Cardiac MRI
History of MRI
• Magnetic resonance imaging (MRI), nuclear magnetic resonance
imaging (NMRI), or magnetic resonance tomography (MRT)
• Raymond Damadian, an Armenian-American physician, scientist
- worlds first MRI machine 1972
• Paul Lauterbur - technique to generate images from MRI
• Peter Mansfield - mathematical technique to generate images
from MRI
• Nobel Prize in Physiology or Medicine for their "discoveries
concerning magnetic resonance imaging"
Paul Lauterbur Raymond Damadian Peter Mansfield
• MR System Components
• Main magnet coils
• Static magnetic field B0
• 3 gradient coils
• integral RF transmitter coil
• Application of RF pulse tilts net magnetisation vector - flip angle
• two independent relaxation processes return the net magnetization vector to
its thermal equilibrium
• Longitudinal relaxation results from the transfer of energy from the excited
protons to surrounding molecules in the local environment.
• T1 - time to recover 63% of original energy
• Transverse or spin-spin relaxation, describes the decay of the
magnetization vector in the transverse plane
• T2 - time to lose 63% of transverse momentum
• T1 and T2 properties of tissue
• Advantages of CMR over other cardiac imaging modalities
• Lack of ionizing radiation
• Free choice of imaging planes
• Capability for tissue characterisation
• Qualitative and quantitative evaluation of the motion of
both the blood and the myocardium
• Assessment of regional perfusion
MRI Safety
• Powerful magnetic field
• 1.5 T approx 30,000 times earth’s magnetic field
• Objects near entry - pulled into machine
• objects within machine - experience torque
• Rapid change in field with distance from magnet
• Heating effects
• RF magnetic fields can cause heating if
concentrated in small areas - ECG leads,
thermistor leads, may damage device or cause
burns
• Claustrophobia
• 4% of patients
Cardiac gating
• Essential component of cardiac MRI to overcome
blurring of images caused by myocardial contraction
and flow effects from pulsatile blood
• Data collected over same point in ECG over
successive heart beats
• Good lead placement, prominent R wave
• Avoid loop formation
• Prospective gating
• Data acquisition over at start of cardiac cycle over several cycles
• Better temporal resolution
• Retrospective gating
• Continuous data acquisition and then post processing for images at certain time points
• Whole cardiac cycle can be imaged
• Less sensitive to arrhythmias
• Useful for cine images
• Better for regional and global wall motion assessment
• Temporal blurring
Respiratory Gating
• Maximum motion craniocaudal
• Some degree of anteroposterior and transverse motion
• Approx 1 cm movement craniocaudally
• Breath holding - Acquisition times 10 sec
• Varies within cycles
• Adequate respiratory reserve
• Imaging with breath holding at end tidal position
• Diaphragmatic tracking - by respiratory navigator
• Respiratory monitoring using bellows
Pulse Sequence Structure
• An individual pulse sequence is a combination of radiofrequency
pulses, magnetic gradient field switches, and timed data
acquisitions, all applied in a precise order, that results in either
accentuation or suppression of specific biological
• Imaging engine
• provides the spatial relationship of objects i.e. the image
• Modifier
• Optional components that add specific information or speed
the image
Examination sequence
• Scouting
• Function/Volumes
• Perfusion at stress/rest
• Viability and Infarction
• Additional
• Morphology
• Flow/Velocity
• T2 Weighted Edema imaging
• Scouting
• First procedure
• To establish long and short axis of heart with
respect to scanner coordinates
• Single shot
• Steady state free precession (SSFP), Half Fourier
single-shot TSE (HASTE)
Function and volumes
• CineMRI using Gradient Recall Echo(GRE) or SSFP
• Captures movie of beating heart
• 20-25 frames per cycle, 35-45 ms per frame
• Single shot/segmented
• Core examination
• Short-axis stack from mitral valve plane to apex
• Two, Three and Four Chamber long axis views
• Slices - 5-6mm
Perfusion at Stress and Rest
• Fasting growing use
• Movie of the transit of contrast media (typically
gadolinium-based) with the blood during its initial
pass through the left ventricular (LV) myocardium
(first-pass contrast enhancement).
• 4 to 5 short-axis views are obtained every heartbeat
• Total of 40 to 60 heartbeats consisting of the entire
first-pass
• Patient then partially pulled out
• Adenosine 140 mcg/kg/min
• Patient returned after 2 minutes
• Gadolinium contrast administered (0.075-0.10 mmol/kg) 4ml/s
• After contrast clears from LV myocardium adenosine stopped (total 3 - 3.5 mins)
• 15 minutes for contrast to wash out from blood pool
• Rest perfusion scan
• Additional gadolinium contrast (0.075-0.10 mmol/kg) 4ml/s
• Same imaging
• Delayed enhancement imaging
• After 5 minutes
• Total duration ~ 45 minutes
Viability and Infarction
• Delayed enhancement MRI (DE-MRI), Late
Gadolinium enhancement CMR, delayed
hyperenhancement imaging
• Images with high contrast between abnormal
myocardial tissue, which generally accumulates
excess gadolinium (after intravenous
administration), and normal tissue, in which
gadolinium concentration is low.
