELD
FDA Clears First MRI Scanner - 1985
 GE develops first “high-
field” (1.5T) commercial
MRI scanner (1982).
 Medicare starts paying for
MRI scans (1985)
VAX 11/750 (1982)
7
Introduction
8
Basic MRI Hardware
 Magnet
 Large magnetic field that is homogeneous over a large
area
 Aligns protons in the body
 Radiofrequency (RF) coils
 Transmit and Receive RF energy into and from the body
 Gradients
 Induce linear change in magnetic field
 Spatial encoding
 Computer System and Console
 Patient Handling System
9
What is MRI?
Magnetic Resonance Imaging.
4 Basic steps-
Placing the patient in magnet
Sending Radiofreqency pulse by coil
Recieving signals from the patient by coil
Transformation of signals into image by complex processing
in computers.
 all MRI scanners include several
essential components.
 First, in order to create net nuclear
spin magnetization in the subject to be
scanned, a magnetic field is required.
11
 This main magnetic field is generally
constant in time and space and may be
provided by a variety of magnets.
 Once net nuclear spin magnetization is
present, this magnetization may be
manipulated by applying a variety of
secondary magnetic fields with specific
time and/or spatial dependence.
12
These may generally be classified into
Gradients which introduce “defined spatial
variations” in the polarizing magnetic field- B0,
and
 radio frequency (RF) irradiation which provides
the B1 magnetic field needed to generate
observable, transverse nuclear spin
magnetization.
13
 B0 gradients are generally created by
applying an electric current supplied by
gradient amplifiers to a set of
electromagnetic coil windings within
the main magnetic field.
14
 RF irradiation is applied to the subject by one or
more antennas or transmitter coils connected to a
set of synthesizers, attenuators and amplifiers
known collectively as a transmitter.
 With the influence of the main magnetic field,
the field gradients and RF irradiation, the nuclear
spins within the subject induce a weak RF signal
in one or more receiver coils which is then
amplified, filtered and digitized by the receiver.
 Finally, the digitized signal is displayed and
processed by the scanner’s host computer.
15
16
Magnets
17
 The function of a MRI scanner’s magnet is to
generate a strong, stable, spatially uniform
polarizing magnetic field within a defined
working volume.
 Accordingly, the most important specifications
for a MRI magnet are field strength, field
stability, spatial homogeneity and the
dimensions and orientation of the working
volume.
 In addition to these, specifications such as
weight, stray field dimensions, overall bore
length and startup and operating costs play an
important role in selecting and installing a MRI
magnet. 18
 Magnet types used in MRI may be classified
into three categories:
 permanent,
 resistive
 superconducting.
 The available magnet technologies generally
offer a compromise between various
specifications so that the optimum choice of
magnet design will depend upon the demands
of the clinical applications anticipated and the
MRI experiments to be performed.
19
Permanent Magnets.
20
 Permanent magnets for MRI are composed of
one or more pieces of iron or magnetizable
alloy carefully formed into a shape designed to
establish a homogeneous magnetic field over
the region to be scanned.
 These magnets may provide open access to the
patient or may be constructed in the
traditional, “closed” cylindrical geometry.
21
 With care, permanent magnets can be
constructed with good spatial
homogeneity, but they are susceptible
to temporal changes in field strength
and homogeneity caused by changes in
magnet temperature.
22
 The maximum field strength possible for a
permanent magnet depends upon the
ferromagnetic alloy used to build it, but is
generally limited to approximately 0.3 T.
 The weight of a permanent MRI magnet also
depends upon the choice of magnetic
material but is generally very high.
 As an example, a 0.2-T whole-body magnet
constructed from iron might weigh 25 tons
while the weight of a similar magnet built
from a neodymium alloy could be 5 tons.
23
 While the field strength of permanent
magnets is limited and their weight is high,
they consume no electric power, dissipate
no heat, and are very stable.
 Consequently, once installed, permanent
magnets are inexpensive to maintain.
24
Resistive Electromagnets
25
 Other than permanent magnets, all MRI
magnets are electromagnets, generating
their field by the conduction of electricity
through loops of wire.
 Electromagnets, in turn, are classified as
resistive or superconducting depending
upon whether the wire loops have finite or
zero electrical resistance.
26
 Unlike permanent magnets, resistive
electromagnets are not limited in field
strength by any fundamental property of a
magnetic material.
 Indeed, an electromagnet can produce an
arbitrarily strong magnetic field provided
that sufficient current can flow through the
wire loops without excessive heating or
power consumption.
27
 Specifically, for a simple cylindrical coil
known as a solenoid, the magnetic field
generated is directly proportional to the coil
current.
 However, the power requirements and heat
generation of the electromagnet increase as
the square of the current.
28
 Because the stability of the field of a
resistive magnet depends both upon coil
temperature and the stability of the current
source used to energize the magnet coil,
these magnets require a power source that
simultaneously provides very high current
(typically hundreds of amperes) and
excellent current stability (less than one
part per million per hour).
29
 These requirements are technically difficult
to achieve and further restrict the
performance of resistive magnets.
 While resistive magnets have been built
which generate very high fields over a small
volume in the re-search setting, resistive
magnets suitable for human MRI are limited
to about 0.2 T.
30
 Resistive magnets are generally lighter
in weight than permanent magnets of
comparable strength, although the
power supply and cooling equipment
required for their operation add weight
and floor space requirements.
31
Superconducting
Electromagnets
32
 Superconducting magnets achieve high
fields without prohibitive power
consumption and cooling requirements,
and are the most common clinical design.
 In the superconducting state, no external
power is required to maintain current flow
and field strength and no heat is
dissipated from the wire.
33
 The ability of the wire to conduct current
without resistance depends upon its
composition, the temperature of the wire,
and the magnitude of the current and local
magnetic field.
 Below a certain critical temperature (TC)
and critical field strength, current less than
or equal to the critical current is conducted
with no resistance and thus no heat
dissipation.
34
 As the wire is cooled below TC (critical
temp), it remains superconducting but the
critical current and field generally increase,
permitting the generation of a stronger
magnetic field.
35
 While so-called high-TC superconductors
such as yttrium barium copper oxide
can be superconductive when cooled by
a bath of liquid nitrogen (77 K or –196°C
at 1 bar pressure), limitations to their
critical current and field make them
thus far impractical for use in main
magnet coil construction.
36
 Superconducting MRI magnets are
currently manufactured using wire
composed of NbTi(niobium titanium) or
NbSn (niobium tin) alloys, which must be
cooled to below 10 K (–263°C) to be
superconducting at the desired field.
 Therefore, the coil of a superconducting
MRI magnet must be constantly cooled by
a bath of liquid helium in order to
maintain its current and thus its field.
37
 Because of the need to maintain sufficient
liquid helium within the magnet to cool the
superconducting wire, the liquid helium is
maintained within a vacuum-insulated
cryostat or Dewar vessel.
38
39
 As long as the critical temperature, field
and current are not exceeded, current
will flow through the magnet solenoid
indefinitely, yielding an extremely stable
magnetic field.
40
 However, if the magnet wire exceeds the
critical temperature associated with the
existing current, the wire will suddenly
become resistive.
 The energy stored in the magnetic field
will then dissipate, causing rapid heating
and possibly damage to the magnet coil,
accompanied by rapid vaporization of any
remaining liquid helium in the cooling
bath.
 This undesirable phenomenon is known as
a quench.
41
Under the Hood of Our
MRI Scanner
Quench Pipe
Cold Head
42
 In addition, the liquid helium vessel is
usually surrounded by several concentric
metal radiation shields cooled by a
separate liquid nitrogen bath or by a
cold head attached to an external
closed-cycle refrigerator.
 These shields protect the liquid helium
bath from radiation heating and thus
reduce liquid helium boil-off losses, thus
reducing refill frequency and cost..
43
 Magnets incorporating liquid nitrogen cooling
require regular liquid nitrogen refills, but
liquid nitrogen is less costly than liquid
helium and provides cooling with no electrical
consumption.
 Conversely, refrigerator-cooled (refrigerated)
magnets need no liquid nitrogen refills but
require periodic mechanical service and a
very reliable electrical supply.
44
 Regardless of design, the cryogenic
efficiency of a superconducting magnet is
summarized by specifying the magnet’s
hold time, which is the maximum interval
between liquid helium refills.
 Modern refrigerated magnets typically
require liquid helium refilling and
maintenance at most once a year while
smaller-bore magnets may have a hold
time of 2 years or longer.
45
 Superconducting magnets require periodic
cryogen refilling for continued safe operation
but little maintenance otherwise.
 Due to their ability to achieve stable, high
magnetic fields with little or no electrical
power consumption, superconducting magnets
now greatly outnumber other magnet types
among both research and clinical MRI facilities.
46
MAGNET TYPES In Summary
 Permanent magnets
 Resistive magnets
 Super conducting magnets
+
- Obsolete now
- High Power
Consumption
+ Cheaper to make
+ Higher Field Strengths
+ Advanced Applications
- Expensive
Low power consumption
Low operating cost
Small fringefield
No cryogen
Cost and Siting Considerations
48
 For a given bore size, the higher the
magnetic field strength, the greater the
size, weight and cost of the magnet
become.
 For superconducting magnets, this is largely
the result of the increased number of turns
of superconducting wire needed to produce
a stronger field in a given working volume.
49
 Both the wire itself and the fabrication
of the magnet coils are expensive and
this cost scales at least linearly with
the length of wire required to build the
magnet.
 Moreover, a larger magnet coil demands
a larger, heavier cryostat to maintain
the coil below its critical temperature.
50
 Not only additional floor space be allocated
for the magnet itself, but consideration
must also be given to the increased volume
of the fringe field (also called stray field)
surrounding the magnet in all directions.
 The fringe field is that portion of the
magnetic field that extends outside the
bore of the magnet.
51
 It is desirable to minimize the
dimensions of this field in order to
minimize both the effects that the
magnet has on objects in its
surroundings (e.g., pacemakers, steel
tools, magnetic cards) and also the
disturbance of the main magnetic
field by objects outside the magnet
(e.g., passing motor vehicles, rail
lines, elevators).
52
 While the extent of the fringe field can
be reduced by various shielding
techniques, the large fringe field of
high-field magnets contributes to a
need for more space when compared to
lower field scanners of comparable
bore size.
53
Magnet Bore Size,
Orientation, and Length
54
 In addition to field strength, a
traditional, closed, cylindrical MRI
magnet is characterized by its bore
size.
 Analogously, magnets for open MRI are
described by their gap size, i.e., the
distance between their pole pieces.
55
Open bore
magnet
56
Horizontal
bore magnet
57
Small bore
magnet
58
 It is important to note that the magnet
bore size does not represent the
diameter of the largest object that can
be imaged in that magnet.
 This is due to the fact that the shim
coil, gradient coil and radio-frequency
probe take up space within the magnet
bore, reducing the space available for
the patient to be imaged.
59
 However, the magnet bore size does place
constraints on the maximum inner diameters
of each of these components and thus is the
primary factor determining the usable
diameter available for the patient.
 For example, a magnet bore diameter of 100
cm is common for whole-body clinical
applications, while an 80 cm bore magnet
typically only allows insertion of the patient’s
head once the shim, gradient and radio-
frequency coils are installed.
60
 In open MRI magnets, the magnetic
field direction is usually vertical and
thus perpendicular to the head–foot
axis of the patient.
 This is to be contrasted with traditional
MRI magnets, in which the magnetic
field direction is oriented along the
long axis of the subject.
61
 This difference has consequences for
the design of shim, gradient and radio-
frequency coils in open MRI.
 Note that in any magnet, the direction
parallel to the B0 magnetic field is
always referred to as the Z axis or axial
direction while the radial direction is
always perpendicular to B0.
62
 In the design of horizontal bore magnets
for clinical use, there is an emphasis on
minimizing the distance from the front of
the magnet cryostat to the center of the
magnetic field. (ie length of horizontal
bore)
 Shortening this distance facilitates
insertion of the patient and minimizes
patient discomfort.
63
 However, shortening the magnet coil
length may lead to decreased Bo
homogeneity, while shortening the
magnet cryostat may compromise the
insulation of the liquid helium bath and
lead to decreased hold time.
