Proximal Tibia Fractures
Proximal tibia fractures include those
fractures above the tibial tuberosity.
These fractures can be divided based on
their involvement of the articular surface.
Articular fractures include the condylar
(tibial plateau) fractures, whereas
extraarticular injuries involve the tibial
spine, tubercle, and subcondylar
regions.
Mechanism of Injury
• The forces that normally act on the tibial plateau include
axial compression and rotation. Fractures result when
these forces exceed the strength of the bone.
• A direct mechanism, such as a fall from a height, is
responsible for approximately 20% of condylar fractures.
Automobile-pedestrian accidents, where the car bumper
strikes the patient over the proximal tibia are responsible
for approximately 50% of these fractures. The remainder
of the fractures result from a combination of axial
compression and rotational strain. Fractures of the
lateral tibial plateau usually result from an abduction
force on the leg. Medial plateau fractures typically result
from adduction forces on the distal leg. If the knee is
extended at the time of injury, the fracture tends to be
anterior. Posterior condylar fractures usually follow
injuries in which the knee was flexed at the time of
impact.
Classification
Examination
• The patient will usually present with a
chief complaint of pain and swelling with
the knee slightly flexed. On examination,
there frequently is an abrasion indicating
the point of impact, along with an effusion
and reduced range of motion secondary to
pain. Valgus or varus deformity indicates a
depressed fracture. A thorough
neurovascular examination is indicated.
Imaging
• AP, lateral, and oblique views are usually
adequate for demonstrating these
fractures .
• Computed tomography (CT) scanning .
• Magnetic resonance imaging (MRI),
Associated Injuries
• 1. Ligamentous, meniscal injuries, or both
frequently accompany these fractures.
With a lateral condylar fracture, medial
collateral ligament, anterior cruciate, and
lateral meniscal injuries should be
suspected. With a medial condylar
fracture, lateral collateral ligament,
cruciate, and medial meniscal injuries
should be suspected.
• 2. Vascular injuries, either acute or
delayed in presentation, may be seen after
these fractures, especially type fractures.
• 3. Compartment syndrome (rare).
Associated Injuries
Treatment
• Nonoperative
• Indicated for nondisplaced or minimally
displaced fractures and in patients with
advanced osteoporosis.
• Protected weight bearing and early range of
knee motion in a hinged fracture-brace are
recommended.
• Isometric quadriceps exercises and progressive
passive, active-assisted, and active range-of-
knee motion exercises are indicated.
• Partial weight bearing (30 to 50 lb) for 8 to 12
weeks is allowed, with progression to full weight
bearing.
Nonoperative
• Operative
• Surgical indications:
– The reported range of articular depression
that can be accepted varies from <2 mm to 1
cm.
– Instability >10 degrees of the nearly extended
knee compared to the contralateral side is an
accepted surgical indication. Split fractures
are more likely to be unstable than pure
depression fractures in which the rim is intact
– Open fractures should be treated surgically.
– Compartment syndrome is a surgical
indication.
– Associated vascular injury is an indication
Operative treatment principles
• Reconstruction of the articular surface, followed
by reestablishment of tibial alignment, is the
goal.
• Treatment involves buttressing of elevated
articular segments with bone graft or bone graft
substitute.
• Fracture fixation can involve use of plates and
screws, screws alone, or external fixation.
• The choice of implant is related to the fracture
patterns, the degree of displacement, and
familiarity of the surgeon with the procedure.
• Adequate soft tissue reconstruction including
preservation and/or repair of the meniscus as
well as intraarticular and extraarticular
ligamentous structures should be addressed
• Surgical treatment usually is
recommended for fractures associated
with instability, ligamentous injury, and
significant articular displacement; open
fractures; and fractures associated with
compartment syndrome.
Complications
• Loss of full knee motion may follow prolonged
immobilization.
• Degenerative arthritis may develop despite
optimum therapy.
• Angular deformity of the knee may develop in
the first several weeks even with initially
nondisplaced fractures.
• Knee instability or persistent subluxation
secondary to ligamentous damage.
• Infection may complicate the course of open
fractures or those treated surgically.
• Neurovascular injuries and compartment
syndromes.
Tibia Fibula Shaft
EPIDEMIOLOGY
• In an average population, there are about
26 tibial diaphyseal fractures per 100,000
population per year.
• Men are more commonly affected than
women, with the male incidence being
about 41 per 100,000 per year and the
female incidence about 12 per 100,000
per year.
• The average age of a patient sustaining a
tibia shaft fracture is 37 years, with men
having an average age of 31 years and
women 54 years
Mechanisms of Injury
• Indirect
• Torsional mechanisms
– Twisting with the foot fixed and falls from low
heights are causes.
– These spiral, nondisplaced fractures have
minimal comminution associated with little soft
tissue damage
Direct
• High-energy: motor vehicle accident
• The incidence of soft tissue injury is high
• Penetrating: gunshot
• The injury pattern is variable.
• Low-velocity missiles (handguns) do not pose
the problems from bone or soft tissue damage
that high-energy (motor vehicle accident) or
high-velocity (shotguns, assault weapons)
mechanisms cause.
Stress fractures
• In ballet dancers, these fractures most
commonly occur in the middle third; they are
insidious in onset and are overuse injuries
Commonly Associated Injuries
• Injuries to the supporting ligaments of the
knee joint are fairly commonly associated
with tibial shaft fractures, especially those
caused by higher levels of energy.In
addition to purely ligamentous injuries,
fracture-dislocations of the knee may
occur, often with associated vascular or
neural trauma
Classification
Type A
Type B
Type C
IMAGING
• Computed tomography (CT)
• Magnetic resonance imaging (MRI)
• Arteriography or Venography
• Ultrasonography
• Doppler devices
Descriptive Terminology
• The radiographic appearance of a tibial
shaft fracture is described by its location,
pattern, degree of comminution, extent
and direction of displacement, and
alignment. The physician should also look
for soft tissue abnormalities such as
swelling, loss of fat shadows, and the
presence of gas or other foreign material
Acceptable Fracture Reduction
• Less than 5 degrees of varus/valgus angulation
is recommended.
