Diffuse Proliferative GN
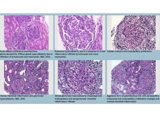
Diffuse proliferative pattern of glomerular injury consists of endocapillary or extracapillary (crescents) proliferative changes that occur in segmental or global fashion and involve more than 50% of all glomeruli.  The process is most commonly seen in various immune complex-mediated processes, such as lupus nephritis (class IV), post-infectious (post-streptococcal) GN, or IgA nephropathy.
PIGN Histopathology:  Acute proliferative glomerulonephritis with numerous neutrophils and endocapillary hypercellularity in all or most glomeruli Cellular crescents are frequently seen in isolated glomeruli; true crescentic form (involvement of 50% or more of glomeruli with crescents) is very unusual. Fibrinoid necrosis and thrombosis are uncommon. The tubulointerstitium may be unremarkable or show active inflammation with or without edema. Immunofluorescence:  In acute phase, there is strong coarse granular C3 reactivity, with usually less intense immunoglobulin (most commonly IgG) deposition. Lack of significant immunoglobulin reactivity may be seen in many cases. Three patterns of immunofluorescence reactivity have been described: starry sky (discrete random granules), garland (confluent subepithelial granular and band-like deposits), and mesangial pattern (usually during resolving phase).
Electron microscopy:  Visceral epithelial cells: Different degrees of injury and degenerative changes; the effacement of foot processes is usually focal, but sometimes extensive Glomerular basement membranes: May show irregularities in thickness. Subepithelial “hump”-like deposits are characteristic of postinfectious GN; they may be sometimes large and confluent. “Spike” formation is not characteristic of this entity. Sometimes large subendothelial deposits and an intraluminal increase in inflammatory cells may be seen as well Glomerular endothelial cells: May show non-specific signs of injury and reactive changes; tubuloreticular structures are not seen Mesangium: Increase in cellularity and extracellular matrix, with sometimes large and confluent fine granular electron-dense deposits
 
 
Lupus Nephritis Class IV Histopathology:  Light microscopic examination reveals segmental or global endocapillary proliferative changes. The mesangium is variably expanded and hypercellular The peripheral capillary loops are irregular in thickness, sometimes showing 'wire loops' and intraluminal 'microthrombi' (hyaline thrombi) Leukocyte infiltration, focal necrosis, hematoxilin bodies, and cellular crescents can all be seen In some cases, membranoproliferative pattern of injury may be dominant in glomeruli (class IV) The tubulointerstitium may show active interstitial nephritis Immunofluorescence:  There is 'full house' reactivity (reactivity for IgG, IgM, and IgA), with granular deposits in the mesangium.
Electron microscopy:  Visceral epithelial cells: Show different degrees of injury and degenerative changes, with focal, but sometimes extensive, effacement of foot processes. Subepithelial deposits can be seen in many cases Glomerular basement membranes: May be irregular in thickness, with the presence of intramembranous, subepithelial, and/or subendothelial deposits. Subendothelial deposits can be rather large and may demonstrate substructural organization ('fingerprint'-like pattern) Glomerular endothelial cells: May contain tubuloreticular structures Mesangium: Expanded by increase in cellular elements and extracellular matrix, with sometimes large and confluent fine granular, electron-dense deposits
 
 
Histopathology:  Light microscopic examination reveals mesangial hypercellularity and expansion of mesangial matrix, with segmental or global endocapillary proliferation and/or crescent formation If the number of involved glomeruli is below 50 percent, it is designated as focal proliferative pattern; if there are 50 percent or more glomeruli involved, the process is designated as diffuse proliferative IgA glomerulonephritis The tubulointerstitium may be unremarkable or show active inflammation or patchy fibrosis Immunofluorescence:  There is dominant reactivity for IgA in the mesangium; C3 may be equally or less reactive. There is usually stronger reactivity for lambda than for kappa light chains in the mesangial deposits
Electron microscopy:  Visceral epithelial cells: Show different degrees of injury and degenerative changes; the effacement of foot processes is usually focal but sometimes extensive. Subepithelial and/or subendothelial deposits can also be present Glomerular basement membranes: May be thin; there is a higher incidence of thin glomerular basement membrane disease in IgA nephropathy than in any other glomerular disease {6} Glomerular endothelial cells: May show non-specific signs of injury; tubuloreticular structures are not seen Mesangium: Shows increase in cellularity and extracellular matrix, with fine granular electron-dense deposits that are sometimes large and confluent
 
 

