IgA NEPHROPATHY
Lecture 44
IgA nephropathy
IgA nephritis
Berger's disease,
Berger's syndrome
Synpharyngiticglomerulonephritis
IgA Nephropathy (Berger Disease)
• Characterized by the presence of prominent
IgA deposits in the
mesangial
regions, detected by immunofluorescence
microscopy.
IgA Nephropathy
• The disease can be suspected by light
microscopic examination, but
the diagnosis is made only
by immunocytochemical
techniques
IgA Nephropathy
• The disease can be suspected by light
microscopic examination, but
the diagnosis is made only
by immunocytochemical
techniques
IgA Nephropathy
• Whereas IgA nephropathy is typically an
isolated renal disease, similar IgA deposits
are present in a systemic disorder of
children, Henoch-Schönlein purpura which
has many overlapping features with IgA
nephropathy. In addition, secondary IgA
nephropathy occurs in patients with liver and
intestinal diseases.
Pathogenesis
• IgA, the main Ig in mucosal secretions, is
present in plasma at low concentrations,
mostly in monomeric form,
the polymeric forms
being catabolized in
the liver.
Pathogenesis
• In IgA nephropathy, plasma polymeric IgA is
increased, and circulating IgA-
containing immune complexes
are present in some patients.
IgA Nephropathy
It is clear that increased production of IgA
cannot itself cause this disease. Although
there are two subclasses of IgA molecules in
humans (IgA1 and IgA2), Only IgA1
forms the nephritogenic deposits of IgA
nephropathy.
IgA Nephropathy (Berger Disease)
Pathogenesis
• The prominent mesangial deposition of IgA
suggests entrapment of IgA immune
complexes in the mesangium, and the
presence of C3 combined with the absence of
C1q and C4 in glomeruli points to activation
of the alternative complement pathway and
initiate glomerular injury. .
IgA Nephropathy (Berger Disease)
• A genetic influence is suggested by the
occurrence of this condition in families and
in HLA-identical brothers and the increased
frequency of certain HLA and complement
genotypes in some populations.
Pathogenesis
• A genetic or acquired abnormality of
immune regulation leading to
increased IgA synthesis in response
to respiratory or gastrointestinal exposure to
environmental agents (e.g., viruses, bacteria,
food proteins).
Pathogenesis
• IgA1 and IgA1-containing
immune complexes are then
trapped in the mesangium,
where they activate the
alternative complement
pathway and initiate glomerular
injury.
Pathogenesis- Secondary IgA nephropathy
• IgA nephropathy occurs with increased
frequency in individuals with gluten
enteropathy (celiac disease), in whom
intestinal mucosal defects are well defined,
and in liver disease, in which there is
defective hepatobiliary clearance of IgA
complexes (secondary IgA nephropathy).
Pathogenesis
• Alternatively, there is evidence for
qualitative alterations in the IgA1
molecule itself, specifically a defect in
normal galactosylation that makes it
immunogenic, giving rise to autoantibodies
against the IgA1 that form immune
complexes that deposit in the mesangium.
Morphology
On histologic examination the lesions vary considerably.
1.The glomeruli may be normal or may show
2. mesangial widening and endocapillary
proliferation (mesangioproliferative
glomerulonephritis),
3.segmental proliferation confined to some
glomeruli (focal proliferative glomerulonephritis),
4. or rarely, overt crescentic glomerulonephritis.
5.The presence of leukocytes within glomerular
capillaries is a variable feature.
LM
• Mesangial Proliferation
• Matrix increase
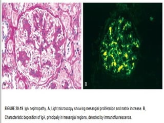
Morphology- Immunofluorescence
• The characteristic immunofluorescent picture
is of mesangial deposition of IgA,
often with C3 and properdin and
lesser amounts of IgG or IgM.
• Early complement components are usually
absent.
Clinical Features
The disease affects people of any age, but older
children and young adults are most commonly
affected.
Many patients present with gross hematuria
after an infection of the respiratory
or, less commonly, gastrointestinal
or urinary tract.
Clinical Features
• 30% to 40% have only microscopic
hematuria, with or without proteinuria; and
5% to 10% develop a typical
acute nephritic
syndrome.
Clinical Features
• The hematuria typically lasts for
several days and then subsides,
only to return every few months.
The subsequent course is highly variable.
Clinical Features
• Many patients maintain normal renal
function for decades. Slow progression to
chronic renal failure
occurs in 15% to 40% of cases over a
period of 20 years.
Clinical Features
• Onset in old age, heavy proteinuria,
hypertension, and the extent of
glomerulosclerosis on biopsy are clues to an
increased risk of progression.
• Recurrence of IgA deposits in transplanted
kidneys is frequent.
Clinical Features
• In approximately 15% of those with recurrent
IgA deposits, there is resulting clinical
disease, which most frequently runs the
same slowly progressive course as that of the
primary IgA nephropathy.