64
Field Stability – The SHIM
System
65
 Because homogeneity of the main
magnetic field over the imaging or
spectroscopic volume is essential,
dedicated electromagnetic coils (shim
coils) are provided to optimize the B0
field homogeneity within the design of
the main magnet.
66
Types of shimming
 Passive Shimming
 Resistive Shimming
 Superconductive Shimming
 Gradient Offset Shimming
67
 In a superconducting electromagnet,
superconducting shims are additional
coils of superconducting wire wound
coaxially with the main coil in such a
way as to generate specific field
gradients
68
 For each principal direction, there is
typically a dedicated shim coil with an
independent electrical circuit. During
magnet installation, current may be
independently adjusted in the main coil
and each of the superconducting shim coils
in order to optimize B0 homogeneity
within the magnet’s working volume.
69
 Since, like the main magnet coil, these
shim coils are superconducting, large
currents may flow through them with no
resistance and no external power supply
once energized.
 Thus, superconducting shim coils can
generate strong field gradients with high
temporal stability. Readjusting the current
in these coils is an infrequent operation
requiring special apparatus and addition of
liquid helium to the magnet.
70
 Unlike superconducting shims, passive
shims do not rely upon the flow of
electrical current through a coil to
generate a field gradient.
 Instead, they are pieces of
ferromagnetic metal of a size and
shape designed to improve B0
homogeneity when they are inserted
into the magnet.
71
 Magnets are also provided with room
temperature shims that can be adjusted
on a regular basis as needed. These can be
adjusted manually or automatically to
compensate for differences in
susceptibility between different patients
or patient positions.
 Since these are resistive electromagnets,
they require a stable power supply and
their magnitude is limited.
72
Magnetic Field Shielding
73
 Because high-field, large bore MRI
magnets generate an extensive fringe
field, they are capable of both adversely
affecting nearby objects as well as
experiencing interference from these
objects.
 Since 5 G (0.5 mT) is generally regarded as
the maximum safe field for public
exposure, the extent of the fringe field is
typically described by the dimensions of
the 5-G isosurface centered about the
magnet.
74
Typical Magnetic Field Map of a Clinical 3T MRI
75
5 Gausslineor 0.5 mT istheFDA required limit for patientswith pacemakers. Under
absolutely no condition should apacemaker bebrought near an MRI scanner.. 1 mT –
2mT or 10-20 Gaussarerequired to erasecardsand electronic media.
 In order to reduce the magnitude and
extent of the fringe field and thus
minimize interaction between the
magnet and its environment, both
passive and active shielding techniques
are commonly used.
 Passive shielding consists of
ferromagnetic material placed outside
the magnet.
76
 Passive shields are generally constructed
from thick plates of soft iron, an
inexpensive material with relatively high
magnetic permeability.
 In order to shield a magnet with
ferromagnetic plates, the substantial
attractive force between the magnet
and the shielding material must be
considered in the design of the magnet.
77
 Active shielding consists of one or more
electromagnetic coils wound on the outside
of the main magnet coil but with opposite
field orientation.
 Typically, in a superconducting magnet, the
shield coils are superconducting as well and
are energized simultaneously with the main
coil during installation.
 The field generated by the shield coils
partially cancels the fringe field of the main
coil, thereby reducing the fringe field
dimensions.
 New MRI magnets are increasingly designed
with built-in active shielding.
78
Pulsed Field Gradients
79
X
Y
Z
Coil
3.0 Tesla GE MRI Scanner
80
Gradient Coils
81
82
83
Gradient Coils Priciples
 These are room temperature coils
 A gradient in Bo
in the Z direction is achieved
with an antihelmholtz type of coil.
 Current in the two coils flow in opposite
directions creating a magnetic field gradient
between the two coils.
 The B field at one coil adds to the Bo
field
while the B field at the center of the other
coil subtracts from the Bo
field
84
 The X and Y gradients in the Bo
field
are created by a pair of figure-8
coils. The X axis figure-8 coils create
a gradient in Bo
in the X direction due
to the direction of the current
through the coils.
 The Y axis figure-8 coils provides a
similar gradient in Bo
along the Y
axis.
85
Gradient Coils
 Induce small linear changes in magnetic
field along one or more dimensions
 Produces two types of spatial encoding
referred to as Frequency and Phase
Encoding
86
 The function of the pulsed field
gradient system in an MRI instrument is
to generate linear, stable, reproducible
B0 field gradients along specific
directions with the shortest possible
rise and fall times.
87
 While the primary use of pulsed field
gradients in MRI is to establish a
correspondence between spatial
position and resonance frequency,
gradients are also used for other
purposes, such as to irreversibly
dephase transverse magnetization.
88SKIP
 Gradient fields are produced by passing
current through a set of wire coils
located inside the magnet bore.
 The need for rapid switching of
gradients during pulse sequences makes
the design and construction of pulsed
field gradient systems quite
technologically demanding.
89SKIP
 The performance of a pulsed field
gradient system is specified by
parameters including gradient strength,
linearity, stability and switching times
90SKIP
Radio-Frequency Coils
91
 In MRI scanners, radio-frequency
transmit coils are used for creating the
oscillating B1 magnetic field needed to
excite the nuclear spins, at a frequency
equal to radio wave frequency (i.e why
called as RF wave)
 In contrast, receiver coils detect the
weak signal emitted by the spins as
they precess in the B0 field.
92
Thus, RF coils can be thought of as radio
antennas. The same coil may be used for
both exciting the spins and receiving the
resulting MR signal, or transmission and
reception may be performed by separate
coils which are carefully constructed to
minimize inductive coupling between
them.
93
RF (Radiofrequency) Coils
 Used to transmit and receive RF energy
 Needed to create images
94
Common RF Coil Designs
 Solenoidal RF Coils
 Surface Coils and Phased Arrays
 RF Volume Resonators
95
RF Coils
96
 RF coils create the B1
field which rotates the net
magnetization in a pulse sequence.
 RF coils can be divided into three general
categories
1) transmit and receive coils
2) receive only coils
3) transmit only coils
97
98
99
100
101
102
103
Solenoidal RF Coils
104
 The solenoidal configuration used for
magnet and shim coils is also useful for
RF antennas.
 Driving a solenoidal coil with an
alternating current generates a
spatially homogeneous time varying B1
magnetic field with the same frequency
as the driving current.
105
 This produces a torque on nuclear spins
which are within the coil and which
have a component of their orientation
perpendicular to the coil axis.
 Thus, it is necessary that the coil
produce a B1 field which is not parallel
to the B0 field.
106
 Similarly, a receive coil must be able to
detect a time-varying magnetic field
perpendicular to B0 in order to detect a
MR signal. Since the B1 field generated
by a solenoidal coil is parallel to the
bore axis of the solenoid, the coil
should be oriented with this axis
perpendicular to B0.
107
 Solenoidal RF coils generate very
homogeneous fields, especially over
samples which are small in diameter
and length compared to the dimensions
of the solenoid.
 This enables them to excite and detect
a MR signal from any nuclear spins
within the bore of the solenoid
108
Surface Coils and Phased
Arrays
109
 A surface coil is a loop of wire which
generates or detects B1 fields along a
direction perpendicular to the plane of
the loop.
 Like solenoidal coils, surface coils are
highly efficient and are easy to build.
110
 Since they have a B1 axis perpendicular to
the loop plane, surface coils offer
convenient access for application to a
wide variety of anatomical sites while
maintaining B1 perpendicular to B0.
 However, the RF field generated by a
surface coil is very inhomogeneous, with
maximum B1 magnitude in the plane of
the coil and a rapid falloff in B1 with
distance from this plane.
111
 Likewise, when used for detecting an MR
signal, a surface coil can only detect
nuclei within a short distance from the
coil plane.
 Specifically, when a surface coil is placed
against the surface of a sample, nuclei
may be excited and detected to a depth
approximately equal to the diameter of
the coil and over an area approximately
equal to the dimensions of the coil.
112SKIP
 The small, well-defined volume over
which a surface coil transmits or receives
a signal makes these coils ideal for spatial
localization in certain circumstances
without requiring the use of field
gradients.
 Surface coils have long been used to
obtain in vivo NMR spectra of peripheral
muscle, brain, heart, liver and other
relatively superficial tissues with simple
purely spectroscopic pulse sequences.
113SKIP
 In MRI scanners, where spatial
localization can be achieved by
gradients, surface coils are less often
used for excitation and are instead
primarily employed as high-sensitivity
receive-only coils in conjunction with a
large, homogeneous transmit-only
resonator.
114SKIP
 The limited area over which a single
surface coil can detect a NMR signal
can be overcome by combining two or
more surface coils to form a phased
array coil.
 These coils must be coupled with
electronic components which combine
the signals from each coil into a single
signal or to multiple, independent
receivers.
115SKIP
 The phased array covers the surface
area which a much larger surface coil
would observe, but exhibits the higher
sensitivity of the small coils which
make up the array.
 Phased array coils are commonly used
in clinical imaging of the spine, where
an extensive field of view is required
but the tissue of interest is relatively
superficial.
116SKIP
 Both individual surface coils and phased
arrays can be constructed with
curvature to ensure close placement to
a given anatomical site, thereby
optimizing both sensitivity and depth of
view.
117SKIP
Endocavity Array
 A body array incorporating an disposable
endocavity coil as one of its elements to
allow high resolution at the prostate or
cervix with extra detail in the surrounding
field of view.
 This product may provide a more workable
image than a conventional endocavity
exam
118
From top to bottom shown are (1) a syringe
connected with the endocavity balloon (Civco);
(2) rigid transrectal MRI coil (Hologic); (3)
transrectal ultrasound probe (BK Medical); (4)
custom fabricated TPX sleeve
119
120
Coil Designs
 Closer coil is to object being imaged the
better signal
 Variety of coils designed for specific body
parts
Surface Coil Volume Coil
(aka Birdcage Coil)
121
122
Flow voidFlow void
 Flow influences MR signal has been known for a long timeFlow influences MR signal has been known for a long time
 When we send in our first 90 pulse all the protons in theWhen we send in our first 90 pulse all the protons in the
cross section are influenced By the the radiowave .after thecross section are influenced By the the radiowave .after the
RF pulse is turned off we listen and record a signalRF pulse is turned off we listen and record a signal
 At this time all the original blood in our vessel may haveAt this time all the original blood in our vessel may have
left the examined slice so there is no signal coming out ofleft the examined slice so there is no signal coming out of
the vessel.it appears black in the picture this phenomenon isthe vessel.it appears black in the picture this phenomenon is
called FLOW VOIDcalled FLOW VOID
 Generate an RF signal perpendicular to β0
 Generate tissue contrast
 Image contrast is obtained by manipulating magnetic or
biological properties of spins (e.g. relaxation, precession
frequency, magnetic susceptibility, diffusion)
 Generate spatial resolution
 Decrease scan time without adversely affecting the image
quality.
 Minimize artifacts 124
Goals of Imaging Sequences
125
A pulsesequencediagram ismerely aset of parallel lines. Each isa
timelinedetailing what roleeach component of theMR system will play in
generating theimage. In theexamplesused here, therearesix such paralle
timelines. Thetop displaysoperation of theRF, thenext threeeach display
theoperation of oneof thethreeorthogonal gradient magnetic fields, the
fifth showsthereceiver, and thebottom displaystheMR signal.
PulseSequencesPulseSequences
126
Generic pulsesequence. Theopen box delineatestheexcitation moduleincluding the
RF pulse(open arrow) used to generatesignal. Thegray box delineatesthereadout
module. Short double-arrow and dashed line: TE. Long double-arrow and thick line:
TR. Horizontal striationswithin theGphasesymbol (largeblack arrow) indicate
different strengthsof thephase-encoding gradient. Notethat only onestrength is
applied per TR. Vertical striationsin theReceiver symbol (largegray arrow )
indicatemultiplesamplesobtained in sequenceover time.