• Gadolinium cannot penetrate intact sarcolemmal membrane
• Injured myocytes take up gadolinium and increased tissue
concentration
• Chronic infarction, interstitial space is increased
• High tissue concentrations of gadolinium leads to shortened
T1 relaxation times
• Infarct - bright/hyperenhanced
• Viable - black/nulled
• Morphology scan
• Usually cardiac and proximal vascular structures are imaged in the core
examination
• If additional information required
• congenital heart disease, cardiac masses, aortic root dilation
• Bread loaf - parallel slices, axial, sagittal or coronal
• Single shot using
• SSFP - blood bright (bright blood technique)
• TSE - flowing blood dark (black blood technique)
Flow/velocity
• Velocity encoded cine imaging (VENC-MRI), phase
contrast velocity mapping
• Signal from moving blood or tissue will undergo a phase
shift relative to stationary tissue if a magnetic field
gradient is applied in the direction of motion
• Cine loop across cardiac cycle - pixel intensity
proportional to blood velocity
• Grayscale - White maximum in one direction, black
maximum in the other direction
• Segmented GRE during breath hold
• versus doppler echocardiography
• flow through an orifice is directly measured on an
enface image of the orifice with through-plane
velocity encoding
T2 weighted edema imaging
• Necrotic myocardium - tissue water content
increases markedly
• longer intrinsic T2 for infarcted myocardium (60-65
ms) compared with that of normal (45-50 ms)
• Uses
• Chronic lesions from those of recent onset
• Possible role in identifying myocardium at risk
Contrast agents
• Only gadolinium based contrast agents(GBCA) are used
at present
• Following iv injection
• 15 to 30 seconds for a first pass through the cardiac
chambers and blood vessels (first-pass phase)
• 10 to 15 minutes transient plateau of GBCA
concentration (equilibrium between contrast washing
in to the extracellular space and washing out to the
blood pool)
• Myocardial perfusion CMR and most types of
magnetic resonance angiography (MRA) are
performed during the first-pass phase,
• Late gadolinium enhancement (LGE) images are
obtained during the equilibrium phase
• Mild allergic reactions 0.01% to 0.07%
• Serious adverse effects rare
Nephrogenic Systemic
Fibrosis
• Fibrosing disorder seen only in renal failure patients
• Thickening and hardening of the skin overlying the
extremities and trunk
• Marked expansion and fibrosis of the dermis in
association with CD34-positive fibrocytes
• Excess exposure to free Gd3+ in patients with
kidney disease leads to tissue damage
• Skin
• symmetrical, bilateral fibrotic indurated papules, plaques,
or subcutaneous nodules
• ankles, lower legs, feet, and hands
• Systemic
• Muscle induration
• Lung fibrosis, diaphragm, myocardium, pericardium,
pleura and dura mater
• Chronic unremittant course
• Review - 28% no improvement, 20% modest, 28%
death
• Prevention - avoid Gadolinium
Assessment of Coronary
Artery Disease
Imaging of myocardial
infarction
• Late Gadolinium enhancement
• Currently the most precise and accurate noninvasive
method to quantify infarct size and morphology
• correlates with serum CK, time to treatment and ST
resolution
• In both acute and chronic infarcts sensitivity 99%
and specificity of 94%
• First 5 mins of LGE detects microvascular
obstruction (no reflow) as dense hypoenhanced
area within the core of a bright region of infarction
• Myocardial hemorrhage marker of reperfusion injury
• High sensitivity in detecting infarcted tissue - upto
few grams
• Significance of LGE
• Marker of unrecognised MI - independent and strong
predictor of cardiac death
• Diabetics without clinical/ECG evidence of MI, LGE
consistent with MI has 3.6 fold elevated hazard of
death
• Cheong and colleagues has
reported that LGE scar
transmurality index is a strong
independent predictor of death
or cardiac transplantation at a
median follow-up of 4.4 years;
this provides complementary
prognostic information to the
left ventricular (LV) ejection
fraction
• Tissue inhomogeneity in LGE tissues may identify
arrhythmogenic substrates
• Schmidt and colleagues have developed methods for
quantifying the heterogeneous peri-infarct zone
• Roes and coworkers have found that peri-infarct zone is
the strongest predictor of spontaneous ventricular
arrhythmias that required appropriate ICD therapy
• Future studies needed to establish standard to quantify
peri-infarct zone
Assessment of myocardial
viability
• Myocardial viability defined as preservation of
cellular function without any irreversible cellular
damage
• Augmentation of regional function in response to low
dose dobutamine (5-10 mcg/kg/min)
• Contractile reserve defined as increase in systolic
thickening by 2 mm (sensitivity 89%, specificity
94%) in predicting segmental viability
• Transmural extent of LGE scar predicts a
progressive stepwise decrease in the likelihood of
function recovery accurately, despite successful
coronary revascularization. (Kim and associates)
• Especially with resting akinesia/dyskinesia
• 88% of segments with less than 25% transmural
extent of LGE improved contractile function,
whereas only 4% of segments with more than
50% transmural extent of LGE
• LGE
• easy to perform and interpret
• 50% cutoff sensitive in predicting contractile segmental
recovery
• Low dose dobutamine
• physiologic assessment of the midmyocardial and sub-
epicardial contractile reserve, particularly in segments
with subendocardial infarction involving less than 50% of
the transmural extent.
• Wellnhofer and coworkers assessed 29 patients before
and 3 months after coronary revascularization with both
low-dose dobutamine cine imaging and LGE imaging,
and reported better prediction of segmental contractile
recovery by dobutamine cine imaging
• low-dose dobutamine cine CMR can be complementary
in assessing myocardial viability early after acute MI
when tissue edema is prominent or when there is a
need to assess the benefit of bypass surgery in
patients at high preoperative risk
• Detection and differentiation of ACS from non coronary
causes
• qualitative assessment of T2-weighted imaging and
LGE yielded a 96% specificity in differentiating acute
from chronic MI.
• Patients with acute chest pain presenting with ECG and
enzyme negative, adding T2-weighted imaging and LV
wall thickness to cine and LGE imaging increases the
specificity from 84% to 96% without any loss of
sensitivity
Detecting and Quantifying
Myocardial Ischemia
• Qualitative assessment of vasodilator stress CMR
myocardial perfusion is rapid and accurate in
detecting CAD
• Combined multicomponent CMR provides higher
accuracy than a single component alone
• MRA, LGE, and cine CMR reached an excellent
sensitivity of 96% while maintaining a high specificity
of 83% in detecting coronary stenosis(Plein et all)
• CMR stress perfusion versus radionuclide perfusion
imaging
• Not limited by attenuation artefacts
• No need for ionizing radiation
• Three- to fourfold higher spatial resolution than SPECT.
