Noninvasive MDCT-
based Imaging of the
Coronary Arteries
Udo Hoffmann, MD
Director of Cardiac CT Research
Assistant Professor of Radiology, Harvard Medical
School
Massachusetts General Hospital Boston, MA
Challenge of Coronary
Artery Imaging
Small Vessels with Complex
Anatomy in Rapid Motion
Cornerstone Invasive Selective
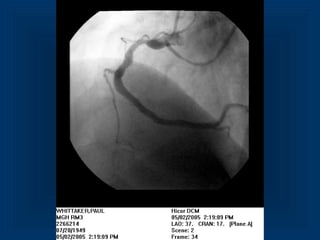
Coronary Angiography
Prerequisites forPrerequisites for
Successful Cardiac CTSuccessful Cardiac CT
II
• Temporal Resolution
• Spatial Resolution
• Volume Coverage
• 330- 400 ms gantry rotation (165- 200 ms)
temporal resolution (half scan reconstruction)
• 0.4 x 0.4 x 0.6 - 0.75 resolution
• single breath hold 8 - 14 sec
• 40 - 80 ml of contrast agent (4-5 ml/s)
• 500 - 950 mAs tube current (modulation)
• 7 – 24 mSv
64 Slice MDCT64 Slice MDCT
Protocol for CoronaryProtocol for Coronary
AngiographyAngiography
Prerequisites forPrerequisites for
Successful Cardiac CTSuccessful Cardiac CT
IIII
• Appropriate Breath Hold
exact instructions (mid inspiration)
exercise and observe heart rate
• Low heart rate, NSR (<65 bpm)
Beta Blocker PO/IV
Retrospective ECG
gating
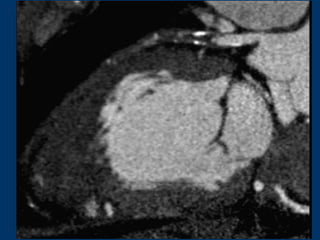
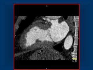
Axial Source Images
Thin MIP 3D VRT Curved MPR
Post Processing
P A C S
Comprehensive Cardiac CT
Examination
betablocker i.v., sublingual Nitroglycerinebetablocker i.v., sublingual Nitroglycerine
O F F L I N E
Detection of significant
coronary artery stenosis
Systematic Review on
Diagnostic Accuracy of CT-
based Detection ofDetection of
significant CADsignificant CAD
• 30 studies
• 1849 patients
• 12913 coronary segments
• 13 EBCT - 847 patients
• 10 - 4/8 MDCT - 588 patients
• 7 - 16 MDCT - 414 patients
Hoffmann et al, JAMA 2005 submitted
Diagnostic Accuracy of EBCT, 4 -
and 16 - slice MDCT
Assessable
Segments
Pooled
Sensitivity
 
97.5% CI
 
 
Pooled
Specifici
ty
97.5% CI
All CT 83% 80.6%-85.3% 94%
93.2%-
94.6%
EBCT 83% 79.5%-87.0% 90%
89.0%-
91.8%
MSCT 83% 79.8%-85.7% 96%
95.1%-
96.5%
4- and 8-slice 82% 78.3%-85.2% 96%
95.0%-
96.6%
16-slice 86% 80.3%-91.4% 96%
94.4%-
97.1%
All
Segments
 