TE
TR
Imaging SequencesImaging Sequences
 Spin EchoSpin Echo
 Gradient EchoGradient Echo
 Fast Spin EchoFast Spin Echo
 Inversion RecoveryInversion Recovery
 PartialPartial
saturation/saturationsaturation/saturation
recoveryrecovery
128
Spin Echo
After the90º-excitation pulsethenet-magnetization isin
theX-Y plane. It immediately startsto dephasedueto T2
primerelaxation (dueto inhomogeneity in Bo). It is
becauseof thisdephasing that thesignal dropslikeastone.
Ideally, wewould liketo keep thephasecoherence
becausethisgivesthebest signal. Thebrilliant solution the
engineerscameup with isthis: ashort timeafter the90º
RF-pulseasecond RF-pulseisgiven. Thistimeit isan
180º pulse. The180º pulsecausesthespinsto rephase.
When all thespinsarerephased thesignal ishigh again,
and when wemakesurewesamplethesignal at this
instant wewill haveamuch better image
Thesignal wesampleiscalled: an Echo, becauseit is
“rebuilt” from theFID
130
Thespin echo correctsT2' effects. Initially, signal decaysalong theT2*
curvefor atimex.
After the180 pulse, signal beginsto increaseuntil at time 2x it intersects
theT2 curve. It isat thispoint that T2' effectshavebeen fully recovered ,
producing aspin echo.
T2
T2*
 The spin echo pulse sequence is the most commonly
used pulse sequence.
 The pulse sequence timing can be adjusted to give
T1-WI,PD, andT2WI.
 Dual echo and multi echo sequences can be used to
obtain both proton density and T2-weighted images
simultaneously.
The two variables of interest in spin echo sequences
is the repetition time (TR) and the echo time (TE).
 All spin echo sequences include a slice selective 90
degree pulse followed by one or more 180 degree
refocusing pulses as shown in the following
diagram.
 Least artifact prone (coz it will remove all the
artifacts due to external field inhomogeneity)
Spin Echo
132
Spin echo pulsesequence. Thehallmark of thispulsesequenceisthe180° RF pulse
applied midway between the90° RF pulseand TE (at TE/2). Theresult is
an initial declinefollowed by regrowth of signal until themaximum signal isachieved
(thespin echo) at TE. After TE , noticethat signal again declines, relaxing with T2*.
Advantages
high signal to noisehigh signal to noise
least artifact prone sequenceleast artifact prone sequence
contrast mechanisms easier to understandcontrast mechanisms easier to understand
long TR times are incompatible with 3D
acquisitions
Disadvantage
134
Multiecho spin echo imaging
135
In thisvariant,weusethedead timeafter TE, but
beforeTR, instead of immediately exciting another
slice, wewill generateseveral imagesof the
sameslicewith different contrasts
Typically it isused to produceboth T2WI and PD
from asinglescan
136
Multiecho spin echo imaging
Multiecho spin echo imaging. Signal isrecorded after asingle90 RF
pulsebut refocused multipletimesby applying 180 RF pulsesto generatemultiple
spin echoes. TEl must occur at atimeafter thefirst 180 pulseequal to thetime
between theinitial 90 and 180 pulses. Subsequently,TE2 must occur when thetime
between thesecond 180 RF pulseand TE2 isequal to thetimebetween TEl and
thesecond 180 pulse.
137
Typically, themultiecho techniqueisused with spin echo
pulsesequences, arelatively long TR (several seconds) and
oneshort and onerather long TE (perhaps20 and
120milliseconds). Theresult istwo images: onewith contrast
mostly based on proton density (long TR and short TE) and
onebased on T2 (long TR and TE).
138
Gradient Echo
139
Whenever weturn on agradient magnetic field for any purpose, spins
experiencevarying field strength depending on their location along the
gradient, and thisleadsto dephasing and signal loss. Thesameistruewhen
weturn on thefrequency-encoding gradient during signal sampling. We
must turn that frequency-encoding gradient on in order to localizesignal
within theimage, but signal islost in theprocess. Consider it anecessary
evil. Importantly, however, thesignal lossis predictable and repro ducible.
Thisisbecauseweinducethesignal lossby application of a linear gradient
magnetic field.
A gradient echo is essentially a means forminimizing the signal
loss
incurred during signal sampling underthe frequency-encoding
gradient.
Before we deal with the gradient echo itself,
considerthe following:
140
Keep in mind, however, that, absent the180 pulse, signal is
lost according to T2* from thetimeof theinitial excitation, and T2' effectsare
no t recovered. Thus, theoverall signal sampled during agradient echo pulse
sequenceisless than during aspin echo pulsesequence.
To form agradient echo, wefirst turn on thegradient magnetic field with thesame
strength but oppositepolarity to thefrequency-encoding gradient magnetic
field . This, of course, leadsto signal loss. After thisgradient is
switched off, spinsareout of phase, and signal hasbeen lost in proportion to
thestrength of thegradient magnetic field and how long weleaveit on. If we
now turn on thefrequency-encoding gradient magnetic
field , thespinswill undergo rephasing.Thisisagradient echo.
141
Gradient echo pulsesequence. First, noticetheabsenceof the180 RF
pulse. Theundisturbed signal that would bemeasured in theabsenceof any gradient
magnetic field isshown in gray.Thebroken lines(open arrows)depict periodswhere
signal decayswith T2*. Doublelinesindicateperiodswheresignal changeaccelerates
dueto thepresenceof agradient magnetic field. Initially, signal declinesand
then growsback dueto reversal of thepolarity of thegradient magnetic field. The
actual signal intersectstheT2* curve
AdvantagesAdvantages
faster imagingfaster imaging
compatible with 3D acquisitioncompatible with 3D acquisition
Disadvantages
• difficult to generate good T2 weighting (coz long
TE is not possible)
• magnetic field inhomogeneities cause signal loss
144144
Inversion recovery
Thebasic part of an inversion recovery sequenceisa180
degreeRF pulsethat invertsthemagnetization followed by a
90 degreeRF pulsethat bringstheresidual longitudinal
magnetization into thex-y or transverseplanewhereit can be
detected by an RF
Thetimebetween theinitial 180 degreepulseand the90
degreepulseistheinversion time(TI)
Types:
Short TI- STIR (short TI inversion recovery)
Long TI - FLAIR
TI
IR spin echo pulsesequence. An IR preparatory module(shaded box)
isadded to thefront end of astandard spin echo pulsesequence. Thetime
between the180° and 90° RF pulsesistermed TI
146146
 The 180 degree pulse inverts the longitudinal
magnetisation converting it from positive to
negative
 Once inverted the negative magnetisation
begins to recover
 The rate at which the longitudinal
magnetisation recovers is determined by t1.
147147
 Excitatory radio pulse is transmitted
creating transverse magnetisation
 The amount of transverse magnetisation
depends on the amount of longitudinal
magnetisation that had recovered after
inversion pulse
 The time between the inversion and
excitation pulses is called inversion time -TI
148
IR mechanisms. The90° RF pulsethat generatessignal (Mt) isapplied
during recovery of Mz; TI contrast differsfrom thestandard pulsesequence(inset) based
on thetimeTR. Thedifferencebetween Mz of fat and csf get accentuated on applying
180 RF pulse, in comparison to earlier standard pulsesequence
Noticethat thecurvesrepresenting recovery of Mz, crossthex axis. At themoment
thecurvecrosses, thetissuehasno net Mz. Thispoint in timeistermed the nullpo int
for thetissue.
CSF
FAT
149
Tissue suppression with IR. TI isset so thetissuedepicted by thesolid
black linehasno net Mz, at thetimethe90° RF isapplied. Thus, no signal is
generated from thistissue; it isabsent from thegraph of Mt,.
150
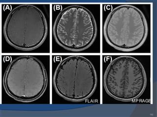
MPRAGEFLAIR
151151
STIR
 Short time-to-inversion inversion recovery imaging
 TI is the spin lattice relaxation time of the
component that should be suppressed.
 Works only when the T1 values for the two
components are different.
 Exploits the zero crossing effect of IR imaging
no longitudinal magnetization available at TI time
and subsequent 900
pulse produces no signal.
STIR
•Uses TI equal to the null point of fat . So
no longitudinal magnetization available.
And fat get suppressed.
•T2 WI with suppression of fat
STIR (Short Tau Inversion Recovery) Sequence-
When aTI of 160 ms. isused in a1.5 Teslasystem (90 ms.
at 0,35 Tesla, 120 ms. at 0.5 Tesla, 140 ms. at 1.0 Tesla)
something extraordinary happens. At 160 ms. the
magnetization vector of fat tissuecrossesthezero line. This
meansthereisno vector pointing either towards+Mz or –
Mz. If onestartstheSE part of theIR sequenceat this
particular time, therewon‟t beany magnetization vector of
fat available, which can beflipped into theX-Y plane; hence
no signal from fat tissueisreceived.
Thisisavery effectiveway of suppressing signal from fat
tissue, which isuseful in thosecaseswherethehigh signal
from fat may obscurepathology such asbonebruises. This
special caseof IR sequenceiscalled: Short TI Inversion
Recovery (STIR).
STIRSTIR
Advantages
 works better than fat saturation over a
large FOV (>30 cms)
 better at lower field strengths
 high visibility for fluid
 Used in orbit to supress fat/ bone
marrow fat
Disadvantages
• poor S/N
• incompatible with gadolinium
155
What happens on the postcontrast images?
On applying STIR, Fat is nicely suppressed. Thetumor, however , will havea
much shorter T1 becauseof thepresenceof thecontrast agent ,(coz gadolinium
decreasestheT1 of tissue) and, asaresult, thenull point of thecontrast-enhancing
tumor may coincidewith that of fat, and both fat and tumor will besuppressed,
making thetumor less conspicuousthan on theprecontrast images. Watch out
So in postcontrast images we apply FatSat technique, not
STIR
WhileSTIR iscommonly touted asa"fat-suppression" technique, keep
in mind that thetissuesuppression isin no way specific for fat, only for
tissueswith short Tl
156
FAT
TUMOR
CSF
Contrast agent shiftstheT1 curveof tumor towardsleft ,(coz
gadolinium decreasestheT1 of tissue) and, asaresult, thenull point of
thecontrast-enhancing tumor may coincidewith that of fat, and both fat
and tumor will get suppressed
157157
FLAIR (FLuid Attenuated IR)
 Inversion recovery sequence with long TI
 The TI is set to the zero crossing point of fluid→
suppression of signal from csf
 Lesions that are normally covered by bright fluid
signals using conventional T2 contrast are made
visible by FLAIR
158
FLAIR (Fluid Attenuated Inversion Recovery) Sequence
Thesameprincipleasused for signal suppression of fat
tissuein STIR can also beused to suppresssignal from
CSF. With aTI of around 2000 msthesignal from CSF is
effectively suppressed. An Inversion Timeof 2000 ms. in
combination of along TE isused to study demyelinating
diseases, such asMultipleSclerosis. With thisTI value,
MultipleSclerosislightsup likealight bulb, because
normal fluid issuppressed. FLAIR issubstantially more
sensitivefor demyelinating diseasesthan ordinary T2
weighted sequences
FLAIR
 Evaluation of lesions in periventricularEvaluation of lesions in periventricular
regionregion
 Increased conspicuity of lesions inIncreased conspicuity of lesions in
subarachnoid spacesubarachnoid space
FLAIR
 Multiple sclerosisMultiple sclerosis
 Temporal lobe epilepsyTemporal lobe epilepsy
 Limbic encephalitisLimbic encephalitis
 Acute post traumatic shear injuriesAcute post traumatic shear injuries
(non(non
haemorrhagic)haemorrhagic)
FLAIR (FLuid Attenuated IR)
163
EchoplanarImaging
164
EchoplanarImaging
•With echo-planar imaging, asingleecho train is
used to collect datafrom all linesof k-spaceduring
oneTR.
•Useof thistechniqueshortenstheacquisition time
substantially .
•Therearetwo typesof echo-planar imaging
sequences:
SE and GRE sequences
165
• Thephase-encoding gradient and thefrequency-
encoding (or readout) gradient areturned on and
off very rapidly,
atechniquethat allowstherapid filling of
k-space.
166
Quick, but very susceptible to artifacts, particularly B0 field inhomogeneity.
