Heymann Nephritis
• An experimental rat model of human
membranous nephropathy
characterized by complement activation
and formation...
Membranoproliferative
Glomerulonephritis
Mesangiocapillary
Glomerulonephritis
Lobular
Glomerulonephritis
Membranoproliferative
glomerulonephritis
MPG, also known as mesangiocapillary
glomerulonephritis, is a type of
glomerulonephritis caused by
• Deposits in mesangium
• GBM thickening,
• Activating complement &
Damaging the glomeruli.
MPGN
• MPGN accounts for approximately 4% of
primary renal causes of
nephritic
syndrome in children and 7% in
adults.
MPGN/ MGN
• It should not be confused with
membranous glomerulonephritis,
a condition in where the
basement membrane is
thickened, but the mesangium is
not.
MPGN
• Because the proliferation is predominantly
in the mesangium but also may involve the
capillary loops, a frequently used synonym is
mesangiocapillary
glomerulonephritis.
Capillary Wall: Endothelial cells, GBM,
Podocytes
• The glomerular capillary wall is the filtering
membrane and consists of the following
structures:
• 1.
• 2. GBM
• 3. The visceral epithelial cells (podocytes)
with 20-30nm slits, foot processes & slit m.
A thin layer of fenestrated endothelial cells, each
fenestrum being about 70 to 100 nm in diameter
Mesangial Cells
• The entire glomerular tuft is supported by
mesangial cells lying between
the capillaries.
• Basement membrane–like
mesangial matrix forms a meshwork
through which the mesangial cells are
centered.
Mesangial Cells
• These cells, of mesenchymal origin,
are contractile, phagocytic, and
capable of proliferation, of laying
down both matrix and collagen, and
of secreting several biologically
active mediators.
Types of Primary MPGN
Primary MPGN
• Primary MPGN is divided into two major
types on the basis of distinct
ultrastructural, immunofluorescent, and
pathologic findings:
• Type I and
• Type II MPGN (dense-deposit disease).
Hypocomplementemia
•Type 1
–Activation of classical pathway: normal or low
C3, low C1, C4 and low CH50
•Type 2
–Activation of alternate complement pathway:
low C3, normal C1, C4, low CH50
MPGN Type 1
• Most common Type
• Discrete immune deposits in the
mesangium and subendothelial
space,from circulating immune complexes, this
causes mesangial proliferation and
extension into the
subendothelial zone.
Circulating Immune Complex Glomerulonephritis
• In this type of nephritis glomerular injury is
caused by the trapping of circulating antigen-
antibody complexes within glomeruli. The
antibodies have no immunological specificity
for glomerular constituents, and the
complexes localize within the glomeruli
because of their physicochemical properties
and the hemodynamic factors peculiar to the
glomerulus.
Localization of immune complexes in the glomerulus: (1) subepithelial humps, as in acute
glomerulonephritis; (2) epimembranous deposits, as in membranous nephropathy and Heymann
glomerulonephritis; (3) subendothelial deposits, as in lupus nephritis and membranoproliferative
glomerulonephritis; (4) mesangial deposits, as in IgA nephropathy; (5) basement membrane. EN,
endothelium; EP, epithelium; LD, lamina densa; LRE, lamina rara externa; LRI, lamina rara interna; MC,
mesangial cell; MM, mesangial matrix.
Pathogenesis (type I)
• The antigens involved in idiopathic MPGN
are unknown.
• In many cases they are believed to be
proteins derived from
infectious agents such as
hepatitis C and B viruses.
Primary MPGN
Type 2 (Dense Deposit Disease)
• 15-35% of total MPGN cases
• Characterized by a pathognomonic electron-dense
transformation of GBMs and extensive
complement deposition
• Immunofluorescence is positive for C3
but negative for immunoglobulins
Type II MPGN
• Antigens presumably behave either as
“planted” antigens after first binding to or
becoming trapped within glomerular
structures or are contained in preformed
immune complexes deposited from the
circulation.