• Less than 10 degrees of anterior/posterior
angulation is recommended (<5 degrees
preferred).
• Less than 10 degrees of rotational deformity is
recommended, with external rotation better
tolerated than internal rotation.
• Less than 1 cm of shortening; 5 mm of
distraction may delay healing 8 to 12 months.
• More than 50% cortical contact is recommended
Nonoperative
• Fracture reduction followed by application of a
long leg cast with progressive weight bearing
can be used for isolated, closed, low-energy
fractures with minimal displacement and
comminution.
• Cast with the knee in 0 to 5 degrees of flexion to
allow for weight bearing with crutches as soon
as tolerated by patient, with advancement to full
weight bearing by the second to fourth week.
• After 4 to 6 weeks, the long leg cast may be
exchanged for a patella-bearing cast or fracture
brace.
• Union rates as high as 97% are reported,
although with delayed weight bearing related to
delayed union or nonunion.
Operative Treatment
Intramedullary (IM) Nailing
• IM nailing carries the advantages of
preservation of periosteal blood supply
and limited soft tissue damage. In
addition, it carries the biomechanical
advantages of being able to control
alignment, translation, and rotation. It is
therefore recommended for most fracture
patterns
Intramedullary (IM) Nailing
External Fixation
• Primarily used to treat severe open fractures, it
can also be indicated in closed fractures
complicated by compartment syndrome,
concomitant head injury, or burns.
• Its popularity in the United States has waned
with the increased use of reamed nails for most
open fractures.
• Union rates: Up to 90%, with an average of 3.6
months to union.
• The incidence of pin tract infections is 10% to
15%
External Fixation
Plates and Screws
• These are generally reserved for fractures
extending into the metaphysis or epiphysis.
• Reported success rates as high as 97%.
• Complication rates of infection, wound
breakdown, and malunion or nonunion
increase with higher-energy injury patterns.
Plates and Screws
Plates and Screws
COMPLICATIONS
• Malunion: This includes any deformity
outside the acceptable range.
• Nonunion: This associated with high-
velocity injuries, open fractures,infection,
intact fibula, inadequate fixation, and initial
fracture displacement.
• Infection may occur.
• Soft tissue loss: Delaying wound coverage
for greater than 7 to 10 days in open
fractures has been associated with higher
rates of infection
• Stiffness at the knee and/or ankle may
occur.
• Knee pain: This is the most common
complication associated with IM tibial
nailing.
• Hardware breakage: Nail and locking
screw breakage rates depend on the size
of the nail used and the type of metal from
which it is made
• Thermal necrosis of the tibial diaphysis
following reaming is an unusual, but
serious, complication. Risk is increased
with use of dull reamers and reaming
under tourniquet control.
• Compartment syndrome: Involvement of
the anterior compartment is most
common. Highest pressures occur at the
time of open or closed reduction. It may
require fasciotomy. Muscle death occurs
after 6 to 8 hours. Deep posterior
compartment syndrome may be missed
because of uninvolved overlying
superficial compartment, and results in
claw toes.
• Fat embolism may occur.
• Claw toe deformity: This is associated with
scarring of extensor tendons or ischemia
of posterior compartment muscles
Malleolus
Malleolus.
Fractures involving the malleolus are a
much more common type of ankle
fracture. They can involve the lateral or
medial malleolus, or both, and they usually
result from an external rotation injury to
the ankle. Ligament damage is typical,
generally of the deltoid ligament and of the
anterior and posterior tibiofibular
ligaments. Patients feel immediate pain
and have difficulty walking or cannot walk.
Moderate-to-severe swelling and bony
tenderness exist over the fracture site(s),
with or without a visible deformity.
MECHANISM OF INJURY
• The pattern of ankle injury depends on
many factors, including mechanism (axial
versus rotational loading), chronicity
(recurrent ankle instability may result in
chronic ligamentous laxity and distorted
ankle biomechanics), patient age, bone
quality, position of the foot at time of
injury, and the magnitude, direction, and
rate of loading. Specific mechanisms and
injuries are discussed in the section on
classification.
MECHANISM OF INJURY
Examination
– 1. Eversion: External rotation
– 2. Inversion: Internal rotation
– 3. Dorsiflexion: Extension
– 4. Plantar flexion: Flexion
– 5. Abduction: Lateral deviation of the forepart of the
foot on a longitudinal axis through the tibia
– 6. Adduction: Medial deviation of the forepart of the
foot on a longitudinal axis through the tibia
– 7. Supination: Adduction and inversion
– 8. Pronation: Abduction and eversion
Examination
CLINICAL EVALUATION
• Patients may have a variable presentation, ranging from
a limp to non ambulatory in significant pain and
discomfort, with swelling, tenderness, and variable
deformity.
• Neurovascular status should be carefully documented
and compared with the contralateral side.
• The extent of soft tissue injury should be evaluated, with
particular attention to possible open injuries and
blistering. The quality of surrounding tissues should also
be noted.
• The entire length of the fibula should be palpated for
tenderness, because associated fibular fractures may be
found proximally as high as the proximal tibiofibular
articulation. A “squeeze test” may be performed
approximately 5 cm proximal to the intermalleolar axis to
assess possible syndesmotic injury.
• A dislocated ankle should be reduced and splinted
immediately (before radiographs if clinically evident) to
prevent pressure or impaction injuries to the talar dome
and to preserve neurovascular integrity.
Imaging
• Routine views including AP, lateral, and
mortise views are usually adequate .
• Pilon fractures often require a computed
tomography (CT) scan to fully delineate
the extent of injury
Imaging
AO CLASSIFICATION.