Can acquire a whole image with one RF pulse – single shot EPI
Although we have decreased the time of scan by using EPI, but in return it has
Clinical Applications of EPI
Brain Imaging
 Echo-planar imaging–based diffusion
imaging is routinely used for evaluation
of early cerebral ischemia and stroke.

 Contrast material–enhanced echo-
planar imaging–based perfusion imaging
is performed to evaluate cerebral
ischemia and differentiate recurrent
tumor from radiation necrosis.
168
Diffusion Imaging
169
170
Water moleculesin thesamplesweimagearenot stationary; they are
in constant motion. In absenceof any barriersto movement, the
direction of motion will becompletely random. Thisrandom
molecular movement isan exampleof Brownian motion.
Thisuninhibited pattern of diffusion will bepresent within "pure"
body fluidslikeurine, bile, and cerebrospinal fluid (CSF).
Diffusion also occursin tissue. However, cellular, subcellular, and
extracellular structure(such ascell and organellemembranes) and large
molecules(such ascollagen) impedemovement of water molecules
through tissueto somedegree. Asaresult, the"velocity" of diffusion is
lower in tissuethan, for example, in CSF.
171
Thissignal lossisthesignatureof diffusion in an MRI image. Notice, by
theway, that, becauseall MRI imagesrequiretheapplication of gradient
magnetic fields, all will demonstratesomedegreeof signal lossdueto
diffusion. Becausethemagnitudeof thegradient magnetic fieldsused for
imaging and thevelocity at which spinsmovedueto diffusion areboth
relatively low, only minimal signal lossdueto diffusion will actually
manifest in atypical MR image
When spinsflow along agradient magnetic field, accumulation of phase
(i.edephasing)by moving spinsexceedsthat incurred by stationary spins.
Accumulation of phase, of course, leadsto adeclinein net Mt, and,
therefore, signal. Theamplitudeof thegradient magnetic field and the
velocity at which thespinsaremoving will determinetheamount of
signal lossincurred.
172
Making the MRImage Sensitive to Diffusion
Signal lossdueto diffusion isproportional to thenet amount of gradient
strength applied to thediffusing spins. Thisnet effect isafunction of the
strength of thegradient magnetic field and thetimespinsaresubject to it.
maximizesignal lossdueto diffusion then, weshould apply thestrongest
gradient magnetic field
it isalso important to accomplish imaging very quickly if wewish to
observetheeffectsof diffusion and not havethesmall-scalemotion dueto
diffusion overwhelmed by larger-scalephysiologic or grosspatient
motion.it can bedoneby-
1) keeping duration of thegradient magnetic field applicationsvery brief
and increasing itsamplitudeonly .
2) applying ultrafast EPI acquisitions.
Typically, apair of gradient pulsesisapplied at high gradient amplitude,
on both sidesof a180 RF pulse
173
Diffusion-weighted MRI pulsesequence. Thisisastandard spin echo
EPI pulsesequence with theaddition of gradient magnetic field
pulsesbeforeand after the1800 RF pulse(gray trapezoids) to sensitizeto diffusion.
Theb-valueisdetermined from gradient amplitude(G), gradient duration (often
referred to asmixing time) (0), and theinterval between gradients(~).
174
Thenet amount of gradient strength applied isdetermined by the
gradient amplitude(G) and thetimethegradient iskept on (0) .
Theterm b-value isused to expressthenet gradient effect, and,
therefore, amount of diffusion sensitization, concisely
Increasing theb-valuewill maketheimagemoresensitiveto small
amountsof diffusion. Keep in mind, however, that increasing theb-value
also leadsto adecreasein theoverall amount of signal in thediffusion-
sensitiveimage(coz moredephasing will occur) and, asaresult, itssignal
to- noiseratio. Typically, ab-valueof 700 to 1000 isused in clinical
diffusion weighted imaging.
175
What Do Diffusion-Sensitized Images Look
Like?
In CSF, for example, diffusion isvery fast dueto thecompletelack of
tissuestructure. Asaresult , avery largedegreeof signal lossoccursin
voxelscontaining CSF. Although CSF hasvery high signal on the
T2weighted EPI image, it demonstratesalmost no signal on thediffusion
weighted version of thesameimage. Brain tissueundergoesadeclinein
signal aswell, but not to thesamedegreeasCSF, becausetissue
structureimpedesthemovement of water moleculesand "slowsdown"
therateof diffusion
176
Csf- no signal
Brain tissue- low signal
177
In diseasestatesthat alter themagnitudeof diffusion, signal on the
diffusion -weighted imagewill beaffected accordingly. Acutebrain
infarction leadsto adramatic decreasein diffusion and, asaresult,
relatively littleattenuation of signal on thediffusion-sensitiveimage. For
thisreason-
1)Acute infarction manifestsasvery high signal on thediffusion-
weighted image.
2) Conversely, vasogenic edema, such as that surrounding a
brain
tumor, representsan increasein extracellular water and an increasein
themagnitudeof diffusion. Thus, vasogenic edemaleadsto greater
signal lossand lower signal on thediffusion-weighted imagein
comparison with normal whitematter.
178
1) Acute infarction manifestsasvery high signal on the
diffusion-weighted image.
179
In certain cases, alargeareaof demyelination, for example, alesion, may
havevery high signal on theT2-weighted imagewhileitsdiffusion isnot
very different from that of normal tissue. Becausethemagnitudeof
diffusion issimilar to normal brain, thesignal intensity of thelesion will b
attenuated by thediffusion-sensitizing gradientsto adegreesimilar to
normal brain. Nonetheless, thelesion will demonstratevery high signal on
thediffusion-weighted image. Whereasit might lo o k similar to infarction,
thehigh signal doesnot represent adeclinein diffusion; even with the
reduction in signal dueto diffusion, signal on thediffusion-weighted imag
isstill high becausetheinitial signal on theT2-weighted imageisso high.
Thispitfall iscalled T2 shine-thro ugh
T2 shine-through
180
If weplot signal intensity from an imagewithout diffusion
sensitization and that from adiffusion-sensitized image, theslopeof the
resultant linewill approximatetheapparent diffusion coefficient (ADC).
Wethushaveaquantitativemeasureof diffusion. Becausethisapproach
actually measuresthedegreeof signal lossdueto thediffusion- sensitizing
gradient, it may solvetheproblem of T2 shine-through.
Whereasalesion with very high signal on theb = 0 imagemight show
high signal on thediffusion-weighted image, measuring theADC will
show avaluesimilar to normal tissue.
ADC
181
Diffusion images. When diffusion-sensitizing gradientsareadded to
theTI-weighted EPI image(left), adiffusion-sensitized or diffusion-weighted image
(DWI) (center) results. Themagnitudeof diffusion can bequantified and displayed
asan ADC image, often called an ADC map (right).
182
Acutestrokeshown by diffusion imaging. High signal in thediffusion weighted image
(DWI) (black arrow) isdueto diminished diffusion and manifests
aslowADC in thequantitativeADC image(whitearrow).
183
184
USES OFDWI:
1.Stroke.
2.Epidermoid vs Arachnoid cyst.
3.Abscess vs simple cyst.
4.To assess chemotherapy
response to tumors.
5.In study of myelination
patterns.
185
MRI ARTIFACTS
 List of different MRI artifacts:
Motion artifacts/phantom images/ghosts
Wrap around/Aliasing artifact
Chemical shift
Magnetic susceptibility and metal artifacts
Truncation / Gibb’s
Cross-excitation/ Cross talk
Magic angle
186
187
MOTION /GHOST
ARTIFACT
WRAP/ALIASING
ARTIFACT
CHEMICALSHIFT
ARTIFACT
188
1.Motion/Ghost artifact:
• Ghostsarereplicaof something in theimage.
•Originatesfrom any structurethat movesduring
acquisition of data.
Remedies:
•Reducebody movements(physical restraint,
sedation)
•Breath-hold sequences
•ECG gating for cardiac motion
•Saturation band
•Phaseencoding direction ischanged
189
2.Wrap around /Aliasing artifact :
•Objectsoutsideof theFOV overlap on theopposite
sideof theimage.
Remedies:
•Increasing theFOV
•Swapping thefrequency-encodeand phase-encode
directions
190
3. Chemical shift artifact or chemical shift
misregistration :
•It iscaused by thedifferent resonancefrequencies
between fat and water.
• Thiscreates very dark edgesbetween thetwo
along thefrequency encoding direction.
Remedies:
•Fat suppression
•Increasereciever bandwidth
191
4.Magnetic susceptibility and metal artifacts:
•At theinterfacebetween two tissueswith different
magnetic susceptibilities, therearelocal distortions
in themagnetic field responsiblefor asignal loss
(and sometimesan imagedistortion).
•Theseartifactsaremuch stronger in presenceof
metal.
Remedies:
•Useof Spin echo sequences
•Removing all metallic objests
192
MAGNETIC SUSCEPTIBILITY
ARTIFACT
193
5.Truncation /Gibb’s Artifact:
•Low intensity bandsin high intensity areas.
• Ask-spacedataarefiniteand defined by the
matrix size, thereconstruction of high-contrast
interfacesisimperfect and causesvisible
artifacts. 
Remedies:
•Increasethe
number of phase
encoding steps
194
6. Cross-excitation/Cross talk
artifact:
•An RF excitation pulseisnot exactly
square
•So, nuclei in adjacent slicesalso get
excited and givesignal.
Remedies:
•Gap between slices
•Interlacing
Pregnant Patients or Personnel:
 Pregnant patients regardless of trimester arePregnant patients regardless of trimester are
only scanned if the results of the study willonly scanned if the results of the study will
change the care of the patient.change the care of the patient.
 Pregnant MR personnel are encouraged not toPregnant MR personnel are encouraged not to
stay in the room during the scanning processstay in the room during the scanning process.
MRI SAFETY:
Warning signs
Site Access
Restriction
All personnel with access to MR must have
either level 1 or level 2 qualifications.
Level 1 personnel are minimally trained in MR
safety and can ensure their own safety and
the safety of a patient in the MR
environment.
 Level 2 personnel are extensively
knowledgeable about the MR
environment, the potential hazards of
the agents and equipment used, and MR
safety precautions.
 The MR safety director, and all MR
radiology technologists are level 2
personnel.
SiteAccessRestriction
Safety Zones
 Zone 1 : This is a public access area with
no restrictions.
 Zone 2 : This is a semi restricted area
where patients and hospital staff can
interact.
 Zone 3 : This area is completely physically
restricted from non MR personnel
especially the general public.
200
THANK
YOU…

Mri physics PART 2

  • 1.
    1 Moderator- Dr Navkiran kaur HODRD RHP Presenter- DR.Deepak gaRg JR2 RD Rhp
  • 2.
  • 3.
    CONTENTS  History  Introduction Magnets  Cost and Siting Considerations  Magnet Bore Size, Orientation, and Length  Magnetic Field Homogeneity  Magnetic Field Shielding  Pulsed Field Gradients  Radio-Frequency Coils  Transmitters  Radio-Frequency Receiver 3
  • 4.
     1946, twoscientists in the United States reported the phenomenon called "Nuclear Magnetic Resonance," or "NMR" for short. Felix Bloch and Edward M. Purcell were awarded the Nobel Prize in Physics in 1952.  In the early 1970s, Raymond Damadian showed the relaxation time differences between normal and cancerous tissues.  In 1972, he patented a method of obtaining a localized MR signal using a so-called "single- point“ technique. 4
  • 5.
     In 1973,Paul Lauterbur demonstrated that the NMR technique, when combined with field gradients, can be utilized to image an object.  Shortly after this invention, Mansfield's group in Nottingham devised the selective excitation method with gradients, which is frequently used in today's MRI scanners.  Later the term NMR Imaging was changed to "MRI" (Magnetic Resonance Imaging, sometimes abbreviated further to MR.  The word "nuclear" was removed to avoid confusion with other medical imaging modalities using ionizing radiation. 5
  • 6.
  • 7.
    FDA Clears FirstMRI Scanner - 1985  GE develops first “high- field” (1.5T) commercial MRI scanner (1982).  Medicare starts paying for MRI scans (1985) VAX 11/750 (1982) 7
  • 8.