Type 2 (Dense Deposit Disease)
• Recurs after renal transplant over 90% of cases
• Most have circulating IgG antibody (C3
nephritic factor) that stabilize C3bBb, C3
convertase of alternate pathway, resulted in
continuous C3 breakdown. – low C3
• Higher hypocomplementemia and
• worse prognosis
Pathogenesis (type II)
• They also have diminished serum levels of
factor B and properdin,
components of the alternative complement
pathway.
• In the glomeruli, C3 and properdin are
deposited, but IgG is not.
• In the alternative complement pathway, C3 is
directly cleaved to C3b. The reaction depends
on the initial interaction of C3 with such
substances as bacterial polysaccharides,
endotoxin, and aggregates of IgA in the
presence of factors B and D. This leads to the
generation of C3bBb, the alternative
pathway C3 convertase.
• This C3 convertase is labile, being degraded by
factors I and H, but it can be stabilized by
properdin.
The alternative complement pathway in MPGN. Note that C3NeF, an antibody present in the
serum of individuals with membranoproliferative glomerulonephritis, acts at the same step as
properdin, serving to stabilize the alternative pathway C3 convertase, thus enhancing C3
activation and consumption, causing hypocomplementemia.
Pathogenesis (type II)
• More than 70% of patients with dense-
deposit disease have a circulating antibody
termed C3 nephritic factor
(C3NeF), which is an autoantibody that binds
to the alternative pathway C3 convertase.
Pathogenesis Type II
• Binding of the antibody
stabilizes the convertase,
protecting it from enzymatic
degradation and thus favoring
persistent C3 activation and
hypocomplementemia.
Pathogenesis Type II MPGN
•There is also decreased C3
synthesis by the liver,
further contributing to the
profound
hypocomplementemia.
Pathogenesis Type II MPGN
•Precisely how C3NeF is
related to glomerular
injury and the nature of
the dense deposits is
unknown.
Pathogenesis Type II MPGN
• C3NeF activity also occurs in
some patients with a genetically
determined disease, partial
lipodystrophy, some of whom
develop dense-deposit disease
(type II MPGN).
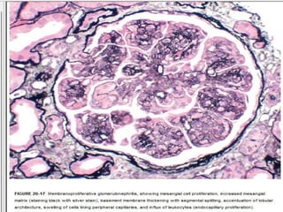
MORPHOLOGY
MPGN is characterized histologically by
• GBM thickening
• Proliferation of glomerular cells,
• Leukocyte infiltration.
Morphology of MPGN
By light microscopy both types of
MPGN are similar. The glomeruli are
Large &
hypercellular
Hypercellularity
Some inflammatory diseases of the glomerulus are
characterized by an increase in the number of cells
in the glomerular tufts. This hypercellularity is
characterized by one or more combinations of the
following:
1. • Cellular proliferation of mesangial or
endothelial cells.
2. • Leukocytic infiltration
3.• Formation of crescents.
Formation of crescents
These are accumulations of cells composed of
proliferating parietal epithelial cells and
infiltrating leukocytes.
The epithelial cell proliferation that
characterizes crescent formation occurs
following an immune/inflammatory injury.
Fibrin, which leaks into the urinary space,
often through ruptured basement
membranes, has been long thought to be the
molecule that elicits the crescentic response.
Crescent Formation
• Other molecules that have been implicated
in crescent formation and recruitment of
leukocytes into crescents include
procoagulants such as tissue factor and
cytokines such as interleukin-1 (IL-1),
tumor necrosis factor (TNF), and
interferon-γ.
Morphology of MPGN
• Crescents are present in many cases.
The glomeruli have an
“lobular”
appearance due to the
proliferating mesangial cells and
increased mesangial matrix.
Morphology of MPGN
•
The GBM is thickened.
• The glomerular capillary wall often
shows a “double-contour”
or “tram-track”appearance.