• Stress CMR - 30-45 mins, SPECT - 2 hours
• Can characterise dynamic blood flow, not limited by plateau
effect as in nuclear tracers
• MR-IMPACT
• CMR perfusion better than SPECT
• Especially patients with multi vessel stenoses
• Perfusion can be assessed by quantitative methods like signal
intensity versus time curves derived from LV myocardial
segments
• Absolute blood flow in ml/gm/min
• Quantitative methods minimised reader bias, also maps of
perfusion reserve can be used in testing novel therapies
Dobutamine Stress CMR
• Sensitivity 83-86%
• Specificity 83-86%
• Superior to dobutamine stress echocardiography
when echo windows poor
• Real time cine CMR imaging eliminates requirement
for breath holding or ECG gating during dobutamine
stress
• Strong prognostic value
• Ingkanisorn et all
• Adenosine stress CMR - sensitivity 100% and
specificity 93% for clinical events at 1 year
• Jahnke et al
• CMR with dobutamine stress cine and adenosine
perfusion normal - 99.2% negative 3 year event
rate for cardiac death/acute MI
Imaging of atherosclerotic plaques
• Carotid artery and Descending aorta
• Most comprehensive non invasive method to assess plaque
structure and activity
• Carotid bifurcation is relatively immobile, large, and superficial to the
skin surface, and it shows the full spectrum of atherosclerotic lesion
types.
• Contrast weighted sequences
• carotid plaque fibrous cap, hemorrhage, calcifications, and loose
matrix.
• Contrast enhanced dynamic MRI - plaque neovascularisation
• USPIO (Ultrasmall super-paramagnetic particles of iron oxide)
• target macrophage activity at high affinity based on histologic
and electron microscopic analyses of atherosclerotic plaques.
• 24 to 36 hours after USPIO injection carotid macrophage plaque
activity can be measured
• MRI of aortic plaques
• Difficult due to increased signal-noise ratio in achieving
submillimeter spatial resolution and blood flow artifacts.
• Intravascular MR coils recent advancement
• Coronary artery
• Plaque imaging difficult
• cardiac and respiratory motion and small vessel size
• Targeted contrast - fibrin-binding contrast agent EP-
2104R (EPIX Pharmaceuticals) - coronary thrombus
• Intravascular coils
• High field CMR
Cardiomyopathies
Hypertrophic
Cardiomyopathy
• CMR cine imaging of LV structure, function and tissue characterisation helpful
• Pathological and physiological LVH
• end-diastolic wall thickness–to–cavity volume ratio less than 0.15 mm/mL/m2
and lack of LGE of the ventricular myocardium can provide accurate
differentiation between physiologic and pathologic LVH
• Helpful in patients with poor echocardiographic windows
• Echo underestimates hypertrophy in basal anterolateral wall by 20%
• Extreme hypertrophy (>30 mm) by 10%
• Apical hypertrophy in apical HCM not detected by echo
• Where discrepancy between ECG and echocardiography
• Can assess septal thickness after surgical
myomectomy/Alcohol septal ablation
• especially severe septal hypertrophy and symptomatic
dynamic LV outflow obstruction
• markedly elevated LV mass index (men > 91 g/m2;
women > 69 g/ m2) sensitive (100%), maximal wall
thickness of more than 30 mm specific (91%) for
cardiac deaths
• RVH or myocardial edema by T2W imaging
Arrhythmogenic Right
Ventricular Cardiomyopathy
• Predisposition to ventricular arrhythmias that
precede overt morphologic abnormalities, histologic
substrate and by diverse phenotypic manifestation
• Quantitative and volumetric assessment of cardiac
function
• Characterization of myocardial fibrofatty tissue
• CMR had a sensitivity of 96% and a specificity of
78% in detecting ARVC
Myocarditis
• Myocardial edema by T2-weighted imaging, regional
hyperemia and capillary leak by early gadolinium
enhancement ratio (EGEr), and myocardial necrosis or
fibrosis by LGE imaging.
• In cases with high index of clinical suspicion but negative
CMR tissue findings, a repeat study in a few weeks may be
necessary for diagnosis because inflammation may be focal
and difficult to detect in the first few days of disease.
• Early evidence has indicated that a persistence of LGE 4
weeks after symptom onset is predictive of adverse
functional and clinical outcomes
Cardiac Sarcoidosis
• Detects disease through successive histological stages
• Tissue edema, non- caseating granulomatous infiltration, and patchy
myocardial fibrosis
• DE-MRI 2 fold increase in detection as compared to Japanese
Ministry of Health Criteria
• LGE positive patients 9 fold increase in death
• Can guide endomyocardial biopsy
• Can monitor disease progression accurately
• Limited to monitoring tool for progression
Cardiac amyloidosis
• DE-MRI shows diffuse LV hyper enhancement
• Subendocardium preferentially involved not limited
to arterial territory
• Difficult to detect mild amylodosis
Iron overload
cardiomyopathies
• Hemolytic anemias/iron overload pathologies
• T2 mapping to exclude cardiac siderosis
• T2 CMR enables amount of myocardial iron to be
estimated
• T2 value < 20 ms highly suggestive of cardiac siderosis
• T2 < 10 ms prone for heart failure
• Used to assess response to chelation therapy
Pericardial Disease
• Constrictive Pericarditis
• > 4 mm abnormal
• <2 mm normal
• TSE morphology and SSFP
• Realtime CineMRI
• increased ventricular interdependence, a
hemodynamic hallmark of pericardial constriction.
• Pericardial effusion
• Loculated and circumferential effusions
• Simple transudative effusions typically appear bright and
homogenous on T2-weighted images and dark on T1-weighted
images. On SSFP cineMRI, which exhibits T2/T1 weighing, simple
effusions appear bright with the same or even higher image
intensity than epicardial fat.