   
All CT 72% 69.5%-74.3% 84%
83.3%-
84.9%
RCA StenosisRCA Stenosis
n Sens. Spec. n.e.
Ropers ACC 2005 84 91% 93% 7%
Leschka Eur Heart J 2005 67 94% 97% --
Raff JACC 2005 70 86% 95% 12%
Diagnostic Accuracy of
64- slice MDCT
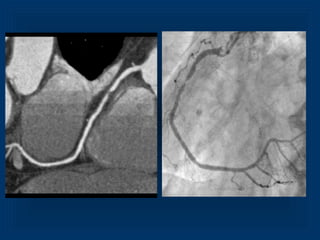
Maximum Intensity Projection RCA 3D VRT LCX and RCA
Occlusion 1st
diagonal
branch
Multiplanar Reconstruction
Limitations
TECHNICAL
-- Calcium
- Motion - Heart Rate
CONCEPTUAL
- Contrast, X-ray
- Sinus rhythm
- No intervention
- decrease number of purely diagnostic
invasive selective coronary angiograms
- complimentary to stress testing
- improve early triage of patients with acute
chest pain
Potential Clinical
Applications
Study Design
early risk stratification in the ED
decision to admit to hospital
MDCT
standard clinical care (blinded to MDCT)
discharge diagnosis
Test Raw Data Overall
Sensitivity 5/5 1 (0.49, 1)
Specificity 26/35 0.74 (0.57,0.88)
Accuracy 31/40 0.78 (0.62, 0.89)
PPV 5/14 0.38 (0.13, 0.65)
NPV 26/26 1 (0.87, 1)
DOR 286
Overall Diagnostic Accuracy
of MDCT (>50% stenosis) vs.
ACS outcome
Patient without ACSPatient without ACS
43 year old female, 3 hours of substernal chest pain
radiating to the back, negative initial Troponin and
CK-MB, ECG: sinus bradycardia
• Patient with crushing chest pain
• now relieved (Nitro)
• Borderline ST- Elevation
• No biomarker elevation
Patient with ACSPatient with ACS
LAD Occlusion
LCX Anomaly and Stenosis
Perfusion Defect
Potential Impact on
Decision Making
Pretest
Probability
Posttest
Probability
P-value
ACSACS 0.44±0.39 0.79±0.28 0.03
NoNo
ACSACS
0.28±0.21 0.05±0.07 0.0001
Decrease average LOS in patients without
ACS by 22 hours per patient
- decrease number of purely diagnostic
invasive selective coronary angiograms
- complimentary to stress testing
- improve early triage of patients with acute
chest pain
- detect coronary anomalies
Potential Clinical
Applications
Anomalous Right Coronary
Artery
- decrease number of purely diagnostic
invasive selective coronary angiograms
- complimentary to stress testing
- improve early triage of patients with acute
chest pain
- detect coronary anomalies
- determine bypass patency
Potential Clinical
Applications
• High sensitivity and specificity for arterial conduits
and venous grafts
• Limitations: distal Anastomosis in small vessels,
metallic clips
Martuscelli Circulation 2004
Bypass Graft Patency
- decrease number of purely diagnostic
invasive selective coronary angiograms
- complimentary to stress testing
- improve early triage of patients with acute
chest pain
- detect coronary anomalies
- determine bypass patency
- improve risk predicition/ change definition of
CAD
Potential Clinical
Applications
MPR of LAD in Cross SectionThin MIP
Detection of Plaque
Sensitivity 82%, Specificity 88%
Achenbach et al. Circulation 2004
r = 0.64, p < 0.001
Moselewski et al. AJC 2004
Plaque Area
Potential to detect and quantify coronary plaque
Plaque Composition
Potential to discriminate calcified and non- calcified
plaque
Leber et al JACC
SummarySummary
• Cardiac CT is a fast robust and highly
reproducible noninvasive test
• Lots of promise that it may change and
improve management of patients with
suspected or known CAD
But no data available yet
• Direct information on the presence and
extent of CAD (stenosis and plaque), LV
function and perfusion
MGH Cardiac CTA 2005MGH Cardiac CTA 2005
1. Core Lab for US Multi-center Trial on the
Detection of Coronary Artery Stenosis with
>1000 Patients
2. Cardiac CT for early triage in Patients with
Acute Chest Pain
3. Core Lab for Siemens Multi-center Trial IVUS
vs. MDCT
4. Non-Calcified Plaque (FHS) in Patients with
Family History of premature CAD
(Framingham)
5. Correction of Image Degradation in cardiac
CT
Thank you
Thank you