Type A-(fractures are extra-articular)
Type B
fractures are partial articular
Type C
fractures are complete articular
Treatment
Stable
Stable injuries require no reduction and have an
excellent prognosis. Examples of stable ankle
fractures include isolated distal fibula fractures
(common) and some isolated distal medial
malleolus fractures. Initially these injuries are
treated with a posterior splint , crutches,
elevation, and ice until the swelling goes down.
Definitive management of isolated distal fibula
fractures includes a short-leg walking cast or
cast boot for 4 to 6 weeks. The goal of therapy is
protection from further injury and the results are
similar, even when a high-top tennis shoe is
used for immobilization.
Unstable
• Unstable fractures that are dislocated or markedly
displaced should undergo closed reduction and splinting.
This is essential, because an accurate reduction
prevents further injury to the articular cartilage, allows
swelling to resolve more rapidly, and prevents pressure
ischemia to the skin.
• Analgesia is necessary to perform the reduction. The
ankle is usually easily reduced by applying gentle
traction in line with the deformity, followed by gradual
motion to return the talus into a reduced position. The
ankle is splinted immediately to ensure that the reduction
is maintained. A posterior mold and a "U"-shaped splint
on either side for added support and stability should be
used. Post-reduction films to confirm the reduction are
obtained. If the reduction cannot be performed (soft-
tissue interposition or impacted fragments) or maintained
(large posterior malleolus fracture), urgent operative
intervention is necessary. Orthopedic consultation
should be obtained
Operative treatment
Operative treatment
• The terms tibial plafond fracture, pilon fracture, and distal
tibial explosion fracture all have been used to describe
intraarticular fractures of the distal tibia. These terms
encompass a spectrum of skeletal injury ranging from
fractures caused by low-energy rotational forces to
fractures caused by high-energy axial compression
forces arising from motor vehicle accidents or falls from
a height. Rotational variants typically have a more
favorable prognosis, whereas high-energy fractures
frequently are associated with open wounds or severe,
closed, soft-tissue trauma. The fracture may have
significant metaphyseal or articular comminution or
diaphyseal extension. Classification of these fractures is
important in determining their prognosis and choosing
the optimal treatment. The fibula is fractured in 85% of
these patients, and the degree of talar injury varies
Tibial Pilon Fracture
Tibial Pilon Fracture
mechanism of injury:
- vertical loading drives talus into
distal tibia;
- position of foot & rate of loading
affect injury pattern;
- it is important to distinguish
between low energy vs high energy;
- plantar flexion: posterior
articular damage;
- dorsiflexion: anterior articular
damage
surgical technique:
- reduction of fibula;
- some authors will avoid of the fibula in these injuries if
there is excessive fibular comminution (ie poor chance of good
fixation) and
if there is excessive varus of the articular surface
- note that the fibular incision often must be placed
posteriorly indorder to accommodate an adequate skin bridge for
the tibial incision;
- in some cases, the fibula can be anatomically reduced
along with application of external fixator which allows
fracture to be brought out to length and which
allows the talus to be centered under the tibia;
- then 7-21 days later, the medial column and
articular surface can be restored once the soft tissues have healed;
- exposure of tibial articular surface:
- restoration of tibial articular surface:
- fixation of metaphysis to diaphysis:
- plate fixation:
- uniplanar external fixation
- circular wire fixators
Complications
• Ankle fractures may develop several significant
complications. The incidence of severe
complications following ORIF of the tibial plafond
ranges from 10% to 55%.59 Complications
include:
• 1. Traumatic arthritis of the talar mortise occurs
in 20% to 40% of plafond fractures.60
Comminuted tibial plafond fractures or those
involving elderly patients are particularly
predisposed to develop arthritis
• 2. Skin necrosis or wound breakdown following open
reduction of high-energy tibial plafond fractures.59
• 3. Malunion or nonunion
• 4. Wound infection may be seen after open fractures
or following operative repair due to the extensive
soft-tissue injury associated with pilon fractures.
• 5. Regional complex pain syndrome with a rapidly
developing osteoporosis distal to the injury.
• 6. Ossification of the interosseous membrane may
occur and patients may complain of a weakening or
aching sensation in the ankle.
• 7. Osteochondral fractures of the talar dome may
present with chronic pain, locking, or swelling.
Calcaneus Fractures
Classification
• The classification system used is based on treatment
and prognosis and divides fractures based on articular
involvement.
– 1. Intraarticular (75%)
• Body
– 2. Extraarticular (25%)
• Anterior process
• Sustentaculum tali
• Lateral calcaneal process and peroneal tubercle
• Medial calcaneal process
• Tuberosity
• Body
Mechanism of Injury
• The most common mechanism is a fall
from a significant height where the weight
of the body is absorbed by the heel. In
most individuals, a height of 8 feet or
higher is needed to produce such a
fracture, but in older, osteoporotic
patients, falls from shorter distances can
produce these injuries.
Mechanism of Injury
Examination
• The patient will present with pain, swelling,
and ecchymosis on the sole of the foot
with loss of the normal depressions along
both sides of the Achilles tendon. Fracture
blisters usually develop within the first 24
to 48 hours and may be clear or blood-
filled. If extensive, they may delay surgery
due to higher rates of postoperative
infections.
Imaging
• Radiographic views (anteroposterior [AP],
lateral, Harris views)
• Computed tomography (CT) has become
routine to fully delineate the extent of
fractures.CT is especially useful to the
surgeon planning operative intervention.
Plain radiographs alone fail to identify the
degree of fracture extension in almost half
of cases
Radiographic
Computed tomography (CT)
Associated Injuries
• Over 50% of calcaneus fractures are associated
with additional injuries. Twenty-six percent of
calcaneus fractures are associated with other
injuries to the lower extremities.8 Calcaneus
fractures are bilateral in 7% of cases.