Morphologyof MPGN
Within the duplicated basement membranes
there is inclusion or interposition of cellular
elements, appearance of
“split”basement membranes.
Morphology Type I
Types I and II MPGN differ in their ultrastructural
and immunofluorescent features.
EM: Type I MPGN is characterized by the presence of
discrete
subendothelial
electron-dense
deposits.
Morphology type I
• By immunofluorescence,
C3 is deposited in a granular pattern,
and IgG and early complement components
(C1q and C4) are often also present,
suggesting an
immune complex pathogenesis.
Schematic representation of a
glomerular lobe.
Light Microscopy
Electron Micrograph
Immunofluorescence
Morphology of MPGN II
• In dense-deposit disease (type II MPGN), a
relatively rare entity, the lamina densa of the
GBM is transformed into an irregular,
ribbon-like, extremely electron-
dense structure due to the deposition of
dense material of unknown composition in the
GBM proper.
Morphology of MPGN II
• C3 is present in irregular granular or linear
foci in the basement membranes on either
side but not within the dense deposits.
• C3 is also present in the mesangium in
characteristic circular aggregates (mesangial
rings).
• IgG is usually absent, as are the early-acting
complement components (C1q and C4).
Electron micrography
A, Membranoproliferative glomerulonephritis, type I. Note discrete electron-dense deposits (arrows) incorporated into
the glomerular capillary wall between duplicated (split) basement membranes (double arrows), and in mesangial regions
(M); CL, capillary lumen. B, Dense-deposit disease (type II membranoproliferative glomerulonephritis). There are
markedly dense homogeneous deposits within the basement membrane proper. CL, capillary lumen. In both, mesangial
interposition gives the appearance of split basement membranes when viewed in the light microscope. C, Schematic
representation of patterns in the two types of membranoproliferative GN. In type I there are subendothelial deposits;
type II is characterized by intramembranous dense deposits (dense-deposit disease). In both, mesangial interposition
gives the appearance of split basement membranes when viewed in the light microscope.
Type 3
• Similar to type 1 but subepithelial
deposits are prominent and complex
disruption of the GBM
• Inherited form of type 3 linked to
chromosome 1q32
Etiology
• Primary (idiopathic) vs. Secondary
• Autoimmune disorders – SLE, Sjogren’s, Rheumatoid arthiritis, hereditary
complement deficient state
• Infections – chronic infections rather than acute; Hep B, Hep C, SBE,
ventriculoatrial shunt infection, chronic visceral abscess, HIV, schistosomiasis,
malaria, leprosy.
• Thrombotic microangiopathies – transplant glomerulopathy,
antiphospholipid antibody syndrome, TTP/HUS, scleroderma
• Others – lipodystrophy, CLL, melanoma, alpha-1-antitrypsin deficiency, non-
Hodgkin’s, renal cell carcinoma
• Association with HIV in the absence of HCV not well known.
Severity of disease
• Renal function
• Urine protein excretion
• Histologic features such as necrosis, sclerosis,
tubular and vascular fibrosis are late in course
with less reversibility
• Kidney size (<9cm) and echogenic on US – no
benefit from disease-specific therapy
Clinical Features.
Most patients present in adolescence or as young
adults with nephrotic syndrome and a nephritic
component manifested by hematuria or, more
insidiously, as mild proteinuria.
Clinical features
Few remissions occur spontaneously in either
type, and the disease follows a slowly
progressive but unremitting course.
Clinical features
Some patients develop numerous crescents
and a clinical picture of RPGN.
About 50% develop chronic renal failure within
10 years.
Clinical features
Treatments with steroids, immunosuppressive
agents, and antiplatelet drugs have not been
proved to be materially effective.
Clinical features
• There is a high incidence of recurrence in
transplant recipients, particularly in dense-
deposit disease; dense deposits may recur in
90% of such patients, although renal failure
in the allograft is much less common.
