Chidiebere John Uma
 Telescoping invagination of an intestinal segment into
the lumen of a proximal segment.
Intussuscpetion
Without a
leading point
With a
leading point
ESENTERY
Lymphoid hyperplasia
LEAD POINT
A lead point is a lesion or variation in the intestine that is
trapped by peristalsis and dragged into a distal segment of
the intestine, causing intussusception.
A Meckel diverticulum, polyp, tumor, hematoma, or
vascular malformation can act as a lead point for
intussusception.
 The male-to-female ratio is approximately 3:2.
 Two thirds of patients are under one year old, the peak
age being between 5-10 months.
 Intussusception is the most common cause of intestinal
obstruction in patients aged 5 months-3 years and
accounts for up to 25% of abdominal emergencies in
children up to age 5.
 It is rare preterm.
 One large Swiss study found an overall incidence of 38,
31 and 26 cases per 100,000 live births in the first,
second and third year of life respectively.
PATHOGENESIS
Occurs most often near the ileocecal junction (ileocolic intussusception), jejuno-
jejunal, jejuno-ileal, or colo-colic.
The intussusceptum, a proximal segment of bowel, telescopes into the
intussuscipiens, a distal segment, dragging the associated mesentery with it.
This leads to the development of venous and lymphatic congestion with
resulting intestinal edema, which lead to ischemia, perforation, and
peritonitis.
 Non-pathological lead point (>90%)
 Viral 50% - rotavirus, adenovirus and human
herpesvirus 6 (HHV6).
 Amoebomata, shigella, yersinia.
 Peyer's patch hypertrophy.
 Pathological lead point (<10%)
 NB: older patients (may have longer history):
 Meckel's diverticulum (75%).
 Polyps and Peutz-Jeghers syndrome (16%).
 Henoch-Schönlein purpura (3%).
 Lymphoma and other tumours (3%).
 Reduplication - a process by which the bowel wall is
duplicated (2%).
 Cystic fibrosis.
 An inflamed appendix.
 Nephrotic syndrome.
 Foreign body.
 Postoperative - rarely, postoperative intussusception
following operative treatment of an intussusception has
been reported.
 Hyperperistalsis.
 Exclusive breast-feeding.
 Weight above average.
 Rotavirus vaccine.
 Abdominal tuberculosis.
AdultsChildren
Spontaneous: (without
anatomical leading point):
•Celiac disease.
•Scleroderma.
•Whipple disease.
Spontaneous: (without
anatomical leading point) in
90% of cases:
•Mucosal edema & lymphoid
hyperplasia after viral
gastroenteritis.
Leading point (90%):
•Tumor:
Usually benign in small
intestine & malignant in
large intestine.
•Polyp,
•Ulcer,
•Foreign body.
Leading point:
•Meckel’s diverticulum.
•Polyp.
•Enterogeneous cyst.
•Ectopic pancreas.
•Purpura.
IDIOPATHIC
Approximately 75 % of cases are idiopathic because there is no clear disease
trigger or pathological lead point most common in children between 3mo and 5yr
of age.
INFLUENCE OF VIRAL
FACTORSillustrated by the following observations:
 Has a seasonal variation, with peaks coinciding with seasonal viral
gastroenteritis.
 Associated with some forms of rotavirus vaccine.
 30 % experience viral illness (URTI, otitis media, flu-like symptoms)
before the onset of intussusception.
 A strong association with adenovirus infection .
 Viral infections, including enteric adenovirus, can stimulate
lymphatic tissue in the intestinal tract, resulting in hypertrophy of
Peyer patches in the lymphoid-rich terminal ileum, which may act
as a lead point for ileocolic intussusception . Treatment with
glucocorticoids has been suggested to prevent recurrence.
 It is usually of sudden onset, and may be more insidious in the
older child.
 There are paroxysms (about every 10-20 minutes) of
colicky abdominal pain (>80%) ± crying.
 The child may appear well between paroxysms initially.
 There is early vomiting - rapidly becoming bile-stained.
 Neurological symptoms such as lethargy, hypotonia or sudden
alterations of consciousness can occur.[4]
 There may be a palpable 'sausage-shaped' mass (often in the right
upper quadrant).
 There may be absence of bowel in the right lower quadrant
(Dance's sign).
 Dehydration, pallor, shock.
