Closed Fractures of
the Tibial Diaphysis
David Templeman, MD
Robert Cantu, MD
Anatomy
• 4 compartments of leg
• Canal expands and
cortex thins
proximally and
distally at
metaphyseal-
diaphyseal junctions
• Blood supplyvia single
nutrient artery and periosteal
arteries
• Much emphasis to Hi E fractures
• In Fact: 76.5% are closed & 53.5% are Tscherne
C1 Injuries
Tibial Fractures
• 492,000 per year (incidence)
• 100,000 nonunions per year (prevelance)
Physical Exam
• Pain, inability to bear weight, and deformity may
be seen
• Local swelling and edema variable
• Careful inspection of soft tissue envelope
necessary, including compartment swelling
• Thorough neurovascular assessment including
motor/sensory exam and distal pulses
Physical Exam
• Soft tissue injury with high-energy crush
mechanism may take several days to fully
declare itself
• Repeated exam often necessary to follow
compartment swelling
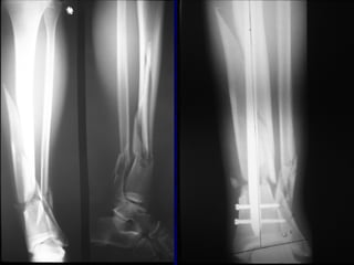
Radiographic Evaluation
• AP and Lat views of entire tib/fib required
from knee to ankle
• Oblique views can be helpful in follow-up
to assess healing
Associated Injuries
• Up to 30% of patients
with tibial fractures have
multiple injuries*
• Fracture of the ipsilateral
fibula common
• Ligamentous injury of
knee common in high
energy tibia fractures
*Browner and Jupiter, Skeletal Trauma, 2nd
Ed
Associated Injuries
• Ipsilateral femur fx, so
called “floating knee”, seen
in high energy injuries
• Neuro/vascular injury less
common than in proximal
tibia fx or knee dislocation
• Foot and ankle injury should
be assessed on physical
exam and x-ray if needed
Classification
• Numerous classification systems have been
proposed
• Important variables are pattern and location
of fracture, associated fibula fracture, extent
of comminution, and degree of soft tissue
injury
Johner and Wruh’s Classification
• Recognizes
relationship between
fracture pattern and
mechanism
• Extent of comminution
prognostic for time
to union
Henley’s Classification
• Applies Winquist and
Hansen grading of
femur fractures to the
tibia
Tscherne Classification of
Soft Tissue Injury
• Grade 0- negligible soft tissue injury
• Grade 1- superficial abrasion or contusion
• Grade 2- deep contusion from direct trauma
• Grade 3- Extensive contusion and crush injury
with possible severe muscle injury
Compartment Syndrome
• 5-15%
• HISTORY
Hi-Energy
Crush
Nerve is the Tissue most
Sensitive to Ischemia
• PAIN first Symptom
• PAIN with Passive Stretch first Sign
Each Compartment
has Specific Innervation
• Ant Comp Deep- - Peroneal
• Lateral -Sup Peroneal N.
• Deep Post. - Tibial N.
• Sup Post. - Sural N.
Anterior Compartment
• Dorsiflexes ankle
• Tib ant, EDL, EHL,
and peroneus tertius
muscles
• Anterior tibial a. +v.,
deep peroneal n.
Lateral Compartment
• Everts the foot
• Peroneus brevis and
longus muscles
• Superficial peroneal n.
supplies motor to PB
and PL and sensation
to dorsum of foot,
except first web space
Superficial Posterior
Compartment
• Plantar flexes ankle
• Gastrocnemius,
soleus,popliteus, and
plantaris muscles
• Sural nerve provides
sensation to lateral heel
• Greater and lesser
saphenous veins
Deep Posterior Compartment
• Plantar flexion and
inversion of foot
• FDL, FHL, Tib post
muscles
• Post tibial vessels,
peroneal a., and tibial
nerve
Fundamental Problem
• ? Pressure Of Ischmia
• Aerobic - Anaerobic
• Clinical Need to Obtain Tissue Pressures
Pressures Not Uniform
• Highest at Fracture
Site
• Highest Pressures in
Posterior
&
Anterior
Compartments
• Heckman Jbjs 76
Compartment Syndrome is a
Clinical Diagnosis
Pressure Measurement are
Helpful
• Delta P
• Diastolic BP - Compartment Pressure
• > 30 is considered ‘Safe’
Clinical Monitoring
• Need Close Observation
• Repetitive Exams
• Some instances repetitive Pressure
measurements
Compartment Pressures
• Various Thresholds
P = 30
P = 45
∆ P < 30
∆ P
• Difference between diastolic BP &
Compartment Pressure
• When less than 30 + clinical findings
perform fasciotomy
Goals of Fasciotomy
• Decompress The Compartment
• Fixation
• Closure
• Do Not Strip Muscle From The Bone
Single vs. two Incisions
• Wide Release
• Arterial Injury to the Anterior Tibial Artery
Closed Tibial Shaft Fractures
• Broad Spectrum of Injures No Single
Treatment
• Dependent on Mechanism of Injury
Extensive Soft
Tissue Injury
Due to Crushing
Mechanism
of Injury
Natural History
• Studies Indicate that angular deformities
tolerated without associated Knee or Ankle
Arthrosis
• Kristensen >10-deg F/U:
20-29 yr
• Merchant F/U 29 yrs. No assoc.
