Focal Glomerulosclerosis
Definition:  Glomerulosclerosis is a non-specific finding on light microscopic examination that can be seen in any primary glomerular, tubulointerstitial, or vascular kidney disease. It can be segmental (less than half of glomerulus), global (more than half or entire glomerulus), focal (less than 50% of all glomeruli), or diffuse (more than 50% of all glomeruli). There are several different classifications of focal sclerosis in the literature, but the basic one includes three (3) different categories of diseases that can present with this histologic pattern of glomerular injury: 1. Primary (idiopathic) focal sclerosis; a primary podocyte disease ('podocytopathy') that presents with nephrotic syndrome and diffuse or near-diffuse effacement of visceral epithelial cell foot processes 2. Global and segmental glomerulosclerosis secondary to functional and structural adaptations; this is a secondary form of focal sclerosis that occurs as a result of nephronal loss sustained due to any primary glomerular, tubulointerstitial, or vascular disease. The preserved glomeruli are enlarged (compensatory hypertrophy), there is only focal effacement of foot processes, and the patients have slowly-progressive proteinuria, usually subnephrotic range (1-2 g/24h). Sometimes, the proteinuria can reach nephrotic range, but there is no significant edema or hypoalbuminemia in these patients. 3. Glomerular scarring; some aggressive crescentic or proliferative GNs can result in segmental or global glomerular scarring. This is commonly seen in chronic ANCA-associated disease, sclerosing forms of IgA nephropathy and lupus nephritis, or in burnt-out MPGN.
Primary FSGS Idiopathic (primary) focal segmental sclerosis is a primary podocyte disease (“podocytopathy”) that is characterized by the presence of focal (some glomeruli) and segmental (portion of the tuft) glomerulosclerosis on light microscopy, diffuse or near-diffuse effacement of visceral epithelial cell foot processes ultrastructurally, and clinically, by nephrotic range proteinuria, usually associated with nephrotic syndrome
Histopathology:  Segmental (part of the tuft) and global (whole tuft) glomerulosclerosis involving some glomeruli (focal) Juxtamedullary glomeruli are first affected Affected segments may show wrinkling of the capillary loops, foam cell infiltration, accumulation of hyaline material, and the presence of adhesions (synechiae) to the Bowman’s capsule Segmental sclerosis may be at the vascular pole (perihilar), peripheral at the tubular pole of the tuft (“tip lesion”) or may involve segments between the poles (“intermediate”) Always associated with some level of tubular atrophy and interstitial fibrosis Preserved tubules may show prominent protein reabsorption granules Cellular variant: Hypercellularity, endocapillary proliferation, karyorrhexis, foam cells, “pseudocrescents” “ Tip lesion”: By some authors, it is considered to be a variant of FSGS (controversial). This can be a predominant lesion in some cases, characterized by segmental sclerosis with adhesion of the tuft to the tubular pole, sometimes with protrusion into the tubule Immunofluorescence:  There may be mild fine granular deposition of IgM and C3 in the mesangium; commonly, there is strong, irregular segmental reactivity of the tuft for IgM and C3.