Secondary MPGN
Secondary MPGN (invariably type I) is more common
in adults and arises in the following settings:
• Chronic immune complex disorders, such as SLE;
hepatitis B infection; hepatitis C infection, usually
with cryoglobulinemia; endocarditis; infected
ventriculoatrial shunts; chronic visceral abscesses;
HIV infection; and schistosomiasis.
SecondaryMPGN
• α1-Antitrypsin deficiency
• Malignant diseases (chronic lymphocytic
leukemia and lymphoma)
• Hereditary deficiencies of complement
regulatory proteins
Hepatitis C induced Type 1MPGN
• MPGN has been regarded as idiopathic for a long time until
found out many also have chronic Hep C.
• Strongly associated with cryoglobulinemia but mechanism is
not well known – intraluminal precipitates of immune
complexes involving the cryoglobulins.
Hepatitis C induced Type 1MPGN
• Incidence varies with location – uncommon in
France and South Africa, common in Japan
• Commonly presents after 10-15yrs of chronic
Hep C.
• Laboratory features : HCV antibody, HCV RNA
by PCR, high concentration of cryoglobulins,
positive RF and low complement.
Treatment
• Treatment goals include reduction of
symptoms, prevention of complications,
and slowed progression of the disorder.
• Treating secondary causes.
Treatment
• Idiopathic MPGN - spontaneous
improvement in <10%, 25-40% maintain
renal function, 50-60% to ESRD in 10years
• Corticosteroid – more commonly used in
children
Treatment
• Antiplatelet agents – uncertain but showed
some benefit with ASA and dipyridamole
(reduced the incidence of progression to
ESRD – 14 vs. 47% in 3-5 yrs)
• Immunosuppressive drugs – limited data
Treatment
• Dietary adjustments may include restrictions
on sodium, fluids, protein, or other
restrictions as appropriate to control high
blood pressure, swelling, and accumulation
of waste products in the bloodstream.
Membranoproliferative glomerulonephritis s

Membranoproliferative glomerulonephritis s

  • 1.
    Heymann Nephritis • Anexperimental rat model of human membranous nephropathy characterized by complement activation and formation...
  • 2.
  • 3.
    Membranoproliferative glomerulonephritis MPG, also knownas mesangiocapillary glomerulonephritis, is a type of glomerulonephritis caused by • Deposits in mesangium • GBM thickening, • Activating complement & Damaging the glomeruli.
  • 4.
    MPGN • MPGN accountsfor approximately 4% of primary renal causes of nephritic syndrome in children and 7% in adults.
  • 5.
    MPGN/ MGN • Itshould not be confused with membranous glomerulonephritis, a condition in where the basement membrane is thickened, but the mesangium is not.
  • 6.
    MPGN • Because theproliferation is predominantly in the mesangium but also may involve the capillary loops, a frequently used synonym is mesangiocapillary glomerulonephritis.
  • 7.
    Capillary Wall: Endothelialcells, GBM, Podocytes • The glomerular capillary wall is the filtering membrane and consists of the following structures: • 1. • 2. GBM • 3. The visceral epithelial cells (podocytes) with 20-30nm slits, foot processes & slit m. A thin layer of fenestrated endothelial cells, each fenestrum being about 70 to 100 nm in diameter
  • 8.
    Mesangial Cells • Theentire glomerular tuft is supported by mesangial cells lying between the capillaries. • Basement membrane–like mesangial matrix forms a meshwork through which the mesangial cells are centered.
  • 9.
    Mesangial Cells • Thesecells, of mesenchymal origin, are contractile, phagocytic, and capable of proliferation, of laying down both matrix and collagen, and of secreting several biologically active mediators.
  • 10.
  • 11.
    Primary MPGN • PrimaryMPGN is divided into two major types on the basis of distinct ultrastructural, immunofluorescent, and pathologic findings: • Type I and • Type II MPGN (dense-deposit disease).