with ang., site, immob. (37/108)
Nonoperative Treatment
• Casts
• Functional Bracing
• Nondisplaced & Low Energy Injuries
Sarmiento
• Closed Functional Treatment
About 1,000 Tibial Fractures
• 60% Lost to F/u
• No Report on Rom
Initial shortening should <
1.4mm.
• Union 98.5%
• Time 18.1 Wks.
• Short >20mm 1.4%
Angulation
• No clear scientific proof that angulation
causes arthrosis of knee or ankle in these 2
studies
Ankle Motion
• 25% patients with
25% loss of ankle-
ROM
Surgical Options
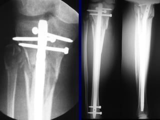
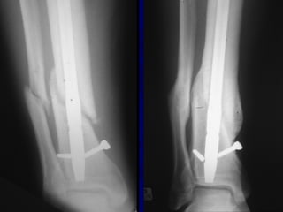
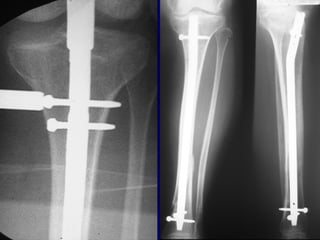
• Intramedullary nail
• ORIF with plate
• External Fixation
Advantages of IM Nail
• Advantages include
less malunion and less
shortening than closed
treatment or ex-fix
• Earlier weight bearing
may be allowed with
insertion large nail
Hooper
• In a prospective study found that when
displacement >50% and angulation >10 deg.
• Nails superior to cast treatment
F/U 4.4years
Cast Nail
• SF36 74 85
• KNEE 89 96
• ANKLE 84 97
• BONE JBJS JULY 1998
Reamed vs. Nonreamed
IM Nailing
for
Displaced Tibial Fractures
Variables
• Reamings (osteogenic)
• Larger Nails (bolts)
• Studies Comparing reamed vs. nonreamed
also compare nail diameters and stronger
constructs
Reamed vs. Nonreamed
Nail Size
0
5
10
15
20
25
30
8 9 10 11 12 13 14
Nail Diameter
No. Used
Reamed
Unreamed
Stability
When
To
Interlock?
Loss of Alignment without
Interlocking Nails
• Spiral 7/22
• Transverse 0/27
• Metaphyseal 7/28
• Templeman CORR 1997
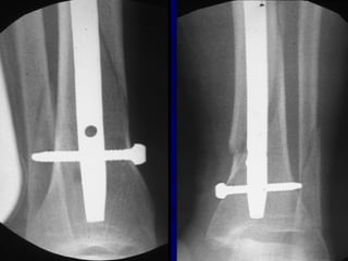
Expanded Indications
• Proximal 1/3
• Distal 1/3
• Increased Problems
Reduction
• Proximal Fractrues are technically more
challenging
• Prone to Valgus &
• Pro-curvatum deformities
Technique
• Screws placed on
concave side of
deformity.
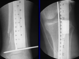
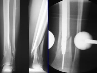
Blocking (Poller) Screws
• Functionally narrow im canal
• Increase strength and rigidity of fixation
The Use of Poller Screws as Blocking
Screws in Stabilising Tibial Fractures
Treated with Small Diameter Nails
• 21 patients
• All healed within 3-12 months
• Mean alignment 1 degree valgus, antecurvatum 2
degrees.