 Irritability, sweating.
 Later, mucoid and bloody 'redcurrant stools'.
 Late pyrexia
DIAGNOSIS
 Depends on the clinical suspicion for intussusception (typical or atypical
presentation) and experience radiologists.
 Patients with a typical presentation (sudden onset of intermittent severe
abdominal pain with or without rectal bleeding) or characteristic findings on
radiography, may proceed directly to nonoperative reduction using hydrostatic
(contrast or saline) or pneumatic (air) enema, performed under either sonographic
or fluoroscopic guidance. In these cases, the procedure is both diagnostic and
therapeutic.
 If diagnosis is unclear at presentation. In this case, initial workup may include
abdominal ultrasound or abdominal plain films. If the study supports the
diagnosis of intussusception, nonoperative reduction is then performed.
 FBC - may show neutrophilia.
 U&Es - may reflect dehydration.
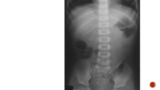
 Abdominal X-ray - may show dilated gas-filled proximal bowel, paucity of gas
distally, multiple fluid levels (but may be normal in the early stages).
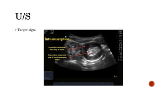
 Ultrasound - may show doughnut or target sign, pseudokidney/sandwich
appearance. It is a very effective modality and many consider it the investigation
of choice.
 Bowel enema - barium has been gold standard (crescent sign, filling defect) but air
and water-soluble double-contrast now available; each has pros and cons - the
choice is left to the individual radiologist.
 CT/MRI scanning - more often used in adults than in children.
 May be normal.
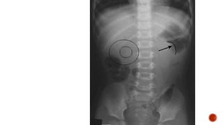
 Meniscus sign:
 Crescent of gas within colonic lumen that outlines the apex of intussusceptum.
 Little air in small intestine.
MENISCU
S
SIGN
MENISCU
S
SIGN
 Target sign:
Pneumatic
Pros – Clean, quick
Cons – Less experience, more difficult to detect Intussusceptions in
patients with gas in small bowel proximal to Intussusceptions
Hydrostatic
Pros - No staining of peritoneum
Cons – Could cause rapid fluid shifts if not using iso-osmolar
concentrations
Barium
Pros – Familiar technique
Cons – Perforation, higher chance of peritoneal contamination
3 types of enemas:
 Coil spring appearance:
 Trapping of barium between the edematous mucosal
folds of the returning limb of intussusceptum & wall of
intussuscepian.
 Meniscus sign:
 Convex intraluminal mass.
The main contraindication of enema is perforation
COIL SPRING SIGN
Barium enema showed filling
defect with crab's claw sign at
the mid transverse colon
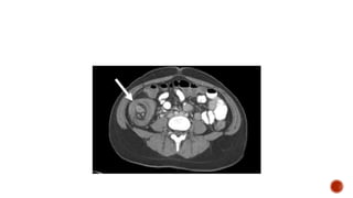
CT SCAN
However, CT cannot be used to reduce the intussusception and can
be time-consuming in children who may require sedation. Thus, CT
generally is reserved for patients in whom the other imaging
modalities are unrevealing, or to characterize pathological lead
points for intussusception detected by ultrasound.
 With treatment, prognosis is excellent.
 Post-reduction recurrence:
 Radiological: 5%
 Surgical: 1-4%
 Mortality:
 1% with treatment
 Fatal if untreated
 When a hole or tear in the bowel occurs, it must be treated promptly. If not
treated, intussusception is almost always fatal for infants and young children.
 The child will first be stabilized. A tube will be passed into the
stomach through the nose (nasogastric tube). An intravenous (IV)
line will be placed in the arm, and fluids will be given to prevent
dehydration.
 Antibiotics may be needed to treat any infection.
 Radiological:
 Reduction (three tries for three minutes each) if there is no sign
of peritonitis, perforation or shock.
 Air enema <120 mm Hg of pressure or barium enema.
 The choice of enema is usually left to the radiologist (many now favour
air enema).[7][9]
Laparotomy (reduction/resection) - indications:
 Peritonitis
 Perforation
 Prolonged history (>24 hours)
 High likelihood of pathological lead point
 Failed enema
 Hospital admission is usually required but outpatient
management may on occasions be an acceptable alternative.