  • 12.
    Hypocomplementemia •Type 1 –Activation ofclassical pathway: normal or low C3, low C1, C4 and low CH50 •Type 2 –Activation of alternate complement pathway: low C3, normal C1, C4, low CH50
  • 14.
    MPGN Type 1 •Most common Type • Discrete immune deposits in the mesangium and subendothelial space,from circulating immune complexes, this causes mesangial proliferation and extension into the subendothelial zone.
  • 15.
    Circulating Immune ComplexGlomerulonephritis • In this type of nephritis glomerular injury is caused by the trapping of circulating antigen- antibody complexes within glomeruli. The antibodies have no immunological specificity for glomerular constituents, and the complexes localize within the glomeruli because of their physicochemical properties and the hemodynamic factors peculiar to the glomerulus.
  • 16.
    Localization of immunecomplexes in the glomerulus: (1) subepithelial humps, as in acute glomerulonephritis; (2) epimembranous deposits, as in membranous nephropathy and Heymann glomerulonephritis; (3) subendothelial deposits, as in lupus nephritis and membranoproliferative glomerulonephritis; (4) mesangial deposits, as in IgA nephropathy; (5) basement membrane. EN, endothelium; EP, epithelium; LD, lamina densa; LRE, lamina rara externa; LRI, lamina rara interna; MC, mesangial cell; MM, mesangial matrix.
  • 17.
    Pathogenesis (type I) •The antigens involved in idiopathic MPGN are unknown. • In many cases they are believed to be proteins derived from infectious agents such as hepatitis C and B viruses. Primary MPGN
  • 18.
    Type 2 (DenseDeposit Disease) • 15-35% of total MPGN cases • Characterized by a pathognomonic electron-dense transformation of GBMs and extensive complement deposition • Immunofluorescence is positive for C3 but negative for immunoglobulins
  • 19.
    Type II MPGN •Antigens presumably behave either as “planted” antigens after first binding to or becoming trapped within glomerular structures or are contained in preformed immune complexes deposited from the circulation.
  • 20.
    Type 2 (DenseDeposit Disease) • Recurs after renal transplant over 90% of cases • Most have circulating IgG antibody (C3 nephritic factor) that stabilize C3bBb, C3 convertase of alternate pathway, resulted in continuous C3 breakdown. – low C3 • Higher hypocomplementemia and • worse prognosis
  • 21.
    Pathogenesis (type II) •They also have diminished serum levels of factor B and properdin, components of the alternative complement pathway. • In the glomeruli, C3 and properdin are deposited, but IgG is not.
  • 22.
    • In thealternative complement pathway, C3 is directly cleaved to C3b. The reaction depends on the initial interaction of C3 with such substances as bacterial polysaccharides, endotoxin, and aggregates of IgA in the presence of factors B and D. This leads to the generation of C3bBb, the alternative pathway C3 convertase. • This C3 convertase is labile, being degraded by factors I and H, but it can be stabilized by properdin.
  • 23.
    The alternative complementpathway in MPGN. Note that C3NeF, an antibody present in the serum of individuals with membranoproliferative glomerulonephritis, acts at the same step as properdin, serving to stabilize the alternative pathway C3 convertase, thus enhancing C3 activation and consumption, causing hypocomplementemia.
  • 24.
    Pathogenesis (type II) •More than 70% of patients with dense- deposit disease have a circulating antibody termed C3 nephritic factor (C3NeF), which is an autoantibody that binds to the alternative pathway C3 convertase.
  • 25.
    Pathogenesis Type II •Binding of the antibody stabilizes the convertase, protecting it from enzymatic degradation and thus favoring persistent C3 activation and hypocomplementemia.
  • 26.
    Pathogenesis Type IIMPGN •There is also decreased C3 synthesis by the liver, further contributing to the profound hypocomplementemia.
  • 27.