Ig a nephropathy

Ig a nephropathy

  • 1.
  • 2.
    IgA nephropathy IgA nephritis Berger'sdisease, Berger's syndrome Synpharyngiticglomerulonephritis
  • 3.
    IgA Nephropathy (BergerDisease) • Characterized by the presence of prominent IgA deposits in the mesangial regions, detected by immunofluorescence microscopy.
  • 4.
    IgA Nephropathy • Thedisease can be suspected by light microscopic examination, but the diagnosis is made only by immunocytochemical techniques
  • 5.
    IgA Nephropathy • Thedisease can be suspected by light microscopic examination, but the diagnosis is made only by immunocytochemical techniques
  • 7.
    IgA Nephropathy • WhereasIgA nephropathy is typically an isolated renal disease, similar IgA deposits are present in a systemic disorder of children, Henoch-Schönlein purpura which has many overlapping features with IgA nephropathy. In addition, secondary IgA nephropathy occurs in patients with liver and intestinal diseases.
  • 8.
    Pathogenesis • IgA, themain Ig in mucosal secretions, is present in plasma at low concentrations, mostly in monomeric form, the polymeric forms being catabolized in the liver.
  • 9.
    Pathogenesis • In IgAnephropathy, plasma polymeric IgA is increased, and circulating IgA- containing immune complexes are present in some patients.
  • 10.
    IgA Nephropathy It isclear that increased production of IgA cannot itself cause this disease. Although there are two subclasses of IgA molecules in humans (IgA1 and IgA2), Only IgA1 forms the nephritogenic deposits of IgA nephropathy.
  • 11.
    IgA Nephropathy (BergerDisease) Pathogenesis • The prominent mesangial deposition of IgA suggests entrapment of IgA immune complexes in the mesangium, and the presence of C3 combined with the absence of C1q and C4 in glomeruli points to activation of the alternative complement pathway and initiate glomerular injury. .
  • 12.
    IgA Nephropathy (BergerDisease) • A genetic influence is suggested by the occurrence of this condition in families and in HLA-identical brothers and the increased frequency of certain HLA and complement genotypes in some populations.
  • 13.
    Pathogenesis • A geneticor acquired abnormality of immune regulation leading to increased IgA synthesis in response to respiratory or gastrointestinal exposure to environmental agents (e.g., viruses, bacteria, food proteins).
  • 14.
    Pathogenesis • IgA1 andIgA1-containing immune complexes are then trapped in the mesangium, where they activate the alternative complement pathway and initiate glomerular injury.
  • 15.
    Pathogenesis- Secondary IgAnephropathy • IgA nephropathy occurs with increased frequency in individuals with gluten enteropathy (celiac disease), in whom intestinal mucosal defects are well defined, and in liver disease, in which there is defective hepatobiliary clearance of IgA complexes (secondary IgA nephropathy).
  • 16.
    Pathogenesis • Alternatively, thereis evidence for qualitative alterations in the IgA1 molecule itself, specifically a defect in normal galactosylation that makes it immunogenic, giving rise to autoantibodies against the IgA1 that form immune complexes that deposit in the mesangium.
  • 17.
    Morphology On histologic examinationthe lesions vary considerably. 1.The glomeruli may be normal or may show 2. mesangial widening and endocapillary proliferation (mesangioproliferative glomerulonephritis), 3.segmental proliferation confined to some glomeruli (focal proliferative glomerulonephritis), 4. or rarely, overt crescentic glomerulonephritis. 5.The presence of leukocytes within glomerular capillaries is a variable feature.
  • 18.
  • 19.
    Morphology- Immunofluorescence • Thecharacteristic immunofluorescent picture is of mesangial deposition of IgA, often with C3 and properdin and lesser amounts of IgG or IgM. • Early complement components are usually absent.
  • 21.
    Clinical Features The diseaseaffects people of any age, but older children and young adults are most commonly affected. Many patients present with gross hematuria after an infection of the respiratory or, less commonly, gastrointestinal or urinary tract.
  • 22.
    Clinical Features • 30%to 40% have only microscopic hematuria, with or without proteinuria; and 5% to 10% develop a typical acute nephritic syndrome.
  • 23.
    Clinical Features • Thehematuria typically lasts for several days and then subsides, only to return every few months. The subsequent course is highly variable.
  • 24.
    Clinical Features • Manypatients maintain normal renal function for decades. Slow progression to chronic renal failure occurs in 15% to 40% of cases over a period of 20 years.
  • 25.
    Clinical Features • Onsetin old age, heavy proteinuria, hypertension, and the extent of glomerulosclerosis on biopsy are clues to an increased risk of progression. • Recurrence of IgA deposits in transplanted kidneys is frequent.
  • 26.
    Clinical Features • Inapproximately 15% of those with recurrent IgA deposits, there is resulting clinical disease, which most frequently runs the same slowly progressive course as that of the primary IgA nephropathy.