• Complex effusions may appear heterogeneous and darker on T2
and SSFP imaging. Additionally, unlike simple effusions, complex
effusions may demonstrate increased image intensity on T1-
weighted imaging after administration of gadolinium contrast
media
Hemodynamics
• VENC-MRI
• ASD
• en face imaging of ASD
• rim of tissue separating the ASD from the base of the aorta
(retroaortic rim), tricuspid valve, vena cavae, and coronary sinus
can be viewed from a single image plane
• Qp/Qs measurement
• additional information multiple ASDs, extent of rim tissue,
presence of sinus venosus defects with anomalous pulmonary
vein
• Aortic stenosis
• Planimetry by cineMRI correlates well with other
modalities
• Peak velocity also correlates with Doppler
echocardiography
• Correct plane along peak velocity
Cardiac masses
• Protocol sequence to assess morphology, motion, perfusion, and delayed
enhancement, in addition to inherent differences in T1 and T2 and abnormal
physiology
• benign masses - atrial myxoma, rhabdomyoma, fibroma, and endocardial
fibroelastoma
• Atrial myxoma
• left atrium (75%), right atrium (20%), or ventricles or mixed chambers
(5%)
• inhomogeneous brightness in the center on cine SSFP imaging because
of its gelatinous content
• may have a pedunculated attachment to the fossa ovalis.
• Metastatic malignancy 20 times more common than primary
malignancy
• direct invasion (lung and breast), lymphatic spread
(lymphomas and melanomas), and hematogenous spread
(renal cell carcinoma)
• Primary
• children/young adults
• angiosarcoma,fibrosarcoma, rhabdomyosarcoma, and
liposarcoma.
• LV thrombus
• LGE imaging can detect thrombus with a higher sensitivity than
echocardiography by depicting high contrast between the dark
thrombus and its adjacent structures and by imaging in three
dimensions.
• Mural thrombus does not enhance on first-pass perfusion and
often has a characteristic etched appearance (black border
surrounding a bright center) on LGE imaging, thus providing higher
diagnostic specificity than anatomic information alone
• Microvascular obstruction from MI can be confused with mural
thrombus, but it is usually confined within the infarcted
myocardium characterized by LGE.
Cardiac mri
Cardiac mri
Cardiac mri

Cardiac mri

  • 1.
  • 2.
    History of MRI •Magnetic resonance imaging (MRI), nuclear magnetic resonance imaging (NMRI), or magnetic resonance tomography (MRT) • Raymond Damadian, an Armenian-American physician, scientist - worlds first MRI machine 1972 • Paul Lauterbur - technique to generate images from MRI • Peter Mansfield - mathematical technique to generate images from MRI • Nobel Prize in Physiology or Medicine for their "discoveries concerning magnetic resonance imaging"
  • 3.
    Paul Lauterbur RaymondDamadian Peter Mansfield
  • 4.
    • MR SystemComponents • Main magnet coils • Static magnetic field B0 • 3 gradient coils • integral RF transmitter coil
  • 6.
    • Application ofRF pulse tilts net magnetisation vector - flip angle • two independent relaxation processes return the net magnetization vector to its thermal equilibrium • Longitudinal relaxation results from the transfer of energy from the excited protons to surrounding molecules in the local environment. • T1 - time to recover 63% of original energy • Transverse or spin-spin relaxation, describes the decay of the magnetization vector in the transverse plane • T2 - time to lose 63% of transverse momentum • T1 and T2 properties of tissue
  • 9.
    • Advantages ofCMR over other cardiac imaging modalities • Lack of ionizing radiation • Free choice of imaging planes • Capability for tissue characterisation • Qualitative and quantitative evaluation of the motion of both the blood and the myocardium • Assessment of regional perfusion
  • 10.
    MRI Safety • Powerfulmagnetic field • 1.5 T approx 30,000 times earth’s magnetic field • Objects near entry - pulled into machine • objects within machine - experience torque • Rapid change in field with distance from magnet
  • 11.
    • Heating effects •RF magnetic fields can cause heating if concentrated in small areas - ECG leads, thermistor leads, may damage device or cause burns • Claustrophobia • 4% of patients
  • 12.
    Cardiac gating • Essentialcomponent of cardiac MRI to overcome blurring of images caused by myocardial contraction and flow effects from pulsatile blood • Data collected over same point in ECG over successive heart beats • Good lead placement, prominent R wave • Avoid loop formation
  • 13.
    • Prospective gating •Data acquisition over at start of cardiac cycle over several cycles • Better temporal resolution • Retrospective gating • Continuous data acquisition and then post processing for images at certain time points • Whole cardiac cycle can be imaged • Less sensitive to arrhythmias • Useful for cine images • Better for regional and global wall motion assessment • Temporal blurring
  • 15.
    Respiratory Gating • Maximummotion craniocaudal • Some degree of anteroposterior and transverse motion • Approx 1 cm movement craniocaudally • Breath holding - Acquisition times 10 sec • Varies within cycles • Adequate respiratory reserve • Imaging with breath holding at end tidal position
  • 16.
    • Diaphragmatic tracking- by respiratory navigator • Respiratory monitoring using bellows
  • 17.
    Pulse Sequence Structure •An individual pulse sequence is a combination of radiofrequency pulses, magnetic gradient field switches, and timed data acquisitions, all applied in a precise order, that results in either accentuation or suppression of specific biological • Imaging engine • provides the spatial relationship of objects i.e. the image • Modifier • Optional components that add specific information or speed the image
  • 20.
    Examination sequence • Scouting •Function/Volumes • Perfusion at stress/rest • Viability and Infarction • Additional • Morphology • Flow/Velocity • T2 Weighted Edema imaging
  • 21.