  • 9.
    Basic MRI Hardware Magnet  Large magnetic field that is homogeneous over a large area  Aligns protons in the body  Radiofrequency (RF) coils  Transmit and Receive RF energy into and from the body  Gradients  Induce linear change in magnetic field  Spatial encoding  Computer System and Console  Patient Handling System 9
  • 10.
    What is MRI? MagneticResonance Imaging. 4 Basic steps- Placing the patient in magnet Sending Radiofreqency pulse by coil Recieving signals from the patient by coil Transformation of signals into image by complex processing in computers.
  • 11.
     all MRIscanners include several essential components.  First, in order to create net nuclear spin magnetization in the subject to be scanned, a magnetic field is required. 11
  • 12.
     This mainmagnetic field is generally constant in time and space and may be provided by a variety of magnets.  Once net nuclear spin magnetization is present, this magnetization may be manipulated by applying a variety of secondary magnetic fields with specific time and/or spatial dependence. 12
  • 13.
    These may generallybe classified into Gradients which introduce “defined spatial variations” in the polarizing magnetic field- B0, and  radio frequency (RF) irradiation which provides the B1 magnetic field needed to generate observable, transverse nuclear spin magnetization. 13
  • 14.
     B0 gradientsare generally created by applying an electric current supplied by gradient amplifiers to a set of electromagnetic coil windings within the main magnetic field. 14
  • 15.
     RF irradiationis applied to the subject by one or more antennas or transmitter coils connected to a set of synthesizers, attenuators and amplifiers known collectively as a transmitter.  With the influence of the main magnetic field, the field gradients and RF irradiation, the nuclear spins within the subject induce a weak RF signal in one or more receiver coils which is then amplified, filtered and digitized by the receiver.  Finally, the digitized signal is displayed and processed by the scanner’s host computer. 15
  • 16.
  • 17.
  • 18.
     The functionof a MRI scanner’s magnet is to generate a strong, stable, spatially uniform polarizing magnetic field within a defined working volume.  Accordingly, the most important specifications for a MRI magnet are field strength, field stability, spatial homogeneity and the dimensions and orientation of the working volume.  In addition to these, specifications such as weight, stray field dimensions, overall bore length and startup and operating costs play an important role in selecting and installing a MRI magnet. 18
  • 19.
     Magnet typesused in MRI may be classified into three categories:  permanent,  resistive  superconducting.  The available magnet technologies generally offer a compromise between various specifications so that the optimum choice of magnet design will depend upon the demands of the clinical applications anticipated and the MRI experiments to be performed. 19
  • 20.
  • 21.
     Permanent magnetsfor MRI are composed of one or more pieces of iron or magnetizable alloy carefully formed into a shape designed to establish a homogeneous magnetic field over the region to be scanned.  These magnets may provide open access to the patient or may be constructed in the traditional, “closed” cylindrical geometry. 21
  • 22.
     With care,permanent magnets can be constructed with good spatial homogeneity, but they are susceptible to temporal changes in field strength and homogeneity caused by changes in magnet temperature. 22
  • 23.
     The maximumfield strength possible for a permanent magnet depends upon the ferromagnetic alloy used to build it, but is generally limited to approximately 0.3 T.  The weight of a permanent MRI magnet also depends upon the choice of magnetic material but is generally very high.  As an example, a 0.2-T whole-body magnet constructed from iron might weigh 25 tons while the weight of a similar magnet built from a neodymium alloy could be 5 tons. 23
  • 24.
     While thefield strength of permanent magnets is limited and their weight is high, they consume no electric power, dissipate no heat, and are very stable.  Consequently, once installed, permanent magnets are inexpensive to maintain. 24
  • 25.
  • 26.
     Other thanpermanent magnets, all MRI magnets are electromagnets, generating their field by the conduction of electricity through loops of wire.  Electromagnets, in turn, are classified as resistive or superconducting depending upon whether the wire loops have finite or zero electrical resistance. 26
  • 27.
     Unlike permanentmagnets, resistive electromagnets are not limited in field strength by any fundamental property of a magnetic material.  Indeed, an electromagnet can produce an arbitrarily strong magnetic field provided that sufficient current can flow through the wire loops without excessive heating or power consumption. 27
  • 28.
     Specifically, fora simple cylindrical coil known as a solenoid, the magnetic field generated is directly proportional to the coil current.  However, the power requirements and heat generation of the electromagnet increase as the square of the current. 28
  • 29.
     Because thestability of the field of a resistive magnet depends both upon coil temperature and the stability of the current source used to energize the magnet coil, these magnets require a power source that simultaneously provides very high current (typically hundreds of amperes) and excellent current stability (less than one part per million per hour). 29
  • 30.
     These requirementsare technically difficult to achieve and further restrict the performance of resistive magnets.  While resistive magnets have been built which generate very high fields over a small volume in the re-search setting, resistive magnets suitable for human MRI are limited to about 0.2 T. 30
  • 31.
     Resistive magnetsare generally lighter in weight than permanent magnets of comparable strength, although the power supply and cooling equipment required for their operation add weight and floor space requirements. 31
  • 32.
  • 33.
     Superconducting magnetsachieve high fields without prohibitive power consumption and cooling requirements, and are the most common clinical design.  In the superconducting state, no external power is required to maintain current flow and field strength and no heat is dissipated from the wire. 33
  • 34.
     The abilityof the wire to conduct current without resistance depends upon its composition, the temperature of the wire, and the magnitude of the current and local magnetic field.  Below a certain critical temperature (TC) and critical field strength, current less than or equal to the critical current is conducted with no resistance and thus no heat dissipation. 34
  • 35.
     As thewire is cooled below TC (critical temp), it remains superconducting but the critical current and field generally increase, permitting the generation of a stronger magnetic field. 35
  • 36.
     While so-calledhigh-TC superconductors such as yttrium barium copper oxide can be superconductive when cooled by a bath of liquid nitrogen (77 K or –196°C at 1 bar pressure), limitations to their critical current and field make them thus far impractical for use in main magnet coil construction. 36
  • 37.
     Superconducting MRImagnets are currently manufactured using wire composed of NbTi(niobium titanium) or NbSn (niobium tin) alloys, which must be cooled to below 10 K (–263°C) to be superconducting at the desired field.  Therefore, the coil of a superconducting MRI magnet must be constantly cooled by a bath of liquid helium in order to maintain its current and thus its field. 37
  • 38.
     Because ofthe need to maintain sufficient liquid helium within the magnet to cool the superconducting wire, the liquid helium is maintained within a vacuum-insulated cryostat or Dewar vessel. 38
  • 39.
  • 40.
     As longas the critical temperature, field and current are not exceeded, current will flow through the magnet solenoid indefinitely, yielding an extremely stable magnetic field. 40
  • 41.
     However, ifthe magnet wire exceeds the critical temperature associated with the existing current, the wire will suddenly become resistive.  The energy stored in the magnetic field will then dissipate, causing rapid heating and possibly damage to the magnet coil, accompanied by rapid vaporization of any remaining liquid helium in the cooling bath.  This undesirable phenomenon is known as a quench. 41
  • 42.
    Under the Hoodof Our MRI Scanner Quench Pipe Cold Head 42
  • 43.
     In addition,the liquid helium vessel is usually surrounded by several concentric metal radiation shields cooled by a separate liquid nitrogen bath or by a cold head attached to an external closed-cycle refrigerator.  These shields protect the liquid helium bath from radiation heating and thus reduce liquid helium boil-off losses, thus reducing refill frequency and cost.. 43
  • 44.
     Magnets incorporatingliquid nitrogen cooling require regular liquid nitrogen refills, but liquid nitrogen is less costly than liquid helium and provides cooling with no electrical consumption.  Conversely, refrigerator-cooled (refrigerated) magnets need no liquid nitrogen refills but require periodic mechanical service and a very reliable electrical supply. 44
  • 45.
     Regardless ofdesign, the cryogenic efficiency of a superconducting magnet is summarized by specifying the magnet’s hold time, which is the maximum interval between liquid helium refills.  Modern refrigerated magnets typically require liquid helium refilling and maintenance at most once a year while smaller-bore magnets may have a hold time of 2 years or longer. 45
  • 46.
     Superconducting magnetsrequire periodic cryogen refilling for continued safe operation but little maintenance otherwise.  Due to their ability to achieve stable, high magnetic fields with little or no electrical power consumption, superconducting magnets now greatly outnumber other magnet types among both research and clinical MRI facilities. 46
  • 47.
    MAGNET TYPES InSummary  Permanent magnets  Resistive magnets  Super conducting magnets + - Obsolete now - High Power Consumption + Cheaper to make + Higher Field Strengths + Advanced Applications - Expensive Low power consumption Low operating cost Small fringefield No cryogen
  • 48.
    Cost and SitingConsiderations 48
  • 49.
     For agiven bore size, the higher the magnetic field strength, the greater the size, weight and cost of the magnet become.  For superconducting magnets, this is largely the result of the increased number of turns of superconducting wire needed to produce a stronger field in a given working volume. 49
  • 50.
     Both thewire itself and the fabrication of the magnet coils are expensive and this cost scales at least linearly with the length of wire required to build the magnet.  Moreover, a larger magnet coil demands a larger, heavier cryostat to maintain the coil below its critical temperature. 50
  • 51.
     Not onlyadditional floor space be allocated for the magnet itself, but consideration must also be given to the increased volume of the fringe field (also called stray field) surrounding the magnet in all directions.  The fringe field is that portion of the magnetic field that extends outside the bore of the magnet. 51
  • 52.
     It isdesirable to minimize the dimensions of this field in order to minimize both the effects that the magnet has on objects in its surroundings (e.g., pacemakers, steel tools, magnetic cards) and also the disturbance of the main magnetic field by objects outside the magnet (e.g., passing motor vehicles, rail lines, elevators). 52
  • 53.
     While theextent of the fringe field can be reduced by various shielding techniques, the large fringe field of high-field magnets contributes to a need for more space when compared to lower field scanners of comparable bore size. 53
  • 54.
  • 55.
     In additionto field strength, a traditional, closed, cylindrical MRI magnet is characterized by its bore size.  Analogously, magnets for open MRI are described by their gap size, i.e., the distance between their pole pieces. 55
  • 56.
  • 57.
  • 58.
  • 59.
     It isimportant to note that the magnet bore size does not represent the diameter of the largest object that can be imaged in that magnet.  This is due to the fact that the shim coil, gradient coil and radio-frequency probe take up space within the magnet bore, reducing the space available for the patient to be imaged. 59
  • 60.
     However, themagnet bore size does place constraints on the maximum inner diameters of each of these components and thus is the primary factor determining the usable diameter available for the patient.  For example, a magnet bore diameter of 100 cm is common for whole-body clinical applications, while an 80 cm bore magnet typically only allows insertion of the patient’s head once the shim, gradient and radio- frequency coils are installed. 60
  • 61.
     In openMRI magnets, the magnetic field direction is usually vertical and thus perpendicular to the head–foot axis of the patient.  This is to be contrasted with traditional MRI magnets, in which the magnetic field direction is oriented along the long axis of the subject. 61
  • 62.
     This differencehas consequences for the design of shim, gradient and radio- frequency coils in open MRI.  Note that in any magnet, the direction parallel to the B0 magnetic field is always referred to as the Z axis or axial direction while the radial direction is always perpendicular to B0. 62
  • 63.
     In thedesign of horizontal bore magnets for clinical use, there is an emphasis on minimizing the distance from the front of the magnet cryostat to the center of the magnetic field. (ie length of horizontal bore)  Shortening this distance facilitates insertion of the patient and minimizes patient discomfort. 63
  • 64.
     However, shorteningthe magnet coil length may lead to decreased Bo homogeneity, while shortening the magnet cryostat may compromise the insulation of the liquid helium bath and lead to decreased hold time. 64
  • 65.
    Field Stability –The SHIM System 65
  • 66.
     Because homogeneityof the main magnetic field over the imaging or spectroscopic volume is essential, dedicated electromagnetic coils (shim coils) are provided to optimize the B0 field homogeneity within the design of the main magnet. 66
  • 67.