Krettek C, et al. JBJS 81B: 963, 1999
• Entry Site for Proximal
fractures Critical
• Reference is
Lateral Tibial Spine
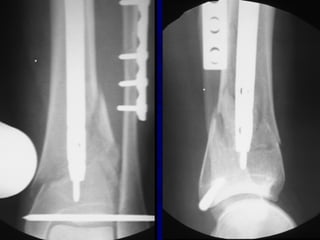
Nailing
Distal
Tibia
Reduction of Distal Tibial
Fractures
• Distractor
• Joy Stick
• Fibular Plating
• Calcaneal Traction
Pin
//
Ankle
Plate
Fibula
+ Alignment
- Dynamization
Proximal and Distal Cases Courtesy
of
R. Winquist M.D.
Seattle, Wa.
Results
Reamed and Nonreamed techniques are
comparable; more bolt breakage with
smaller nonreamed implants
Blachut JBJS 79A
+R -R
73 63
N/U 4% 11%
Mal. 4% 3%
Screws 3% 16%
Complications
• Infection 1-5%
• Union >90%
• Knee Pain
Common
Anterior Knee Pain
• Severe 9%
• Moderate 22%
• Mild 68%
Knee Pain
• Severe 9%
• Moderate 22%
• Mild 68%
• Kneeling 92%
• Running 57%
• Rest 37%
Nail Removal
• Resolved 27%
• Marked improv 69%
• Complete 44%
• Partial 34%
• No - 20%
Iaquinto 1998
Epidural
4.1 X
Neurological Complications
Disadvantages of IM Nail
• Disadvantages include anterior knee pain
(up to 56.2% *), risk of infection, increased
hardware failure with unreamed nails
*Court-Brown et al. JOT 97
External Fixator
• External fixation
generally reserved
for open tibia
fractures or
periarticular
fractures
Technique of External Fixation
• For tibial shaft fracture, unilateral
frame with half pins usually
sufficient
• Two half pins(5mm for most
adults) placed near fracture and and
two half pins placed far away from
fracture(‘near-near and far-far’)
• Pre-drilling of pins recommended
• Fracture held reduced while clamps
and connecting bar applied
Advantages of External Fixator
• Can be applied
quickly in polytrauma
patient
• Allows easy
monitoring of soft
tissues and
compartments
Disadvantages of External
Fixator
• Increased incidence of malunion compared
to IM nail
• Risk of pin tract infection, cellulitis
Plating of Tibial Fractures
• Narrow 4.5mm DCP
plate can be used for
shaft fractures
• Newer periarticular
plates available for
metaphyseal
fractures
Technique of Tibial Plating
• Anterior longitudinal incision allows placement of plate on
medial border of tibia
• 4.5mm LCDCP plate secured to bone on distal fragment
• Butterfly fragment can be secured with interfragmentary
screw
• The AO articulating tension device can be secured to
proximal part of plate to aid reduction
• With fracture reduced, screws placed through plate on
either side of fracture
Technique of Tibial Plating
• Newer alternative is
use of limited
incisions and
subcutaneous plating-
requires indirect
reduction of fracture
Advantages of Plating
Anatomic reduction usually obtained
In low energy fractures 97% very good/good
results have been reported*
*Ruedi et al. Injury vol 7
Disadvantages of Plating
• Increased risk of
infection and soft
tissue problems,
especially in high
energy fractures
• Higher rate hardware
failure than IM nail
Outcomes of Tibial Shaft
Fractures
• Casting followed by functional
bracing shown to have good
results for low energy, isolated
fractures with less than 12mm
initial shortening and acceptable
angular and rotational alignment.
In one study the nonunion rate was
1.1% and final angulatory
deformity in any plane was less
than or equal to 6 degrees in 90%
of patients.*
• *Sarmiento et al. CORR 95
Outcomes of Plate Fixation
• For low energy tibial fractures 97% ‘very good/good’
results have been reported, although most studies not this
favorable*
• Complications such as hardware failure and infection have
been as high as 48% after plating comminuted fractures**
*Ruedi et al. Injury,7,252-257
**Johner and Wruhs, Clin Orthop 1983
Outcomes of External Fixation
• 95% union rate has been reported for group of closed and
open tibia fractures, but 20% malunion rate*
• Most common complications are pin track infections and
malunion**
• Loss of reduction associated with removing frame prior to
union
*Anderson et al. Clin Orthop 1974
**Edge and Denham JBJS[Br] 1981
Outcomes of IM Nailing
• In a study of 200 closed, low-energy tibia fractures treated
with cast versus IM nail, the results for nailing were: union
rate=98%, malunion rate=0, infection=3.3%. The results
of casting were: union rate=90%, malunion rate=4.3%, and
infection=1.4%*
* Puno et al. Clin Orthop 1986
Outcomes of IM Nailing
• Another large group of tibia fractures treated with reamed
IM nail had 98% union rate and 3% infection rate*
• Most common complication after IM nailing remains
anterior knee pain **
*Williams et al. JOT 1995
** Court-Brown et al. JBJS 1990
Return to
Lower Extremity
Index

L10 closed tibia

  • 1.