Electron microscopy:  Visceral epithelial cells: Diffuse or near-diffuse effacement of visceral epithelial cell foot processes, microvillous degeneration, and detachment of foot processes from the GBMs in some areas Glomerular basement membranes: Wrinkling and segmental irregularities of basement membranes, subendothelial hyaline deposition, and endocapillary foam cell infiltration Glomerular endothelial cells: Loss of fenestrations and other non-specific changes; they do not contain tubuloreticular structures Mesangium: May be mildly expanded or sclerotic; electron-dense deposits are not present, but deposition of hyaline material is common
 
 
 
HISTOLOGIC VARIANTS — Several morphologic variants of FGS as observed with light microscopy have been defined [9]. This schema assumes that renal scarring due to other primary glomerular diseases has been excluded as a diagnostic possibility. Since this system is based upon sampling from a renal biopsy, the number of glomeruli that are available for accurate classification is often limited, resulting in some degree of uncertainty [10]. Expertise of the pathologist in reading renal biopsies is essential. These histologic variants, which can be found with primary as well as some other forms of FGS, are [9,12]: * Classic FGS, also called FGS NOS (Not Otherwise Specified), is the most common form * Collapsing variant * Tip variant * Perihilar variant * Cellular variant
Classical/NOS variant
Collapsing variant
Tip variant
Perihilar variant
Cellular variant
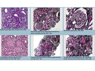
Secondary FSGS Definition:  Focal sclerosis secondary to functional and structural adaptations is a pattern of injury that occurs in various primary glomerular, tubulointerstitial, or vascular processes and diseases that result in structural and functional adaptive responses and nephronal loss. Practically, any type of glomerular disease, including a number of immune complex-mediated diseases, can lead to glomerular scarring and segmental and global glomerulosclerosis; these chronic glomerulonephritides will be described separately [see MPGN and Chronic sclerosing IgA nephropathy and lupus nephritis (class VI)]. Only non-immune complex-mediated processes will herein be described under secondary focal sclerosis
Etiology:  Obesity, sickle cell disease, reflux nephropathy, solitary kidney, etc., are predisposing conditions. Hemodynamic adaptive changes in functioning glomeruli, which occur due to nephronal loss, induce mechanical stress on podocyte-basement membrane bonding and cause podocyte detachment and GBM denudation; this is essential for formation of adhesions (synechiae) to the Bowman's capsule
Histopathology:  Glomerular hypertrophy Focal global and segmental glomerulosclerosis, with hyaline entrapment Patchy interstitial fibrosis and tubular atrophy Some tubules may be enlarged (compensatory hypertrophy) in advanced tubulointerstitial scarring Immunofluorescence:  There may be mild fine granular deposition of IgM and C3 in the mesangium and irregular segmental reactivity of the tuft for IgM and C3
Electron microscopy:  Visceral epithelial cells: Focal effacement of visceral epithelial cell foot processes Glomerular basement membranes: Wrinkling and segmental irregularities of basement membranes, subendothelial hyaline deposition, or endocapillary foam cell infiltration Glomerular endothelial cells: Loss of fenestrations and other non-specific changes; they do not contain tubuloreticular structures Mesangium: May be mildly expanded or sclerotic; electron-dense deposits are not present, but deposition of hyaline material is common
 
 
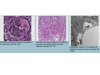
Collapsing Gomerulopathy/FSGS Collapsing glomerulopathy is a primary podocyte disease (“podocytopathy”) that is characterized by dedifferentiated and dysregulated podocyte phenotype, with glomerular capillary collapse and formation of “pseudocrescents” due to podocyte proliferation on light microscopy; clinically, this entity is associated with severe, sometimes massive proteinuria and frequently occurs in immunocompromised patients.
Etiology:  The disease is idiopathic (primary) in two-thirds of cases; another third is HIV-associated {1}. A common feature is compromised immune status. Rare associations have been made with other viral infections (e.g., parvovirus B19) and use of certain drugs (e.g., pamidronate) {2} Clinical:  Occurs at all ages, more commonly in African Americans Severe proteinuria with or without nephrotic syndrome Steroid resistance The disease is usually rapidly progressive to end stage disease (usually within a year after diagnosis)
Histopathology:  Affected glomeruli exhibit segmental or global capillary collapse and formation of “pseudocrescents” (enlargement and proliferation of epithelial cells, sometimes filling up the urinary space, frequently with intracytoplasmic protein reabsorption granules and sometimes with mitotic figures; unlike the “true” crescents, the cells are less spindly and cohesive, and there is no extracellular fibrin deposition or necrosis) Affected segments show wrinkling of the capillary loops, with global or segmental collapse; best appreciated using JMS stain Segmental sclerosis may or may not be present Tubular atrophy, interstitial fibrosis, and interstitial inflammation are commonly present Preserved tubules may show prominent protein reabsorption granules Many tubules show various degenerative and regenerative changes, including microcystic dilatation of the tubules, low epithelial lining, mitotic figures and nuclear enlargement Immunofluorescence:  There may be mild fine granular deposition of IgM and C3 in the mesangium; commonly, there is strong, irregular segmental reactivity of the tuft for IgM and C3.
