Patella, tibia, foot and
ankle injuries
Dr. Yasser Alwabli
Orthopedics
Contents
• Patella fracture
• Knee dislocation
• Tibia fractures
• Tibial plateau
• Shaft
• Ankle fractures
• Talus fracture
• Calcaneus fracture
• Metatarsal fractures
Patella Fractures
Anatomy
• Patella
• Largest sesamoid bone
• Triangular shape (apex distal)
• Distal pole - patellar tendon origin
• Proximal pole – quadriceps insertion
• Proximal ¾ covered with articular cartilage
• Medial/lateral facets: Lateral is typically larger
Patella fractures
• Mechanism
• Direct blow
• Indirect trauma
Clinically
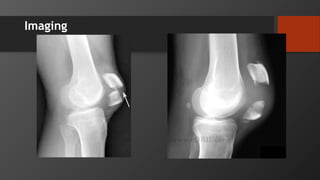
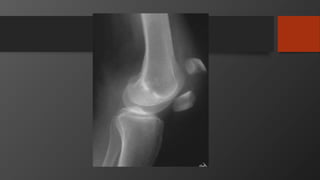
Imaging
Imaging
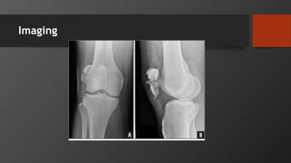
Imaging – bipartite patella
Treatment
• Non-operative
• Non-displaced frx (˂ 2 mm) with intact extensor mechanism
• Long leg / cylinder cast in extension
• Typically 4-6 weeks
• Operative
• ORIF for displaced, comminuted or disrupted extensor mechanism
• Partial patellectomy
• Total patellectomy
ORIF by tension band wiring
Tension Band
Biomechanical Principle
• Distractive forces of
quadriceps contracture
produces compression along
articular surface
Complications
• Anterior knee pain
• Symptomatic hardware
• Non-union
• Stiffness
• Infection
Knee Dislocation
Knee dislocation
• Mechanism
• High-energy trauma
• 3 out of 4 ligaments should be torn to dislocate the knee
• Imaging
• X-Ray: AP, Lateral
• MRI for surgical planning (later)
Initial management
• X-rays
• NV exam
• Vascular is priority
• Initial stability exam
• Reduce knee
• Maintain reduction
• Secondary studies
• MRI
• MRA
• CTA
• Angio
Other investigations
• Ankle-Brachial Index
• Less than 0.9 is abnormal
• CT angiography for suspected vascular injury
Treatment
• Urgent closed reduction
• Assessment of neurovascular status
• Immobilize for 6-8 weeks
• Surgery (indications)
• Vascular injury
• Irreducible dislocation
• Open fracture/dislocation
Initial management
• Reduce knee
• Usually need relaxation
and sedation
• If knee remains
reduced, brace or splint
can be adequate
temporarily
• If knee re-dislocates,
ex-fix
• If unable to close
reduce, then open
reduction needed with
placement of ex-fix
Tibial Plateau Factures
Anatomy
• Consist of medial and lateral
plateau
• Medial larger
• Medial lower (concave)
• Medial bone harder (thus
less likely to fracture)
• Lateral higher (convex)
• Lateral cartilage thicker
(3 vs.. 4 mm)
MedialLateral
Anatomy
Medial
concave
Lateral
convex
Anatomy
• Bony prominences
• Intercondylar eminence
(menisci & cruciate ligaments
attachment)
• Tibial tubercle (patellar
tendon)
• Gerdy’s tubercle (Iliotibial
band)
Anatomy
• Lateral Meniscus
• Larger (cover more articular
surface)
• Commonly torn with lateral
plateau fracture
• Medial Meniscus
• “C” shaped
MedialLateral
Tibial Plateau Fracture
• Mechanism
• Varus/valgus load with or without axial load
• Like fall from height
Mechanism of Injury
• Valgus producing force
• Lateral plateau
• Varus producing force
• Medial plateau
• Axial compressive force
• Bicondylar plateau
• Combination
• High energy
• Bicondylar plateau
• Soft tissue injury
Mechanism of Injury
• Valgus producing force
• Lateral plateau
• Varus producing force
• Medial plateau
• Axial compressive force
• Bicondylar plateau
• Combination
• High energy
• Bicondylar plateau
• Soft tissue injury
Mechanism of Injury
• Valgus producing force
• Lateral plateau
• Varus producing force
• Medial plateau
• Axial compressive force
• Bicondylar plateau
• Combination
• High energy
• Bicondylar plateau
Associated Injuries
• Ligaments
• MCL, LCL
• ACL, PCL
• Menisci
• Popliteal artery
• Peroneal nerve
• Compartment syndrome
MCL tear
Associated Injuries
• Lateral plateau
• Tear of meniscus
• MCL / ACL tear
• Medial Plateau
• Fracture / dislocation variant
• Popliteal artery injury
• Peroneal nerve injury
• Bicondylar
• Open injury
• Compartment syndrome
Classifcation
• Schtzker classification
Tibial Plateau Fracture
• Presentation
• Swelling
• Effusion
• Inability to bear weight
• Always rule out open fractures
• Always check for compartment syndrome
• Always check NV status
Evaluation - History
• Mechanism of injury
• Injury factors
• Patient factors
• Age
• Bone quality
• Comorbidities
• Previous level of activity
• Function demands
Evaluation – Physical Exam
