ISCHEMIC HEART DISEASES
( IHD )
By
Dr.jawhar
Lecture 1
ISCHEMIC HEART DISEASES ( IHD )
 Resulting from myocardial ischemia [ imbalance
between supply (perfusion), and demand of heart
for oxygenated blood]
 In 90% of cases, the cause is reduction in coronary
blood flow due to atherosclerotic coronary arterial
obstruction.
 Thus, IHD is often termed coronary artery disease
(CAD) or coronary heart disease (CHD).
 IHD divided into:-
o Angina pectoris: ( stable, Prinzmetal , unstable ):
ischemia is less severe and does not cause death
of cardiac muscle.
o Myocardial infarction (MI) : duration and severity of
ischemia is sufficient to cause death of heart muscle.
o Chronic IHD with heart failure.
o Sudden cardiac death.
 Acute myocardial infarction, unstable angina,
and sudden cardiac death are referred to
acute coronary syndrome.
ANGINA PECTORIS:
 Three patterns :
( 1 ) Stable ( typical ) angina:
 most common form.
 caused by chronic stenosing coronary atherosclerosis.
 Occur whenever there is increased heart demand
(by physical activity, or emotional excitement).
 relieved by rest or nitroglycerin (strong vasodilator).
( 2 ) Prinzmetal ( variant ) angina:
 uncommon pattern.
 occurs at rest and is due to coronary artery spasm.
 there is elevated ST segment on electrocardiogram
(ECG) indicative of transmural ischemia.
 anginal attacks are unrelated to physical activity,
but responds to vasodilators such as nitroglycerin.
( 3 ) Unstable ( crescendo ) angina:
 precipitated with less effort, often occurs at rest,
and tends to be of more prolonged duration.
 induced by disruption of an atherosclerotic plaque
with superimposed partial thrombosis and possibly
embolization or vasospasm (or both).
 is often the prodrome of subsequent acute MI.
 Thus sometimes referred to preinfarction angina.
MYOCARDIAL INFARCTION (MI):
 Is the death of cardiac muscle resulting from
ischemia.
 Transmural versus Subendocardial Infarction:
 Transmural:
o Most MI are transmural.
o ischemic necrosis involves full or nearly full
thickness of ventricular wall in distribution of
a single coronary artery.
o usually associated with coronary atherosclerosis,
acute plaque change, and superimposed thrombosis.
 Subendocardial (non-transmural) infarct:
o limited to inner one third or one half of
ventricular wall.
o occur as a result of plaque disruption followed by
coronary thrombus that becomes lysed before
myocardial necrosis extends across the major
thickness of the wall.
o can also result from prolonged and severe reduction
in systemic blood pressure (as in shock)
superimposed on chronic, otherwise noncritical,
coronary stenoses.
Incidence and Risk Factors:
 MI may occur at any age.
 Frequency rises with increasing age.
 Predispositions to atherosclerosis are :
hypertension, cigarette smoking, diabetes mellitus,
and hypercholesterolemia
 Blacks and whites are equally affected.
 Men are at greater risk of MI than women.
 The decrease of estrogen following menopause
can permit rapid development of CAD.
Pathogenesis:
 Coronary arterial occlusion: sequence of events:-
o disruption in atheromatous plaque, manifest as
intraplaque hemorrhage, erosion or ulceration, or
rupture or fissuring.
o Platelets, which exposed to subendothelial collagen
and necrotic plaque contents, undergo adhesion,
aggregation, activation, and release of potent
aggregators ( thromboxane A2, serotonin, and
platelet factors 3 and 4).
o Vasospasm is stimulated by platelet aggregation.
o Frequently within minutes, the thrombus evolves to
completely occlude the lumen of coronary vessel.
 In 10% of cases, transmural acute MI is not
associated with atherosclerotic plaque thrombosis.
other mechanisms may be involved:
• Vasospasm: isolated, intense, perhaps in association
with platelet aggregation (cocaine abuse).
• Emboli: from:- left atrium in atrial fibrillation;
vegetative endocarditis; paradoxical emboli from
right side of heart or peripheral veins .
• Unexplained: caused by coronary vasculitis,
hemoglobinopathies, amyloid deposition in vascular
walls.