    Types of shimming Passive Shimming  Resistive Shimming  Superconductive Shimming  Gradient Offset Shimming 67
  • 68.
     In asuperconducting electromagnet, superconducting shims are additional coils of superconducting wire wound coaxially with the main coil in such a way as to generate specific field gradients 68
  • 69.
     For eachprincipal direction, there is typically a dedicated shim coil with an independent electrical circuit. During magnet installation, current may be independently adjusted in the main coil and each of the superconducting shim coils in order to optimize B0 homogeneity within the magnet’s working volume. 69
  • 70.
     Since, likethe main magnet coil, these shim coils are superconducting, large currents may flow through them with no resistance and no external power supply once energized.  Thus, superconducting shim coils can generate strong field gradients with high temporal stability. Readjusting the current in these coils is an infrequent operation requiring special apparatus and addition of liquid helium to the magnet. 70
  • 71.
     Unlike superconductingshims, passive shims do not rely upon the flow of electrical current through a coil to generate a field gradient.  Instead, they are pieces of ferromagnetic metal of a size and shape designed to improve B0 homogeneity when they are inserted into the magnet. 71
  • 72.
     Magnets arealso provided with room temperature shims that can be adjusted on a regular basis as needed. These can be adjusted manually or automatically to compensate for differences in susceptibility between different patients or patient positions.  Since these are resistive electromagnets, they require a stable power supply and their magnitude is limited. 72
  • 73.
  • 74.
     Because high-field,large bore MRI magnets generate an extensive fringe field, they are capable of both adversely affecting nearby objects as well as experiencing interference from these objects.  Since 5 G (0.5 mT) is generally regarded as the maximum safe field for public exposure, the extent of the fringe field is typically described by the dimensions of the 5-G isosurface centered about the magnet. 74
  • 75.
    Typical Magnetic FieldMap of a Clinical 3T MRI 75 5 Gausslineor 0.5 mT istheFDA required limit for patientswith pacemakers. Under absolutely no condition should apacemaker bebrought near an MRI scanner.. 1 mT – 2mT or 10-20 Gaussarerequired to erasecardsand electronic media.
  • 76.
     In orderto reduce the magnitude and extent of the fringe field and thus minimize interaction between the magnet and its environment, both passive and active shielding techniques are commonly used.  Passive shielding consists of ferromagnetic material placed outside the magnet. 76
  • 77.
     Passive shieldsare generally constructed from thick plates of soft iron, an inexpensive material with relatively high magnetic permeability.  In order to shield a magnet with ferromagnetic plates, the substantial attractive force between the magnet and the shielding material must be considered in the design of the magnet. 77
  • 78.
     Active shieldingconsists of one or more electromagnetic coils wound on the outside of the main magnet coil but with opposite field orientation.  Typically, in a superconducting magnet, the shield coils are superconducting as well and are energized simultaneously with the main coil during installation.  The field generated by the shield coils partially cancels the fringe field of the main coil, thereby reducing the fringe field dimensions.  New MRI magnets are increasingly designed with built-in active shielding. 78
  • 79.
  • 80.
  • 81.
  • 82.
  • 83.
  • 84.
    Gradient Coils Priciples These are room temperature coils  A gradient in Bo in the Z direction is achieved with an antihelmholtz type of coil.  Current in the two coils flow in opposite directions creating a magnetic field gradient between the two coils.  The B field at one coil adds to the Bo field while the B field at the center of the other coil subtracts from the Bo field 84
  • 85.
     The Xand Y gradients in the Bo field are created by a pair of figure-8 coils. The X axis figure-8 coils create a gradient in Bo in the X direction due to the direction of the current through the coils.  The Y axis figure-8 coils provides a similar gradient in Bo along the Y axis. 85
  • 86.
    Gradient Coils  Inducesmall linear changes in magnetic field along one or more dimensions  Produces two types of spatial encoding referred to as Frequency and Phase Encoding 86
  • 87.
     The functionof the pulsed field gradient system in an MRI instrument is to generate linear, stable, reproducible B0 field gradients along specific directions with the shortest possible rise and fall times. 87
  • 88.
     While theprimary use of pulsed field gradients in MRI is to establish a correspondence between spatial position and resonance frequency, gradients are also used for other purposes, such as to irreversibly dephase transverse magnetization. 88SKIP
  • 89.
     Gradient fieldsare produced by passing current through a set of wire coils located inside the magnet bore.  The need for rapid switching of gradients during pulse sequences makes the design and construction of pulsed field gradient systems quite technologically demanding. 89SKIP
  • 90.
     The performanceof a pulsed field gradient system is specified by parameters including gradient strength, linearity, stability and switching times 90SKIP
  • 91.
  • 92.
     In MRIscanners, radio-frequency transmit coils are used for creating the oscillating B1 magnetic field needed to excite the nuclear spins, at a frequency equal to radio wave frequency (i.e why called as RF wave)  In contrast, receiver coils detect the weak signal emitted by the spins as they precess in the B0 field. 92
  • 93.
    Thus, RF coilscan be thought of as radio antennas. The same coil may be used for both exciting the spins and receiving the resulting MR signal, or transmission and reception may be performed by separate coils which are carefully constructed to minimize inductive coupling between them. 93
  • 94.
    RF (Radiofrequency) Coils Used to transmit and receive RF energy  Needed to create images 94
  • 95.
    Common RF CoilDesigns  Solenoidal RF Coils  Surface Coils and Phased Arrays  RF Volume Resonators 95
  • 96.
  • 97.
     RF coilscreate the B1 field which rotates the net magnetization in a pulse sequence.  RF coils can be divided into three general categories 1) transmit and receive coils 2) receive only coils 3) transmit only coils 97
  • 98.
  • 99.
  • 100.
  • 101.
  • 102.
  • 103.
  • 104.
  • 105.
     The solenoidalconfiguration used for magnet and shim coils is also useful for RF antennas.  Driving a solenoidal coil with an alternating current generates a spatially homogeneous time varying B1 magnetic field with the same frequency as the driving current. 105
  • 106.
     This producesa torque on nuclear spins which are within the coil and which have a component of their orientation perpendicular to the coil axis.  Thus, it is necessary that the coil produce a B1 field which is not parallel to the B0 field. 106
  • 107.
     Similarly, areceive coil must be able to detect a time-varying magnetic field perpendicular to B0 in order to detect a MR signal. Since the B1 field generated by a solenoidal coil is parallel to the bore axis of the solenoid, the coil should be oriented with this axis perpendicular to B0. 107
  • 108.
     Solenoidal RFcoils generate very homogeneous fields, especially over samples which are small in diameter and length compared to the dimensions of the solenoid.  This enables them to excite and detect a MR signal from any nuclear spins within the bore of the solenoid 108
  • 109.
    Surface Coils andPhased Arrays 109
  • 110.
     A surfacecoil is a loop of wire which generates or detects B1 fields along a direction perpendicular to the plane of the loop.  Like solenoidal coils, surface coils are highly efficient and are easy to build. 110
  • 111.
     Since theyhave a B1 axis perpendicular to the loop plane, surface coils offer convenient access for application to a wide variety of anatomical sites while maintaining B1 perpendicular to B0.  However, the RF field generated by a surface coil is very inhomogeneous, with maximum B1 magnitude in the plane of the coil and a rapid falloff in B1 with distance from this plane. 111
  • 112.
     Likewise, whenused for detecting an MR signal, a surface coil can only detect nuclei within a short distance from the coil plane.  Specifically, when a surface coil is placed against the surface of a sample, nuclei may be excited and detected to a depth approximately equal to the diameter of the coil and over an area approximately equal to the dimensions of the coil. 112SKIP
  • 113.
     The small,well-defined volume over which a surface coil transmits or receives a signal makes these coils ideal for spatial localization in certain circumstances without requiring the use of field gradients.  Surface coils have long been used to obtain in vivo NMR spectra of peripheral muscle, brain, heart, liver and other relatively superficial tissues with simple purely spectroscopic pulse sequences. 113SKIP
  • 114.
     In MRIscanners, where spatial localization can be achieved by gradients, surface coils are less often used for excitation and are instead primarily employed as high-sensitivity receive-only coils in conjunction with a large, homogeneous transmit-only resonator. 114SKIP
  • 115.
     The limitedarea over which a single surface coil can detect a NMR signal can be overcome by combining two or more surface coils to form a phased array coil.  These coils must be coupled with electronic components which combine the signals from each coil into a single signal or to multiple, independent receivers. 115SKIP
  • 116.
     The phasedarray covers the surface area which a much larger surface coil would observe, but exhibits the higher sensitivity of the small coils which make up the array.  Phased array coils are commonly used in clinical imaging of the spine, where an extensive field of view is required but the tissue of interest is relatively superficial. 116SKIP
  • 117.
     Both individualsurface coils and phased arrays can be constructed with curvature to ensure close placement to a given anatomical site, thereby optimizing both sensitivity and depth of view. 117SKIP
  • 118.
    Endocavity Array  Abody array incorporating an disposable endocavity coil as one of its elements to allow high resolution at the prostate or cervix with extra detail in the surrounding field of view.  This product may provide a more workable image than a conventional endocavity exam 118
  • 119.
    From top tobottom shown are (1) a syringe connected with the endocavity balloon (Civco); (2) rigid transrectal MRI coil (Hologic); (3) transrectal ultrasound probe (BK Medical); (4) custom fabricated TPX sleeve 119
  • 120.
  • 121.
    Coil Designs  Closercoil is to object being imaged the better signal  Variety of coils designed for specific body parts Surface Coil Volume Coil (aka Birdcage Coil) 121
  • 122.
  • 123.
    Flow voidFlow void Flow influences MR signal has been known for a long timeFlow influences MR signal has been known for a long time  When we send in our first 90 pulse all the protons in theWhen we send in our first 90 pulse all the protons in the cross section are influenced By the the radiowave .after thecross section are influenced By the the radiowave .after the RF pulse is turned off we listen and record a signalRF pulse is turned off we listen and record a signal  At this time all the original blood in our vessel may haveAt this time all the original blood in our vessel may have left the examined slice so there is no signal coming out ofleft the examined slice so there is no signal coming out of the vessel.it appears black in the picture this phenomenon isthe vessel.it appears black in the picture this phenomenon is called FLOW VOIDcalled FLOW VOID
  • 124.
     Generate anRF signal perpendicular to β0  Generate tissue contrast  Image contrast is obtained by manipulating magnetic or biological properties of spins (e.g. relaxation, precession frequency, magnetic susceptibility, diffusion)  Generate spatial resolution  Decrease scan time without adversely affecting the image quality.  Minimize artifacts 124 Goals of Imaging Sequences
  • 125.
    125 A pulsesequencediagram ismerelyaset of parallel lines. Each isa timelinedetailing what roleeach component of theMR system will play in generating theimage. In theexamplesused here, therearesix such paralle timelines. Thetop displaysoperation of theRF, thenext threeeach display theoperation of oneof thethreeorthogonal gradient magnetic fields, the fifth showsthereceiver, and thebottom displaystheMR signal. PulseSequencesPulseSequences
  • 126.
    126 Generic pulsesequence. Theopenbox delineatestheexcitation moduleincluding the RF pulse(open arrow) used to generatesignal. Thegray box delineatesthereadout module. Short double-arrow and dashed line: TE. Long double-arrow and thick line: TR. Horizontal striationswithin theGphasesymbol (largeblack arrow) indicate different strengthsof thephase-encoding gradient. Notethat only onestrength is applied per TR. Vertical striationsin theReceiver symbol (largegray arrow ) indicatemultiplesamplesobtained in sequenceover time. TE TR
  • 127.
    Imaging SequencesImaging Sequences Spin EchoSpin Echo  Gradient EchoGradient Echo  Fast Spin EchoFast Spin Echo  Inversion RecoveryInversion Recovery  PartialPartial saturation/saturationsaturation/saturation recoveryrecovery
  • 128.
  • 129.