• Initial Inspection
• Skin integrity
• Soft tissue swelling
• Open fracture
• Gross deformity
• Shortened limb
• Neurovascular
status
• Document the Exam
Evaluation – Physical Exam
• Low energy mechanism
• Knee swelling
• Limited knee ROM
• Tender to palpation
• Able to assess knee stability
• Varus/valgus stress
• 0 and 30 degrees
• Lachman’s exam for ACL deficiency
• High energy mechanism
• ATLS
• Resuscitation
• Limb threatened
• Soft tissue integrity
• Open fracture
• Abrasions
• Blisters
• Compartment syndrome
Evaluation – Physical Exam
• Soft tissue assessment
• Know
• Gustilo open fractures
classification
• Avoid missing compartment
syndrome
• Determine timing of surgery
Evaluation – Physical Exam
• Document NV status
• Neurologic
• Peroneal nerve
• Vascular
• Ankle-Brachial Index
• ABI > 0.9
Evaluation – Physical Exam
• ABI < 0.90
• Predictable of arterial
injury
• Vascular consult
• Proceed with arteriogram
• ABI > 0.90
• Admit for observation
• Followed with serial
reassessments
Tibial Plateau Fracture
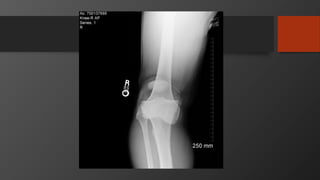
• Imaging:
• X-Ray: AP, Lateral
• CT for preop planning, assessing articular depression
• MRI
• ABI if any differences in pulses between limbs
Evaluation - Radiographic
• CT scan
• Surgical consideration exists
• Complex fractures to assist in
surgical planning
• Obtain CT after applying traction
(ex fix)
Evaluation - Radiographic
• MRI scan?
• Subtle nondisplaced
fracture line
Treatment
• Non-operative
• Minimally displaced frx (˂ 3 mm)
• Hinged knee brace + immediate passive ROM
• Operative
• Delayed ORIF and temporary external fixator
• Significant soft tissue injury
• ORIF
• Displaced ˃ 3 mm
• All bicondylar fracture
• All medial plateau fractures
Treatment Principles
• Soft tissue management
• Surgical timing is
important
• Wrinkles in the skin
• Temporary Stabilization
• Staged protocol
Treatment Principles
• Anatomic reduction of
articular surface
• Reduce condylar width
• Restore mechanical axis
• Stable fixation
• Early ROM
Treatment Options: Nonsurgical
• Patient factors
• Elderly
• Nonambulatory
• Injury factors
• Articular congruity
• Stable Varus / Valgus
stress
Nonsurgical
• Immobilize 1-2 weeks
• Knee immobilizer or hinge
knee brace
• Start ROM
• NWB 6-8 weeks
Indications for Surgery
• Relative indications
• Malalignment
• Articular incongruity
• >3mm in young, active
• Condyle widening
• Absolute indications
• Open tibial plateau
• Associated
compartment
syndrome
• Associated vascular
injury
Timing of Surgery
Low Energy:
Fixed electively and early
High Energy:
Be patient
Temporary External Fixation
• Knee external fixation
• Improve fracture fragment
gross alignment
• Length and alignment
• Minimize further damage to
articular surface
Complications
• Infection
• Nonunion
• Stiffness
• Posttraumatic arthritis
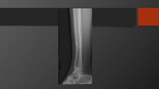
Tibia Shaft Fractures
Tibia shaft fractures
• Mechanism
• Low energy usually torsional injury
• High energy, e.g. road-traffic accident
Tibia shaft fractures
• Presentation
• Swelling
• Pain
• Inability to bear weight
• Always rule out open fractures
• Always check for compartment syndrome
• Always check neurovascular status
Tibial Plateau Fracture
• Imaging:
• X-Ray: AP, Lateral
• Full length
• Knee and ankle also
Treatment
• Non-operative
• Closed and minimally displaced
• or adequate closed reduction
• Long leg cast for 8-12 wks
• Operative
• Displaced or open
• If displaced and closed
• Standard treatment is reamed IM nail
• If open frx – treat as per open fracture guidelines
Closed Tibial Shaft Fracture
• Broad Spectrum of Injures w/
many treatments
• Closed Management
• Intramedullary Nails
• Plates
• External Fixation
Non-Operative Treatment Indications
•Stable fracture pattern
• < 5° varus/valgus
• < 10° pro/recurvatum
• < 1 cm shortening
Surgical Indications
• Injury Characteristics
• Open Fracture
• Compartment Syndrome
• Ipsilateral Femur Fx
• Vascular Injury
• Fracture Characteristics
• Oblique fracture pattern
• Coronal Angulation > 5°
• Sagittal Angulation > 10°
• Rotation > 5°
• Shortening > 1cm
• Intact fibula
Surgical Options
• Intramedullary Nail
• ORIF with Plate
• External Fixation
• Combination of fixation
Advantage of IM Nail
• Less malunion
• Early weight-bearing
• Early motion
• Early WB
Too Low! Too Medial!