Morphology:
Time Gross Features Light Microscope Electron Microscope
Reversible Injury
0–½ hr None None
Relaxation of myofibrils; glycogen
loss; mitochondrial swelling
Irreversible Injury
½–4 hr None
Usually none; variable waviness
of fibers at border
Sarcolemmal disruption;
mitochondrial amorphous
densities
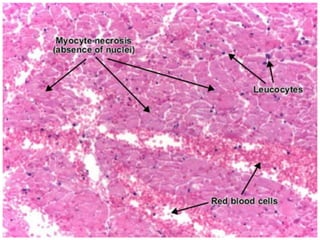
4–12 hr Occasionally dark mottling
Beginning coagulation necrosis;
edema; hemorrhage
12–24 hr Dark mottling
Ongoing coagulation necrosis;
pyknosis of nuclei; myocyte
hypereosinophilia; marginal
contraction band necrosis;
beginning neutrophilic infiltrate
1–3 days
Mottling with yellow-tan infarct
center
Coagulation necrosis, with loss of
nuclei and striations; interstitial
infiltrate of neutrophils
3–7 days
Hyperemic border; central
yellow-tan softening
Beginning disintegration of dead
myofibers, early phagocytosis of
dead cells by macrophages at
infarct border
7–10 days
Maximally yellow-tan and soft,
with depressed red-tan margins
Well-developed phagocytosis of
dead cells; early formation of
fibrovascular granulation tissue at
margins
10–14 days
Red-gray depressed infarct
borders
Well-established granulation
tissue with new blood vessels and
collagen deposition
2–8 wk
Gray-white scar, progressive
from border toward core of infarct
Increased collagen deposition,
with decreased cellularity
>2 mo Scarring complete Dense collagenous scar
Healed myocardial infarct. The necrotic fibers have been replaced by dense
collagenous scar (pink areas filling the right lower quadrant of the image).
This healed area will have decreased contractility compared to the adjacent
preserved myocardium.
Clinical Features:
 MI is diagnosed by typical symptoms, biochemical
evidence, and ECG pattern.
 Patients have rapid weak pulse and sweating
profusely (diaphoretic).
 Dyspnea due to impaired contractility of ischemic
myocardium and the resultant pulmonary congestion
and edema.
 In 10% to 15% of MI patients:
 asymptomatic and discovered only later by ECG
changes(new Q waves).
 Such "silent" MIs are common in patients with
diabetes mellitus and in elderly patients.
Lab. evaluation:
 Based on measuring blood levels of intracellular
macromolecules that leak out of injured myocardial
cells.
 These include myoglobin, cardiac troponins T and I
(TnT, TnI), creatine kinase (CK), and lactate
dehydrogenase.
 TnI and TnT : are not normally detectable in
circulation, after acute MI levels of both rise at
2 to 4 hours and peak at 48 hours ,remain elevated
for 7 to 10 days after acute event.
 Creatine kinase:
o Enzyme that is highly concentrated in brain,
myocardium, and skeletal muscle.
o Composed of two dimers "M" and "B “.
o Isoenzyme CK-MM is derived from skeletal muscle
and heart ; CK-BB from brain, lung, and many other
tissues ; and CK-MB principally from myocardium.
o Total CK activity is sensitive but not specific.
o CK-MB rise within 2 to 4 hours of onset of MI, peaks
at 24 hours, and returns to normal within 72 hours.
 Absence of change in levels of CK and CK-MB during
first 2 days of chest pain , and of troponin in days
following essentially excludes diagnosis of MI.
 C-reactive protein (CRP) : predict the risk of (M.I)
in patients with angina, and the risk of new infarcts
in patients who recover from infarcts.
Other diagnostic modalities :
 Echocardiography (for visualization of abnormalities
of regional wall motion).
 Radioisotope studies such as radionuclide
angiography (for chamber configuration).
 Perfusion scintigraphy (for regional perfusion).
 Magnetic resonance imaging- M.R.I (for structural
characterization).
Consequences and Complications of MI:
 Half of deaths occur within 1 hour of onset.
 Factors associated with poor prognosis include
advanced age, female gender, diabetes mellitus ,
and previous MI.
 Three-fourths of patients have one or more
complications which include:
o Left ventricular failure.
o Severe pump failure (cardiogenic shock).
o Arrhythmias :- sinus bradycardia, heart block ,
sinus tachycardia, ventricular tachycardia, and
ventricular fibrillation.
o Myocardial rupture:-
(1) rupture of ventricular free wall.
(2) rupture of ventricular septum.
(3) papillary muscle rupture.
o Pericarditis.
o Mural thrombus.
o Ventricular aneurysm.
CHRONIC ISCHEMIC HEART DISEASE :
 Describe cardiac findings in patients, often elderly,
who develop progressive heart failure as
a consequence of ischemic myocardial damage.
Morphology:
o Hearts are usually enlarged and heavy secondary
to left ventricular hypertrophy and dilation.
o Moderate to severe stenosing atherosclerosis of
coronary arteries .
o Microscopic findings: myocardial hypertrophy,
diffuse subendocardial vacuolization, and
scars of previously healed infarcts.
SUDDEN CARDIAC DEATH:
 Unexpected death from cardiac causes.
 A complication and often the first clinical
manifestation of IHD.
