Embed presentation
Downloaded 97 times























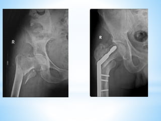
This document discusses the treatment of intertrochanteric hip fractures with different fixation devices. It notes that cephalomedullary devices are preferable to dynamic hip screws for fractures with posteromedial comminution or subtrochanteric extension due to their ability to provide controlled collapse and reduce bending forces. The document emphasizes the importance of pre-operative planning, proper reduction techniques, and achieving a tip-apex distance under 25mm for successful fixation with cephalomedullary devices.






