Procurvatum Valgus
Plating of Tibial Fractures
• A plate can be used for shaft fractures
• Newer periarticular plates available for
metaphyseal fractures
Advantages of Plating
• Anatomic reduction usually
obtained
Disadvantages of Plating
• Increased risk of
infection and soft tissue
problems, especially in
high energy fractures
• Higher rate hardware
failure than IM nail
• Delayed WB
External Fixator
• Generally
reserved for open
tibia fractures
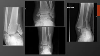
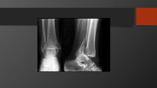
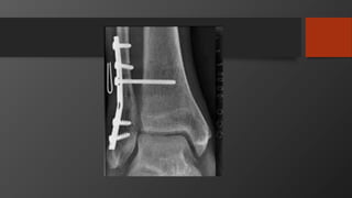
Ankle Fractures
Imaging
• AP, Lateral
• Mortise view
• CT scan
• Especially posterior malleolus
Initial treatment- reduce dislocations
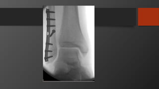
Treatment
• Isolated lateral malleolus fractures
• Isolated medial malleolus fractures
• Bimalleolar fractures
• Posterior malleolus fractures
Syndesmosis injury
Special consideration
• Diabetics
• Enhance fixation
• Delay weight-bearing for 8-12 wks
Complications
• Wound complications
• Deep infections
• Posttraumatic arthritis
Talus Fractures
Talus Fractures
• Most common at talar neck
• Axial load with forced dorsiflexion
Imaging
• AP, Lateral
• Canale view
• CT scan
• Best for delineating fractures
Treatment
• Non-displaced
• Short-leg cast for 8-12 wks
• Displaced
• ORIF
Complications
• Osteonecrosis
• Varus malunion
• Posttraumatic arthritis
Calcaneal Fractures
Calcaneal Fractures
• Most frequent tarsal fracture
• High energy, axial loading
• fall from height onto heels
• 10% of fractures associated with compression fractures of thoracic
or lumbar spine (rule out spine injury)
• 75% intra-articular and 10% are bilateral
Imaging
• AP, Lateral
• Harris view
• CT scan
• Gold standard
• MRI
• For calcaneal stress fractures
Harris view
Treatment
• Controversial
• Mostly conservative
• Immobilization and NWB for 10-12 weeks
• Indications for surgery
• Tongue type
• Displaced articular
• Other general indications for surgery in fractures
Complications
• Wound complications
• Posttraumatic arthritis
• Compartment syndrome
• Malunion
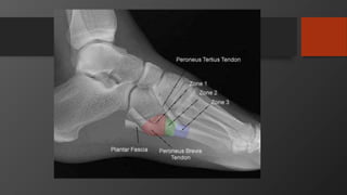
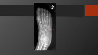
Fifth Metatarsal Fractures
Fifth metatarsal fractures
• Common injury
• Divided into 3 zones
• Zone 2 is Jones fracture
• Zone 1 is Pseudojones fracture
Lisfranc Injury
Patella, tibia, foot and ankle injuries
Patella, tibia, foot and ankle injuries
Patella, tibia, foot and ankle injuries
Patella, tibia, foot and ankle injuries
Patella, tibia, foot and ankle injuries

Patella, tibia, foot and ankle injuries

Editor's Notes

  • #6 Direct anterior blow Typically with knee flexed Failure in compression Often comminuted Extensor mechanism may be intact Indirect mechanism Forceful extensor mechanism contraction that exceeds patellar tensile strength 2 part transverse fracture
  • #8 Lateral is most helpful.
  • #13 Goals Maintain biomechanical/functional integrity Restoration of articular congruity
  • #18 Classification based on position of tibia in relation to femur.