    After the90º-excitation pulsethenet-magnetizationisin theX-Y plane. It immediately startsto dephasedueto T2 primerelaxation (dueto inhomogeneity in Bo). It is becauseof thisdephasing that thesignal dropslikeastone. Ideally, wewould liketo keep thephasecoherence becausethisgivesthebest signal. Thebrilliant solution the engineerscameup with isthis: ashort timeafter the90º RF-pulseasecond RF-pulseisgiven. Thistimeit isan 180º pulse. The180º pulsecausesthespinsto rephase. When all thespinsarerephased thesignal ishigh again, and when wemakesurewesamplethesignal at this instant wewill haveamuch better image Thesignal wesampleiscalled: an Echo, becauseit is “rebuilt” from theFID
  • 130.
    130 Thespin echo correctsT2'effects. Initially, signal decaysalong theT2* curvefor atimex. After the180 pulse, signal beginsto increaseuntil at time 2x it intersects theT2 curve. It isat thispoint that T2' effectshavebeen fully recovered , producing aspin echo. T2 T2*
  • 131.
     The spinecho pulse sequence is the most commonly used pulse sequence.  The pulse sequence timing can be adjusted to give T1-WI,PD, andT2WI.  Dual echo and multi echo sequences can be used to obtain both proton density and T2-weighted images simultaneously. The two variables of interest in spin echo sequences is the repetition time (TR) and the echo time (TE).  All spin echo sequences include a slice selective 90 degree pulse followed by one or more 180 degree refocusing pulses as shown in the following diagram.  Least artifact prone (coz it will remove all the artifacts due to external field inhomogeneity) Spin Echo
  • 132.
    132 Spin echo pulsesequence.Thehallmark of thispulsesequenceisthe180° RF pulse applied midway between the90° RF pulseand TE (at TE/2). Theresult is an initial declinefollowed by regrowth of signal until themaximum signal isachieved (thespin echo) at TE. After TE , noticethat signal again declines, relaxing with T2*.
  • 133.
    Advantages high signal tonoisehigh signal to noise least artifact prone sequenceleast artifact prone sequence contrast mechanisms easier to understandcontrast mechanisms easier to understand long TR times are incompatible with 3D acquisitions Disadvantage
  • 134.
  • 135.
    135 In thisvariant,weusethedead timeafterTE, but beforeTR, instead of immediately exciting another slice, wewill generateseveral imagesof the sameslicewith different contrasts Typically it isused to produceboth T2WI and PD from asinglescan
  • 136.
    136 Multiecho spin echoimaging Multiecho spin echo imaging. Signal isrecorded after asingle90 RF pulsebut refocused multipletimesby applying 180 RF pulsesto generatemultiple spin echoes. TEl must occur at atimeafter thefirst 180 pulseequal to thetime between theinitial 90 and 180 pulses. Subsequently,TE2 must occur when thetime between thesecond 180 RF pulseand TE2 isequal to thetimebetween TEl and thesecond 180 pulse.
  • 137.
    137 Typically, themultiecho techniqueisusedwith spin echo pulsesequences, arelatively long TR (several seconds) and oneshort and onerather long TE (perhaps20 and 120milliseconds). Theresult istwo images: onewith contrast mostly based on proton density (long TR and short TE) and onebased on T2 (long TR and TE).
  • 138.
  • 139.
    139 Whenever weturn onagradient magnetic field for any purpose, spins experiencevarying field strength depending on their location along the gradient, and thisleadsto dephasing and signal loss. Thesameistruewhen weturn on thefrequency-encoding gradient during signal sampling. We must turn that frequency-encoding gradient on in order to localizesignal within theimage, but signal islost in theprocess. Consider it anecessary evil. Importantly, however, thesignal lossis predictable and repro ducible. Thisisbecauseweinducethesignal lossby application of a linear gradient magnetic field. A gradient echo is essentially a means forminimizing the signal loss incurred during signal sampling underthe frequency-encoding gradient. Before we deal with the gradient echo itself, considerthe following:
  • 140.
    140 Keep in mind,however, that, absent the180 pulse, signal is lost according to T2* from thetimeof theinitial excitation, and T2' effectsare no t recovered. Thus, theoverall signal sampled during agradient echo pulse sequenceisless than during aspin echo pulsesequence. To form agradient echo, wefirst turn on thegradient magnetic field with thesame strength but oppositepolarity to thefrequency-encoding gradient magnetic field . This, of course, leadsto signal loss. After thisgradient is switched off, spinsareout of phase, and signal hasbeen lost in proportion to thestrength of thegradient magnetic field and how long weleaveit on. If we now turn on thefrequency-encoding gradient magnetic field , thespinswill undergo rephasing.Thisisagradient echo.
  • 141.
    141 Gradient echo pulsesequence.First, noticetheabsenceof the180 RF pulse. Theundisturbed signal that would bemeasured in theabsenceof any gradient magnetic field isshown in gray.Thebroken lines(open arrows)depict periodswhere signal decayswith T2*. Doublelinesindicateperiodswheresignal changeaccelerates dueto thepresenceof agradient magnetic field. Initially, signal declinesand then growsback dueto reversal of thepolarity of thegradient magnetic field. The actual signal intersectstheT2* curve
  • 143.
    AdvantagesAdvantages faster imagingfaster imaging compatiblewith 3D acquisitioncompatible with 3D acquisition Disadvantages • difficult to generate good T2 weighting (coz long TE is not possible) • magnetic field inhomogeneities cause signal loss
  • 144.
    144144 Inversion recovery Thebasic partof an inversion recovery sequenceisa180 degreeRF pulsethat invertsthemagnetization followed by a 90 degreeRF pulsethat bringstheresidual longitudinal magnetization into thex-y or transverseplanewhereit can be detected by an RF Thetimebetween theinitial 180 degreepulseand the90 degreepulseistheinversion time(TI) Types: Short TI- STIR (short TI inversion recovery) Long TI - FLAIR
  • 145.
    TI IR spin echopulsesequence. An IR preparatory module(shaded box) isadded to thefront end of astandard spin echo pulsesequence. Thetime between the180° and 90° RF pulsesistermed TI
  • 146.
    146146  The 180degree pulse inverts the longitudinal magnetisation converting it from positive to negative  Once inverted the negative magnetisation begins to recover  The rate at which the longitudinal magnetisation recovers is determined by t1.
  • 147.
    147147  Excitatory radiopulse is transmitted creating transverse magnetisation  The amount of transverse magnetisation depends on the amount of longitudinal magnetisation that had recovered after inversion pulse  The time between the inversion and excitation pulses is called inversion time -TI
  • 148.
    148 IR mechanisms. The90°RF pulsethat generatessignal (Mt) isapplied during recovery of Mz; TI contrast differsfrom thestandard pulsesequence(inset) based on thetimeTR. Thedifferencebetween Mz of fat and csf get accentuated on applying 180 RF pulse, in comparison to earlier standard pulsesequence Noticethat thecurvesrepresenting recovery of Mz, crossthex axis. At themoment thecurvecrosses, thetissuehasno net Mz. Thispoint in timeistermed the nullpo int for thetissue. CSF FAT
  • 149.
    149 Tissue suppression withIR. TI isset so thetissuedepicted by thesolid black linehasno net Mz, at thetimethe90° RF isapplied. Thus, no signal is generated from thistissue; it isabsent from thegraph of Mt,.
  • 150.
  • 151.
    151151 STIR  Short time-to-inversioninversion recovery imaging  TI is the spin lattice relaxation time of the component that should be suppressed.  Works only when the T1 values for the two components are different.  Exploits the zero crossing effect of IR imaging no longitudinal magnetization available at TI time and subsequent 900 pulse produces no signal.
  • 152.
    STIR •Uses TI equalto the null point of fat . So no longitudinal magnetization available. And fat get suppressed. •T2 WI with suppression of fat
  • 153.
    STIR (Short TauInversion Recovery) Sequence- When aTI of 160 ms. isused in a1.5 Teslasystem (90 ms. at 0,35 Tesla, 120 ms. at 0.5 Tesla, 140 ms. at 1.0 Tesla) something extraordinary happens. At 160 ms. the magnetization vector of fat tissuecrossesthezero line. This meansthereisno vector pointing either towards+Mz or – Mz. If onestartstheSE part of theIR sequenceat this particular time, therewon‟t beany magnetization vector of fat available, which can beflipped into theX-Y plane; hence no signal from fat tissueisreceived. Thisisavery effectiveway of suppressing signal from fat tissue, which isuseful in thosecaseswherethehigh signal from fat may obscurepathology such asbonebruises. This special caseof IR sequenceiscalled: Short TI Inversion Recovery (STIR).
  • 154.
    STIRSTIR Advantages  works betterthan fat saturation over a large FOV (>30 cms)  better at lower field strengths  high visibility for fluid  Used in orbit to supress fat/ bone marrow fat Disadvantages • poor S/N • incompatible with gadolinium
  • 155.
    155 What happens onthe postcontrast images? On applying STIR, Fat is nicely suppressed. Thetumor, however , will havea much shorter T1 becauseof thepresenceof thecontrast agent ,(coz gadolinium decreasestheT1 of tissue) and, asaresult, thenull point of thecontrast-enhancing tumor may coincidewith that of fat, and both fat and tumor will besuppressed, making thetumor less conspicuousthan on theprecontrast images. Watch out So in postcontrast images we apply FatSat technique, not STIR WhileSTIR iscommonly touted asa"fat-suppression" technique, keep in mind that thetissuesuppression isin no way specific for fat, only for tissueswith short Tl
  • 156.
    156 FAT TUMOR CSF Contrast agent shiftstheT1curveof tumor towardsleft ,(coz gadolinium decreasestheT1 of tissue) and, asaresult, thenull point of thecontrast-enhancing tumor may coincidewith that of fat, and both fat and tumor will get suppressed
  • 157.
    157157 FLAIR (FLuid AttenuatedIR)  Inversion recovery sequence with long TI  The TI is set to the zero crossing point of fluid→ suppression of signal from csf  Lesions that are normally covered by bright fluid signals using conventional T2 contrast are made visible by FLAIR
  • 158.
  • 159.
    FLAIR (Fluid AttenuatedInversion Recovery) Sequence Thesameprincipleasused for signal suppression of fat tissuein STIR can also beused to suppresssignal from CSF. With aTI of around 2000 msthesignal from CSF is effectively suppressed. An Inversion Timeof 2000 ms. in combination of along TE isused to study demyelinating diseases, such asMultipleSclerosis. With thisTI value, MultipleSclerosislightsup likealight bulb, because normal fluid issuppressed. FLAIR issubstantially more sensitivefor demyelinating diseasesthan ordinary T2 weighted sequences
  • 160.
    FLAIR  Evaluation oflesions in periventricularEvaluation of lesions in periventricular regionregion  Increased conspicuity of lesions inIncreased conspicuity of lesions in subarachnoid spacesubarachnoid space
  • 161.
    FLAIR  Multiple sclerosisMultiplesclerosis  Temporal lobe epilepsyTemporal lobe epilepsy  Limbic encephalitisLimbic encephalitis  Acute post traumatic shear injuriesAcute post traumatic shear injuries (non(non haemorrhagic)haemorrhagic)
  • 162.
  • 163.
  • 164.
    164 EchoplanarImaging •With echo-planar imaging,asingleecho train is used to collect datafrom all linesof k-spaceduring oneTR. •Useof thistechniqueshortenstheacquisition time substantially . •Therearetwo typesof echo-planar imaging sequences: SE and GRE sequences
  • 165.
    165 • Thephase-encoding gradientand thefrequency- encoding (or readout) gradient areturned on and off very rapidly, atechniquethat allowstherapid filling of k-space.
  • 166.
    166 Quick, but verysusceptible to artifacts, particularly B0 field inhomogeneity. Can acquire a whole image with one RF pulse – single shot EPI Although we have decreased the time of scan by using EPI, but in return it has
  • 168.
    Clinical Applications ofEPI Brain Imaging  Echo-planar imaging–based diffusion imaging is routinely used for evaluation of early cerebral ischemia and stroke.   Contrast material–enhanced echo- planar imaging–based perfusion imaging is performed to evaluate cerebral ischemia and differentiate recurrent tumor from radiation necrosis. 168
  • 169.
  • 170.