Compression fractures of the thoracolumbar
spine are associated with 10% of calcaneus
fractures. Compartment syndrome develops in
10% of patients with half of these patients going
on to develop significant foot deformities.
Treatment
• Closed treatment of intraarticular calcaneal
fractures includes closed manipulation and
casting, compression dressing and early
mobilization, traction-fixation, manipulation as
recommended by Bцhler, and pin fixation as
recommended by Essex-Lopresti. Closed
treatment methods have been successful in
some studies. Intraarticular calcaneal fractures
treated with help closed manipulation technique
and operative technique.
Treatment
Operative treatment
Complications
• Calcaneus fractures are associated with a 10%
incidence of compartment syndrome of the foot.
Symptoms include tense swelling and severe
pain and may be associated with long-term
problems, including clawing of the toes,
stiffness, chronic pain, weakness, sensory
changes, atrophy, and forefoot deformities. The
diagnosis can be made in the acute phase
utilizing pressure measurements within the
compartment. Fasciotomy is the recommended
treatment.
Talus Fractures
• The talus is the second largest and
second most frequently fractured tarsal
bone.Despite this fact, talus fractures are
still uncommon and account for <1% of all
fractures.
Classification
– 1. Minor talus fractures
• Avulsion fractures
• Posterior facet fractures
• Osteochondral fractures
– 2. Major talus fractures
• Talar head fractures
• Talar neck fractures
• Talar body fractures
Talar neck fractures
Mechanism of Injury
• These injuries are usually the result of direct
impact, such as falling on the fully extended foot.
The force is transmitted from the forefoot to the
talus, which impacts against the anterior edge of
the tibia.
• These injuries typically follow acute dorsiflexion
of the ankle and are frequently seen after
automobile collisions or falls from heights
Examination
• The patient will usually present with pain,
swelling, ecchymosis, and tenderness
over the talar head and the talonavicular
joint. Ankle motion will be normal,
although inversion of the foot will
exacerbate the pain over the talonavicular
joint.
Treatment
• The emergency management of these fractures
includes ice, elevation, analgesics,
immobilization, and early consultation.
Nondisplaced fractures are treated with a short-
leg nonwalking cast for 6 weeks followed by 3
weeks of partial weight bearing. Displaced
fractures or those associated with dislocations
require a neurovascular assessment followed by
an emergent referral for an operative anatomic
reduction to avoid the high incidence of
avascular necrosis. Delayed reductions are
associated with an increased incidence of skin
necrosis and avascular necrosis.
Treatment
Complications
• 1. Peroneal tendon dislocations.
• 2. Avascular necrosis of the talus.
Fracture-dislocations are particularly
predisposed to the development of this
complication.
• 3. Delayed union.
Central Metatarsal Fractures
• The second, third, and fourth metatarsals are
bound by several ligamentous attachments that
provide inherent stability to these bones.
Fractures of the central metatarsals are much
more common than the first metatarsal.
Fractures can occur in the shaft, head, neck, or
base. When diagnosing fractures of the base,
however, the emergency physician should
consider the possibility of instability within the
Lisfranc joint
Mechanism of Injury
• The majority of these fractures are the
result of a direct crush injury, as when a
heavy object is dropped on the foot. An
indirect twisting mechanism can also
cause these fractures. Stress fractures,
common in the second and third
metatarsals, are seen after repetitive
trauma to the forefoot.
Examination
• Central metatarsal fractures usually
present with pain, swelling, and
tenderness localized over the dorsal mid
part of the foot. Axial compression along
the involved metatarsal will exacerbate the
pain.
Imaging
• AP, lateral, and oblique views are usually
adequate in demonstrating these fractures
Associated Injuries
• Central metatarsal fractures are frequently
accompanied by phalanx fractures. The
alignment of the bones of the Lisfranc joint
should be assessed, especially when
fractures are seen proximally
Treatment
• Displaced (>3 mm) or angulated (>10°)
metatarsal fractures involving the second
through the fifth metatarsals require
closed reduction
• Surgery may be required for unstable
fractures and those fractures resistant to
closed attempts.
• Open reduction is more common when
multiple metatarsals are fractured
because the stabilizing effect of the
adjacent metatarsals is lost.
Open reduction
Open reduction and closed
reduction
Toe fractures and dislocation
• Phalanx fractures are the most common
forefoot fracture. The proximal phalanx of
the great toe is most frequently injured.
Mechanism of Injury
• The majority of phalanx fractures are the result
of a direct blow, such as when a heavy object is
dropped on the foot. An axial force caused by
"stubbing the toe" may also result in these
fractures. An abrupt abduction force commonly
produces a fracture of the lesser toes. This injury
is referred to as a "night walker's" fracture. Less
common, hyperextension of the toe, an indirect
mechanism, may result in a spiral or an avulsion
fracture
Examination
• Phalanx fractures present with pain,
swelling, and ecchymosis within the first 2
to 3 hours. Point tenderness is present on
examination, and there may be visible
deformity of the toe. Subungual
hematomas may develop within the first
12 hours
Imaging
• Phalanx fractures are usually best seen on
AP and oblique views. Lateral views are
difficult to interpret due to overlying bone
shadows.
Treatment
• Most toe fractures are nondisplaced or minimally
displaced. Nondisplaced phalanx fractures
involving the second through the fifth digits are
treated with dynamic splinting and a hard-soled
open shoe to prevent movement. Dynamic
splinting involves the use of cotton padding
between the affected toe and its neighbor. The
injured toe is then securely taped to the adjacent
uninjured toe. The splint should be changed
every few days and used for a period of 2 to 3
weeks. Significant subungual hematomas can
be drained using electrocautery or an 18-gauge
needle.