    Pathogenesis Type IIMPGN •Precisely how C3NeF is related to glomerular injury and the nature of the dense deposits is unknown.
  • 28.
    Pathogenesis Type IIMPGN • C3NeF activity also occurs in some patients with a genetically determined disease, partial lipodystrophy, some of whom develop dense-deposit disease (type II MPGN).
  • 29.
    MORPHOLOGY MPGN is characterizedhistologically by • GBM thickening • Proliferation of glomerular cells, • Leukocyte infiltration.
  • 30.
    Morphology of MPGN Bylight microscopy both types of MPGN are similar. The glomeruli are Large & hypercellular
  • 31.
    Hypercellularity Some inflammatory diseasesof the glomerulus are characterized by an increase in the number of cells in the glomerular tufts. This hypercellularity is characterized by one or more combinations of the following: 1. • Cellular proliferation of mesangial or endothelial cells. 2. • Leukocytic infiltration 3.• Formation of crescents.
  • 32.
    Formation of crescents Theseare accumulations of cells composed of proliferating parietal epithelial cells and infiltrating leukocytes. The epithelial cell proliferation that characterizes crescent formation occurs following an immune/inflammatory injury. Fibrin, which leaks into the urinary space, often through ruptured basement membranes, has been long thought to be the molecule that elicits the crescentic response.
  • 33.
    Crescent Formation • Othermolecules that have been implicated in crescent formation and recruitment of leukocytes into crescents include procoagulants such as tissue factor and cytokines such as interleukin-1 (IL-1), tumor necrosis factor (TNF), and interferon-γ.
  • 34.
    Morphology of MPGN •Crescents are present in many cases. The glomeruli have an “lobular” appearance due to the proliferating mesangial cells and increased mesangial matrix.
  • 35.
    Morphology of MPGN • TheGBM is thickened. • The glomerular capillary wall often shows a “double-contour” or “tram-track”appearance.
  • 36.
    Morphologyof MPGN Within theduplicated basement membranes there is inclusion or interposition of cellular elements, appearance of “split”basement membranes.
  • 37.
    Morphology Type I TypesI and II MPGN differ in their ultrastructural and immunofluorescent features. EM: Type I MPGN is characterized by the presence of discrete subendothelial electron-dense deposits.
  • 38.
    Morphology type I •By immunofluorescence, C3 is deposited in a granular pattern, and IgG and early complement components (C1q and C4) are often also present, suggesting an immune complex pathogenesis.
  • 39.
    Schematic representation ofa glomerular lobe.
  • 40.
  • 41.
  • 42.
  • 43.
    Morphology of MPGNII • In dense-deposit disease (type II MPGN), a relatively rare entity, the lamina densa of the GBM is transformed into an irregular, ribbon-like, extremely electron- dense structure due to the deposition of dense material of unknown composition in the GBM proper.
  • 44.
    Morphology of MPGNII • C3 is present in irregular granular or linear foci in the basement membranes on either side but not within the dense deposits. • C3 is also present in the mesangium in characteristic circular aggregates (mesangial rings). • IgG is usually absent, as are the early-acting complement components (C1q and C4).
  • 45.
  • 47.
    A, Membranoproliferative glomerulonephritis,type I. Note discrete electron-dense deposits (arrows) incorporated into the glomerular capillary wall between duplicated (split) basement membranes (double arrows), and in mesangial regions (M); CL, capillary lumen. B, Dense-deposit disease (type II membranoproliferative glomerulonephritis). There are markedly dense homogeneous deposits within the basement membrane proper. CL, capillary lumen. In both, mesangial interposition gives the appearance of split basement membranes when viewed in the light microscope. C, Schematic representation of patterns in the two types of membranoproliferative GN. In type I there are subendothelial deposits; type II is characterized by intramembranous dense deposits (dense-deposit disease). In both, mesangial interposition gives the appearance of split basement membranes when viewed in the light microscope.
  • 48.