Electron microscopy:  Visceral epithelial cells: Crowding of the podocytes over collapsed capillary loops. Extensive effacement of visceral epithelial cell foot processes. Microvillous degeneration and prominent vacuolization of the epithelial cell cytoplasm. Detachment of foot processes from the basement membranes in some areas. Loss of cytoskeletal microfilaments and loss of primary podocyte projections {3} Glomerular basement membranes: Extensive collapse of capillary loops. Wrinkling and segmental irregularities of basement membranes. Subendothelial hyaline deposition Glomerular endothelial cells: Tubuloreticular structures are commonly seen in HIVAN; their presence is not, however, diagnostic of HIV infection Mesangium: May be mildly expanded or sclerotic. Electron-dense deposits are not present
 
 
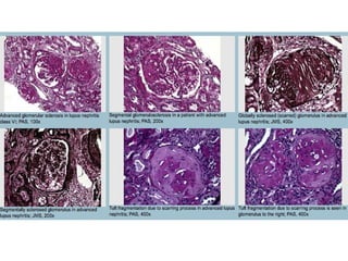
Lupus nephritis Class VI Lupus nephritis is a spectrum of immune complex-mediated renal diseases occurring in patients with the diagnosis of systemic lupus erythematosus (SLE). Class VI lupus nephritis is defined by the presence of advanced glomerulosclerosis, involving more than 90 percent of glomeruli, without residual activity.
Histopathology:  Glomerulosclerosis involving more than 90 percent of glomeruli Preserved glomeruli reveal mesangial expansion and hypercellularity Silver stain may reveal basement membrane irregularities and segmental “spikes” and “craters” in peripheral capillary loops of preserved glomeruli Different degrees of tubulointerstitial scarring may be present Vascular sclerosis is commonly pronounced in patients with lupus nephritis, especially those with concurrent antiphospholipid antibody syndrome; those patients may develop thrombotic angiopathy Immunofluorescence:  'Full house' reactivity
Electron microscopy:  Visceral epithelial cells: May show degenerative changes and various degrees of foot process effacement. Some subepithelial deposits are typically seen Glomerular basement membranes: May show intramembranous defects and electron-dense and lucent deposits. Double contours with or without deposits can be seen Glomerular endothelial cells: May contain tubuloreticular inclusions. Loss of fenestrations is common Mesangium: Expanded by increase in cellular elements and extracellular matrix with sometimes large and confluent fine granular, electron-dense deposits. Electron lucent deposits and cellular debris can also be seen in the mesangium
 
 

Focal Glomerulosclerosis

  • 1.
  • 2.
    Definition: Glomerulosclerosisis a non-specific finding on light microscopic examination that can be seen in any primary glomerular, tubulointerstitial, or vascular kidney disease. It can be segmental (less than half of glomerulus), global (more than half or entire glomerulus), focal (less than 50% of all glomeruli), or diffuse (more than 50% of all glomeruli). There are several different classifications of focal sclerosis in the literature, but the basic one includes three (3) different categories of diseases that can present with this histologic pattern of glomerular injury: 1. Primary (idiopathic) focal sclerosis; a primary podocyte disease ('podocytopathy') that presents with nephrotic syndrome and diffuse or near-diffuse effacement of visceral epithelial cell foot processes 2. Global and segmental glomerulosclerosis secondary to functional and structural adaptations; this is a secondary form of focal sclerosis that occurs as a result of nephronal loss sustained due to any primary glomerular, tubulointerstitial, or vascular disease. The preserved glomeruli are enlarged (compensatory hypertrophy), there is only focal effacement of foot processes, and the patients have slowly-progressive proteinuria, usually subnephrotic range (1-2 g/24h). Sometimes, the proteinuria can reach nephrotic range, but there is no significant edema or hypoalbuminemia in these patients. 3. Glomerular scarring; some aggressive crescentic or proliferative GNs can result in segmental or global glomerular scarring. This is commonly seen in chronic ANCA-associated disease, sclerosing forms of IgA nephropathy and lupus nephritis, or in burnt-out MPGN.
  • 3.
    Primary FSGS Idiopathic(primary) focal segmental sclerosis is a primary podocyte disease (“podocytopathy”) that is characterized by the presence of focal (some glomeruli) and segmental (portion of the tuft) glomerulosclerosis on light microscopy, diffuse or near-diffuse effacement of visceral epithelial cell foot processes ultrastructurally, and clinically, by nephrotic range proteinuria, usually associated with nephrotic syndrome
  • 4.