Lecture vienna september 16 2005

  • 1.
    Noninvasive MDCT- based Imagingof the Coronary Arteries Udo Hoffmann, MD Director of Cardiac CT Research Assistant Professor of Radiology, Harvard Medical School Massachusetts General Hospital Boston, MA
  • 2.
    Challenge of Coronary ArteryImaging Small Vessels with Complex Anatomy in Rapid Motion Cornerstone Invasive Selective Coronary Angiography
  • 3.
    Prerequisites forPrerequisites for SuccessfulCardiac CTSuccessful Cardiac CT II • Temporal Resolution • Spatial Resolution • Volume Coverage
  • 4.
    • 330- 400ms gantry rotation (165- 200 ms) temporal resolution (half scan reconstruction) • 0.4 x 0.4 x 0.6 - 0.75 resolution • single breath hold 8 - 14 sec • 40 - 80 ml of contrast agent (4-5 ml/s) • 500 - 950 mAs tube current (modulation) • 7 – 24 mSv 64 Slice MDCT64 Slice MDCT Protocol for CoronaryProtocol for Coronary AngiographyAngiography
  • 5.
    Prerequisites forPrerequisites for SuccessfulCardiac CTSuccessful Cardiac CT IIII • Appropriate Breath Hold exact instructions (mid inspiration) exercise and observe heart rate • Low heart rate, NSR (<65 bpm) Beta Blocker PO/IV
  • 6.
  • 7.
  • 8.
    Thin MIP 3DVRT Curved MPR Post Processing
  • 9.
    P A CS Comprehensive Cardiac CT Examination betablocker i.v., sublingual Nitroglycerinebetablocker i.v., sublingual Nitroglycerine O F F L I N E
  • 10.
  • 11.
    Systematic Review on DiagnosticAccuracy of CT- based Detection ofDetection of significant CADsignificant CAD • 30 studies • 1849 patients • 12913 coronary segments • 13 EBCT - 847 patients • 10 - 4/8 MDCT - 588 patients • 7 - 16 MDCT - 414 patients Hoffmann et al, JAMA 2005 submitted
  • 12.
    Diagnostic Accuracy ofEBCT, 4 - and 16 - slice MDCT Assessable Segments Pooled Sensitivity   97.5% CI     Pooled Specifici ty 97.5% CI All CT 83% 80.6%-85.3% 94% 93.2%- 94.6% EBCT 83% 79.5%-87.0% 90% 89.0%- 91.8% MSCT 83% 79.8%-85.7% 96% 95.1%- 96.5% 4- and 8-slice 82% 78.3%-85.2% 96% 95.0%- 96.6% 16-slice 86% 80.3%-91.4% 96% 94.4%- 97.1% All Segments       All CT 72% 69.5%-74.3% 84% 83.3%- 84.9%
  • 13.
  • 14.
    n Sens. Spec.n.e. Ropers ACC 2005 84 91% 93% 7% Leschka Eur Heart J 2005 67 94% 97% -- Raff JACC 2005 70 86% 95% 12% Diagnostic Accuracy of 64- slice MDCT
  • 15.
    Maximum Intensity ProjectionRCA 3D VRT LCX and RCA
  • 16.
  • 19.
  • 20.
    Limitations TECHNICAL -- Calcium - Motion- Heart Rate CONCEPTUAL - Contrast, X-ray - Sinus rhythm - No intervention
  • 21.
    - decrease numberof purely diagnostic invasive selective coronary angiograms - complimentary to stress testing - improve early triage of patients with acute chest pain Potential Clinical Applications
  • 22.
    Study Design early riskstratification in the ED decision to admit to hospital MDCT standard clinical care (blinded to MDCT) discharge diagnosis
  • 23.
    Test Raw DataOverall Sensitivity 5/5 1 (0.49, 1) Specificity 26/35 0.74 (0.57,0.88) Accuracy 31/40 0.78 (0.62, 0.89) PPV 5/14 0.38 (0.13, 0.65) NPV 26/26 1 (0.87, 1) DOR 286 Overall Diagnostic Accuracy of MDCT (>50% stenosis) vs. ACS outcome
  • 24.
    Patient without ACSPatientwithout ACS 43 year old female, 3 hours of substernal chest pain radiating to the back, negative initial Troponin and CK-MB, ECG: sinus bradycardia
  • 25.
    • Patient withcrushing chest pain • now relieved (Nitro) • Borderline ST- Elevation • No biomarker elevation Patient with ACSPatient with ACS
  • 27.
  • 30.
  • 32.
  • 35.
    Potential Impact on DecisionMaking Pretest Probability Posttest Probability P-value ACSACS 0.44±0.39 0.79±0.28 0.03 NoNo ACSACS 0.28±0.21 0.05±0.07 0.0001 Decrease average LOS in patients without ACS by 22 hours per patient
  • 36.
    - decrease numberof purely diagnostic invasive selective coronary angiograms - complimentary to stress testing - improve early triage of patients with acute chest pain - detect coronary anomalies Potential Clinical Applications
  • 37.
  • 38.
    - decrease numberof purely diagnostic invasive selective coronary angiograms - complimentary to stress testing - improve early triage of patients with acute chest pain - detect coronary anomalies - determine bypass patency Potential Clinical Applications
  • 39.
    • High sensitivityand specificity for arterial conduits and venous grafts • Limitations: distal Anastomosis in small vessels, metallic clips Martuscelli Circulation 2004 Bypass Graft Patency
  • 40.
    - decrease numberof purely diagnostic invasive selective coronary angiograms - complimentary to stress testing - improve early triage of patients with acute chest pain - detect coronary anomalies - determine bypass patency - improve risk predicition/ change definition of CAD Potential Clinical Applications
  • 41.
    MPR of LADin Cross SectionThin MIP Detection of Plaque Sensitivity 82%, Specificity 88% Achenbach et al. Circulation 2004
  • 42.
    r = 0.64,p < 0.001 Moselewski et al. AJC 2004 Plaque Area Potential to detect and quantify coronary plaque
  • 43.
    Plaque Composition Potential todiscriminate calcified and non- calcified plaque Leber et al JACC
  • 44.
    SummarySummary • Cardiac CTis a fast robust and highly reproducible noninvasive test • Lots of promise that it may change and improve management of patients with suspected or known CAD But no data available yet • Direct information on the presence and extent of CAD (stenosis and plaque), LV function and perfusion
  • 45.
    MGH Cardiac CTA2005MGH Cardiac CTA 2005 1. Core Lab for US Multi-center Trial on the Detection of Coronary Artery Stenosis with >1000 Patients 2. Cardiac CT for early triage in Patients with Acute Chest Pain 3. Core Lab for Siemens Multi-center Trial IVUS vs. MDCT 4. Non-Calcified Plaque (FHS) in Patients with Family History of premature CAD (Framingham) 5. Correction of Image Degradation in cardiac CT
  • 47.