    • Scouting • Firstprocedure • To establish long and short axis of heart with respect to scanner coordinates • Single shot • Steady state free precession (SSFP), Half Fourier single-shot TSE (HASTE)
  • 23.
    Function and volumes •CineMRI using Gradient Recall Echo(GRE) or SSFP • Captures movie of beating heart • 20-25 frames per cycle, 35-45 ms per frame • Single shot/segmented • Core examination • Short-axis stack from mitral valve plane to apex • Two, Three and Four Chamber long axis views • Slices - 5-6mm
  • 27.
    Perfusion at Stressand Rest • Fasting growing use • Movie of the transit of contrast media (typically gadolinium-based) with the blood during its initial pass through the left ventricular (LV) myocardium (first-pass contrast enhancement). • 4 to 5 short-axis views are obtained every heartbeat • Total of 40 to 60 heartbeats consisting of the entire first-pass
  • 28.
    • Patient thenpartially pulled out • Adenosine 140 mcg/kg/min • Patient returned after 2 minutes • Gadolinium contrast administered (0.075-0.10 mmol/kg) 4ml/s • After contrast clears from LV myocardium adenosine stopped (total 3 - 3.5 mins) • 15 minutes for contrast to wash out from blood pool • Rest perfusion scan • Additional gadolinium contrast (0.075-0.10 mmol/kg) 4ml/s • Same imaging • Delayed enhancement imaging • After 5 minutes • Total duration ~ 45 minutes
  • 30.
    Viability and Infarction •Delayed enhancement MRI (DE-MRI), Late Gadolinium enhancement CMR, delayed hyperenhancement imaging • Images with high contrast between abnormal myocardial tissue, which generally accumulates excess gadolinium (after intravenous administration), and normal tissue, in which gadolinium concentration is low.
  • 31.
    • Gadolinium cannotpenetrate intact sarcolemmal membrane • Injured myocytes take up gadolinium and increased tissue concentration • Chronic infarction, interstitial space is increased • High tissue concentrations of gadolinium leads to shortened T1 relaxation times • Infarct - bright/hyperenhanced • Viable - black/nulled
  • 33.
    • Morphology scan •Usually cardiac and proximal vascular structures are imaged in the core examination • If additional information required • congenital heart disease, cardiac masses, aortic root dilation • Bread loaf - parallel slices, axial, sagittal or coronal • Single shot using • SSFP - blood bright (bright blood technique) • TSE - flowing blood dark (black blood technique)
  • 34.
    Flow/velocity • Velocity encodedcine imaging (VENC-MRI), phase contrast velocity mapping • Signal from moving blood or tissue will undergo a phase shift relative to stationary tissue if a magnetic field gradient is applied in the direction of motion • Cine loop across cardiac cycle - pixel intensity proportional to blood velocity • Grayscale - White maximum in one direction, black maximum in the other direction
  • 35.
    • Segmented GREduring breath hold • versus doppler echocardiography • flow through an orifice is directly measured on an enface image of the orifice with through-plane velocity encoding
  • 39.
    T2 weighted edemaimaging • Necrotic myocardium - tissue water content increases markedly • longer intrinsic T2 for infarcted myocardium (60-65 ms) compared with that of normal (45-50 ms) • Uses • Chronic lesions from those of recent onset • Possible role in identifying myocardium at risk
  • 40.
    Contrast agents • Onlygadolinium based contrast agents(GBCA) are used at present • Following iv injection • 15 to 30 seconds for a first pass through the cardiac chambers and blood vessels (first-pass phase) • 10 to 15 minutes transient plateau of GBCA concentration (equilibrium between contrast washing in to the extracellular space and washing out to the blood pool)
  • 41.
    • Myocardial perfusionCMR and most types of magnetic resonance angiography (MRA) are performed during the first-pass phase, • Late gadolinium enhancement (LGE) images are obtained during the equilibrium phase • Mild allergic reactions 0.01% to 0.07% • Serious adverse effects rare
  • 42.
    Nephrogenic Systemic Fibrosis • Fibrosingdisorder seen only in renal failure patients • Thickening and hardening of the skin overlying the extremities and trunk • Marked expansion and fibrosis of the dermis in association with CD34-positive fibrocytes • Excess exposure to free Gd3+ in patients with kidney disease leads to tissue damage
  • 43.
    • Skin • symmetrical,bilateral fibrotic indurated papules, plaques, or subcutaneous nodules • ankles, lower legs, feet, and hands • Systemic • Muscle induration • Lung fibrosis, diaphragm, myocardium, pericardium, pleura and dura mater
  • 44.
    • Chronic unremittantcourse • Review - 28% no improvement, 20% modest, 28% death • Prevention - avoid Gadolinium
  • 45.
  • 46.
    Imaging of myocardial infarction •Late Gadolinium enhancement • Currently the most precise and accurate noninvasive method to quantify infarct size and morphology • correlates with serum CK, time to treatment and ST resolution • In both acute and chronic infarcts sensitivity 99% and specificity of 94%
  • 47.
    • First 5mins of LGE detects microvascular obstruction (no reflow) as dense hypoenhanced area within the core of a bright region of infarction • Myocardial hemorrhage marker of reperfusion injury • High sensitivity in detecting infarcted tissue - upto few grams
  • 49.
    • Significance ofLGE • Marker of unrecognised MI - independent and strong predictor of cardiac death • Diabetics without clinical/ECG evidence of MI, LGE consistent with MI has 3.6 fold elevated hazard of death
  • 51.
    • Cheong andcolleagues has reported that LGE scar transmurality index is a strong independent predictor of death or cardiac transplantation at a median follow-up of 4.4 years; this provides complementary prognostic information to the left ventricular (LV) ejection fraction
  • 52.