• Displaced phalanx fractures can be
reduced by the emergency physician. The
toe is anesthetized with a digital block and
traction is applied to manipulate the toe
into proper position. Alignment of the nails
is used to detect subtle rotational
abnormalities. A near anatomic alignment
is most important when reducing great toe
fractures. Post-reduction films are
indicated, and, if stable, these fractures
are treated with buddy tape and a hard-
soled open shoe
Treatment

Fracture of Proximal Tibia

  • 1.
    Proximal Tibia Fractures Proximaltibia fractures include those fractures above the tibial tuberosity. These fractures can be divided based on their involvement of the articular surface. Articular fractures include the condylar (tibial plateau) fractures, whereas extraarticular injuries involve the tibial spine, tubercle, and subcondylar regions.
  • 3.
    Mechanism of Injury •The forces that normally act on the tibial plateau include axial compression and rotation. Fractures result when these forces exceed the strength of the bone. • A direct mechanism, such as a fall from a height, is responsible for approximately 20% of condylar fractures. Automobile-pedestrian accidents, where the car bumper strikes the patient over the proximal tibia are responsible for approximately 50% of these fractures. The remainder of the fractures result from a combination of axial compression and rotational strain. Fractures of the lateral tibial plateau usually result from an abduction force on the leg. Medial plateau fractures typically result from adduction forces on the distal leg. If the knee is extended at the time of injury, the fracture tends to be anterior. Posterior condylar fractures usually follow injuries in which the knee was flexed at the time of impact.
  • 4.
  • 7.
    Examination • The patientwill usually present with a chief complaint of pain and swelling with the knee slightly flexed. On examination, there frequently is an abrasion indicating the point of impact, along with an effusion and reduced range of motion secondary to pain. Valgus or varus deformity indicates a depressed fracture. A thorough neurovascular examination is indicated.
  • 8.
    Imaging • AP, lateral,and oblique views are usually adequate for demonstrating these fractures . • Computed tomography (CT) scanning . • Magnetic resonance imaging (MRI),
  • 9.
    Associated Injuries • 1.Ligamentous, meniscal injuries, or both frequently accompany these fractures. With a lateral condylar fracture, medial collateral ligament, anterior cruciate, and lateral meniscal injuries should be suspected. With a medial condylar fracture, lateral collateral ligament, cruciate, and medial meniscal injuries should be suspected.
  • 10.
    • 2. Vascularinjuries, either acute or delayed in presentation, may be seen after these fractures, especially type fractures. • 3. Compartment syndrome (rare).
  • 11.
  • 12.
    Treatment • Nonoperative • Indicatedfor nondisplaced or minimally displaced fractures and in patients with advanced osteoporosis. • Protected weight bearing and early range of knee motion in a hinged fracture-brace are recommended. • Isometric quadriceps exercises and progressive passive, active-assisted, and active range-of- knee motion exercises are indicated. • Partial weight bearing (30 to 50 lb) for 8 to 12 weeks is allowed, with progression to full weight bearing.
  • 13.
  • 14.
    • Operative • Surgicalindications: – The reported range of articular depression that can be accepted varies from <2 mm to 1 cm. – Instability >10 degrees of the nearly extended knee compared to the contralateral side is an accepted surgical indication. Split fractures are more likely to be unstable than pure depression fractures in which the rim is intact – Open fractures should be treated surgically. – Compartment syndrome is a surgical indication. – Associated vascular injury is an indication
  • 15.
    Operative treatment principles •Reconstruction of the articular surface, followed by reestablishment of tibial alignment, is the goal. • Treatment involves buttressing of elevated articular segments with bone graft or bone graft substitute. • Fracture fixation can involve use of plates and screws, screws alone, or external fixation. • The choice of implant is related to the fracture patterns, the degree of displacement, and familiarity of the surgeon with the procedure. • Adequate soft tissue reconstruction including preservation and/or repair of the meniscus as well as intraarticular and extraarticular ligamentous structures should be addressed
  • 20.
    • Surgical treatmentusually is recommended for fractures associated with instability, ligamentous injury, and significant articular displacement; open fractures; and fractures associated with compartment syndrome.
  • 21.
    Complications • Loss offull knee motion may follow prolonged immobilization. • Degenerative arthritis may develop despite optimum therapy. • Angular deformity of the knee may develop in the first several weeks even with initially nondisplaced fractures. • Knee instability or persistent subluxation secondary to ligamentous damage. • Infection may complicate the course of open fractures or those treated surgically. • Neurovascular injuries and compartment syndromes.
  • 22.
  • 23.
    EPIDEMIOLOGY • In anaverage population, there are about 26 tibial diaphyseal fractures per 100,000 population per year. • Men are more commonly affected than women, with the male incidence being about 41 per 100,000 per year and the female incidence about 12 per 100,000 per year. • The average age of a patient sustaining a tibia shaft fracture is 37 years, with men having an average age of 31 years and women 54 years
  • 24.
    Mechanisms of Injury •Indirect • Torsional mechanisms – Twisting with the foot fixed and falls from low heights are causes. – These spiral, nondisplaced fractures have minimal comminution associated with little soft tissue damage
  • 25.
    Direct • High-energy: motorvehicle accident • The incidence of soft tissue injury is high • Penetrating: gunshot • The injury pattern is variable. • Low-velocity missiles (handguns) do not pose the problems from bone or soft tissue damage that high-energy (motor vehicle accident) or high-velocity (shotguns, assault weapons) mechanisms cause. Stress fractures • In ballet dancers, these fractures most commonly occur in the middle third; they are insidious in onset and are overuse injuries
  • 26.
    Commonly Associated Injuries •Injuries to the supporting ligaments of the knee joint are fairly commonly associated with tibial shaft fractures, especially those caused by higher levels of energy.In addition to purely ligamentous injuries, fracture-dislocations of the knee may occur, often with associated vascular or neural trauma
  • 27.
  • 28.
  • 29.
    IMAGING • Computed tomography(CT) • Magnetic resonance imaging (MRI) • Arteriography or Venography • Ultrasonography • Doppler devices
  • 30.