TREATMENT
Stable patients with a high clinical suspicion and/or radiographic evidence of
intussusception and no evidence of bowel perforation should be treated with
nonoperative reduction.
 Surgical treatment is indicated in acutely ill or perforation. radiographic facilities
and expertise to perform nonoperative reduction are not available. nonoperative
reduction is unsuccessful, or for evaluation or resection of a pathological lead
point.
intussusception limited to the small bowel (ileo-ileal, jejuno-ileal, or jejuno-
jejunal).
NONOPERATIVE
REDUCTION
 using hydrostatic or pneumatic pressure by enema has high success rates in
children with ileocolic intussusception, and is the treatment of choice for a stable
child and radiologic facilities are available. contridication ;long duration of
symptoms and/or suspected bowel perforation.
 Patient should be stabilized and resuscitated with IVF, and the stomach
decompressed with a nasogastric tube. Because there is a risk of perforation
during nonoperative reduction, the surgical team should be notified and steps
should be taken to ensure that the patient is fit for surgery.
 Antibiotics administered before attempting nonoperative reduction because of the
risk of perforation.
FLUOROSCOPIC OR
SONOGRAPHIC GUIDANCE
Reduction is typically performed under fluoroscopic guidance, using either
hydrostatic (contrast) or pneumatic (air) enema. Has high success rates (80 to
95%) and is an appropriate choice if the treating physicians have more experience
with this technique than with ultrasound-guided reduction.
Hydrostatic technique — The standard method of reduction is to place a reservoir of
contrast 1 meter above the patient so that constant hydrostatic pressure is
generated. With experience (and depending upon the clinical status of the
patient), a physician may undertake a more aggressive reduction.
When hydrostatic reduction is performed under ultrasonographic guidance,
normal saline is used for the enema.
Pneumatic technique — Air reduction techniques
have gained popularity as an alternative to the
hydrostatic methods, and can be used under either
ultrasonographic or fluoroscopic guidance. Air
enemas reduce the intussusception more easily,
and may be advantageous if perforation occurs.
Successful reduction ;
1. free flow of contrast or air into the small bowel. Reduction is
complete only when a good portion of the distal ileum is filled
with contrast.
2. Relief of symptoms and disappearance of the abdominal mass. A
characteristic sound also may be appreciated with auscultation.
3. In occasional patients, the contrast material does not reflux
freely into the small bowel even with a complete reduction,
however a successful reduction is suggested by lack of a filling
defect in the cecum (apart from the ileocecal valve), and clinical
resolution of symptoms and signs.
Intussusception

Intussusception

  • 1.
  • 2.
     Telescoping invaginationof an intestinal segment into the lumen of a proximal segment.
  • 3.
    Intussuscpetion Without a leading point Witha leading point ESENTERY Lymphoid hyperplasia
  • 4.
    LEAD POINT A leadpoint is a lesion or variation in the intestine that is trapped by peristalsis and dragged into a distal segment of the intestine, causing intussusception. A Meckel diverticulum, polyp, tumor, hematoma, or vascular malformation can act as a lead point for intussusception.
  • 5.
     The male-to-femaleratio is approximately 3:2.  Two thirds of patients are under one year old, the peak age being between 5-10 months.  Intussusception is the most common cause of intestinal obstruction in patients aged 5 months-3 years and accounts for up to 25% of abdominal emergencies in children up to age 5.  It is rare preterm.  One large Swiss study found an overall incidence of 38, 31 and 26 cases per 100,000 live births in the first, second and third year of life respectively.
  • 6.
    PATHOGENESIS Occurs most oftennear the ileocecal junction (ileocolic intussusception), jejuno- jejunal, jejuno-ileal, or colo-colic. The intussusceptum, a proximal segment of bowel, telescopes into the intussuscipiens, a distal segment, dragging the associated mesentery with it. This leads to the development of venous and lymphatic congestion with resulting intestinal edema, which lead to ischemia, perforation, and peritonitis.
  • 8.