    Closed Fractures of theTibial Diaphysis David Templeman, MD Robert Cantu, MD
  • 2.
    Anatomy • 4 compartmentsof leg • Canal expands and cortex thins proximally and distally at metaphyseal- diaphyseal junctions • Blood supplyvia single nutrient artery and periosteal arteries
  • 3.
    • Much emphasisto Hi E fractures • In Fact: 76.5% are closed & 53.5% are Tscherne C1 Injuries
  • 4.
    Tibial Fractures • 492,000per year (incidence) • 100,000 nonunions per year (prevelance)
  • 5.
    Physical Exam • Pain,inability to bear weight, and deformity may be seen • Local swelling and edema variable • Careful inspection of soft tissue envelope necessary, including compartment swelling • Thorough neurovascular assessment including motor/sensory exam and distal pulses
  • 6.
    Physical Exam • Softtissue injury with high-energy crush mechanism may take several days to fully declare itself • Repeated exam often necessary to follow compartment swelling
  • 7.
    Radiographic Evaluation • APand Lat views of entire tib/fib required from knee to ankle • Oblique views can be helpful in follow-up to assess healing
  • 8.
    Associated Injuries • Upto 30% of patients with tibial fractures have multiple injuries* • Fracture of the ipsilateral fibula common • Ligamentous injury of knee common in high energy tibia fractures *Browner and Jupiter, Skeletal Trauma, 2nd Ed
  • 9.
    Associated Injuries • Ipsilateralfemur fx, so called “floating knee”, seen in high energy injuries • Neuro/vascular injury less common than in proximal tibia fx or knee dislocation • Foot and ankle injury should be assessed on physical exam and x-ray if needed
  • 10.
    Classification • Numerous classificationsystems have been proposed • Important variables are pattern and location of fracture, associated fibula fracture, extent of comminution, and degree of soft tissue injury
  • 11.
    Johner and Wruh’sClassification • Recognizes relationship between fracture pattern and mechanism • Extent of comminution prognostic for time to union
  • 12.
    Henley’s Classification • AppliesWinquist and Hansen grading of femur fractures to the tibia
  • 13.
    Tscherne Classification of SoftTissue Injury • Grade 0- negligible soft tissue injury • Grade 1- superficial abrasion or contusion • Grade 2- deep contusion from direct trauma • Grade 3- Extensive contusion and crush injury with possible severe muscle injury
  • 14.
    Compartment Syndrome • 5-15% •HISTORY Hi-Energy Crush
  • 15.
    Nerve is theTissue most Sensitive to Ischemia • PAIN first Symptom • PAIN with Passive Stretch first Sign
  • 16.
    Each Compartment has SpecificInnervation • Ant Comp Deep- - Peroneal • Lateral -Sup Peroneal N. • Deep Post. - Tibial N. • Sup Post. - Sural N.
  • 17.
    Anterior Compartment • Dorsiflexesankle • Tib ant, EDL, EHL, and peroneus tertius muscles • Anterior tibial a. +v., deep peroneal n.
  • 18.
    Lateral Compartment • Evertsthe foot • Peroneus brevis and longus muscles • Superficial peroneal n. supplies motor to PB and PL and sensation to dorsum of foot, except first web space
  • 19.
    Superficial Posterior Compartment • Plantarflexes ankle • Gastrocnemius, soleus,popliteus, and plantaris muscles • Sural nerve provides sensation to lateral heel • Greater and lesser saphenous veins
  • 20.
    Deep Posterior Compartment •Plantar flexion and inversion of foot • FDL, FHL, Tib post muscles • Post tibial vessels, peroneal a., and tibial nerve
  • 21.
    Fundamental Problem • ?Pressure Of Ischmia • Aerobic - Anaerobic • Clinical Need to Obtain Tissue Pressures
  • 22.