    Descriptive Terminology • Theradiographic appearance of a tibial shaft fracture is described by its location, pattern, degree of comminution, extent and direction of displacement, and alignment. The physician should also look for soft tissue abnormalities such as swelling, loss of fat shadows, and the presence of gas or other foreign material
  • 31.
    Acceptable Fracture Reduction •Less than 5 degrees of varus/valgus angulation is recommended. • Less than 10 degrees of anterior/posterior angulation is recommended (<5 degrees preferred). • Less than 10 degrees of rotational deformity is recommended, with external rotation better tolerated than internal rotation. • Less than 1 cm of shortening; 5 mm of distraction may delay healing 8 to 12 months. • More than 50% cortical contact is recommended
  • 32.
    Nonoperative • Fracture reductionfollowed by application of a long leg cast with progressive weight bearing can be used for isolated, closed, low-energy fractures with minimal displacement and comminution. • Cast with the knee in 0 to 5 degrees of flexion to allow for weight bearing with crutches as soon as tolerated by patient, with advancement to full weight bearing by the second to fourth week. • After 4 to 6 weeks, the long leg cast may be exchanged for a patella-bearing cast or fracture brace. • Union rates as high as 97% are reported, although with delayed weight bearing related to delayed union or nonunion.
  • 33.
    Operative Treatment Intramedullary (IM)Nailing • IM nailing carries the advantages of preservation of periosteal blood supply and limited soft tissue damage. In addition, it carries the biomechanical advantages of being able to control alignment, translation, and rotation. It is therefore recommended for most fracture patterns
  • 34.
  • 35.
    External Fixation • Primarilyused to treat severe open fractures, it can also be indicated in closed fractures complicated by compartment syndrome, concomitant head injury, or burns. • Its popularity in the United States has waned with the increased use of reamed nails for most open fractures. • Union rates: Up to 90%, with an average of 3.6 months to union. • The incidence of pin tract infections is 10% to 15%
  • 36.
  • 37.
    Plates and Screws •These are generally reserved for fractures extending into the metaphysis or epiphysis. • Reported success rates as high as 97%. • Complication rates of infection, wound breakdown, and malunion or nonunion increase with higher-energy injury patterns.
  • 38.
  • 39.
  • 40.
    COMPLICATIONS • Malunion: Thisincludes any deformity outside the acceptable range. • Nonunion: This associated with high- velocity injuries, open fractures,infection, intact fibula, inadequate fixation, and initial fracture displacement. • Infection may occur. • Soft tissue loss: Delaying wound coverage for greater than 7 to 10 days in open fractures has been associated with higher rates of infection
  • 41.
    • Stiffness atthe knee and/or ankle may occur. • Knee pain: This is the most common complication associated with IM tibial nailing. • Hardware breakage: Nail and locking screw breakage rates depend on the size of the nail used and the type of metal from which it is made • Thermal necrosis of the tibial diaphysis following reaming is an unusual, but serious, complication. Risk is increased with use of dull reamers and reaming under tourniquet control.
  • 42.
    • Compartment syndrome:Involvement of the anterior compartment is most common. Highest pressures occur at the time of open or closed reduction. It may require fasciotomy. Muscle death occurs after 6 to 8 hours. Deep posterior compartment syndrome may be missed because of uninvolved overlying superficial compartment, and results in claw toes.
  • 43.
    • Fat embolismmay occur. • Claw toe deformity: This is associated with scarring of extensor tendons or ischemia of posterior compartment muscles
  • 44.
  • 45.
    Malleolus. Fractures involving themalleolus are a much more common type of ankle fracture. They can involve the lateral or medial malleolus, or both, and they usually result from an external rotation injury to the ankle. Ligament damage is typical, generally of the deltoid ligament and of the anterior and posterior tibiofibular ligaments. Patients feel immediate pain and have difficulty walking or cannot walk. Moderate-to-severe swelling and bony tenderness exist over the fracture site(s), with or without a visible deformity.
  • 46.
    MECHANISM OF INJURY •The pattern of ankle injury depends on many factors, including mechanism (axial versus rotational loading), chronicity (recurrent ankle instability may result in chronic ligamentous laxity and distorted ankle biomechanics), patient age, bone quality, position of the foot at time of injury, and the magnitude, direction, and rate of loading. Specific mechanisms and injuries are discussed in the section on classification.
  • 47.
  • 48.
    Examination – 1. Eversion:External rotation – 2. Inversion: Internal rotation – 3. Dorsiflexion: Extension – 4. Plantar flexion: Flexion – 5. Abduction: Lateral deviation of the forepart of the foot on a longitudinal axis through the tibia – 6. Adduction: Medial deviation of the forepart of the foot on a longitudinal axis through the tibia – 7. Supination: Adduction and inversion – 8. Pronation: Abduction and eversion
  • 49.
  • 50.
    CLINICAL EVALUATION • Patientsmay have a variable presentation, ranging from a limp to non ambulatory in significant pain and discomfort, with swelling, tenderness, and variable deformity. • Neurovascular status should be carefully documented and compared with the contralateral side. • The extent of soft tissue injury should be evaluated, with particular attention to possible open injuries and blistering. The quality of surrounding tissues should also be noted. • The entire length of the fibula should be palpated for tenderness, because associated fibular fractures may be found proximally as high as the proximal tibiofibular articulation. A “squeeze test” may be performed approximately 5 cm proximal to the intermalleolar axis to assess possible syndesmotic injury. • A dislocated ankle should be reduced and splinted immediately (before radiographs if clinically evident) to prevent pressure or impaction injuries to the talar dome and to preserve neurovascular integrity.
  • 51.
    Imaging • Routine viewsincluding AP, lateral, and mortise views are usually adequate . • Pilon fractures often require a computed tomography (CT) scan to fully delineate the extent of injury
  • 52.
  • 53.
  • 54.