Diffuse Proliferative GN

  • 1.
  • 2.
    Diffuse proliferative patternof glomerular injury consists of endocapillary or extracapillary (crescents) proliferative changes that occur in segmental or global fashion and involve more than 50% of all glomeruli. The process is most commonly seen in various immune complex-mediated processes, such as lupus nephritis (class IV), post-infectious (post-streptococcal) GN, or IgA nephropathy.
  • 3.
    PIGN Histopathology: Acute proliferative glomerulonephritis with numerous neutrophils and endocapillary hypercellularity in all or most glomeruli Cellular crescents are frequently seen in isolated glomeruli; true crescentic form (involvement of 50% or more of glomeruli with crescents) is very unusual. Fibrinoid necrosis and thrombosis are uncommon. The tubulointerstitium may be unremarkable or show active inflammation with or without edema. Immunofluorescence: In acute phase, there is strong coarse granular C3 reactivity, with usually less intense immunoglobulin (most commonly IgG) deposition. Lack of significant immunoglobulin reactivity may be seen in many cases. Three patterns of immunofluorescence reactivity have been described: starry sky (discrete random granules), garland (confluent subepithelial granular and band-like deposits), and mesangial pattern (usually during resolving phase).
  • 4.
    Electron microscopy: Visceral epithelial cells: Different degrees of injury and degenerative changes; the effacement of foot processes is usually focal, but sometimes extensive Glomerular basement membranes: May show irregularities in thickness. Subepithelial “hump”-like deposits are characteristic of postinfectious GN; they may be sometimes large and confluent. “Spike” formation is not characteristic of this entity. Sometimes large subendothelial deposits and an intraluminal increase in inflammatory cells may be seen as well Glomerular endothelial cells: May show non-specific signs of injury and reactive changes; tubuloreticular structures are not seen Mesangium: Increase in cellularity and extracellular matrix, with sometimes large and confluent fine granular electron-dense deposits
  • 5.
  • 6.
  • 7.
    Lupus Nephritis ClassIV Histopathology: Light microscopic examination reveals segmental or global endocapillary proliferative changes. The mesangium is variably expanded and hypercellular The peripheral capillary loops are irregular in thickness, sometimes showing 'wire loops' and intraluminal 'microthrombi' (hyaline thrombi) Leukocyte infiltration, focal necrosis, hematoxilin bodies, and cellular crescents can all be seen In some cases, membranoproliferative pattern of injury may be dominant in glomeruli (class IV) The tubulointerstitium may show active interstitial nephritis Immunofluorescence: There is 'full house' reactivity (reactivity for IgG, IgM, and IgA), with granular deposits in the mesangium.
  • 8.
    Electron microscopy: Visceral epithelial cells: Show different degrees of injury and degenerative changes, with focal, but sometimes extensive, effacement of foot processes. Subepithelial deposits can be seen in many cases Glomerular basement membranes: May be irregular in thickness, with the presence of intramembranous, subepithelial, and/or subendothelial deposits. Subendothelial deposits can be rather large and may demonstrate substructural organization ('fingerprint'-like pattern) Glomerular endothelial cells: May contain tubuloreticular structures Mesangium: Expanded by increase in cellular elements and extracellular matrix, with sometimes large and confluent fine granular, electron-dense deposits
  • 9.
  • 10.
  • 11.
    Histopathology: Lightmicroscopic examination reveals mesangial hypercellularity and expansion of mesangial matrix, with segmental or global endocapillary proliferation and/or crescent formation If the number of involved glomeruli is below 50 percent, it is designated as focal proliferative pattern; if there are 50 percent or more glomeruli involved, the process is designated as diffuse proliferative IgA glomerulonephritis The tubulointerstitium may be unremarkable or show active inflammation or patchy fibrosis Immunofluorescence: There is dominant reactivity for IgA in the mesangium; C3 may be equally or less reactive. There is usually stronger reactivity for lambda than for kappa light chains in the mesangial deposits
  • 12.
    Electron microscopy: Visceral epithelial cells: Show different degrees of injury and degenerative changes; the effacement of foot processes is usually focal but sometimes extensive. Subepithelial and/or subendothelial deposits can also be present Glomerular basement membranes: May be thin; there is a higher incidence of thin glomerular basement membrane disease in IgA nephropathy than in any other glomerular disease {6} Glomerular endothelial cells: May show non-specific signs of injury; tubuloreticular structures are not seen Mesangium: Shows increase in cellularity and extracellular matrix, with fine granular electron-dense deposits that are sometimes large and confluent
  • 13.
  • 14.