 With decreasing age of victims, the following
non- atherosclerotic causes become probable:
o Congenital structural or coronary arterial
abnormalities.
o Aortic valve stenosis.
o Mitral valve prolapse.
o Myocarditis.
o Dilated or hypertrophic cardiomyopathy.
o Pulmonary hypertension.
o Hereditary or acquired abnormalities of cardiac
conduction system.

Ischemic heart diseases 2

  • 1.
    ISCHEMIC HEART DISEASES (IHD ) By Dr.jawhar Lecture 1
  • 2.
    ISCHEMIC HEART DISEASES( IHD )  Resulting from myocardial ischemia [ imbalance between supply (perfusion), and demand of heart for oxygenated blood]  In 90% of cases, the cause is reduction in coronary blood flow due to atherosclerotic coronary arterial obstruction.  Thus, IHD is often termed coronary artery disease (CAD) or coronary heart disease (CHD).
  • 3.
     IHD dividedinto:- o Angina pectoris: ( stable, Prinzmetal , unstable ): ischemia is less severe and does not cause death of cardiac muscle. o Myocardial infarction (MI) : duration and severity of ischemia is sufficient to cause death of heart muscle. o Chronic IHD with heart failure. o Sudden cardiac death.  Acute myocardial infarction, unstable angina, and sudden cardiac death are referred to acute coronary syndrome.
  • 4.
    ANGINA PECTORIS:  Threepatterns : ( 1 ) Stable ( typical ) angina:  most common form.  caused by chronic stenosing coronary atherosclerosis.  Occur whenever there is increased heart demand (by physical activity, or emotional excitement).  relieved by rest or nitroglycerin (strong vasodilator).
  • 5.
    ( 2 )Prinzmetal ( variant ) angina:  uncommon pattern.  occurs at rest and is due to coronary artery spasm.  there is elevated ST segment on electrocardiogram (ECG) indicative of transmural ischemia.  anginal attacks are unrelated to physical activity, but responds to vasodilators such as nitroglycerin.
  • 6.
    ( 3 )Unstable ( crescendo ) angina:  precipitated with less effort, often occurs at rest, and tends to be of more prolonged duration.  induced by disruption of an atherosclerotic plaque with superimposed partial thrombosis and possibly embolization or vasospasm (or both).  is often the prodrome of subsequent acute MI.  Thus sometimes referred to preinfarction angina.
  • 7.
    MYOCARDIAL INFARCTION (MI): Is the death of cardiac muscle resulting from ischemia.  Transmural versus Subendocardial Infarction:  Transmural: o Most MI are transmural. o ischemic necrosis involves full or nearly full thickness of ventricular wall in distribution of a single coronary artery. o usually associated with coronary atherosclerosis, acute plaque change, and superimposed thrombosis.
  • 8.
     Subendocardial (non-transmural)infarct: o limited to inner one third or one half of ventricular wall. o occur as a result of plaque disruption followed by coronary thrombus that becomes lysed before myocardial necrosis extends across the major thickness of the wall. o can also result from prolonged and severe reduction in systemic blood pressure (as in shock) superimposed on chronic, otherwise noncritical, coronary stenoses.
  • 9.
    Incidence and RiskFactors:  MI may occur at any age.  Frequency rises with increasing age.  Predispositions to atherosclerosis are : hypertension, cigarette smoking, diabetes mellitus, and hypercholesterolemia  Blacks and whites are equally affected.  Men are at greater risk of MI than women.  The decrease of estrogen following menopause can permit rapid development of CAD.
  • 10.
    Pathogenesis:  Coronary arterialocclusion: sequence of events:- o disruption in atheromatous plaque, manifest as intraplaque hemorrhage, erosion or ulceration, or rupture or fissuring. o Platelets, which exposed to subendothelial collagen and necrotic plaque contents, undergo adhesion, aggregation, activation, and release of potent aggregators ( thromboxane A2, serotonin, and platelet factors 3 and 4). o Vasospasm is stimulated by platelet aggregation. o Frequently within minutes, the thrombus evolves to completely occlude the lumen of coronary vessel.
  • 11.
     In 10%of cases, transmural acute MI is not associated with atherosclerotic plaque thrombosis. other mechanisms may be involved: • Vasospasm: isolated, intense, perhaps in association with platelet aggregation (cocaine abuse). • Emboli: from:- left atrium in atrial fibrillation; vegetative endocarditis; paradoxical emboli from right side of heart or peripheral veins . • Unexplained: caused by coronary vasculitis, hemoglobinopathies, amyloid deposition in vascular walls.
  • 12.