    Histopathology: Segmental(part of the tuft) and global (whole tuft) glomerulosclerosis involving some glomeruli (focal) Juxtamedullary glomeruli are first affected Affected segments may show wrinkling of the capillary loops, foam cell infiltration, accumulation of hyaline material, and the presence of adhesions (synechiae) to the Bowman’s capsule Segmental sclerosis may be at the vascular pole (perihilar), peripheral at the tubular pole of the tuft (“tip lesion”) or may involve segments between the poles (“intermediate”) Always associated with some level of tubular atrophy and interstitial fibrosis Preserved tubules may show prominent protein reabsorption granules Cellular variant: Hypercellularity, endocapillary proliferation, karyorrhexis, foam cells, “pseudocrescents” “ Tip lesion”: By some authors, it is considered to be a variant of FSGS (controversial). This can be a predominant lesion in some cases, characterized by segmental sclerosis with adhesion of the tuft to the tubular pole, sometimes with protrusion into the tubule Immunofluorescence: There may be mild fine granular deposition of IgM and C3 in the mesangium; commonly, there is strong, irregular segmental reactivity of the tuft for IgM and C3.
  • 5.
    Electron microscopy: Visceral epithelial cells: Diffuse or near-diffuse effacement of visceral epithelial cell foot processes, microvillous degeneration, and detachment of foot processes from the GBMs in some areas Glomerular basement membranes: Wrinkling and segmental irregularities of basement membranes, subendothelial hyaline deposition, and endocapillary foam cell infiltration Glomerular endothelial cells: Loss of fenestrations and other non-specific changes; they do not contain tubuloreticular structures Mesangium: May be mildly expanded or sclerotic; electron-dense deposits are not present, but deposition of hyaline material is common
  • 6.
  • 7.
  • 8.
  • 9.
    HISTOLOGIC VARIANTS —Several morphologic variants of FGS as observed with light microscopy have been defined [9]. This schema assumes that renal scarring due to other primary glomerular diseases has been excluded as a diagnostic possibility. Since this system is based upon sampling from a renal biopsy, the number of glomeruli that are available for accurate classification is often limited, resulting in some degree of uncertainty [10]. Expertise of the pathologist in reading renal biopsies is essential. These histologic variants, which can be found with primary as well as some other forms of FGS, are [9,12]: * Classic FGS, also called FGS NOS (Not Otherwise Specified), is the most common form * Collapsing variant * Tip variant * Perihilar variant * Cellular variant
  • 10.
  • 11.
  • 12.
  • 13.
  • 14.
  • 15.
    Secondary FSGS Definition: Focal sclerosis secondary to functional and structural adaptations is a pattern of injury that occurs in various primary glomerular, tubulointerstitial, or vascular processes and diseases that result in structural and functional adaptive responses and nephronal loss. Practically, any type of glomerular disease, including a number of immune complex-mediated diseases, can lead to glomerular scarring and segmental and global glomerulosclerosis; these chronic glomerulonephritides will be described separately [see MPGN and Chronic sclerosing IgA nephropathy and lupus nephritis (class VI)]. Only non-immune complex-mediated processes will herein be described under secondary focal sclerosis
  • 16.
    Etiology: Obesity,sickle cell disease, reflux nephropathy, solitary kidney, etc., are predisposing conditions. Hemodynamic adaptive changes in functioning glomeruli, which occur due to nephronal loss, induce mechanical stress on podocyte-basement membrane bonding and cause podocyte detachment and GBM denudation; this is essential for formation of adhesions (synechiae) to the Bowman's capsule
  • 17.
    Histopathology: Glomerularhypertrophy Focal global and segmental glomerulosclerosis, with hyaline entrapment Patchy interstitial fibrosis and tubular atrophy Some tubules may be enlarged (compensatory hypertrophy) in advanced tubulointerstitial scarring Immunofluorescence: There may be mild fine granular deposition of IgM and C3 in the mesangium and irregular segmental reactivity of the tuft for IgM and C3
  • 18.
    Electron microscopy: Visceral epithelial cells: Focal effacement of visceral epithelial cell foot processes Glomerular basement membranes: Wrinkling and segmental irregularities of basement membranes, subendothelial hyaline deposition, or endocapillary foam cell infiltration Glomerular endothelial cells: Loss of fenestrations and other non-specific changes; they do not contain tubuloreticular structures Mesangium: May be mildly expanded or sclerotic; electron-dense deposits are not present, but deposition of hyaline material is common
  • 19.