    • Tissue inhomogeneityin LGE tissues may identify arrhythmogenic substrates • Schmidt and colleagues have developed methods for quantifying the heterogeneous peri-infarct zone • Roes and coworkers have found that peri-infarct zone is the strongest predictor of spontaneous ventricular arrhythmias that required appropriate ICD therapy • Future studies needed to establish standard to quantify peri-infarct zone
  • 53.
    Assessment of myocardial viability •Myocardial viability defined as preservation of cellular function without any irreversible cellular damage • Augmentation of regional function in response to low dose dobutamine (5-10 mcg/kg/min) • Contractile reserve defined as increase in systolic thickening by 2 mm (sensitivity 89%, specificity 94%) in predicting segmental viability
  • 54.
    • Transmural extentof LGE scar predicts a progressive stepwise decrease in the likelihood of function recovery accurately, despite successful coronary revascularization. (Kim and associates) • Especially with resting akinesia/dyskinesia • 88% of segments with less than 25% transmural extent of LGE improved contractile function, whereas only 4% of segments with more than 50% transmural extent of LGE
  • 55.
    • LGE • easyto perform and interpret • 50% cutoff sensitive in predicting contractile segmental recovery • Low dose dobutamine • physiologic assessment of the midmyocardial and sub- epicardial contractile reserve, particularly in segments with subendocardial infarction involving less than 50% of the transmural extent.
  • 56.
    • Wellnhofer andcoworkers assessed 29 patients before and 3 months after coronary revascularization with both low-dose dobutamine cine imaging and LGE imaging, and reported better prediction of segmental contractile recovery by dobutamine cine imaging • low-dose dobutamine cine CMR can be complementary in assessing myocardial viability early after acute MI when tissue edema is prominent or when there is a need to assess the benefit of bypass surgery in patients at high preoperative risk
  • 57.
    • Detection anddifferentiation of ACS from non coronary causes • qualitative assessment of T2-weighted imaging and LGE yielded a 96% specificity in differentiating acute from chronic MI. • Patients with acute chest pain presenting with ECG and enzyme negative, adding T2-weighted imaging and LV wall thickness to cine and LGE imaging increases the specificity from 84% to 96% without any loss of sensitivity
  • 58.
    Detecting and Quantifying MyocardialIschemia • Qualitative assessment of vasodilator stress CMR myocardial perfusion is rapid and accurate in detecting CAD • Combined multicomponent CMR provides higher accuracy than a single component alone • MRA, LGE, and cine CMR reached an excellent sensitivity of 96% while maintaining a high specificity of 83% in detecting coronary stenosis(Plein et all)
  • 59.
    • CMR stressperfusion versus radionuclide perfusion imaging • Not limited by attenuation artefacts • No need for ionizing radiation • Three- to fourfold higher spatial resolution than SPECT. • Stress CMR - 30-45 mins, SPECT - 2 hours • Can characterise dynamic blood flow, not limited by plateau effect as in nuclear tracers
  • 60.
    • MR-IMPACT • CMRperfusion better than SPECT • Especially patients with multi vessel stenoses • Perfusion can be assessed by quantitative methods like signal intensity versus time curves derived from LV myocardial segments • Absolute blood flow in ml/gm/min • Quantitative methods minimised reader bias, also maps of perfusion reserve can be used in testing novel therapies
  • 63.
    Dobutamine Stress CMR •Sensitivity 83-86% • Specificity 83-86% • Superior to dobutamine stress echocardiography when echo windows poor • Real time cine CMR imaging eliminates requirement for breath holding or ECG gating during dobutamine stress
  • 64.
    • Strong prognosticvalue • Ingkanisorn et all • Adenosine stress CMR - sensitivity 100% and specificity 93% for clinical events at 1 year • Jahnke et al • CMR with dobutamine stress cine and adenosine perfusion normal - 99.2% negative 3 year event rate for cardiac death/acute MI
  • 67.
    Imaging of atheroscleroticplaques • Carotid artery and Descending aorta • Most comprehensive non invasive method to assess plaque structure and activity • Carotid bifurcation is relatively immobile, large, and superficial to the skin surface, and it shows the full spectrum of atherosclerotic lesion types. • Contrast weighted sequences • carotid plaque fibrous cap, hemorrhage, calcifications, and loose matrix. • Contrast enhanced dynamic MRI - plaque neovascularisation
  • 68.
    • USPIO (Ultrasmallsuper-paramagnetic particles of iron oxide) • target macrophage activity at high affinity based on histologic and electron microscopic analyses of atherosclerotic plaques. • 24 to 36 hours after USPIO injection carotid macrophage plaque activity can be measured • MRI of aortic plaques • Difficult due to increased signal-noise ratio in achieving submillimeter spatial resolution and blood flow artifacts. • Intravascular MR coils recent advancement
  • 69.
    • Coronary artery •Plaque imaging difficult • cardiac and respiratory motion and small vessel size • Targeted contrast - fibrin-binding contrast agent EP- 2104R (EPIX Pharmaceuticals) - coronary thrombus • Intravascular coils • High field CMR
  • 70.
  • 71.
    Hypertrophic Cardiomyopathy • CMR cineimaging of LV structure, function and tissue characterisation helpful • Pathological and physiological LVH • end-diastolic wall thickness–to–cavity volume ratio less than 0.15 mm/mL/m2 and lack of LGE of the ventricular myocardium can provide accurate differentiation between physiologic and pathologic LVH • Helpful in patients with poor echocardiographic windows • Echo underestimates hypertrophy in basal anterolateral wall by 20% • Extreme hypertrophy (>30 mm) by 10% • Apical hypertrophy in apical HCM not detected by echo • Where discrepancy between ECG and echocardiography
  • 72.
    • Can assessseptal thickness after surgical myomectomy/Alcohol septal ablation • especially severe septal hypertrophy and symptomatic dynamic LV outflow obstruction • markedly elevated LV mass index (men > 91 g/m2; women > 69 g/ m2) sensitive (100%), maximal wall thickness of more than 30 mm specific (91%) for cardiac deaths • RVH or myocardial edema by T2W imaging
  • 74.