    Type 3 • Similarto type 1 but subepithelial deposits are prominent and complex disruption of the GBM • Inherited form of type 3 linked to chromosome 1q32
  • 49.
    Etiology • Primary (idiopathic)vs. Secondary • Autoimmune disorders – SLE, Sjogren’s, Rheumatoid arthiritis, hereditary complement deficient state • Infections – chronic infections rather than acute; Hep B, Hep C, SBE, ventriculoatrial shunt infection, chronic visceral abscess, HIV, schistosomiasis, malaria, leprosy. • Thrombotic microangiopathies – transplant glomerulopathy, antiphospholipid antibody syndrome, TTP/HUS, scleroderma • Others – lipodystrophy, CLL, melanoma, alpha-1-antitrypsin deficiency, non- Hodgkin’s, renal cell carcinoma • Association with HIV in the absence of HCV not well known.
  • 50.
    Severity of disease •Renal function • Urine protein excretion • Histologic features such as necrosis, sclerosis, tubular and vascular fibrosis are late in course with less reversibility • Kidney size (<9cm) and echogenic on US – no benefit from disease-specific therapy
  • 51.
    Clinical Features. Most patientspresent in adolescence or as young adults with nephrotic syndrome and a nephritic component manifested by hematuria or, more insidiously, as mild proteinuria.
  • 52.
    Clinical features Few remissionsoccur spontaneously in either type, and the disease follows a slowly progressive but unremitting course.
  • 53.
    Clinical features Some patientsdevelop numerous crescents and a clinical picture of RPGN. About 50% develop chronic renal failure within 10 years.
  • 54.
    Clinical features Treatments withsteroids, immunosuppressive agents, and antiplatelet drugs have not been proved to be materially effective.
  • 55.
    Clinical features • Thereis a high incidence of recurrence in transplant recipients, particularly in dense- deposit disease; dense deposits may recur in 90% of such patients, although renal failure in the allograft is much less common.
  • 56.
    Secondary MPGN Secondary MPGN(invariably type I) is more common in adults and arises in the following settings: • Chronic immune complex disorders, such as SLE; hepatitis B infection; hepatitis C infection, usually with cryoglobulinemia; endocarditis; infected ventriculoatrial shunts; chronic visceral abscesses; HIV infection; and schistosomiasis.
  • 57.
    SecondaryMPGN • α1-Antitrypsin deficiency •Malignant diseases (chronic lymphocytic leukemia and lymphoma) • Hereditary deficiencies of complement regulatory proteins
  • 58.
    Hepatitis C inducedType 1MPGN • MPGN has been regarded as idiopathic for a long time until found out many also have chronic Hep C. • Strongly associated with cryoglobulinemia but mechanism is not well known – intraluminal precipitates of immune complexes involving the cryoglobulins.
  • 59.
    Hepatitis C inducedType 1MPGN • Incidence varies with location – uncommon in France and South Africa, common in Japan • Commonly presents after 10-15yrs of chronic Hep C. • Laboratory features : HCV antibody, HCV RNA by PCR, high concentration of cryoglobulins, positive RF and low complement.
  • 60.
    Treatment • Treatment goalsinclude reduction of symptoms, prevention of complications, and slowed progression of the disorder. • Treating secondary causes.
  • 61.
    Treatment • Idiopathic MPGN- spontaneous improvement in <10%, 25-40% maintain renal function, 50-60% to ESRD in 10years • Corticosteroid – more commonly used in children
  • 62.
    Treatment • Antiplatelet agents– uncertain but showed some benefit with ASA and dipyridamole (reduced the incidence of progression to ESRD – 14 vs. 47% in 3-5 yrs) • Immunosuppressive drugs – limited data
  • 63.
    Treatment • Dietary adjustmentsmay include restrictions on sodium, fluids, protein, or other restrictions as appropriate to control high blood pressure, swelling, and accumulation of waste products in the bloodstream.