  • 20.
  • 21.
    Collapsing Gomerulopathy/FSGS Collapsingglomerulopathy is a primary podocyte disease (“podocytopathy”) that is characterized by dedifferentiated and dysregulated podocyte phenotype, with glomerular capillary collapse and formation of “pseudocrescents” due to podocyte proliferation on light microscopy; clinically, this entity is associated with severe, sometimes massive proteinuria and frequently occurs in immunocompromised patients.
  • 22.
    Etiology: Thedisease is idiopathic (primary) in two-thirds of cases; another third is HIV-associated {1}. A common feature is compromised immune status. Rare associations have been made with other viral infections (e.g., parvovirus B19) and use of certain drugs (e.g., pamidronate) {2} Clinical: Occurs at all ages, more commonly in African Americans Severe proteinuria with or without nephrotic syndrome Steroid resistance The disease is usually rapidly progressive to end stage disease (usually within a year after diagnosis)
  • 23.
    Histopathology: Affectedglomeruli exhibit segmental or global capillary collapse and formation of “pseudocrescents” (enlargement and proliferation of epithelial cells, sometimes filling up the urinary space, frequently with intracytoplasmic protein reabsorption granules and sometimes with mitotic figures; unlike the “true” crescents, the cells are less spindly and cohesive, and there is no extracellular fibrin deposition or necrosis) Affected segments show wrinkling of the capillary loops, with global or segmental collapse; best appreciated using JMS stain Segmental sclerosis may or may not be present Tubular atrophy, interstitial fibrosis, and interstitial inflammation are commonly present Preserved tubules may show prominent protein reabsorption granules Many tubules show various degenerative and regenerative changes, including microcystic dilatation of the tubules, low epithelial lining, mitotic figures and nuclear enlargement Immunofluorescence: There may be mild fine granular deposition of IgM and C3 in the mesangium; commonly, there is strong, irregular segmental reactivity of the tuft for IgM and C3.
  • 24.
    Electron microscopy: Visceral epithelial cells: Crowding of the podocytes over collapsed capillary loops. Extensive effacement of visceral epithelial cell foot processes. Microvillous degeneration and prominent vacuolization of the epithelial cell cytoplasm. Detachment of foot processes from the basement membranes in some areas. Loss of cytoskeletal microfilaments and loss of primary podocyte projections {3} Glomerular basement membranes: Extensive collapse of capillary loops. Wrinkling and segmental irregularities of basement membranes. Subendothelial hyaline deposition Glomerular endothelial cells: Tubuloreticular structures are commonly seen in HIVAN; their presence is not, however, diagnostic of HIV infection Mesangium: May be mildly expanded or sclerotic. Electron-dense deposits are not present
  • 25.
  • 26.
  • 27.
    Lupus nephritis ClassVI Lupus nephritis is a spectrum of immune complex-mediated renal diseases occurring in patients with the diagnosis of systemic lupus erythematosus (SLE). Class VI lupus nephritis is defined by the presence of advanced glomerulosclerosis, involving more than 90 percent of glomeruli, without residual activity.
  • 28.
    Histopathology: Glomerulosclerosisinvolving more than 90 percent of glomeruli Preserved glomeruli reveal mesangial expansion and hypercellularity Silver stain may reveal basement membrane irregularities and segmental “spikes” and “craters” in peripheral capillary loops of preserved glomeruli Different degrees of tubulointerstitial scarring may be present Vascular sclerosis is commonly pronounced in patients with lupus nephritis, especially those with concurrent antiphospholipid antibody syndrome; those patients may develop thrombotic angiopathy Immunofluorescence: 'Full house' reactivity
  • 29.
    Electron microscopy: Visceral epithelial cells: May show degenerative changes and various degrees of foot process effacement. Some subepithelial deposits are typically seen Glomerular basement membranes: May show intramembranous defects and electron-dense and lucent deposits. Double contours with or without deposits can be seen Glomerular endothelial cells: May contain tubuloreticular inclusions. Loss of fenestrations is common Mesangium: Expanded by increase in cellular elements and extracellular matrix with sometimes large and confluent fine granular, electron-dense deposits. Electron lucent deposits and cellular debris can also be seen in the mesangium
  • 30.
  • 31.