    Morphology: Time Gross FeaturesLight Microscope Electron Microscope Reversible Injury 0–½ hr None None Relaxation of myofibrils; glycogen loss; mitochondrial swelling Irreversible Injury ½–4 hr None Usually none; variable waviness of fibers at border Sarcolemmal disruption; mitochondrial amorphous densities 4–12 hr Occasionally dark mottling Beginning coagulation necrosis; edema; hemorrhage 12–24 hr Dark mottling Ongoing coagulation necrosis; pyknosis of nuclei; myocyte hypereosinophilia; marginal contraction band necrosis; beginning neutrophilic infiltrate 1–3 days Mottling with yellow-tan infarct center Coagulation necrosis, with loss of nuclei and striations; interstitial infiltrate of neutrophils 3–7 days Hyperemic border; central yellow-tan softening Beginning disintegration of dead myofibers, early phagocytosis of dead cells by macrophages at infarct border 7–10 days Maximally yellow-tan and soft, with depressed red-tan margins Well-developed phagocytosis of dead cells; early formation of fibrovascular granulation tissue at margins 10–14 days Red-gray depressed infarct borders Well-established granulation tissue with new blood vessels and collagen deposition 2–8 wk Gray-white scar, progressive from border toward core of infarct Increased collagen deposition, with decreased cellularity >2 mo Scarring complete Dense collagenous scar
  • 18.
    Healed myocardial infarct.The necrotic fibers have been replaced by dense collagenous scar (pink areas filling the right lower quadrant of the image). This healed area will have decreased contractility compared to the adjacent preserved myocardium.
  • 19.
    Clinical Features:  MIis diagnosed by typical symptoms, biochemical evidence, and ECG pattern.  Patients have rapid weak pulse and sweating profusely (diaphoretic).  Dyspnea due to impaired contractility of ischemic myocardium and the resultant pulmonary congestion and edema.  In 10% to 15% of MI patients:  asymptomatic and discovered only later by ECG changes(new Q waves).  Such "silent" MIs are common in patients with diabetes mellitus and in elderly patients.
  • 20.
    Lab. evaluation:  Basedon measuring blood levels of intracellular macromolecules that leak out of injured myocardial cells.  These include myoglobin, cardiac troponins T and I (TnT, TnI), creatine kinase (CK), and lactate dehydrogenase.  TnI and TnT : are not normally detectable in circulation, after acute MI levels of both rise at 2 to 4 hours and peak at 48 hours ,remain elevated for 7 to 10 days after acute event.
  • 21.
     Creatine kinase: oEnzyme that is highly concentrated in brain, myocardium, and skeletal muscle. o Composed of two dimers "M" and "B “. o Isoenzyme CK-MM is derived from skeletal muscle and heart ; CK-BB from brain, lung, and many other tissues ; and CK-MB principally from myocardium. o Total CK activity is sensitive but not specific. o CK-MB rise within 2 to 4 hours of onset of MI, peaks at 24 hours, and returns to normal within 72 hours.  Absence of change in levels of CK and CK-MB during first 2 days of chest pain , and of troponin in days following essentially excludes diagnosis of MI.
  • 22.
     C-reactive protein(CRP) : predict the risk of (M.I) in patients with angina, and the risk of new infarcts in patients who recover from infarcts. Other diagnostic modalities :  Echocardiography (for visualization of abnormalities of regional wall motion).  Radioisotope studies such as radionuclide angiography (for chamber configuration).  Perfusion scintigraphy (for regional perfusion).  Magnetic resonance imaging- M.R.I (for structural characterization).
  • 23.
    Consequences and Complicationsof MI:  Half of deaths occur within 1 hour of onset.  Factors associated with poor prognosis include advanced age, female gender, diabetes mellitus , and previous MI.  Three-fourths of patients have one or more complications which include: o Left ventricular failure. o Severe pump failure (cardiogenic shock). o Arrhythmias :- sinus bradycardia, heart block , sinus tachycardia, ventricular tachycardia, and ventricular fibrillation.
  • 24.
    o Myocardial rupture:- (1)rupture of ventricular free wall. (2) rupture of ventricular septum. (3) papillary muscle rupture. o Pericarditis. o Mural thrombus. o Ventricular aneurysm.
  • 25.
    CHRONIC ISCHEMIC HEARTDISEASE :  Describe cardiac findings in patients, often elderly, who develop progressive heart failure as a consequence of ischemic myocardial damage. Morphology: o Hearts are usually enlarged and heavy secondary to left ventricular hypertrophy and dilation. o Moderate to severe stenosing atherosclerosis of coronary arteries . o Microscopic findings: myocardial hypertrophy, diffuse subendocardial vacuolization, and scars of previously healed infarcts.
  • 26.
    SUDDEN CARDIAC DEATH: Unexpected death from cardiac causes.  A complication and often the first clinical manifestation of IHD.  With decreasing age of victims, the following non- atherosclerotic causes become probable: o Congenital structural or coronary arterial abnormalities. o Aortic valve stenosis. o Mitral valve prolapse. o Myocarditis. o Dilated or hypertrophic cardiomyopathy. o Pulmonary hypertension. o Hereditary or acquired abnormalities of cardiac conduction system.