    Type B fractures arepartial articular
  • 55.
    Type C fractures arecomplete articular
  • 56.
    Treatment Stable Stable injuries requireno reduction and have an excellent prognosis. Examples of stable ankle fractures include isolated distal fibula fractures (common) and some isolated distal medial malleolus fractures. Initially these injuries are treated with a posterior splint , crutches, elevation, and ice until the swelling goes down. Definitive management of isolated distal fibula fractures includes a short-leg walking cast or cast boot for 4 to 6 weeks. The goal of therapy is protection from further injury and the results are similar, even when a high-top tennis shoe is used for immobilization.
  • 57.
    Unstable • Unstable fracturesthat are dislocated or markedly displaced should undergo closed reduction and splinting. This is essential, because an accurate reduction prevents further injury to the articular cartilage, allows swelling to resolve more rapidly, and prevents pressure ischemia to the skin. • Analgesia is necessary to perform the reduction. The ankle is usually easily reduced by applying gentle traction in line with the deformity, followed by gradual motion to return the talus into a reduced position. The ankle is splinted immediately to ensure that the reduction is maintained. A posterior mold and a "U"-shaped splint on either side for added support and stability should be used. Post-reduction films to confirm the reduction are obtained. If the reduction cannot be performed (soft- tissue interposition or impacted fragments) or maintained (large posterior malleolus fracture), urgent operative intervention is necessary. Orthopedic consultation should be obtained
  • 58.
  • 59.
  • 60.
    • The termstibial plafond fracture, pilon fracture, and distal tibial explosion fracture all have been used to describe intraarticular fractures of the distal tibia. These terms encompass a spectrum of skeletal injury ranging from fractures caused by low-energy rotational forces to fractures caused by high-energy axial compression forces arising from motor vehicle accidents or falls from a height. Rotational variants typically have a more favorable prognosis, whereas high-energy fractures frequently are associated with open wounds or severe, closed, soft-tissue trauma. The fracture may have significant metaphyseal or articular comminution or diaphyseal extension. Classification of these fractures is important in determining their prognosis and choosing the optimal treatment. The fibula is fractured in 85% of these patients, and the degree of talar injury varies Tibial Pilon Fracture
  • 61.
  • 62.
    mechanism of injury: -vertical loading drives talus into distal tibia; - position of foot & rate of loading affect injury pattern; - it is important to distinguish between low energy vs high energy; - plantar flexion: posterior articular damage; - dorsiflexion: anterior articular damage
  • 63.
    surgical technique: - reductionof fibula; - some authors will avoid of the fibula in these injuries if there is excessive fibular comminution (ie poor chance of good fixation) and if there is excessive varus of the articular surface - note that the fibular incision often must be placed posteriorly indorder to accommodate an adequate skin bridge for the tibial incision; - in some cases, the fibula can be anatomically reduced along with application of external fixator which allows fracture to be brought out to length and which allows the talus to be centered under the tibia; - then 7-21 days later, the medial column and articular surface can be restored once the soft tissues have healed; - exposure of tibial articular surface: - restoration of tibial articular surface: - fixation of metaphysis to diaphysis: - plate fixation: - uniplanar external fixation - circular wire fixators
  • 64.
    Complications • Ankle fracturesmay develop several significant complications. The incidence of severe complications following ORIF of the tibial plafond ranges from 10% to 55%.59 Complications include: • 1. Traumatic arthritis of the talar mortise occurs in 20% to 40% of plafond fractures.60 Comminuted tibial plafond fractures or those involving elderly patients are particularly predisposed to develop arthritis
  • 65.
    • 2. Skinnecrosis or wound breakdown following open reduction of high-energy tibial plafond fractures.59 • 3. Malunion or nonunion • 4. Wound infection may be seen after open fractures or following operative repair due to the extensive soft-tissue injury associated with pilon fractures. • 5. Regional complex pain syndrome with a rapidly developing osteoporosis distal to the injury. • 6. Ossification of the interosseous membrane may occur and patients may complain of a weakening or aching sensation in the ankle. • 7. Osteochondral fractures of the talar dome may present with chronic pain, locking, or swelling.
  • 66.
  • 67.
    Classification • The classificationsystem used is based on treatment and prognosis and divides fractures based on articular involvement. – 1. Intraarticular (75%) • Body – 2. Extraarticular (25%) • Anterior process • Sustentaculum tali • Lateral calcaneal process and peroneal tubercle • Medial calcaneal process • Tuberosity • Body
  • 68.
    Mechanism of Injury •The most common mechanism is a fall from a significant height where the weight of the body is absorbed by the heel. In most individuals, a height of 8 feet or higher is needed to produce such a fracture, but in older, osteoporotic patients, falls from shorter distances can produce these injuries.
  • 69.
  • 70.
    Examination • The patientwill present with pain, swelling, and ecchymosis on the sole of the foot with loss of the normal depressions along both sides of the Achilles tendon. Fracture blisters usually develop within the first 24 to 48 hours and may be clear or blood- filled. If extensive, they may delay surgery due to higher rates of postoperative infections.
  • 71.
    Imaging • Radiographic views(anteroposterior [AP], lateral, Harris views) • Computed tomography (CT) has become routine to fully delineate the extent of fractures.CT is especially useful to the surgeon planning operative intervention. Plain radiographs alone fail to identify the degree of fracture extension in almost half of cases
  • 72.
  • 73.
  • 74.
    Associated Injuries • Over50% of calcaneus fractures are associated with additional injuries. Twenty-six percent of calcaneus fractures are associated with other injuries to the lower extremities.8 Calcaneus fractures are bilateral in 7% of cases. Compression fractures of the thoracolumbar spine are associated with 10% of calcaneus fractures. Compartment syndrome develops in 10% of patients with half of these patients going on to develop significant foot deformities.
  • 75.