     Non-pathological leadpoint (>90%)  Viral 50% - rotavirus, adenovirus and human herpesvirus 6 (HHV6).  Amoebomata, shigella, yersinia.  Peyer's patch hypertrophy.  Pathological lead point (<10%)  NB: older patients (may have longer history):  Meckel's diverticulum (75%).  Polyps and Peutz-Jeghers syndrome (16%).  Henoch-Schönlein purpura (3%).  Lymphoma and other tumours (3%).  Reduplication - a process by which the bowel wall is duplicated (2%).  Cystic fibrosis.  An inflamed appendix.  Nephrotic syndrome.  Foreign body.  Postoperative - rarely, postoperative intussusception following operative treatment of an intussusception has been reported.  Hyperperistalsis.  Exclusive breast-feeding.  Weight above average.  Rotavirus vaccine.  Abdominal tuberculosis.
  • 9.
    AdultsChildren Spontaneous: (without anatomical leadingpoint): •Celiac disease. •Scleroderma. •Whipple disease. Spontaneous: (without anatomical leading point) in 90% of cases: •Mucosal edema & lymphoid hyperplasia after viral gastroenteritis. Leading point (90%): •Tumor: Usually benign in small intestine & malignant in large intestine. •Polyp, •Ulcer, •Foreign body. Leading point: •Meckel’s diverticulum. •Polyp. •Enterogeneous cyst. •Ectopic pancreas. •Purpura.
  • 10.
    IDIOPATHIC Approximately 75 %of cases are idiopathic because there is no clear disease trigger or pathological lead point most common in children between 3mo and 5yr of age.
  • 11.
    INFLUENCE OF VIRAL FACTORSillustratedby the following observations:  Has a seasonal variation, with peaks coinciding with seasonal viral gastroenteritis.  Associated with some forms of rotavirus vaccine.  30 % experience viral illness (URTI, otitis media, flu-like symptoms) before the onset of intussusception.  A strong association with adenovirus infection .  Viral infections, including enteric adenovirus, can stimulate lymphatic tissue in the intestinal tract, resulting in hypertrophy of Peyer patches in the lymphoid-rich terminal ileum, which may act as a lead point for ileocolic intussusception . Treatment with glucocorticoids has been suggested to prevent recurrence.
  • 15.
     It isusually of sudden onset, and may be more insidious in the older child.  There are paroxysms (about every 10-20 minutes) of colicky abdominal pain (>80%) ± crying.  The child may appear well between paroxysms initially.  There is early vomiting - rapidly becoming bile-stained.  Neurological symptoms such as lethargy, hypotonia or sudden alterations of consciousness can occur.[4]  There may be a palpable 'sausage-shaped' mass (often in the right upper quadrant).
  • 16.
     There maybe absence of bowel in the right lower quadrant (Dance's sign).  Dehydration, pallor, shock.  Irritability, sweating.  Later, mucoid and bloody 'redcurrant stools'.  Late pyrexia
  • 19.
    DIAGNOSIS  Depends onthe clinical suspicion for intussusception (typical or atypical presentation) and experience radiologists.  Patients with a typical presentation (sudden onset of intermittent severe abdominal pain with or without rectal bleeding) or characteristic findings on radiography, may proceed directly to nonoperative reduction using hydrostatic (contrast or saline) or pneumatic (air) enema, performed under either sonographic or fluoroscopic guidance. In these cases, the procedure is both diagnostic and therapeutic.  If diagnosis is unclear at presentation. In this case, initial workup may include abdominal ultrasound or abdominal plain films. If the study supports the diagnosis of intussusception, nonoperative reduction is then performed.
  • 20.
     FBC -may show neutrophilia.  U&Es - may reflect dehydration.  Abdominal X-ray - may show dilated gas-filled proximal bowel, paucity of gas distally, multiple fluid levels (but may be normal in the early stages).  Ultrasound - may show doughnut or target sign, pseudokidney/sandwich appearance. It is a very effective modality and many consider it the investigation of choice.  Bowel enema - barium has been gold standard (crescent sign, filling defect) but air and water-soluble double-contrast now available; each has pros and cons - the choice is left to the individual radiologist.  CT/MRI scanning - more often used in adults than in children.
  • 22.
     May benormal.  Meniscus sign:  Crescent of gas within colonic lumen that outlines the apex of intussusceptum.  Little air in small intestine.
  • 23.
  • 24.
  • 27.
  • 28.
    Pneumatic Pros – Clean,quick Cons – Less experience, more difficult to detect Intussusceptions in patients with gas in small bowel proximal to Intussusceptions Hydrostatic Pros - No staining of peritoneum Cons – Could cause rapid fluid shifts if not using iso-osmolar concentrations Barium Pros – Familiar technique Cons – Perforation, higher chance of peritoneal contamination 3 types of enemas:
  • 29.