    Arrhythmogenic Right Ventricular Cardiomyopathy •Predisposition to ventricular arrhythmias that precede overt morphologic abnormalities, histologic substrate and by diverse phenotypic manifestation • Quantitative and volumetric assessment of cardiac function • Characterization of myocardial fibrofatty tissue • CMR had a sensitivity of 96% and a specificity of 78% in detecting ARVC
  • 77.
    Myocarditis • Myocardial edemaby T2-weighted imaging, regional hyperemia and capillary leak by early gadolinium enhancement ratio (EGEr), and myocardial necrosis or fibrosis by LGE imaging. • In cases with high index of clinical suspicion but negative CMR tissue findings, a repeat study in a few weeks may be necessary for diagnosis because inflammation may be focal and difficult to detect in the first few days of disease. • Early evidence has indicated that a persistence of LGE 4 weeks after symptom onset is predictive of adverse functional and clinical outcomes
  • 79.
    Cardiac Sarcoidosis • Detectsdisease through successive histological stages • Tissue edema, non- caseating granulomatous infiltration, and patchy myocardial fibrosis • DE-MRI 2 fold increase in detection as compared to Japanese Ministry of Health Criteria • LGE positive patients 9 fold increase in death • Can guide endomyocardial biopsy • Can monitor disease progression accurately • Limited to monitoring tool for progression
  • 81.
    Cardiac amyloidosis • DE-MRIshows diffuse LV hyper enhancement • Subendocardium preferentially involved not limited to arterial territory • Difficult to detect mild amylodosis
  • 83.
    Iron overload cardiomyopathies • Hemolyticanemias/iron overload pathologies • T2 mapping to exclude cardiac siderosis • T2 CMR enables amount of myocardial iron to be estimated • T2 value < 20 ms highly suggestive of cardiac siderosis • T2 < 10 ms prone for heart failure • Used to assess response to chelation therapy
  • 84.
    Pericardial Disease • ConstrictivePericarditis • > 4 mm abnormal • <2 mm normal • TSE morphology and SSFP • Realtime CineMRI • increased ventricular interdependence, a hemodynamic hallmark of pericardial constriction.
  • 86.
    • Pericardial effusion •Loculated and circumferential effusions • Simple transudative effusions typically appear bright and homogenous on T2-weighted images and dark on T1-weighted images. On SSFP cineMRI, which exhibits T2/T1 weighing, simple effusions appear bright with the same or even higher image intensity than epicardial fat. • Complex effusions may appear heterogeneous and darker on T2 and SSFP imaging. Additionally, unlike simple effusions, complex effusions may demonstrate increased image intensity on T1- weighted imaging after administration of gadolinium contrast media
  • 87.
    Hemodynamics • VENC-MRI • ASD •en face imaging of ASD • rim of tissue separating the ASD from the base of the aorta (retroaortic rim), tricuspid valve, vena cavae, and coronary sinus can be viewed from a single image plane • Qp/Qs measurement • additional information multiple ASDs, extent of rim tissue, presence of sinus venosus defects with anomalous pulmonary vein
  • 89.
    • Aortic stenosis •Planimetry by cineMRI correlates well with other modalities • Peak velocity also correlates with Doppler echocardiography • Correct plane along peak velocity
  • 90.
    Cardiac masses • Protocolsequence to assess morphology, motion, perfusion, and delayed enhancement, in addition to inherent differences in T1 and T2 and abnormal physiology • benign masses - atrial myxoma, rhabdomyoma, fibroma, and endocardial fibroelastoma • Atrial myxoma • left atrium (75%), right atrium (20%), or ventricles or mixed chambers (5%) • inhomogeneous brightness in the center on cine SSFP imaging because of its gelatinous content • may have a pedunculated attachment to the fossa ovalis.
  • 91.
    • Metastatic malignancy20 times more common than primary malignancy • direct invasion (lung and breast), lymphatic spread (lymphomas and melanomas), and hematogenous spread (renal cell carcinoma) • Primary • children/young adults • angiosarcoma,fibrosarcoma, rhabdomyosarcoma, and liposarcoma.
  • 92.
    • LV thrombus •LGE imaging can detect thrombus with a higher sensitivity than echocardiography by depicting high contrast between the dark thrombus and its adjacent structures and by imaging in three dimensions. • Mural thrombus does not enhance on first-pass perfusion and often has a characteristic etched appearance (black border surrounding a bright center) on LGE imaging, thus providing higher diagnostic specificity than anatomic information alone • Microvascular obstruction from MI can be confused with mural thrombus, but it is usually confined within the infarcted myocardium characterized by LGE.

Editor's Notes

  • #23 Step 1: Images are obtained along the scanner axes (sagittal, coronal, and axial; 1A,1B, and 1C, respectively). Step 2: From a pseudo four-chamber long-axis view (usually from the axial image), one prescribes a perpendicular plane through the approximate apex, which results in an approximate two-chamber view. Step 3: Another perpendicular plane is prescribed through the apex, which results in a true long-axis view (usually four chamber). Step 4: A perpendicular plane, bread-loafing the heart, delivers the true short-axis plane.
  • #30 before arrival of contrast (frame 1); contrast in RV cavity (frame 12); contrast in LV cavity (frame 22); peak contrast in LV myocardium (frame 30), showing normal perfusion in the septum (open arrowhead) and abnormal perfusion in the inferolateral wall (solid arrowhead); and the contrast wash-out phase (frame 50).
  • #33 Before contrast administration, there are minimal differences in inherent tissue T1 and T2 between normal and infarcted myocardium, thus infarction is poorly delineated (top panel). After gadolinium administration, the T1 of infarction (although not T2) is markedly shortened, leading to clear delineation on the T1-weighted image (bottom panel). T1-weighted images were acquired using an inversion recovery gradient echo sequence. T2-weighted images were acquired using a dark blood turbo spin echo sequence.