    Treatment • Closed treatmentof intraarticular calcaneal fractures includes closed manipulation and casting, compression dressing and early mobilization, traction-fixation, manipulation as recommended by Bцhler, and pin fixation as recommended by Essex-Lopresti. Closed treatment methods have been successful in some studies. Intraarticular calcaneal fractures treated with help closed manipulation technique and operative technique.
  • 76.
  • 77.
  • 78.
    Complications • Calcaneus fracturesare associated with a 10% incidence of compartment syndrome of the foot. Symptoms include tense swelling and severe pain and may be associated with long-term problems, including clawing of the toes, stiffness, chronic pain, weakness, sensory changes, atrophy, and forefoot deformities. The diagnosis can be made in the acute phase utilizing pressure measurements within the compartment. Fasciotomy is the recommended treatment.
  • 79.
    Talus Fractures • Thetalus is the second largest and second most frequently fractured tarsal bone.Despite this fact, talus fractures are still uncommon and account for <1% of all fractures.
  • 80.
    Classification – 1. Minortalus fractures • Avulsion fractures • Posterior facet fractures • Osteochondral fractures – 2. Major talus fractures • Talar head fractures • Talar neck fractures • Talar body fractures
  • 81.
  • 82.
    Mechanism of Injury •These injuries are usually the result of direct impact, such as falling on the fully extended foot. The force is transmitted from the forefoot to the talus, which impacts against the anterior edge of the tibia. • These injuries typically follow acute dorsiflexion of the ankle and are frequently seen after automobile collisions or falls from heights
  • 83.
    Examination • The patientwill usually present with pain, swelling, ecchymosis, and tenderness over the talar head and the talonavicular joint. Ankle motion will be normal, although inversion of the foot will exacerbate the pain over the talonavicular joint.
  • 84.
    Treatment • The emergencymanagement of these fractures includes ice, elevation, analgesics, immobilization, and early consultation. Nondisplaced fractures are treated with a short- leg nonwalking cast for 6 weeks followed by 3 weeks of partial weight bearing. Displaced fractures or those associated with dislocations require a neurovascular assessment followed by an emergent referral for an operative anatomic reduction to avoid the high incidence of avascular necrosis. Delayed reductions are associated with an increased incidence of skin necrosis and avascular necrosis.
  • 85.
  • 86.
    Complications • 1. Peronealtendon dislocations. • 2. Avascular necrosis of the talus. Fracture-dislocations are particularly predisposed to the development of this complication. • 3. Delayed union.
  • 87.
    Central Metatarsal Fractures •The second, third, and fourth metatarsals are bound by several ligamentous attachments that provide inherent stability to these bones. Fractures of the central metatarsals are much more common than the first metatarsal. Fractures can occur in the shaft, head, neck, or base. When diagnosing fractures of the base, however, the emergency physician should consider the possibility of instability within the Lisfranc joint
  • 89.
    Mechanism of Injury •The majority of these fractures are the result of a direct crush injury, as when a heavy object is dropped on the foot. An indirect twisting mechanism can also cause these fractures. Stress fractures, common in the second and third metatarsals, are seen after repetitive trauma to the forefoot.
  • 90.
    Examination • Central metatarsalfractures usually present with pain, swelling, and tenderness localized over the dorsal mid part of the foot. Axial compression along the involved metatarsal will exacerbate the pain.
  • 91.
    Imaging • AP, lateral,and oblique views are usually adequate in demonstrating these fractures
  • 92.
    Associated Injuries • Centralmetatarsal fractures are frequently accompanied by phalanx fractures. The alignment of the bones of the Lisfranc joint should be assessed, especially when fractures are seen proximally
  • 93.
    Treatment • Displaced (>3mm) or angulated (>10°) metatarsal fractures involving the second through the fifth metatarsals require closed reduction • Surgery may be required for unstable fractures and those fractures resistant to closed attempts. • Open reduction is more common when multiple metatarsals are fractured because the stabilizing effect of the adjacent metatarsals is lost.
  • 94.
  • 95.
    Open reduction andclosed reduction
  • 96.
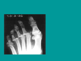
    Toe fractures anddislocation • Phalanx fractures are the most common forefoot fracture. The proximal phalanx of the great toe is most frequently injured.
  • 98.
    Mechanism of Injury •The majority of phalanx fractures are the result of a direct blow, such as when a heavy object is dropped on the foot. An axial force caused by "stubbing the toe" may also result in these fractures. An abrupt abduction force commonly produces a fracture of the lesser toes. This injury is referred to as a "night walker's" fracture. Less common, hyperextension of the toe, an indirect mechanism, may result in a spiral or an avulsion fracture
  • 99.
    Examination • Phalanx fracturespresent with pain, swelling, and ecchymosis within the first 2 to 3 hours. Point tenderness is present on examination, and there may be visible deformity of the toe. Subungual hematomas may develop within the first 12 hours
  • 100.
    Imaging • Phalanx fracturesare usually best seen on AP and oblique views. Lateral views are difficult to interpret due to overlying bone shadows.
  • 101.
    Treatment • Most toefractures are nondisplaced or minimally displaced. Nondisplaced phalanx fractures involving the second through the fifth digits are treated with dynamic splinting and a hard-soled open shoe to prevent movement. Dynamic splinting involves the use of cotton padding between the affected toe and its neighbor. The injured toe is then securely taped to the adjacent uninjured toe. The splint should be changed every few days and used for a period of 2 to 3 weeks. Significant subungual hematomas can be drained using electrocautery or an 18-gauge needle.
  • 102.
    • Displaced phalanxfractures can be reduced by the emergency physician. The toe is anesthetized with a digital block and traction is applied to manipulate the toe into proper position. Alignment of the nails is used to detect subtle rotational abnormalities. A near anatomic alignment is most important when reducing great toe fractures. Post-reduction films are indicated, and, if stable, these fractures are treated with buddy tape and a hard- soled open shoe
  • 103.