    Pressures Not Uniform •Highest at Fracture Site • Highest Pressures in Posterior & Anterior Compartments • Heckman Jbjs 76
  • 23.
    Compartment Syndrome isa Clinical Diagnosis
  • 24.
    Pressure Measurement are Helpful •Delta P • Diastolic BP - Compartment Pressure • > 30 is considered ‘Safe’
  • 25.
    Clinical Monitoring • NeedClose Observation • Repetitive Exams • Some instances repetitive Pressure measurements
  • 26.
    Compartment Pressures • VariousThresholds P = 30 P = 45 ∆ P < 30
  • 27.
    ∆ P • Differencebetween diastolic BP & Compartment Pressure • When less than 30 + clinical findings perform fasciotomy
  • 28.
    Goals of Fasciotomy •Decompress The Compartment • Fixation • Closure • Do Not Strip Muscle From The Bone
  • 29.
    Single vs. twoIncisions • Wide Release • Arterial Injury to the Anterior Tibial Artery
  • 30.
    Closed Tibial ShaftFractures • Broad Spectrum of Injures No Single Treatment • Dependent on Mechanism of Injury
  • 31.
    Extensive Soft Tissue Injury Dueto Crushing Mechanism of Injury
  • 32.
    Natural History • StudiesIndicate that angular deformities tolerated without associated Knee or Ankle Arthrosis
  • 33.
    • Kristensen >10-degF/U: 20-29 yr • Merchant F/U 29 yrs. No assoc. with ang., site, immob. (37/108)
  • 34.
    Nonoperative Treatment • Casts •Functional Bracing • Nondisplaced & Low Energy Injuries
  • 35.
    Sarmiento • Closed FunctionalTreatment About 1,000 Tibial Fractures • 60% Lost to F/u • No Report on Rom
  • 36.
    Initial shortening should< 1.4mm. • Union 98.5% • Time 18.1 Wks. • Short >20mm 1.4%
  • 37.
    Angulation • No clearscientific proof that angulation causes arthrosis of knee or ankle in these 2 studies
  • 38.
    Ankle Motion • 25%patients with 25% loss of ankle- ROM
  • 39.
    Surgical Options • Intramedullarynail • ORIF with plate • External Fixation
  • 40.
    Advantages of IMNail • Advantages include less malunion and less shortening than closed treatment or ex-fix • Earlier weight bearing may be allowed with insertion large nail
  • 41.
    Hooper • In aprospective study found that when displacement >50% and angulation >10 deg. • Nails superior to cast treatment
  • 42.
    F/U 4.4years Cast Nail •SF36 74 85 • KNEE 89 96 • ANKLE 84 97 • BONE JBJS JULY 1998
  • 43.
    Reamed vs. Nonreamed IMNailing for Displaced Tibial Fractures
  • 44.
  • 45.
    • Studies Comparingreamed vs. nonreamed also compare nail diameters and stronger constructs
  • 46.
    Reamed vs. Nonreamed NailSize 0 5 10 15 20 25 30 8 9 10 11 12 13 14 Nail Diameter No. Used Reamed Unreamed
  • 47.
  • 48.
  • 49.
    Loss of Alignmentwithout Interlocking Nails • Spiral 7/22 • Transverse 0/27 • Metaphyseal 7/28 • Templeman CORR 1997
  • 50.
    Expanded Indications • Proximal1/3 • Distal 1/3 • Increased Problems
  • 51.
  • 53.
    • Proximal Fractruesare technically more challenging • Prone to Valgus & • Pro-curvatum deformities
  • 55.
    Technique • Screws placedon concave side of deformity.
  • 56.
    Blocking (Poller) Screws •Functionally narrow im canal • Increase strength and rigidity of fixation
  • 57.
    The Use ofPoller Screws as Blocking Screws in Stabilising Tibial Fractures Treated with Small Diameter Nails • 21 patients • All healed within 3-12 months • Mean alignment 1 degree valgus, antecurvatum 2 degrees. Krettek C, et al. JBJS 81B: 963, 1999
  • 58.
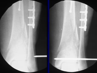
    • Entry Sitefor Proximal fractures Critical • Reference is Lateral Tibial Spine
  • 61.
  • 63.
    Reduction of DistalTibial Fractures • Distractor • Joy Stick • Fibular Plating • Calcaneal Traction
  • 70.
  • 79.
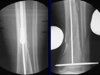
  • 85.