     Coil springappearance:  Trapping of barium between the edematous mucosal folds of the returning limb of intussusceptum & wall of intussuscepian.  Meniscus sign:  Convex intraluminal mass. The main contraindication of enema is perforation
  • 30.
  • 31.
    Barium enema showedfilling defect with crab's claw sign at the mid transverse colon
  • 32.
    CT SCAN However, CTcannot be used to reduce the intussusception and can be time-consuming in children who may require sedation. Thus, CT generally is reserved for patients in whom the other imaging modalities are unrevealing, or to characterize pathological lead points for intussusception detected by ultrasound.
  • 34.
     With treatment,prognosis is excellent.  Post-reduction recurrence:  Radiological: 5%  Surgical: 1-4%  Mortality:  1% with treatment  Fatal if untreated  When a hole or tear in the bowel occurs, it must be treated promptly. If not treated, intussusception is almost always fatal for infants and young children.
  • 35.
     The childwill first be stabilized. A tube will be passed into the stomach through the nose (nasogastric tube). An intravenous (IV) line will be placed in the arm, and fluids will be given to prevent dehydration.  Antibiotics may be needed to treat any infection.  Radiological:  Reduction (three tries for three minutes each) if there is no sign of peritonitis, perforation or shock.  Air enema <120 mm Hg of pressure or barium enema.  The choice of enema is usually left to the radiologist (many now favour air enema).[7][9]
  • 36.
    Laparotomy (reduction/resection) -indications:  Peritonitis  Perforation  Prolonged history (>24 hours)  High likelihood of pathological lead point  Failed enema  Hospital admission is usually required but outpatient management may on occasions be an acceptable alternative.
  • 37.
    TREATMENT Stable patients witha high clinical suspicion and/or radiographic evidence of intussusception and no evidence of bowel perforation should be treated with nonoperative reduction.  Surgical treatment is indicated in acutely ill or perforation. radiographic facilities and expertise to perform nonoperative reduction are not available. nonoperative reduction is unsuccessful, or for evaluation or resection of a pathological lead point. intussusception limited to the small bowel (ileo-ileal, jejuno-ileal, or jejuno- jejunal).
  • 38.
    NONOPERATIVE REDUCTION  using hydrostaticor pneumatic pressure by enema has high success rates in children with ileocolic intussusception, and is the treatment of choice for a stable child and radiologic facilities are available. contridication ;long duration of symptoms and/or suspected bowel perforation.  Patient should be stabilized and resuscitated with IVF, and the stomach decompressed with a nasogastric tube. Because there is a risk of perforation during nonoperative reduction, the surgical team should be notified and steps should be taken to ensure that the patient is fit for surgery.  Antibiotics administered before attempting nonoperative reduction because of the risk of perforation.
  • 39.
    FLUOROSCOPIC OR SONOGRAPHIC GUIDANCE Reductionis typically performed under fluoroscopic guidance, using either hydrostatic (contrast) or pneumatic (air) enema. Has high success rates (80 to 95%) and is an appropriate choice if the treating physicians have more experience with this technique than with ultrasound-guided reduction.
  • 40.
    Hydrostatic technique —The standard method of reduction is to place a reservoir of contrast 1 meter above the patient so that constant hydrostatic pressure is generated. With experience (and depending upon the clinical status of the patient), a physician may undertake a more aggressive reduction. When hydrostatic reduction is performed under ultrasonographic guidance, normal saline is used for the enema.
  • 41.
    Pneumatic technique —Air reduction techniques have gained popularity as an alternative to the hydrostatic methods, and can be used under either ultrasonographic or fluoroscopic guidance. Air enemas reduce the intussusception more easily, and may be advantageous if perforation occurs.
  • 43.
    Successful reduction ; 1.free flow of contrast or air into the small bowel. Reduction is complete only when a good portion of the distal ileum is filled with contrast. 2. Relief of symptoms and disappearance of the abdominal mass. A characteristic sound also may be appreciated with auscultation. 3. In occasional patients, the contrast material does not reflux freely into the small bowel even with a complete reduction, however a successful reduction is suggested by lack of a filling defect in the cecum (apart from the ileocecal valve), and clinical resolution of symptoms and signs.