    170 Water moleculesin thesamplesweimagearenotstationary; they are in constant motion. In absenceof any barriersto movement, the direction of motion will becompletely random. Thisrandom molecular movement isan exampleof Brownian motion. Thisuninhibited pattern of diffusion will bepresent within "pure" body fluidslikeurine, bile, and cerebrospinal fluid (CSF). Diffusion also occursin tissue. However, cellular, subcellular, and extracellular structure(such ascell and organellemembranes) and large molecules(such ascollagen) impedemovement of water molecules through tissueto somedegree. Asaresult, the"velocity" of diffusion is lower in tissuethan, for example, in CSF.
  • 171.
    171 Thissignal lossisthesignatureof diffusionin an MRI image. Notice, by theway, that, becauseall MRI imagesrequiretheapplication of gradient magnetic fields, all will demonstratesomedegreeof signal lossdueto diffusion. Becausethemagnitudeof thegradient magnetic fieldsused for imaging and thevelocity at which spinsmovedueto diffusion areboth relatively low, only minimal signal lossdueto diffusion will actually manifest in atypical MR image When spinsflow along agradient magnetic field, accumulation of phase (i.edephasing)by moving spinsexceedsthat incurred by stationary spins. Accumulation of phase, of course, leadsto adeclinein net Mt, and, therefore, signal. Theamplitudeof thegradient magnetic field and the velocity at which thespinsaremoving will determinetheamount of signal lossincurred.
  • 172.
    172 Making the MRImageSensitive to Diffusion Signal lossdueto diffusion isproportional to thenet amount of gradient strength applied to thediffusing spins. Thisnet effect isafunction of the strength of thegradient magnetic field and thetimespinsaresubject to it. maximizesignal lossdueto diffusion then, weshould apply thestrongest gradient magnetic field it isalso important to accomplish imaging very quickly if wewish to observetheeffectsof diffusion and not havethesmall-scalemotion dueto diffusion overwhelmed by larger-scalephysiologic or grosspatient motion.it can bedoneby- 1) keeping duration of thegradient magnetic field applicationsvery brief and increasing itsamplitudeonly . 2) applying ultrafast EPI acquisitions. Typically, apair of gradient pulsesisapplied at high gradient amplitude, on both sidesof a180 RF pulse
  • 173.
    173 Diffusion-weighted MRI pulsesequence.Thisisastandard spin echo EPI pulsesequence with theaddition of gradient magnetic field pulsesbeforeand after the1800 RF pulse(gray trapezoids) to sensitizeto diffusion. Theb-valueisdetermined from gradient amplitude(G), gradient duration (often referred to asmixing time) (0), and theinterval between gradients(~).
  • 174.
    174 Thenet amount ofgradient strength applied isdetermined by the gradient amplitude(G) and thetimethegradient iskept on (0) . Theterm b-value isused to expressthenet gradient effect, and, therefore, amount of diffusion sensitization, concisely Increasing theb-valuewill maketheimagemoresensitiveto small amountsof diffusion. Keep in mind, however, that increasing theb-value also leadsto adecreasein theoverall amount of signal in thediffusion- sensitiveimage(coz moredephasing will occur) and, asaresult, itssignal to- noiseratio. Typically, ab-valueof 700 to 1000 isused in clinical diffusion weighted imaging.
  • 175.
    175 What Do Diffusion-SensitizedImages Look Like? In CSF, for example, diffusion isvery fast dueto thecompletelack of tissuestructure. Asaresult , avery largedegreeof signal lossoccursin voxelscontaining CSF. Although CSF hasvery high signal on the T2weighted EPI image, it demonstratesalmost no signal on thediffusion weighted version of thesameimage. Brain tissueundergoesadeclinein signal aswell, but not to thesamedegreeasCSF, becausetissue structureimpedesthemovement of water moleculesand "slowsdown" therateof diffusion
  • 176.
    176 Csf- no signal Braintissue- low signal
  • 177.
    177 In diseasestatesthat alterthemagnitudeof diffusion, signal on the diffusion -weighted imagewill beaffected accordingly. Acutebrain infarction leadsto adramatic decreasein diffusion and, asaresult, relatively littleattenuation of signal on thediffusion-sensitiveimage. For thisreason- 1)Acute infarction manifestsasvery high signal on thediffusion- weighted image. 2) Conversely, vasogenic edema, such as that surrounding a brain tumor, representsan increasein extracellular water and an increasein themagnitudeof diffusion. Thus, vasogenic edemaleadsto greater signal lossand lower signal on thediffusion-weighted imagein comparison with normal whitematter.
  • 178.
    178 1) Acute infarctionmanifestsasvery high signal on the diffusion-weighted image.
  • 179.
    179 In certain cases,alargeareaof demyelination, for example, alesion, may havevery high signal on theT2-weighted imagewhileitsdiffusion isnot very different from that of normal tissue. Becausethemagnitudeof diffusion issimilar to normal brain, thesignal intensity of thelesion will b attenuated by thediffusion-sensitizing gradientsto adegreesimilar to normal brain. Nonetheless, thelesion will demonstratevery high signal on thediffusion-weighted image. Whereasit might lo o k similar to infarction, thehigh signal doesnot represent adeclinein diffusion; even with the reduction in signal dueto diffusion, signal on thediffusion-weighted imag isstill high becausetheinitial signal on theT2-weighted imageisso high. Thispitfall iscalled T2 shine-thro ugh T2 shine-through
  • 180.
    180 If weplot signalintensity from an imagewithout diffusion sensitization and that from adiffusion-sensitized image, theslopeof the resultant linewill approximatetheapparent diffusion coefficient (ADC). Wethushaveaquantitativemeasureof diffusion. Becausethisapproach actually measuresthedegreeof signal lossdueto thediffusion- sensitizing gradient, it may solvetheproblem of T2 shine-through. Whereasalesion with very high signal on theb = 0 imagemight show high signal on thediffusion-weighted image, measuring theADC will show avaluesimilar to normal tissue. ADC
  • 181.
    181 Diffusion images. Whendiffusion-sensitizing gradientsareadded to theTI-weighted EPI image(left), adiffusion-sensitized or diffusion-weighted image (DWI) (center) results. Themagnitudeof diffusion can bequantified and displayed asan ADC image, often called an ADC map (right).
  • 182.
    182 Acutestrokeshown by diffusionimaging. High signal in thediffusion weighted image (DWI) (black arrow) isdueto diminished diffusion and manifests aslowADC in thequantitativeADC image(whitearrow).
  • 183.
  • 184.
    184 USES OFDWI: 1.Stroke. 2.Epidermoid vsArachnoid cyst. 3.Abscess vs simple cyst. 4.To assess chemotherapy response to tumors. 5.In study of myelination patterns.
  • 185.
  • 186.
    MRI ARTIFACTS  Listof different MRI artifacts: Motion artifacts/phantom images/ghosts Wrap around/Aliasing artifact Chemical shift Magnetic susceptibility and metal artifacts Truncation / Gibb’s Cross-excitation/ Cross talk Magic angle 186
  • 187.
  • 188.
    188 1.Motion/Ghost artifact: • Ghostsarereplicaofsomething in theimage. •Originatesfrom any structurethat movesduring acquisition of data. Remedies: •Reducebody movements(physical restraint, sedation) •Breath-hold sequences •ECG gating for cardiac motion •Saturation band •Phaseencoding direction ischanged
  • 189.
    189 2.Wrap around /Aliasingartifact : •Objectsoutsideof theFOV overlap on theopposite sideof theimage. Remedies: •Increasing theFOV •Swapping thefrequency-encodeand phase-encode directions
  • 190.
    190 3. Chemical shiftartifact or chemical shift misregistration : •It iscaused by thedifferent resonancefrequencies between fat and water. • Thiscreates very dark edgesbetween thetwo along thefrequency encoding direction. Remedies: •Fat suppression •Increasereciever bandwidth
  • 191.
    191 4.Magnetic susceptibility andmetal artifacts: •At theinterfacebetween two tissueswith different magnetic susceptibilities, therearelocal distortions in themagnetic field responsiblefor asignal loss (and sometimesan imagedistortion). •Theseartifactsaremuch stronger in presenceof metal. Remedies: •Useof Spin echo sequences •Removing all metallic objests
  • 192.
  • 193.
    193 5.Truncation /Gibb’s Artifact: •Lowintensity bandsin high intensity areas. • Ask-spacedataarefiniteand defined by the matrix size, thereconstruction of high-contrast interfacesisimperfect and causesvisible artifacts.  Remedies: •Increasethe number of phase encoding steps
  • 194.
    194 6. Cross-excitation/Cross talk artifact: •AnRF excitation pulseisnot exactly square •So, nuclei in adjacent slicesalso get excited and givesignal. Remedies: •Gap between slices •Interlacing
  • 195.
    Pregnant Patients orPersonnel:  Pregnant patients regardless of trimester arePregnant patients regardless of trimester are only scanned if the results of the study willonly scanned if the results of the study will change the care of the patient.change the care of the patient.  Pregnant MR personnel are encouraged not toPregnant MR personnel are encouraged not to stay in the room during the scanning processstay in the room during the scanning process. MRI SAFETY:
  • 196.
  • 197.
    Site Access Restriction All personnelwith access to MR must have either level 1 or level 2 qualifications. Level 1 personnel are minimally trained in MR safety and can ensure their own safety and the safety of a patient in the MR environment.
  • 198.
     Level 2personnel are extensively knowledgeable about the MR environment, the potential hazards of the agents and equipment used, and MR safety precautions.  The MR safety director, and all MR radiology technologists are level 2 personnel. SiteAccessRestriction
  • 199.
    Safety Zones  Zone1 : This is a public access area with no restrictions.  Zone 2 : This is a semi restricted area where patients and hospital staff can interact.  Zone 3 : This area is completely physically restricted from non MR personnel especially the general public.
  • 200.

Editor's Notes

  • #48 There are three different major categories of magnets used in MRI scanners today. The first type is very similar to the magnets most of you probably have on your refrigerator. This type of magnet is called a permanent magnet because it maintains it’s magnetism all the time. The permanent magnet is made up of a special material, in which the molecular structure is aligned in such a way that it causes it to attract metal. The second kind of magnet is like the one many of you may have made in science class. You take a nail or bolt, wrap copper wire around it like a slinky toy, and attach the two ends of the copper wire to a battery. The resulting contraption is magnetic. This type of magnet is called resistive and requires electricity to function. If you pull the plug, it doesn’t work anymore. Finally, the last type of magnet is called superconductive because it is made out a special material called a superconductor. Superconductors work only at extremely cold temperatures, and so superconducting magnets must be super cooled with cryogens like liquid helium. The temperature of liquid helium is about 4 degrees Kelvin, which is roughly -450 degrees Farenheit. Keeping these types of magnets cooled to this temperature requires very expensive equipment and a lot of liquid helium, which is also very expensive. However, superconducting magnets generate the highest magnetic field strengths. Therefore, most of the MRI scanners today contain superconducting magnets.
  • #76 5 Gauss line or 0.5 mT is the FDA required limit for patients with pacemakers. Under absolutely no condition should a pacemaker be brought near an MRI scanner.. 1 mT – 2mT or 10-20 Gauss are required to erase cards and electronic media.
  • #81 Just a visual aid to show that the dipoles are preferentially aligned with the Z-axis on the MRI scanners.. A radiofrequency pulse of known amplitude and duration then “flips” the spins a known angle away from the Z-axis. Typically 90 degrees for a spin echo sequence into the X-Y plane but also very commonly lesser angles such as 12 degrees for 3D gradient echo sequence which we’ll discuss later.. Also 180 degrees is also commonly used for saturation and inversion recovery sequences. As a caveat, we found out that the magnet at CBIC is actually wound opposite to those at NYP and WGC.. Our scanner was one of the first built and produced in England at Oxford magnet for General Electric and the British winding convention is actually opposite to the handedness of the scanners now being produced for GE in South Carolina.. So basically the North and South poles are flipped.. We know this because I’ve borrowed coils from the hospital and Doug figured out that they needed to be physically rotated on our scanner to work properly.
  • #95 Single loop LC-circuit (inductor, capacitor)
  • #122 Why does proximity matter?