    Proximal and DistalCases Courtesy of R. Winquist M.D. Seattle, Wa.
  • 86.
    Results Reamed and Nonreamedtechniques are comparable; more bolt breakage with smaller nonreamed implants
  • 87.
    Blachut JBJS 79A +R-R 73 63 N/U 4% 11% Mal. 4% 3% Screws 3% 16%
  • 88.
    Complications • Infection 1-5% •Union >90% • Knee Pain Common
  • 89.
    Anterior Knee Pain •Severe 9% • Moderate 22% • Mild 68%
  • 90.
    Knee Pain • Severe9% • Moderate 22% • Mild 68% • Kneeling 92% • Running 57% • Rest 37%
  • 91.
    Nail Removal • Resolved27% • Marked improv 69% • Complete 44% • Partial 34% • No - 20%
  • 92.
  • 93.
    Disadvantages of IMNail • Disadvantages include anterior knee pain (up to 56.2% *), risk of infection, increased hardware failure with unreamed nails *Court-Brown et al. JOT 97
  • 94.
    External Fixator • Externalfixation generally reserved for open tibia fractures or periarticular fractures
  • 95.
    Technique of ExternalFixation • For tibial shaft fracture, unilateral frame with half pins usually sufficient • Two half pins(5mm for most adults) placed near fracture and and two half pins placed far away from fracture(‘near-near and far-far’) • Pre-drilling of pins recommended • Fracture held reduced while clamps and connecting bar applied
  • 96.
    Advantages of ExternalFixator • Can be applied quickly in polytrauma patient • Allows easy monitoring of soft tissues and compartments
  • 97.
    Disadvantages of External Fixator •Increased incidence of malunion compared to IM nail • Risk of pin tract infection, cellulitis
  • 98.
    Plating of TibialFractures • Narrow 4.5mm DCP plate can be used for shaft fractures • Newer periarticular plates available for metaphyseal fractures
  • 99.
    Technique of TibialPlating • Anterior longitudinal incision allows placement of plate on medial border of tibia • 4.5mm LCDCP plate secured to bone on distal fragment • Butterfly fragment can be secured with interfragmentary screw • The AO articulating tension device can be secured to proximal part of plate to aid reduction • With fracture reduced, screws placed through plate on either side of fracture
  • 100.
    Technique of TibialPlating • Newer alternative is use of limited incisions and subcutaneous plating- requires indirect reduction of fracture
  • 101.
    Advantages of Plating Anatomicreduction usually obtained In low energy fractures 97% very good/good results have been reported* *Ruedi et al. Injury vol 7
  • 102.
    Disadvantages of Plating •Increased risk of infection and soft tissue problems, especially in high energy fractures • Higher rate hardware failure than IM nail
  • 103.
    Outcomes of TibialShaft Fractures • Casting followed by functional bracing shown to have good results for low energy, isolated fractures with less than 12mm initial shortening and acceptable angular and rotational alignment. In one study the nonunion rate was 1.1% and final angulatory deformity in any plane was less than or equal to 6 degrees in 90% of patients.* • *Sarmiento et al. CORR 95
  • 104.
    Outcomes of PlateFixation • For low energy tibial fractures 97% ‘very good/good’ results have been reported, although most studies not this favorable* • Complications such as hardware failure and infection have been as high as 48% after plating comminuted fractures** *Ruedi et al. Injury,7,252-257 **Johner and Wruhs, Clin Orthop 1983
  • 105.
    Outcomes of ExternalFixation • 95% union rate has been reported for group of closed and open tibia fractures, but 20% malunion rate* • Most common complications are pin track infections and malunion** • Loss of reduction associated with removing frame prior to union *Anderson et al. Clin Orthop 1974 **Edge and Denham JBJS[Br] 1981
  • 106.
    Outcomes of IMNailing • In a study of 200 closed, low-energy tibia fractures treated with cast versus IM nail, the results for nailing were: union rate=98%, malunion rate=0, infection=3.3%. The results of casting were: union rate=90%, malunion rate=4.3%, and infection=1.4%* * Puno et al. Clin Orthop 1986
  • 107.
    Outcomes of IMNailing • Another large group of tibia fractures treated with reamed IM nail had 98% union rate and 3% infection rate* • Most common complication after IM nailing remains anterior knee pain ** *Williams et al. JOT 1995 ** Court-Brown et al. JBJS 1990 Return to Lower Extremity Index