  • #49 a transmural MI involving the lateral LV wall associated with a large and dense area of microvascular obstruction (arrow). B, Despite successful epicardial revascular- ization of the infarct-related coronary artery, first-pass myocardial perfusion imaging demonstrates a dense perfusion defect indicative of no-reflow (arrow) matching in location with the infarct. C, D, Long-axis LGE images confirm the extensive area of microvascular obstruction involving a large extent of the lateral LV wall. Of note, there was concurrent intense pericardial inflammation and bilateral pleural effusion
  • #62 Anterior subendocardial perfusion defect appears starting at image 18 and persists at peak contrast enhancement
  • #67 Patient examples. (top row) Patient with a positive DE-MRI study demonstrating an infarct in the inferolateral wall (red arrow) although perfusion-MRI is negative. The interpretation algorithm (step 1) classified this patient as positive for coronary artery disease (CAD). Coronary angiography verified disease in a left circumflex (LCX) marginal artery. CineMRI demonstrated normal contractility. (middle row) Patient with a negative DE-MRI study but with a prominent reversible defect in the anteroseptal wall on perfusion-MRI (red arrow). The interpretation algorithm (step 3) classified this patient as positive for CAD. Coronary angiography demonstrated a proximal 95% left anterior descending (LAD) stenosis. (bottom row) Patient with a matched stress-rest perfusion defect (blue arrows) but without evidence of prior myocardial infarction on DE-MRI. The interpretation algorithm (step 4) classified the perfusion defects as artifactual. Coronary angiography demonstrated normal coronary arteries
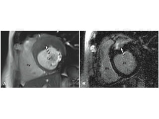
  • #74 A, Patient with hypertrophic cardiomyopathy with severe panseptal hypertrophy (arrow). B, The septum demonstrates dense LGE (arrow) consistent with fibrosis
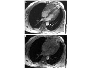
  • #79 A 17-year-old college student presented with sudden onset of chest pain and ST-segment elevation in the anterior and anterolateral leads. Urgent coronary angiography revealed no significant coronary arterial stenosis but his serum troponin T level was markedly elevated to 100 times the upper limit of normal within the first 24 hours of presentation, and there was a large region of anterior and anterolateral hypokinesis. CMR performed during the first 48 hours of presentation showed extensive evidence of myocardial inflammation by LGE imaging involving the epicardial aspect of the anterior and anterolateral walls (A), which were matched by a high signal intensity region on T2-weighted FSE edema imaging (C), consistent with acute viral myocarditis. Parvovirus serology was elevated fivefold. Three months later, regional function completely resolved. There was evidence of a residual epicardial scar by LGE imaging (B) but with no evidence of persistent inflammation on T2-weighted edema imaging (D).
  • #80 Endomyocardial biopsy demonstrating noncaseating epithelioid granulomas Clinical diagnosis Among patients with a histologic diagnosis of extracardiac sarcoidosis, cardiac sarcoidosis should be suspected when criterion "a" and at least one of criteria "b" to "e" is present in patients in whom other causes such as hypertension and coronary heart disease have been excluded: a. Complete right bundle branch block, AV block, ventricular tachycardia, ventricular premature beats or pathologic Q wave or ST-T changes on the electrocardiogram b. Abnormal wall motion, regional wall thickening, or left ventricular dilation c. Perfusion defect on myocardial perfusion imaging or abnormal accumulation of 67-Gallium citrate or 99mTc-PYP myocardial scintigraphy d. Abnormal intracardiac pressure, low cardiac, or abnormal wall motion or reduced ejection fraction of the left ventricle e. On endomyocardial biopsy, interstitial fibrosis or more than moderate cellular infiltration, even if the findings are nonspecific
  • #81 47 year-old man with no prior medical history presented with dizziness and a junctional rhythm with frequent premature ventricular contractions on a resting electrocardiogram. CMR revealed mildly reduced LV systolic function with akinesis of the basal and midinferior and inferolateral walls. LGE images (A, long axis; B, short axis) demonstrate midmyocardial and epicardial LGE (arrows). In A, apart from the inferolateral midwall enhance- ment (bottom arrows), there was a second focus of LGE seen in the basal septum (top arrow). This pattern of midmyocardial and epicardial LGE is consistent with an infiltrative process, such as sarcoidosis. AO = aorta; LA = left atrium; RV = right ventricle.
  • #83 Renal failure progressive dyspnea on exertion. A, CMR reveals left ventricular hypertrophy with severe biventricular systolic dysfunction (four-chamber long-axis cine systolic image). B, Matching LGE imaging shows rapid washout of the contrast agent from the blood pool with diffuse intramyocardial LGE of the septum, subendocardial LGE of the inferior wall, and diffuse atrial LGE (black arrows). This pattern is consistent with amyloidosis.
  • #86 Breath-hold cineangiocardiographic (cine) MRI (single phase shown) and T2-weighted turbo spin echo imaging shows marked pericardial thickening (orange arrowheads). Real-time cineMRI demonstrates displacement of the interventricular septum (orange arrows) toward the left ventricle during early inspiration, consistent with ventricular interdependence. The dotted orange line highlights the movement of the diaphragm.
  • #89 Top: The approximate plane of the ASD is initially found on long- and short-axis cineangiocardiographic (cine) MRI views of the atria. In-plane velocity-encoding MRI is used to visualize the direction of ASD flow. An en face view of the ASD is prescribed as a plane orthogonal to the direction of ASD flow in both the long- and short-axis planes (dashed black line). Bottom: ASD flow can be directly measured from the en face view using through-plane velocity-encoding MRI. Adding the en face ASD flow to aortic flow and dividing the sum by aortic flow can calculate the shunt fraction. Also, note the minimal retroaortic rim that precluded percutaneous closure in this patient.